血管网织细胞瘤的影像诊断
杨建华 陆荣庆 宋遵武 高培毅
摘 要 目的 通过对45例经病理证实的血管网织细胞瘤的影像分析,对肿瘤的影像表现及鉴别诊断做一总结。方法 所有病例术前分别经过脑MR、CT及DSA检查,并对肿瘤的信号、形态大小及增强后的信号进行对比。结果 31例肿瘤可见囊腔,肿瘤实质部分MR、CT可见等T1等T2信号或等或稍低密度影。囊性部分可见长T1长T2信号或低密度信号。注药后可见肿瘤实质部分增强。41例均可见肿瘤DSA染色。结论 血管网织细胞瘤具有显著特异性。应与室管膜瘤、囊性星行细胞瘤等相鉴别。
关键词:血管网状细胞瘤 影像诊断
, http://www.100md.com
血管网织细胞瘤又叫血管母细胞瘤、海绵状血管内皮瘤、Lindau囊肿、Lindau瘤、血管网状细胞瘤。它是由胚胎早期中胚层发生的良性肿瘤,它是胚胎细胞基因错误产生的。与其有关的基因位于染色体3P25-P26区内并显性遗传,并与引起家族遗传性肾细胞癌等疾病的基因位区3P13-P14相邻近,与此基因有关的疾病见表1。Lindau瘤是指发生于小脑的血管网织细胞瘤。Lindau病是指小脑血管网织细胞瘤合并中枢神经系统以外其他部位囊肿或肿瘤等病变。如肾脏,胰腺等。Von Hippel 瘤指原发于视网膜的血管母细胞瘤。VHL综合征指视网膜血管母细胞瘤合并血管网织细胞瘤,它常伴有先天性胰腺、肾囊肿或肾、肾上腺肿瘤等疾病。国外报道50%的VHL综合征病人会缓慢产生血管网织细胞瘤,特别是有多发病变的病例。本文汇集45例经手术病理证实的血管网状细胞瘤的MRI、DSA、CT影像资料,并对其影像做一总结。
1 资料与方法
45例病人中,男25人,最大57岁,最小16岁,平均年龄36.4岁。女20人,最大57岁,最小19岁,平均年龄38.3岁。总平均年龄37.4。其年龄及性别分布构成见图1。
, 百拇医药
表1 与Von Hippel Lindau病有关的疾病名
肾血管瘤
小脑血管母细胞瘤
小脑囊肿或肿瘤
髓质血管母细胞瘤
脊髓血管母细胞瘤
脊髓空洞症
胰腺囊肿
肾上腺血管瘤
肾上腺腺瘤
肾上腺发育不良
肝血管瘤
, http://www.100md.com
肝囊肿
卵巢囊肿
卵巢血管瘤
肾囊肿
肾血管瘤
肾细胞癌
肺囊肿
肺血管瘤
脐囊肿
骨血管瘤
脾囊肿
脾血管瘤
睾丸囊肿
, 百拇医药
睾丸腺瘤
30例手术前行MR检查。MR扫描仪使用GE SIGNA 1.5T、0.5T。自旋回波。T1WI Te=24ms,Tr=540ms;T2WI Te=85ms,Tr=2200ms(1.5T)。T1WI Te=23ms,Tr=540ms,T2WI Te=74ms,Tr=4000ms(0.5T)。扫描象素256×256,1NEX(1.5T),2NEX(0.5T)。20人使用G-DPA进行增强扫描。36人行CT扫描。CT扫描仪使用GE 9000,GE SYTEC 3000,GE SRI。以听眉线为基线,10mm间距逐行扫描,24人进行泛影葡胺或Angioghin造影剂增强。41人行经右股动脉插管选择性双侧颈总动脉及双侧椎动脉造影。DSA造影仪使用TOSHIBA 1000,SHIMADZU 100血管造影机动脉内团注泛影葡胺或Angioghin。
, 百拇医药
图1 血管网织细胞瘤的年龄、性别分布图
图2 血管网织细胞瘤的位置及形态分布图
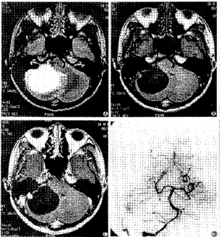
