小儿法乐四联症磁共振成像与电影磁共振诊断
作者:朱会英 黄新华 韩立新 王 霞 邹 伟
单位:广州军区广州总医院(510010)
关键词:磁共振成像;先天性;法乐四联症
小儿法乐四联症磁共振成像与电影磁共振诊断 摘要 评价磁共振成像(MRI)及电影磁共振成像(cine-MRI)在小儿法乐四联症的诊断价值。采用MRI及cine-MRI成像技术,检查了25例法乐四联症患儿,并与超声心动图(UCG)和心血管造影(CAG)进行比较,全部病例均经手术证实。结果表明,MRI及cine-MRI能清晰地显示法乐四联症的室间隔缺损,主动脉骑跨,肺动脉狭窄和右心室肥厚的基本病理改变,可进行定性及定量诊断。本组资料显示,MRI、UCG、及手术(OP)对室间隔缺损大小测量无显著性差异(P=0.328)。MRI对主动脉骑跨率测量与UCG、CAG结果相一致。肺动脉主干及左、右肺动脉内径测量与UCG、CAG相关有显著性。MRI及cine-MRI能对法乐四联症基本病理畸形做出准确诊断,手术证实与CAG诊断结果基本相同,对左、右肺动脉的显示优于UCG,可做为法乐四联症术前诊断的主要检查方法。
, 百拇医药
MRI and Cin-MRI for the Diagnosis of Tetralogy of Fallot in Children
Zhu Huiying,Huang Xinhua,Han Lixin,et al.
Central Hospital of Guangzhou Military Command,Guangzhou (510010)
Abstract The aim of this study was to evaluate the diagnostic accurary of MRI and cine-MRI for tetralogy of Fallot in Children MRI and cine-MRI were used in the diagnostic process of 25 cases of tetralogy of Fallot in children. The results were compared with the findings of ultrasonic cardiography (UCG) and cardioangiography (CAG). All cases were verified by operation (OP). MRI and cine-MRI could clearly delineate basic pathological changes of ventricular septal defect, aortic override, pulmonary artery stenosis and right ventricular hypertrophy. Therefore, both of them can be used as qualitative or quantitative diagnostic method for those abnormalities. Our data showed that there were no significant differences among MRI, UCG and OP in the measuring of the size of ventricular defect (P=0.328) The extent of aortic override determined by MRI corresponded with those by UCG and CAG. The radii of pulmonary artery trunk, right and left pulmonic artery measured by MRI correlated significantly with those measured by UCG and CAG.MRI and cine-MRI could precisely diagnose the basic pathological abnormalities of tetralogy of Fallot. Diagnosis of CAG generally corresponded with findings from operation, the images of right and left pulmonic artery by MRI were clearer than those by UCG. Hence, MRI and cine-MRI might be a major examination procedure for pre-surgical diagnosis of tetralogy of Fallot.
