微波烘疗调节肢体慢性淋巴水肿免疫的研究
曹卫刚 张涤生 干季良
摘 要:目的 研究局部及全身免疫反应在淋巴水肿患者中的作用特点及微波烘疗对免疫反应的影响。方法 应用碱性磷酸酶抗碱性磷酸酶聚合物(APAAP)和亲和素-生物素-过氧化物酶(ABC)免疫组织化学法,对27例慢性肢体淋巴水肿患者微波烘疗前后全身及局部浸润淋巴细胞表型进行检测。结果 淋巴水肿患者有外周血CD4+T淋巴细胞,以及CD4+/CD8+比例的降低和真皮层血管周围T淋巴细胞浸润;经两个疗程的微波烘疗后,CD4+T淋巴细胞上升,CD4+/CD8+比例恢复正常,真皮层小血管周围T淋巴细胞浸润明显消退。结论 微波烘疗可调节慢性肢体淋巴水肿患者全身及局部免疫失衡。
关键词:微波烘疗 淋巴水肿 免疫组织化学
微波烘疗是治疗肢体淋巴水肿最有效的保守疗法之一,但其作用机制仍有待进一步阐明。肢体淋巴水肿时,不仅有全身性的细胞、体液免疫改变,病变组织细胞因子、淋巴细胞浸润等局部免疫应答亦参与了其致病过程[1~4],但到目前为止还没有对各型肢体慢性淋巴水肿患者在全身和局部的免疫异常情况进行系统的研究。我们的研究旨在通过测定不同类型淋巴水肿患者外周血和局部组织中各淋巴细胞表型比例及分布特点,以阐明全身及局部免疫反应在淋巴水肿患者中的相互作用特点,以及微波烘疗对其的影响和作用机制。
, http://www.100md.com
1 材料与方法
1.1 病例选择
1996年11月~1998年2月,随机选择各型慢性肢体淋巴水肿患者27例39个肢体。男11例,女16例。年龄8~72岁,平均36.6岁。13例21个肢体有“流火”发作史,14例18个肢体无“流火”发作史。病程为1~40年。27例中4例为乳腺癌术后继发性淋巴水肿。
1.2 对照组
健康志愿者10例,年龄18~46岁,平均30岁。抽血做外周血淋巴细胞分类检查,作为正常对照组。
1.3 治疗方法
本组患者均采用微波烘疗方法。先用大功率微波机热疗,再加用弹性绷带绑扎。微波烘疗机工作频率为2 540 MHz,单侧肢体每天烘疗2小时,双侧者上下午各烘疗2小时,1周烘疗5天,2周为一疗程连续行二个疗程共4周。治疗期间,患者坚持白天使用弹性绷带,晚上不用,但需抬高患肢。烘疗结束后,仍需坚持绑扎至少6个月以上。
, 百拇医药
1.4 外周血单个核细胞(peripheral blood mononuclear cell,PBMC)分离及细胞涂片制作
微波烘疗前后分别抽取静脉血各1.0 ml,加入肝素(25 U/ml)抗凝,分离得到PBMC悬液,制成细胞涂片,-20℃保存备用。
1.5 皮肤组织活检
治疗前后分别在内踝(下肢淋巴水肿患者)或肱骨内上髁上内方(上肢淋巴水肿患者),切取全层皮肤及皮下组织约2.5 cm×1.0 cm,一分为二,分别用10%福尔马林液固定和OCT包埋,-20℃冰冻切片,行HE常规染色,免疫组织化学检查。
1.6 免疫组织化学观察
应用APAAP法(由北京军事医学科学院生物制剂发展中心提供诊断试剂盒)和ABC法(上海华美公司提供诊断试剂盒)分别做外周血和局部组织免疫细胞的分型。各单克隆抗体及其对应的细胞类型见表1。
, 百拇医药
1.7 统计学方法
将烘疗前后资料行配对t检验,P值<0.05,具有显著性差异。
表1 单克隆抗体与对应细胞类型
Tab. 1 Monoclonal antibodies and the relative cell types
标志物
Marker
抗体结合特异性
Antibody binding specificity
CD3+
全T细胞
, 百拇医药
Total T cell
CD4+
辅助/诱导T细胞
Th/Ti
CD8+
抑制/细胞毒T细胞
Ts/Tc
CD19+
B细胞
B cell
L26
B细胞
, 百拇医药
B cell
UCHL-1
全T细胞
Total T cell
KP-1
人单核吞噬细胞、巨噬细胞
Human mononuclear phagocyte and macrophage
2 结果
2.1 常规组织学观察
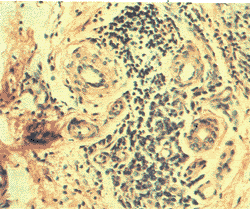
烘疗前 HE染色显示,患肢皮肤较正常皮肤明显变厚,角化明显,真皮组织内有不同程度的水肿,真皮组织中见毛细血管、小血管明显增多,部分小血管管腔扩张,管周水肿明显,炎性细胞浸润明显增多,以淋巴细胞、单核细胞及多形核白细胞为主(图1)。淋巴管管腔常见扩张或闭塞,管壁增厚。小动脉管壁可见不同程度的纤维化及增厚。真皮组织内成纤维细胞丰富,胶原束明显增多。上述变化似与患肢的病程长短、淋巴水肿分级及是否合并“流火”等有很大关系,患者病程越长、皮肤病变越严重,“流火”发作越频繁,则改变越明显。
, 百拇医药