图3 A、B. T2、T1像可见右侧小脑半球囊结节型血管网质细胞瘤 C. T1增强像:可见肿瘤结节增强 D. 可见右侧小脑结节样染色,小脑前下动脉,脑膜血管供血
2 结果
2.1 病变部位 左侧小脑半球14例,右侧小脑半球9例,脑干及四脑室出口9例,上蚓部2例,下蚓部2例,颈髓上部3例,CPA区1例,大脑半球1例。见图2。其中3例为多发病灶。93%的病变发生于后颅凹。
, http://www.100md.com
2.2 MR检查结果 30例行MR检查。肿瘤呈圆形、长圆形。无明显分叶。23例可见肿瘤囊腔。根据肿瘤实质与囊腔部分的比例不同可分为三型:实质型、实质部分占95%以上。囊结节型、实质部分占5%以下。其余为囊实质型。
(1)平扫示:实质型8例,可见肿瘤实质部分呈等T1等T2信号,囊腔无或很小,肿瘤囊腔呈长T1长T2信号。边缘欠清,7例可见边缘血管流空影,6例可见肿瘤周围有稍长T1长T2的水肿,只有1例可见肿瘤内有短T1长T2的出血。最大肿瘤55mm×50mm×35mm,最小3mm×3mm×5mm。囊实质型11例,肿瘤实质内或外可见单个或多个稍长T1长T2的囊腔,9例可见边缘血管流空影,8例肿瘤周围有长T1长T2水肿,最大肿瘤50mm×55mm×45mm,最小15mm×10mm×8mm。囊结节型8例,可见大的单个的长T1长T2信号的囊腔,边缘清,周围无水肿,肿瘤多较大,无边缘血管流空影。最大肿瘤68mm×55mm×50mm,最小10mm×10mm×20mm。21例可见压迫四脑室、中脑导水管,引起梗阻型脑积水。10例可见小脑扁桃体下疝。
, 百拇医药
(2)增强示:22例行增强扫描。实质型6例,囊实质型10例,囊结节型6例。增强可见肿瘤实质部分均匀强化。囊结节型可见囊壁结节增强,囊壁不增强,最小结节3mm×5mm×5mm。见图3。2例为多发病变,1例为右侧囊实质型伴左侧小的实质型小脑半球血管网织细胞瘤。见图4。1例为右侧囊实质型小脑半球肿瘤伴右颞小的实质型肿瘤。
2.3 CT检查结果 36例行CT扫描。肿瘤呈圆形、类圆形,无明显分叶。平扫示:肿瘤实质部分呈等密度影32例,稍低密度影4例。实质型14例,7例可见周围片状低密度影水肿,边缘欠清。囊实质型15例,低密度区内可见单个或多个囊。均可见肿瘤周围低密度水肿。囊结节型7例,可见巨大囊腔。周围无低密度水肿。28例可见梗阻性脑积水。未见肿瘤钙化,出血。
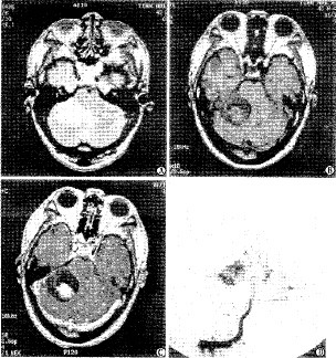
图4 A、B. T2、T1像右侧小脑半球可见囊实质型血管网质细胞瘤 B、C. T1增强像右侧小脑半球可见囊实质型肿瘤增强,左侧小脑半球可见斑块样实质增强 D. DSA右侧椎动脉正位像可见双侧小脑半球肿瘤染色
, http://www.100md.com
增强示:24人行增强扫描。肿瘤实质部分可见均匀增强,未见囊壁增强。实质型9例,囊实质型10例,囊结节型5例。囊结节型可见囊壁结节样增强,未见囊壁增强,最小结节3mm×5mm×5mm。2例多发病变同MR。
2.4 DSA检查结果 41人行选择性脑动脉造影。39例行左侧颈内动脉造影,39例行右颈内动脉造影,39例行左椎动脉造影,35例行右椎动脉造影,3例行颈外动脉造影。均可见肿瘤染色。实质型14例,囊实质型14例。肿瘤实质部分染色清晰,其内可见不染色的囊。可见脑内动脉增粗供血。21例可见肿瘤静脉引流。囊结节型13例,肿瘤囊壁结节染色较浅,未见肿瘤囊腔周边染色,囊腔可挤压周围血管引起占位征。无静脉引流。3例可见脑膜血管增粗供血。颈髓上部病变3例,可见双侧椎动脉的小脑后下动脉及双侧上颈部椎间孔动脉增粗供血,均可见静脉引流。3例可见多发病变,2例同MR。1例为双侧小脑半球实质型肿瘤。
