正常人头皮毛囊角蛋白的免疫组化研究
作者:钟白玉 程波 麦跃 刁庆春 尹锐
单位:第三军医大学附属西南医院皮肤科,重庆 400038
关键词:毛囊;角蛋白;免疫组化
第三军医大学学报001121
提 要:目的 了解毛发角蛋白家族在正常人头皮毛囊中的分布情况。方法 采用免疫组化染色方法对毛发角蛋白家族在正常人头皮毛囊切片上进行检测,同时比较了冰冻切片与石蜡切片(含抗原热修复)上的检测差异。结果 RCK102(K5、K8)在皮脂腺、汗腺、毛干、内外根鞘中阳性,LPIK(K7)在皮脂腺、汗腺、内根鞘中阳性。RKSE60(K10)在汗腺表达,RCK107(K14)在基底层阳性。冰冻切片及石蜡切片抗原热修复后表达效果较单纯石蜡切片好。结论 毛发角蛋白家族在毛囊中的分布差异较大,根据这种差异可判别毛发肿瘤的组织来源。
, 百拇医药
中图法分类号:R322.99;R446.6;R446.8 文献标识码:A
文章编号:1000-5404(2000)11-1087-03
Study on the distribution of hair keratin in normal hair follicles by immunohistochemical staining
ZHONG Bai-yu,CHENG Bo,MAI Yue,DIAO Qing-chun,YIN Rui
(Department of Dermatology,Southwest Hospital,Third Military Medical University,Chongqing 400038,China)
Abstract:Objective To study the distribution of the hair keratin family in normal scalp hair follicles.Methods The expression of hair keratin family in normal scalp hair follicles were detected by immunohistochemical methods.The difference in cryosections and paraffin embeded sections (including antigen microwave restoration) were compared.Results Positive stain in RCK102 (K5,K8) was showed in sebaceous gland,sweat gland,hair shaft and inner,outer root sheath;LP1K (K7) in sebaceous gland,sweat gland and inner root sheath;RKSE60 (K10) in sebaceous gland;RCK107(K14) in the basal layer.The positive stain in cryosections and paraffin embeded sections with antigen microwave restoration was superior to that in simple paraffin embeded sections.Conclusion The distribution of hair keratin family in hair follicle is varied,and according to the difference,the origin of hair neoplasm can be identified.
, 百拇医药
Key words:hair follicles;keratin;immunohistochemistry
角蛋白是在上皮细胞发生、分化、成熟过程中逐渐形成的,是所有哺乳动物细胞骨架的中间丝之一,其组成因不同上皮而异。毛囊角蛋白在角蛋白家族中占相当比例,并且具有一定特异性,为了了解毛囊角蛋白在正常人头皮毛囊中的分布情况,我们对正常人头皮毛囊组织进行免疫组化检测,同时比较了冰冻切片和石蜡切片(含抗原微波修复)的免疫组化结果,现报告如下。
1 材料与方法
1.1 材料1.1.1 头皮标本 取自尸体头皮或去皱整形后的头皮,用修胡刀片顺着毛干方向切成0.3 cm×0.6 cm×0.6 cm大小的组织块,分别保存于低温液态氮(-195.8℃)中和固定于Bouin's 固定液中3 h以上,备用。
1.1.2 链霉菌抗生物素蛋白-过氧化酶免疫组化染色超敏试剂盒(S-P试剂盒) 购自迈新生物技术开发公司。试剂盒组成:即用型过氧化物酶阻断剂;即用型阻断血清(10%非免疫血清);即用型生物素标记的第二抗体;即用型链霉菌抗生物素蛋白-过氧化酶溶液。
, 百拇医药
1.1.3 DAB显色试剂盒 购自迈新生物技术开发公司。DAB显色试剂盒组成:浓缩DAB显色剂;浓缩缓冲液;浓缩H2O2溶液。
1.1.4 角蛋白单抗,见表1。
表1 角蛋白单抗
Tab 1 McAb of Keratin McAb
Sub-IgG
Reactive Antigen
Dilution
Donator
LP34
, 百拇医药 IgG1
K5,6,18
1∶5
EB.Lane
LP1K
IgG1
K7
1∶5
EB.Lane
LP2K
IgG2b
K19
1∶2
, http://www.100md.com
EB.Lane
RKSE60
IgG1
