股骨髁上交锁髓内钉治疗股骨远端骨折的初步报告
作者:昌耘冰 权日 尹庆水 夏虹 邓建业 魏仲恩 符史发 丁焕文 刘景发
单位:广州军区广州总医院骨科 510010
关键词:股骨远端骨折;交锁髓内钉;内固定
中国矫形外科杂志001209 摘 要 目的:探讨股骨髁上交锁髓内钉在治疗股骨远端骨折的适应证。方法:应用特点和注意问题。方法:采用交锁髓内钉对13例新鲜股骨远端骨折病例行内固定。结果:所有病例获得随访,无植入物松动,断裂。除1例因骨缺损不愈合外,其余骨折均愈合。膝关节功能恢复优良。结论:股骨髁上交锁髓内钉具有高度稳定性,操作简单,安全,并发症少,适用于股骨远端骨折。
中图分类号 R683.42 文献标识码 A 文章编号 1005-8478(2000)12-1172-03
A Preliminary Report of Interlocking Intramedullary Nailing for Supracondylar and Intercondylar Fractures of the Distal Femur
, 百拇医药
CHANG Yun-bing,QUAN Ri,YIN Qing-shui
(Department of Orthopedics,General Hospital of Guangzhou Military Region,Guangzhou,510010.)
Abstract Objective: To study the application of IMSC(Intra Medullary nail for Supra Condylar IMSC,Smith&Nephew/Richards,Memphis,Tennesee)interlocking intramedullary nailing for the supracondylar and intercondylar fracture of the distal femur.Methods:13 cases of fresh supracondylar and intercondylar fracture(AO type:3 A1,3 A2,3 A3,3 C1,1 C2)were treated with IMSC.Results:All cases were followed-up 9~27 months,average 14 months.There were no complications related with the IMSC fixation.There was one nonunion,which we hypothesize this complication may be due to bone loss and not having bone graft.All knees had excellent results.Conclusion:IMSC could supply intrinsic stability,and had the characteristic of simplicity,safety,less complications.The supracondylar intramedullary nailing is an excellent alternative for the treatment of supracondylar and intercondylar femur fractures.
, http://www.100md.com
Key words Femoral condyle fracture Interlocking intramedullary nail Internal fixation
交锁髓内钉技术已普遍应用于四肢长骨干的骨折。其对股骨干骨折的治疗可将固定范围从峡部扩大到股骨转子下到髁上。对股骨远端髁上、髁间骨折,目前国内多采用钢板螺钉类固定。我院自1997年5月起,应用股骨髁上交锁髓内钉(Intra Medullary nail for Suppra Condylar IMSC)治疗13例股骨远端骨折,取得良好效果。本文对该技术的适应证,使用方法,应用特点和临床使用的有关问题作一初步报告
1 临床资料
