中国成都地区汉族群体5个STR基因座的遗传多态性研究
作者:陈国弟 辛军平 李英碧 吴谨 侯一平 李剑波 邓世雄
单位:陈国弟、辛军平、李英碧、吴谨、侯一平 (610041 成都,华西医科大学法医学系);李剑波、邓世雄(重庆医科大学法医学教研室)
关键词:短串联重复序列;聚合酶链反应;电泳;遗传多态性
中华医学遗传学杂志990204 【摘要】 目的 获得D6S366、D6S477、D12S375、D12S391和PLA2A基因座在中国成都汉族群体中基因型及等位基因频率数据,初步探讨其在遗传学研究及法医学应用中的意义。方法 随机抽取108名成都地区汉族群体无血缘关系个体的静脉血,EDTA抗凝,酚/氯仿提取DNA。应用PCR技术,扩增上述5个短串联重复序列基因座,聚丙烯酰胺凝胶垂直板电泳分型。结果 中国成都汉族群体D6S366基因座发现7个等位基因,D6S477基因座发现9个等位基因,D12S375基因座发现5个等位基因,D12S391基因座发现9个等位基因,PLA2A基因座发现7个等位基因;5个基因座的基因型分布均符合Hardy-Weinberg平衡(P>0.05)。各基因座的杂合度分别为:0.69、0.78、0.81、0.68和0.79,非父排除概率分别为:0.3621、0.6004、0.4581、0.7014和0.5589,个人识别机率分别为:0.79、0.93、0.86、0.96和0.91。结论 5个基因座在中国成都汉族群体中具有较高的非父排除率与个人识别机率,在法医学应用和群体遗传学研究中有较高的价值。
, http://www.100md.com
Polymorphisms of five short tandem repeat systems
in Chinese Han population in Chengdu
CHEN Guodi*, XIN Junpin, LI Yingbi, WU Jing, HOU Yiping.LI Jianbo, DENG Shixiong
*Institute of Forensic Medicine, West China University of Medical Sciences. Chengdu,610041 P.R.China E-mail:fyxchen@mail.sc.cninfo.net
【Abstract】 Objective To get preliminary genotype and allele frequency distributions of D6S366,D6S477,D12S375,D12S391 and PLA2A loci in Chinese Han population in Chengdu area and to validate more short tandam repeat(STR) systems for forensic application.Methods The polymerase chain reaction(PCR) was used. Five STR systems(D6S366,D6S477,D12S375,D12S391 and PLA2A) were amplified on DNA samples, which were extracted from 108 unrelated individuals' EDTA-blood by Phenol/Chloroform method. The PCR products were analyzed by PAG vertical electrophoresis.Results Seven alleles were found at D6S366 locus, nine alleles at D6S477 locus, five alleles at D12S375 locus, nine alleles at D12S391 locus and seven alleles at PLA2A locus. No deviations from Hardy-Weinberg equilibrium were observed. The heterozygosities observed were 0.69,0.78,0.81,0.68 and 0.79 for D6S366,D6S477,D12S375,D12S391 and PLA2A respectively. The chances of exclusion were 0.3621,0.6004,0.4581,0.7014 and 0.5589 and the discriminating powers were 0.79, 0.93, 0.86,0.96 and 0.91.Conclusion All of the five loci in this study were useful markers for individual identification and paternity test and for genetics purposes.