K10
1∶5
FCS.RamaeKers
RCK102
IgG1
K5,8
1∶5
FCS.RamaeKers
RCK107
, 百拇医药 IgG1
K14
1∶5
FCS.RamaeKers
1.2 方法
1.2.1冰冻切片角蛋白组化 采用英国SHANDON低温冰冻切片机,冰冻切片6μm,室温电风扇吹干30 min,冷丙酮(4℃)固定10 min,磷酸盐缓冲液(PBS)清洗3次,每次5min,3%过氧化氢(H2O2)液孵育5~10 min,以消除内源性过氧化物酶的活性,PBS清洗3次,每次5 min。每张切片滴加50 μl非免疫性动物血清(10%正常山羊血清)封闭抗原,室温孵育10 min,PBS冲洗1次。分别滴加角蛋白单抗(Ⅰ抗)工作液,4℃孵育过夜。PBS冲洗3次,每次5 min。滴加50 μl生物素标记的第二抗体,室温孵育10 min,PBS冲洗3次,每次5 min。滴加50 μl链霉菌抗生物素蛋白-过氧化酶溶液,室温下孵育10 min,PBS冲洗3次,每次5 min。滴加50 μl新鲜配制的DAB溶液,显微镜下观察4~8 min,自来水冲洗。苏木素浅染细胞核,碳酸锂饱和溶液促蓝,梯度酒精脱水,二甲苯透明,中性树胶封片。
, 百拇医药
1.2.2 石蜡切片抗原不修复角蛋白组化 采用上海Leica石蜡切片机作6 μm石蜡切片(载玻片预先用多聚-L-赖氨酸防脱片处理),石蜡切片常规脱蜡至水洗。余同1.2.1。
1.2.3 石蜡切片抗原修复角蛋白组化 石蜡切片脱蜡至水,3%H2O2处理10 min,蒸馏水洗3次,每次3 min,将切片置于枸椽酸盐液溶液中于格兰仕家用微波炉中(中间档小火)加热,使温度保持在92~98℃之间,维持10 min。取出盛有枸椽酸盐缓冲液容器置室温冷却10 min(注:不可立即取切片)。PBS清洗3次,每次3 min。余同1.2.1。
2 结果
2.1 冰冻切片角蛋白表达
LP34是广谱角蛋白抗体,除内根鞘处,毛囊其它部分均为阳性。LPIK着色内根鞘、汗腺、皮脂腺,LPIK对峡部外根鞘基底层、汗腺呈阳性,RKSE60在漏斗部以上毛囊上皮呈阳性,基底层细胞为阴性,漏斗部以下阴性。RCK102的着色情况基本与LP34相同,RCK106只着色汗腺腺体;RCK107在表皮基底层和外根鞘基底层为阳性,见图1~3,表2。
, 百拇医药
2.2 石蜡切片角蛋白表达
RCK102只表达在外根鞘,内根鞘(阴性),LP34亦表达在外根鞘,汗腺染色较好。其它角蛋白染色均不佳,见图4。
2.3 石蜡切片抗原热修复后角蛋白表达
表达与冰冻切片相同。
表2 冰冻切片角蛋白表达
Tab 2 Keratin expression in cryo-sections
LP34 K5,6,18
LP1K K7
LP2K K19
, http://www.100md.com RKSE60 K10
RCK102 K5,8
RCK107 K14
Sebaceous gland
+
+
+
+
Sweat gland
+
+
+
+
, 百拇医药
Outer root sheath
+
isthmus(+)
+
basement(+)
Inter root sheath
+
+
Hair shaft
+
+
, 百拇医药
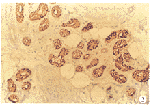
图1 内根鞘、外根鞘LP34阳性 (S-P×200)
Fig 1 LP34 positive in inner and outer root sheath (S-P×200)
图2 汗腺LPIK阳性 (S-P×200)
Fig 2 LPIK positive in sweat gland (S-P×200)
图3 基底膜RCK107阳性 (S-P×200)
Fig 3 RCK107 positive in basement membrane (S-P×200)
, 百拇医药
图4 外根鞘RCK102阳性,内根鞘阴性 (S-P×200)
Fig 4 RCK102 positive in outer root sheath and negative in inner root sheath (S-P×200)
3 讨论
角蛋白至少有30种,其中包括大约20种上皮角蛋白(Epithelial keratin)和10种毛发角蛋白(Hair keratin)[1]。毛发角蛋白的识别,不仅有助于了解毛囊上皮的分化发育,同时还能鉴定某些肿瘤的组织起源[2]。我们应用免疫组化技术鉴定了正常毛囊中的几种特异性较高的角蛋白,发现毛囊的内根鞘和外根鞘的角蛋白构型表达差异很大,LPIK 对内根鞘有较高特异性,LPIK对峡部外根鞘基底细胞的着色性较强,通过这两种单抗便可鉴别外根鞘和内根鞘的组织起源。有研究表明皮肤内肿瘤中毛发上皮瘤的类似毛鞘结构的上皮细胞呈现角蛋白阳性[3],该依据可作为其它组织来源肿瘤的一条重要的鉴别标准。
, 百拇医药
用40%甲醛固定的石蜡切片,因甲醛在组织中形成的沉淀物使角蛋白表达抗原决定簇被掩盖,影响到角蛋白免疫组化的阳性结果。有研究表明,在加一抗前用0.05%胰蛋白酶溶液室温消化20 min,暴露角蛋白抗原决定簇,使角蛋白抗原修复[4]。我们应用高温抗原修复方法,也获得较好的效果,使石蜡切片的组化结果基本与冰冻切片相同。但我们在实验过程中发现,控制抗原修复的温度和时间十分重要,以80℃ 30 min为最佳。温度偏低,则在处理过程中容易脱片;温度过高将使角蛋白抗原变性。
(致谢:感谢第三军医大学附属大坪医院野战外科研究所皮肤科伍津津博士的关心和指导!)
