达肝素钠对多柔比星肾病大鼠的治疗作用
作者:林志翔 梅长林 张翼翔 林志跃 袁志忠 张晓英
单位:林志翔(中国人民解放军174医院 内四科,福建 厦门 524005);梅长林 张翼翔 林志跃 袁志忠 张晓英(中国人民解放军第二军医大学 附属长征医院 肾内科,上海 200003)
关键词:肾变病综合征;达肝素钠;肝素;大鼠
中国新药与临床杂志000536 [摘要] 目的:观察达肝素钠(dalteparma sodium)对多柔比星(doxorubicin)肾病大鼠的治疗作用。方法:SD雄性大鼠一次尾静脉注入多柔比星6.5 mg*kg-1,肾病模型建立后,随机分为3组,分别予0.9%氯化钠注射液、肝素、达肝素钠腹腔注射治疗qd×1mo。结果:达肝素钠组与0.9%氯化钠注射液对照组比较:血浆总蛋白、血清清蛋白明显上升,总胆固醇、低密度脂蛋白胆固醇、凝血因子X、凝血因子Ⅱ、肝素辅因子Ⅰ均明显降低(P<0.05)。电镜检查与其他2组比较,肾小球上皮细胞足突融合也明显减少。达肝素钠组与肝素组比较:达肝素钠组的血清清蛋白上升,凝血因子X活性低于肝素组,2组比较差别均有显著意义(P<0.05);各组尿素氮、肌酐变化差别无显著意义(P>0.05)。结论:达肝素钠可使多柔比星肾病大鼠的高凝状态缓解、尿蛋白减少、血清清蛋白上升,肾脏病理损害减轻,疗效优于肝素。
, 百拇医药
[中图分类号] R973.2;R692 [文献标识码] B
[文章编号] 1007-7669(2000)05-0425-03
肾病综合征(nephrotic syndsome, NS)常处于高凝状态[1],易并发血栓形成,成年病人发生率为10%~40%[2],儿童病人发生率为1.8%~5.0%[3],严重影响治疗效果及预后,因此,NS的抗凝治疗日益受到重视,但由于NS伴高凝状态、血栓形成的机制尚未完全清楚。肝素(heparin)、双嘧达莫(dipyridamole)、阿司匹林(aspirin)等抗凝剂易引起出血或效果欠佳。达肝素钠的相对分子量为4000~6000 u,生物利用度高达98%,T(1)/(2)为肝素的2~4倍,量效关系明确,以抗FXa活性为主,血小板发生率、自发性出血远较肝素少[4]。为寻找新的抗凝效果佳、副作用小、使用方便的抗凝剂,我们使用达肝素钠治疗类似人类微小病变或糖尿病肾病的多柔比星肾病大鼠,以评价其对实验性肾病的治疗作用,结果报告如下。
, 百拇医药
材料与方法
1 动物模型制备 取健康SD雄性(清洁级)大鼠60只,体重220~250 g。上海计划生育研究所动物中心提供合格证号医动02-49-2号,一次尾静脉注入多柔比星6.5 mg*kg-1(深圳万乐药业有限公司产品),以标准饲料饲养,自由摄食及饮水,存活的大鼠于注药后d 7,14放入代谢笼中留24 h尿测蛋白定量,若蛋白定量>100 mg*24 h-1,即为模型复制成功,随机分为3组,每组各17只。
2 用药方法 对照组予0.9%氯化钠注射液1 mL,ip,qd,肝素组予肝素200 IU*kg-1(上海生物化学制药厂生产,批号970616),ip,qd;达肝素钠组予达肝素钠200 IU*kg-1(瑞典法玛西亚普强公司提供,进口批号17578A51,商品名为法安明,Fragmin),ip,qd,疗程均为1 mo。
, 百拇医药
3 观察指标 所有存活大鼠于治疗结束时留24 h尿及去颈处死取血,肾组织送检。(1) 尿及血生化检查:尿蛋白定量(用3%磺柳酸法),血清总蛋白(TP)(用双缩尿法),清蛋白(ALB)(用溴甲酚绿法),三酰甘油(TG)(用甘油磷酸氧化酶法),总胆固醇(TC)(用酶法),高密度脂蛋白胆固醇(HDL-C),低密度脂蛋白胆固醇(LDL-C),脂蛋白[Lp(a)],尿素氮(BUN)(用酶法),肌酐(Cr)(用苦味酸法),血浆凝血因子X(FXa)、凝血因子Ⅱ(FⅡa)(用凝固法),肝素辅因子Ⅰ(AT-Ⅲ)(用产色底物法)。(2) 组织学检查:肾皮质先后以2%戊二醛PBS固定液及1%锇酸固定,乙醇脱水后618包埋液包埋,切片后染色,用电镜观察。
4 统计学方法 计量资料以
± s 表示,采用number cruncher statistical system统计软件处理。
, 百拇医药 结果
1 3组大鼠观察指标 观察结果见表1。
表1 3组大鼠观察指标测定结果(
±s) 项目