3 讨论
, 百拇医药 血管网织细胞瘤好发于中年人,本文平均年龄为37.5岁。这与M。Zimmermann报道的42.2岁相比年龄下降。男女比为5:4。男性稍高于女性。血管网织细胞瘤常发生于中枢神经系统,特别是后颅凹内四脑室周围的四脑室出口处、脑干、下蚓部。其次是小脑半球、颈髓上部。CPA、大脑半球少见。可发生于脑内、脑室、脑膜、脑池。可有多个病变同时发生。此时应考虑VHL,并应进行全身检查。
病理上,血管网织细胞瘤为起源于中胚层血管组织的良性肿瘤。肿瘤发生于血管周围,血供丰富,多无纤维包膜。部分肿瘤内可见囊腔,可有多个囊腔,单个囊腔常很大,而肿瘤实质部分却很小。囊腔内可见蛋白质、脂肪、胆固醇等,无含铁血红素。钙化、出血少见。本文只有1例可见肿瘤少量出血。镜下肿瘤内可见肿瘤细胞团聚集于细小动脉、毛细血管周围,内可有多发囊性坏死区。
血管网织细胞瘤影像上,根据囊腔占肿瘤实质部分大小可分为实质型、囊实质型、囊结节型。CT图像上:肿瘤实质部分多为等密度影或低密度影,边缘欠清,密度均匀,钙化及出血少见。囊性部分常为低密度影,密度均匀。肿瘤周围可见低密度水肿。大的病变常可引起四脑室受压变小,梗阻型脑积水,小脑扁桃体下疝。小的实质型肿瘤占位征可不明显。注射造影剂后实质部分可见均匀增强,囊性部分及囊壁常不增强。
, 百拇医药
MR图像上:肿瘤实质部分常见等T1等T2信号,信号均匀,边缘欠清。囊性部分为长T1长T2信号,信号均匀。肿瘤周围可见长T1长T2信号水肿,肿瘤实质部分越大,边缘血管流空影越多。血管网织细胞瘤可压迫周围脑组织、脑室,引起梗阻性脑积水,小脑扁桃体下疝及其他占位征。增强扫描时可见肿瘤实质部分均匀增强。囊腔及囊壁部分不增强。
DSA表现为:实质型及囊实质型常见多根脑内细小动脉增粗供血,毛细血管期可见肿瘤均匀或不均匀染色,常可见多根静脉引流。囊结节型可见毛细血管期肿瘤结节均匀染色,常较小,而肿瘤囊壁及囊腔无染色,常挤压周围血管,引起占位征。无静脉引流。肿瘤侵及脑膜时,常可见脑膜血管增粗供血。Rengachary 将血管网织细胞瘤的基底动脉造影分为4型:① 伴有囊肿的囊壁结节样增强,常见于囊结节型。② 肿瘤内或外伴有囊肿的面团样血管染色,常见于囊实质型、实质型。③ 大块样的实质性有血管供血的染色,多见于实质型。④ 多发的小的散在的血管染色团,常见于VHL病。DSA检查常可发现CT,MRI未发现的微小肿瘤,因此,对于疑为VHL病人应进行强制检查。本文2例多发病变均为首先DSA发现。
, 百拇医药
实质型和囊实质型血管网织细胞瘤应与室管膜细胞瘤、脉络丛乳头状瘤、髓母细胞瘤、转移癌相鉴别。室管膜细胞瘤常发生四脑室出口处或四脑内。平扫示肿瘤信号常呈等信号或等、低密度影,多不均匀。常无血管流空影。可有钙化。增强扫描示肿瘤常不规则增强。脉络丛乳头状瘤发生于中年人,可位于四脑室内或出口处,侧脑室内。肿瘤平扫示等密度影或等信号影,增强后可见肿瘤均匀增强。部分病人伴有脑脊液增多,脑室增大,颅压增大症状。囊性变少见。肿瘤周围常无血管流空影。囊实质型血管网织细胞瘤应与囊性星型细胞瘤、小脑囊肿、小脑脓肿等相鉴别。小脑半球胶质瘤常较大,密度或信号多不均匀,可有囊性变,钙化,出血。注药后不规则增强。囊性星型细胞瘤长发生于青少年,肿瘤常较大,囊壁不规则,结节较大,信号不均匀。注药时可见不规则增强部分。常无流空血管影。血管网织细胞瘤供血动脉丰富,引流静脉粗大,血循环快,DSA造影时应与AVM、供血丰富的转移癌等相鉴别。AVM可见畸形动静脉血管,常伴有出血、钙化,没有肿瘤瘤体染色。转移癌好发于老年人,有病史及身体其他部位病变可助鉴别,常可在身体其他部位发现多发病变。单发实质型常不容易鉴别,应与其他影像相结合。