, 百拇医药
【Key words】 Short tandem repeat Polymerase chain reaction Electrophoresis
Polymorphism(Genetics)
人类短串联重复序列(short tandem repeats,STR)以核心序列重复单位数目的变化构成遗传多态性。在众多的STR基因座中,以三碱基重复或四碱基重复的STR基因座突变率较低、稳定性好、易于标准化[1],为人类群体遗传学研究提供了丰富的高信息量遗传标记。D6S366、D6S477、D12S375、D12S391和PLA2A基因座属这类较理想的STR基因座。为了解这五个STR基因座在中国成都地区汉族群体中的基因频率分布状态,获得5个基因座的群体遗传学数据,为群体遗传学研究和法医学应用提供理论依据,我们对此进行了研究,现报告如下。
1 材料与方法
, 百拇医药
1.1 血样本 采自成都地区108名无血缘关系汉族个体,EDTA抗凝,用酚/氯仿 法提取DNA。
1.2 引物(Gibcobrl合成)序列[2-5] D6S366引物序列:A 5'-AGAGGTTACAGTGAGCCGAGATTG-3',B 5'-GAAGTCCTAACAGAA-TGGAAGGTCC-3';D6S477引物序列:A 5'-GATTTGCCATGATAGA-TGGC-3',B 5'-GGGGGATATCTCAAACAACC-3';D12S375引物序列:A 5'-TTGTTGAGGGTCTTT-CTCCA-3',B 5'-TCTTCTTATTTGGAAAAGTAA-
CCC-3';D12S391引物序列:A 5'-AACAGGATCAA-TGGATGCAT-3',B 5'-TGGCTTTTAGACCTGGA-CTG-3';PLA2A引物序列:A 5'-GGTTGTAAGCT-CCATGAGGTTAGA-3',B 5'-TTGAGCACTTACT-ATGTGCCAGGCT-3'。
, 百拇医药
1.3 聚合酶链式反应 每一扩增样本含人类基因组DNA2~40ng,1×Taq缓冲液,1.5mmol/L MgCl2,1U Taq聚合酶(Gibcobrl),150μmol/L dNTP,引物各0.25μmol/L,反应体积20μl,液体石蜡覆盖。在热循环仪(Hema)中94℃变性45秒,58℃退火30秒,72℃延伸30秒,循环30个周期。
1.4 电泳及显色 8%的聚丙烯酰胺凝胶垂直板,交联度为5%。恒电压500V,电泳2小时,用硝酸银染色[6]。
1.5 等位基因的命名及等位基因标准物的构建 根据国际法医血液遗传学会推荐的命名原
则[7,8],按核心序列重复单位个数命名。各基因座分别用几个不同基因型个体的DNA混合后按1.3方法进行PCR扩增制备等位基因标准物。与标准参考样本同步电泳,确定分型标准物等位基因的命名,见图1。
, 百拇医药
1.6 数据处理 按文献[9]对群体数据作Hardy-Weinberg平衡吻合度检验。杂合度按文献[10]方法计算。在法医学应用中的遗传标记需计算个人识别机率(DP)和非父排除率(CE),方法按文献[11,12]计算。
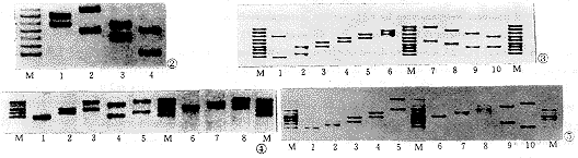
图1 PLA2A电泳分型结果 M1:分子量分型标准物139bp、147bp、155bp、163bp;M2:等位基因分型标准物*11-*17-;泳道1:15/17;泳道2:14/16;泳道3:12/13,泳道4:11/14(从下到上)
Fig 1 Results of PLA2A typing by electrophoresis M1:Molecular marker:139bp,147bp,155bp,163bp;M2:Allele ladder *11-*17-;Lane 1:15/17,Lane 2:14/16,Lane 3:12/13, Lane 4:11/14(from down to up)
, 百拇医药
图2 D6S366电泳分型结果 M:等位基因分型标准物*13~*19;泳道1:17/18;泳道2:16/19;泳道3:15/17;泳道4:13/16(从下到上) 图3 D6S477电泳分型结果 M:等位基因分型标准物*11~*19;泳道1:11/17;泳道2:12/14;泳道3:14/15;泳道4:15/16;泳道5:16/17;泳道6:17/18;泳道7:15/19;泳道8:14/18;泳道9:13/17;泳道10:13/16(从下到上) 图4 D12S375电泳分型结果 M:等位基因分型标准物*13~*17;泳道1:13/13;泳道2:14/15;泳道3:15/17;泳道4:13/16;泳道5:14/17;泳道6:15/15;泳道7:15/16;泳道8:15/17(从下到上) 图5 D12S391电泳分型结果(上为负极) M:等位基因分型标准物*6~*14;泳道1:6/6;泳道2:7/8;泳道3:8/9;泳道4:9/10;泳道5:11/14;泳道6:9/9;泳道7:10/10;泳道8:11/12;泳道9:7/12;泳道10:6/13(从下到上)
, http://www.100md.com
Fig 2 Results of D6S366 typing by electrophoresis M:Allele ladder*13-*19;Lane 1:17/18;Lane 2:16/19;Lane 3:15/17;Lane 4:13/16(from down to up) Fig 3 Results of D6S447 typing by electrophoresis M:Allele ladder*11-*19;Lane 1:11/17;Lane 2:12/14;Lane 3:14/15;Lane 4:15/16;Lane 5:16/17;Lane 6:17/18;Lane 7:15/19;Lane 8:14/18;Lane 9:13/17;Lane 10:13/16(from down to up) Fig 4 Results of D12S375 typing by electrophoresis M:Allele ladder*13-*17;Lane 1:13/13;Lane 2:14/15; Lane 3:15/17;Lane 4:13/16;Lane 5:14/17;Lane 6:15/15; Lane 7:15/16; Lane 8:15/17(from down to up) Fig 5 Results of D12S391 typing by electrophoresis M:Allele ladder*6-*14;Lane 1:6/6;Lane 2:7/8;Lane 3:8/9;Lane 4:9/10; Lane 5:11/14; Lane 6:9/9;Lane 7:10/10;Lane 8:11/12;Lane 9:7/12; Lane 10:6/13(from down to up)表1 中国成都地区汉族群体5个STR基因座基因型分布及Hardy-Weinberg平衡检验
