热休克蛋白HSP90β在人胃癌组织及耐药细胞系中的表达
热休克蛋白HSP90β在人胃癌组织及耐药细胞系中的表达
刘宪玲 叶苓 王建波 樊代明
摘 要:目的 了解热休克蛋白HSP90β在人胃癌组织及多药耐药细胞系中的表达. 方法 SABC免疫组化法:70例胃癌组织,其中高分化腺癌13例,中分化腺癌32例,低分化腺癌18例,粘液癌7例(包括粘液腺癌和印戒细胞癌). 正常胃粘膜17例,胃炎23例及癌旁组织35例作为对照. 组织切片用正常羊血清封闭后,加入一抗(山羊抗人HSP90β多克隆抗体1∶200),4℃冰箱过夜; 加二抗(生物素化兔抗山羊IgG 1∶200) 37℃ 30 min; 加SABC-过氧化物酶复合物(1∶100);DAB显色. mRNA原位杂交方法:探针变性后, 加至组织块上,37℃杂交48 h;依次用2×SSC,1×SSC,0.5×SSC反复振洗,加碱性磷酸酶标记的抗Dig抗体,NBT/BCIP呈色. 结果 HSP90β主要分布于组织细胞的胞质. 在非癌胃粘膜HSP90β为弱阳性表达. 正常胃粘膜组织、胃炎(浅表性及萎缩性)及癌旁组织HSP90β的阳性表达率分别为11.8 %, 13.0%及11.4%,各组之间无显著差异(P>0.05). 在胃癌组织中HSP90β的表达明显增强, 阳性表达率明显增高,阳性率为30.0%(P<0.05). 其中在高、中、低分化腺癌及粘液腺癌中HSP90β的阳性率分别为15.4%,31.3%,33.3%及42.9%. HSP90β的表达有随组织分化程度降低而增高的趋势. 在多药耐药细胞系SGC7901/VCR中HSP90β的表达明显高于其亲本细胞系SGC7901. 原位杂交结果可见HSP90β杂交阳性信号主要分布于组织细胞的胞质. 结论 胃癌组织中HSP90β的表达显著高于非癌胃粘膜病变;在胃癌组织中,其表达随组织分化程度降低而增高. 在人胃癌耐药细胞系SGC7901/VCR中,其表达显著高于其亲本细胞SGC701.
, http://www.100md.com
关键词:HSP90β;胃肿瘤;多药耐药;免疫组化;原位杂交
0 引言
热休克蛋白90(heat shock protein 90,HSP90)为生物进化过程中一高度保守的胞质蛋白质,约占胞质蛋白的1%~2%. 在较高等的真核生物,HSP90有两种,即α型和β型,两者分别由730和724个氨基酸组成,其同源性为84%. 它们分别由不同的基因编码. HSP90以同源二聚体αα,ββ形式存在于胞质,α型与β型的量大致相等. 在应急状态下合成增加,可有少部分进入细胞核. HSP90α与HSP90β为构成型表达,应激状态下如高温,感染可诱导其生成增加,诱导因素不同,对α及β的诱导有所不同. 相比之下,HSP90α易受热诱导,而HSP90β易受有丝分裂诱导. 近年发现HSP90与肿瘤的关系比较密切. HSP90α可通过调节细胞周期促进细胞增殖,HSP90β能够抑制细胞分化[1,2]. 最近有人报道HSP90与(P-glycoprotein,PGP)的表达有关[ 3]. 我们用免疫组化方法及原位杂交方法研究HSP90β在人胃癌组织、人胃癌细胞系及相应的耐药细胞系中的表达,以探讨HSP90在胃癌发生、发展中的作用,及其HSP90与肿瘤耐药的关系.
