珊瑚人工骨肌肉移植的组织相容性观察
作者:孟志斌 许新军 邹学农 王大平
单位:孟志斌 许新军(海南医学院附属医院骨科,海口市 570102);邹学农( Arhus Kommine Hospital,Denmark);王大平(深圳红十字会医院)
关键词:珊瑚;人工骨;移植;生物相容性
中国矫形外科杂志001213 摘 要 目的:用珊瑚人工骨植入肌肉内,测试珊瑚人工骨的组织相容性。方法:海南橙黄滨珊瑚,在一定的温度压力下经水热反应合成珊瑚人工骨,植入SD大鼠胸椎脊突一侧的肌肉组织内作为实验组,另一侧植入未经合成的天然珊瑚作为对照组。观察局部组织对珊瑚及珊瑚人工骨的反应并对心、脑、肺、肾进行大体标本,组织学观察。结果:经2、4、8周观察显示,珊瑚人工骨植入肌肉组织后,对全身各大器官无毒性反应,珊瑚及珊瑚人工骨在肌肉组织内无明显炎症排斥反应,外周的纤维组织及血管不断长入珊瑚多孔结构的中心,珊瑚人工骨化学性能稳定,移植后无明显降解,而天然珊瑚被逐渐降解。结论:本研究结果表明珊瑚人工骨无毒,具有良好的组织相容性,组织降解率低,是良好的骨组织填充、支撑与骨传导材料。
, http://www.100md.com
中图分类号 R622.2 文献标识码 A 文章编号 1005-8478(2000)12-1184-03
Histologic Compatibility Investigation of Corallin Hydroxyapatite Transplantation in the Muscle of Rats
MENG Zhi-bin,XU Xin-jun,ZOUXue-nong
(Department of Orthopedic,Affiliated Hospital,Hainan Medical College,Haikou 570102.)
Abstract Objective: To investigate the histologic compatibility of Corallin Hydroxyapatite(CHAP)transplantation in muscles of rat.Method:Porites coral collected from the Hainan Sanya bay were converted into corallin hydroxyapatite(CHAP)by "Hydrothermal exchange"under certain pressure and temperature.The CHAPs were grafted into one side of the thoracic spine mucles of SD rats,Natural coral were grafted into other side as control group.The rats were killed 2,4,8 weeks after operation.General specimen observation,histologic and roentgenographic examination were applied to determine the effects of CHAP and natural coral transplantation to the main organs and surrounding tissues.Result:All the wounds were healled with no inflamation.Histologic section showed that heart,liver,lung and kidney were in good condition with no poisoning reaction.Roentgenographic and histologic investigation showed that CHAPs and natual corals transplantation do not envoke the immune rejective reaction and the fiberose connective tissue with capillary growing from the border to the center of the grafted material.CHAP degrade very slow and is very stable in chemical composition.At 8 weeks the CHAP degrade less than 1%.At the same time the natural coral degrade gradually.Conclusion:CHAP is a kind of material with no poisonous,good histologic compatibility and lower degradation in surrounding tissue.