, http://www.100md.com
Tab 1 Genotype distribution and Hardy-Weinberg equilibrium of
five STR systems in Han population in Chengdu area D6S366
D6S477
D12S375
D12S391
PLA2A
Genotype
(基因型)
Number
(观察数)
, 百拇医药
Genotype
(基因型)
Number
(观察数)
Genotype
(基因型)
Number
(观察数)
Genotype
(基因型)
Number
(观察数)
, http://www.100md.com Genotype
(基因型)
Number
(观察数)
13-16
3
11-15
1
13-13
5
6-
6
4
, 百拇医药
11-11
10
13-17
1
11-16
1
13-15
20
6-
7
4
11-13
11
, 百拇医药
15-16
4
11-17
1
13-16
8
6-
8
8
11-14
17
15-17
8
, 百拇医药 12-14
3
13-17
2
6-
9
5
11-15
8
16-16
13
13-14
1
14-14
, 百拇医药
2
6-
10
2
11-16
3
16-17
40
13-15
3
14-15
9
6-
, 百拇医药 11
1
11-17
1
16-19
1
13-16
4
14-16
3
6-
13
1
12-13
, 百拇医药
1
17-17
18
13-17
1
14-17
1
7-
7
3
12-15
1
17-18
, 百拇医药 8
14-14
5
15-15
21
7-
8
10
13-13
3
17-19
1
14-15
10
, 百拇医药
15-16
22
7-
9
7
13-14
9
18-18
1
14-16
13
15-17
6
, http://www.100md.com 7-
10
3
13-15
4
18-19
1
14-17
8
16-16
4
7-
11
4
, 百拇医药
13-16
3
14-18
4
16-17
1
7-
12
3
14-14
7
15-15
5
, 百拇医药 17-17
1
8-
8
3
14-15
16
15-16
9
8-
9
6
14-16
9
, 百拇医药
15-17
7
8-
10
4
14-17
1
15-18
2
8-
11
3
15-15
, 百拇医药 2
15-19
1
8-
12
3
15-16
1
16-16
8
8-
13
2
16-16
, 百拇医药
1
16-17
12
9-
9
6
16-18
1
9-
10
3
17-17
2
9-
, 百拇医药
11
2
17-18
1
9-
12
1
17-19
1
9-
13
2
9-
14
, http://www.100md.com
1
10-
10
3
10-
11
2
10-
12
3
11-
11
2
11-
, http://www.100md.com
12
1
11-
13
1
11-
14
1
12-
12
2
Total(合计)
99
, 百拇医药 104
105
106
108
Hardy-Weinberg equilibrium(Hardy-Weinberg平衡检验)
χ2=3.5018
χ2=9.9795
χ2=8.9674
χ2=29.0605
χ2=10.7819
, 百拇医药
df=3
df=13
df=10
df=24
df=14
P>0.05
P>0.05
P>0.05
P>0.05
P>0.05
2 结果2.1 5个STR基因座基因型在成都地区汉族群体中的分布 成都地区汉族群体5个STR基因座的调查样本数、基因观察值见表1。电泳分型结果见图1~5。
, http://www.100md.com
2.2 成都地区汉族群体5个STR基因座基因频率分布 5个STR基因座的基因频率分布、杂合度、非父排除率与个人识别机率见表2。
表2 5个STR基因座在成都地区汉族群体中的群体遗传及法医遗传学数据
Tab 2 Population and forensic genetic data of five STR loci in Han population in Chengdu area D6S366
D6S477
D12S375
D12S391
PLA2A
Allele
, 百拇医药
(基因)
Frequency
(频率)
Allele
(基因)
Frequency
(频率)
Allele
(基因)
Frequency
(频率)
Allele
, 百拇医药 (基因)
Frequency
(频率)
Allele
(基因)
Frequency
(频率)
13
0.0202
11
0.0144
13
0.1905
, 百拇医药
6
0.1368
11
0.2778
14
0.0000
12
0.0144
14
0.0810
7
0.1745
12
, 百拇医药
0.0093
15
0.0606
13
0.0433
15
0.4714
8
0.1981
13
0.1574
16
0.3737
, http://www.100md.com
14
0.2356
16
0.2000
9
0.1840