, http://www.100md.com
血管网织细胞瘤是好发于颅内的非神经组织起源的肿瘤,常与其他部位病变(肝,肾等)同时发生。此时应考虑VHL病。VHL是由常染色体显形遗传的疾病。常发生于青少年。常有多发血管网织细胞瘤和视网膜血管瘤。它的临床表现较复杂。部分血管网织细胞瘤可引起血细胞增多。因此,应对血管网织细胞瘤的病人进行系统检查。
作者简介:杨建华(1964—),男,北京市人,现在北京神经外科研究所神经影像室工作。
杨建华(北京市神经外科研究所神经影像室,北京 100050)
陆荣庆(北京市神经外科研究所神经影像室,北京 100050)
宋遵武(北京市神经外科研究所神经影像室,北京 100050)
高培毅(北京市神经外科研究所神经影像室,北京 100050)
, 百拇医药
参考文献
[1]Seizinger BR,Rouleau GA,Ozelius LJ. Von Hipple-Lindau disease maps to the region of chromosome 3 associated with renal cell carcinoma. Nature,1988,332:268-269.
[2]de la Monte SM,Horowitz MA. Hemangioblastoma: Clinical and histopathological factors correlated with recurrence. Neurosurgery,1989,25:695-698., 百拇医药
摘 要 目的 通过对45例经病理证实的血管网织细胞瘤的影像分析,对肿瘤的影像表现及鉴别诊断做一总结。方法 所有病例术前分别经过脑MR、CT及DSA检查,并对肿瘤的信号、形态大小及增强后的信号进行对比。结果 31例肿瘤可见囊腔,肿瘤实质部分MR、CT可见等T1等T2信号或等或稍低密度影。囊性部分可见长T1长T2信号或低密度信号。注药后可见肿瘤实质部分增强。41例均可见肿瘤DSA染色。结论 血管网织细胞瘤具有显著特异性。应与室管膜瘤、囊性星行细胞瘤等相鉴别。
关键词:血管网状细胞瘤 影像诊断
, http://www.100md.com
血管网织细胞瘤又叫血管母细胞瘤、海绵状血管内皮瘤、Lindau囊肿、Lindau瘤、血管网状细胞瘤。它是由胚胎早期中胚层发生的良性肿瘤,它是胚胎细胞基因错误产生的。与其有关的基因位于染色体3P25-P26区内并显性遗传,并与引起家族遗传性肾细胞癌等疾病的基因位区3P13-P14相邻近,与此基因有关的疾病见表1。Lindau瘤是指发生于小脑的血管网织细胞瘤。Lindau病是指小脑血管网织细胞瘤合并中枢神经系统以外其他部位囊肿或肿瘤等病变。如肾脏,胰腺等。Von Hippel 瘤指原发于视网膜的血管母细胞瘤。VHL综合征指视网膜血管母细胞瘤合并血管网织细胞瘤,它常伴有先天性胰腺、肾囊肿或肾、肾上腺肿瘤等疾病。国外报道50%的VHL综合征病人会缓慢产生血管网织细胞瘤,特别是有多发病变的病例。本文汇集45例经手术病理证实的血管网状细胞瘤的MRI、DSA、CT影像资料,并对其影像做一总结。
1 资料与方法
