急性肺损伤小鼠核转录因子-kB表达意义
急性肺损伤小鼠核转录因子-kB表达意义
张艰 李焕章 戚好文 黄文晋 陈镔复 晏培松
摘 要:目的 研究NF-kB在脂多糖诱发的急性肺损伤中的动态表达,证实NF-kB参予炎症反应中的信号转导过程. 方法 纯种雄性昆明小鼠36只随机分6组,正常对照及不同时点致病组,致病组腹腔注射脂多糖形成急性肺损伤模型,采用Western-blot法检测正常鼠及致病鼠肺组织中NF-kB的总蛋白含量,进行统计学处理(n≥3). 结果 脂多糖致病鼠肺组织中的NF-kB的含量比正常鼠的NF-kB的含量增高(P<0.01),脂多糖致伤后3 h,NF-kB的含量最高,其前及其后均呈动态递减的趋势(P<0.01). 结论 信号转导分子NF-kB参予了脂多糖所致急性肺损伤的炎症反应.
, 百拇医药
关键词:急性肺损伤;脂多糖;核因子-kB
0 引言
急性肺损伤是由感染等多种因素引起的以中性粒细胞浸润为主的肺组织的炎症反应,伴有IL -8,IL-6,TNF等细胞因子和ICAM-1,VCAM-1等粘附分子的过度表达,多种炎性介质的产生和肺组织的广泛损害,可引发急性呼吸窘迫综合证(ARDS)和多脏器功能障碍综合证(MODS). 近年研究表明,核因子-kB(NF-kB)与炎症反应密切相关,多种炎症介质基因的启动子和增强子中存在一个或多个kB序列,如IL-8,IL-6,TNF-1和VCAM-1,ICAM-1,活化的NF-kB可单独或与其他转录因子协同参予上述介质基因的诱导表达[1-4]. 研究发现NF-kB的主要成分是RelA (p65). 用Western-blot法对36只昆明小鼠的内毒素所致急性肺损伤炎症模型中NF-kB(p65)进行检测,探讨其发病机制.
, 百拇医药
1 材料和方法
1.1 材料 脂多糖(LPS,O127:B8)购自Sigma公司,昆明小鼠购自我校实验动物中心,NF-kB p65购自Santa cruz公司,BM chemiluminescence western blotting kit, mouse or rabbit 购自Boehringer Mannheim公司,显影剂,定影剂均为Kodak公司产品,灰度测定仪为美国凝胶成像及分析系统(UVP GDS 8000)凝胶成像机. 急性肺损伤炎症模型建立:健康的纯种昆明小鼠36只,均为雄性,体质量(20±1.6) g,8 wk龄. 随机分为6组,每组6只设正常对 照组,致病1~5组,即同一时间点ip LPS(6 mg.kg-1),于注射后1~5 d每小时点处死小鼠1只,取肺组织进行观察. 小鼠断头处死,取新鲜肺组织行免疫印迹法检测NF-kB p65的含量,余肺组织作常规石蜡切片,切片厚度为4 μm,行HE染色镜下观察形态学改变.
, 百拇医药
1.2 方法 免疫印迹(Western blotting)分析NF-kB蛋白的表达. 称取不同组及不同时间点的肺组织1.0 g,每克组织加入10 mL匀浆缓冲液,匀浆后置于冰浴中20 min,13 000 r.min-1离心20 min,取上清液加入等体积的2×SDS-PAGE样品缓冲液,沸水煮5 min,进行80 g.L-1 SDS-PAGE蛋白电泳,每个样品上样量一致. 其后转移至PVDF膜,用TBS洗膜2次,每次5 min. 按BM chemilurninescence western blotting kit步骤,入10 g.L-1封闭液,1 h后入一抗(NF-kB 1∶1000稀释于5 g.L-1封闭液),4℃过夜,TBS-Tween 20洗膜2次,每次10 min, 5 g.L-1封闭液洗2次,每次10 min,二抗POD-Labeled按40 U.L-1入5 g.L-1封闭液,摇床上摇45 min, TBS-Tween 20(TBST)洗4 次,每次15 min,最后进行化学发光反应,将PVDM膜放入按100∶1配制的AB发光液中1 min,快速移至暗室,曝光时间15 s,显影时间1 min. 用水冲洗X光片30 min,晾干后,用美国UVP GDS 8000凝胶成像机测灰度.