, 百拇医药
1 材料和方法
1.1 材料 山羊抗人HSP90β多克隆抗体(美国 Santa Cruz Biotechnology,Inc), 生物素化的兔抗山羊IgG及SABC试剂盒(武汉 Boster Inc), 地高辛DNA标记和检测试剂(德国 Boehringer Mannheim Inc), phHSP90质粒(含人HSP90 cDNA,由Yamamoto Lab提供), 限制性内切酶HindⅢ等(华美生物工程公司),RPMI 1640培养粉,小牛血清. 胃癌组织标本70例取自西京医院病理科1995/1997存档的手术切除标本. 全部标本均经100 mL.L-1福尔马林固定和常规石蜡包埋. 经病理学证实,高分化腺癌13例,中分化腺癌32例,低分化腺癌18例,粘液癌7例(包括粘液腺癌和印戒细胞癌). 以正常胃粘膜、胃炎(取自胃镜标本)及癌旁组织作为对照. 人胃癌细胞系SGC7901及人胃癌多药耐药细胞系SGC7901/VCR由本所提供.
, http://www.100md.com
1.2 方法 常规细胞培养,用2.5 g.L-1胰酶消化SGC7901及SGC7901/VCR细胞,接种于置有载玻片的培养皿中,用含有100 mL.L-1小牛血清的RPMI 1640培养液,在50 mL.L-1 CO2,37℃孵箱中培养. 待细胞贴壁后继续培养24~48 h,0.01 mol.L-1 PBS洗涤,丙酮固定.
1.2.1 SABC免疫组化方法检测HSP90β的表达 石蜡切片常规脱蜡至水(细胞爬片无须脱蜡)3 mL.L-1 H2O2-甲醇封闭内源性过氧化物酶;0.01 mol.L-1 PBS洗涤;滴加正常羊血清封闭;加入一抗(山羊抗人HSP90多克隆抗体1∶200),4℃冰箱过夜;室温下复温1 h;加二抗 (生物素化兔抗山羊IgG 1∶200) 37℃ 30 min;加SABC-过氧化物酶复合物(1∶100);DAB显色,苏木精复染, 常规脱水、透明、封片. 实验中用PBS 及正常羊血清代替一抗作为空白对照. 阳性部分呈棕褐色,依据呈色强弱及阳性细胞数分为阴性和阳性 (-,+,
,
).
, 百拇医药
1.2.2 mRNA原位杂交方法 探针制备参照《分子克隆操作指南》中的碱裂解法提取质粒phHSP90,经聚乙二醇沉淀法纯化后,用HindⅢ消化phHSP90质粒,可获得HSP90 5′端一段约1.4 kb的片段,用作目的探针. 随机引物法标记探针按德国Boehringer Mannheim公司DIG-核酸标记和检测试剂盒操作说明进行. 石蜡切片常规脱蜡至水,0.2 g.L-1 DEPC水浸泡,40 g.L-1多聚甲醛后固定30 min,用含0.3 mol.L-1醋酸胺的梯度乙醇逐级脱水;将用预杂交液稀释的探针100℃沸水加热10 min,-20℃骤冷5 min变性,加至组织块上,上面盖一硅化盖玻片,37℃杂交48 h;依次用2×SSC,1×SSC,0.5×SSC反复振洗,逐级乙醇脱水;20 mL.L-1正常小牛血清封闭;加碱性磷酸酶标记的抗Dig抗体检测;NBT/BCIP呈色;核固红染核,脱水,透明,封片. 用相应的各种正常组织做阴性对照,免去加探针做空白对照. 阳性部分成蓝紫色.
, 百拇医药
统计学方法:采用χ2检验.
2 结果
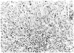
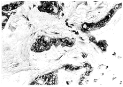
2.1 胃癌组织HSP90β的表达 HSP90β棕褐色阳性信号主要分布于组织细胞的胞质(Fig 1,2). 在非癌胃粘膜组织(正常胃粘膜组织,浅表性胃炎、萎缩性胃炎、不典型增生及癌旁组织)可见到HSP90β的弱阳性信号. 正常胃粘膜组织、胃炎(浅表性及萎缩性)及癌旁组织HSP90β的阳性表达率分别为11.8%, 13.0%及11.4%,各组之间无显著差异(P>0.05). 在胃癌组织中HSP90β的阳性信号明显增强, 阳性表达率明显增高,阳性率为30.0%, 显著高于前3组(P<0.05,Tab 1). 在高分化胃腺癌中HSP90β的阳性率15.4%,中分化腺癌为31.3%,低分化腺癌为33.3%, 粘液腺癌为42.9% (Tab 2). 各组比较有显著差异,χ2检验P<0.05. HSP90β主要分布于胃癌细胞的胞质中(Fig 2). 在分化较高的胃癌组织中,其表达的阳性率较低,阳性信号也较弱. 在分化较低的癌组织, 阳性率较高,阳性信号也较强. 在转移的淋巴结中也可见弱阳性信号.
