组织蛋白酶B在胃癌组织中表达及其意义
组织蛋白酶B在胃癌组织中表达及其意义
吴平平 余红仙 江悦琴 姜叙诚 王瑞年
摘 要 目的:探讨组织蛋白酶B(CB)在胃癌中的表达以及与胃癌浸润的关系。方法:用免疫组织化学SP法对38例胃癌组织中组织蛋白酶B的表达进行检测。结果:CB有较强阳性表达的胃癌在分化型和差分化型之间没有显著差异;进展期癌的表达显著高于早期癌;68.4%的胃癌标本中肿瘤间质的成纤维细胞和血管内皮细胞呈CB阳性反应。结论:CB的表达增高与胃癌的浸润有密切关系,血管内皮细胞表达CB增多可能是促进肿瘤浸润生长的机制之一。
关键词:胃肿瘤;免疫组织化学;组织蛋白酶B
, 百拇医药
癌细胞侵入基底膜的过程包括三个步骤:粘附、蛋白溶解和移动[1]。内源性蛋白溶解酶参与了蛋白溶解的过程。已知组织蛋白酶B(CB)能降解层粘蛋白等细胞外基质成分,有利于肿瘤的浸润[2]。已有研究表明组织蛋白酶B 在肝细胞癌[3]、肺癌、结肠癌[4]等恶性肿瘤中表达增强并与浸润有关。本文用免疫组化方法对各种类型的胃癌标本进行检测,探讨组织蛋白酶B在胃癌中的表达以及与胃癌浸润的关系。
1 材料和方法
1.1 胃癌标本 38例胃癌手术标本为上海第二医科大学病理学教研室存档标本。其中男性25例,平均年龄59岁;女性13例,平均年龄62岁。标本均经10%甲醛溶液固定、石蜡包埋,作5 μm厚的切片。
1.2 分组 每一标本的石蜡切片作常规HE染色,进行组织学分型。按癌的浸润深度分成早期癌和进展期癌组;按分化程度分成分化型癌和差分化型癌组。
, 百拇医药
1.3 免疫组化 采用SP法(链霉素抗生物素蛋白-过氧化物酶连接法):石蜡切片常规脱蜡至水,0.3%H2O2/甲醇液去除内源性过氧化物酶,正常血清封闭,1∶2 000的兔抗人肝组织蛋白酶B(由仁济医院消化所提供)作为一抗,滴加后4℃过夜,次日加羊抗兔的IgG作为二抗,作用60 min,SP30 min,DAB显色,苏木精复染。对照片免去一抗,其它步骤相同。
1.4 免疫组化分析 组织细胞中的组织蛋白酶B阳性反应从两方面分析:一是肿瘤细胞的阳性率,当30%的肿瘤细胞染色阳性为1+, 30%~60%为2+,>60%为3+; 二是染色强度,阴性为0,染色从弱、中到强分别为1+,2+和3+。以上两者相加,大于3+者为有较强的阳性反应[5]。
1.5 统计学处理 采用χ2检验。
2 结 果
, 百拇医药
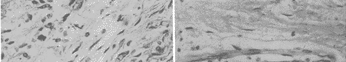
CB阳性表现为细胞质着成棕色,胃癌细胞中这种棕色较深,可呈颗粒状(图1A),或均匀分布于胞质内(图1B),胞核和胞膜均呈阴性。管状腺癌与粘液细胞癌的CB较强阳性表达无明显的区别。紧靠癌旁的胃粘膜染色较深,远离癌旁的较浅,多数呈颗粒状。对照片阴性。(1) 38例人胃癌手术标本,其中早期癌6例,进展期癌32例。经H-E染片观察,分化型癌(包括管状腺癌、乳头状腺癌、粘液腺癌)17例,差分化型癌(主要包括低分化、未分化癌和印戒细胞癌)有21例。分化型癌中CB呈较强表达10例,占58.8%;差分化型癌中8例,占38.1%。两者在统计学上无显著差异。进展期癌中有62.5%(20/32)的病例CB呈较强阳性表达,而在早期癌仅有16.7%(1/6)。进展期癌CB较强阳性表达显著高于早期癌(P<0.01)。(2) 另外,我们还观察到68.4%(26/38例)的胃癌组织间质内部分成纤维细胞和血管内皮细胞呈CB表达阳性,但其染色强度较弱(图2A,B)。癌旁粘膜有68.4%(26/38例)CB表达阳性,但间质内的成纤维细胞和血管内皮细胞很少见到 CB表达阳性。

, 百拇医药
图 1 胃癌细胞内的CB阳性
Fig 1 The positive expression of CB in the cells of
gastric carcinoma.(×400)

图 2 胃癌间质内成纤维细胞(A)和血管内皮细胞(B)的CB表达阳性
Fig 2 The positive expression of CB is shown in fibroblasts (A) and
, 百拇医药
vascular endotheliocy (B) of gastric carcinoma interstitum.(×200)
3 讨 论
胃癌的组织类型较为复杂,往往在同一病例中可有几种类型的成分同时存在,如果把组织类型归为分化型和差分化型两大类,就可将CB的表达与胃癌的分化程度简单地联系起来。Plebani等[6]曾发现差或中等度分化的胃癌中CB的表达比高分化胃癌强,而本实验结果发现CB的表达在胃癌的分化型和差分化型之间没有显著差异。因此CB的表达与胃癌的分化程度之间是否有必然的联系尚待进一步证实。