, http://www.100md.com
Key words: Magnetic resonance imaging; Congenital; Tetrdogy of Fallot
法乐四联症(简称法四)是一种最常见的紫绀型先天性心脏病。长期以来其术前诊断主要依赖超声心动图(UCG)和心血管造影(CAG)。笔者应用磁共振成像(MRI)及电影磁共振成像(cine-MRI)检查了25例法四患儿,并与UCG、CAG方法进行比较,以探讨无创性MRI及cine-MRI在小儿法四诊断中的价值与限度。
对象与方法
一、 对象 法四患儿25例,男19例,女6例,年龄2~14岁(平均7.2岁),术前均经MRI和UCG及CAG检查,全部病例均经手术证实。
二、 方法 MRI检查使用美国GE公司Signa 1.5T超导型磁共振成像仪(配有心脏电影软件),扫描使用体部线圈,采用心电门控自旋回波序列(SE)获T1加权图像,常规行横轴位,冠状位,矢状位,垂直于室间隔的短轴位,垂直和平行室间隔的长轴位扫描,并根据诊断需要加扫主动脉弓长轴位,左前斜位等。由SE T1加权像图像中选择显示畸形最佳层面做cine-MRI,每个心动周期内采集16~32帧图像,以动态形式观察心脏及大血管内结构。
, http://www.100md.com
心脏超声采用威曼CFM显像仪,取标准左室长轴、大血管短轴、心尖四腔/五腔、剑突下四腔和胸骨上窝主动脉长轴切面。
心血管造影应用西门子1000 mA双向心血管造影机,选择右室正侧位,左室正侧位或轴位成角造影。
MRI测量 在连续横轴位扫描的不同层面上完成室缺、主动脉、主肺动脉及左右分支和心室腔、室壁的测量。在显示出室缺最大径的切面测量室缺口的大小,在显示主肺动脉最宽的层面上同时测量主动脉、主肺动脉内径。在肺动脉分叉后1cm处分别测量左、右肺动脉内径,并在显示左/右室最大内径的层面上以室间隔为中点,分别测量垂直于左/右心室壁内缘的距离并在此层面上测量左右心室壁厚度。在垂直于室间隔左室短轴位上测量主动脉骑跨率,以主动脉前根部至缺损室间隔中点的水平距离比主动脉前后根的水平距离。
UCG及CAG的测量按常规标准切面和正侧位左、右心室造影结果常规进行测量。
, 百拇医药
3种检查及测量由各自的医生独立完成,数据处理应用方差分析,直线相关分析,统计描述等方法,经SPSS软件处理。
结 果
25例MRI均能较准确地显示法乐四联症的基本病理改变,做出明确诊断。
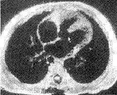
室间隔缺损 在横轴位及垂直于室间隔左室短轴位上均可清楚显示室间隔缺损(室缺)的大小、部位(图1)。1例室缺为膜周部,余为嵴下型,经手术证实。测量室缺直径范围1.4~2.5cm,平均1.94±0.32 cm。MRI、UCG及手术(OP)实测缺损口大小的比较,经F检验,OP与MRI、UCG、CAG无显著性差异(P=0.328)见表1。
, http://www.100md.com 图1 MRI横轴位像 箭头示室间隔缺损处
表1 25例法乐四联症室缺大小3种影像学方法及手术观察比较
方 法
室缺口大小(cm)
F值
P值
室缺范围
X±SD
MRI
1.4~2.5
1.94±0.32
UCG
, 百拇医药
1.4~2.5
1.92±0.931
1.163
0.328
CAG
1.2~2.5
1.86±0.34
OP
1.5~2.5
2.03±0.33
主动脉骑跨 在心脏长轴位上做向头侧成角的斜位像或垂直于室间隔左室短轴位上均能清楚显示增宽的主动脉骑跨缺损的室间隔上(图2),cine-MRI显示主动脉骑跨情况与CAG侧位或左前斜位显示相类似(图3),测量骑跨率与UCG及CAG测量结果相一致(P>0.05)。
, 百拇医药
图2 在心脏长轴位向头侧成角的斜位像
显示增宽的主动脉骑跨在室间隔上,骑跨率50%
图3 垂直于室间隔短轴位电影MRI示升主动脉骑跨
于室缺之上,收缩中期见左右心室血液同时射向
主动脉,与心血管造影左前斜位相似