基金项目:国家自然科学基金资助项目(39970683)
作者简介:钟白玉(1958-),男,四川省邻水县人,主管技师,主要从事皮肤病理技术、医学真菌技术、性病检测方面的研究,发表论文14篇。
, 百拇医药
参考文献:
[1]Panteleyev A A,Paus R,Wanner R,et al.Keratin 17 gene expression during the murine hair cycle[J].J Invest Dermatol,1997,108(3):324-329.
[2]Ramaekers F,Huysmans A,Schaart G,et al.Tissue distribution of keratin 7 as monitored by a monoclonal antibody[J].Exp Cell Res,1987,170(1):235-249.
[3]朝田真木,黑川一郎,西鸟揶子.抗才ケラチン单ケ口-ン抗体を用ぃた正常ヒト成长期毛包特に外毛根鞘の免疫组织化学的研究[J].日本皮肤科学杂志,1990,100(1):423-430.
[4]李文志,白兆震 综述.角蛋白的分子生物学研究及其单克隆抗体的临床应用[J].国外医学:皮肤性病学分册,1996,22(3):146.
收稿日期:2000-02-13
修回日期:2000-06-22, http://www.100md.com
单位:第三军医大学附属西南医院皮肤科,重庆 400038
关键词:毛囊;角蛋白;免疫组化
第三军医大学学报001121
提 要:目的 了解毛发角蛋白家族在正常人头皮毛囊中的分布情况。方法 采用免疫组化染色方法对毛发角蛋白家族在正常人头皮毛囊切片上进行检测,同时比较了冰冻切片与石蜡切片(含抗原热修复)上的检测差异。结果 RCK102(K5、K8)在皮脂腺、汗腺、毛干、内外根鞘中阳性,LPIK(K7)在皮脂腺、汗腺、内根鞘中阳性。RKSE60(K10)在汗腺表达,RCK107(K14)在基底层阳性。冰冻切片及石蜡切片抗原热修复后表达效果较单纯石蜡切片好。结论 毛发角蛋白家族在毛囊中的分布差异较大,根据这种差异可判别毛发肿瘤的组织来源。
, 百拇医药
中图法分类号:R322.99;R446.6;R446.8 文献标识码:A
文章编号:1000-5404(2000)11-1087-03
Study on the distribution of hair keratin in normal hair follicles by immunohistochemical staining
ZHONG Bai-yu,CHENG Bo,MAI Yue,DIAO Qing-chun,YIN Rui
(Department of Dermatology,Southwest Hospital,Third Military Medical University,Chongqing 400038,China)
Abstract:Objective To study the distribution of the hair keratin family in normal scalp hair follicles.Methods The expression of hair keratin family in normal scalp hair follicles were detected by immunohistochemical methods.The difference in cryosections and paraffin embeded sections (including antigen microwave restoration) were compared.Results Positive stain in RCK102 (K5,K8) was showed in sebaceous gland,sweat gland,hair shaft and inner,outer root sheath;LP1K (K7) in sebaceous gland,sweat gland and inner root sheath;RKSE60 (K10) in sebaceous gland;RCK107(K14) in the basal layer.The positive stain in cryosections and paraffin embeded sections with antigen microwave restoration was superior to that in simple paraffin embeded sections.Conclusion The distribution of hair keratin family in hair follicle is varied,and according to the difference,the origin of hair neoplasm can be identified.