烘疗后 HE染色显示,皮肤明显变薄,表皮变薄,角化程度明显减轻,真皮内水肿减轻。毛细血管、小血管周围炎性细胞浸润明显减少(图2); 闭塞的淋巴管重新开放,管腔趋于正常;组织内成纤维细胞转化为纤维细胞,可见体积大、胞浆丰富的巨噬细胞。
图1 烘疗前,患肢真皮层可见小血管明显增生,小血管周围淋巴细胞、单核细胞浸润明显(HE ×160)
Fig. 1 Before microwave heating and bandaging treatment, it was shown that there were obvious hyperplasia of small blood vessels and capillaries and predominant perivascular T lymphocyte infiltration(HE ×160)
, 百拇医药
图2 烘疗后,真皮层毛细血管、小血管周围T淋巴细胞浸润明显减轻(HE ×160)
Fig. 2 After two courses of microwave heating and bandaging treatment, dermal pericapillary and perivenular T lymphocyte infiltration were greatly decreased(HE ×160)
2.2 免疫组织化学观察
2.2.1 外周血T、B细胞及T细胞亚群改变 APAAP免疫组织化学法测定外周血各淋巴细胞百分比,高倍镜下不同视野计数400个有核细胞, 细胞浆及核明显红染者为阳性,分别计算阳性细胞百分比。10例健康志愿者及20例慢性肢体淋巴水肿患者做了外周血T、B细胞及T细胞亚型检测,其变化如表2所示。患者组与对照组相比,CD4+T细胞、CD4+/CD8+比例有明显降低,CD8+T细胞升高,而CD3+T细胞、CD19+B细胞变化不明显。进一步分组见乳腺癌术后组中CD3+T淋巴细胞数降低,感染组CD8+T细胞数升高。经统计学处理具有显著性差异(P<0.01,P<0.05)。经微波烘疗后,患者组CD4+T淋巴细胞升高,CD4+/CD8+比例恢复正常。经统计学处理有非常显著性差异(P<0.01)。见表3。乳腺癌术后组CD3+T细胞升高;感染组CD8+T细胞降低。
, http://www.100md.com
表2 各组外周血T、B细胞及CD4+/CD8+比例变化比较(%,x±s)
Tab. 2 Comparison of peripheral T and B lymphocytes and the ratio of CD4+/CD8+ in different experimental groups and control group
(%,x±s)
组别
Groups
例数
Cases
CD3+
, 百拇医药
CD4+
CD8+
CD4+/CD8+
CD19+
对照组
Control group
10
65.20
±3.85
39.50
±2.55
, http://www.100md.com
27.90
±3.28
1.44
±0.19
12.80
±2.53
患者组
Patient group
20
62.90
±6.55
30.25
±5.00**
, 百拇医药
31.30
±3.81*
0.98
±0.22**
12.10
±4.38
合并感染
Infectious
10
63.40
±4.40
30.60
, 百拇医药
±4.09**
31.70
±3.68*
0.97
±0.21**
12.40
±5.83
无感染
Non-infectious
10
62.50
±8.41
, 百拇医药
29.90
±5.99**
30.80
±4.08
1.00
±0.23**
11.80
±2.90
乳癌术后
Post-mastectomy
4
52.30
, 百拇医药
±1.26**
24.00
±2.71**
27.30
±1.50
0.89
±0.16**
12.50
±1.29
* P值<0.05,** P值<0.01 表3 烘疗前后T、B细胞及CD4+/CD8+比例变化(n=20,x±s)
, 百拇医药
Tab. 3 Changes of peripheral T、B lymphocytes and ratio of CD4+/CD8+ in lymphedema patients before and after microwave heating and bandaging treatment(n=20,x±s)
组别
Groups
CD3+
CD4+
CD8+
CD4+/CD8+
, 百拇医药
CD19+
烘疗前
Pre-treatment
62.90±6.55
30.30±5.00
31.30±3.81