CB是一种溶酶体内巯基蛋白酶,释放后可进入到细胞外并降解层粘蛋白,在肿瘤突破基底膜过程中起重要作用。肿瘤细胞合成、分泌CB增多有利于降解细胞外基质,促进肿瘤细胞向深部组织浸润。判断早期和进展期胃癌主要根据癌组织的浸润深度。本实验发现进展期胃癌CB的表达显著高于早期癌,因此CB表达的增高提示了胃癌易向深部浸润的倾向。Hirai等在结肠癌中用原位杂交方法发现CB表达信号在A与D期(Duke法)中有两个高峰,说明CB在人结肠癌早期浸润与远处转移中起重要作用。Kusunoki在甲状腺肿瘤中发现包膜有浸润者比没有浸润者CB表达显著增高[7]。以上这些均说明CB的增高与肿瘤浸润有密切关系。Khan等[8]对胃癌组织作了CB表达与肿瘤相关层粘蛋白表达之间相关性研究 ,发现凡CB表达强阳性的胃癌组织中层粘蛋白的分布均呈碎片状,进一步证实CB表达增强可导致层粘蛋白的降解,促进胃癌组织的浸润。 CB在释放前存在于溶酶体内,因此免疫组化中形态呈颗粒状。然而本实验观察到在肿瘤细胞内CB除呈颗粒状外,还呈弥散性,这种现象有人推测可能是肿瘤细胞胞质中存在着特异的CB,或由于肿瘤细胞中信号肽的缺失,使CB不能进入溶酶体而弥散入胞质,从而造成分布的改变。癌旁粘膜中CB表达虽呈阳性,但以颗粒状为主,而且越接近癌组织阳性程度越高。这一现象说明癌旁粘膜对癌的浸润可能也起一定作用。
, 百拇医药
有实验表明肿瘤在浸润性生长时血管生长因子的表达增高,所以浸润时首先有血管形成,然后肿瘤逐渐长大并向周围扩散。这一现象已在胃癌组织中得到了证实[9]。本实验发现在胃癌组织间质中,成纤维细胞和血管内皮细胞CB呈阳性表达,这是否说明内皮细胞中CB的合成和分泌增多,促进基质降解而有利于血管生长呢?这尚需作进一步的研究。
参考文献
[1]Liotta LA.Tumor invasion and metastases:role of extracellular matrix.Rhoads memorial award lecture[J].Cancer Res,1986,46(1):1-7.
[2]Buck MR,Karustis DG,Day NA,et al.Degradation of extracellular-matrix proteins by human cathepsin B from normal and tumoral tissues[J].Biochem J,1992,282(2):273-278.
, 百拇医药
[3]Terada T,Ohta T,Minato H,et al:Expression of pancreatic trypsinogen/trypsin and cathepsin B in human cholangiocarcinoma and hepatocellular carcinomas[J].Hum Pathol,1995,26(7):746-752.
[4]Hirai K,Yokoyama M,Asano G,et al:Expression of cathepsin B and cystatin C in human colorectal cancer[J].Hum Pathol,1999,30(6):680-686.
[5]Strojinik T,Kos J,Zidanik B,et al.Cathepsin B immunohistochemical staining in tumor and endothelial cells is a new prognostic factor for survival in patients with brain tumors[J].Clin.Cancer Res,1999,5(3):559-567.
, http://www.100md.com
[6]Plebani M,Herszyi L,Cardin R,et al.Cystein and serine proteases in gastric cancer[J].Cancer,1995,76(3):367-375.
[7]Kusunoki T,Nishida S,Nakano T,et al.Study on cathepsin B activity in human thyroid tumors[J].Auris Nasus Larynx,1995,22(1):43-48.
[8]Khan A,Krishna M,Baker SP,et al.Cathepsin B expression and its correlation with tumor-associated laminin and tumor progression in gastric cancer[J].Arch pathol Lab Med,1998,122(2):172-177.
