右腿坐骨神经恶性颗粒细胞瘤一例报告
作者:陈飚 赵春和 叶学正 李进
单位:陈飚 赵春和(400030重庆市肿瘤医院骨肿瘤科);叶学正 李进(病理科)
关键词:
中华骨科杂志001020 患者女,57岁。以右腿中下段肿物2个月余入院。查体:右腿中下段后侧可扪及一15cm×10cm×8cm质地中等、固定、边界不清、浅静脉怒张、压痛的包块;右膝关节伸、屈功能受限;右小腿肌肉萎缩。右腿X线片示软组织肿块待查,胸部X线片无异常。MRI显示右腿大收肌处有一约13.4cm×9.1cm×8.8cm肿块,其外似有一包膜,边界清楚,周围肌肉(股二头肌、股薄肌等)被推挤移位,肿块与股深动、静脉间界线清晰。细胞学检查:右腿肿块可穿刺出粘液样血性液体,内见部分中性粒细胞,极少(2个)异型细胞,不除外恶性。初步诊断为:右腿横纹肌肉瘤。手术见右腿后方半腱肌、半膜肌及股二头肌深面与长收肌、大收肌之间有一约15cm×10cm×8cm肿物,有完整包膜且与坐骨神经紧密粘连并将其推移至外侧,予以切除。
, 百拇医药
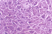
病理检查:肉眼可见肿物约15cm×9cm×8cm,表面呈结节状,有包膜,切面部分可见质地中等灰白色组织和鱼肉样组织相间。镜下可见肿瘤细胞成片排列,呈类圆形及多边形,胞浆丰富,含有明显嗜酸性颗粒,少数胞质内有空泡。部分区域细胞显著异型,核大,核染色质颗粒粗,核分裂相易见,并见灶性坏死。除类圆形及多边形细胞外,肿瘤一侧有梭形纤维细胞成束状排列。肿瘤边界不清,呈浸润生长。PAS染色见肿瘤细胞胞浆内有红染糖原物质(图1)。
电镜检查:肿瘤细胞成团块状排列,核大,核形不规则,核仁明显而大,胞浆内充满大小不等的膜包被复合性溶酶体。
免疫组织化学染色:部分瘤细胞S-100蛋白阳性(图2);少数瘤细胞Lysozyme阳性,Actin呈阴性。病理诊断:右腿恶性颗粒细胞瘤。
图1短梭形及上皮样两型颗粒细胞PAS×200
, 百拇医药
图2部分肿瘤细胞显示S-100蛋白阳性SP免疫组织化学法×200
术后局部放疗1个疗程后,再以CHOP方案化疗1个疗程。随访10个月后肿瘤局部复发,因经济困难放弃治疗。
讨论恶性颗粒细胞瘤(malignantgranular cell tumor,MGCT)十分罕见,可能来源于神经鞘雪旺细胞。身体任何部位均可发生,最常见于四肢浅表软组织及舌。此肿瘤高度恶性,通常转移至肺及肝脏。由于MGCT缺乏特异性临床表现,直到术后病理报告才确诊,说明MGCT的确诊依赖于病理检查。临床恶性、组织学良性型MGCT组织形态与良性十分相似,一些已发生转移的MGCT,即使回顾观察其形态改变也难以与良性相区别,但以下几点能提示恶性诊断[1]:(1)肿瘤直径超过4cm;(2)核分裂相超过2个/10HPF;(3)核呈空泡状并有明显的核仁;(4)出现梭形细胞;(5)有肿瘤性坏死。MGCT免疫组织化学表型和超微结构与良性相似。MGCT组织形态还需与腺泡状横纹肌肉瘤相鉴别,后者肿瘤细胞中有时可见纵行的肌原纤维或横纹,细胞核内不见明显核仁,其免疫组织化学染色显示肌动蛋白和肌球蛋白阳性。
, 百拇医药
MGCT病因不明,对放疗和化疗均不敏感。首选治疗方案:当怀疑本病时应做病理检查,明确诊断后,尽早广泛切除原发病灶和相应引流区域的淋巴结。Khansur等[2]认为术后放疗及合理的全身化疗可降低复发率、缓解症状、延长MGCT患者的生命。本病例通过术后放疗、化疗,随访10个月后局部复发。徐朝斌等[3]报告1例经综合治疗,患者已生存8年。总之,早期发现、早期诊断、早期综合治疗是获得满意疗效的关键。
(本文电镜检查由西南政法大学司法鉴定中心电镜室提供,特此致谢)
参考文献
1,王坚,盛伟琪,朱雄曾,等.恶性颗粒细胞瘤临床病理、免疫组化和超微结构观察.临床与实验病理学杂志,1998,14:120-122.
2,Khansur T, Balducci L, Tavassoli M. Granular cell tumor: clinical spectrum of the benign and malignant entity. Cancer, 1987,60:220- 222.
3,徐朝斌,许海莺.跟腱恶性颗粒细胞瘤1例.中国肿瘤临床,1998,25:408.