0.98±0.22
12.10±4.38
烘疗后
Post-treatment
64.70±3.78
, 百拇医药 40.30±3.71
29.00±3.92
1.39±0.25
13.30±2.85
P值
>0.05
<0.01
>0.05
<0.01
>0.05
2.2.2 皮肤组织中浸润细胞特点及构成变化 本组27例患者中有16例19个肢体进行了皮肤活组织检查,观察局部浸润细胞变化情况,其中8例11个肢体合并有“流火”感染史,另8例8个肢体无“流火”感染史。结果显示,正常皮肤组织中很少有淋巴细胞浸润,慢性肢体淋巴水肿患者真皮组织中可见明显的细胞浸润,以淋巴细胞及单核细胞为主。淋巴细胞分类检查发现主要为T淋巴细胞,B淋巴细胞极为少见。浸润细胞特点为围绕真皮组织中小血管、毛细血管周围成簇状分布为主,少部分散在分布于真皮组织中。巨噬细胞则较少有簇状分布的特点,较均匀的分布于真皮组织中。T淋巴细胞及CD4+T、CD8+T细胞亚型检测显示,合并“流火”感染者全T细胞及CD4+T和CD8+T淋巴细胞浸润程度较无“流火”感染者为严重,两者相比具有显著性差异(表4)。16例患者经微波烘疗后真皮组织中全T细胞及CD4+T细胞和CD8+T细胞浸润明显减轻,巨噬细胞烘疗后较烘疗前数量增加,阳性表达加深,上述改变经统计学处理有非常显著性差异(P<0.01)。 表4 烘疗前感染组与无感染组局部浸润细胞比较(x±s)
, 百拇医药
Tab. 4 Comparison of skin infiltration cells in chronic lymphedema patients with or without bacteria infections (x±s)
组别
Groups
UCHL-1
CD4+
CD8+
KP-1
感染组
Infectious
, 百拇医药 53.0± 9.5
29.5±7.3
26.5±10.6
15.0±1.9
非感染组
Non-infectious
31.8±17.1
19.1±9.1
16.8± 7.4
13.9±2.5
P值
<0.01
, http://www.100md.com
<0.01
<0.01
>0.05
3 讨论
近年来的一系列研究表明,免疫系统与慢性肢体淋巴水肿的发生及发展过程密切相关,慢性肢体淋巴水肿时,有全身性的细胞、体液免疫改变。Lal等[1、2]发现,在慢性丝虫性淋巴水肿患者外周血中,活化的T抑制/杀伤细胞(CD8+HLA-DR+)及可溶性CD8分子有显著的提高,提示慢性丝虫性肢体淋巴水肿时有T细胞比例的失衡,细胞免疫功能的紊乱。干季良等[3]应用流式细胞仪测定比较正常人和慢性肢体淋巴水肿患者外周血各淋巴细胞比例,发现淋巴水肿患者具有T辅助/诱导淋巴细胞(Th/Ti)降低、CD4+/CD8+降低及HLA-DR+比例上升。慢性肢体淋巴水肿时CD4+/CD8+比率降低及HLA-DR+细胞的显著增多,提示机体免疫相关细胞比例的失衡及免疫识别的紊乱状态存在着细胞免疫的紊乱。经微波烘疗后,CD4+T细胞、CD4+/CD8+上升,HLA-DR+和活化的T抑制/杀伤细胞(CD8+HLA-DR+)明显下降,证明微波烘疗能改善、纠正这种免疫紊乱。我们在此基础上进一步研究各型淋巴水肿患者外周血淋巴细胞表型的变化特点,证实了淋巴水肿患者中存在的CD4+T淋巴细胞降低、CD4+/CD8+比例下降的特点,并且乳癌术后组尚有CD3+全T细胞的降低,这可能与肿瘤术后进行过放疗等有关,而感染组中具有免疫抑制功能的CD8+T细胞数的升高,提示慢性肢体淋巴水肿患者可能存在机体的免疫抑制状态,这与易并发“流火”等相一致。烘疗后与烘疗前相比,CD4+T细胞及CD4+/CD8+比例上升并恢复正常,意味着机体免疫、调节功能的增强,与微波的免疫增强作用有关[5]。另外,我们的研究结果发现, 与体液免疫有关的B淋巴细胞数变化不大,但由于未做相应的免疫球蛋白分析,淋巴水肿患者行微波烘疗对体液免疫的作用尚需进一步研究阐明。慢性肢体淋巴水肿的另一显著特点是局部组织液-淋巴液的淤滞和皮肤慢性炎性反应,局部高蛋白水肿液的刺激可引发特异或非特异的免疫反应。正常情况下,皮肤及皮下组织中仅有数量很少的淋巴细胞存在,这些少部分存在的淋巴细胞在于捕获、识别外周组织中的特异性抗原以行使免疫监视功能,通过淋巴细胞再循环途径,相应的免疫细胞激活及克隆增殖,从而发挥特异的免疫反应[6、7]。肢体慢性淋巴水肿组织切片除可见表皮增厚、真皮内“淋巴湖”形成、丰富的成纤维细胞、稠密的胶原纤维束改变外,另一显著的特点是真皮内小血管、毛细血管周围可见丰富的淋巴细胞、单核细胞浸润[4、8、9],这种情况尤以丝虫性淋巴水肿患者为明显[4、9]。