, 百拇医药
Key words Coral Artificial bone Transplantation Compatibility
珊瑚人工骨由美国INTERPORE INTERNATIONAL公司于70年代开发,具有与人类骨组织相似的结构和成份[2~5],1996年我国开始应用于骨缺损的修复[1,7,8]。本研究采集海南橙黄滨珊瑚,在一定的温度压力下经水热反应人工合成珊瑚人工骨,用作骨缺损修复材料。通过珊瑚人工骨大鼠肌肉组织移植观察局部组织及全身主要器官对该材料的反应,评价其组织相容性。
1 材料与方法
1.1材料
采集海南橙黄滨珊瑚,珊瑚孔径200μm,加工成直径3mm,长10mm圆柱体,流水冲洗,在化学反应釜内加入磷酸氢二钠,水及天然珊瑚圆柱体,自动控制温度与压力,经一定的反应时间后制备成珊瑚人工骨。材料经高压消毒备用。
, 百拇医药
1.2 动物 SD大鼠30只。海南省动物中心提供,雌雄不限,平均体重250g。
1.3 方法 大鼠经乙醚气体麻醉,在下胸段脊柱做后正中直切口,长约3cm,切开皮肤、皮下至肌膜,剥离脊突两侧椎旁肌肉,显露脊突及椎板,随机将柱状珊瑚人工骨及天然珊瑚分别植入椎旁两侧,用椎旁肌肉覆盖,分层缝合伤口,珊瑚人工骨植入侧将大鼠耳剪一缺口作标记,术后分笼饲养。于2、4、8周各处死10只大鼠,立即行X线照片,将X线照片结果用扫描仪输入计算机内,用图象处理系统进行分析,计算珊瑚羟基磷灰石与珊瑚的面积与其原面积的比值,计算公式为:羟基磷灰石面积或珊瑚面积与其原面积的比值=珊瑚羟基磷灰石面积或珊瑚面积/原移植物面积×100%。并测量珊瑚骨的平均透光率。动物处死后立即取其心、肝、肾、肺等脏器进行固定、包埋、切片。将植入珊瑚骨的脊柱截断,剥离椎旁肌肉,作大体标本观察并照相。剪取移植材料,用丝线标记,置10%福尔马林固定,8%的硝酸脱钙,标本取出后,纵轴水平放入包埋盒内,常规石蜡包埋,4μm厚切片、HE染色,光镜观察,将切片视频转换为数字信号输入计算机内,每个切片取4个点,计算移植物面积与长入组织面积比,计算公式为:移植物与长入组织比=移植物面积/组织面积×100%。
, 百拇医药
2 结 果
术后所有大鼠进食、活动正常,伤口无红肿、感染、无材料排出现象,伤口愈合好。
2.1 X线结果 术后第2周见移植的珊瑚人工骨组外观规整,无吸收现象,移植物透光率无变化。对照组珊瑚的角变圆,面积较珊瑚羟基磷灰石组稍减少,珊瑚的透光率增强(P<0.001),术后第4周移植的珊瑚羟基磷灰石无明显吸收,对照组珊瑚柱的面积明显减少(P<0.001)(见图1),形状不规则,珊瑚骨的透光率明显增强(P<0.001)。术后第8周移植的珊瑚骨外观完整,透光率轻度增高,对照组珊瑚仅存少量点状残留物(见图2)。各组移植物面积与原面积比值测量见表1,各组透光率测量值见表2。
表1 移植物面积与原面积比值 周数
CHAP组
Nc组
, 百拇医药
P值
24
8
0.983 ±0.0006
0.9840±0.0039
0.9135±0.0155
0.9870±0.0074
0.6621±0.0437
0.0899±0.0144
P>0.200
P<0.001
P<0.001
, 百拇医药
表2 CHAP组与Nc组平均透光率比较 周数
CHAP组
Nc组
P值
24
8
0.5349±0.0146
0.5491±0.0229
0.4728±0.0229
0.4447±0.0119
0.2319±0.0089
0.0741±0.0368
, http://www.100md.com
P<0.001
P<0.001
P<0.001
2.2 全身脏器组织学结果 2、4、8周动物的心、肝、肺、肾外观无出血点,无肿胀,表面光滑。光镜下见心肌横纹清晰排列整齐,细胞核染色正常,无水肿,间质无充血。细胞形态正常。肺泡内无积液及渗出的红细胞,肺间质无水肿,支气管无堵塞。肾脏切片肾小球结构清晰,肾小管无坏死,肾间质无充血水肿。
