小切口有限内固定加外固定器治疗胫腓骨骨折
小切口有限内固定加外固定器治疗胫腓骨骨折
肖元洪 胡四生
摘 要 目的:介绍小切口有限内固定加外固定器治疗复杂胫腓骨骨折的方法并对治疗结果进行评估。方法:255例中89例复杂胫腓骨骨折,采用小切口有限内固定(螺钉、钢丝、克氏针或丝线)后加外固定器固定。术后早期酌情纵向加压,外固定器动力化锻炼。结果:术后随访12~84个月,平均愈合时间4~5个月,再移位数5例(5.88%)。结论:小切口有限内固定结合外固定器治疗复杂胫腓骨骨折可以避免伤口并发症,缩短骨折愈合时间,减少骨折延迟愈合、骨不连的出现,是治疗胫腓骨骨折的有效方法。
关键词:胫骨;腓骨;骨折;外固定器
, 百拇医药
近年来我们采用小切口有限内固定加外固定器治疗复杂性胫腓骨骨折,取得满意疗效,介绍如下:
1 临床资料
1.1一般资料
自1992年5月~1998年5月采用上海市第六人民医院于仲嘉设计的单边多功能外固定器治疗胫腓骨骨折255例。其中男性190例,女性65例,年龄6~72岁(平均41.3岁)。单纯胫骨骨折71例,胫腓骨骨折184例,4例为双侧胫腓骨骨折。开放性骨折93例,闭合骨折145例,陈旧骨折17例。按胫骨骨折部位分:上段25例,中段80例,下段38例,中上段7例,中下段105例。按骨折线的类型分:横型骨折15例,斜型49例,螺旋型56例,粉碎型125例,涉及关节面的骨折10例。
1.2 手术方法和术后处理
本组病例将外固定器作为最初和最终的治疗方法。33例采用闭合复位,222例采用小切口直视下复位。其中93例开放性骨折是清创时利用原创口或扩大原创口或另行小切口复位。89例长斜型,螺旋型或粉碎型骨折在小切口切开复位时,加用有限内固定(螺丝钉、钢丝、克氏针或丝线)。另有25例(其中17例为陈旧性骨折)在术中同时植入自体松质骨。
, 百拇医药
术后每天检查外固定器螺丝是否松动。不轻易拧松外固定器螺丝以防骨折移位。若有成角畸形,可于术后6周松开球形万向关节矫正。除6例超关节固定外,术后6~8周行外固定器纵向加压,每1~2周1次,以消除骨折端因坏死形成的间隙,使骨折面紧密接触。对于较稳定的骨折(横型,短斜型),术后12~14周可酌情移去连杆上的延长器,使外固定器动力化,即使骨折部位产生纵向压力刺激。
1.3 结 果
本组255例中241例获随访。随访时间12~84个月(平均36.6个月)。随访例数,再移位数及平均骨愈合时间如表1。本组病例发生并发症情况如表2。
表1 胫腓骨骨折外固定器治疗疗效
总例数
随访 例数
再移位数
, 百拇医药
(%)
平均愈合
时间(月)
Ⅰ组
闭合复位
+外固定器
33
30
2(6.67)
4.1
Ⅱ组
小切口切开复位
+外固定器
, 百拇医药
133
126
26(20.63)
7.7
Ⅲ组
小切口有限内固定
+外固定器
89
85
5(5.88)
4.5
(注:Ⅰ组病例多为无移位骨折;Ⅲ组病例多为粉碎位移较多的复杂性骨折;陈旧骨折17例中15例植骨成活,另外8例新鲜骨折行松质骨植骨,但不在本文讨论范围内。)
, http://www.100md.com
例1:男性,39岁,因车祸造成左小腿大片皮肤撕裂,骨折外露1h。X线片示左胫腓骨上中及中下段两处粉碎骨折,清创术中将骨折复位,2枚螺钉加外固定器固定。术后伤口Ⅱ/甲愈合,6周扶双拐下地活动,随访6个月骨折愈合。