, http://www.100md.com
表 1 不同胃癌组织HSP90β的表达
Tab 1 HSP90β expression in gastric cancer tissues (n)
Gastric
mucosa
n
Intensity
Positive
rate(%)
-
+

, http://www.100md.com
Normal
17
15
2
0
0
11.8
Gastritis
23
20
2
1
0
, http://www.100md.com 13.0
Para-cancer
35
31
3
1
0
11.4
Cancer
70
49
8
9
, http://www.100md.com 4
30.0
表 2 不同分化程度胃癌组织HSP90β表达
Tab 2 HSP90β expression in gastric cancer tissues
with different differentiation (n)
Histologic
differentiation
n
Intensity
Positive
, http://www.100md.com
rate(%)
-
+

Well
13
11
2
0
0
, 百拇医药
15.4
Moderately
32
22
4
5
1
31.3
Poorly
18
12
1
3
, 百拇医药
2
33.3
Mucous carcinoma
7
4
1
1
1
42.9
图 1 免疫组化法检测HSP90β在人胃炎组织中的表达,HSP90β位于腺上皮细胞质
, http://www.100md.com
Fig 1 HSP90β expression in human gastritis tissues.
HSP90β is localized in the plasma of the glandulous epithelial cells ×200
图 2 免疫组化法检测HSP90β在人胃癌组织中的表达,HSP90β位于癌细胞质
Fig 2 HSP90β expression in human gastric cancer tissues.
HSP90β is localized in the plasma of the cancer cells ×400
, 百拇医药
2.2 SGC7901/VCR中HSP90β的表达 多药耐药细胞SGC7901/VCR及其亲本细胞SGC7901的胞质均可见棕褐色颗粒,在SGC7901/VCR中染色较强,且在核中也可见有少量褐色颗粒. 提示HSP90β在耐药细胞及其亲本细胞中均有表达,但在耐药细胞中的表达更强.
2.3 原位杂交结果 HSP90β杂交阳性信号主要分布于细胞的胞质,呈蓝紫色颗粒. 在正常胃粘膜及慢性胃炎胃腺上皮细胞内有蓝紫色阳性杂交信号(Fig 3). 在胃癌组织HSP90β杂交阳性信号较强(Fig 4). 在耐药细胞中HSP90β杂交阳性信号也明显增强.
图 3 HSP90β mRNA在人胃炎组织中的表达,用HSP90β
, 百拇医药
反义探针进行原位杂交,阳性信号位于胞质
Fig 3 HSP90β mRNA expression in human gastritis tissues.
In situ hybridization for HSP90β with anti-sense probe.