45例病人中,男25人,最大57岁,最小16岁,平均年龄36.4岁。女20人,最大57岁,最小19岁,平均年龄38.3岁。总平均年龄37.4。其年龄及性别分布构成见图1。
, 百拇医药
表1 与Von Hippel Lindau病有关的疾病名
肾血管瘤
小脑血管母细胞瘤
小脑囊肿或肿瘤
髓质血管母细胞瘤
脊髓血管母细胞瘤
脊髓空洞症
胰腺囊肿
肾上腺血管瘤
肾上腺腺瘤
肾上腺发育不良
肝血管瘤
, http://www.100md.com
肝囊肿
卵巢囊肿
卵巢血管瘤
肾囊肿
肾血管瘤
肾细胞癌
肺囊肿
肺血管瘤
脐囊肿
骨血管瘤
脾囊肿
脾血管瘤
睾丸囊肿
, 百拇医药
睾丸腺瘤
30例手术前行MR检查。MR扫描仪使用GE SIGNA 1.5T、0.5T。自旋回波。T1WI Te=24ms,Tr=540ms;T2WI Te=85ms,Tr=2200ms(1.5T)。T1WI Te=23ms,Tr=540ms,T2WI Te=74ms,Tr=4000ms(0.5T)。扫描象素256×256,1NEX(1.5T),2NEX(0.5T)。20人使用G-DPA进行增强扫描。36人行CT扫描。CT扫描仪使用GE 9000,GE SYTEC 3000,GE SRI。以听眉线为基线,10mm间距逐行扫描,24人进行泛影葡胺或Angioghin造影剂增强。41人行经右股动脉插管选择性双侧颈总动脉及双侧椎动脉造影。DSA造影仪使用TOSHIBA 1000,SHIMADZU 100血管造影机动脉内团注泛影葡胺或Angioghin。
, 百拇医药
图1 血管网织细胞瘤的年龄、性别分布图
图2 血管网织细胞瘤的位置及形态分布图
图3 A、B. T2、T1像可见右侧小脑半球囊结节型血管网质细胞瘤 C. T1增强像:可见肿瘤结节增强 D. 可见右侧小脑结节样染色,小脑前下动脉,脑膜血管供血
2 结果
2.1 病变部位 左侧小脑半球14例,右侧小脑半球9例,脑干及四脑室出口9例,上蚓部2例,下蚓部2例,颈髓上部3例,CPA区1例,大脑半球1例。见图2。其中3例为多发病灶。93%的病变发生于后颅凹。
, http://www.100md.com
2.2 MR检查结果 30例行MR检查。肿瘤呈圆形、长圆形。无明显分叶。23例可见肿瘤囊腔。根据肿瘤实质与囊腔部分的比例不同可分为三型:实质型、实质部分占95%以上。囊结节型、实质部分占5%以下。其余为囊实质型。
(1)平扫示:实质型8例,可见肿瘤实质部分呈等T1等T2信号,囊腔无或很小,肿瘤囊腔呈长T1长T2信号。边缘欠清,7例可见边缘血管流空影,6例可见肿瘤周围有稍长T1长T2的水肿,只有1例可见肿瘤内有短T1长T2的出血。最大肿瘤55mm×50mm×35mm,最小3mm×3mm×5mm。囊实质型11例,肿瘤实质内或外可见单个或多个稍长T1长T2的囊腔,9例可见边缘血管流空影,8例肿瘤周围有长T1长T2水肿,最大肿瘤50mm×55mm×45mm,最小15mm×10mm×8mm。囊结节型8例,可见大的单个的长T1长T2信号的囊腔,边缘清,周围无水肿,肿瘤多较大,无边缘血管流空影。最大肿瘤68mm×55mm×50mm,最小10mm×10mm×20mm。21例可见压迫四脑室、中脑导水管,引起梗阻型脑积水。10例可见小脑扁桃体下疝。
, 百拇医药
(2)增强示:22例行增强扫描。实质型6例,囊实质型10例,囊结节型6例。增强可见肿瘤实质部分均匀强化。囊结节型可见囊壁结节增强,囊壁不增强,最小结节3mm×5mm×5mm。见图3。2例为多发病变,1例为右侧囊实质型伴左侧小的实质型小脑半球血管网织细胞瘤。见图4。1例为右侧囊实质型小脑半球肿瘤伴右颞小的实质型肿瘤。
