大鼠中枢神经系统结缔组织生长因子免疫反应阳性细胞的发育
作者:苏炳银 蔡文琴 张成岗 Perbal. B
单位:苏炳银 蔡文琴 张成岗(第三军医大学基础医学部组织学与胚胎学教研室, 重庆 400038);Perbal. B(Universite Paris Ⅶ, Paris, France)
关键词:结缔组织生长因子;免疫细胞化学;中枢神经系统;大鼠;发育
第三军医大学学报001205
提 要: 目的 研究E8~P300大鼠中枢神经系统(CNS)结缔组织生长因子(CTGF)免疫反应阳性细胞的发育规律。方法 应用免疫细胞化学方法检测大鼠中枢神经系统CTGF免疫反应阳性细胞在不同发育阶段的变化情况。结果 出生前大鼠CNS未检测到CTGF免疫反应阳性细胞。出生后早期较少,而后逐渐增加。出生后1~2月间出现发育高峰:阳性细胞数量最多,分布范围广泛,阳性信号强。随年龄的增加阳性细胞数量逐渐减少,分布范围逐渐减小。阳性细胞主要是大脑扣带皮质、纹状皮质、海马、下丘脑、小脑的神经元和脊髓白质的星形胶质细胞、室管膜细胞。阳性细胞具长突起,且突起显示较强阳性信号。结论 CTGF在CNS的发育、分化及正常生理功能中起作用。
, http://www.100md.com
中图法分类号: R322.81;R338.2 文献标识码: A
文章编号:1000-5404(2000)12-1135-04
A developmental study on the localization of CTGF-immunoreactive cells in the rat central nervous system
SU Bing-yin, CAI Wen-qin, ZHANG Cheng-gang, Perbal. B
(Department of Histology and Embryology, Third Military Medical University, Chongqing 400038, China)
Abstract: Objective To study the development of connective tissue growth factor (CTGF) immunoreactive cells in the central nervous system(CNS)of E8-P300 rats. Methods The changes of CTGF immunoreactive cell in CNS of E8-P300 rats in different developmental stages were detected by immunocytochemical method. Results No CTGF-immunoreactive cells were detected in the CNS of rats during prenatal development. A few of positive cells were found at the early postnatal stage. However, the positive cells were increased gradually later on and were widely distributed in CNS of rats during P30-P60, and the number of positive cells was largest at this stage. After then, the number and staining intensity of CTGF-positive cells were decreased gradually with age. The positive cells were the astrocytes, ependymal cells in white matter of spinal cord and the neurons mainly locating in cingulate cortex, striatum, hippocampus, hypothalamus and cerebellum. CTGF positive cells usually with long processed and the process showed stronger positive signal. Conclusion The results indicate CTGF may play an important role in the development, differentiation and function of CNS.
, 百拇医药
Key words: connective tissue growth factor; immunocytochemistry; central nervous system; rat; development
结缔组织生长因子(Connective tissue growth factor, CTGF)是一种38×103富含半胱氨酸的分泌蛋白[1]。属于近年发现的一个新的即刻早期基因家族——CCN
