体外循环血清对培养大鼠肺泡Ⅱ型上皮细胞损伤的研究
作者:郝嘉 郭红 肖颖彬 王学峰 陈林 钟前进
单位:第三军医大学附属新桥医院心血管外科 重庆 400037
关键词:体外循环;细胞培养;Ⅱ型上皮细胞;谷胱甘肽;大鼠
第三军医大学学报001119
提 要:目的 探讨体外循环(CPB)血清对肺泡 Ⅱ型上皮细胞(简称AT-Ⅱ)的损伤作用。方法 原代培养大鼠AT-Ⅱ,并与CPB血清共同孵育后观察其形态及生化指标变化和还原型谷胱甘肽(R-GSH)的保护作用。结果 培养液中MDA、LDH、AKP增加,细胞凋亡率上升,R-GSH能减轻细胞损伤。结论 CPB血清能直接损伤AT-Ⅱ,氧自由基可能是主要原因,这可能是术中肺表面活性物质减少的重要原因。 R-GSH在体外能减轻 CPB血清对AT-Ⅱ的损伤。
中图法分类号:R322.35;R563.02 文献标识码:A
, 百拇医药
文章编号:1000-5404(2000)11-1080-04
Effect of serum from cardiopulmonary bypass on the injury of cultured rat alveolar type Ⅱ epithelial cells
HAO Jia,GUO Hong,XIAO Ying-bin,WANG Xue-feng,CHEN lin,ZHONG Qian-jin
(Department of Cardiovascular Surgery,Xingqiao Hospital,Third Military Medical University,Chongqing 400037,China)
Abstract:Objective To explore the effect of serum drawn from patients undergone cardiopul-monary bypass (CPB) on the cultured rat alveolar epithelial type Ⅱ(AT-Ⅱ) cells.Methods:Morphological changes and apoptosis were observed in primary AT-Ⅱ cells cultured with serum from patients during cardiac surgery with CPB.The MDA,LDH and AKP levels in supernatant were determined.The protective effect of reduced glutathione (R-GSH) was also determined.Results The levels of MDA,LDH and AKP in the culture medium were increased rapidly with the addition of CPB serum,and the apoptosis rate of AT-Ⅱ cells was increased.R-GSH could attenuate the injury of AT-Ⅱ cells.Conclusion CPB serum can directly damage rat AT-Ⅱ cells in vitro,which may be caused by free radicals,and might mainly contribute to the decrease of active material on lung surface.R-GSH processes a protective effect on the damage of AT-Ⅱ cells induced by CPB serum in vitro.
, 百拇医药
Key words:cardiopulmonary bypass;cell culture;type Ⅱ epithelial cell;glutathione;rats
体外循环(Cardiopulmonary bypass,CPB)术后特别是婴幼儿手术造成的呼吸功能不全有较高的发生率,很多患者术后早期临床表现尚可,但常在6~8 h时出现不明原因的继发性损伤过程降低肺功能,血氧分压降低为主的临床型很多见。近年研究认为肺泡Ⅱ型上皮细胞(Alveolar typeⅡ epithelial cell,AT-Ⅱ)受损以及其合成的肺泡表面活性物质减少很可能是重要原因。为探讨在体外 CPB血清对培养大鼠 AT-Ⅱ的损伤情况和R-GSH的保护作用,我们将CPB术前和术后血清分别与AT-Ⅱ共同孵育,测定培养上清液中的丙二醛(MDA)、乳酸脱氢酶(LDH)和碱性磷酸酶(AKP)释放情况,并观察AT-Ⅱ凋亡变化。