对照组(n=6)
肝素组
(n=9)
达肝素钠组
(n=11)
(蛋白定量/)/( mg*24 h-1)
320±
, http://www.100md.com
92
207±
160a
162±
70fg
TP/g*L-1
51±
4
52±
3a
58.5±
1.6fi
, 百拇医药
ALB/g*L-1
19.2±
2.2
19.8±
1.8a
22.7±
1.6fi
TG/mmol*L-1
4±
3
2.6±
1.4a
, 百拇医药
2.0±
1.8dg
TC/mmol*L-1
5.5±
2.9
3.4±
0.9a
2.64±
0.17fh
HDL-C/mmol*L-1
1.9±
, 百拇医药
1.1
2.0±
0.6a
1.5±
0.5dg
LDL-C/mmol*L-1
1.5±
0.6
0.80±
0.20c
0.64±
0.10fh
, http://www.100md.com
Lp(a)/mmol*L-1
35±
12
22±
7b
26.1±
0.5dg
BUN/mmol*L-1
9.2±
2.2
11.2±
1.9a
, 百拇医药
9.2±
1.4dh
Cr/umol*L-1
34±
12
22±
4b
25±
4eg
凝血因子X
1.12±
0.07
, 百拇医药
0.78±
0.06c
0.6680±
0.0020fi
凝血因子Ⅱ
1.10±
0.05
0.840±
0.01c
0.75±
0.08fi
, 百拇医药 肝素辅因子Ⅰ
0.56±
0.19
0.32±
0.06c
0.34±
0.07fg
肝素组与对照组比较,经t检验:aP>0.05,bP<0.05, cP<0.01。达肝素钠组与对照组比较,经t检验:dP>0.05,eP<0.05,fP<0.01。肝素组与达肝素钠组间比较,经t检验:gP>0.05,hP<0.05,iP<0.01。
, 百拇医药
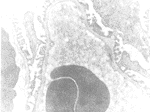
2 3组大鼠肾组织病理改变 电镜下可见3组大鼠的肾小球上皮细胞肿胀、空泡形成,对照组足突广泛融合,而肝素组和低分子量肝素组足突部分融合。见图1,2,3。
图1 对照组大鼠肾小球上皮
细胞的病变(×6000)
讨论 多柔比星属氨基核苷类物质,有人认为它在体内代谢产生自由基和脂质过氧化物,使蛋白质结构改变,细胞膜和质膜发生脂质过氧化,从而造成肾小球上皮细胞病理改变及基底膜和上皮细胞构成的阴离子屏障减退,甚至消失,产生大量蛋白尿[5,6]。本实验中,大鼠静脉注射多柔比星后d 7,14出现的尿蛋白、生化指标变化及肾小球上皮细胞的改变均与文献报道[4,5]的相似,类似人类微小病变肾病或糖尿病肾病。
, 百拇医药
图2 肝素组大鼠肾小球上皮细胞
的病变(×6000)
图3 达肝素钠组大鼠肾小球上皮
细胞的病变(×6000)
肝素为带阴电荷的糖蛋白,可增加滤过膜的负电荷,恢复基底膜的负电荷屏障,使清蛋白漏出减少[7];且肝素因抗凝作用减少肾小球内毛细血管微血栓形成,改善微循环,从而减轻肾脏损害。本实验结果,对照组的上皮细胞足突广泛融合,而肝素组、达肝素钠组的上皮细胞部分融合,可推测达肝素钠是通过上述途径而使蛋白排泄减少、血浆蛋白升高,从而使肾病综合征缓解。文献报道[1]肝素也通过结合肝素辅因子Ⅰ而具有抗凝血因子Ⅹ和凝血因子Ⅱ作用。本实验中肝素组、达肝素钠组的凝血因子Ⅹ和凝血子Ⅱ活性明显低于对照组,说明达肝素钠在治疗多柔比星肾病大鼠也是通过此途径起抗凝作用。肝素通过结合肝素辅因子Ⅰ形成肝素肝素辅因子Ⅰ复合物而具有抗凝作用,本实验中肝素组、达肝素钠组的肝素辅因子Ⅰ活性低于对照组,提示达肝素钠治疗肾病综合征时均消耗肝素辅因子,必要时应补充一定量的肝素辅因子制剂。本实验结果表明,达肝素钠组的凝血因子Ⅹ活性,尿蛋白排泄明显低于肝素组,清蛋白明显高于肝素组,说明肝素钠治疗多柔比星肾病时,因具有以上优点而疗效优于肝素。本实验未观察到肝素及达肝素钠对肾功能的影响,可能是疗程不够长的缘故。
, http://www.100md.com
总之,本实验结果提示,达肝素钠可改善肾病综合征的高凝状态,减轻肾脏损害,减少尿蛋白,升高血浆蛋白,降低血脂,且效果优于肝素。
[参考文献]
[1] 阎春雷,王 琳.巴曲抗栓酶治疗难治性肾病综合征[J].新药与临床,1996,15:353-354.