家族的成员。探讨早期基因与CNS发育的关系是研究CNS发育、分化、衰老机制的重要途径之一,我们先前的研究证实与CTGF属同一家族且分子结构相似的nov基因与中枢神经系统发育、分化密切相关[2~7],而CTGF与神经系统发育、分化的关系国内外尚未见文献报道。因此,本实验的目的是通过检测大鼠中枢神经系统中CTGF免疫反应阳性细胞的发育和分布,探讨CTGF与中枢神经系统发育、分化的相关性及其在神经系统的可能作用。
, http://www.100md.com
1 材料和方法
1.1 试剂 兔抗CTGF血清由法国巴黎第七大学居里研究所提供。免疫组化染色S-PTM试剂盒为美国ZYMED公司的产品,购自北京中山生物试剂有限公司。DAB为美国Sigma公司的产品。
1.2 材料
Wistar大鼠,体重200~230 g,雌、雄分笼饲养数日,合笼后至检出阴栓为E0,出生时记为P0 ,胚胎标本取材时直接将怀孕8、10、15、18 d母鼠断头,取胚胎浸入Zamboni液中,立即分离出胎脑每组5个,置Zamboni液中固定5h。生后标本分别取P0~P5、P8、P14、P30、P60、P150和P300每组5只,断头取脑、脊髓于Zamboni液中固定10h,再浸入含30%蔗糖的Zamboni液中(4℃)至组织块沉入瓶底,30μm厚连续冰冻切片漂于Zamboni液中备用。
, 百拇医药
1.3 免疫组化
采用ABC方法行免疫组织化学染色。具体步骤为:将切片置于3%的H2O2中处理15min,封闭内源性过氧化物酶的活性。PBS中漂洗,5min,3次,于5%的正常羊血清中继续封闭10min,倾去血清,加入兔抗CTGF血清(工作浓度1∶250),4℃中孵育过夜。PBS中漂洗,5min,3次。加入生物素标记的抗兔IgG(工作浓度1∶200),37℃中孵育2h。PBS中漂洗,5min,3次。加入HRP标记的链霉亲和素(工作浓度1∶200),37℃中孵育1h。PBS中漂洗,5min,3次。随后用DAB显色液进行显色。对照试验用PBS替代兔抗CTGF血清进行孵育,其余操作与上述一致。
1.4 图像分析及数据统计
用Tiger920图像分析系统(重庆大学)测定各发育阶段CTGF蛋白的相对含量。光学显微镜下(×100),在相应脑区或核团,每例随机测10个单位面积,每组共测50个单位面积(其中,小脑皮质以蒲肯野细胞层为对角线随机取样),经计算机打印出每个单位面积CTGF蛋白免疫反应阳性物质相对含量的平均值及标准差(
±s),进行t检验。
, 百拇医药
2 结果
2.1 E8-P0
CNS中未检测到CTGF免疫反应阳性细胞。
2.2 P1-P5
在大脑扣带皮质中检测到CTGF阳性神经元,主要为内锥体层的大锥体细胞,胞体和顶树突免疫反应阳性中等。扣带后皮质较扣带前皮质阳性信号强。海马结构仅呈很弱的阳性反应,主要集中在海马裂。丘脑和下丘脑亦显示出很弱的阳性。第三、第四脑室室管膜细胞或伸展细胞阳性很弱,呈色浅淡。
2.3 P8
除扣带前后皮质阳性细胞增多,阳性信号增强外,海马CA1-CA4区出现阳性细胞,锥体层阳性细胞较为密集,具有较大的突起,锥体层以外的区域散在阳性细胞,见图1。纹状皮质和颞叶皮质有少量阳性神经元,阳性产物在顶树突具明显分布。未定带散布着为数不多的标记细胞。下丘脑背内侧核密集标记较弱的阳性细胞。隔海马核和尾壳核也有阳性细胞分布。室管膜细胞的阳性信号仍较弱。
, http://www.100md.com
2.4 P14
小脑蒲肯野细胞具较强阳性标记,多分支的树突阳性产物明显,见图2。其它阳性区域与P8类似,只是标记有所增强。
2.5 P30
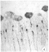
CTGF阳性细胞的分布范围广,阳性信号强。在大脑扣带前皮质和扣带后皮质阳性细胞分布于内锥体层,阳性细胞粗大而长的顶树突具较强的阳性标记,见图3;颞叶听区和纹状皮质内锥体层阳性细胞密集,阳性信号较扣带皮质弱。下丘脑背侧区、未定带阳性标记仍然较弱。小脑蒲肯野细胞阳性信号增强,值得注意的是其树突内具有形状类似于赫令氏体的阳性结构,见图4。在脑桥网状核和三叉神经核散在标记细胞。在冠状切面上,可见尾壳核中的纤维束具明显的阳性标记。扣带白质纤维亦呈阳性。
2.6 P60
在上述脑区和核团的阳性减弱,但脊髓白质星形胶质细胞具强阳性标记,尤以突起中阳性产物明显,见图5。脊髓中央管室管膜细胞为强阳性,尤其是其突起具强烈标记,见图6,第三脑室室管膜细胞阳性标记也很强。
, http://www.100md.com
2.7 P150和P300
脊髓中央管,侧脑室,第三脑室和第四脑室的室管膜细胞仍保持较强的阳性标记。下丘脑第三脑室旁星形胶质纤维呈强阳性反应。其它脑区和核团的阳性很弱。
对照组均未呈色。图像分析结果,见表1。
表1 大鼠脑CTGF蛋白免疫反应阳性物质的含量(
±s)
Tab 1 Content of CTGF protein immunoreactive product in the rat brain(
±s) Developmental stage
n
, http://www.100md.com
Cingulate cortex
CA1 field of Hippocampus
Hypothalamus
Purkinje cell
Spinal cord
E8-P0
5
0
0
0
0
0