, 百拇医药
统计学处理:完全随机设计方差分析,运用Splm统计学软件处理.
2 结果
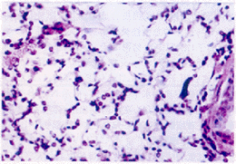
对照组小鼠肺组织小叶结构清晰,肺泡腔清净,肺泡间质无炎性浸润,纤维结缔组织无增生,肺泡壁无增厚,支气管粘膜上皮完整,气管壁无炎症细胞渗出. 致病组肺泡壁明显增宽,有大量的嗜中性粒细胞浸润,可见较多的吞噬细胞,肺泡腔内也可见吞噬细胞,肺呈现急性炎症表现,但随着致伤时间的延长,嗜中性粒细胞逐渐减少,肺泡腔中单核巨噬细胞渐增多,炎症反应随着给药时间的延长而减轻. 病理形态证实急性肺损伤炎症模型建立成功(Fig 1).
图 1 致病组肺组织HE染色
Fig 1 Lung tissue after LPS ip HE ×400
, 百拇医药
Westernblot法检测的NF-kB电泳图(Fig 2)表明致病组肺组织中的NF-kB的含量较正常对照组高,正常对照组及不同时间点致伤组肺组织中的NF-kB经任意两组间最小显著差数法两两比较均有显著差异(P<0.01,Tab 1),可半定量显示LPS致伤后NF-kB活性增高,且于LPS致伤后3 h达高峰,在此之前及之后均呈递减趋势,表明NF-kB活性随LPS注射时间的延长呈一动态变化过程.
图 2 Westernblot 检测的NF-kB电泳图
Fig 2 NF-kB electrophoretogram by Western blot
C: Normal control,1-5: NF-kB of different time point after LPS ip
, 百拇医药
表 1 不同组NF-kB灰度值比较
Tab 1 Gray scale of NF-kB in different groups (n=6,X±s)
LPS
Gray scale(×103)
Normal
14.40±0.06
1 h
15.12±0.06
2 h
16.99±0.05
, 百拇医药 3 h
17.66±0.07
4 h
15.73±0.05
5 h
15.55±0.05
3 讨论
NF-kB是参与炎症反应的一个重要信号转导分子,多为RelA(p65)和NF-kB1(p50)的异源二聚体. NF-kB通常与抑制蛋白I-kBα结合成无活性的形式存在于胞质中,当其受氧化剂、细菌、毒素、前炎症细胞因子(如TNF-α,IL-1)的刺激后被激活,经历快速和大量的磷酸化后被非特异性蛋白酶水解,从而使Rel蛋白的核定位信号暴露,导致NF-kB快速移至核内,结合在被诱导基因启动子序列上与之相同的kB位点,致转录增加,蛋白质合成增加. 国外研究表明NF-kB与肺部的急慢性炎症密切相关. NF-kB参与许多因子(细胞因子,粘附因子,生长因子等)基因的转录调控,与免疫反应,炎症,癌形成有着密切的关系,而这些因子(TNF-α,GM-CSF,ICAM-1,PDGF)在许多疾病中表达水平明显增高,提示NF-kB在疾病发病机制中的作用. 在肺部疾患中,哮喘,肺损伤等均存在着细胞因子网络失衡. 急性肺损伤中IL-8,IL-6,IL-1等细胞因子和ICAM-1,VCAM-1等粘附分子的过度表达是一重要特征;哮喘中参与炎症反应的淋巴细胞,嗜酸粒细胞,肥大细胞及肺泡巨噬细胞、气道上皮细胞均分泌大量的细胞因子,因此研究NF-kB与肺损伤有着重要意义. Barnes等[5]研究发现哮喘患者肺中NF-kB激活增加,免疫细胞化学发现NF-kB主要定位于上皮细胞及巨噬细胞. 哮喘小鼠模型的血液淋巴细胞NF-kB的激活水平明显高于对照组. 应用蛋白酶抑制剂可减轻其激活水平,因此NF-kB可能是通过促进炎症蛋白的表达而对哮喘起作用. Blackwell 等[6]在动物实验中发现NF-kB与CINC(细胞因子诱导的中性粒细胞趋化因子)密切相关,而CINC与人IL-8结构,功能极为相似,IL-8参与炎症反应的重要性已被公认. Lentsch 等[7]研究表明IgG免疫复合物诱导的急性肺炎症中,NF-kB在肺吞噬细胞及全肺中均被激活. Lentsch等[8]同时发现IgG免疫复合物诱导的大鼠急性肺损伤模型中,NF-kB的激活需要TNF-α,IL-1β的参与,非中性粒细胞来源的氧化物也似乎参与了NF-kB的激活,通过阻断TNF-α,IL-1β,及使用抗氧化剂NAC(N-乙酰半胱氨酸)可减少NF-kB的表达. 因此,NF-kB在肺部众多疾病发病中的重要性已被确认.