, 百拇医药
Key words:hair follicles;keratin;immunohistochemistry
角蛋白是在上皮细胞发生、分化、成熟过程中逐渐形成的,是所有哺乳动物细胞骨架的中间丝之一,其组成因不同上皮而异。毛囊角蛋白在角蛋白家族中占相当比例,并且具有一定特异性,为了了解毛囊角蛋白在正常人头皮毛囊中的分布情况,我们对正常人头皮毛囊组织进行免疫组化检测,同时比较了冰冻切片和石蜡切片(含抗原微波修复)的免疫组化结果,现报告如下。
1 材料与方法
1.1 材料1.1.1 头皮标本 取自尸体头皮或去皱整形后的头皮,用修胡刀片顺着毛干方向切成0.3 cm×0.6 cm×0.6 cm大小的组织块,分别保存于低温液态氮(-195.8℃)中和固定于Bouin's 固定液中3 h以上,备用。
1.1.2 链霉菌抗生物素蛋白-过氧化酶免疫组化染色超敏试剂盒(S-P试剂盒) 购自迈新生物技术开发公司。试剂盒组成:即用型过氧化物酶阻断剂;即用型阻断血清(10%非免疫血清);即用型生物素标记的第二抗体;即用型链霉菌抗生物素蛋白-过氧化酶溶液。
, 百拇医药
1.1.3 DAB显色试剂盒 购自迈新生物技术开发公司。DAB显色试剂盒组成:浓缩DAB显色剂;浓缩缓冲液;浓缩H2O2溶液。
1.1.4 角蛋白单抗,见表1。
表1 角蛋白单抗
Tab 1 McAb of Keratin McAb
Sub-IgG
Reactive Antigen
Dilution
Donator
LP34
, 百拇医药 IgG1
K5,6,18
1∶5
EB.Lane
LP1K
IgG1
K7
1∶5
EB.Lane
LP2K
IgG2b
K19
1∶2
, http://www.100md.com
EB.Lane
RKSE60
IgG1
K10
1∶5
FCS.RamaeKers
RCK102
IgG1
K5,8
1∶5
FCS.RamaeKers
RCK107
, 百拇医药 IgG1
K14
1∶5
FCS.RamaeKers
1.2 方法
1.2.1冰冻切片角蛋白组化 采用英国SHANDON低温冰冻切片机,冰冻切片6μm,室温电风扇吹干30 min,冷丙酮(4℃)固定10 min,磷酸盐缓冲液(PBS)清洗3次,每次5min,3%过氧化氢(H2O2)液孵育5~10 min,以消除内源性过氧化物酶的活性,PBS清洗3次,每次5 min。每张切片滴加50 μl非免疫性动物血清(10%正常山羊血清)封闭抗原,室温孵育10 min,PBS冲洗1次。分别滴加角蛋白单抗(Ⅰ抗)工作液,4℃孵育过夜。PBS冲洗3次,每次5 min。滴加50 μl生物素标记的第二抗体,室温孵育10 min,PBS冲洗3次,每次5 min。滴加50 μl链霉菌抗生物素蛋白-过氧化酶溶液,室温下孵育10 min,PBS冲洗3次,每次5 min。滴加50 μl新鲜配制的DAB溶液,显微镜下观察4~8 min,自来水冲洗。苏木素浅染细胞核,碳酸锂饱和溶液促蓝,梯度酒精脱水,二甲苯透明,中性树胶封片。
, 百拇医药
1.2.2 石蜡切片抗原不修复角蛋白组化 采用上海Leica石蜡切片机作6 μm石蜡切片(载玻片预先用多聚-L-赖氨酸防脱片处理),石蜡切片常规脱蜡至水洗。余同1.2.1。
1.2.3 石蜡切片抗原修复角蛋白组化 石蜡切片脱蜡至水,3%H2O2处理10 min,蒸馏水洗3次,每次3 min,将切片置于枸椽酸盐液溶液中于格兰仕家用微波炉中(中间档小火)加热,使温度保持在92~98℃之间,维持10 min。取出盛有枸椽酸盐缓冲液容器置室温冷却10 min(注:不可立即取切片)。PBS清洗3次,每次3 min。余同1.2.1。
2 结果
2.1 冰冻切片角蛋白表达
LP34是广谱角蛋白抗体,除内根鞘处,毛囊其它部分均为阳性。LPIK着色内根鞘、汗腺、皮脂腺,LPIK对峡部外根鞘基底层、汗腺呈阳性,RKSE60在漏斗部以上毛囊上皮呈阳性,基底层细胞为阴性,漏斗部以下阴性。RCK102的着色情况基本与LP34相同,RCK106只着色汗腺腺体;RCK107在表皮基底层和外根鞘基底层为阳性,见图1~3,表2。
, 百拇医药
2.2 石蜡切片角蛋白表达
RCK102只表达在外根鞘,内根鞘(阴性),LP34亦表达在外根鞘,汗腺染色较好。其它角蛋白染色均不佳,见图4。
2.3 石蜡切片抗原热修复后角蛋白表达