肺动脉狭窄 漏斗部、肺动脉主干狭窄及左右肺动脉分支发育情况在横轴位上均能良好显示(图4)。在矢状位或斜矢状位可较清楚观察到右室流出道狭窄及狭窄的程度和类型(图5)。在横轴上行cine-MRI,均能更加清晰显示狭窄的右室流出道、肺动脉主干、左右肺动脉起始及远端走形的情况(图6),14例能显示左/右肺动脉的一级分支。本组3例CAG左肺动脉显示不清楚,难以定论,而MRI及cine-MRI能较好显示左肺动脉发育情况,分别诊断为左肺动脉起始部局限性狭窄,左侧肺动脉普遍发育不良(图7)及左肺动脉缺如(图8),均经手术证实。MRI、UCG及CAG分别对主动脉和主肺动脉以其分支内径进行测量,其测量值见表2。3种影像学方法测量值经相关分析均有显著性,结果显示主肺动脉和主动脉相关程度较高,左、右肺动脉的相关程度较低但相关有显著性)见表3。
, 百拇医药
图4 MRI横轴位 清楚显示狭窄的右室流出道,主
肺动脉及左/右肺动脉的全貌
图5 斜矢状位 箭头示右室流出道狭窄
图6 电影MRI横轴位 更加清晰显示主肺动脉
及左、右肺动脉分支走行,箭头示左肺动脉
, http://www.100md.com
图7 电影MRI横轴位 箭头示左侧肺动脉纤细,发育不良
图8 MRI横轴位 仅显示主肺动脉与右肺动脉,左肺动脉缺如
表2 25例法乐四联症肺动脉MRI、2DE与CAG测量结果(cm)
部位
MRI测量(1)
内径范围x±s
UCG测量(2)
内径范围 x±s
, http://www.100md.com
CAG测量(3)
内径范围 x±s
肺动脉主干
0.8~1.7
1.28±0.32
0.7~1.6
1.22±0.28
0.7~2.0
1.40±0.32
左肺动脉
0.5~1.4
0.96±0.20
, 百拇医药
0.6~1.3
0.88±0.19
0.7~1.5
1.12±0.22
右肺动脉
0.7~1.3
0.90±0.16
0.7~1.2
0.80±0.14
0.8~1.5
1.11±0.19
主 动 脉
, 百拇医药
1.8~3.6
2.71±0.57
1.8~3.7
2.59±0.59
2.0~3.8
2.82±0.63
表3 法乐四联症肺动脉3种影像学方法的相关分析(r)
MPA
LPA
RPA
AO
UCG
, 百拇医药
CAG
UCG
CAG
UCG
CAG
UCG
CAG
MRI
0.913***
0.926***
0.610**
0.849***
, 百拇医药
0.460*
0.618**
0.969***
0.976***
UCG
0.861***
0.617**
0.517**
0.948***
注:*P<0.05 **P<0.01 ***P<0.001
, http://www.100md.com
右心室肥厚 MRI在横轴位测量右室前壁,显示均有不同程度的增厚,可达左室壁厚度,甚至超过左室壁厚度。左、右室壁厚度及左、右室腔内径测量结果见表4。 表4 25例法乐四联症室壁厚度及心腔内径MRI测量值
部 位
测量值范围
(cm)
X±SD
右室壁
0.6~1.8
1.12±0.31
左室壁
0.5~1.5
, http://www.100md.com
0.95±0.26
右室腔
1.3~3.1
2.26±0.48
左室腔
1.3~3.0
2.03±0.47
室间隔
0.6~1.5
0.97±0.26
合并的畸形 本组7例为右位主动脉弓,5例合并动脉导管末闭(PDA),2例合并房间隔缺损,4例体肺循环侧支,1例合并主动脉瓣关闭不全,MRI与cine-MRI相结合均能较准确显示其合并的畸形。cine-MRI在主动脉弓长轴位上清楚显示直径0.3~0.4cm大小之PDA(图9),并能显示降主动脉与肺动脉之间有数条细网状侧支血管沟通(图10),并经手术证实。
, http://www.100md.com
图9 主动脉弓长轴位 电影MRI显示在主动脉
弓降部可见一直径0.3cm未闭动脉导管
图10 主动脉弓长轴位 电影MRI显示降主动脉
与肺动脉之间有数条细网状侧支血管沟通
讨 论
随着小儿法四根治术的进展,术前明确的诊断对决定手术方式和估计手术预后尤为重要。MRI是一种安全无创伤性的影像学诊断方法,其分辨率高,图像清晰,可以根据诊断需要任意方向和角度成像,配置电影磁共振成像,无需造影剂即可获得动态心脏或大血管腔内血液流动影像,能较准确显示肺动脉及其分支发育情况,为外科手术提供重要信息。
, 百拇医药