1.1一般资料 本组13例,男11例,女2例。年龄22~48岁,平均年龄35岁。均为交通事故伤,其中摩托车车祸伤11例,汽车车祸伤2例。按AO股骨远端分类,A13例,A23例,A33例,C33例,C21例。手术时间均在伤后14d以内,平均9d。闭合复位6例;开放复位7例,包括C型4例和A33例。
, http://www.100md.com
1.2 器材介绍 本组采用Smith&Nephew公司生产的IMSC股骨髁上交锁髓内钉。材料为优质不锈钢,由1枚中空断面封闭的髓内钉和5~12枚锁钉组成。分IMSC?5孔型(近端2孔,远端3孔,共可固定5枚锁钉)和标准多孔型(有7~12个交锁孔,孔的多少取决于髓内钉的长度),(见图1)。两型髓内钉的直径有11mm,12mm,13mm,长度有15cm,20cm,25cm。锁钉有直径5mm的全攻螺钉和直径6.4mm的阶梯螺钉,长度不等。另有交锁稳定螺母可加强交锁钉的作用。髓内钉中央部分设计成断面封闭和厚度加强,大大提高了钉的强度,同时交锁钉顶端设计成向前成角8°,以适应股骨髁的形状。选用标准多孔型或IMSC 5孔型的依据是骨折类型和粉碎程度。
图1 Smith&Nephew IMSC股骨髁上交锁钉
1.3 手术方法 麻醉满意后,取仰卧位。膝关节屈曲30°~40°以方便骨折的复位和固定。根据骨折类型决定开放或闭合复位。通过膝前中线切口和髌内侧关节囊进入膝关节。如有关节内骨折,先行开放复位,关节面要求解剖复位。然后在髁的前后位置横行固定2枚拉力螺钉,注意螺钉间保留足够的空间允许髓内钉进入髓腔。髓内钉的进钉点选在髁间窝,位置恰好在交叉韧带起点的前方。注意进钉点应位于二髁中央以防止内外翻。用开口器开一直径>所选用髓内钉直径1.0~1.5mm的入口。然后置换圆头导杆穿过复位的骨折部插入股骨干髓腔,先采用8.0mm直径,后依次再以0.5mm直径递增的扩髓器扩髓,直至扩髓器直径>所选髓内钉直径1.0mm。一般在股骨干峡部直径较小同时使用直径12mm或13mm髓内钉时需要扩髓。扩髓过程中注意保护髌腱。完成扩髓后,将髓内钉与瞄准器安装在一起,屈曲膝关节到45°~60°,沿导钉将髓内钉推入股骨髓腔,直到髓内钉尾沉入关节面下1~2mm。注意不能用暴力将髓内钉打入髓腔。如果复位和扩髓合适,髓内钉进入应该是很顺利的。然后先通过瞄准器固定2枚远端锁钉,再锁定近端的2~3枚锁钉以获得完全的稳定。如选用多孔型髓内钉,则根据骨折粉碎情况酌情固定多个螺钉(见图2,3)。术毕膝关节用无菌生理盐水大量冲洗 至清洁,并放置引流。本组手术时间60~130min,平均80min。
, 百拇医药
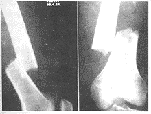
图2 股骨干骨折术前正、侧位X线片
图3 股骨髁上交锁钉术后正、侧位X线片
1.4 术后处理 术后24~48h内开始膝关节进行被动锻炼(CPM)。粉碎性骨折做CPM的时间适当延后并减少幅度。在良好的骨痂形成前,禁止完全负重。骨折愈合前每4~6周门诊复查1次,摄片观察骨痂生长情况并指导功能锻炼。
2 结 果
本组13例均获得随访,随访时间9~27个月平均14个月。术后未出现伤口感染、脂肪栓塞、下肢深静脉血栓等早期并发症。无1例出现髓内钉和交锁钉断裂,松动现象。1例(C2)术后11个月仍无明显骨痂生长,考虑为原发骨折时有较大范围骨缺损而未行植骨。再行植骨术4个月后愈合。2例早期施术者远端向后成角15°畸形愈合,X线片显示髓内钉长度不够,未完全进入股骨干峡部。其余病例均在术后4~8个月骨折正常愈合。术后均无膝关节感染、关节痛等并发症。对随访患者进行改良膝关节功能评分,评分指标参考Lysholm膝关节评分量表(LKSS),包括疼痛,关节活动范围,肌力,畸形愈合情况,关节不稳情况,行走情况等6项。13例中优8例,良5例,可1例。优良率92.3%。
, 百拇医药
3 讨 论
3.1 IMSC的适应证 交锁髓内钉在治疗股骨干骨折已为临床首选,髓内固定的生物力学优势已得到公认[1]。但其不能适用于股骨远端的髁上和髁间骨折。由Green,Seligson和Henry医生设计的IMSC股骨髁上髓内钉,将髓内钉的适应证扩展到股骨髁上和髁间骨折,弥补了常规交锁髓内钉的空白[2]。其首要适应证为股骨髁上和髁间骨折,尤其对髁上粉碎骨折。髁间骨折通过辅助的拉力螺钉先将髁部固定,将复杂的骨折变为较简单的髁上骨折。其次适用于股骨远端的病理骨折,以及骨折畸形愈合,失败的股骨远端接骨术和骨质疏松症的股骨远端骨折,以及全膝关节置换术后假体上部的股骨远端骨折。本组13例髁上和髁间骨折,使用IMSC均获得牢固的固定。