[2] Sagripanti A, Barsotti G. Hypercoagulability, intralomorular coagulation and thromboembolism in nephrotic syndrome [J]. Nephron, 1995, 70:271-281.
[3] Harris RC, Lsmail N. Extrarenal complications of the nephrotic syndrome [J]. Am J Kidney Dis, 1994, 23:477-497.
, http://www.100md.com
[4] 王振义.血栓栓塞性疾病的防治[A].见:王振义,李家增,阮长耿,主编.血栓与止血;基础理论与临床.第2版[M].上海:上海科学技术出版社,1996.396-404.
[5] Bertani T, Poggi A, Scid B, et al. Adriamycin-induccd nephrotic syndrome in rat [J]. Lab Invcst, 1982, 46:16.
[6] 甘 华,尹培达,张仕光,等.抗氧化剂对ADR肾病模型作用的实验研究[J].中华肾脏病杂志,1994,9:261-264.
[7] 吴兆龙,廖履坦,陶观武.肾病综合征及其高凝状态的治疗[J].中国实用内科杂志,1994,14:298-300.
[收稿日期] 1998-10-12 [接受日期] 1999-03-18, http://www.100md.com
单位:林志翔(中国人民解放军174医院 内四科,福建 厦门 524005);梅长林 张翼翔 林志跃 袁志忠 张晓英(中国人民解放军第二军医大学 附属长征医院 肾内科,上海 200003)
关键词:肾变病综合征;达肝素钠;肝素;大鼠
中国新药与临床杂志000536 [摘要] 目的:观察达肝素钠(dalteparma sodium)对多柔比星(doxorubicin)肾病大鼠的治疗作用。方法:SD雄性大鼠一次尾静脉注入多柔比星6.5 mg*kg-1,肾病模型建立后,随机分为3组,分别予0.9%氯化钠注射液、肝素、达肝素钠腹腔注射治疗qd×1mo。结果:达肝素钠组与0.9%氯化钠注射液对照组比较:血浆总蛋白、血清清蛋白明显上升,总胆固醇、低密度脂蛋白胆固醇、凝血因子X、凝血因子Ⅱ、肝素辅因子Ⅰ均明显降低(P<0.05)。电镜检查与其他2组比较,肾小球上皮细胞足突融合也明显减少。达肝素钠组与肝素组比较:达肝素钠组的血清清蛋白上升,凝血因子X活性低于肝素组,2组比较差别均有显著意义(P<0.05);各组尿素氮、肌酐变化差别无显著意义(P>0.05)。结论:达肝素钠可使多柔比星肾病大鼠的高凝状态缓解、尿蛋白减少、血清清蛋白上升,肾脏病理损害减轻,疗效优于肝素。
, 百拇医药
[中图分类号] R973.2;R692 [文献标识码] B
[文章编号] 1007-7669(2000)05-0425-03
肾病综合征(nephrotic syndsome, NS)常处于高凝状态[1],易并发血栓形成,成年病人发生率为10%~40%[2],儿童病人发生率为1.8%~5.0%[3],严重影响治疗效果及预后,因此,NS的抗凝治疗日益受到重视,但由于NS伴高凝状态、血栓形成的机制尚未完全清楚。肝素(heparin)、双嘧达莫(dipyridamole)、阿司匹林(aspirin)等抗凝剂易引起出血或效果欠佳。达肝素钠的相对分子量为4000~6000 u,生物利用度高达98%,T(1)/(2)为肝素的2~4倍,量效关系明确,以抗FXa活性为主,血小板发生率、自发性出血远较肝素少[4]。为寻找新的抗凝效果佳、副作用小、使用方便的抗凝剂,我们使用达肝素钠治疗类似人类微小病变或糖尿病肾病的多柔比星肾病大鼠,以评价其对实验性肾病的治疗作用,结果报告如下。