本组25例,MRI均能对法四的基本病理改变作出正确的诊断。Boxer等人[1]认为MRI能在不同方向的切面上显示出法四的各种病理改变,本组25例,MRI与cine-MRI均获得与其相同的结论。根据法四心脏畸形的解剖形态,MRI可选择不同的扫描方向与角度能较准确地显示室缺的大小、位置、主动脉骑跨程度、肺动脉狭窄的形态和程度,以及右心室肥厚和左、右心室形态。
在横轴位上可显示自嵴上到膜部、肌部的全部室间隔并能观察到室上嵴,以区别室缺的类型[2]。本组1例CAG诊断为嵴下型室缺,MRI显示室缺位于膜周部,且与手术结果相符合,表明MRI对偏前的膜周型缺损亦可正确判断。
心脏长轴位向头侧成角的斜位像或垂直于室间隔的短轴位是显示主动脉骑跨的最佳位,其显示结果类似于CAG的侧位或左前斜位,由于扫描平面垂直于室间隔和主动脉根部,能准确有效的显示主动脉根部与室间隔的关系,明确骑跨程度。本组资料表明MRI对主动脉骑跨程度的显示,与CAG显示相一致。
, 百拇医药
肺动脉狭窄是法四最主要的病理改变,其狭窄的程度和远端肺动脉的发育情况对选择一次性纠正术或姑息性手术至关重要。MRI在横轴位及对漏斗部以上肺动脉各段及左、右分支形态、结构能良好显示[3,4],较准确地判断狭窄的部位和程度,能为手术的纠治提供可靠信息。cine-MRI能更清楚显示左右肺动脉起始处、远端的走行,本组3例分别为左肺动脉起始部局限性狭窄,左肺动脉普遍发育不良及左肺动脉缺如,均能正确诊断,表明cine-MRI对远端肺动脉发育的评价具有较高的价值。
本组资料显示,MRI对室缺大小测量与OP、UCG及CAG测量值无显著性差异(P=0.328)。主动脉骑跨率的测定与UCG、CAG测量值相一致(P>0.05).肺动脉主干及左、右肺动脉内径测量与UCG、CAG相关有显著性,提示MRI在法四定量诊断上与UCG及CAG结果基本相同。
对法四合并的畸形如右位主动脉弓、房间隔缺损、动脉导管末闭及体肺侧支等,MRI亦能较明确显示,特别是在显示主动脉全貌的长轴位,cine-MRI对部分UCG及CAG难以发现或区别的细小未闭动脉导管或体肺侧支血管尚可显示。
, 百拇医药
MRI与UCG一样为无创性检查方法,且图像视野较UCG宽阔,对心外血管的显示较UCG更直观。并在观察左右肺动脉发育情况优于UCG。由于左右肺动脉走行及被肺组织遮盖等因素,UCG常常仅能探及左、右肺动脉开口处,对肺动脉分支显示尚受到限制。
目前CAG仍然是观察肺动脉最可靠的方法,特别是对肺内小动脉发育状况的显示优于MRI。但当肺动脉或分支严重狭窄时,由于造影剂对肺动脉远端充盈不满意,给诊断带来一定困难。cine-MRI则对远端肺动脉显示准确率较高。
本组资料证实MRI与cine-MRI相结合,对法四心脏畸形的解剖形态学显示及定性定量诊断有重要的临床价值,本组25例均能准确地做出诊断,且手术证实基本可达CAG诊断结果。MRI对先心病解剖畸形的诊断正确率很高,如配置特殊软件,可进行三维图像重建和获各项心功能指标,进行心功能测定[5]。
MRI尚存在扫描时间长,对肺动脉瓣的显示不佳,不能测量心腔内压力等不足。此外,由于对冠状动脉的显示有一定困难,故对于重症法四及怀疑合并冠状动脉等严重畸形者尚不能取代心血管造影。随着计算机软件的不断开发,MRI设备不断完善,高速MRI成像技术和磁共振血管造影技术应用于临床,可望缩短成像时间,提高心脏图像质量,使MRI逐步成为复杂先心病临床诊断的重要检查方法之一。
, http://www.100md.com
参考文献
[1]Boxer RA, Singh S, Lacorte MA, et al. Cardiac magnetic resonance imaging in children with congenital heart diseases. J pediatr, 1986, 109:460.
[2]杨洪涛,王心田,赵福全,等. 小儿室间隔缺损的磁共振成像诊断.中华放射学杂志,1993,29:851.
[3]Mirowitz SA, Gutierrez FR, Canter CE, et al. Tetralogy of Fallot:MR findings. Radiology, 1989,171:207.
[4]陈新,刘振春,张玉威,等. Fallot 四联症的MRI诊断.中华放射学杂志,1994,28∶448.
[5]李坤成主编.心血管磁共振成像诊断学.第1版.北京:人民卫生出版社.1997,78~81.