表2 外固定器治疗胫腓骨骨折之并发症
Ⅰ组
Ⅱ组
Ⅲ组
延迟愈合(>32周)
畸形愈合
骨不连,再骨折
骨质疏松
关节活动受限
, 百拇医药
钉道感染
断 钉
1
0
1
0
0
1
1
9
2
3
11
6
, 百拇医药
8
1
3
1
1
4
2
4
0
例2:男性,37岁,因车祸造成左小腿肿痛,畸形,不能行走2h。X线片示左胫骨上段、中下段两处骨折,行小切口切开,螺钉、克氏针加外固定器固定,术后1个月扶拐行走。随访4个月骨折愈合。
2 讨 论
, 百拇医药 胫腓骨骨折,特别是高能量损伤情况下,常表现为创口面积大,骨折粉碎,污染严重。如何进行有效的固定,以保持骨折复位状态,亦能进行功能锻炼,常常是临床治疗所面临的挑战。外固定、骨牵引等方法常不能满足该类病例的固定要求,使治疗周期延长,加重患者及社会的负担。由于软组织损伤严重,加上胫骨部皮肤血运较差,用钢板作为初期治疗手段进行内固定时,常会引起严重的伤口并发症及骨折延迟愈合。单边多功能外固定器技术治疗复杂胫腓骨骨折,显示出其独特的优点。它不仅结构简单,操作方便,固定可靠,还能让我们更加自由地处理严重的软组织损伤,这使得越来越多的学者将其作为复杂胫腓骨骨折治疗,特别是初期治疗的首选方法。在临床上常发现对于一些复杂的胫腓骨骨折,特别是骨折端不相接触或存在骨缺损的病例。如果只简单行外固定器固定,常出现延迟愈合甚至骨不连。究其原因是因为骨折固定的牢固性很大程度取决于骨折端间的力学稳定性[1]。用外固定器治疗骨折时,如果骨折端紧密接触,轴向压应力有97%由骨折端传递,否则轴向压应力几乎全由外固定器承担[2]。对于复杂胫腓骨骨折,如果只简单行外固定器固定,骨折端常留下极度的不稳定界面,无疑这将失去维护外固定器刚度的一个重要因素。从而使之在最早期负重时,引起骨折界面的过度活动。此时,即使存在生物学骨痂反应,也必将造成骨痂的反复断裂,导致骨折延迟愈合。因此,我们在治疗长斜形、螺旋形以及一些粉碎性胫腓骨骨折时,先行有限内固定手术,即作有限切开,切口小,不过多剥离骨膜,血供破坏少,对骨愈合无多大影响。直视下进行复位,用螺丝钉、钢丝、克氏针等进行有限内固定,使骨折端达到或接近解剖复位,然后用外固定器固定。这样的固定更为可靠有效,大大地缩短了骨折愈合的时间,收到了满意的疗效。
, http://www.100md.com
任何治疗方法都有其局限性,外固定器当然也有它的缺点。我们以往用外固定器治疗胫腓骨骨折时出现了诸如钉道感染、断钉,骨质疏松等并发症。本组病例经适当处理均有效地防止了这些并发症的发生。
图1 病例1,男,35岁;
图1b MRI知状闰C2I度弱前脱位,椎体前缘不齐。
, http://www.100md.com
图1c 1d 冠状位、轴位未见骨折线。
图1c 1d 冠状位、轴位未见骨折线。
图2a X线片反映为C2椎弓根部骨折。
图2b MRI矢状位几乎无任何变化。
, 百拇医药
作者简介:肖元洪(1946-),男,安徽省歙县人,副主任医师,学士学位。研究方向:创伤骨科。电话:(0559)6535261(办)
肖元洪(安徽歙县人民医院, 245200)
胡四生(安徽省黄山市人民医院)
参考文献:
[1] 刘云鹏,姜俊杰,王海.单侧纵轴动力外固定器治疗胫腓骨骨折致骨延迟愈合的生物力学研究与临床[J].中华骨科杂志,1999,19(10):607~609.