2.3 移植物检查结果 珊瑚人工骨外周无纤维组织包裹,外观完整。第2周的天然珊瑚组与珊瑚人工骨组相同,第4周珊瑚体积开始出现明显的缩小,珊瑚外型变为梭型,第8周则很难在肌肉内找到天然珊瑚的残骸。组织学切片于术后第2周见珊瑚羟基磷灰石与肌肉组织间有少量成纤维细胞增生,胞体较肥大,珊瑚孔隙深部充填大量纤维组织,成纤维细胞及增生的毛细血管,孔隙内珊瑚表面与组织接触部位可见有多核巨细胞及少许炎细胞浸润。对照组天然珊瑚外周可见纤维组织包绕,胶原纤维较多,孔道内也可见纤维组织长入,见少许炎细胞,在珊瑚与组织接触面可见多核巨细胞。术后第4周,珊瑚羟基磷灰石外包绕纤维组织变致密,孔内长入组织细胞数量减少,血管丰富,仍可见多核巨细胞,见珊瑚人工骨占位空间无明显变小,纤维组织面积无增大。天然珊瑚外周有大量的多核巨细胞,珊瑚的占位空间明显变小(P<0.001)。术后第8周:珊瑚人工骨组见占位稍变小,但无统计学意义(P>0.50),珊瑚人工骨外周无纤维组织包裹,珊瑚的孔径增大,在5/10个样本于椎板的接触部见骨样组织向人工骨中央生长,纤维组织占位继续变大,部分区域仍可见多核巨细胞。对照组植入的天然珊瑚基本被吸收,仅残留少许颗粒样珊瑚。组织学切片的计算机图象处理结果见表3。表3 组织学切片图象处理结果 周数
, http://www.100md.com
CHAP组
Nc组
P值
2
4
8
0.4169±0.0090
0.4041±0.0148
0.3920±0.0237
0.4490±0.0099
0.2996±0.0211
0.0643±0.0316
, 百拇医药
P>0.500
P<0.005
P<0.001
3 讨 论
海南三亚湾浅海有丰富的珊瑚资源,常用于移植的珊瑚多为六放珊瑚中的石珊瑚目(madrepora),我们所用橙黄滨珊瑚(poritis)属于石珊瑚中的一种。化学成份为碳酸钙,颜色白或微黄,有松质骨类似的机械强度和多孔结构,孔径为190~230μm的孔道分布均匀,互相交通,没有盲孔。纵向的主孔道与横向的交通孔的立体结构十分有利于骨长入[1,4,5,11]。
体内移植材料的组织相容性检查包括局部组织及全身各重要脏器的观察,本研究通过肌肉组织内珊瑚人工骨的植入,证明其对心、肝、肾、肺等脏器无影响。在肌肉组织内无明显的炎症及排斥反应,2周时可见少量炎细胞浸润,为手术创伤所致,4周炎性细胞浸润减少,肌肉组织与珊瑚人工骨间无明显纤维组织间隔。从2~8周,纤维组织及血管不断由孔的周围向珊瑚中央长入,珊瑚与组织交界处可见少量多核巨细胞,随着时间推移,珊瑚占位空间逐步缩小,证实了珊瑚骨的可降解性。第8周时珊瑚人工骨降解率不到1%,这种缓慢降解,使自体骨组织达到完全替代移植骨的作用。天然珊瑚虽有好的组织相容性,但由于其降解太快,自体骨来不及替代移植珊瑚骨,使其应用受到限制。
, http://www.100md.com
在观察中还发现,在珊瑚骨靠近椎板的位置有骨样组织向珊瑚骨内生长,说明珊瑚骨的多孔结构有利于骨的爬行替代,这种作用被称为骨传导作用。虽然在2周组织切片上可看到部分区域软组织有较多的细胞胞核变大,类似分化成骨现象,但在各时间点,均未见有骨或骨样组织形成,证明珊瑚骨本身无骨诱导作用[1,6,11]。
珊瑚降解机理主要为破骨细胞吞噬作用[1,6],影响人工珊瑚骨吸收的速度可能因素有(1)珊瑚人工骨的化学成分为珊瑚羟基磷灰石,较稳定,实验观察珊瑚人工骨在第4、8周降解率,分别为0.02%和0.09%。(2)孔隙率的大小,孔隙率越大,珊瑚的表面积越大,吸收的速率越快,形成正反馈,即时间延长珊瑚的吸收增快。(3)植入局部血运丰富的位置,降解快。
结论:本研究在椎旁肌肉移植珊瑚人工骨与天然珊瑚,结果表明两者均无毒,有良好的组织相容性,但珊瑚人工骨具有好的化学稳定性,作为骨组织的移植替代材料能起到填充、支撑及骨传导作用。






, 百拇医药
图1 术后第4周,脊柱右侧为珊瑚人工骨移植物(CHAP)未见明显吸收,脊柱左侧为天然珊瑚,可见移植块角圆钝,X线透光率增强等 明显吸收现象。图2 术后8周,脊柱右侧的珊羟基磷灰外形完整,透光率稍增高,脊柱左侧的天然珊瑚约大部分已吸收,仅存少量点状残留。图3 术后第2周,珊瑚人工骨孔道内见大量的纤维组织,成纤维细胞及增生的毛细血管×400图4 术后第二周,天然珊瑚孔道 内可见纤维组织长入,在珊瑚与组织接触面可见我核巨细胞×400图5 术的第8周,珊瑚人工骨的占位列明显改变,未见吸收现象。×200图6 术后第8周珊瑚人工骨与椎板接触的部位有骨样辔向人工骨中央生长。×400图7 术后第8周,天然珊瑚基本补吸收,残留少许颗粒样珊瑚。
作者简介:孟志斌(1960-),男,湖南省常德市人,副教授,医学硕士.研究方向:脊柱及创伤外科。电话:(0898)6751162 E-mail zbmeng @ public.hk.hi.cn
参考文献:
, 百拇医药
〔1〕 Holmes,R:A corallin hydroxyapatite bone graft substitute[J].Clin,Orthop,1984,188:252~262.