14
0.3055
17
0.4747
15
0.2067
17
, 百拇医药
0.0571
10
0.1085
15
0.1574
18
0.0556
16
0.2692
11
0.0896
16
0.0833
, 百拇医药
19
0.0512
17
0.1683
12
0.0708
17
0.0093
18
0.0385
13
0.0283
19
, 百拇医药
0.0096
14
0.0094
Ho=0.68
Ho=0.81
Ho=0.69
Ho=0.78
Ho=0.79
He=0.63
He=0.80
He=0.70
He=0.86
, 百拇医药
He=0.78
Dp=0.79
Dp=0.93
Dp=0.86
Dp=0.96
Dp=0.91
Ce=0.3621
Ce=0.6004
Ce=0.4581
Ce=0.7014
Ce=0.5589
Ho:Heterozygosity observed(观察杂合度);He:Heterozygosity expected(期望杂合度);Dp:Discrimination power(个人识别机率);Ce:Chance of exclusion(排除概率)
, 百拇医药
3 讨论
DNA分型技术在我国法医学检验中已得到广泛应用,但由于条件所限,等位基因命名与国际命名原则不一致,限制了各实验室之间的结果比较。DNA分型技术标准化已成为国内外法医学者的共识,为了使遗传标记分析结果具可比性和一致性,我们研究的5个STR基因座采用国际法医血液遗传学会推荐的命名原则 ,按核心序列重复单位个数命名。根据结果表明:D6S366基因座PCR扩增片段大小为138bp~156bp[6],为三碱基重复(TAA)n,重复单元数为:13~19,等位基因为:*13~*19;D6S477基因座PCR扩增片段大小为212bp~244bp[3],为四碱基重复(TATC)n,其重复单元数为:11~19,等位基因为:*11~*19;D12S375基因座PCR扩增片段大小为184bp~200bp[7],为四碱基重复(TATC)n,重复单元数为:13~17,等位基因为:*13~*17;D12S391基因座PCR扩增片段大小为220bp~251bp[4],为四碱基重复(GATA)n,重复单元数为:6~14,等位基因为:*6~*14;PLA2A基因座PCR扩增片段大小为121bp~139bp[6],为三碱基重复(ATT)n,重复单元数为:11~17,等位基因为:*11~*17。
, http://www.100md.com
5个STR基因座,采用同一条件PCR扩增、电泳、染色,成功率高,分型谱带清晰,重复性好,结果可靠,大大节省操作时间和实验材料。各基因座等位基因频率,基因型的观察值与期望值均符合Hardy-Weinberg平衡定律(P>0.05)。DP值在0.79~0.96之间,属人类高识别能力遗传标记系统,在法医学应用和人类遗传学研究中具有较高的价值。
参考文献
[1] Edwards A, Civitello A, Hammond HA, et al. DNA typing and genetic mapping with trimeric and tetrameric tandem repeats. Am J Hum Genet, 1991, 49(4)∶746-756.
[2] Panzer SW, Hammond HA, Stephens L, et al. Trinucleotide repeat polymorphism at D6S366.Hum Mol Genet, 1993,2(9)∶1511.
, http://www.100md.com
[3] Lareu MV, Pestoni C, Carracedo A, et al.A highly variable STR at the D12S391 locus. Int J Legal Med, 1996,109∶134-138.
[4] Seilhamer JJ, Randall TL, Yamanaka M, et al.Pancreatic phospholipase A2:isolation of the human gene and cDNAs from porcine pancreas and human lung. Hum Mol Genet DNA, 1986,5(6)∶519-527.
[5] Lareu MV, Barral S, Salas A, et al.Looking for new STRs of interest for forensic genetic analysis ⅩⅤⅡTH Congress of the International Academy of Legal Medicine. Dublin,1997.
, 百拇医药
[6] Sambrook J,Fritsch EF,Maniatis T, et al.Molecular cloning:a laboratory manual.2nd ed. New York:Cold Spring Harbor Laboratory, 1989.18.56-18.57.
[7] DNA Commission of the International Society for Forensic Haemogenetics. Report concerning further recommendations of the DNA Commission of the ISFH regarding PCR-based polymorphisms in STR. Int J Legal Med, 1994,107∶159-160.
[8] Baer W, Brinkmann B, Budowle B, et al.DNA recommendations: further report of the DNA Commission of the ISFH regarding the use of short tandem repeat systems.Int J Legal Med, 1997,110∶175-176.