, 百拇医药
材料与方法
1 动物模型制备 取健康SD雄性(清洁级)大鼠60只,体重220~250 g。上海计划生育研究所动物中心提供合格证号医动02-49-2号,一次尾静脉注入多柔比星6.5 mg*kg-1(深圳万乐药业有限公司产品),以标准饲料饲养,自由摄食及饮水,存活的大鼠于注药后d 7,14放入代谢笼中留24 h尿测蛋白定量,若蛋白定量>100 mg*24 h-1,即为模型复制成功,随机分为3组,每组各17只。
2 用药方法 对照组予0.9%氯化钠注射液1 mL,ip,qd,肝素组予肝素200 IU*kg-1(上海生物化学制药厂生产,批号970616),ip,qd;达肝素钠组予达肝素钠200 IU*kg-1(瑞典法玛西亚普强公司提供,进口批号17578A51,商品名为法安明,Fragmin),ip,qd,疗程均为1 mo。
, 百拇医药
3 观察指标 所有存活大鼠于治疗结束时留24 h尿及去颈处死取血,肾组织送检。(1) 尿及血生化检查:尿蛋白定量(用3%磺柳酸法),血清总蛋白(TP)(用双缩尿法),清蛋白(ALB)(用溴甲酚绿法),三酰甘油(TG)(用甘油磷酸氧化酶法),总胆固醇(TC)(用酶法),高密度脂蛋白胆固醇(HDL-C),低密度脂蛋白胆固醇(LDL-C),脂蛋白[Lp(a)],尿素氮(BUN)(用酶法),肌酐(Cr)(用苦味酸法),血浆凝血因子X(FXa)、凝血因子Ⅱ(FⅡa)(用凝固法),肝素辅因子Ⅰ(AT-Ⅲ)(用产色底物法)。(2) 组织学检查:肾皮质先后以2%戊二醛PBS固定液及1%锇酸固定,乙醇脱水后618包埋液包埋,切片后染色,用电镜观察。
4 统计学方法 计量资料以
, 百拇医药 结果
1 3组大鼠观察指标 观察结果见表1。
表1 3组大鼠观察指标测定结果(
对照组(n=6)
肝素组
(n=9)
达肝素钠组
(n=11)
(蛋白定量/)/( mg*24 h-1)
320±
, http://www.100md.com
92
207±
160a
162±
70fg
TP/g*L-1
51±
4
52±
3a
58.5±
1.6fi
, 百拇医药
ALB/g*L-1
19.2±
2.2
19.8±
1.8a
22.7±
1.6fi
TG/mmol*L-1
4±
3
2.6±
1.4a
, 百拇医药
2.0±
1.8dg
TC/mmol*L-1
5.5±
2.9
3.4±
0.9a
2.64±
0.17fh
HDL-C/mmol*L-1
1.9±
, 百拇医药
1.1
2.0±
0.6a
1.5±
0.5dg
LDL-C/mmol*L-1
1.5±
0.6
0.80±
0.20c
0.64±
0.10fh
, http://www.100md.com
Lp(a)/mmol*L-1
35±
12
22±
7b
26.1±
0.5dg
BUN/mmol*L-1
9.2±
2.2
11.2±
1.9a
, 百拇医药
9.2±
1.4dh
Cr/umol*L-1
34±
12
22±
4b
25±
4eg
凝血因子X
1.12±
0.07
, 百拇医药
0.78±
0.06c
0.6680±
0.0020fi
凝血因子Ⅱ
1.10±
0.05
0.840±
0.01c
0.75±
0.08fi
, 百拇医药 肝素辅因子Ⅰ
0.56±
0.19
0.32±
0.06c
0.34±
0.07fg
肝素组与对照组比较,经t检验:aP>0.05,bP<0.05, cP<0.01。达肝素钠组与对照组比较,经t检验:dP>0.05,eP<0.05,fP<0.01。肝素组与达肝素钠组间比较,经t检验:gP>0.05,hP<0.05,iP<0.01。
, 百拇医药