, 百拇医药
我们用LPS诱导的小鼠急性肺损伤炎症模型观察到NF-kB激活及时间依赖性,证实了LPS致伤刺激后,肺组织NF-kB较正常表达增强(P<0.01),从胞质激活转位至胞核,从而激活相关炎症蛋白的表达. 同时发现NF-kB的激活有时间依赖性,Western blot半定量检测表明随着LPS的刺激时间的推移,NF-kB的激活呈由弱转强,又转弱的趋势,并于LPS致伤后3 h达高峰(P<0.01),NF-kB的激活呈动态变化. 本实验研究结果为进一步深入研究NF-kB在LPS诱导急性肺损伤所致炎症作用机制奠定基础,也为临床防治提供新思路.
作者简介:张艰(1970-),女(汉族),山西省太原市人. 硕士(导师李焕章),发表论文1篇. Tel.(029)3375568
张艰(第四军医大学 西京医院呼吸内科)
李焕章(第四军医大学 西京医院呼吸内科)
, 百拇医药
戚好文(第四军医大学 西京医院呼吸内科)
黄文晋(全军神经科学研究所)
陈镔复(全军神经科学研究所)
晏培松(基础部病理学教研室, 陕西 西安 710033)
参考文献:
[1] Collart MA, Baeuerle P, Vassali P. Regulation of tumor necrosis factor alpha transcription in macrophages: involvement of four kappa B-like motifs and of constitutive and inducible formes of NF-kappa B[J]. Mol Cell Biol,1990;10(4):1498-1506.
, http://www.100md.com
[2] Hiscott J, Marois J,Garoufalis J et al. Characterization of a functional NF-kappa B site in the human interleukin L beta promoter:Evidence for a positive autoregulatory loop[J]. Mol Cell Biol,1993;13(10):6231-6240.
[3] Konishi K, Tanaka Y, Yamamoto K et al. Structure of the gene encoding rat eutrophil chemoattractant[J]. Gene,1993; 126(2):285-286.
[4] Collins T, Read MA, Neish MZ et al. Transcriptional regulation of endothelical cell adhesion molecules: NF-kappa B and cytokin-inducible enhancers[J]. FASEB J,1995;9(10):899-909.
, 百拇医药
[5] Barnes PJ, Adcock IM.NF-kappa B. A pivotal role in asthma and a new target for therapy[J]. Trends Pharmacol Sci,1997; 18(2):46-50.
[6] Blackwell TS, Blackwell TR, Holden EP et al. In vivo antioxidant treatment suppresses nuclear factor-kB activation and neutrophilic lung inflammation[J]. Immunology, 1996;157(4):1630-1637.
[7] Lentsch AB, Shanley TP, Sarma V et al. In vivo suppression of NF-kB and preseroat ion of IkB2 by interleukin-10 and interleukin-13[J]. J Clin Invest,1997;100(10):2443-2448.