2.3 CT检查结果 36例行CT扫描。肿瘤呈圆形、类圆形,无明显分叶。平扫示:肿瘤实质部分呈等密度影32例,稍低密度影4例。实质型14例,7例可见周围片状低密度影水肿,边缘欠清。囊实质型15例,低密度区内可见单个或多个囊。均可见肿瘤周围低密度水肿。囊结节型7例,可见巨大囊腔。周围无低密度水肿。28例可见梗阻性脑积水。未见肿瘤钙化,出血。
图4 A、B. T2、T1像右侧小脑半球可见囊实质型血管网质细胞瘤 B、C. T1增强像右侧小脑半球可见囊实质型肿瘤增强,左侧小脑半球可见斑块样实质增强 D. DSA右侧椎动脉正位像可见双侧小脑半球肿瘤染色
, http://www.100md.com
增强示:24人行增强扫描。肿瘤实质部分可见均匀增强,未见囊壁增强。实质型9例,囊实质型10例,囊结节型5例。囊结节型可见囊壁结节样增强,未见囊壁增强,最小结节3mm×5mm×5mm。2例多发病变同MR。
2.4 DSA检查结果 41人行选择性脑动脉造影。39例行左侧颈内动脉造影,39例行右颈内动脉造影,39例行左椎动脉造影,35例行右椎动脉造影,3例行颈外动脉造影。均可见肿瘤染色。实质型14例,囊实质型14例。肿瘤实质部分染色清晰,其内可见不染色的囊。可见脑内动脉增粗供血。21例可见肿瘤静脉引流。囊结节型13例,肿瘤囊壁结节染色较浅,未见肿瘤囊腔周边染色,囊腔可挤压周围血管引起占位征。无静脉引流。3例可见脑膜血管增粗供血。颈髓上部病变3例,可见双侧椎动脉的小脑后下动脉及双侧上颈部椎间孔动脉增粗供血,均可见静脉引流。3例可见多发病变,2例同MR。1例为双侧小脑半球实质型肿瘤。
3 讨论
, 百拇医药 血管网织细胞瘤好发于中年人,本文平均年龄为37.5岁。这与M。Zimmermann报道的42.2岁相比年龄下降。男女比为5:4。男性稍高于女性。血管网织细胞瘤常发生于中枢神经系统,特别是后颅凹内四脑室周围的四脑室出口处、脑干、下蚓部。其次是小脑半球、颈髓上部。CPA、大脑半球少见。可发生于脑内、脑室、脑膜、脑池。可有多个病变同时发生。此时应考虑VHL,并应进行全身检查。
病理上,血管网织细胞瘤为起源于中胚层血管组织的良性肿瘤。肿瘤发生于血管周围,血供丰富,多无纤维包膜。部分肿瘤内可见囊腔,可有多个囊腔,单个囊腔常很大,而肿瘤实质部分却很小。囊腔内可见蛋白质、脂肪、胆固醇等,无含铁血红素。钙化、出血少见。本文只有1例可见肿瘤少量出血。镜下肿瘤内可见肿瘤细胞团聚集于细小动脉、毛细血管周围,内可有多发囊性坏死区。
血管网织细胞瘤影像上,根据囊腔占肿瘤实质部分大小可分为实质型、囊实质型、囊结节型。CT图像上:肿瘤实质部分多为等密度影或低密度影,边缘欠清,密度均匀,钙化及出血少见。囊性部分常为低密度影,密度均匀。肿瘤周围可见低密度水肿。大的病变常可引起四脑室受压变小,梗阻型脑积水,小脑扁桃体下疝。小的实质型肿瘤占位征可不明显。注射造影剂后实质部分可见均匀增强,囊性部分及囊壁常不增强。
, 百拇医药
MR图像上:肿瘤实质部分常见等T1等T2信号,信号均匀,边缘欠清。囊性部分为长T1长T2信号,信号均匀。肿瘤周围可见长T1长T2信号水肿,肿瘤实质部分越大,边缘血管流空影越多。血管网织细胞瘤可压迫周围脑组织、脑室,引起梗阻性脑积水,小脑扁桃体下疝及其他占位征。增强扫描时可见肿瘤实质部分均匀增强。囊腔及囊壁部分不增强。