〔2〕 Piecuch,J.F.:Compressive strength of implanted porus Replaminiform hydroxyapatite[J].J.Biomed.Mter.Res,1984,18:39~45.
〔3〕 Roser,S.M.:Tissue ingrowth of hydroxyapatite Replamineform implants in the dig[J].J.Dent.Res,1977,56:172.
〔4〕 White R.A.:Replamineform:A new process for preparing porous ceramic,metal,and polymer prothetic materials[M].Science,1972,176:922~924.
, 百拇医药
〔5〕 White,E.W.:Replamineform porous biomaterials for hard tissue implant applications[J].J.Biomed.Mater,Res Symp,1975,6:23~27.
〔6〕 Holmes,R.E.:Bone regeneration within a corallin hydroxyapatite implant[J].Plast.Reconstr.Surg,1979,63:626~633.
〔7〕 Zdeblick T.A.:Anterior cervical discectomy and fusion using a porous hydroxyapatite bone graft substitute[J].Spine 1994,19:23 48~57.
〔8〕 Lode J.P.:biomaterials in plastic and maxillofacial surgery.Ann[J].Clin.Plast.Esthet 1995 40:676~89.
, 百拇医药
〔9〕 Goa T.:Composites of bone morphogenetic protein and tye IV collagen,coral-derived coral hydroxyapatite,and tricalcirm phosphate ceramic[J].Clin.Orthop 1996.20:321~5.
〔10〕 孟志斌.用结合骨形态蛋白的珊瑚人工骨修复缺损的实验研究[J].中国现代医学杂志,1992 2:13~14.
〔11〕 孟志斌.用结合利福平的珊瑚人工骨预防骨感染的实验研究[J].中华创伤杂志,1996 6:23~24.
(收稿:2000-05-01 修回:2000-07-25), 百拇医药
单位:孟志斌 许新军(海南医学院附属医院骨科,海口市 570102);邹学农( Arhus Kommine Hospital,Denmark);王大平(深圳红十字会医院)
关键词:珊瑚;人工骨;移植;生物相容性
中国矫形外科杂志001213 摘 要 目的:用珊瑚人工骨植入肌肉内,测试珊瑚人工骨的组织相容性。方法:海南橙黄滨珊瑚,在一定的温度压力下经水热反应合成珊瑚人工骨,植入SD大鼠胸椎脊突一侧的肌肉组织内作为实验组,另一侧植入未经合成的天然珊瑚作为对照组。观察局部组织对珊瑚及珊瑚人工骨的反应并对心、脑、肺、肾进行大体标本,组织学观察。结果:经2、4、8周观察显示,珊瑚人工骨植入肌肉组织后,对全身各大器官无毒性反应,珊瑚及珊瑚人工骨在肌肉组织内无明显炎症排斥反应,外周的纤维组织及血管不断长入珊瑚多孔结构的中心,珊瑚人工骨化学性能稳定,移植后无明显降解,而天然珊瑚被逐渐降解。结论:本研究结果表明珊瑚人工骨无毒,具有良好的组织相容性,组织降解率低,是良好的骨组织填充、支撑与骨传导材料。
, http://www.100md.com
中图分类号 R622.2 文献标识码 A 文章编号 1005-8478(2000)12-1184-03
Histologic Compatibility Investigation of Corallin Hydroxyapatite Transplantation in the Muscle of Rats
MENG Zhi-bin,XU Xin-jun,ZOUXue-nong
(Department of Orthopedic,Affiliated Hospital,Hainan Medical College,Haikou 570102.)