[2] 李起鸿.骨外固定技术临床应用中的几个问题[J].中华骨科杂志,1996,16(10):604., 百拇医药
肖元洪 胡四生
摘 要 目的:介绍小切口有限内固定加外固定器治疗复杂胫腓骨骨折的方法并对治疗结果进行评估。方法:255例中89例复杂胫腓骨骨折,采用小切口有限内固定(螺钉、钢丝、克氏针或丝线)后加外固定器固定。术后早期酌情纵向加压,外固定器动力化锻炼。结果:术后随访12~84个月,平均愈合时间4~5个月,再移位数5例(5.88%)。结论:小切口有限内固定结合外固定器治疗复杂胫腓骨骨折可以避免伤口并发症,缩短骨折愈合时间,减少骨折延迟愈合、骨不连的出现,是治疗胫腓骨骨折的有效方法。
关键词:胫骨;腓骨;骨折;外固定器
, 百拇医药
近年来我们采用小切口有限内固定加外固定器治疗复杂性胫腓骨骨折,取得满意疗效,介绍如下:
1 临床资料
1.1一般资料
自1992年5月~1998年5月采用上海市第六人民医院于仲嘉设计的单边多功能外固定器治疗胫腓骨骨折255例。其中男性190例,女性65例,年龄6~72岁(平均41.3岁)。单纯胫骨骨折71例,胫腓骨骨折184例,4例为双侧胫腓骨骨折。开放性骨折93例,闭合骨折145例,陈旧骨折17例。按胫骨骨折部位分:上段25例,中段80例,下段38例,中上段7例,中下段105例。按骨折线的类型分:横型骨折15例,斜型49例,螺旋型56例,粉碎型125例,涉及关节面的骨折10例。
1.2 手术方法和术后处理
本组病例将外固定器作为最初和最终的治疗方法。33例采用闭合复位,222例采用小切口直视下复位。其中93例开放性骨折是清创时利用原创口或扩大原创口或另行小切口复位。89例长斜型,螺旋型或粉碎型骨折在小切口切开复位时,加用有限内固定(螺丝钉、钢丝、克氏针或丝线)。另有25例(其中17例为陈旧性骨折)在术中同时植入自体松质骨。
, 百拇医药
术后每天检查外固定器螺丝是否松动。不轻易拧松外固定器螺丝以防骨折移位。若有成角畸形,可于术后6周松开球形万向关节矫正。除6例超关节固定外,术后6~8周行外固定器纵向加压,每1~2周1次,以消除骨折端因坏死形成的间隙,使骨折面紧密接触。对于较稳定的骨折(横型,短斜型),术后12~14周可酌情移去连杆上的延长器,使外固定器动力化,即使骨折部位产生纵向压力刺激。
1.3 结 果
本组255例中241例获随访。随访时间12~84个月(平均36.6个月)。随访例数,再移位数及平均骨愈合时间如表1。本组病例发生并发症情况如表2。
表1 胫腓骨骨折外固定器治疗疗效
总例数
随访 例数
再移位数
, 百拇医药
(%)
平均愈合
时间(月)
Ⅰ组
闭合复位
+外固定器
33
30
2(6.67)
4.1
Ⅱ组
小切口切开复位
+外固定器
, 百拇医药
133
126
26(20.63)
7.7
Ⅲ组
小切口有限内固定
+外固定器
89
85
5(5.88)
4.5
(注:Ⅰ组病例多为无移位骨折;Ⅲ组病例多为粉碎位移较多的复杂性骨折;陈旧骨折17例中15例植骨成活,另外8例新鲜骨折行松质骨植骨,但不在本文讨论范围内。)
, http://www.100md.com
例1:男性,39岁,因车祸造成左小腿大片皮肤撕裂,骨折外露1h。X线片示左胫腓骨上中及中下段两处粉碎骨折,清创术中将骨折复位,2枚螺钉加外固定器固定。术后伤口Ⅱ/甲愈合,6周扶双拐下地活动,随访6个月骨折愈合。
表2 外固定器治疗胫腓骨骨折之并发症
Ⅰ组
Ⅱ组
Ⅲ组
延迟愈合(>32周)
畸形愈合
骨不连,再骨折
骨质疏松
关节活动受限