[8] Lentsch AB,Boris I, Nicolas M et al. NF-kB activation during IgG immune complex-induced lung injury[J]. Am J Pathol,1998;152(5):1327-1336., 百拇医药
张艰 李焕章 戚好文 黄文晋 陈镔复 晏培松
摘 要:目的 研究NF-kB在脂多糖诱发的急性肺损伤中的动态表达,证实NF-kB参予炎症反应中的信号转导过程. 方法 纯种雄性昆明小鼠36只随机分6组,正常对照及不同时点致病组,致病组腹腔注射脂多糖形成急性肺损伤模型,采用Western-blot法检测正常鼠及致病鼠肺组织中NF-kB的总蛋白含量,进行统计学处理(n≥3). 结果 脂多糖致病鼠肺组织中的NF-kB的含量比正常鼠的NF-kB的含量增高(P<0.01),脂多糖致伤后3 h,NF-kB的含量最高,其前及其后均呈动态递减的趋势(P<0.01). 结论 信号转导分子NF-kB参予了脂多糖所致急性肺损伤的炎症反应.
, 百拇医药
关键词:急性肺损伤;脂多糖;核因子-kB
0 引言
急性肺损伤是由感染等多种因素引起的以中性粒细胞浸润为主的肺组织的炎症反应,伴有IL -8,IL-6,TNF等细胞因子和ICAM-1,VCAM-1等粘附分子的过度表达,多种炎性介质的产生和肺组织的广泛损害,可引发急性呼吸窘迫综合证(ARDS)和多脏器功能障碍综合证(MODS). 近年研究表明,核因子-kB(NF-kB)与炎症反应密切相关,多种炎症介质基因的启动子和增强子中存在一个或多个kB序列,如IL-8,IL-6,TNF-1和VCAM-1,ICAM-1,活化的NF-kB可单独或与其他转录因子协同参予上述介质基因的诱导表达[1-4]. 研究发现NF-kB的主要成分是RelA (p65). 用Western-blot法对36只昆明小鼠的内毒素所致急性肺损伤炎症模型中NF-kB(p65)进行检测,探讨其发病机制.
, 百拇医药
1 材料和方法
1.1 材料 脂多糖(LPS,O127:B8)购自Sigma公司,昆明小鼠购自我校实验动物中心,NF-kB p65购自Santa cruz公司,BM chemiluminescence western blotting kit, mouse or rabbit 购自Boehringer Mannheim公司,显影剂,定影剂均为Kodak公司产品,灰度测定仪为美国凝胶成像及分析系统(UVP GDS 8000)凝胶成像机. 急性肺损伤炎症模型建立:健康的纯种昆明小鼠36只,均为雄性,体质量(20±1.6) g,8 wk龄. 随机分为6组,每组6只设正常对 照组,致病1~5组,即同一时间点ip LPS(6 mg.kg-1),于注射后1~5 d每小时点处死小鼠1只,取肺组织进行观察. 小鼠断头处死,取新鲜肺组织行免疫印迹法检测NF-kB p65的含量,余肺组织作常规石蜡切片,切片厚度为4 μm,行HE染色镜下观察形态学改变.
, 百拇医药
1.2 方法 免疫印迹(Western blotting)分析NF-kB蛋白的表达. 称取不同组及不同时间点的肺组织1.0 g,每克组织加入10 mL匀浆缓冲液,匀浆后置于冰浴中20 min,13 000 r.min-1离心20 min,取上清液加入等体积的2×SDS-PAGE样品缓冲液,沸水煮5 min,进行80 g.L-1 SDS-PAGE蛋白电泳,每个样品上样量一致. 其后转移至PVDF膜,用TBS洗膜2次,每次5 min. 按BM chemilurninescence western blotting kit步骤,入10 g.L-1封闭液,1 h后入一抗(NF-kB 1∶1000稀释于5 g.L-1封闭液),4℃过夜,TBS-Tween 20洗膜2次,每次10 min, 5 g.L-1封闭液洗2次,每次10 min,二抗POD-Labeled按40 U.L-1入5 g.L-1封闭液,摇床上摇45 min, TBS-Tween 20(TBST)洗4 次,每次15 min,最后进行化学发光反应,将PVDM膜放入按100∶1配制的AB发光液中1 min,快速移至暗室,曝光时间15 s,显影时间1 min. 用水冲洗X光片30 min,晾干后,用美国UVP GDS 8000凝胶成像机测灰度.