Freedman等[4]报道,在73%的丝虫性淋巴水肿患者(clinical pathology,CP)及55%的无症状携带者(microfalaremia,MF)中有异常的CD3+T淋巴细胞浸润,浸润程度以CP为重,MF则较轻。进一步行T淋巴细胞分类显示CP以CD8+T细胞为主,占计数细胞的62%,而MF则以CD4+T细胞为主,CD8+T细胞仅占30%[4、9]。这种炎性反应的开始反映了由寄生虫抗原触发的免疫反应,临床上丝虫性淋巴水肿患者皮肤改变程度常较非丝虫性淋巴水肿为重,这可能与丝虫性淋巴水肿患肢局部组织CD8+T、CD4+T淋巴细胞浸润重相关[4]。本组16例共19个肢体进行了皮肤活组织检查,其中仅有1例有丝虫感染史,8例11个肢体感染型淋巴水肿患者真皮组织的全T细胞、CD4+T、CD8+T淋巴细胞均较非感染型为重,说明细菌感染在淋巴水肿的发生、发展过程中亦起到了十分重要的作用。而应用抗生素等预防感染的反复发作则有助于延缓病程的进展[10]。在其他无感染的8例中,虽然淋巴细胞浸润程度较轻,但与正常组织相比,仍有较明显的真皮小血管、毛细血管周围T淋巴细胞浸润,这可能与细菌感染处于亚临床状态有关,虽然没有明显的临床感染表现,但局部组织液-淋巴液培养常可呈阳性[11],因此在非丝虫性淋巴水肿患者中微波烘疗可能的作用机制是通过其热效应,促进局部血液循环的改善,清除细菌等抗原异物,减轻局部组织的细胞浸润,打断了细胞浸润→细胞因子分泌→损伤→再浸润这个恶性循环,从而达到治疗作用的目的。
, 百拇医药
作者单位:曹卫刚(上海第二医科大学附属第九人民医院整复外科,上海,200011)
张涤生(上海第二医科大学附属第九人民医院整复外科,上海,200011)
干季良(上海第二医科大学附属第九人民医院整复外科,上海,200011)
参考文献:
[1]Lal RB,Kumaraswami V,Krishanan W,et al.Lymphocyte subpopulations in Bancroftian filariasis:Activated(DR+)CD8+T cells in patients with chronic lymphatic obstruction.Clin Exp Immunol,1989;77(1):77
, 百拇医药
[2]Lal RB,Ramzy RM,Gad AA.Elevated levels of soluble CD8 molecule in patients with lymphatic filariasis.Immunol Lett,1990;26(1):85
[3]干季良,蔡仁祥,关文祥,等.微波热调节肢体慢性淋巴水肿免疫紊乱的实验研究.中国修复重建外科杂志,1995;9(2):88
[4]Freedman DO,Horn TD,Silva CME,et al.Predominant CD8 infiltrate in limb biopsies of individuals with filarial lymphedema and elephantiasis.Am J Trop Med Hyg,1995;53(6):633
[5]缪鸿石.实用光疗与电疗.北京:人民卫生出版社,1987:297~299
, 百拇医药
[6]陆得源.现代免疫学.上海:社会科学技术出版社,1995:20~48
[7]王云祥.实用淋巴系统解剖学.北京:人民卫生出版社,1982:48~50
[8]刘宁飞,Olszewski WL,张涤生.局部高温对下肢淋巴水肿皮肤的影响.修复重建外科杂志,1991;5(4):195
[9]Olszewski WL,Jamall S,Morakaran G,et al.Skin changes in filarial and non-filarial lymphedema of the lower extremities.Trop Med Parasitol,1993;44(1):40
[10]Olszewski WL.Episodic dermatolymphagioadenitis(DLA)in patients with lymphedema of the lower extremities before and after administration of benzathine penicillin:A preliminary study.Lymphology,1996;29(3):126
[11]Olszewski WL,Jamal S,Manokaran G,et al. Bacteriologic studies of skin,tissue fluid,lymph,and lymph nodes in patients with filarial lymphedema.Am J Trop Med Hyg,1997;57(1):7, 百拇医药