(1998-12-01收稿)
(1999-01-20修回), 百拇医药
单位:广州军区广州总医院(510010)
关键词:磁共振成像;先天性;法乐四联症
小儿法乐四联症磁共振成像与电影磁共振诊断 摘要 评价磁共振成像(MRI)及电影磁共振成像(cine-MRI)在小儿法乐四联症的诊断价值。采用MRI及cine-MRI成像技术,检查了25例法乐四联症患儿,并与超声心动图(UCG)和心血管造影(CAG)进行比较,全部病例均经手术证实。结果表明,MRI及cine-MRI能清晰地显示法乐四联症的室间隔缺损,主动脉骑跨,肺动脉狭窄和右心室肥厚的基本病理改变,可进行定性及定量诊断。本组资料显示,MRI、UCG、及手术(OP)对室间隔缺损大小测量无显著性差异(P=0.328)。MRI对主动脉骑跨率测量与UCG、CAG结果相一致。肺动脉主干及左、右肺动脉内径测量与UCG、CAG相关有显著性。MRI及cine-MRI能对法乐四联症基本病理畸形做出准确诊断,手术证实与CAG诊断结果基本相同,对左、右肺动脉的显示优于UCG,可做为法乐四联症术前诊断的主要检查方法。
, 百拇医药
MRI and Cin-MRI for the Diagnosis of Tetralogy of Fallot in Children
Zhu Huiying,Huang Xinhua,Han Lixin,et al.
Central Hospital of Guangzhou Military Command,Guangzhou (510010)
Abstract The aim of this study was to evaluate the diagnostic accurary of MRI and cine-MRI for tetralogy of Fallot in Children MRI and cine-MRI were used in the diagnostic process of 25 cases of tetralogy of Fallot in children. The results were compared with the findings of ultrasonic cardiography (UCG) and cardioangiography (CAG). All cases were verified by operation (OP). MRI and cine-MRI could clearly delineate basic pathological changes of ventricular septal defect, aortic override, pulmonary artery stenosis and right ventricular hypertrophy. Therefore, both of them can be used as qualitative or quantitative diagnostic method for those abnormalities. Our data showed that there were no significant differences among MRI, UCG and OP in the measuring of the size of ventricular defect (P=0.328) The extent of aortic override determined by MRI corresponded with those by UCG and CAG. The radii of pulmonary artery trunk, right and left pulmonic artery measured by MRI correlated significantly with those measured by UCG and CAG.MRI and cine-MRI could precisely diagnose the basic pathological abnormalities of tetralogy of Fallot. Diagnosis of CAG generally corresponded with findings from operation, the images of right and left pulmonic artery by MRI were clearer than those by UCG. Hence, MRI and cine-MRI might be a major examination procedure for pre-surgical diagnosis of tetralogy of Fallot.