表达与冰冻切片相同。
表2 冰冻切片角蛋白表达
Tab 2 Keratin expression in cryo-sections
LP34 K5,6,18
LP1K K7
LP2K K19
, http://www.100md.com RKSE60 K10
RCK102 K5,8
RCK107 K14
Sebaceous gland
+
+
+
+
Sweat gland
+
+
+
+
, 百拇医药
Outer root sheath
+
isthmus(+)
+
basement(+)
Inter root sheath
+
+
Hair shaft
+
+
, 百拇医药
图1 内根鞘、外根鞘LP34阳性 (S-P×200)
Fig 1 LP34 positive in inner and outer root sheath (S-P×200)
图2 汗腺LPIK阳性 (S-P×200)
Fig 2 LPIK positive in sweat gland (S-P×200)
图3 基底膜RCK107阳性 (S-P×200)
Fig 3 RCK107 positive in basement membrane (S-P×200)
, 百拇医药
图4 外根鞘RCK102阳性,内根鞘阴性 (S-P×200)
Fig 4 RCK102 positive in outer root sheath and negative in inner root sheath (S-P×200)
3 讨论
角蛋白至少有30种,其中包括大约20种上皮角蛋白(Epithelial keratin)和10种毛发角蛋白(Hair keratin)[1]。毛发角蛋白的识别,不仅有助于了解毛囊上皮的分化发育,同时还能鉴定某些肿瘤的组织起源[2]。我们应用免疫组化技术鉴定了正常毛囊中的几种特异性较高的角蛋白,发现毛囊的内根鞘和外根鞘的角蛋白构型表达差异很大,LPIK 对内根鞘有较高特异性,LPIK对峡部外根鞘基底细胞的着色性较强,通过这两种单抗便可鉴别外根鞘和内根鞘的组织起源。有研究表明皮肤内肿瘤中毛发上皮瘤的类似毛鞘结构的上皮细胞呈现角蛋白阳性[3],该依据可作为其它组织来源肿瘤的一条重要的鉴别标准。
, 百拇医药
用40%甲醛固定的石蜡切片,因甲醛在组织中形成的沉淀物使角蛋白表达抗原决定簇被掩盖,影响到角蛋白免疫组化的阳性结果。有研究表明,在加一抗前用0.05%胰蛋白酶溶液室温消化20 min,暴露角蛋白抗原决定簇,使角蛋白抗原修复[4]。我们应用高温抗原修复方法,也获得较好的效果,使石蜡切片的组化结果基本与冰冻切片相同。但我们在实验过程中发现,控制抗原修复的温度和时间十分重要,以80℃ 30 min为最佳。温度偏低,则在处理过程中容易脱片;温度过高将使角蛋白抗原变性。
(致谢:感谢第三军医大学附属大坪医院野战外科研究所皮肤科伍津津博士的关心和指导!)
基金项目:国家自然科学基金资助项目(39970683)
作者简介:钟白玉(1958-),男,四川省邻水县人,主管技师,主要从事皮肤病理技术、医学真菌技术、性病检测方面的研究,发表论文14篇。
, 百拇医药
参考文献:
[1]Panteleyev A A,Paus R,Wanner R,et al.Keratin 17 gene expression during the murine hair cycle[J].J Invest Dermatol,1997,108(3):324-329.
[2]Ramaekers F,Huysmans A,Schaart G,et al.Tissue distribution of keratin 7 as monitored by a monoclonal antibody[J].Exp Cell Res,1987,170(1):235-249.
[3]朝田真木,黑川一郎,西鸟揶子.抗才ケラチン单ケ口-ン抗体を用ぃた正常ヒト成长期毛包特に外毛根鞘の免疫组织化学的研究[J].日本皮肤科学杂志,1990,100(1):423-430.
[4]李文志,白兆震 综述.角蛋白的分子生物学研究及其单克隆抗体的临床应用[J].国外医学:皮肤性病学分册,1996,22(3):146.
收稿日期:2000-02-13
修回日期:2000-06-22, http://www.100md.com