, http://www.100md.com
P1-P5
5
0.890±0.083
0.428±0.037
0.261±0.031
0
0
P8
5
1.269±0.140
0.937±0.089
0.369±0.029
, http://www.100md.com
0.647±0.052
0.264±0.036
P14
5
1.653±0.157
0.957±0.084
0.317±0.037
1.493±0.201
0.482±0.042
P30
5
1.952±0.210
, 百拇医药
1.195±0.138
0.426±0.052
1.858±0.241
1.359±0.127
P60
5
1.866±0.178
1.362±0.143
0.571±0.048
1.769±0.194
2.173±0.204
P150
, 百拇医药
5
0.834±0.073
0.687±0.062
0.374±0.036
1.591±0.175
1.876±0.185
P300
5
0.481±0.051
0.428±0.037
0.391±0.044
0.562±0.072
, http://www.100md.com
1.291±0.142
图1 P8,海马CA1区CTGF免疫反应阳性神经元主要位于锥体层,阳性细胞较为密集,具有较粗大的突起,锥体层以外的区域散在阳性细胞 (S-ABC×200)
Fig 1 CTGF immunoreactive neurons mainly localized in pyramidal layer of CA1 field of hippocampus at P8 (S-ABC×200)
图2 P14,小脑蒲肯野细胞具较强阳性标记,多分支的树突中阳性产物明显 (S-ABC×100)
Fig 2 Strong positive signal in the cell body and process of Purkinje cells at P14 (S-ABC×100)
, 百拇医药
图3 P30,扣带后皮质内外锥体层亦检测到阳性神经元,阳性细胞粗大而长的顶树突具较强的阳性标记 (S-ABC×100)
Fig 3 CTGF immunoreactive neurons in pyramidal layer of anterior cingulate cortex at P30,dendrite showed strong positive signal (S-ABC×100)
图4 P30,小脑蒲肯野细胞阳性信号增强,树突内具有形状类似于赫令体的阳性产物 (S-ABC×400)
Fig 4 Increased positive signal in Purkinje cell. Positive products similar to
, 百拇医药
Herring body was found in dendrite (S-ABC×400)
图5 P60,脊髓白质星形胶质细胞具强阳性标记,突起中阳性产物明显 (S-ABC×100)
Fig 5 Strong labeling in astrocytes of the white matter in spinal cord of P60 (S-ABC×100)
图6 P60,脊髓中央管伸展细胞呈CTGF免疫反应强阳性,其突起具强阳性标记 (S-ABC×100)
Fig 6 Strong labeling detected in tanycyte of white matter in spinal cord of P60 (S-ABC×100)
, 百拇医药
3 讨论
CTGF是近年发现的一个新的早期基因家族——CCN家族(CTGF,Cyr61和nov )的主要成员。在此之前,尚无人研究它与神经系统的关系。本实验率先研究了CTGF免疫反应阳性神经元在大鼠中枢神经系统发育过程中定位,我们的研究证实:出生前大鼠中枢神经系统未见CTGF免疫反应阳性细胞。出生后早期较少,生后1~2月间阳性细胞数最多,分布广泛,阳性信号强。随年龄的增长阳性细胞数量逐渐降低,分布范围逐渐减小。阳性细胞主要分布于大脑的扣带皮质、海马、下丘脑等处。值得注意的是这些区域是属于边缘系统。从已知的功能看,边缘系统主要与内脏功能调节,情绪行为和记忆有关。CTGF蛋白除分布于神经元外,在脊髓白质星形胶质细胞、室管膜细胞有较多的分布,而灰质内的胶质细胞未检测到阳性信号。
CTGF免疫反应阳性细胞一般为具长突起的神经元或胶质细胞。在扣带皮质、纹状皮质大锥体细胞的顶树突,小脑蒲肯野细胞的树突,尾壳核的神经纤维束,扣带白质纤维以及脊髓白质的星形胶质细胞的突起,室管膜细胞的细长突起有明显的阳性反应产物分布,在这些部位CTGF是否与这些长突起的功能活动有关,目前尚不清楚。日本学者Igarashi等证实CTGF在硬皮病、瘢痕瘤和其它皮肤硬化组织中的表达与TGFβ显著相关,CTGF在TGFβ诱导的信号通路中起作用,是信号中介者[8,9]。同一早期基因家族中的另一成员Cyr61定位于细胞表面或胞外基质中,且与肝素具有高亲合力,在相邻细胞之间起着细胞-细胞间通讯作用[10]。最近的研究发现CCN家族的另一成员nov为糖蛋白,亦在细胞间通讯中起作用[11]。CTGF与Cyr61和nov的氨基酸序列具有高度的同源性,所含38个半胱氨酸完全保守。它们很可能具有非常相似的功能。CTGF是否以及如何在细胞与细胞间起通讯作用,有待进一步研究。