摘 要:目的 研究局部及全身免疫反应在淋巴水肿患者中的作用特点及微波烘疗对免疫反应的影响。方法 应用碱性磷酸酶抗碱性磷酸酶聚合物(APAAP)和亲和素-生物素-过氧化物酶(ABC)免疫组织化学法,对27例慢性肢体淋巴水肿患者微波烘疗前后全身及局部浸润淋巴细胞表型进行检测。结果 淋巴水肿患者有外周血CD4+T淋巴细胞,以及CD4+/CD8+比例的降低和真皮层血管周围T淋巴细胞浸润;经两个疗程的微波烘疗后,CD4+T淋巴细胞上升,CD4+/CD8+比例恢复正常,真皮层小血管周围T淋巴细胞浸润明显消退。结论 微波烘疗可调节慢性肢体淋巴水肿患者全身及局部免疫失衡。
关键词:微波烘疗 淋巴水肿 免疫组织化学
微波烘疗是治疗肢体淋巴水肿最有效的保守疗法之一,但其作用机制仍有待进一步阐明。肢体淋巴水肿时,不仅有全身性的细胞、体液免疫改变,病变组织细胞因子、淋巴细胞浸润等局部免疫应答亦参与了其致病过程[1~4],但到目前为止还没有对各型肢体慢性淋巴水肿患者在全身和局部的免疫异常情况进行系统的研究。我们的研究旨在通过测定不同类型淋巴水肿患者外周血和局部组织中各淋巴细胞表型比例及分布特点,以阐明全身及局部免疫反应在淋巴水肿患者中的相互作用特点,以及微波烘疗对其的影响和作用机制。
, http://www.100md.com
1 材料与方法
1.1 病例选择
1996年11月~1998年2月,随机选择各型慢性肢体淋巴水肿患者27例39个肢体。男11例,女16例。年龄8~72岁,平均36.6岁。13例21个肢体有“流火”发作史,14例18个肢体无“流火”发作史。病程为1~40年。27例中4例为乳腺癌术后继发性淋巴水肿。
1.2 对照组
健康志愿者10例,年龄18~46岁,平均30岁。抽血做外周血淋巴细胞分类检查,作为正常对照组。
1.3 治疗方法
本组患者均采用微波烘疗方法。先用大功率微波机热疗,再加用弹性绷带绑扎。微波烘疗机工作频率为2 540 MHz,单侧肢体每天烘疗2小时,双侧者上下午各烘疗2小时,1周烘疗5天,2周为一疗程连续行二个疗程共4周。治疗期间,患者坚持白天使用弹性绷带,晚上不用,但需抬高患肢。烘疗结束后,仍需坚持绑扎至少6个月以上。
, 百拇医药
1.4 外周血单个核细胞(peripheral blood mononuclear cell,PBMC)分离及细胞涂片制作
微波烘疗前后分别抽取静脉血各1.0 ml,加入肝素(25 U/ml)抗凝,分离得到PBMC悬液,制成细胞涂片,-20℃保存备用。
1.5 皮肤组织活检
治疗前后分别在内踝(下肢淋巴水肿患者)或肱骨内上髁上内方(上肢淋巴水肿患者),切取全层皮肤及皮下组织约2.5 cm×1.0 cm,一分为二,分别用10%福尔马林液固定和OCT包埋,-20℃冰冻切片,行HE常规染色,免疫组织化学检查。
1.6 免疫组织化学观察
应用APAAP法(由北京军事医学科学院生物制剂发展中心提供诊断试剂盒)和ABC法(上海华美公司提供诊断试剂盒)分别做外周血和局部组织免疫细胞的分型。各单克隆抗体及其对应的细胞类型见表1。
, 百拇医药
1.7 统计学方法
将烘疗前后资料行配对t检验,P值<0.05,具有显著性差异。
表1 单克隆抗体与对应细胞类型
Tab. 1 Monoclonal antibodies and the relative cell types
标志物
Marker
抗体结合特异性
Antibody binding specificity
CD3+
全T细胞
, 百拇医药
Total T cell
CD4+
辅助/诱导T细胞
Th/Ti
CD8+
抑制/细胞毒T细胞
Ts/Tc
CD19+
B细胞
B cell
L26
B细胞
, 百拇医药
B cell
UCHL-1
全T细胞
Total T cell
KP-1
人单核吞噬细胞、巨噬细胞
Human mononuclear phagocyte and macrophage
2 结果
2.1 常规组织学观察
烘疗前 HE染色显示,患肢皮肤较正常皮肤明显变厚,角化明显,真皮组织内有不同程度的水肿,真皮组织中见毛细血管、小血管明显增多,部分小血管管腔扩张,管周水肿明显,炎性细胞浸润明显增多,以淋巴细胞、单核细胞及多形核白细胞为主(图1)。淋巴管管腔常见扩张或闭塞,管壁增厚。小动脉管壁可见不同程度的纤维化及增厚。真皮组织内成纤维细胞丰富,胶原束明显增多。上述变化似与患肢的病程长短、淋巴水肿分级及是否合并“流火”等有很大关系,患者病程越长、皮肤病变越严重,“流火”发作越频繁,则改变越明显。
, 百拇医药