, http://www.100md.com
Key words: Magnetic resonance imaging; Congenital; Tetrdogy of Fallot
法乐四联症(简称法四)是一种最常见的紫绀型先天性心脏病。长期以来其术前诊断主要依赖超声心动图(UCG)和心血管造影(CAG)。笔者应用磁共振成像(MRI)及电影磁共振成像(cine-MRI)检查了25例法四患儿,并与UCG、CAG方法进行比较,以探讨无创性MRI及cine-MRI在小儿法四诊断中的价值与限度。
对象与方法
一、 对象 法四患儿25例,男19例,女6例,年龄2~14岁(平均7.2岁),术前均经MRI和UCG及CAG检查,全部病例均经手术证实。
二、 方法 MRI检查使用美国GE公司Signa 1.5T超导型磁共振成像仪(配有心脏电影软件),扫描使用体部线圈,采用心电门控自旋回波序列(SE)获T1加权图像,常规行横轴位,冠状位,矢状位,垂直于室间隔的短轴位,垂直和平行室间隔的长轴位扫描,并根据诊断需要加扫主动脉弓长轴位,左前斜位等。由SE T1加权像图像中选择显示畸形最佳层面做cine-MRI,每个心动周期内采集16~32帧图像,以动态形式观察心脏及大血管内结构。
, http://www.100md.com
心脏超声采用威曼CFM显像仪,取标准左室长轴、大血管短轴、心尖四腔/五腔、剑突下四腔和胸骨上窝主动脉长轴切面。
心血管造影应用西门子1000 mA双向心血管造影机,选择右室正侧位,左室正侧位或轴位成角造影。
MRI测量 在连续横轴位扫描的不同层面上完成室缺、主动脉、主肺动脉及左右分支和心室腔、室壁的测量。在显示出室缺最大径的切面测量室缺口的大小,在显示主肺动脉最宽的层面上同时测量主动脉、主肺动脉内径。在肺动脉分叉后1cm处分别测量左、右肺动脉内径,并在显示左/右室最大内径的层面上以室间隔为中点,分别测量垂直于左/右心室壁内缘的距离并在此层面上测量左右心室壁厚度。在垂直于室间隔左室短轴位上测量主动脉骑跨率,以主动脉前根部至缺损室间隔中点的水平距离比主动脉前后根的水平距离。
UCG及CAG的测量按常规标准切面和正侧位左、右心室造影结果常规进行测量。
, 百拇医药
3种检查及测量由各自的医生独立完成,数据处理应用方差分析,直线相关分析,统计描述等方法,经SPSS软件处理。
结 果
25例MRI均能较准确地显示法乐四联症的基本病理改变,做出明确诊断。
室间隔缺损 在横轴位及垂直于室间隔左室短轴位上均可清楚显示室间隔缺损(室缺)的大小、部位(图1)。1例室缺为膜周部,余为嵴下型,经手术证实。测量室缺直径范围1.4~2.5cm,平均1.94±0.32 cm。MRI、UCG及手术(OP)实测缺损口大小的比较,经F检验,OP与MRI、UCG、CAG无显著性差异(P=0.328)见表1。
, http://www.100md.com 图1 MRI横轴位像 箭头示室间隔缺损处
表1 25例法乐四联症室缺大小3种影像学方法及手术观察比较
方 法
室缺口大小(cm)
F值
P值
室缺范围
X±SD
MRI
1.4~2.5
1.94±0.32
UCG
, 百拇医药
1.4~2.5
1.92±0.931
1.163
0.328
CAG
1.2~2.5
1.86±0.34
OP
1.5~2.5
2.03±0.33
主动脉骑跨 在心脏长轴位上做向头侧成角的斜位像或垂直于室间隔左室短轴位上均能清楚显示增宽的主动脉骑跨缺损的室间隔上(图2),cine-MRI显示主动脉骑跨情况与CAG侧位或左前斜位显示相类似(图3),测量骑跨率与UCG及CAG测量结果相一致(P>0.05)。
, 百拇医药
图2 在心脏长轴位向头侧成角的斜位像
显示增宽的主动脉骑跨在室间隔上,骑跨率50%
图3 垂直于室间隔短轴位电影MRI示升主动脉骑跨
于室缺之上,收缩中期见左右心室血液同时射向
主动脉,与心血管造影左前斜位相似