, http://www.100md.com
以往的研究认为CTGF是一种有丝分裂诱导剂。本实验结果表明在神经系统发育过程中,从出生到成年CTGF的表达逐渐增强,其作用可能是促进细胞的生长、分化和调节神经系统正常生理功能,而与细胞增殖无关,提示CTGF具有多种功能。
我们先前的研究证实在人胚胎中枢神经系统发育过程中nov基因的表达首先在低级中枢出现,然后向高级中枢发展,这与中枢神经系统的发育、分化相一致[2,3]。同时,我们也发现大鼠中枢神经系统个体发育过程中以及多种脊椎动物中枢神经系统的种系发生过程中nov是神经系统发育和分化所必须的调控因素[4~7]。本实验表明CTGF在大鼠中枢神经系统发育过程中的表达模式与nov的表达模式极为相似,提示CTGF基因可能在神经系统功能分化及维持神经系统生理功能中起重要作用。
基金项目:国家自然科学基金资助项目(39900078);全军“九五”科研基金资助项目(98Q059);重庆市应用基础研究课题
, 百拇医药
作者简介:苏炳银(1962-),男,四川省眉山市人,博士,副教授,主要从事中枢神经系统发育和再生方面的研究,发表论文21篇。电话:(023)68752204
参考文献:
[1] Bradham D M, Igarashi A, Potter R L, et al. Connective tissue growth factor: a cysteine-rich mitogen secreted by human vascular endothelial cells is related to the SRC-induced immediate early gene product CEF-10[J]. J Cell Biol,1991,114(6):1 285-1 294.
[2] Su B Y, Cai W Q, Zhang C G, et al. A developmental study of novH gene expression in human central nervous system[J]. Development Biology,1998,321(8):883-892.
, 百拇医药
[3] 苏炳银,蔡文琴,张成岗,等. 人胚胎中枢神经系统NOV mRNA神经元的发育-原位杂交研究[J]. 解剖学报,1999,30(1): 48-51.
[4] 苏炳银,蔡文琴,张成岗,等.肾母细胞瘤过度表达基因mRNA在成年大鼠中枢神经系统的原位杂交定位[J].解剖学报,1998,29(2): 151-155.
[5] Su B Y, Cai W Q, Zhang C G, et al. A developmental study on the immunocytochemical localization of NOV protein-containing neurons in the rat brain[J]. Chinese Science Bulletin, 1999, 44(15): 1 397-1 401.
[6] 苏炳银,蔡文琴,张成岗,等.大鼠中枢神经系统肾母细胞瘤过度表达基因mRNA神经元的发育:原位杂交与RT-PCR研究[J]. 解剖学报,1999,30(2): 119-123.
, 百拇医药
[7] 苏炳银,蔡文琴,张成岗,等.NOV蛋白免疫反应阳性神经元在鲢、鸡和几种哺乳动物脑的比较发育[J].第三军医大学学报,1998,20(6):500-503.
[8] Grotendorst G R. Connective tissue growth factor: a mediator of TGF-beta action on fibroblasts[J]. Cytokine Growth Factor Rev,1997, 8(3): 171-179.
[9] Grotendorst G R, Okochi H, Hayashi N. A novel transforming growth factor beta response element controls the expression of the connective tissue growth factor gene[J]. Cell Growth Differ,1996, 7(4): 469-480.
, http://www.100md.com
[10] Jay P, Berge-Lefranc J L, Marsollier C, et al. The human growth factor-inducible immediate early gene, cyr61, maps to chromosome 1p[J]. Oncogene,1997,14(14):1 753-1 757.
[11] Chevalier G, Yeger H, Martinerie C, et al. novH: differential expression in developing kidney and Wilm's tumors[J]. Am J Pothol, 1998, 152(6): 1 563-1 675.