Positive signal is localized in the plasma of the cells ×400
图 4 HSP90β mRNA在人胃癌组织中的表达,用HSP90β
, 百拇医药 反义探针进行原位杂交,阳性信号位于胞质
Fig 4 HSP90β mRNA expression in human gastric
cancer tissues. In situ hybridization for HSP90β
with antisense probe. Positive signal is localized
in the plasma of the cells ×400
3 讨论
热休克蛋白为生物体内普遍存在的蛋白质,在多种因素刺激及诱导下,细胞可合成HSP,以抵御有害物质对组织细胞的损伤. 肿瘤为组织细胞在致癌物质刺激下发生恶性增殖的结果. 对肿瘤发生后HSP是否被诱导及其意义的研究可能为攻克肿瘤提供线索. Jameel等[4]研究了HSP90α在人乳腺癌组织中的表达, 发现所有组织均有HSP90α表达,而恶性乳腺组织HSP90α表达明显增高. 在卵巢癌中也发现HSP90 mRNA表达增加,病情越严重,HSP90 mRNA越高[5]. 最近,在患者子宫内膜中检测了HSP90的表达[6],发现子宫内膜癌中有29%的病例HSP90呈高表达. Yano等[1]最近研究了HSP90在乳腺癌组织的表达及作用,发现HSP90α mRNA在乳腺癌组织的表达明显高于非癌组织,HSP90α mRNA的表达与增殖细胞核抗原标记指数(PCNA LI)密切相关,这表明HSP90α高表达在细胞增殖中具有重要意义. HSP90β mRNA在分化不良的癌组织中表达明显高于分化良好的乳腺癌组织. 即HSP90α可能与肿瘤组织的增殖有关,HSP90β与肿瘤的分化程度有关. 在胰腺癌中,HSP90α呈选择性高表达,细胞中存在大量的HSP90α mRNA;而HSP90β为组成型表达. 在急性白血病细胞中HSP90 mRNA表达水平增高,诱导分化后HSP90表达明显被抑制. 小鼠胚胎肉瘤细胞HSP90α在诱导分化后表达下降,而HSP90β无变化. 在胃癌组织中的表达情况至今尚无报道. 我们研究发现,HSP90β在人正常胃粘膜组织及胃炎均有弱阳性表达,阳性表达率为11.8%及13.0%. 但在胃癌组织中表达增强. 阳性表达率明显增高(30.0%). 在分化不同的组织其表达不同. 在高分化的组织,HSP90β的表达较弱;在低分化的组织,HSP90β的表达较高. HSP90β在高、中、低分化腺癌及粘液细胞癌中的阳性率分别为15.4%, 31.3%, 33.3%及42.9%. HSP90β的表达有随组织细胞分化程度降低而增高的趋势. 也进一步证明HSP90β与肿瘤的关系比较密切. 在癌旁组织可见HSP90β弱表达,阳性表达率为11.4%. 结合前人的研究,肿瘤组织HSP增高可能是一普遍现象. 也提示HSP90β可以作为肿瘤标记物,用于预测肿瘤的预后.
, http://www.100md.com
肿瘤多药耐药是肿瘤细胞对化疗药物的适应性反应,可观察到多种蛋白质的表达和(或)酶活性的改变. 肿瘤细胞通过这些蛋白质的改变保护自身免受抗肿瘤药物的破坏. 1996年Bertram 等[3]研究发现MDR阳性表型细胞系LoVoDxR中HSP90β的表达与其对柔红霉素的耐药有关. 我们发现,在多药耐药的胃癌细胞系SGC7901/VCR,其HSP90β的表达明显高于其亲本细胞SGC7901,且在耐药细胞的核中也有表达. 说明HSP90β参与SGC7901/VCR细胞系的耐药,VCR可能诱导了HSP90β的表达.
基金项目:国家自然科学基金资助课题(39570806);国家杰出青年基金课题(3952020)
作者简介:刘宪玲(1962-),女(汉族),陕西省西安市人. 主治医师,博士. Tel.(029)3375227 Email. isabelliu412@yahoo.com
, 百拇医药
刘宪玲(第四军医大学西京医院 消化病研究所)
叶苓(病理科,陕西 西安 710033)
王建波(病理科,陕西 西安 710033)
樊代明(第四军医大学西京医院 消化病研究所)
参考文献:
[1]Yano M, Naito Z, Tanaka S et al. Expression and roles of heat shock proteins in human breast cancer[J]. Jpn J Cancer Res,1996;87(3):908-915.
[2]Yamada T, Nakamura R, Kido K et al. Function of hsp90 in differentiation and apoptosis of human EC cells[J]. Trans Soc Pathol Jpn, 1995; 84(1):217.
, 百拇医药
[3]Bertram J, Palfner K, Hiddemann W et al. Increase of P-glycoprotein-mediated drug resistance by hsp90 beta[J]. Anticancer Drug,1996;7(2):838-845.
[4]Jameel A, Skilton RA, Campbell TA et al. Clinical and biological significance of HSP90α in human breast cancer[J]. Int J Cancer,1992; 50(2):409-415.
[5]Mileo AM, Fanuele M, Battaglia F et al. Selective overexpression of mRNA coding for 90 kDA stress protein in human ovarian cancer[J]. Anticancer Res, 1990;10(3):903-906.