1 材料和方法
, 百拇医药
1.1 体外原代培养大鼠AT-Ⅱ 采用IgG免疫粘附选择法[1]培养Wistar大鼠AT-Ⅱ。细胞在IgG包被的培养瓶中培养,1 h后倒出培养液,离心后按106个/ml的细胞浓度加入24孔培养板或加入预置盖玻片的6孔培养板,实验时间从此点起算。采用鞣酸多彩染色(×200)和电镜法行细胞鉴定。台盼蓝染色法测定细胞活力。
1.2 CPB血清的准备
选取8例室间隔缺损患者,年龄(2.2±0.8)岁,于麻醉诱导成功后5min(术前)和转流停止(术后)无菌采血,离心后分离血清,灭活补体活性,-70 ℃保存。
1.3 实验分组
1.3.1对照组 细胞培养23 h后吸尽培养液,按1∶10比例配制CPB术前血清和DMEM培养液后加入培养板。
, http://www.100md.com 1.3.2 损伤组 按1∶10比例配制CPB术后血清和DMEM培养液加入培养板。
1.3.3 R-GSH组 按1∶10比例配制CPB术后血清和DMEM培养液加入培养板,同时还加入1.6 mmol/L的R-GSH(浓度根据预实验结果和文献[2])。
1.4 板层小体图像分析
取出盖玻片行鞣酸染色,用重庆大学编制的TigerTM细胞图像分析仪行半定量分析,每一玻片任选 5个视野,光镜下检测板层小体阳性细胞积分光密度(IOD)和平均光密度(AOD)值。
1.5 AT-Ⅱ培养液MDA、LDH和AKP测定
分别在细胞培养2、8和18 h时吸取100 μl上清液,-70 ℃保存。按南京建成生物工程研究所试剂盒说明书测定,用722分光光度计比色。
, 百拇医药
1.6 AT-Ⅱ凋亡检测
1.6.1AT-Ⅱ凋亡率测定 采用罗氏公司原位凋亡检测试剂盒检测,方法为TUNEL法。光镜下棕黄色细胞为阳性凋亡细胞,无显色为阴性,随机计数10个视野中阳性、阴性细胞。
1.6.2 DNA梯状电泳检测 抽提细胞DNA后按文献[3]方法行梯状电泳检测。
1.6.3 bcl-2免疫组化 bcl-2单抗购自博士德公司,采用博士德公司SABC免疫组化试剂盒测定。根据颜色深浅将阳性分为+、+ +、+ + +。
1.7 统计学处理
采用单因素方差分析和t检验行统计学分析。
, 百拇医药 2 结果
2.1 AT-Ⅱ培养和鉴定
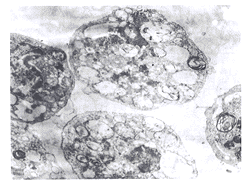
原代培养 AT-Ⅱ可收获3×107个/鼠,纯度90%,活细胞率为98%。透射电镜可见细胞中典型的板层小体,见图1。鞣酸多彩染色可见褐色嗜锇小体,见图2。
图1 细胞中典型的板层状小体 (TEM×6 000)
Fig 1 Multilameller body in cell (TEM×6 000)
图2 鞣酸多彩染色可见不均匀分布在核周的大小不一的
, 百拇医药
褐色嗜锇板层小板,细胞聚集成小岛状 (×200)
Fig 2 Tannic acid stain.Osmiophilic multilameller body with different size and distributed around the nuclei,some cells gathered as an island (×200)
2.2 板层小体图像分析
损伤组和R-GSH组的IOD、AOD值均十分显著地低于对照组,R-GSH组IOD值与损伤组差异显著,见表1。
表1 板层小体图像分析结果(
±s)
Tab 1 Image analysis of multilameller body (
±s) Group
, 百拇医药
Cell number
IOD
AOD
Control
65
240.2±712.00
2.1810±0.1783
Injury
40
1020.1±542.03*
2.0915±0.1811*
, 百拇医药
R-GSH
40
1460.6±992.69
2.1257±0.1933
*:P<0.01 vs control,#:P<0.05 vs injury
2.3 培养液中MDA、LDH和AKP的变化 损伤组和R-GSH组培养液中MDA、LDH随培养时间延长逐渐升高,18 min达到高峰。损伤组、R-GSH组与对照组相差显著,R-GSH组与损伤组相差显著,见表2。
表2 培养液中MDA、LDH和AKP的变化(
±s,n=6)
, 百拇医药
Tab 2 Changes of MDA、LDH and AKP in supernant(
±s,n=6) Time(h)
MDA(CB/mmol*L-1)
LDH(U/L)
AKP(U/L)
Control
Injury
R-GSH
Control
Injury
, http://www.100md.com
R-GSH
Control
Injury