, http://www.100md.com
[9] Hou Y, Prinz M, Staak M. Comparison of different tests for deviation from Hardy-Weinberg equilibrium of AMFLP population data. In:Bar W, Fiori A, Rossi U. eds. Advances in forensic haemogenetics 5.Berlin, Heideberg, New York:Springer-Verlag, 1994.511-514.
[10] Edwards A, Hammond HA, Jim L,et al. Genetics variation at five trimeric and tetrameric tandem repeat loci in four human population groups. Genomics, 1992,12∶241-253.
, 百拇医药 [11] Ohno Y, Sebetan IM, Akaishi S. A simple method for calculating the probability of excluding paternity with any number of codominant alleles.Forensic Sci Int, 1982,19(3)∶93-98.
[12] Fisher RA. Standard calculations for evaluating a blood group system. Heredity, 1951,5(2)∶95-102.
(收稿:1998-07-02 修回:1998-11-03), 百拇医药
单位:陈国弟、辛军平、李英碧、吴谨、侯一平 (610041 成都,华西医科大学法医学系);李剑波、邓世雄(重庆医科大学法医学教研室)
关键词:短串联重复序列;聚合酶链反应;电泳;遗传多态性
中华医学遗传学杂志990204 【摘要】 目的 获得D6S366、D6S477、D12S375、D12S391和PLA2A基因座在中国成都汉族群体中基因型及等位基因频率数据,初步探讨其在遗传学研究及法医学应用中的意义。方法 随机抽取108名成都地区汉族群体无血缘关系个体的静脉血,EDTA抗凝,酚/氯仿提取DNA。应用PCR技术,扩增上述5个短串联重复序列基因座,聚丙烯酰胺凝胶垂直板电泳分型。结果 中国成都汉族群体D6S366基因座发现7个等位基因,D6S477基因座发现9个等位基因,D12S375基因座发现5个等位基因,D12S391基因座发现9个等位基因,PLA2A基因座发现7个等位基因;5个基因座的基因型分布均符合Hardy-Weinberg平衡(P>0.05)。各基因座的杂合度分别为:0.69、0.78、0.81、0.68和0.79,非父排除概率分别为:0.3621、0.6004、0.4581、0.7014和0.5589,个人识别机率分别为:0.79、0.93、0.86、0.96和0.91。结论 5个基因座在中国成都汉族群体中具有较高的非父排除率与个人识别机率,在法医学应用和群体遗传学研究中有较高的价值。
, http://www.100md.com
Polymorphisms of five short tandem repeat systems
in Chinese Han population in Chengdu
CHEN Guodi*, XIN Junpin, LI Yingbi, WU Jing, HOU Yiping.LI Jianbo, DENG Shixiong
*Institute of Forensic Medicine, West China University of Medical Sciences. Chengdu,610041 P.R.China E-mail:fyxchen@mail.sc.cninfo.net
【Abstract】 Objective To get preliminary genotype and allele frequency distributions of D6S366,D6S477,D12S375,D12S391 and PLA2A loci in Chinese Han population in Chengdu area and to validate more short tandam repeat(STR) systems for forensic application.Methods The polymerase chain reaction(PCR) was used. Five STR systems(D6S366,D6S477,D12S375,D12S391 and PLA2A) were amplified on DNA samples, which were extracted from 108 unrelated individuals' EDTA-blood by Phenol/Chloroform method. The PCR products were analyzed by PAG vertical electrophoresis.Results Seven alleles were found at D6S366 locus, nine alleles at D6S477 locus, five alleles at D12S375 locus, nine alleles at D12S391 locus and seven alleles at PLA2A locus. No deviations from Hardy-Weinberg equilibrium were observed. The heterozygosities observed were 0.69,0.78,0.81,0.68 and 0.79 for D6S366,D6S477,D12S375,D12S391 and PLA2A respectively. The chances of exclusion were 0.3621,0.6004,0.4581,0.7014 and 0.5589 and the discriminating powers were 0.79, 0.93, 0.86,0.96 and 0.91.Conclusion All of the five loci in this study were useful markers for individual identification and paternity test and for genetics purposes.