Abstract Objective: To investigate the histologic compatibility of Corallin Hydroxyapatite(CHAP)transplantation in muscles of rat.Method:Porites coral collected from the Hainan Sanya bay were converted into corallin hydroxyapatite(CHAP)by "Hydrothermal exchange"under certain pressure and temperature.The CHAPs were grafted into one side of the thoracic spine mucles of SD rats,Natural coral were grafted into other side as control group.The rats were killed 2,4,8 weeks after operation.General specimen observation,histologic and roentgenographic examination were applied to determine the effects of CHAP and natural coral transplantation to the main organs and surrounding tissues.Result:All the wounds were healled with no inflamation.Histologic section showed that heart,liver,lung and kidney were in good condition with no poisoning reaction.Roentgenographic and histologic investigation showed that CHAPs and natual corals transplantation do not envoke the immune rejective reaction and the fiberose connective tissue with capillary growing from the border to the center of the grafted material.CHAP degrade very slow and is very stable in chemical composition.At 8 weeks the CHAP degrade less than 1%.At the same time the natural coral degrade gradually.Conclusion:CHAP is a kind of material with no poisonous,good histologic compatibility and lower degradation in surrounding tissue.
, 百拇医药
Key words Coral Artificial bone Transplantation Compatibility
珊瑚人工骨由美国INTERPORE INTERNATIONAL公司于70年代开发,具有与人类骨组织相似的结构和成份[2~5],1996年我国开始应用于骨缺损的修复[1,7,8]。本研究采集海南橙黄滨珊瑚,在一定的温度压力下经水热反应人工合成珊瑚人工骨,用作骨缺损修复材料。通过珊瑚人工骨大鼠肌肉组织移植观察局部组织及全身主要器官对该材料的反应,评价其组织相容性。
1 材料与方法
1.1材料
采集海南橙黄滨珊瑚,珊瑚孔径200μm,加工成直径3mm,长10mm圆柱体,流水冲洗,在化学反应釜内加入磷酸氢二钠,水及天然珊瑚圆柱体,自动控制温度与压力,经一定的反应时间后制备成珊瑚人工骨。材料经高压消毒备用。
, 百拇医药
1.2 动物 SD大鼠30只。海南省动物中心提供,雌雄不限,平均体重250g。
1.3 方法 大鼠经乙醚气体麻醉,在下胸段脊柱做后正中直切口,长约3cm,切开皮肤、皮下至肌膜,剥离脊突两侧椎旁肌肉,显露脊突及椎板,随机将柱状珊瑚人工骨及天然珊瑚分别植入椎旁两侧,用椎旁肌肉覆盖,分层缝合伤口,珊瑚人工骨植入侧将大鼠耳剪一缺口作标记,术后分笼饲养。于2、4、8周各处死10只大鼠,立即行X线照片,将X线照片结果用扫描仪输入计算机内,用图象处理系统进行分析,计算珊瑚羟基磷灰石与珊瑚的面积与其原面积的比值,计算公式为:羟基磷灰石面积或珊瑚面积与其原面积的比值=珊瑚羟基磷灰石面积或珊瑚面积/原移植物面积×100%。并测量珊瑚骨的平均透光率。动物处死后立即取其心、肝、肾、肺等脏器进行固定、包埋、切片。将植入珊瑚骨的脊柱截断,剥离椎旁肌肉,作大体标本观察并照相。剪取移植材料,用丝线标记,置10%福尔马林固定,8%的硝酸脱钙,标本取出后,纵轴水平放入包埋盒内,常规石蜡包埋,4μm厚切片、HE染色,光镜观察,将切片视频转换为数字信号输入计算机内,每个切片取4个点,计算移植物面积与长入组织面积比,计算公式为:移植物与长入组织比=移植物面积/组织面积×100%。