R-GSH
2
2.28±0.08
4.38±0.09*
2.83±0.06* #
20.13±3.68
89.00±9.77*
45.63±6.91* #
, http://www.100md.com
4.07±0.22
6.55±0.43*
4.10±0.18* #
8
2.51±0.05
5.78±0.03
4.53±0.04* #
36.38±5.93
179.5±9.30* #
89.88±7.38* #
, 百拇医药
5.01±0.26
20.91±0.64*
8.89±0.66* #
18
2.94±0.21
7.56±0.26*
6.06±0.12* #
95.63±37.74
361.7±31.7*
234.3±61.3* #
, 百拇医药
5.76±0.38
35.23±0.83*
13.41±0.86* #
*:P<0.01 vs control,#:P<0.01 vs injury
2.4 CPB血清导致培养细胞凋亡
AT-Ⅱ在加入术后血清后凋亡率上升,DNA电泳可见明显的DNA碎裂梯带,bcl-2表达增强,说明术后血清能加速 AT-Ⅱ凋亡,见表3。
表3 细胞凋亡率和bcl-2免疫组化测定(
±s,n=6)
, 百拇医药
Tab 3 Apoptosis rate and bcl-2 level (
±s,n=6)
Control
Injury
R-GSH
Apoptosis rate
6.32±2.25
28.33±0.82*
20.17±0.77*#
bcl-2
, 百拇医药
0~+
+ +~+ + +
+~+ +
*:P<0.01 vs control;#:P<0.01 vs injury
3 讨论
CPB时血清可透过肺毛细血管屏障,由于补体激活、血小板和白细胞聚集、氧自由基脂质过氧化损伤 AT-Ⅱ,导致 AT-Ⅱ合成和释放肺表面活性物质减少,并可造成 AT-Ⅱ肿胀、核固缩、细胞器破坏。由于研究心内直视手术中肺损伤的常有方法如肺活检、支气管肺泡灌洗(BAL)有取材、操作等困难,因此我们采用体外培养细胞法观察 AT-Ⅱ具体的损伤情况,并推测 CPB术中人 AT-Ⅱ可能发生类似变化,以便采取相应的术中保护措施。罗奇志等[4]研究烟雾吸入性损伤血清对PMN粘附的影响时也采用了类似方法。
, 百拇医药
板层小体是肺表面活性物质(PS)贮存和释放的场所,实验发现 CPB血清能减少板层小体IOD和AOD值,结合肺损伤导致支气管肺泡灌洗液和肺组织中PS减少的文献报道,这可能表明PS合成减少或降解增加,机制可能是:(1)氧自由基灭活 AT-Ⅱ的Na+通道,抑制其能量代谢与PS合成;(2)直接破坏PS的脂质代谢和结构,引起肺组织脂质过氧化。
MDA量反映细胞内脂质过氧化程度,LDH是胞浆标志酶,AKP为膜标志酶,也是 AT-Ⅱ分化的特异标志物,三者的升高能更好地表明AT-Ⅱ的受损。实验表明CPB术后血清在体外对 AT-Ⅱ有明显的脂质过氧化作用。
尽管CPB血清具体损伤机制复杂,尚需进一步探讨,但氧自由基很可能是导致细胞凋亡的重要原因,其机制可能为:氧自由基介导与凋亡有关的DNA损伤导致聚ADP核糖转移酶的活化和p53的积累;刺激一些死亡基因程序,活化对氧化应激敏感的核转录因子NF-κB和AP-1。bcl-2基因是细胞凋亡的抑制基因,在因谷胱甘肽缺乏而发生凋亡的神经元细胞中,bcl-2的表达与氧自由基减少及降低细胞组织的氧化损伤相关,因此有人提出bcl-2可能通过一种抗氧化剂作用或通过抑制氧自由基的产生而抑制细胞凋亡[5]。
, http://www.100md.com
R-GSH是一种巯基类抗氧化剂,它通过提供还原巯基维持含巯基酶和蛋白质稳定。Aerts等[6]发现AT-Ⅱ内GSH水平与细胞损伤指数成负相关,认为胞内GSH的调节是 AT-Ⅱ防止高氧损伤的重要机制。况九龙等也发现GSH含量降低(主要以R-GSH为主)可能引起其氧化-抗氧化系统失衡从而增加AT-Ⅱ对氧化损伤的易感性[7]。研究表明R-GSH在体外能减轻氧自由基对培养人小肠上皮细胞的损伤[2],且能减少培养大鼠嗜铬细胞瘤细胞的凋亡[8]。本研究表明R-GSH在体外能减轻CPB术后血清对培养大鼠AT-Ⅱ的损伤及促凋亡作用,机制可能是:(1)体外直接对抗氧自由基的作用;(2)维持细胞内GSH稳定。
因此,为达到良好的临床肺保护效果,在CPB围术期应加强抗氧化治疗。运用R-GSH类药物 (新药阿拓莫兰等)是一项值得推荐的措施。
作者简介:郝嘉(1973-),男,四川省荣县人,硕士,助教,主要从事体外循环肺保护方面的研究,发表论文5篇。
, http://www.100md.com
参考文献:
[1]郝 嘉,李永旺,肖颖彬.大鼠肺泡Ⅱ型上皮细胞体外培养和鉴定[J].第三军医大学学报,2000,5(22):500-501.