, 百拇医药
【Key words】 Short tandem repeat Polymerase chain reaction Electrophoresis
Polymorphism(Genetics)
人类短串联重复序列(short tandem repeats,STR)以核心序列重复单位数目的变化构成遗传多态性。在众多的STR基因座中,以三碱基重复或四碱基重复的STR基因座突变率较低、稳定性好、易于标准化[1],为人类群体遗传学研究提供了丰富的高信息量遗传标记。D6S366、D6S477、D12S375、D12S391和PLA2A基因座属这类较理想的STR基因座。为了解这五个STR基因座在中国成都地区汉族群体中的基因频率分布状态,获得5个基因座的群体遗传学数据,为群体遗传学研究和法医学应用提供理论依据,我们对此进行了研究,现报告如下。
1 材料与方法
, 百拇医药
1.1 血样本 采自成都地区108名无血缘关系汉族个体,EDTA抗凝,用酚/氯仿 法提取DNA。
1.2 引物(Gibcobrl合成)序列[2-5] D6S366引物序列:A 5'-AGAGGTTACAGTGAGCCGAGATTG-3',B 5'-GAAGTCCTAACAGAA-TGGAAGGTCC-3';D6S477引物序列:A 5'-GATTTGCCATGATAGA-TGGC-3',B 5'-GGGGGATATCTCAAACAACC-3';D12S375引物序列:A 5'-TTGTTGAGGGTCTTT-CTCCA-3',B 5'-TCTTCTTATTTGGAAAAGTAA-
CCC-3';D12S391引物序列:A 5'-AACAGGATCAA-TGGATGCAT-3',B 5'-TGGCTTTTAGACCTGGA-CTG-3';PLA2A引物序列:A 5'-GGTTGTAAGCT-CCATGAGGTTAGA-3',B 5'-TTGAGCACTTACT-ATGTGCCAGGCT-3'。
, 百拇医药
1.3 聚合酶链式反应 每一扩增样本含人类基因组DNA2~40ng,1×Taq缓冲液,1.5mmol/L MgCl2,1U Taq聚合酶(Gibcobrl),150μmol/L dNTP,引物各0.25μmol/L,反应体积20μl,液体石蜡覆盖。在热循环仪(Hema)中94℃变性45秒,58℃退火30秒,72℃延伸30秒,循环30个周期。
1.4 电泳及显色 8%的聚丙烯酰胺凝胶垂直板,交联度为5%。恒电压500V,电泳2小时,用硝酸银染色[6]。
1.5 等位基因的命名及等位基因标准物的构建 根据国际法医血液遗传学会推荐的命名原
则[7,8],按核心序列重复单位个数命名。各基因座分别用几个不同基因型个体的DNA混合后按1.3方法进行PCR扩增制备等位基因标准物。与标准参考样本同步电泳,确定分型标准物等位基因的命名,见图1。
, 百拇医药
1.6 数据处理 按文献[9]对群体数据作Hardy-Weinberg平衡吻合度检验。杂合度按文献[10]方法计算。在法医学应用中的遗传标记需计算个人识别机率(DP)和非父排除率(CE),方法按文献[11,12]计算。
图1 PLA2A电泳分型结果 M1:分子量分型标准物139bp、147bp、155bp、163bp;M2:等位基因分型标准物*11-*17-;泳道1:15/17;泳道2:14/16;泳道3:12/13,泳道4:11/14(从下到上)
Fig 1 Results of PLA2A typing by electrophoresis M1:Molecular marker:139bp,147bp,155bp,163bp;M2:Allele ladder *11-*17-;Lane 1:15/17,Lane 2:14/16,Lane 3:12/13, Lane 4:11/14(from down to up)
, 百拇医药
图2 D6S366电泳分型结果 M:等位基因分型标准物*13~*19;泳道1:17/18;泳道2:16/19;泳道3:15/17;泳道4:13/16(从下到上) 图3 D6S477电泳分型结果 M:等位基因分型标准物*11~*19;泳道1:11/17;泳道2:12/14;泳道3:14/15;泳道4:15/16;泳道5:16/17;泳道6:17/18;泳道7:15/19;泳道8:14/18;泳道9:13/17;泳道10:13/16(从下到上) 图4 D12S375电泳分型结果 M:等位基因分型标准物*13~*17;泳道1:13/13;泳道2:14/15;泳道3:15/17;泳道4:13/16;泳道5:14/17;泳道6:15/15;泳道7:15/16;泳道8:15/17(从下到上) 图5 D12S391电泳分型结果(上为负极) M:等位基因分型标准物*6~*14;泳道1:6/6;泳道2:7/8;泳道3:8/9;泳道4:9/10;泳道5:11/14;泳道6:9/9;泳道7:10/10;泳道8:11/12;泳道9:7/12;泳道10:6/13(从下到上)
, http://www.100md.com