3.2 IMSC的特点
3.2.1 稳定性高 IMSC具有髓内钉的一般优点,在生物力学上更符合髁部骨折对内固定的要求。有学者报道使用传统髓内钉固定股骨髁上骨折,由于其设计上不适合股骨远端骨折,使髓内钉在骨折部位承受过高应力而常造成髓内钉断裂,部位以远端锁孔处多见[3]。IMSC髓内钉为逆行植入,设计上使强度较高的部位对应于应力集中点,使断钉的机会大为减少。同时由膝关节逆向插入髓内钉也可更稳定股骨峡部以下骨折,其防短缩和抗旋转的能力均优于各种顺行髓内钉。有利于恢复膝关节功能。本组无一例出现螺钉断裂,松动;其中1例在长期骨不愈合的情况下仍未出现松动,断裂。初步说明了IMSC的高度稳定性。
, http://www.100md.com
3.2.2 与髁钢板等钢板螺钉类内固定相比,操作简单、安全,并发症少。根据本院多年使用髁钢板的经验[4],其操作相对复杂,对术者要求高。如果对该技术掌握不成熟,手术并发症较多。(1)髁钢板瞄准系统需要三维空间的定位,只要其中一个方向定位出现偏差,将导致骨干轴线偏移。因此采用髁钢板内固定出现膝内外翻,旋转畸形等并发症较多。IMSC为髓内固定,只要进钉点正确,髓内钉长度经过峡部,股骨干的轴线就不易偏离。(2)髁钢板固定均为开放复位,创伤大,干骺端的显露更损伤了该部位的血运,影响骨折愈合。IMSC技术用于髁上骨折无须切开复位。对于严重的粉碎骨折,通过术前牵引和术中小切口辅助复位,即可达到满意的对位对线。由于股骨远端髓腔宽大,稍加牵引即可顺利逆行进入髓腔。技术熟练后可经皮导入髓内钉(在X线透视下操作),减少对膝关节的骚扰。(3)钢板类为髓外固定,在固定力线上存在缺陷,钢板受弯曲应力大,固定不十分坚固。不利于早期活动,负重[5]。有报道髓内固定病人的膝关节功能恢复,骨折愈合方面明显优于髁钢板[6]。本组膝关节功能恢复良好,无股四头肌粘连、萎缩等“骨折病”出现。
, 百拇医药
3.2.3 IMSC瞄准器有远近端瞄准功能,可减少术中暴露于X线的机会。根据厂家提供的资料,由于IMSC采用优质不锈钢材料,可以不取除,对患者特别是老年人可免除二次手术痛苦。
3.3 IMSC应用的注意点
IMSC设计严密,手术器械非常精制实用,操作相对简单。但如果对操作要领把握不当,也可产生严重后果。具体操作上要注意:
3.3.1 选择合适长度和直径的髓内钉 本组出现2例股骨干成角畸形愈合。2例骨折均为粉碎性,极不稳定。但主要原因是髓内钉长度不够,未进入股骨干峡部,导致术中不易保持股骨干轴线,术后内固定稳定性不够。因此对于不稳定骨折者,建议使用25cm髓内钉。对新开展此项技术者,建议在固定后取除瞄准器以前用C臂X光机检查有无内外翻和前后成角畸形。对于峡部髓腔狭窄者,需要适当的扩髓并选用直径较大的髓内钉以便取得牢靠的固定,减少断钉等并发症。
, 百拇医药
3.3.2 准确选择髓内钉进钉点 入口的偏移可造成手术失败。手术应充分显露股骨髁间便于正常定位,切忌抱着不愿过多显露关节腔的心理而盲目定位。对闭合穿钉,一定要在透视下从正侧位两个方向定位。
3.3.3 术中严格无菌操作,防止膝关节感染 对于膝部皮肤污染严重或受伤时间较长的开放性损伤,属于相对禁忌症。对粉碎性骨折,骨缺损部位应一期植骨。
目前国内对IMSC股骨髁上交锁髓内钉的使用起步不久。初步使用表明它是一种比较理想的股骨髁部骨折内固定器材。此项技术对于熟悉交锁髓内钉治疗长骨干骨折的医师是很好的选择。但由于其价格昂贵,因此观察病例较少,对是否会出现诸如膝关节痛,髌股关节退行性变等并发症有待进一步随访。
作者简介:昌耘冰(1968-),男,浙江杭州人,主治医师,硕士。研修方向:脊柱及四肢创伤。电话:(020)86662205-53534(办)。E-mail:spine@126.com
, 百拇医药
参考文献:
〔1〕 Johnson KD,Tencer Af,Blumenthal S,et al.Biomechanical performance of locked intramedullary nail systems in comminuted femoral shaft fractures[J].Clin Orthop,1986,206:151~161.