[6]Nanbu K, Konshi I, Komatsu T et al. Expression of heat shock proteins HSP70 and HSP90 in endometrial carcinomas[J]. Cancer, 1996; 77(1):330-338., http://www.100md.com
刘宪玲 叶苓 王建波 樊代明
摘 要:目的 了解热休克蛋白HSP90β在人胃癌组织及多药耐药细胞系中的表达. 方法 SABC免疫组化法:70例胃癌组织,其中高分化腺癌13例,中分化腺癌32例,低分化腺癌18例,粘液癌7例(包括粘液腺癌和印戒细胞癌). 正常胃粘膜17例,胃炎23例及癌旁组织35例作为对照. 组织切片用正常羊血清封闭后,加入一抗(山羊抗人HSP90β多克隆抗体1∶200),4℃冰箱过夜; 加二抗(生物素化兔抗山羊IgG 1∶200) 37℃ 30 min; 加SABC-过氧化物酶复合物(1∶100);DAB显色. mRNA原位杂交方法:探针变性后, 加至组织块上,37℃杂交48 h;依次用2×SSC,1×SSC,0.5×SSC反复振洗,加碱性磷酸酶标记的抗Dig抗体,NBT/BCIP呈色. 结果 HSP90β主要分布于组织细胞的胞质. 在非癌胃粘膜HSP90β为弱阳性表达. 正常胃粘膜组织、胃炎(浅表性及萎缩性)及癌旁组织HSP90β的阳性表达率分别为11.8 %, 13.0%及11.4%,各组之间无显著差异(P>0.05). 在胃癌组织中HSP90β的表达明显增强, 阳性表达率明显增高,阳性率为30.0%(P<0.05). 其中在高、中、低分化腺癌及粘液腺癌中HSP90β的阳性率分别为15.4%,31.3%,33.3%及42.9%. HSP90β的表达有随组织分化程度降低而增高的趋势. 在多药耐药细胞系SGC7901/VCR中HSP90β的表达明显高于其亲本细胞系SGC7901. 原位杂交结果可见HSP90β杂交阳性信号主要分布于组织细胞的胞质. 结论 胃癌组织中HSP90β的表达显著高于非癌胃粘膜病变;在胃癌组织中,其表达随组织分化程度降低而增高. 在人胃癌耐药细胞系SGC7901/VCR中,其表达显著高于其亲本细胞SGC701.
, http://www.100md.com
关键词:HSP90β;胃肿瘤;多药耐药;免疫组化;原位杂交
0 引言
热休克蛋白90(heat shock protein 90,HSP90)为生物进化过程中一高度保守的胞质蛋白质,约占胞质蛋白的1%~2%. 在较高等的真核生物,HSP90有两种,即α型和β型,两者分别由730和724个氨基酸组成,其同源性为84%. 它们分别由不同的基因编码. HSP90以同源二聚体αα,ββ形式存在于胞质,α型与β型的量大致相等. 在应急状态下合成增加,可有少部分进入细胞核. HSP90α与HSP90β为构成型表达,应激状态下如高温,感染可诱导其生成增加,诱导因素不同,对α及β的诱导有所不同. 相比之下,HSP90α易受热诱导,而HSP90β易受有丝分裂诱导. 近年发现HSP90与肿瘤的关系比较密切. HSP90α可通过调节细胞周期促进细胞增殖,HSP90β能够抑制细胞分化[1,2]. 最近有人报道HSP90与(P-glycoprotein,PGP)的表达有关[ 3]. 我们用免疫组化方法及原位杂交方法研究HSP90β在人胃癌组织、人胃癌细胞系及相应的耐药细胞系中的表达,以探讨HSP90在胃癌发生、发展中的作用,及其HSP90与肿瘤耐药的关系.