[2]廖贤平,余亚雄,施诚仁,等.氧自由基对人类小肠上皮细胞的损伤作用及药物保护[J].中华小儿外科杂志,1994,15(5):295-297.
[3]胡庆柳,丁振华,谭小华.凋亡而不出现DNA梯形带一例[J].细胞生物学杂志,1998,20(2):76-78.
[4]罗奇志,杨宗城,杨天德,等.烟雾吸入性损伤血清对PMN粘附的影响[J].第三军医大学学报,1999,21(5):318-320.
[5]Dharmarajan A M,Hisheh S,Singh B,et al.Antioxidants mimic the ability of chorionic gonadotropin to suppress apoptosis in the rabbit corpus luteum in vitro:A novel role for superoxide dismutase in regulating bax expression[J].Endocrinology,1999,140(4):2555-2561.
, 百拇医药
[6]Aerts C,Wallaert B,Voisin C.In vitro effects of hyperoxia on alveolar type Ⅱpneumocytes:Inhibition of glutathione synthesis increases hyperoxic cell injury[J].Exp Lung Res,1992,18(6):845-861.
[7]况九龙,颜春松,邱小华,等.急性肺损伤谷胱甘肽的实验研究[J].江西医学院学报,1998,38(1):7-12.
[8]周国庆,周孝达,王桂松,等.多巴胺和谷胱甘肽对PC12细胞凋亡的影响[J].上海第二医科大学学报,1999,19(1):44-46.
收稿日期:2000-01-14
修回日期:2000-07-18, http://www.100md.com
单位:第三军医大学附属新桥医院心血管外科 重庆 400037
关键词:体外循环;细胞培养;Ⅱ型上皮细胞;谷胱甘肽;大鼠
第三军医大学学报001119
提 要:目的 探讨体外循环(CPB)血清对肺泡 Ⅱ型上皮细胞(简称AT-Ⅱ)的损伤作用。方法 原代培养大鼠AT-Ⅱ,并与CPB血清共同孵育后观察其形态及生化指标变化和还原型谷胱甘肽(R-GSH)的保护作用。结果 培养液中MDA、LDH、AKP增加,细胞凋亡率上升,R-GSH能减轻细胞损伤。结论 CPB血清能直接损伤AT-Ⅱ,氧自由基可能是主要原因,这可能是术中肺表面活性物质减少的重要原因。 R-GSH在体外能减轻 CPB血清对AT-Ⅱ的损伤。
中图法分类号:R322.35;R563.02 文献标识码:A
, 百拇医药
文章编号:1000-5404(2000)11-1080-04
Effect of serum from cardiopulmonary bypass on the injury of cultured rat alveolar type Ⅱ epithelial cells
HAO Jia,GUO Hong,XIAO Ying-bin,WANG Xue-feng,CHEN lin,ZHONG Qian-jin
(Department of Cardiovascular Surgery,Xingqiao Hospital,Third Military Medical University,Chongqing 400037,China)
Abstract:Objective To explore the effect of serum drawn from patients undergone cardiopul-monary bypass (CPB) on the cultured rat alveolar epithelial type Ⅱ(AT-Ⅱ) cells.Methods:Morphological changes and apoptosis were observed in primary AT-Ⅱ cells cultured with serum from patients during cardiac surgery with CPB.The MDA,LDH and AKP levels in supernatant were determined.The protective effect of reduced glutathione (R-GSH) was also determined.Results The levels of MDA,LDH and AKP in the culture medium were increased rapidly with the addition of CPB serum,and the apoptosis rate of AT-Ⅱ cells was increased.R-GSH could attenuate the injury of AT-Ⅱ cells.Conclusion CPB serum can directly damage rat AT-Ⅱ cells in vitro,which may be caused by free radicals,and might mainly contribute to the decrease of active material on lung surface.R-GSH processes a protective effect on the damage of AT-Ⅱ cells induced by CPB serum in vitro.