〔2〕 Danziger MB,Caucci D,Zecher SB,et al.Treatment of intercondylar and supracondylar distal femur fractures uning GSH supracondylar nail[J].Am J Orthop,1995,24(9):684~690.
〔3〕 Bucholz RW,Ross SE,Lawrence KL.Fatigue fracture of the interlocking nail in the treatment of fracture of the distal part of the femoral shaft[J].J Bone Joint Surg(Am),1987,69:1 391~1 398.
, 百拇医药
〔4〕 尹庆水,邓建业,魏仲恩,等.髁钢板治疗下肢骨折的并发症及预防[J].中华骨科杂志,1999,19(6):383~384.
〔5〕 Rober WB,Jones A.Fracture of the femoral shaft (New conception review)[J].J Bone Joint Surg(Am),1992,72:1 560~1 568.
〔6〕 Wu CC,Shih CH.Treatment of femoral supracondylar unstable comminuted fractures[J].Arch Orthop Trauma Surg,1992,111:232~239.
(收稿:2000-06-07 修回:2000-09-11), 百拇医药
单位:广州军区广州总医院骨科 510010
关键词:股骨远端骨折;交锁髓内钉;内固定
中国矫形外科杂志001209 摘 要 目的:探讨股骨髁上交锁髓内钉在治疗股骨远端骨折的适应证。方法:应用特点和注意问题。方法:采用交锁髓内钉对13例新鲜股骨远端骨折病例行内固定。结果:所有病例获得随访,无植入物松动,断裂。除1例因骨缺损不愈合外,其余骨折均愈合。膝关节功能恢复优良。结论:股骨髁上交锁髓内钉具有高度稳定性,操作简单,安全,并发症少,适用于股骨远端骨折。
中图分类号 R683.42 文献标识码 A 文章编号 1005-8478(2000)12-1172-03
A Preliminary Report of Interlocking Intramedullary Nailing for Supracondylar and Intercondylar Fractures of the Distal Femur
, 百拇医药
CHANG Yun-bing,QUAN Ri,YIN Qing-shui
(Department of Orthopedics,General Hospital of Guangzhou Military Region,Guangzhou,510010.)
Abstract Objective: To study the application of IMSC(Intra Medullary nail for Supra Condylar IMSC,Smith&Nephew/Richards,Memphis,Tennesee)interlocking intramedullary nailing for the supracondylar and intercondylar fracture of the distal femur.Methods:13 cases of fresh supracondylar and intercondylar fracture(AO type:3 A1,3 A2,3 A3,3 C1,1 C2)were treated with IMSC.Results:All cases were followed-up 9~27 months,average 14 months.There were no complications related with the IMSC fixation.There was one nonunion,which we hypothesize this complication may be due to bone loss and not having bone graft.All knees had excellent results.Conclusion:IMSC could supply intrinsic stability,and had the characteristic of simplicity,safety,less complications.The supracondylar intramedullary nailing is an excellent alternative for the treatment of supracondylar and intercondylar femur fractures.