烘疗后 HE染色显示,皮肤明显变薄,表皮变薄,角化程度明显减轻,真皮内水肿减轻。毛细血管、小血管周围炎性细胞浸润明显减少(图2); 闭塞的淋巴管重新开放,管腔趋于正常;组织内成纤维细胞转化为纤维细胞,可见体积大、胞浆丰富的巨噬细胞。
图1 烘疗前,患肢真皮层可见小血管明显增生,小血管周围淋巴细胞、单核细胞浸润明显(HE ×160)
Fig. 1 Before microwave heating and bandaging treatment, it was shown that there were obvious hyperplasia of small blood vessels and capillaries and predominant perivascular T lymphocyte infiltration(HE ×160)
, 百拇医药
图2 烘疗后,真皮层毛细血管、小血管周围T淋巴细胞浸润明显减轻(HE ×160)
Fig. 2 After two courses of microwave heating and bandaging treatment, dermal pericapillary and perivenular T lymphocyte infiltration were greatly decreased(HE ×160)
2.2 免疫组织化学观察
2.2.1 外周血T、B细胞及T细胞亚群改变 APAAP免疫组织化学法测定外周血各淋巴细胞百分比,高倍镜下不同视野计数400个有核细胞, 细胞浆及核明显红染者为阳性,分别计算阳性细胞百分比。10例健康志愿者及20例慢性肢体淋巴水肿患者做了外周血T、B细胞及T细胞亚型检测,其变化如表2所示。患者组与对照组相比,CD4+T细胞、CD4+/CD8+比例有明显降低,CD8+T细胞升高,而CD3+T细胞、CD19+B细胞变化不明显。进一步分组见乳腺癌术后组中CD3+T淋巴细胞数降低,感染组CD8+T细胞数升高。经统计学处理具有显著性差异(P<0.01,P<0.05)。经微波烘疗后,患者组CD4+T淋巴细胞升高,CD4+/CD8+比例恢复正常。经统计学处理有非常显著性差异(P<0.01)。见表3。乳腺癌术后组CD3+T细胞升高;感染组CD8+T细胞降低。
, http://www.100md.com
表2 各组外周血T、B细胞及CD4+/CD8+比例变化比较(%,x±s)
Tab. 2 Comparison of peripheral T and B lymphocytes and the ratio of CD4+/CD8+ in different experimental groups and control group
(%,x±s)
组别
Groups
例数
Cases
CD3+
, 百拇医药
CD4+
CD8+
CD4+/CD8+
CD19+
对照组
Control group
10
65.20
±3.85
39.50
±2.55
, http://www.100md.com
27.90
±3.28
1.44
±0.19
12.80
±2.53
患者组
Patient group
20
62.90
±6.55
30.25
±5.00**
, 百拇医药
31.30
±3.81*
0.98
±0.22**
12.10
±4.38
合并感染
Infectious
10
63.40
±4.40
30.60
, 百拇医药
±4.09**
31.70
±3.68*
0.97
±0.21**
12.40
±5.83
无感染
Non-infectious
10
62.50
±8.41
, 百拇医药
29.90
±5.99**
30.80
±4.08
1.00
±0.23**
11.80
±2.90
乳癌术后
Post-mastectomy
4
52.30
, 百拇医药
±1.26**
24.00
±2.71**
27.30
±1.50
0.89
±0.16**
12.50
±1.29
* P值<0.05,** P值<0.01 表3 烘疗前后T、B细胞及CD4+/CD8+比例变化(n=20,x±s)
, 百拇医药
Tab. 3 Changes of peripheral T、B lymphocytes and ratio of CD4+/CD8+ in lymphedema patients before and after microwave heating and bandaging treatment(n=20,x±s)
组别
Groups
CD3+
CD4+
CD8+
CD4+/CD8+
, 百拇医药
CD19+
烘疗前
Pre-treatment
62.90±6.55
30.30±5.00
31.30±3.81
0.98±0.22
12.10±4.38
烘疗后
Post-treatment