, 百拇医药
2 结 果
术后所有大鼠进食、活动正常,伤口无红肿、感染、无材料排出现象,伤口愈合好。
2.1 X线结果 术后第2周见移植的珊瑚人工骨组外观规整,无吸收现象,移植物透光率无变化。对照组珊瑚的角变圆,面积较珊瑚羟基磷灰石组稍减少,珊瑚的透光率增强(P<0.001),术后第4周移植的珊瑚羟基磷灰石无明显吸收,对照组珊瑚柱的面积明显减少(P<0.001)(见图1),形状不规则,珊瑚骨的透光率明显增强(P<0.001)。术后第8周移植的珊瑚骨外观完整,透光率轻度增高,对照组珊瑚仅存少量点状残留物(见图2)。各组移植物面积与原面积比值测量见表1,各组透光率测量值见表2。
表1 移植物面积与原面积比值 周数
CHAP组
Nc组
, 百拇医药
P值
24
8
0.983 ±0.0006
0.9840±0.0039
0.9135±0.0155
0.9870±0.0074
0.6621±0.0437
0.0899±0.0144
P>0.200
P<0.001
P<0.001
, 百拇医药
表2 CHAP组与Nc组平均透光率比较 周数
CHAP组
Nc组
P值
24
8
0.5349±0.0146
0.5491±0.0229
0.4728±0.0229
0.4447±0.0119
0.2319±0.0089
0.0741±0.0368
, http://www.100md.com
P<0.001
P<0.001
P<0.001
2.2 全身脏器组织学结果 2、4、8周动物的心、肝、肺、肾外观无出血点,无肿胀,表面光滑。光镜下见心肌横纹清晰排列整齐,细胞核染色正常,无水肿,间质无充血。细胞形态正常。肺泡内无积液及渗出的红细胞,肺间质无水肿,支气管无堵塞。肾脏切片肾小球结构清晰,肾小管无坏死,肾间质无充血水肿。
2.3 移植物检查结果 珊瑚人工骨外周无纤维组织包裹,外观完整。第2周的天然珊瑚组与珊瑚人工骨组相同,第4周珊瑚体积开始出现明显的缩小,珊瑚外型变为梭型,第8周则很难在肌肉内找到天然珊瑚的残骸。组织学切片于术后第2周见珊瑚羟基磷灰石与肌肉组织间有少量成纤维细胞增生,胞体较肥大,珊瑚孔隙深部充填大量纤维组织,成纤维细胞及增生的毛细血管,孔隙内珊瑚表面与组织接触部位可见有多核巨细胞及少许炎细胞浸润。对照组天然珊瑚外周可见纤维组织包绕,胶原纤维较多,孔道内也可见纤维组织长入,见少许炎细胞,在珊瑚与组织接触面可见多核巨细胞。术后第4周,珊瑚羟基磷灰石外包绕纤维组织变致密,孔内长入组织细胞数量减少,血管丰富,仍可见多核巨细胞,见珊瑚人工骨占位空间无明显变小,纤维组织面积无增大。天然珊瑚外周有大量的多核巨细胞,珊瑚的占位空间明显变小(P<0.001)。术后第8周:珊瑚人工骨组见占位稍变小,但无统计学意义(P>0.50),珊瑚人工骨外周无纤维组织包裹,珊瑚的孔径增大,在5/10个样本于椎板的接触部见骨样组织向人工骨中央生长,纤维组织占位继续变大,部分区域仍可见多核巨细胞。对照组植入的天然珊瑚基本被吸收,仅残留少许颗粒样珊瑚。组织学切片的计算机图象处理结果见表3。表3 组织学切片图象处理结果 周数
, http://www.100md.com
CHAP组
Nc组
P值
2
4
8
0.4169±0.0090
0.4041±0.0148
0.3920±0.0237
0.4490±0.0099
0.2996±0.0211
0.0643±0.0316
, 百拇医药
P>0.500
P<0.005
P<0.001
3 讨 论
海南三亚湾浅海有丰富的珊瑚资源,常用于移植的珊瑚多为六放珊瑚中的石珊瑚目(madrepora),我们所用橙黄滨珊瑚(poritis)属于石珊瑚中的一种。化学成份为碳酸钙,颜色白或微黄,有松质骨类似的机械强度和多孔结构,孔径为190~230μm的孔道分布均匀,互相交通,没有盲孔。纵向的主孔道与横向的交通孔的立体结构十分有利于骨长入[1,4,5,11]。
体内移植材料的组织相容性检查包括局部组织及全身各重要脏器的观察,本研究通过肌肉组织内珊瑚人工骨的植入,证明其对心、肝、肾、肺等脏器无影响。在肌肉组织内无明显的炎症及排斥反应,2周时可见少量炎细胞浸润,为手术创伤所致,4周炎性细胞浸润减少,肌肉组织与珊瑚人工骨间无明显纤维组织间隔。从2~8周,纤维组织及血管不断由孔的周围向珊瑚中央长入,珊瑚与组织交界处可见少量多核巨细胞,随着时间推移,珊瑚占位空间逐步缩小,证实了珊瑚骨的可降解性。第8周时珊瑚人工骨降解率不到1%,这种缓慢降解,使自体骨组织达到完全替代移植骨的作用。天然珊瑚虽有好的组织相容性,但由于其降解太快,自体骨来不及替代移植珊瑚骨,使其应用受到限制。
, http://www.100md.com