Fig 2 Results of D6S366 typing by electrophoresis M:Allele ladder*13-*19;Lane 1:17/18;Lane 2:16/19;Lane 3:15/17;Lane 4:13/16(from down to up) Fig 3 Results of D6S447 typing by electrophoresis M:Allele ladder*11-*19;Lane 1:11/17;Lane 2:12/14;Lane 3:14/15;Lane 4:15/16;Lane 5:16/17;Lane 6:17/18;Lane 7:15/19;Lane 8:14/18;Lane 9:13/17;Lane 10:13/16(from down to up) Fig 4 Results of D12S375 typing by electrophoresis M:Allele ladder*13-*17;Lane 1:13/13;Lane 2:14/15; Lane 3:15/17;Lane 4:13/16;Lane 5:14/17;Lane 6:15/15; Lane 7:15/16; Lane 8:15/17(from down to up) Fig 5 Results of D12S391 typing by electrophoresis M:Allele ladder*6-*14;Lane 1:6/6;Lane 2:7/8;Lane 3:8/9;Lane 4:9/10; Lane 5:11/14; Lane 6:9/9;Lane 7:10/10;Lane 8:11/12;Lane 9:7/12; Lane 10:6/13(from down to up)表1 中国成都地区汉族群体5个STR基因座基因型分布及Hardy-Weinberg平衡检验
, http://www.100md.com
Tab 1 Genotype distribution and Hardy-Weinberg equilibrium of
five STR systems in Han population in Chengdu area D6S366
D6S477
D12S375
D12S391
PLA2A
Genotype
(基因型)
Number
(观察数)
, 百拇医药
Genotype
(基因型)
Number
(观察数)
Genotype
(基因型)
Number
(观察数)
Genotype
(基因型)
Number
(观察数)
, http://www.100md.com Genotype
(基因型)
Number
(观察数)
13-16
3
11-15
1
13-13
5
6-
6
4
, 百拇医药
11-11
10
13-17
1
11-16
1
13-15
20
6-
7
4
11-13
11
, 百拇医药
15-16
4
11-17
1
13-16
8
6-
8
8
11-14
17
15-17
8
, 百拇医药 12-14
3
13-17
2
6-
9
5
11-15
8
16-16
13
13-14
1
14-14
, 百拇医药
2
6-
10
2
11-16
3
16-17
40
13-15
3
14-15
9
6-
, 百拇医药 11
1
11-17
1
16-19
1
13-16
4
14-16
3
6-
13
1
12-13
, 百拇医药
1
17-17
18
13-17
1
14-17
1
7-
7
3
12-15
1
17-18
, 百拇医药 8
14-14
5
15-15
21
7-
8
10
13-13
3
17-19
1
14-15
10
, 百拇医药
15-16
22
7-
9
7
13-14
9
18-18
1
14-16
13
15-17
6
, http://www.100md.com 7-
10
3
13-15
4
18-19
1
14-17
8
16-16
4
7-
11
4
, 百拇医药
13-16
3
14-18
4
16-17
1
7-
12
3
14-14
7
15-15
5
, 百拇医药 17-17
1
8-
8
3
14-15
16
15-16
9
8-
9
6
14-16
9
, 百拇医药
15-17
7
8-
10
4
14-17
1
15-18
2
8-
11
3
15-15
, 百拇医药 2
15-19
1
8-
12
3
15-16
1
16-16
8
8-
13
2
16-16
, 百拇医药
1
16-17
12
9-
9
6
16-18
1
9-
10
3
17-17
2
9-
, 百拇医药
11
2
17-18
1
9-
12
1
17-19
1
9-
13
2
9-
14
, http://www.100md.com
1
10-
10
3
10-
11
2
10-
12
3
11-
11
2
11-
, http://www.100md.com
12
1
11-
13
1
11-
14
1
12-
12
2
Total(合计)
99
, 百拇医药 104
105
106
108
Hardy-Weinberg equilibrium(Hardy-Weinberg平衡检验)
χ2=3.5018
χ2=9.9795
χ2=8.9674
χ2=29.0605
χ2=10.7819
, 百拇医药
df=3
df=13
df=10
df=24
df=14
P>0.05
P>0.05
P>0.05
P>0.05
P>0.05
2 结果2.1 5个STR基因座基因型在成都地区汉族群体中的分布 成都地区汉族群体5个STR基因座的调查样本数、基因观察值见表1。电泳分型结果见图1~5。
, http://www.100md.com
2.2 成都地区汉族群体5个STR基因座基因频率分布 5个STR基因座的基因频率分布、杂合度、非父排除率与个人识别机率见表2。
表2 5个STR基因座在成都地区汉族群体中的群体遗传及法医遗传学数据
Tab 2 Population and forensic genetic data of five STR loci in Han population in Chengdu area D6S366
D6S477
D12S375
D12S391
PLA2A
Allele
, 百拇医药
(基因)
Frequency
(频率)
Allele
(基因)
Frequency
(频率)
Allele
(基因)
Frequency
(频率)
Allele