2 3组大鼠肾组织病理改变 电镜下可见3组大鼠的肾小球上皮细胞肿胀、空泡形成,对照组足突广泛融合,而肝素组和低分子量肝素组足突部分融合。见图1,2,3。
图1 对照组大鼠肾小球上皮
细胞的病变(×6000)
讨论 多柔比星属氨基核苷类物质,有人认为它在体内代谢产生自由基和脂质过氧化物,使蛋白质结构改变,细胞膜和质膜发生脂质过氧化,从而造成肾小球上皮细胞病理改变及基底膜和上皮细胞构成的阴离子屏障减退,甚至消失,产生大量蛋白尿[5,6]。本实验中,大鼠静脉注射多柔比星后d 7,14出现的尿蛋白、生化指标变化及肾小球上皮细胞的改变均与文献报道[4,5]的相似,类似人类微小病变肾病或糖尿病肾病。
, 百拇医药
图2 肝素组大鼠肾小球上皮细胞
的病变(×6000)
图3 达肝素钠组大鼠肾小球上皮
细胞的病变(×6000)
肝素为带阴电荷的糖蛋白,可增加滤过膜的负电荷,恢复基底膜的负电荷屏障,使清蛋白漏出减少[7];且肝素因抗凝作用减少肾小球内毛细血管微血栓形成,改善微循环,从而减轻肾脏损害。本实验结果,对照组的上皮细胞足突广泛融合,而肝素组、达肝素钠组的上皮细胞部分融合,可推测达肝素钠是通过上述途径而使蛋白排泄减少、血浆蛋白升高,从而使肾病综合征缓解。文献报道[1]肝素也通过结合肝素辅因子Ⅰ而具有抗凝血因子Ⅹ和凝血因子Ⅱ作用。本实验中肝素组、达肝素钠组的凝血因子Ⅹ和凝血子Ⅱ活性明显低于对照组,说明达肝素钠在治疗多柔比星肾病大鼠也是通过此途径起抗凝作用。肝素通过结合肝素辅因子Ⅰ形成肝素肝素辅因子Ⅰ复合物而具有抗凝作用,本实验中肝素组、达肝素钠组的肝素辅因子Ⅰ活性低于对照组,提示达肝素钠治疗肾病综合征时均消耗肝素辅因子,必要时应补充一定量的肝素辅因子制剂。本实验结果表明,达肝素钠组的凝血因子Ⅹ活性,尿蛋白排泄明显低于肝素组,清蛋白明显高于肝素组,说明肝素钠治疗多柔比星肾病时,因具有以上优点而疗效优于肝素。本实验未观察到肝素及达肝素钠对肾功能的影响,可能是疗程不够长的缘故。
, http://www.100md.com
总之,本实验结果提示,达肝素钠可改善肾病综合征的高凝状态,减轻肾脏损害,减少尿蛋白,升高血浆蛋白,降低血脂,且效果优于肝素。
[参考文献]
[1] 阎春雷,王 琳.巴曲抗栓酶治疗难治性肾病综合征[J].新药与临床,1996,15:353-354.
[2] Sagripanti A, Barsotti G. Hypercoagulability, intralomorular coagulation and thromboembolism in nephrotic syndrome [J]. Nephron, 1995, 70:271-281.
[3] Harris RC, Lsmail N. Extrarenal complications of the nephrotic syndrome [J]. Am J Kidney Dis, 1994, 23:477-497.
, http://www.100md.com
[4] 王振义.血栓栓塞性疾病的防治[A].见:王振义,李家增,阮长耿,主编.血栓与止血;基础理论与临床.第2版[M].上海:上海科学技术出版社,1996.396-404.
[5] Bertani T, Poggi A, Scid B, et al. Adriamycin-induccd nephrotic syndrome in rat [J]. Lab Invcst, 1982, 46:16.
[6] 甘 华,尹培达,张仕光,等.抗氧化剂对ADR肾病模型作用的实验研究[J].中华肾脏病杂志,1994,9:261-264.
[7] 吴兆龙,廖履坦,陶观武.肾病综合征及其高凝状态的治疗[J].中国实用内科杂志,1994,14:298-300.
[收稿日期] 1998-10-12 [接受日期] 1999-03-18, http://www.100md.com