, 百拇医药
Key words:cardiopulmonary bypass;cell culture;type Ⅱ epithelial cell;glutathione;rats
体外循环(Cardiopulmonary bypass,CPB)术后特别是婴幼儿手术造成的呼吸功能不全有较高的发生率,很多患者术后早期临床表现尚可,但常在6~8 h时出现不明原因的继发性损伤过程降低肺功能,血氧分压降低为主的临床型很多见。近年研究认为肺泡Ⅱ型上皮细胞(Alveolar typeⅡ epithelial cell,AT-Ⅱ)受损以及其合成的肺泡表面活性物质减少很可能是重要原因。为探讨在体外 CPB血清对培养大鼠 AT-Ⅱ的损伤情况和R-GSH的保护作用,我们将CPB术前和术后血清分别与AT-Ⅱ共同孵育,测定培养上清液中的丙二醛(MDA)、乳酸脱氢酶(LDH)和碱性磷酸酶(AKP)释放情况,并观察AT-Ⅱ凋亡变化。
1 材料和方法
, 百拇医药
1.1 体外原代培养大鼠AT-Ⅱ 采用IgG免疫粘附选择法[1]培养Wistar大鼠AT-Ⅱ。细胞在IgG包被的培养瓶中培养,1 h后倒出培养液,离心后按106个/ml的细胞浓度加入24孔培养板或加入预置盖玻片的6孔培养板,实验时间从此点起算。采用鞣酸多彩染色(×200)和电镜法行细胞鉴定。台盼蓝染色法测定细胞活力。
1.2 CPB血清的准备
选取8例室间隔缺损患者,年龄(2.2±0.8)岁,于麻醉诱导成功后5min(术前)和转流停止(术后)无菌采血,离心后分离血清,灭活补体活性,-70 ℃保存。
1.3 实验分组
1.3.1对照组 细胞培养23 h后吸尽培养液,按1∶10比例配制CPB术前血清和DMEM培养液后加入培养板。
, http://www.100md.com 1.3.2 损伤组 按1∶10比例配制CPB术后血清和DMEM培养液加入培养板。
1.3.3 R-GSH组 按1∶10比例配制CPB术后血清和DMEM培养液加入培养板,同时还加入1.6 mmol/L的R-GSH(浓度根据预实验结果和文献[2])。
1.4 板层小体图像分析
取出盖玻片行鞣酸染色,用重庆大学编制的TigerTM细胞图像分析仪行半定量分析,每一玻片任选 5个视野,光镜下检测板层小体阳性细胞积分光密度(IOD)和平均光密度(AOD)值。
1.5 AT-Ⅱ培养液MDA、LDH和AKP测定
分别在细胞培养2、8和18 h时吸取100 μl上清液,-70 ℃保存。按南京建成生物工程研究所试剂盒说明书测定,用722分光光度计比色。
, 百拇医药
1.6 AT-Ⅱ凋亡检测
1.6.1AT-Ⅱ凋亡率测定 采用罗氏公司原位凋亡检测试剂盒检测,方法为TUNEL法。光镜下棕黄色细胞为阳性凋亡细胞,无显色为阴性,随机计数10个视野中阳性、阴性细胞。
1.6.2 DNA梯状电泳检测 抽提细胞DNA后按文献[3]方法行梯状电泳检测。
1.6.3 bcl-2免疫组化 bcl-2单抗购自博士德公司,采用博士德公司SABC免疫组化试剂盒测定。根据颜色深浅将阳性分为+、+ +、+ + +。
1.7 统计学处理
采用单因素方差分析和t检验行统计学分析。
, 百拇医药 2 结果
2.1 AT-Ⅱ培养和鉴定
原代培养 AT-Ⅱ可收获3×107个/鼠,纯度90%,活细胞率为98%。透射电镜可见细胞中典型的板层小体,见图1。鞣酸多彩染色可见褐色嗜锇小体,见图2。
图1 细胞中典型的板层状小体 (TEM×6 000)
Fig 1 Multilameller body in cell (TEM×6 000)
图2 鞣酸多彩染色可见不均匀分布在核周的大小不一的
, 百拇医药
褐色嗜锇板层小板,细胞聚集成小岛状 (×200)
Fig 2 Tannic acid stain.Osmiophilic multilameller body with different size and distributed around the nuclei,some cells gathered as an island (×200)
2.2 板层小体图像分析