, 百拇医药
统计学处理:完全随机设计方差分析,运用Splm统计学软件处理.
2 结果
对照组小鼠肺组织小叶结构清晰,肺泡腔清净,肺泡间质无炎性浸润,纤维结缔组织无增生,肺泡壁无增厚,支气管粘膜上皮完整,气管壁无炎症细胞渗出. 致病组肺泡壁明显增宽,有大量的嗜中性粒细胞浸润,可见较多的吞噬细胞,肺泡腔内也可见吞噬细胞,肺呈现急性炎症表现,但随着致伤时间的延长,嗜中性粒细胞逐渐减少,肺泡腔中单核巨噬细胞渐增多,炎症反应随着给药时间的延长而减轻. 病理形态证实急性肺损伤炎症模型建立成功(Fig 1).
图 1 致病组肺组织HE染色
Fig 1 Lung tissue after LPS ip HE ×400
, 百拇医药
Westernblot法检测的NF-kB电泳图(Fig 2)表明致病组肺组织中的NF-kB的含量较正常对照组高,正常对照组及不同时间点致伤组肺组织中的NF-kB经任意两组间最小显著差数法两两比较均有显著差异(P<0.01,Tab 1),可半定量显示LPS致伤后NF-kB活性增高,且于LPS致伤后3 h达高峰,在此之前及之后均呈递减趋势,表明NF-kB活性随LPS注射时间的延长呈一动态变化过程.
图 2 Westernblot 检测的NF-kB电泳图
Fig 2 NF-kB electrophoretogram by Western blot
C: Normal control,1-5: NF-kB of different time point after LPS ip
, 百拇医药
表 1 不同组NF-kB灰度值比较
Tab 1 Gray scale of NF-kB in different groups (n=6,X±s)
LPS
Gray scale(×103)
Normal
14.40±0.06
1 h
15.12±0.06
2 h
16.99±0.05
, 百拇医药 3 h
17.66±0.07
4 h
15.73±0.05
5 h
15.55±0.05
3 讨论
NF-kB是参与炎症反应的一个重要信号转导分子,多为RelA(p65)和NF-kB1(p50)的异源二聚体. NF-kB通常与抑制蛋白I-kBα结合成无活性的形式存在于胞质中,当其受氧化剂、细菌、毒素、前炎症细胞因子(如TNF-α,IL-1)的刺激后被激活,经历快速和大量的磷酸化后被非特异性蛋白酶水解,从而使Rel蛋白的核定位信号暴露,导致NF-kB快速移至核内,结合在被诱导基因启动子序列上与之相同的kB位点,致转录增加,蛋白质合成增加. 国外研究表明NF-kB与肺部的急慢性炎症密切相关. NF-kB参与许多因子(细胞因子,粘附因子,生长因子等)基因的转录调控,与免疫反应,炎症,癌形成有着密切的关系,而这些因子(TNF-α,GM-CSF,ICAM-1,PDGF)在许多疾病中表达水平明显增高,提示NF-kB在疾病发病机制中的作用. 在肺部疾患中,哮喘,肺损伤等均存在着细胞因子网络失衡. 急性肺损伤中IL-8,IL-6,IL-1等细胞因子和ICAM-1,VCAM-1等粘附分子的过度表达是一重要特征;哮喘中参与炎症反应的淋巴细胞,嗜酸粒细胞,肥大细胞及肺泡巨噬细胞、气道上皮细胞均分泌大量的细胞因子,因此研究NF-kB与肺损伤有着重要意义. Barnes等[5]研究发现哮喘患者肺中NF-kB激活增加,免疫细胞化学发现NF-kB主要定位于上皮细胞及巨噬细胞. 哮喘小鼠模型的血液淋巴细胞NF-kB的激活水平明显高于对照组. 应用蛋白酶抑制剂可减轻其激活水平,因此NF-kB可能是通过促进炎症蛋白的表达而对哮喘起作用. Blackwell 等[6]在动物实验中发现NF-kB与CINC(细胞因子诱导的中性粒细胞趋化因子)密切相关,而CINC与人IL-8结构,功能极为相似,IL-8参与炎症反应的重要性已被公认. Lentsch 等[7]研究表明IgG免疫复合物诱导的急性肺炎症中,NF-kB在肺吞噬细胞及全肺中均被激活. Lentsch等[8]同时发现IgG免疫复合物诱导的大鼠急性肺损伤模型中,NF-kB的激活需要TNF-α,IL-1β的参与,非中性粒细胞来源的氧化物也似乎参与了NF-kB的激活,通过阻断TNF-α,IL-1β,及使用抗氧化剂NAC(N-乙酰半胱氨酸)可减少NF-kB的表达. 因此,NF-kB在肺部众多疾病发病中的重要性已被确认.