肺动脉狭窄 漏斗部、肺动脉主干狭窄及左右肺动脉分支发育情况在横轴位上均能良好显示(图4)。在矢状位或斜矢状位可较清楚观察到右室流出道狭窄及狭窄的程度和类型(图5)。在横轴上行cine-MRI,均能更加清晰显示狭窄的右室流出道、肺动脉主干、左右肺动脉起始及远端走形的情况(图6),14例能显示左/右肺动脉的一级分支。本组3例CAG左肺动脉显示不清楚,难以定论,而MRI及cine-MRI能较好显示左肺动脉发育情况,分别诊断为左肺动脉起始部局限性狭窄,左侧肺动脉普遍发育不良(图7)及左肺动脉缺如(图8),均经手术证实。MRI、UCG及CAG分别对主动脉和主肺动脉以其分支内径进行测量,其测量值见表2。3种影像学方法测量值经相关分析均有显著性,结果显示主肺动脉和主动脉相关程度较高,左、右肺动脉的相关程度较低但相关有显著性)见表3。
, 百拇医药
图4 MRI横轴位 清楚显示狭窄的右室流出道,主
肺动脉及左/右肺动脉的全貌
图5 斜矢状位 箭头示右室流出道狭窄
图6 电影MRI横轴位 更加清晰显示主肺动脉
及左、右肺动脉分支走行,箭头示左肺动脉
, http://www.100md.com
图7 电影MRI横轴位 箭头示左侧肺动脉纤细,发育不良
图8 MRI横轴位 仅显示主肺动脉与右肺动脉,左肺动脉缺如
表2 25例法乐四联症肺动脉MRI、2DE与CAG测量结果(cm)
部位
MRI测量(1)
内径范围x±s
UCG测量(2)
内径范围 x±s
, http://www.100md.com
CAG测量(3)
内径范围 x±s
肺动脉主干
0.8~1.7
1.28±0.32
0.7~1.6
1.22±0.28
0.7~2.0
1.40±0.32
左肺动脉
0.5~1.4
0.96±0.20
, 百拇医药
0.6~1.3
0.88±0.19
0.7~1.5
1.12±0.22
右肺动脉
0.7~1.3
0.90±0.16
0.7~1.2
0.80±0.14
0.8~1.5
1.11±0.19
主 动 脉
, 百拇医药
1.8~3.6
2.71±0.57
1.8~3.7
2.59±0.59
2.0~3.8
2.82±0.63
表3 法乐四联症肺动脉3种影像学方法的相关分析(r)
MPA
LPA
RPA
AO
UCG
, 百拇医药
CAG
UCG
CAG
UCG
CAG
UCG
CAG
MRI
0.913***
0.926***
0.610**
0.849***
, 百拇医药
0.460*
0.618**
0.969***
0.976***
UCG
0.861***
0.617**
0.517**
0.948***
注:*P<0.05 **P<0.01 ***P<0.001
, http://www.100md.com
右心室肥厚 MRI在横轴位测量右室前壁,显示均有不同程度的增厚,可达左室壁厚度,甚至超过左室壁厚度。左、右室壁厚度及左、右室腔内径测量结果见表4。 表4 25例法乐四联症室壁厚度及心腔内径MRI测量值
部 位
测量值范围
(cm)
X±SD
右室壁
0.6~1.8
1.12±0.31
左室壁
0.5~1.5
, http://www.100md.com
0.95±0.26
右室腔
1.3~3.1
2.26±0.48
左室腔
1.3~3.0
2.03±0.47
室间隔
0.6~1.5
0.97±0.26
合并的畸形 本组7例为右位主动脉弓,5例合并动脉导管末闭(PDA),2例合并房间隔缺损,4例体肺循环侧支,1例合并主动脉瓣关闭不全,MRI与cine-MRI相结合均能较准确显示其合并的畸形。cine-MRI在主动脉弓长轴位上清楚显示直径0.3~0.4cm大小之PDA(图9),并能显示降主动脉与肺动脉之间有数条细网状侧支血管沟通(图10),并经手术证实。
, http://www.100md.com
图9 主动脉弓长轴位 电影MRI显示在主动脉
弓降部可见一直径0.3cm未闭动脉导管
图10 主动脉弓长轴位 电影MRI显示降主动脉
与肺动脉之间有数条细网状侧支血管沟通
讨 论
随着小儿法四根治术的进展,术前明确的诊断对决定手术方式和估计手术预后尤为重要。MRI是一种安全无创伤性的影像学诊断方法,其分辨率高,图像清晰,可以根据诊断需要任意方向和角度成像,配置电影磁共振成像,无需造影剂即可获得动态心脏或大血管腔内血液流动影像,能较准确显示肺动脉及其分支发育情况,为外科手术提供重要信息。
, 百拇医药