, 百拇医药
1 材料和方法
1.1 材料 山羊抗人HSP90β多克隆抗体(美国 Santa Cruz Biotechnology,Inc), 生物素化的兔抗山羊IgG及SABC试剂盒(武汉 Boster Inc), 地高辛DNA标记和检测试剂(德国 Boehringer Mannheim Inc), phHSP90质粒(含人HSP90 cDNA,由Yamamoto Lab提供), 限制性内切酶HindⅢ等(华美生物工程公司),RPMI 1640培养粉,小牛血清. 胃癌组织标本70例取自西京医院病理科1995/1997存档的手术切除标本. 全部标本均经100 mL.L-1福尔马林固定和常规石蜡包埋. 经病理学证实,高分化腺癌13例,中分化腺癌32例,低分化腺癌18例,粘液癌7例(包括粘液腺癌和印戒细胞癌). 以正常胃粘膜、胃炎(取自胃镜标本)及癌旁组织作为对照. 人胃癌细胞系SGC7901及人胃癌多药耐药细胞系SGC7901/VCR由本所提供.
, http://www.100md.com
1.2 方法 常规细胞培养,用2.5 g.L-1胰酶消化SGC7901及SGC7901/VCR细胞,接种于置有载玻片的培养皿中,用含有100 mL.L-1小牛血清的RPMI 1640培养液,在50 mL.L-1 CO2,37℃孵箱中培养. 待细胞贴壁后继续培养24~48 h,0.01 mol.L-1 PBS洗涤,丙酮固定.
1.2.1 SABC免疫组化方法检测HSP90β的表达 石蜡切片常规脱蜡至水(细胞爬片无须脱蜡)3 mL.L-1 H2O2-甲醇封闭内源性过氧化物酶;0.01 mol.L-1 PBS洗涤;滴加正常羊血清封闭;加入一抗(山羊抗人HSP90多克隆抗体1∶200),4℃冰箱过夜;室温下复温1 h;加二抗 (生物素化兔抗山羊IgG 1∶200) 37℃ 30 min;加SABC-过氧化物酶复合物(1∶100);DAB显色,苏木精复染, 常规脱水、透明、封片. 实验中用PBS 及正常羊血清代替一抗作为空白对照. 阳性部分呈棕褐色,依据呈色强弱及阳性细胞数分为阴性和阳性 (-,+,
, 百拇医药
1.2.2 mRNA原位杂交方法 探针制备参照《分子克隆操作指南》中的碱裂解法提取质粒phHSP90,经聚乙二醇沉淀法纯化后,用HindⅢ消化phHSP90质粒,可获得HSP90 5′端一段约1.4 kb的片段,用作目的探针. 随机引物法标记探针按德国Boehringer Mannheim公司DIG-核酸标记和检测试剂盒操作说明进行. 石蜡切片常规脱蜡至水,0.2 g.L-1 DEPC水浸泡,40 g.L-1多聚甲醛后固定30 min,用含0.3 mol.L-1醋酸胺的梯度乙醇逐级脱水;将用预杂交液稀释的探针100℃沸水加热10 min,-20℃骤冷5 min变性,加至组织块上,上面盖一硅化盖玻片,37℃杂交48 h;依次用2×SSC,1×SSC,0.5×SSC反复振洗,逐级乙醇脱水;20 mL.L-1正常小牛血清封闭;加碱性磷酸酶标记的抗Dig抗体检测;NBT/BCIP呈色;核固红染核,脱水,透明,封片. 用相应的各种正常组织做阴性对照,免去加探针做空白对照. 阳性部分成蓝紫色.
, 百拇医药
统计学方法:采用χ2检验.
2 结果
2.1 胃癌组织HSP90β的表达 HSP90β棕褐色阳性信号主要分布于组织细胞的胞质(Fig 1,2). 在非癌胃粘膜组织(正常胃粘膜组织,浅表性胃炎、萎缩性胃炎、不典型增生及癌旁组织)可见到HSP90β的弱阳性信号. 正常胃粘膜组织、胃炎(浅表性及萎缩性)及癌旁组织HSP90β的阳性表达率分别为11.8%, 13.0%及11.4%,各组之间无显著差异(P>0.05). 在胃癌组织中HSP90β的阳性信号明显增强, 阳性表达率明显增高,阳性率为30.0%, 显著高于前3组(P<0.05,Tab 1). 在高分化胃腺癌中HSP90β的阳性率15.4%,中分化腺癌为31.3%,低分化腺癌为33.3%, 粘液腺癌为42.9% (Tab 2). 各组比较有显著差异,χ2检验P<0.05. HSP90β主要分布于胃癌细胞的胞质中(Fig 2). 在分化较高的胃癌组织中,其表达的阳性率较低,阳性信号也较弱. 在分化较低的癌组织, 阳性率较高,阳性信号也较强. 在转移的淋巴结中也可见弱阳性信号.