, http://www.100md.com
Key words Femoral condyle fracture Interlocking intramedullary nail Internal fixation
交锁髓内钉技术已普遍应用于四肢长骨干的骨折。其对股骨干骨折的治疗可将固定范围从峡部扩大到股骨转子下到髁上。对股骨远端髁上、髁间骨折,目前国内多采用钢板螺钉类固定。我院自1997年5月起,应用股骨髁上交锁髓内钉(Intra Medullary nail for Suppra Condylar IMSC)治疗13例股骨远端骨折,取得良好效果。本文对该技术的适应证,使用方法,应用特点和临床使用的有关问题作一初步报告
1 临床资料
1.1一般资料 本组13例,男11例,女2例。年龄22~48岁,平均年龄35岁。均为交通事故伤,其中摩托车车祸伤11例,汽车车祸伤2例。按AO股骨远端分类,A13例,A23例,A33例,C33例,C21例。手术时间均在伤后14d以内,平均9d。闭合复位6例;开放复位7例,包括C型4例和A33例。
, http://www.100md.com
1.2 器材介绍 本组采用Smith&Nephew公司生产的IMSC股骨髁上交锁髓内钉。材料为优质不锈钢,由1枚中空断面封闭的髓内钉和5~12枚锁钉组成。分IMSC?5孔型(近端2孔,远端3孔,共可固定5枚锁钉)和标准多孔型(有7~12个交锁孔,孔的多少取决于髓内钉的长度),(见图1)。两型髓内钉的直径有11mm,12mm,13mm,长度有15cm,20cm,25cm。锁钉有直径5mm的全攻螺钉和直径6.4mm的阶梯螺钉,长度不等。另有交锁稳定螺母可加强交锁钉的作用。髓内钉中央部分设计成断面封闭和厚度加强,大大提高了钉的强度,同时交锁钉顶端设计成向前成角8°,以适应股骨髁的形状。选用标准多孔型或IMSC 5孔型的依据是骨折类型和粉碎程度。
图1 Smith&Nephew IMSC股骨髁上交锁钉
1.3 手术方法 麻醉满意后,取仰卧位。膝关节屈曲30°~40°以方便骨折的复位和固定。根据骨折类型决定开放或闭合复位。通过膝前中线切口和髌内侧关节囊进入膝关节。如有关节内骨折,先行开放复位,关节面要求解剖复位。然后在髁的前后位置横行固定2枚拉力螺钉,注意螺钉间保留足够的空间允许髓内钉进入髓腔。髓内钉的进钉点选在髁间窝,位置恰好在交叉韧带起点的前方。注意进钉点应位于二髁中央以防止内外翻。用开口器开一直径>所选用髓内钉直径1.0~1.5mm的入口。然后置换圆头导杆穿过复位的骨折部插入股骨干髓腔,先采用8.0mm直径,后依次再以0.5mm直径递增的扩髓器扩髓,直至扩髓器直径>所选髓内钉直径1.0mm。一般在股骨干峡部直径较小同时使用直径12mm或13mm髓内钉时需要扩髓。扩髓过程中注意保护髌腱。完成扩髓后,将髓内钉与瞄准器安装在一起,屈曲膝关节到45°~60°,沿导钉将髓内钉推入股骨髓腔,直到髓内钉尾沉入关节面下1~2mm。注意不能用暴力将髓内钉打入髓腔。如果复位和扩髓合适,髓内钉进入应该是很顺利的。然后先通过瞄准器固定2枚远端锁钉,再锁定近端的2~3枚锁钉以获得完全的稳定。如选用多孔型髓内钉,则根据骨折粉碎情况酌情固定多个螺钉(见图2,3)。术毕膝关节用无菌生理盐水大量冲洗 至清洁,并放置引流。本组手术时间60~130min,平均80min。
, 百拇医药
图2 股骨干骨折术前正、侧位X线片
图3 股骨髁上交锁钉术后正、侧位X线片
1.4 术后处理 术后24~48h内开始膝关节进行被动锻炼(CPM)。粉碎性骨折做CPM的时间适当延后并减少幅度。在良好的骨痂形成前,禁止完全负重。骨折愈合前每4~6周门诊复查1次,摄片观察骨痂生长情况并指导功能锻炼。