损伤组和R-GSH组的IOD、AOD值均十分显著地低于对照组,R-GSH组IOD值与损伤组差异显著,见表1。
表1 板层小体图像分析结果(
Tab 1 Image analysis of multilameller body (
, 百拇医药
Cell number
IOD
AOD
Control
65
240.2±712.00
2.1810±0.1783
Injury
40
1020.1±542.03*
2.0915±0.1811*
, 百拇医药
R-GSH
40
1460.6±992.69
2.1257±0.1933
*:P<0.01 vs control,#:P<0.05 vs injury
2.3 培养液中MDA、LDH和AKP的变化 损伤组和R-GSH组培养液中MDA、LDH随培养时间延长逐渐升高,18 min达到高峰。损伤组、R-GSH组与对照组相差显著,R-GSH组与损伤组相差显著,见表2。
表2 培养液中MDA、LDH和AKP的变化(
, 百拇医药
Tab 2 Changes of MDA、LDH and AKP in supernant(
MDA(CB/mmol*L-1)
LDH(U/L)
AKP(U/L)
Control
Injury
R-GSH
Control
Injury
, http://www.100md.com
R-GSH
Control
Injury
R-GSH
2
2.28±0.08
4.38±0.09*
2.83±0.06* #
20.13±3.68
89.00±9.77*
45.63±6.91* #
, http://www.100md.com
4.07±0.22
6.55±0.43*
4.10±0.18* #
8
2.51±0.05
5.78±0.03
4.53±0.04* #
36.38±5.93
179.5±9.30* #
89.88±7.38* #
, 百拇医药
5.01±0.26
20.91±0.64*
8.89±0.66* #
18
2.94±0.21
7.56±0.26*
6.06±0.12* #
95.63±37.74
361.7±31.7*
234.3±61.3* #
, 百拇医药
5.76±0.38
35.23±0.83*
13.41±0.86* #
*:P<0.01 vs control,#:P<0.01 vs injury
2.4 CPB血清导致培养细胞凋亡
AT-Ⅱ在加入术后血清后凋亡率上升,DNA电泳可见明显的DNA碎裂梯带,bcl-2表达增强,说明术后血清能加速 AT-Ⅱ凋亡,见表3。
表3 细胞凋亡率和bcl-2免疫组化测定(
, 百拇医药
Tab 3 Apoptosis rate and bcl-2 level (
Control
Injury
R-GSH
Apoptosis rate
6.32±2.25
28.33±0.82*
20.17±0.77*#
bcl-2
, 百拇医药
0~+
+ +~+ + +
+~+ +
*:P<0.01 vs control;#:P<0.01 vs injury
3 讨论
CPB时血清可透过肺毛细血管屏障,由于补体激活、血小板和白细胞聚集、氧自由基脂质过氧化损伤 AT-Ⅱ,导致 AT-Ⅱ合成和释放肺表面活性物质减少,并可造成 AT-Ⅱ肿胀、核固缩、细胞器破坏。由于研究心内直视手术中肺损伤的常有方法如肺活检、支气管肺泡灌洗(BAL)有取材、操作等困难,因此我们采用体外培养细胞法观察 AT-Ⅱ具体的损伤情况,并推测 CPB术中人 AT-Ⅱ可能发生类似变化,以便采取相应的术中保护措施。罗奇志等[4]研究烟雾吸入性损伤血清对PMN粘附的影响时也采用了类似方法。
, 百拇医药
板层小体是肺表面活性物质(PS)贮存和释放的场所,实验发现 CPB血清能减少板层小体IOD和AOD值,结合肺损伤导致支气管肺泡灌洗液和肺组织中PS减少的文献报道,这可能表明PS合成减少或降解增加,机制可能是:(1)氧自由基灭活 AT-Ⅱ的Na+通道,抑制其能量代谢与PS合成;(2)直接破坏PS的脂质代谢和结构,引起肺组织脂质过氧化。