(收稿日期:2000-02-08), 百拇医药
单位:陈飚 赵春和(400030重庆市肿瘤医院骨肿瘤科);叶学正 李进(病理科)
关键词:
中华骨科杂志001020 患者女,57岁。以右腿中下段肿物2个月余入院。查体:右腿中下段后侧可扪及一15cm×10cm×8cm质地中等、固定、边界不清、浅静脉怒张、压痛的包块;右膝关节伸、屈功能受限;右小腿肌肉萎缩。右腿X线片示软组织肿块待查,胸部X线片无异常。MRI显示右腿大收肌处有一约13.4cm×9.1cm×8.8cm肿块,其外似有一包膜,边界清楚,周围肌肉(股二头肌、股薄肌等)被推挤移位,肿块与股深动、静脉间界线清晰。细胞学检查:右腿肿块可穿刺出粘液样血性液体,内见部分中性粒细胞,极少(2个)异型细胞,不除外恶性。初步诊断为:右腿横纹肌肉瘤。手术见右腿后方半腱肌、半膜肌及股二头肌深面与长收肌、大收肌之间有一约15cm×10cm×8cm肿物,有完整包膜且与坐骨神经紧密粘连并将其推移至外侧,予以切除。
, 百拇医药
病理检查:肉眼可见肿物约15cm×9cm×8cm,表面呈结节状,有包膜,切面部分可见质地中等灰白色组织和鱼肉样组织相间。镜下可见肿瘤细胞成片排列,呈类圆形及多边形,胞浆丰富,含有明显嗜酸性颗粒,少数胞质内有空泡。部分区域细胞显著异型,核大,核染色质颗粒粗,核分裂相易见,并见灶性坏死。除类圆形及多边形细胞外,肿瘤一侧有梭形纤维细胞成束状排列。肿瘤边界不清,呈浸润生长。PAS染色见肿瘤细胞胞浆内有红染糖原物质(图1)。
电镜检查:肿瘤细胞成团块状排列,核大,核形不规则,核仁明显而大,胞浆内充满大小不等的膜包被复合性溶酶体。
免疫组织化学染色:部分瘤细胞S-100蛋白阳性(图2);少数瘤细胞Lysozyme阳性,Actin呈阴性。病理诊断:右腿恶性颗粒细胞瘤。
图1短梭形及上皮样两型颗粒细胞PAS×200
, 百拇医药
图2部分肿瘤细胞显示S-100蛋白阳性SP免疫组织化学法×200
术后局部放疗1个疗程后,再以CHOP方案化疗1个疗程。随访10个月后肿瘤局部复发,因经济困难放弃治疗。
讨论恶性颗粒细胞瘤(malignantgranular cell tumor,MGCT)十分罕见,可能来源于神经鞘雪旺细胞。身体任何部位均可发生,最常见于四肢浅表软组织及舌。此肿瘤高度恶性,通常转移至肺及肝脏。由于MGCT缺乏特异性临床表现,直到术后病理报告才确诊,说明MGCT的确诊依赖于病理检查。临床恶性、组织学良性型MGCT组织形态与良性十分相似,一些已发生转移的MGCT,即使回顾观察其形态改变也难以与良性相区别,但以下几点能提示恶性诊断[1]:(1)肿瘤直径超过4cm;(2)核分裂相超过2个/10HPF;(3)核呈空泡状并有明显的核仁;(4)出现梭形细胞;(5)有肿瘤性坏死。MGCT免疫组织化学表型和超微结构与良性相似。MGCT组织形态还需与腺泡状横纹肌肉瘤相鉴别,后者肿瘤细胞中有时可见纵行的肌原纤维或横纹,细胞核内不见明显核仁,其免疫组织化学染色显示肌动蛋白和肌球蛋白阳性。
, 百拇医药
MGCT病因不明,对放疗和化疗均不敏感。首选治疗方案:当怀疑本病时应做病理检查,明确诊断后,尽早广泛切除原发病灶和相应引流区域的淋巴结。Khansur等[2]认为术后放疗及合理的全身化疗可降低复发率、缓解症状、延长MGCT患者的生命。本病例通过术后放疗、化疗,随访10个月后局部复发。徐朝斌等[3]报告1例经综合治疗,患者已生存8年。总之,早期发现、早期诊断、早期综合治疗是获得满意疗效的关键。
(本文电镜检查由西南政法大学司法鉴定中心电镜室提供,特此致谢)
参考文献
1,王坚,盛伟琪,朱雄曾,等.恶性颗粒细胞瘤临床病理、免疫组化和超微结构观察.临床与实验病理学杂志,1998,14:120-122.
2,Khansur T, Balducci L, Tavassoli M. Granular cell tumor: clinical spectrum of the benign and malignant entity. Cancer, 1987,60:220- 222.
3,徐朝斌,许海莺.跟腱恶性颗粒细胞瘤1例.中国肿瘤临床,1998,25:408.
(收稿日期:2000-02-08), 百拇医药