, 百拇医药
钉道感染
断 钉
1
0
1
0
0
1
1
9
2
3
11
6
, 百拇医药
8
1
3
1
1
4
2
4
0
例2:男性,37岁,因车祸造成左小腿肿痛,畸形,不能行走2h。X线片示左胫骨上段、中下段两处骨折,行小切口切开,螺钉、克氏针加外固定器固定,术后1个月扶拐行走。随访4个月骨折愈合。
2 讨 论
, 百拇医药 胫腓骨骨折,特别是高能量损伤情况下,常表现为创口面积大,骨折粉碎,污染严重。如何进行有效的固定,以保持骨折复位状态,亦能进行功能锻炼,常常是临床治疗所面临的挑战。外固定、骨牵引等方法常不能满足该类病例的固定要求,使治疗周期延长,加重患者及社会的负担。由于软组织损伤严重,加上胫骨部皮肤血运较差,用钢板作为初期治疗手段进行内固定时,常会引起严重的伤口并发症及骨折延迟愈合。单边多功能外固定器技术治疗复杂胫腓骨骨折,显示出其独特的优点。它不仅结构简单,操作方便,固定可靠,还能让我们更加自由地处理严重的软组织损伤,这使得越来越多的学者将其作为复杂胫腓骨骨折治疗,特别是初期治疗的首选方法。在临床上常发现对于一些复杂的胫腓骨骨折,特别是骨折端不相接触或存在骨缺损的病例。如果只简单行外固定器固定,常出现延迟愈合甚至骨不连。究其原因是因为骨折固定的牢固性很大程度取决于骨折端间的力学稳定性[1]。用外固定器治疗骨折时,如果骨折端紧密接触,轴向压应力有97%由骨折端传递,否则轴向压应力几乎全由外固定器承担[2]。对于复杂胫腓骨骨折,如果只简单行外固定器固定,骨折端常留下极度的不稳定界面,无疑这将失去维护外固定器刚度的一个重要因素。从而使之在最早期负重时,引起骨折界面的过度活动。此时,即使存在生物学骨痂反应,也必将造成骨痂的反复断裂,导致骨折延迟愈合。因此,我们在治疗长斜形、螺旋形以及一些粉碎性胫腓骨骨折时,先行有限内固定手术,即作有限切开,切口小,不过多剥离骨膜,血供破坏少,对骨愈合无多大影响。直视下进行复位,用螺丝钉、钢丝、克氏针等进行有限内固定,使骨折端达到或接近解剖复位,然后用外固定器固定。这样的固定更为可靠有效,大大地缩短了骨折愈合的时间,收到了满意的疗效。
, http://www.100md.com
任何治疗方法都有其局限性,外固定器当然也有它的缺点。我们以往用外固定器治疗胫腓骨骨折时出现了诸如钉道感染、断钉,骨质疏松等并发症。本组病例经适当处理均有效地防止了这些并发症的发生。
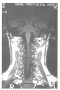
图1 病例1,男,35岁;
图1b MRI知状闰C2I度弱前脱位,椎体前缘不齐。
, http://www.100md.com
图1c 1d 冠状位、轴位未见骨折线。
图1c 1d 冠状位、轴位未见骨折线。
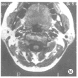
图2a X线片反映为C2椎弓根部骨折。
图2b MRI矢状位几乎无任何变化。
, 百拇医药
作者简介:肖元洪(1946-),男,安徽省歙县人,副主任医师,学士学位。研究方向:创伤骨科。电话:(0559)6535261(办)
肖元洪(安徽歙县人民医院, 245200)
胡四生(安徽省黄山市人民医院)
参考文献:
[1] 刘云鹏,姜俊杰,王海.单侧纵轴动力外固定器治疗胫腓骨骨折致骨延迟愈合的生物力学研究与临床[J].中华骨科杂志,1999,19(10):607~609.
[2] 李起鸿.骨外固定技术临床应用中的几个问题[J].中华骨科杂志,1996,16(10):604., 百拇医药