2 结 果
本组13例均获得随访,随访时间9~27个月平均14个月。术后未出现伤口感染、脂肪栓塞、下肢深静脉血栓等早期并发症。无1例出现髓内钉和交锁钉断裂,松动现象。1例(C2)术后11个月仍无明显骨痂生长,考虑为原发骨折时有较大范围骨缺损而未行植骨。再行植骨术4个月后愈合。2例早期施术者远端向后成角15°畸形愈合,X线片显示髓内钉长度不够,未完全进入股骨干峡部。其余病例均在术后4~8个月骨折正常愈合。术后均无膝关节感染、关节痛等并发症。对随访患者进行改良膝关节功能评分,评分指标参考Lysholm膝关节评分量表(LKSS),包括疼痛,关节活动范围,肌力,畸形愈合情况,关节不稳情况,行走情况等6项。13例中优8例,良5例,可1例。优良率92.3%。
, 百拇医药
3 讨 论
3.1 IMSC的适应证 交锁髓内钉在治疗股骨干骨折已为临床首选,髓内固定的生物力学优势已得到公认[1]。但其不能适用于股骨远端的髁上和髁间骨折。由Green,Seligson和Henry医生设计的IMSC股骨髁上髓内钉,将髓内钉的适应证扩展到股骨髁上和髁间骨折,弥补了常规交锁髓内钉的空白[2]。其首要适应证为股骨髁上和髁间骨折,尤其对髁上粉碎骨折。髁间骨折通过辅助的拉力螺钉先将髁部固定,将复杂的骨折变为较简单的髁上骨折。其次适用于股骨远端的病理骨折,以及骨折畸形愈合,失败的股骨远端接骨术和骨质疏松症的股骨远端骨折,以及全膝关节置换术后假体上部的股骨远端骨折。本组13例髁上和髁间骨折,使用IMSC均获得牢固的固定。
3.2 IMSC的特点
3.2.1 稳定性高 IMSC具有髓内钉的一般优点,在生物力学上更符合髁部骨折对内固定的要求。有学者报道使用传统髓内钉固定股骨髁上骨折,由于其设计上不适合股骨远端骨折,使髓内钉在骨折部位承受过高应力而常造成髓内钉断裂,部位以远端锁孔处多见[3]。IMSC髓内钉为逆行植入,设计上使强度较高的部位对应于应力集中点,使断钉的机会大为减少。同时由膝关节逆向插入髓内钉也可更稳定股骨峡部以下骨折,其防短缩和抗旋转的能力均优于各种顺行髓内钉。有利于恢复膝关节功能。本组无一例出现螺钉断裂,松动;其中1例在长期骨不愈合的情况下仍未出现松动,断裂。初步说明了IMSC的高度稳定性。
, http://www.100md.com
3.2.2 与髁钢板等钢板螺钉类内固定相比,操作简单、安全,并发症少。根据本院多年使用髁钢板的经验[4],其操作相对复杂,对术者要求高。如果对该技术掌握不成熟,手术并发症较多。(1)髁钢板瞄准系统需要三维空间的定位,只要其中一个方向定位出现偏差,将导致骨干轴线偏移。因此采用髁钢板内固定出现膝内外翻,旋转畸形等并发症较多。IMSC为髓内固定,只要进钉点正确,髓内钉长度经过峡部,股骨干的轴线就不易偏离。(2)髁钢板固定均为开放复位,创伤大,干骺端的显露更损伤了该部位的血运,影响骨折愈合。IMSC技术用于髁上骨折无须切开复位。对于严重的粉碎骨折,通过术前牵引和术中小切口辅助复位,即可达到满意的对位对线。由于股骨远端髓腔宽大,稍加牵引即可顺利逆行进入髓腔。技术熟练后可经皮导入髓内钉(在X线透视下操作),减少对膝关节的骚扰。(3)钢板类为髓外固定,在固定力线上存在缺陷,钢板受弯曲应力大,固定不十分坚固。不利于早期活动,负重[5]。有报道髓内固定病人的膝关节功能恢复,骨折愈合方面明显优于髁钢板[6]。本组膝关节功能恢复良好,无股四头肌粘连、萎缩等“骨折病”出现。
, 百拇医药
3.2.3 IMSC瞄准器有远近端瞄准功能,可减少术中暴露于X线的机会。根据厂家提供的资料,由于IMSC采用优质不锈钢材料,可以不取除,对患者特别是老年人可免除二次手术痛苦。
3.3 IMSC应用的注意点