DSA表现为:实质型及囊实质型常见多根脑内细小动脉增粗供血,毛细血管期可见肿瘤均匀或不均匀染色,常可见多根静脉引流。囊结节型可见毛细血管期肿瘤结节均匀染色,常较小,而肿瘤囊壁及囊腔无染色,常挤压周围血管,引起占位征。无静脉引流。肿瘤侵及脑膜时,常可见脑膜血管增粗供血。Rengachary 将血管网织细胞瘤的基底动脉造影分为4型:① 伴有囊肿的囊壁结节样增强,常见于囊结节型。② 肿瘤内或外伴有囊肿的面团样血管染色,常见于囊实质型、实质型。③ 大块样的实质性有血管供血的染色,多见于实质型。④ 多发的小的散在的血管染色团,常见于VHL病。DSA检查常可发现CT,MRI未发现的微小肿瘤,因此,对于疑为VHL病人应进行强制检查。本文2例多发病变均为首先DSA发现。
, 百拇医药
实质型和囊实质型血管网织细胞瘤应与室管膜细胞瘤、脉络丛乳头状瘤、髓母细胞瘤、转移癌相鉴别。室管膜细胞瘤常发生四脑室出口处或四脑内。平扫示肿瘤信号常呈等信号或等、低密度影,多不均匀。常无血管流空影。可有钙化。增强扫描示肿瘤常不规则增强。脉络丛乳头状瘤发生于中年人,可位于四脑室内或出口处,侧脑室内。肿瘤平扫示等密度影或等信号影,增强后可见肿瘤均匀增强。部分病人伴有脑脊液增多,脑室增大,颅压增大症状。囊性变少见。肿瘤周围常无血管流空影。囊实质型血管网织细胞瘤应与囊性星型细胞瘤、小脑囊肿、小脑脓肿等相鉴别。小脑半球胶质瘤常较大,密度或信号多不均匀,可有囊性变,钙化,出血。注药后不规则增强。囊性星型细胞瘤长发生于青少年,肿瘤常较大,囊壁不规则,结节较大,信号不均匀。注药时可见不规则增强部分。常无流空血管影。血管网织细胞瘤供血动脉丰富,引流静脉粗大,血循环快,DSA造影时应与AVM、供血丰富的转移癌等相鉴别。AVM可见畸形动静脉血管,常伴有出血、钙化,没有肿瘤瘤体染色。转移癌好发于老年人,有病史及身体其他部位病变可助鉴别,常可在身体其他部位发现多发病变。单发实质型常不容易鉴别,应与其他影像相结合。
, http://www.100md.com
血管网织细胞瘤是好发于颅内的非神经组织起源的肿瘤,常与其他部位病变(肝,肾等)同时发生。此时应考虑VHL病。VHL是由常染色体显形遗传的疾病。常发生于青少年。常有多发血管网织细胞瘤和视网膜血管瘤。它的临床表现较复杂。部分血管网织细胞瘤可引起血细胞增多。因此,应对血管网织细胞瘤的病人进行系统检查。
作者简介:杨建华(1964—),男,北京市人,现在北京神经外科研究所神经影像室工作。
杨建华(北京市神经外科研究所神经影像室,北京 100050)
陆荣庆(北京市神经外科研究所神经影像室,北京 100050)
宋遵武(北京市神经外科研究所神经影像室,北京 100050)
高培毅(北京市神经外科研究所神经影像室,北京 100050)
, 百拇医药
参考文献
[1]Seizinger BR,Rouleau GA,Ozelius LJ. Von Hipple-Lindau disease maps to the region of chromosome 3 associated with renal cell carcinoma. Nature,1988,332:268-269.
[2]de la Monte SM,Horowitz MA. Hemangioblastoma: Clinical and histopathological factors correlated with recurrence. Neurosurgery,1989,25:695-698., 百拇医药