收稿日期:2000-03-17;修回日期:2000-07-14, http://www.100md.com
单位:苏炳银 蔡文琴 张成岗(第三军医大学基础医学部组织学与胚胎学教研室, 重庆 400038);Perbal. B(Universite Paris Ⅶ, Paris, France)
关键词:结缔组织生长因子;免疫细胞化学;中枢神经系统;大鼠;发育
第三军医大学学报001205
提 要: 目的 研究E8~P300大鼠中枢神经系统(CNS)结缔组织生长因子(CTGF)免疫反应阳性细胞的发育规律。方法 应用免疫细胞化学方法检测大鼠中枢神经系统CTGF免疫反应阳性细胞在不同发育阶段的变化情况。结果 出生前大鼠CNS未检测到CTGF免疫反应阳性细胞。出生后早期较少,而后逐渐增加。出生后1~2月间出现发育高峰:阳性细胞数量最多,分布范围广泛,阳性信号强。随年龄的增加阳性细胞数量逐渐减少,分布范围逐渐减小。阳性细胞主要是大脑扣带皮质、纹状皮质、海马、下丘脑、小脑的神经元和脊髓白质的星形胶质细胞、室管膜细胞。阳性细胞具长突起,且突起显示较强阳性信号。结论 CTGF在CNS的发育、分化及正常生理功能中起作用。
, http://www.100md.com
中图法分类号: R322.81;R338.2 文献标识码: A
文章编号:1000-5404(2000)12-1135-04
A developmental study on the localization of CTGF-immunoreactive cells in the rat central nervous system
SU Bing-yin, CAI Wen-qin, ZHANG Cheng-gang, Perbal. B
(Department of Histology and Embryology, Third Military Medical University, Chongqing 400038, China)
Abstract: Objective To study the development of connective tissue growth factor (CTGF) immunoreactive cells in the central nervous system(CNS)of E8-P300 rats. Methods The changes of CTGF immunoreactive cell in CNS of E8-P300 rats in different developmental stages were detected by immunocytochemical method. Results No CTGF-immunoreactive cells were detected in the CNS of rats during prenatal development. A few of positive cells were found at the early postnatal stage. However, the positive cells were increased gradually later on and were widely distributed in CNS of rats during P30-P60, and the number of positive cells was largest at this stage. After then, the number and staining intensity of CTGF-positive cells were decreased gradually with age. The positive cells were the astrocytes, ependymal cells in white matter of spinal cord and the neurons mainly locating in cingulate cortex, striatum, hippocampus, hypothalamus and cerebellum. CTGF positive cells usually with long processed and the process showed stronger positive signal. Conclusion The results indicate CTGF may play an important role in the development, differentiation and function of CNS.
, 百拇医药
Key words: connective tissue growth factor; immunocytochemistry; central nervous system; rat; development
结缔组织生长因子(Connective tissue growth factor, CTGF)是一种38×103富含半胱氨酸的分泌蛋白[1]。属于近年发现的一个新的即刻早期基因家族——CCN