本组25例,MRI均能对法四的基本病理改变作出正确的诊断。Boxer等人[1]认为MRI能在不同方向的切面上显示出法四的各种病理改变,本组25例,MRI与cine-MRI均获得与其相同的结论。根据法四心脏畸形的解剖形态,MRI可选择不同的扫描方向与角度能较准确地显示室缺的大小、位置、主动脉骑跨程度、肺动脉狭窄的形态和程度,以及右心室肥厚和左、右心室形态。
在横轴位上可显示自嵴上到膜部、肌部的全部室间隔并能观察到室上嵴,以区别室缺的类型[2]。本组1例CAG诊断为嵴下型室缺,MRI显示室缺位于膜周部,且与手术结果相符合,表明MRI对偏前的膜周型缺损亦可正确判断。
心脏长轴位向头侧成角的斜位像或垂直于室间隔的短轴位是显示主动脉骑跨的最佳位,其显示结果类似于CAG的侧位或左前斜位,由于扫描平面垂直于室间隔和主动脉根部,能准确有效的显示主动脉根部与室间隔的关系,明确骑跨程度。本组资料表明MRI对主动脉骑跨程度的显示,与CAG显示相一致。
, 百拇医药
肺动脉狭窄是法四最主要的病理改变,其狭窄的程度和远端肺动脉的发育情况对选择一次性纠正术或姑息性手术至关重要。MRI在横轴位及对漏斗部以上肺动脉各段及左、右分支形态、结构能良好显示[3,4],较准确地判断狭窄的部位和程度,能为手术的纠治提供可靠信息。cine-MRI能更清楚显示左右肺动脉起始处、远端的走行,本组3例分别为左肺动脉起始部局限性狭窄,左肺动脉普遍发育不良及左肺动脉缺如,均能正确诊断,表明cine-MRI对远端肺动脉发育的评价具有较高的价值。
本组资料显示,MRI对室缺大小测量与OP、UCG及CAG测量值无显著性差异(P=0.328)。主动脉骑跨率的测定与UCG、CAG测量值相一致(P>0.05).肺动脉主干及左、右肺动脉内径测量与UCG、CAG相关有显著性,提示MRI在法四定量诊断上与UCG及CAG结果基本相同。
对法四合并的畸形如右位主动脉弓、房间隔缺损、动脉导管末闭及体肺侧支等,MRI亦能较明确显示,特别是在显示主动脉全貌的长轴位,cine-MRI对部分UCG及CAG难以发现或区别的细小未闭动脉导管或体肺侧支血管尚可显示。
, 百拇医药
MRI与UCG一样为无创性检查方法,且图像视野较UCG宽阔,对心外血管的显示较UCG更直观。并在观察左右肺动脉发育情况优于UCG。由于左右肺动脉走行及被肺组织遮盖等因素,UCG常常仅能探及左、右肺动脉开口处,对肺动脉分支显示尚受到限制。
目前CAG仍然是观察肺动脉最可靠的方法,特别是对肺内小动脉发育状况的显示优于MRI。但当肺动脉或分支严重狭窄时,由于造影剂对肺动脉远端充盈不满意,给诊断带来一定困难。cine-MRI则对远端肺动脉显示准确率较高。
本组资料证实MRI与cine-MRI相结合,对法四心脏畸形的解剖形态学显示及定性定量诊断有重要的临床价值,本组25例均能准确地做出诊断,且手术证实基本可达CAG诊断结果。MRI对先心病解剖畸形的诊断正确率很高,如配置特殊软件,可进行三维图像重建和获各项心功能指标,进行心功能测定[5]。
MRI尚存在扫描时间长,对肺动脉瓣的显示不佳,不能测量心腔内压力等不足。此外,由于对冠状动脉的显示有一定困难,故对于重症法四及怀疑合并冠状动脉等严重畸形者尚不能取代心血管造影。随着计算机软件的不断开发,MRI设备不断完善,高速MRI成像技术和磁共振血管造影技术应用于临床,可望缩短成像时间,提高心脏图像质量,使MRI逐步成为复杂先心病临床诊断的重要检查方法之一。
, http://www.100md.com
参考文献
[1]Boxer RA, Singh S, Lacorte MA, et al. Cardiac magnetic resonance imaging in children with congenital heart diseases. J pediatr, 1986, 109:460.
[2]杨洪涛,王心田,赵福全,等. 小儿室间隔缺损的磁共振成像诊断.中华放射学杂志,1993,29:851.
[3]Mirowitz SA, Gutierrez FR, Canter CE, et al. Tetralogy of Fallot:MR findings. Radiology, 1989,171:207.
[4]陈新,刘振春,张玉威,等. Fallot 四联症的MRI诊断.中华放射学杂志,1994,28∶448.
[5]李坤成主编.心血管磁共振成像诊断学.第1版.北京:人民卫生出版社.1997,78~81.
(1998-12-01收稿)
(1999-01-20修回), 百拇医药