[9]陆 敏,江悦琴,王瑞年.VEGF和bFGF与血管生成及胃癌的关系[J].上海第二医科大学学报.1998,18(6):482-485., 百拇医药
吴平平 余红仙 江悦琴 姜叙诚 王瑞年
摘 要 目的:探讨组织蛋白酶B(CB)在胃癌中的表达以及与胃癌浸润的关系。方法:用免疫组织化学SP法对38例胃癌组织中组织蛋白酶B的表达进行检测。结果:CB有较强阳性表达的胃癌在分化型和差分化型之间没有显著差异;进展期癌的表达显著高于早期癌;68.4%的胃癌标本中肿瘤间质的成纤维细胞和血管内皮细胞呈CB阳性反应。结论:CB的表达增高与胃癌的浸润有密切关系,血管内皮细胞表达CB增多可能是促进肿瘤浸润生长的机制之一。
关键词:胃肿瘤;免疫组织化学;组织蛋白酶B
, 百拇医药
癌细胞侵入基底膜的过程包括三个步骤:粘附、蛋白溶解和移动[1]。内源性蛋白溶解酶参与了蛋白溶解的过程。已知组织蛋白酶B(CB)能降解层粘蛋白等细胞外基质成分,有利于肿瘤的浸润[2]。已有研究表明组织蛋白酶B 在肝细胞癌[3]、肺癌、结肠癌[4]等恶性肿瘤中表达增强并与浸润有关。本文用免疫组化方法对各种类型的胃癌标本进行检测,探讨组织蛋白酶B在胃癌中的表达以及与胃癌浸润的关系。
1 材料和方法
1.1 胃癌标本 38例胃癌手术标本为上海第二医科大学病理学教研室存档标本。其中男性25例,平均年龄59岁;女性13例,平均年龄62岁。标本均经10%甲醛溶液固定、石蜡包埋,作5 μm厚的切片。
1.2 分组 每一标本的石蜡切片作常规HE染色,进行组织学分型。按癌的浸润深度分成早期癌和进展期癌组;按分化程度分成分化型癌和差分化型癌组。
, 百拇医药
1.3 免疫组化 采用SP法(链霉素抗生物素蛋白-过氧化物酶连接法):石蜡切片常规脱蜡至水,0.3%H2O2/甲醇液去除内源性过氧化物酶,正常血清封闭,1∶2 000的兔抗人肝组织蛋白酶B(由仁济医院消化所提供)作为一抗,滴加后4℃过夜,次日加羊抗兔的IgG作为二抗,作用60 min,SP30 min,DAB显色,苏木精复染。对照片免去一抗,其它步骤相同。
1.4 免疫组化分析 组织细胞中的组织蛋白酶B阳性反应从两方面分析:一是肿瘤细胞的阳性率,当30%的肿瘤细胞染色阳性为1+, 30%~60%为2+,>60%为3+; 二是染色强度,阴性为0,染色从弱、中到强分别为1+,2+和3+。以上两者相加,大于3+者为有较强的阳性反应[5]。
1.5 统计学处理 采用χ2检验。
2 结 果
, 百拇医药
CB阳性表现为细胞质着成棕色,胃癌细胞中这种棕色较深,可呈颗粒状(图1A),或均匀分布于胞质内(图1B),胞核和胞膜均呈阴性。管状腺癌与粘液细胞癌的CB较强阳性表达无明显的区别。紧靠癌旁的胃粘膜染色较深,远离癌旁的较浅,多数呈颗粒状。对照片阴性。(1) 38例人胃癌手术标本,其中早期癌6例,进展期癌32例。经H-E染片观察,分化型癌(包括管状腺癌、乳头状腺癌、粘液腺癌)17例,差分化型癌(主要包括低分化、未分化癌和印戒细胞癌)有21例。分化型癌中CB呈较强表达10例,占58.8%;差分化型癌中8例,占38.1%。两者在统计学上无显著差异。进展期癌中有62.5%(20/32)的病例CB呈较强阳性表达,而在早期癌仅有16.7%(1/6)。进展期癌CB较强阳性表达显著高于早期癌(P<0.01)。(2) 另外,我们还观察到68.4%(26/38例)的胃癌组织间质内部分成纤维细胞和血管内皮细胞呈CB表达阳性,但其染色强度较弱(图2A,B)。癌旁粘膜有68.4%(26/38例)CB表达阳性,但间质内的成纤维细胞和血管内皮细胞很少见到 CB表达阳性。
, 百拇医药
图 1 胃癌细胞内的CB阳性
Fig 1 The positive expression of CB in the cells of
gastric carcinoma.(×400)
图 2 胃癌间质内成纤维细胞(A)和血管内皮细胞(B)的CB表达阳性
Fig 2 The positive expression of CB is shown in fibroblasts (A) and
, 百拇医药
vascular endotheliocy (B) of gastric carcinoma interstitum.(×200)
3 讨 论
胃癌的组织类型较为复杂,往往在同一病例中可有几种类型的成分同时存在,如果把组织类型归为分化型和差分化型两大类,就可将CB的表达与胃癌的分化程度简单地联系起来。Plebani等[6]曾发现差或中等度分化的胃癌中CB的表达比高分化胃癌强,而本实验结果发现CB的表达在胃癌的分化型和差分化型之间没有显著差异。因此CB的表达与胃癌的分化程度之间是否有必然的联系尚待进一步证实。