MDA量反映细胞内脂质过氧化程度,LDH是胞浆标志酶,AKP为膜标志酶,也是 AT-Ⅱ分化的特异标志物,三者的升高能更好地表明AT-Ⅱ的受损。实验表明CPB术后血清在体外对 AT-Ⅱ有明显的脂质过氧化作用。
尽管CPB血清具体损伤机制复杂,尚需进一步探讨,但氧自由基很可能是导致细胞凋亡的重要原因,其机制可能为:氧自由基介导与凋亡有关的DNA损伤导致聚ADP核糖转移酶的活化和p53的积累;刺激一些死亡基因程序,活化对氧化应激敏感的核转录因子NF-κB和AP-1。bcl-2基因是细胞凋亡的抑制基因,在因谷胱甘肽缺乏而发生凋亡的神经元细胞中,bcl-2的表达与氧自由基减少及降低细胞组织的氧化损伤相关,因此有人提出bcl-2可能通过一种抗氧化剂作用或通过抑制氧自由基的产生而抑制细胞凋亡[5]。
, http://www.100md.com
R-GSH是一种巯基类抗氧化剂,它通过提供还原巯基维持含巯基酶和蛋白质稳定。Aerts等[6]发现AT-Ⅱ内GSH水平与细胞损伤指数成负相关,认为胞内GSH的调节是 AT-Ⅱ防止高氧损伤的重要机制。况九龙等也发现GSH含量降低(主要以R-GSH为主)可能引起其氧化-抗氧化系统失衡从而增加AT-Ⅱ对氧化损伤的易感性[7]。研究表明R-GSH在体外能减轻氧自由基对培养人小肠上皮细胞的损伤[2],且能减少培养大鼠嗜铬细胞瘤细胞的凋亡[8]。本研究表明R-GSH在体外能减轻CPB术后血清对培养大鼠AT-Ⅱ的损伤及促凋亡作用,机制可能是:(1)体外直接对抗氧自由基的作用;(2)维持细胞内GSH稳定。
因此,为达到良好的临床肺保护效果,在CPB围术期应加强抗氧化治疗。运用R-GSH类药物 (新药阿拓莫兰等)是一项值得推荐的措施。
作者简介:郝嘉(1973-),男,四川省荣县人,硕士,助教,主要从事体外循环肺保护方面的研究,发表论文5篇。
, http://www.100md.com
参考文献:
[1]郝 嘉,李永旺,肖颖彬.大鼠肺泡Ⅱ型上皮细胞体外培养和鉴定[J].第三军医大学学报,2000,5(22):500-501.
[2]廖贤平,余亚雄,施诚仁,等.氧自由基对人类小肠上皮细胞的损伤作用及药物保护[J].中华小儿外科杂志,1994,15(5):295-297.
[3]胡庆柳,丁振华,谭小华.凋亡而不出现DNA梯形带一例[J].细胞生物学杂志,1998,20(2):76-78.
[4]罗奇志,杨宗城,杨天德,等.烟雾吸入性损伤血清对PMN粘附的影响[J].第三军医大学学报,1999,21(5):318-320.
[5]Dharmarajan A M,Hisheh S,Singh B,et al.Antioxidants mimic the ability of chorionic gonadotropin to suppress apoptosis in the rabbit corpus luteum in vitro:A novel role for superoxide dismutase in regulating bax expression[J].Endocrinology,1999,140(4):2555-2561.
, 百拇医药
[6]Aerts C,Wallaert B,Voisin C.In vitro effects of hyperoxia on alveolar type Ⅱpneumocytes:Inhibition of glutathione synthesis increases hyperoxic cell injury[J].Exp Lung Res,1992,18(6):845-861.
[7]况九龙,颜春松,邱小华,等.急性肺损伤谷胱甘肽的实验研究[J].江西医学院学报,1998,38(1):7-12.
[8]周国庆,周孝达,王桂松,等.多巴胺和谷胱甘肽对PC12细胞凋亡的影响[J].上海第二医科大学学报,1999,19(1):44-46.
收稿日期:2000-01-14
修回日期:2000-07-18, http://www.100md.com