, 百拇医药
我们用LPS诱导的小鼠急性肺损伤炎症模型观察到NF-kB激活及时间依赖性,证实了LPS致伤刺激后,肺组织NF-kB较正常表达增强(P<0.01),从胞质激活转位至胞核,从而激活相关炎症蛋白的表达. 同时发现NF-kB的激活有时间依赖性,Western blot半定量检测表明随着LPS的刺激时间的推移,NF-kB的激活呈由弱转强,又转弱的趋势,并于LPS致伤后3 h达高峰(P<0.01),NF-kB的激活呈动态变化. 本实验研究结果为进一步深入研究NF-kB在LPS诱导急性肺损伤所致炎症作用机制奠定基础,也为临床防治提供新思路.
作者简介:张艰(1970-),女(汉族),山西省太原市人. 硕士(导师李焕章),发表论文1篇. Tel.(029)3375568
张艰(第四军医大学 西京医院呼吸内科)
李焕章(第四军医大学 西京医院呼吸内科)
, 百拇医药
戚好文(第四军医大学 西京医院呼吸内科)
黄文晋(全军神经科学研究所)
陈镔复(全军神经科学研究所)
晏培松(基础部病理学教研室, 陕西 西安 710033)
参考文献:
[1] Collart MA, Baeuerle P, Vassali P. Regulation of tumor necrosis factor alpha transcription in macrophages: involvement of four kappa B-like motifs and of constitutive and inducible formes of NF-kappa B[J]. Mol Cell Biol,1990;10(4):1498-1506.
, http://www.100md.com
[2] Hiscott J, Marois J,Garoufalis J et al. Characterization of a functional NF-kappa B site in the human interleukin L beta promoter:Evidence for a positive autoregulatory loop[J]. Mol Cell Biol,1993;13(10):6231-6240.
[3] Konishi K, Tanaka Y, Yamamoto K et al. Structure of the gene encoding rat eutrophil chemoattractant[J]. Gene,1993; 126(2):285-286.
[4] Collins T, Read MA, Neish MZ et al. Transcriptional regulation of endothelical cell adhesion molecules: NF-kappa B and cytokin-inducible enhancers[J]. FASEB J,1995;9(10):899-909.
, 百拇医药
[5] Barnes PJ, Adcock IM.NF-kappa B. A pivotal role in asthma and a new target for therapy[J]. Trends Pharmacol Sci,1997; 18(2):46-50.
[6] Blackwell TS, Blackwell TR, Holden EP et al. In vivo antioxidant treatment suppresses nuclear factor-kB activation and neutrophilic lung inflammation[J]. Immunology, 1996;157(4):1630-1637.
[7] Lentsch AB, Shanley TP, Sarma V et al. In vivo suppression of NF-kB and preseroat ion of IkB2 by interleukin-10 and interleukin-13[J]. J Clin Invest,1997;100(10):2443-2448.
[8] Lentsch AB,Boris I, Nicolas M et al. NF-kB activation during IgG immune complex-induced lung injury[J]. Am J Pathol,1998;152(5):1327-1336., 百拇医药