CB是一种溶酶体内巯基蛋白酶,释放后可进入到细胞外并降解层粘蛋白,在肿瘤突破基底膜过程中起重要作用。肿瘤细胞合成、分泌CB增多有利于降解细胞外基质,促进肿瘤细胞向深部组织浸润。判断早期和进展期胃癌主要根据癌组织的浸润深度。本实验发现进展期胃癌CB的表达显著高于早期癌,因此CB表达的增高提示了胃癌易向深部浸润的倾向。Hirai等在结肠癌中用原位杂交方法发现CB表达信号在A与D期(Duke法)中有两个高峰,说明CB在人结肠癌早期浸润与远处转移中起重要作用。Kusunoki在甲状腺肿瘤中发现包膜有浸润者比没有浸润者CB表达显著增高[7]。以上这些均说明CB的增高与肿瘤浸润有密切关系。Khan等[8]对胃癌组织作了CB表达与肿瘤相关层粘蛋白表达之间相关性研究 ,发现凡CB表达强阳性的胃癌组织中层粘蛋白的分布均呈碎片状,进一步证实CB表达增强可导致层粘蛋白的降解,促进胃癌组织的浸润。 CB在释放前存在于溶酶体内,因此免疫组化中形态呈颗粒状。然而本实验观察到在肿瘤细胞内CB除呈颗粒状外,还呈弥散性,这种现象有人推测可能是肿瘤细胞胞质中存在着特异的CB,或由于肿瘤细胞中信号肽的缺失,使CB不能进入溶酶体而弥散入胞质,从而造成分布的改变。癌旁粘膜中CB表达虽呈阳性,但以颗粒状为主,而且越接近癌组织阳性程度越高。这一现象说明癌旁粘膜对癌的浸润可能也起一定作用。
, 百拇医药
有实验表明肿瘤在浸润性生长时血管生长因子的表达增高,所以浸润时首先有血管形成,然后肿瘤逐渐长大并向周围扩散。这一现象已在胃癌组织中得到了证实[9]。本实验发现在胃癌组织间质中,成纤维细胞和血管内皮细胞CB呈阳性表达,这是否说明内皮细胞中CB的合成和分泌增多,促进基质降解而有利于血管生长呢?这尚需作进一步的研究。
参考文献
[1]Liotta LA.Tumor invasion and metastases:role of extracellular matrix.Rhoads memorial award lecture[J].Cancer Res,1986,46(1):1-7.
[2]Buck MR,Karustis DG,Day NA,et al.Degradation of extracellular-matrix proteins by human cathepsin B from normal and tumoral tissues[J].Biochem J,1992,282(2):273-278.
, 百拇医药
[3]Terada T,Ohta T,Minato H,et al:Expression of pancreatic trypsinogen/trypsin and cathepsin B in human cholangiocarcinoma and hepatocellular carcinomas[J].Hum Pathol,1995,26(7):746-752.
[4]Hirai K,Yokoyama M,Asano G,et al:Expression of cathepsin B and cystatin C in human colorectal cancer[J].Hum Pathol,1999,30(6):680-686.
[5]Strojinik T,Kos J,Zidanik B,et al.Cathepsin B immunohistochemical staining in tumor and endothelial cells is a new prognostic factor for survival in patients with brain tumors[J].Clin.Cancer Res,1999,5(3):559-567.
, http://www.100md.com
[6]Plebani M,Herszyi L,Cardin R,et al.Cystein and serine proteases in gastric cancer[J].Cancer,1995,76(3):367-375.
[7]Kusunoki T,Nishida S,Nakano T,et al.Study on cathepsin B activity in human thyroid tumors[J].Auris Nasus Larynx,1995,22(1):43-48.
[8]Khan A,Krishna M,Baker SP,et al.Cathepsin B expression and its correlation with tumor-associated laminin and tumor progression in gastric cancer[J].Arch pathol Lab Med,1998,122(2):172-177.
[9]陆 敏,江悦琴,王瑞年.VEGF和bFGF与血管生成及胃癌的关系[J].上海第二医科大学学报.1998,18(6):482-485., 百拇医药