家族的成员。探讨早期基因与CNS发育的关系是研究CNS发育、分化、衰老机制的重要途径之一,我们先前的研究证实与CTGF属同一家族且分子结构相似的nov基因与中枢神经系统发育、分化密切相关[2~7],而CTGF与神经系统发育、分化的关系国内外尚未见文献报道。因此,本实验的目的是通过检测大鼠中枢神经系统中CTGF免疫反应阳性细胞的发育和分布,探讨CTGF与中枢神经系统发育、分化的相关性及其在神经系统的可能作用。
, http://www.100md.com
1 材料和方法
1.1 试剂 兔抗CTGF血清由法国巴黎第七大学居里研究所提供。免疫组化染色S-PTM试剂盒为美国ZYMED公司的产品,购自北京中山生物试剂有限公司。DAB为美国Sigma公司的产品。
1.2 材料
Wistar大鼠,体重200~230 g,雌、雄分笼饲养数日,合笼后至检出阴栓为E0,出生时记为P0 ,胚胎标本取材时直接将怀孕8、10、15、18 d母鼠断头,取胚胎浸入Zamboni液中,立即分离出胎脑每组5个,置Zamboni液中固定5h。生后标本分别取P0~P5、P8、P14、P30、P60、P150和P300每组5只,断头取脑、脊髓于Zamboni液中固定10h,再浸入含30%蔗糖的Zamboni液中(4℃)至组织块沉入瓶底,30μm厚连续冰冻切片漂于Zamboni液中备用。
, 百拇医药
1.3 免疫组化
采用ABC方法行免疫组织化学染色。具体步骤为:将切片置于3%的H2O2中处理15min,封闭内源性过氧化物酶的活性。PBS中漂洗,5min,3次,于5%的正常羊血清中继续封闭10min,倾去血清,加入兔抗CTGF血清(工作浓度1∶250),4℃中孵育过夜。PBS中漂洗,5min,3次。加入生物素标记的抗兔IgG(工作浓度1∶200),37℃中孵育2h。PBS中漂洗,5min,3次。加入HRP标记的链霉亲和素(工作浓度1∶200),37℃中孵育1h。PBS中漂洗,5min,3次。随后用DAB显色液进行显色。对照试验用PBS替代兔抗CTGF血清进行孵育,其余操作与上述一致。
1.4 图像分析及数据统计
用Tiger920图像分析系统(重庆大学)测定各发育阶段CTGF蛋白的相对含量。光学显微镜下(×100),在相应脑区或核团,每例随机测10个单位面积,每组共测50个单位面积(其中,小脑皮质以蒲肯野细胞层为对角线随机取样),经计算机打印出每个单位面积CTGF蛋白免疫反应阳性物质相对含量的平均值及标准差(
, 百拇医药
2 结果
2.1 E8-P0
CNS中未检测到CTGF免疫反应阳性细胞。
2.2 P1-P5
在大脑扣带皮质中检测到CTGF阳性神经元,主要为内锥体层的大锥体细胞,胞体和顶树突免疫反应阳性中等。扣带后皮质较扣带前皮质阳性信号强。海马结构仅呈很弱的阳性反应,主要集中在海马裂。丘脑和下丘脑亦显示出很弱的阳性。第三、第四脑室室管膜细胞或伸展细胞阳性很弱,呈色浅淡。
2.3 P8
除扣带前后皮质阳性细胞增多,阳性信号增强外,海马CA1-CA4区出现阳性细胞,锥体层阳性细胞较为密集,具有较大的突起,锥体层以外的区域散在阳性细胞,见图1。纹状皮质和颞叶皮质有少量阳性神经元,阳性产物在顶树突具明显分布。未定带散布着为数不多的标记细胞。下丘脑背内侧核密集标记较弱的阳性细胞。隔海马核和尾壳核也有阳性细胞分布。室管膜细胞的阳性信号仍较弱。
, http://www.100md.com
2.4 P14
小脑蒲肯野细胞具较强阳性标记,多分支的树突阳性产物明显,见图2。其它阳性区域与P8类似,只是标记有所增强。
2.5 P30
CTGF阳性细胞的分布范围广,阳性信号强。在大脑扣带前皮质和扣带后皮质阳性细胞分布于内锥体层,阳性细胞粗大而长的顶树突具较强的阳性标记,见图3;颞叶听区和纹状皮质内锥体层阳性细胞密集,阳性信号较扣带皮质弱。下丘脑背侧区、未定带阳性标记仍然较弱。小脑蒲肯野细胞阳性信号增强,值得注意的是其树突内具有形状类似于赫令氏体的阳性结构,见图4。在脑桥网状核和三叉神经核散在标记细胞。在冠状切面上,可见尾壳核中的纤维束具明显的阳性标记。扣带白质纤维亦呈阳性。
2.6 P60
在上述脑区和核团的阳性减弱,但脊髓白质星形胶质细胞具强阳性标记,尤以突起中阳性产物明显,见图5。脊髓中央管室管膜细胞为强阳性,尤其是其突起具强烈标记,见图6,第三脑室室管膜细胞阳性标记也很强。
, http://www.100md.com
2.7 P150和P300
脊髓中央管,侧脑室,第三脑室和第四脑室的室管膜细胞仍保持较强的阳性标记。下丘脑第三脑室旁星形胶质纤维呈强阳性反应。其它脑区和核团的阳性很弱。
对照组均未呈色。图像分析结果,见表1。
表1 大鼠脑CTGF蛋白免疫反应阳性物质的含量(
Tab 1 Content of CTGF protein immunoreactive product in the rat brain(
n
, http://www.100md.com
Cingulate cortex
CA1 field of Hippocampus
Hypothalamus
Purkinje cell
Spinal cord
E8-P0
5
0
0
0
0
0
, http://www.100md.com
P1-P5
5
0.890±0.083
0.428±0.037
0.261±0.031
0
0
P8
5