, http://www.100md.com
表 1 不同胃癌组织HSP90β的表达
Tab 1 HSP90β expression in gastric cancer tissues (n)
Gastric
mucosa
n
Intensity
Positive
rate(%)
-
+
, http://www.100md.com
Normal
17
15
2
0
0
11.8
Gastritis
23
20
2
1
0
, http://www.100md.com 13.0
Para-cancer
35
31
3
1
0
11.4
Cancer
70
49
8
9
, http://www.100md.com 4
30.0
表 2 不同分化程度胃癌组织HSP90β表达
Tab 2 HSP90β expression in gastric cancer tissues
with different differentiation (n)
Histologic
differentiation
n
Intensity
Positive
, http://www.100md.com
rate(%)
-
+
Well
13
11
2
0
0
, 百拇医药
15.4
Moderately
32
22
4
5
1
31.3
Poorly
18
12
1
3
, 百拇医药
2
33.3
Mucous carcinoma
7
4
1
1
1
42.9
图 1 免疫组化法检测HSP90β在人胃炎组织中的表达,HSP90β位于腺上皮细胞质
, http://www.100md.com
Fig 1 HSP90β expression in human gastritis tissues.
HSP90β is localized in the plasma of the glandulous epithelial cells ×200
图 2 免疫组化法检测HSP90β在人胃癌组织中的表达,HSP90β位于癌细胞质
Fig 2 HSP90β expression in human gastric cancer tissues.
HSP90β is localized in the plasma of the cancer cells ×400
, 百拇医药
2.2 SGC7901/VCR中HSP90β的表达 多药耐药细胞SGC7901/VCR及其亲本细胞SGC7901的胞质均可见棕褐色颗粒,在SGC7901/VCR中染色较强,且在核中也可见有少量褐色颗粒. 提示HSP90β在耐药细胞及其亲本细胞中均有表达,但在耐药细胞中的表达更强.
2.3 原位杂交结果 HSP90β杂交阳性信号主要分布于细胞的胞质,呈蓝紫色颗粒. 在正常胃粘膜及慢性胃炎胃腺上皮细胞内有蓝紫色阳性杂交信号(Fig 3). 在胃癌组织HSP90β杂交阳性信号较强(Fig 4). 在耐药细胞中HSP90β杂交阳性信号也明显增强.
图 3 HSP90β mRNA在人胃炎组织中的表达,用HSP90β
, 百拇医药
反义探针进行原位杂交,阳性信号位于胞质
Fig 3 HSP90β mRNA expression in human gastritis tissues.
In situ hybridization for HSP90β with anti-sense probe.
Positive signal is localized in the plasma of the cells ×400
图 4 HSP90β mRNA在人胃癌组织中的表达,用HSP90β
, 百拇医药 反义探针进行原位杂交,阳性信号位于胞质
Fig 4 HSP90β mRNA expression in human gastric
cancer tissues. In situ hybridization for HSP90β
with antisense probe. Positive signal is localized
in the plasma of the cells ×400
3 讨论
热休克蛋白为生物体内普遍存在的蛋白质,在多种因素刺激及诱导下,细胞可合成HSP,以抵御有害物质对组织细胞的损伤. 肿瘤为组织细胞在致癌物质刺激下发生恶性增殖的结果. 对肿瘤发生后HSP是否被诱导及其意义的研究可能为攻克肿瘤提供线索. Jameel等[4]研究了HSP90α在人乳腺癌组织中的表达, 发现所有组织均有HSP90α表达,而恶性乳腺组织HSP90α表达明显增高. 在卵巢癌中也发现HSP90 mRNA表达增加,病情越严重,HSP90 mRNA越高[5]. 最近,在患者子宫内膜中检测了HSP90的表达[6],发现子宫内膜癌中有29%的病例HSP90呈高表达. Yano等[1]最近研究了HSP90在乳腺癌组织的表达及作用,发现HSP90α mRNA在乳腺癌组织的表达明显高于非癌组织,HSP90α mRNA的表达与增殖细胞核抗原标记指数(PCNA LI)密切相关,这表明HSP90α高表达在细胞增殖中具有重要意义. HSP90β mRNA在分化不良的癌组织中表达明显高于分化良好的乳腺癌组织. 