64.70±3.78
, 百拇医药 40.30±3.71
29.00±3.92
1.39±0.25
13.30±2.85
P值
>0.05
<0.01
>0.05
<0.01
>0.05
2.2.2 皮肤组织中浸润细胞特点及构成变化 本组27例患者中有16例19个肢体进行了皮肤活组织检查,观察局部浸润细胞变化情况,其中8例11个肢体合并有“流火”感染史,另8例8个肢体无“流火”感染史。结果显示,正常皮肤组织中很少有淋巴细胞浸润,慢性肢体淋巴水肿患者真皮组织中可见明显的细胞浸润,以淋巴细胞及单核细胞为主。淋巴细胞分类检查发现主要为T淋巴细胞,B淋巴细胞极为少见。浸润细胞特点为围绕真皮组织中小血管、毛细血管周围成簇状分布为主,少部分散在分布于真皮组织中。巨噬细胞则较少有簇状分布的特点,较均匀的分布于真皮组织中。T淋巴细胞及CD4+T、CD8+T细胞亚型检测显示,合并“流火”感染者全T细胞及CD4+T和CD8+T淋巴细胞浸润程度较无“流火”感染者为严重,两者相比具有显著性差异(表4)。16例患者经微波烘疗后真皮组织中全T细胞及CD4+T细胞和CD8+T细胞浸润明显减轻,巨噬细胞烘疗后较烘疗前数量增加,阳性表达加深,上述改变经统计学处理有非常显著性差异(P<0.01)。 表4 烘疗前感染组与无感染组局部浸润细胞比较(x±s)
, 百拇医药
Tab. 4 Comparison of skin infiltration cells in chronic lymphedema patients with or without bacteria infections (x±s)
组别
Groups
UCHL-1
CD4+
CD8+
KP-1
感染组
Infectious
, 百拇医药 53.0± 9.5
29.5±7.3
26.5±10.6
15.0±1.9
非感染组
Non-infectious
31.8±17.1
19.1±9.1
16.8± 7.4
13.9±2.5
P值
<0.01
, http://www.100md.com
<0.01
<0.01
>0.05
3 讨论
近年来的一系列研究表明,免疫系统与慢性肢体淋巴水肿的发生及发展过程密切相关,慢性肢体淋巴水肿时,有全身性的细胞、体液免疫改变。Lal等[1、2]发现,在慢性丝虫性淋巴水肿患者外周血中,活化的T抑制/杀伤细胞(CD8+HLA-DR+)及可溶性CD8分子有显著的提高,提示慢性丝虫性肢体淋巴水肿时有T细胞比例的失衡,细胞免疫功能的紊乱。干季良等[3]应用流式细胞仪测定比较正常人和慢性肢体淋巴水肿患者外周血各淋巴细胞比例,发现淋巴水肿患者具有T辅助/诱导淋巴细胞(Th/Ti)降低、CD4+/CD8+降低及HLA-DR+比例上升。慢性肢体淋巴水肿时CD4+/CD8+比率降低及HLA-DR+细胞的显著增多,提示机体免疫相关细胞比例的失衡及免疫识别的紊乱状态存在着细胞免疫的紊乱。经微波烘疗后,CD4+T细胞、CD4+/CD8+上升,HLA-DR+和活化的T抑制/杀伤细胞(CD8+HLA-DR+)明显下降,证明微波烘疗能改善、纠正这种免疫紊乱。我们在此基础上进一步研究各型淋巴水肿患者外周血淋巴细胞表型的变化特点,证实了淋巴水肿患者中存在的CD4+T淋巴细胞降低、CD4+/CD8+比例下降的特点,并且乳癌术后组尚有CD3+全T细胞的降低,这可能与肿瘤术后进行过放疗等有关,而感染组中具有免疫抑制功能的CD8+T细胞数的升高,提示慢性肢体淋巴水肿患者可能存在机体的免疫抑制状态,这与易并发“流火”等相一致。烘疗后与烘疗前相比,CD4+T细胞及CD4+/CD8+比例上升并恢复正常,意味着机体免疫、调节功能的增强,与微波的免疫增强作用有关[5]。另外,我们的研究结果发现, 与体液免疫有关的B淋巴细胞数变化不大,但由于未做相应的免疫球蛋白分析,淋巴水肿患者行微波烘疗对体液免疫的作用尚需进一步研究阐明。慢性肢体淋巴水肿的另一显著特点是局部组织液-淋巴液的淤滞和皮肤慢性炎性反应,局部高蛋白水肿液的刺激可引发特异或非特异的免疫反应。正常情况下,皮肤及皮下组织中仅有数量很少的淋巴细胞存在,这些少部分存在的淋巴细胞在于捕获、识别外周组织中的特异性抗原以行使免疫监视功能,通过淋巴细胞再循环途径,相应的免疫细胞激活及克隆增殖,从而发挥特异的免疫反应[6、7]。肢体慢性淋巴水肿组织切片除可见表皮增厚、真皮内“淋巴湖”形成、丰富的成纤维细胞、稠密的胶原纤维束改变外,另一显著的特点是真皮内小血管、毛细血管周围可见丰富的淋巴细胞、单核细胞浸润[4、8、9],这种情况尤以丝虫性淋巴水肿患者为明显[4、9]。Freedman等[4]报道,在73%的丝虫性淋巴水肿患者(clinical pathology,CP)及55%的无症状携带者(microfalaremia,MF)中有异常的CD3+T淋巴细胞浸润,浸润程度以CP为重,MF则较轻。