IMSC设计严密,手术器械非常精制实用,操作相对简单。但如果对操作要领把握不当,也可产生严重后果。具体操作上要注意:
3.3.1 选择合适长度和直径的髓内钉 本组出现2例股骨干成角畸形愈合。2例骨折均为粉碎性,极不稳定。但主要原因是髓内钉长度不够,未进入股骨干峡部,导致术中不易保持股骨干轴线,术后内固定稳定性不够。因此对于不稳定骨折者,建议使用25cm髓内钉。对新开展此项技术者,建议在固定后取除瞄准器以前用C臂X光机检查有无内外翻和前后成角畸形。对于峡部髓腔狭窄者,需要适当的扩髓并选用直径较大的髓内钉以便取得牢靠的固定,减少断钉等并发症。
, 百拇医药
3.3.2 准确选择髓内钉进钉点 入口的偏移可造成手术失败。手术应充分显露股骨髁间便于正常定位,切忌抱着不愿过多显露关节腔的心理而盲目定位。对闭合穿钉,一定要在透视下从正侧位两个方向定位。
3.3.3 术中严格无菌操作,防止膝关节感染 对于膝部皮肤污染严重或受伤时间较长的开放性损伤,属于相对禁忌症。对粉碎性骨折,骨缺损部位应一期植骨。
目前国内对IMSC股骨髁上交锁髓内钉的使用起步不久。初步使用表明它是一种比较理想的股骨髁部骨折内固定器材。此项技术对于熟悉交锁髓内钉治疗长骨干骨折的医师是很好的选择。但由于其价格昂贵,因此观察病例较少,对是否会出现诸如膝关节痛,髌股关节退行性变等并发症有待进一步随访。
作者简介:昌耘冰(1968-),男,浙江杭州人,主治医师,硕士。研修方向:脊柱及四肢创伤。电话:(020)86662205-53534(办)。E-mail:spine@126.com
, 百拇医药
参考文献:
〔1〕 Johnson KD,Tencer Af,Blumenthal S,et al.Biomechanical performance of locked intramedullary nail systems in comminuted femoral shaft fractures[J].Clin Orthop,1986,206:151~161.
〔2〕 Danziger MB,Caucci D,Zecher SB,et al.Treatment of intercondylar and supracondylar distal femur fractures uning GSH supracondylar nail[J].Am J Orthop,1995,24(9):684~690.
〔3〕 Bucholz RW,Ross SE,Lawrence KL.Fatigue fracture of the interlocking nail in the treatment of fracture of the distal part of the femoral shaft[J].J Bone Joint Surg(Am),1987,69:1 391~1 398.
, 百拇医药
〔4〕 尹庆水,邓建业,魏仲恩,等.髁钢板治疗下肢骨折的并发症及预防[J].中华骨科杂志,1999,19(6):383~384.
〔5〕 Rober WB,Jones A.Fracture of the femoral shaft (New conception review)[J].J Bone Joint Surg(Am),1992,72:1 560~1 568.
〔6〕 Wu CC,Shih CH.Treatment of femoral supracondylar unstable comminuted fractures[J].Arch Orthop Trauma Surg,1992,111:232~239.
(收稿:2000-06-07 修回:2000-09-11), 百拇医药