即HSP90α可能与肿瘤组织的增殖有关,HSP90β与肿瘤的分化程度有关. 在胰腺癌中,HSP90α呈选择性高表达,细胞中存在大量的HSP90α mRNA;而HSP90β为组成型表达. 在急性白血病细胞中HSP90 mRNA表达水平增高,诱导分化后HSP90表达明显被抑制. 小鼠胚胎肉瘤细胞HSP90α在诱导分化后表达下降,而HSP90β无变化. 在胃癌组织中的表达情况至今尚无报道. 我们研究发现,HSP90β在人正常胃粘膜组织及胃炎均有弱阳性表达,阳性表达率为11.8%及13.0%. 但在胃癌组织中表达增强. 阳性表达率明显增高(30.0%). 在分化不同的组织其表达不同. 在高分化的组织,HSP90β的表达较弱;在低分化的组织,HSP90β的表达较高. HSP90β在高、中、低分化腺癌及粘液细胞癌中的阳性率分别为15.4%, 31.3%, 33.3%及42.9%. HSP90β的表达有随组织细胞分化程度降低而增高的趋势. 也进一步证明HSP90β与肿瘤的关系比较密切. 在癌旁组织可见HSP90β弱表达,阳性表达率为11.4%. 结合前人的研究,肿瘤组织HSP增高可能是一普遍现象. 也提示HSP90β可以作为肿瘤标记物,用于预测肿瘤的预后.
, http://www.100md.com
肿瘤多药耐药是肿瘤细胞对化疗药物的适应性反应,可观察到多种蛋白质的表达和(或)酶活性的改变. 肿瘤细胞通过这些蛋白质的改变保护自身免受抗肿瘤药物的破坏. 1996年Bertram 等[3]研究发现MDR阳性表型细胞系LoVoDxR中HSP90β的表达与其对柔红霉素的耐药有关. 我们发现,在多药耐药的胃癌细胞系SGC7901/VCR,其HSP90β的表达明显高于其亲本细胞SGC7901,且在耐药细胞的核中也有表达. 说明HSP90β参与SGC7901/VCR细胞系的耐药,VCR可能诱导了HSP90β的表达.
基金项目:国家自然科学基金资助课题(39570806);国家杰出青年基金课题(3952020)
作者简介:刘宪玲(1962-),女(汉族),陕西省西安市人. 主治医师,博士. Tel.(029)3375227 Email. isabelliu412@yahoo.com
, 百拇医药
刘宪玲(第四军医大学西京医院 消化病研究所)
叶苓(病理科,陕西 西安 710033)
王建波(病理科,陕西 西安 710033)
樊代明(第四军医大学西京医院 消化病研究所)
参考文献:
[1]Yano M, Naito Z, Tanaka S et al. Expression and roles of heat shock proteins in human breast cancer[J]. Jpn J Cancer Res,1996;87(3):908-915.
[2]Yamada T, Nakamura R, Kido K et al. Function of hsp90 in differentiation and apoptosis of human EC cells[J]. Trans Soc Pathol Jpn, 1995; 84(1):217.
, 百拇医药
[3]Bertram J, Palfner K, Hiddemann W et al. Increase of P-glycoprotein-mediated drug resistance by hsp90 beta[J]. Anticancer Drug,1996;7(2):838-845.
[4]Jameel A, Skilton RA, Campbell TA et al. Clinical and biological significance of HSP90α in human breast cancer[J]. Int J Cancer,1992; 50(2):409-415.
[5]Mileo AM, Fanuele M, Battaglia F et al. Selective overexpression of mRNA coding for 90 kDA stress protein in human ovarian cancer[J]. Anticancer Res, 1990;10(3):903-906.
[6]Nanbu K, Konshi I, Komatsu T et al. Expression of heat shock proteins HSP70 and HSP90 in endometrial carcinomas[J]. Cancer, 1996; 77(1):330-338., http://www.100md.com