1.269±0.140
0.937±0.089
0.369±0.029
, http://www.100md.com
0.647±0.052
0.264±0.036
P14
5
1.653±0.157
0.957±0.084
0.317±0.037
1.493±0.201
0.482±0.042
P30
5
1.952±0.210
, 百拇医药
1.195±0.138
0.426±0.052
1.858±0.241
1.359±0.127
P60
5
1.866±0.178
1.362±0.143
0.571±0.048
1.769±0.194
2.173±0.204
P150
, 百拇医药
5
0.834±0.073
0.687±0.062
0.374±0.036
1.591±0.175
1.876±0.185
P300
5
0.481±0.051
0.428±0.037
0.391±0.044
0.562±0.072
, http://www.100md.com
1.291±0.142
图1 P8,海马CA1区CTGF免疫反应阳性神经元主要位于锥体层,阳性细胞较为密集,具有较粗大的突起,锥体层以外的区域散在阳性细胞 (S-ABC×200)
Fig 1 CTGF immunoreactive neurons mainly localized in pyramidal layer of CA1 field of hippocampus at P8 (S-ABC×200)
图2 P14,小脑蒲肯野细胞具较强阳性标记,多分支的树突中阳性产物明显 (S-ABC×100)
Fig 2 Strong positive signal in the cell body and process of Purkinje cells at P14 (S-ABC×100)
, 百拇医药
图3 P30,扣带后皮质内外锥体层亦检测到阳性神经元,阳性细胞粗大而长的顶树突具较强的阳性标记 (S-ABC×100)
Fig 3 CTGF immunoreactive neurons in pyramidal layer of anterior cingulate cortex at P30,dendrite showed strong positive signal (S-ABC×100)
图4 P30,小脑蒲肯野细胞阳性信号增强,树突内具有形状类似于赫令体的阳性产物 (S-ABC×400)
Fig 4 Increased positive signal in Purkinje cell. Positive products similar to
, 百拇医药
Herring body was found in dendrite (S-ABC×400)
图5 P60,脊髓白质星形胶质细胞具强阳性标记,突起中阳性产物明显 (S-ABC×100)
Fig 5 Strong labeling in astrocytes of the white matter in spinal cord of P60 (S-ABC×100)
图6 P60,脊髓中央管伸展细胞呈CTGF免疫反应强阳性,其突起具强阳性标记 (S-ABC×100)
Fig 6 Strong labeling detected in tanycyte of white matter in spinal cord of P60 (S-ABC×100)
, 百拇医药
3 讨论
CTGF是近年发现的一个新的早期基因家族——CCN家族(CTGF,Cyr61和nov )的主要成员。在此之前,尚无人研究它与神经系统的关系。本实验率先研究了CTGF免疫反应阳性神经元在大鼠中枢神经系统发育过程中定位,我们的研究证实:出生前大鼠中枢神经系统未见CTGF免疫反应阳性细胞。出生后早期较少,生后1~2月间阳性细胞数最多,分布广泛,阳性信号强。随年龄的增长阳性细胞数量逐渐降低,分布范围逐渐减小。阳性细胞主要分布于大脑的扣带皮质、海马、下丘脑等处。值得注意的是这些区域是属于边缘系统。从已知的功能看,边缘系统主要与内脏功能调节,情绪行为和记忆有关。CTGF蛋白除分布于神经元外,在脊髓白质星形胶质细胞、室管膜细胞有较多的分布,而灰质内的胶质细胞未检测到阳性信号。
CTGF免疫反应阳性细胞一般为具长突起的神经元或胶质细胞。在扣带皮质、纹状皮质大锥体细胞的顶树突,小脑蒲肯野细胞的树突,尾壳核的神经纤维束,扣带白质纤维以及脊髓白质的星形胶质细胞的突起,室管膜细胞的细长突起有明显的阳性反应产物分布,在这些部位CTGF是否与这些长突起的功能活动有关,目前尚不清楚。日本学者Igarashi等证实CTGF在硬皮病、瘢痕瘤和其它皮肤硬化组织中的表达与TGFβ显著相关,CTGF在TGFβ诱导的信号通路中起作用,是信号中介者[8,9]。同一早期基因家族中的另一成员Cyr61定位于细胞表面或胞外基质中,且与肝素具有高亲合力,在相邻细胞之间起着细胞-细胞间通讯作用[10]。最近的研究发现CCN家族的另一成员nov为糖蛋白,亦在细胞间通讯中起作用[11]。CTGF与Cyr61和nov的氨基酸序列具有高度的同源性,所含38个半胱氨酸完全保守。它们很可能具有非常相似的功能。CTGF是否以及如何在细胞与细胞间起通讯作用,有待进一步研究。
, http://www.100md.com