在观察中还发现,在珊瑚骨靠近椎板的位置有骨样组织向珊瑚骨内生长,说明珊瑚骨的多孔结构有利于骨的爬行替代,这种作用被称为骨传导作用。虽然在2周组织切片上可看到部分区域软组织有较多的细胞胞核变大,类似分化成骨现象,但在各时间点,均未见有骨或骨样组织形成,证明珊瑚骨本身无骨诱导作用[1,6,11]。
珊瑚降解机理主要为破骨细胞吞噬作用[1,6],影响人工珊瑚骨吸收的速度可能因素有(1)珊瑚人工骨的化学成分为珊瑚羟基磷灰石,较稳定,实验观察珊瑚人工骨在第4、8周降解率,分别为0.02%和0.09%。(2)孔隙率的大小,孔隙率越大,珊瑚的表面积越大,吸收的速率越快,形成正反馈,即时间延长珊瑚的吸收增快。(3)植入局部血运丰富的位置,降解快。
结论:本研究在椎旁肌肉移植珊瑚人工骨与天然珊瑚,结果表明两者均无毒,有良好的组织相容性,但珊瑚人工骨具有好的化学稳定性,作为骨组织的移植替代材料能起到填充、支撑及骨传导作用。
, 百拇医药
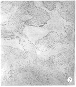
图1 术后第4周,脊柱右侧为珊瑚人工骨移植物(CHAP)未见明显吸收,脊柱左侧为天然珊瑚,可见移植块角圆钝,X线透光率增强等 明显吸收现象。图2 术后8周,脊柱右侧的珊羟基磷灰外形完整,透光率稍增高,脊柱左侧的天然珊瑚约大部分已吸收,仅存少量点状残留。图3 术后第2周,珊瑚人工骨孔道内见大量的纤维组织,成纤维细胞及增生的毛细血管×400图4 术后第二周,天然珊瑚孔道 内可见纤维组织长入,在珊瑚与组织接触面可见我核巨细胞×400图5 术的第8周,珊瑚人工骨的占位列明显改变,未见吸收现象。×200图6 术后第8周珊瑚人工骨与椎板接触的部位有骨样辔向人工骨中央生长。×400图7 术后第8周,天然珊瑚基本补吸收,残留少许颗粒样珊瑚。
作者简介:孟志斌(1960-),男,湖南省常德市人,副教授,医学硕士.研究方向:脊柱及创伤外科。电话:(0898)6751162 E-mail zbmeng @ public.hk.hi.cn
参考文献:
, 百拇医药
〔1〕 Holmes,R:A corallin hydroxyapatite bone graft substitute[J].Clin,Orthop,1984,188:252~262.
〔2〕 Piecuch,J.F.:Compressive strength of implanted porus Replaminiform hydroxyapatite[J].J.Biomed.Mter.Res,1984,18:39~45.
〔3〕 Roser,S.M.:Tissue ingrowth of hydroxyapatite Replamineform implants in the dig[J].J.Dent.Res,1977,56:172.
〔4〕 White R.A.:Replamineform:A new process for preparing porous ceramic,metal,and polymer prothetic materials[M].Science,1972,176:922~924.
, 百拇医药
〔5〕 White,E.W.:Replamineform porous biomaterials for hard tissue implant applications[J].J.Biomed.Mater,Res Symp,1975,6:23~27.
〔6〕 Holmes,R.E.:Bone regeneration within a corallin hydroxyapatite implant[J].Plast.Reconstr.Surg,1979,63:626~633.
〔7〕 Zdeblick T.A.:Anterior cervical discectomy and fusion using a porous hydroxyapatite bone graft substitute[J].Spine 1994,19:23 48~57.
〔8〕 Lode J.P.:biomaterials in plastic and maxillofacial surgery.Ann[J].Clin.Plast.Esthet 1995 40:676~89.
, 百拇医药
〔9〕 Goa T.:Composites of bone morphogenetic protein and tye IV collagen,coral-derived coral hydroxyapatite,and tricalcirm phosphate ceramic[J].Clin.Orthop 1996.20:321~5.
〔10〕 孟志斌.用结合骨形态蛋白的珊瑚人工骨修复缺损的实验研究[J].中国现代医学杂志,1992 2:13~14.
〔11〕 孟志斌.用结合利福平的珊瑚人工骨预防骨感染的实验研究[J].中华创伤杂志,1996 6:23~24.
(收稿:2000-05-01 修回:2000-07-25), 百拇医药