外伤致耻骨联合脱位1例
作者:李聪章
单位:河北省吴桥县医院外二科, 061800
关键词:
中国矫形外科杂志001247 中图分类号 R683.3 文献标识码 C 文章编号 1005-8478(2000)12-1180-01
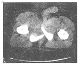
患者,男性,22岁,职业为杂技团马戏演员。因骨盆砸伤,耻骨联合及下腹部疼痛1h急诊入院。追寻病史,患者在马戏表演时,不慎马跌倒,马身砸于患者骨盆,当时即感耻骨联合及下腹部剧疼,不能行走,伤后大小便困难,急送我院就诊。查体:骨盆明显狭窄畸形,耻骨联合处肿胀,触疼,下腹部压痛。腹部彩超示:盆腔少量积液。下腹穿刺抽出少量不凝血。X线片示:耻骨联合重叠移位约6cm,未发现骨盆骨折,骨盆下口明显狭小(见图1)。CT片示:耻骨联合脱位,右侧耻骨位于左侧耻骨后方(见图2)。诊断:外伤性耻骨联合脱位。次日在腰麻下行开放复位内固定术。取耻骨联合前横弧形切口,术中见膀胱浆肌层广泛瘀血,耻骨联合脱位,右侧耻骨位于左侧耻骨之后方。膀胱及直肠明显受压。先试行徒手分离双侧髂嵴复位失败。改用两把持骨钳,伸入双侧闭孔,并借用骨撬强行插入重叠移位之耻骨间隙,将两侧闭孔向外侧用力牵引,同时撬动重叠之耻骨,耻骨联合瞬时复位。在刹时复位过程中,有明显弹性复位感。然后钻孔,不锈钢丝固定之(见图3)。术后大小便恢复正常。
耻骨联合脱位临床罕见,确诊后应及时治疗,手法复位失败应改为手术复位,尤其是育龄期女性更为重要。
图1 术前X线片
图2 术前CT片
图3 术后X线片
(收稿:2000-06-13 修回:2000-06-22), http://www.100md.com
单位:河北省吴桥县医院外二科, 061800
关键词:
中国矫形外科杂志001247 中图分类号 R683.3 文献标识码 C 文章编号 1005-8478(2000)12-1180-01
患者,男性,22岁,职业为杂技团马戏演员。因骨盆砸伤,耻骨联合及下腹部疼痛1h急诊入院。追寻病史,患者在马戏表演时,不慎马跌倒,马身砸于患者骨盆,当时即感耻骨联合及下腹部剧疼,不能行走,伤后大小便困难,急送我院就诊。查体:骨盆明显狭窄畸形,耻骨联合处肿胀,触疼,下腹部压痛。腹部彩超示:盆腔少量积液。下腹穿刺抽出少量不凝血。X线片示:耻骨联合重叠移位约6cm,未发现骨盆骨折,骨盆下口明显狭小(见图1)。CT片示:耻骨联合脱位,右侧耻骨位于左侧耻骨后方(见图2)。诊断:外伤性耻骨联合脱位。次日在腰麻下行开放复位内固定术。取耻骨联合前横弧形切口,术中见膀胱浆肌层广泛瘀血,耻骨联合脱位,右侧耻骨位于左侧耻骨之后方。膀胱及直肠明显受压。先试行徒手分离双侧髂嵴复位失败。改用两把持骨钳,伸入双侧闭孔,并借用骨撬强行插入重叠移位之耻骨间隙,将两侧闭孔向外侧用力牵引,同时撬动重叠之耻骨,耻骨联合瞬时复位。在刹时复位过程中,有明显弹性复位感。然后钻孔,不锈钢丝固定之(见图3)。术后大小便恢复正常。
耻骨联合脱位临床罕见,确诊后应及时治疗,手法复位失败应改为手术复位,尤其是育龄期女性更为重要。
图1 术前X线片
图2 术前CT片
图3 术后X线片
(收稿:2000-06-13 修回:2000-06-22), http://www.100md.com