以往的研究认为CTGF是一种有丝分裂诱导剂。本实验结果表明在神经系统发育过程中,从出生到成年CTGF的表达逐渐增强,其作用可能是促进细胞的生长、分化和调节神经系统正常生理功能,而与细胞增殖无关,提示CTGF具有多种功能。
我们先前的研究证实在人胚胎中枢神经系统发育过程中nov基因的表达首先在低级中枢出现,然后向高级中枢发展,这与中枢神经系统的发育、分化相一致[2,3]。同时,我们也发现大鼠中枢神经系统个体发育过程中以及多种脊椎动物中枢神经系统的种系发生过程中nov是神经系统发育和分化所必须的调控因素[4~7]。本实验表明CTGF在大鼠中枢神经系统发育过程中的表达模式与nov的表达模式极为相似,提示CTGF基因可能在神经系统功能分化及维持神经系统生理功能中起重要作用。
基金项目:国家自然科学基金资助项目(39900078);全军“九五”科研基金资助项目(98Q059);重庆市应用基础研究课题
, 百拇医药
作者简介:苏炳银(1962-),男,四川省眉山市人,博士,副教授,主要从事中枢神经系统发育和再生方面的研究,发表论文21篇。电话:(023)68752204
参考文献:
[1] Bradham D M, Igarashi A, Potter R L, et al. Connective tissue growth factor: a cysteine-rich mitogen secreted by human vascular endothelial cells is related to the SRC-induced immediate early gene product CEF-10[J]. J Cell Biol,1991,114(6):1 285-1 294.
[2] Su B Y, Cai W Q, Zhang C G, et al. A developmental study of novH gene expression in human central nervous system[J]. Development Biology,1998,321(8):883-892.
, 百拇医药
[3] 苏炳银,蔡文琴,张成岗,等. 人胚胎中枢神经系统NOV mRNA神经元的发育-原位杂交研究[J]. 解剖学报,1999,30(1): 48-51.
[4] 苏炳银,蔡文琴,张成岗,等.肾母细胞瘤过度表达基因mRNA在成年大鼠中枢神经系统的原位杂交定位[J].解剖学报,1998,29(2): 151-155.
[5] Su B Y, Cai W Q, Zhang C G, et al. A developmental study on the immunocytochemical localization of NOV protein-containing neurons in the rat brain[J]. Chinese Science Bulletin, 1999, 44(15): 1 397-1 401.
[6] 苏炳银,蔡文琴,张成岗,等.大鼠中枢神经系统肾母细胞瘤过度表达基因mRNA神经元的发育:原位杂交与RT-PCR研究[J]. 解剖学报,1999,30(2): 119-123.
, 百拇医药
[7] 苏炳银,蔡文琴,张成岗,等.NOV蛋白免疫反应阳性神经元在鲢、鸡和几种哺乳动物脑的比较发育[J].第三军医大学学报,1998,20(6):500-503.
[8] Grotendorst G R. Connective tissue growth factor: a mediator of TGF-beta action on fibroblasts[J]. Cytokine Growth Factor Rev,1997, 8(3): 171-179.
[9] Grotendorst G R, Okochi H, Hayashi N. A novel transforming growth factor beta response element controls the expression of the connective tissue growth factor gene[J]. Cell Growth Differ,1996, 7(4): 469-480.
, http://www.100md.com
[10] Jay P, Berge-Lefranc J L, Marsollier C, et al. The human growth factor-inducible immediate early gene, cyr61, maps to chromosome 1p[J]. Oncogene,1997,14(14):1 753-1 757.
[11] Chevalier G, Yeger H, Martinerie C, et al. novH: differential expression in developing kidney and Wilm's tumors[J]. Am J Pothol, 1998, 152(6): 1 563-1 675.
收稿日期:2000-03-17;修回日期:2000-07-14, http://www.100md.com