进一步行T淋巴细胞分类显示CP以CD8+T细胞为主,占计数细胞的62%,而MF则以CD4+T细胞为主,CD8+T细胞仅占30%[4、9]。这种炎性反应的开始反映了由寄生虫抗原触发的免疫反应,临床上丝虫性淋巴水肿患者皮肤改变程度常较非丝虫性淋巴水肿为重,这可能与丝虫性淋巴水肿患肢局部组织CD8+T、CD4+T淋巴细胞浸润重相关[4]。本组16例共19个肢体进行了皮肤活组织检查,其中仅有1例有丝虫感染史,8例11个肢体感染型淋巴水肿患者真皮组织的全T细胞、CD4+T、CD8+T淋巴细胞均较非感染型为重,说明细菌感染在淋巴水肿的发生、发展过程中亦起到了十分重要的作用。而应用抗生素等预防感染的反复发作则有助于延缓病程的进展[10]。在其他无感染的8例中,虽然淋巴细胞浸润程度较轻,但与正常组织相比,仍有较明显的真皮小血管、毛细血管周围T淋巴细胞浸润,这可能与细菌感染处于亚临床状态有关,虽然没有明显的临床感染表现,但局部组织液-淋巴液培养常可呈阳性[11],因此在非丝虫性淋巴水肿患者中微波烘疗可能的作用机制是通过其热效应,促进局部血液循环的改善,清除细菌等抗原异物,减轻局部组织的细胞浸润,打断了细胞浸润→细胞因子分泌→损伤→再浸润这个恶性循环,从而达到治疗作用的目的。
, 百拇医药
作者单位:曹卫刚(上海第二医科大学附属第九人民医院整复外科,上海,200011)
张涤生(上海第二医科大学附属第九人民医院整复外科,上海,200011)
干季良(上海第二医科大学附属第九人民医院整复外科,上海,200011)
参考文献:
[1]Lal RB,Kumaraswami V,Krishanan W,et al.Lymphocyte subpopulations in Bancroftian filariasis:Activated(DR+)CD8+T cells in patients with chronic lymphatic obstruction.Clin Exp Immunol,1989;77(1):77
, 百拇医药
[2]Lal RB,Ramzy RM,Gad AA.Elevated levels of soluble CD8 molecule in patients with lymphatic filariasis.Immunol Lett,1990;26(1):85
[3]干季良,蔡仁祥,关文祥,等.微波热调节肢体慢性淋巴水肿免疫紊乱的实验研究.中国修复重建外科杂志,1995;9(2):88
[4]Freedman DO,Horn TD,Silva CME,et al.Predominant CD8 infiltrate in limb biopsies of individuals with filarial lymphedema and elephantiasis.Am J Trop Med Hyg,1995;53(6):633
[5]缪鸿石.实用光疗与电疗.北京:人民卫生出版社,1987:297~299
, 百拇医药
[6]陆得源.现代免疫学.上海:社会科学技术出版社,1995:20~48
[7]王云祥.实用淋巴系统解剖学.北京:人民卫生出版社,1982:48~50
[8]刘宁飞,Olszewski WL,张涤生.局部高温对下肢淋巴水肿皮肤的影响.修复重建外科杂志,1991;5(4):195
[9]Olszewski WL,Jamall S,Morakaran G,et al.Skin changes in filarial and non-filarial lymphedema of the lower extremities.Trop Med Parasitol,1993;44(1):40
[10]Olszewski WL.Episodic dermatolymphagioadenitis(DLA)in patients with lymphedema of the lower extremities before and after administration of benzathine penicillin:A preliminary study.Lymphology,1996;29(3):126
[11]Olszewski WL,Jamal S,Manokaran G,et al. Bacteriologic studies of skin,tissue fluid,lymph,and lymph nodes in patients with filarial lymphedema.Am J Trop Med Hyg,1997;57(1):7, 百拇医药