, 百拇医药 (基因)
Frequency
(频率)
Allele
(基因)
Frequency
(频率)
13
0.0202
11
0.0144
13
0.1905
, 百拇医药
6
0.1368
11
0.2778
14
0.0000
12
0.0144
14
0.0810
7
0.1745
12
, 百拇医药
0.0093
15
0.0606
13
0.0433
15
0.4714
8
0.1981
13
0.1574
16
0.3737
, http://www.100md.com
14
0.2356
16
0.2000
9
0.1840
14
0.3055
17
0.4747
15
0.2067
17
, 百拇医药
0.0571
10
0.1085
15
0.1574
18
0.0556
16
0.2692
11
0.0896
16
0.0833
, 百拇医药
19
0.0512
17
0.1683
12
0.0708
17
0.0093
18
0.0385
13
0.0283
19
, 百拇医药
0.0096
14
0.0094
Ho=0.68
Ho=0.81
Ho=0.69
Ho=0.78
Ho=0.79
He=0.63
He=0.80
He=0.70
He=0.86
, 百拇医药
He=0.78
Dp=0.79
Dp=0.93
Dp=0.86
Dp=0.96
Dp=0.91
Ce=0.3621
Ce=0.6004
Ce=0.4581
Ce=0.7014
Ce=0.5589
Ho:Heterozygosity observed(观察杂合度);He:Heterozygosity expected(期望杂合度);Dp:Discrimination power(个人识别机率);Ce:Chance of exclusion(排除概率)
, 百拇医药
3 讨论
DNA分型技术在我国法医学检验中已得到广泛应用,但由于条件所限,等位基因命名与国际命名原则不一致,限制了各实验室之间的结果比较。DNA分型技术标准化已成为国内外法医学者的共识,为了使遗传标记分析结果具可比性和一致性,我们研究的5个STR基因座采用国际法医血液遗传学会推荐的命名原则 ,按核心序列重复单位个数命名。根据结果表明:D6S366基因座PCR扩增片段大小为138bp~156bp[6],为三碱基重复(TAA)n,重复单元数为:13~19,等位基因为:*13~*19;D6S477基因座PCR扩增片段大小为212bp~244bp[3],为四碱基重复(TATC)n,其重复单元数为:11~19,等位基因为:*11~*19;D12S375基因座PCR扩增片段大小为184bp~200bp[7],为四碱基重复(TATC)n,重复单元数为:13~17,等位基因为:*13~*17;D12S391基因座PCR扩增片段大小为220bp~251bp[4],为四碱基重复(GATA)n,重复单元数为:6~14,等位基因为:*6~*14;PLA2A基因座PCR扩增片段大小为121bp~139bp[6],为三碱基重复(ATT)n,重复单元数为:11~17,等位基因为:*11~*17。
, http://www.100md.com
5个STR基因座,采用同一条件PCR扩增、电泳、染色,成功率高,分型谱带清晰,重复性好,结果可靠,大大节省操作时间和实验材料。各基因座等位基因频率,基因型的观察值与期望值均符合Hardy-Weinberg平衡定律(P>0.05)。DP值在0.79~0.96之间,属人类高识别能力遗传标记系统,在法医学应用和人类遗传学研究中具有较高的价值。
参考文献
[1] Edwards A, Civitello A, Hammond HA, et al. DNA typing and genetic mapping with trimeric and tetrameric tandem repeats. Am J Hum Genet, 1991, 49(4)∶746-756.
[2] Panzer SW, Hammond HA, Stephens L, et al. Trinucleotide repeat polymorphism at D6S366.Hum Mol Genet, 1993,2(9)∶1511.
, http://www.100md.com
[3] Lareu MV, Pestoni C, Carracedo A, et al.A highly variable STR at the D12S391 locus. Int J Legal Med, 1996,109∶134-138.
[4] Seilhamer JJ, Randall TL, Yamanaka M, et al.Pancreatic phospholipase A2:isolation of the human gene and cDNAs from porcine pancreas and human lung. Hum Mol Genet DNA, 1986,5(6)∶519-527.
[5] Lareu MV, Barral S, Salas A, et al.Looking for new STRs of interest for forensic genetic analysis ⅩⅤⅡTH Congress of the International Academy of Legal Medicine. Dublin,1997.
, 百拇医药
[6] Sambrook J,Fritsch EF,Maniatis T, et al.Molecular cloning:a laboratory manual.2nd ed. New York:Cold Spring Harbor Laboratory, 1989.18.56-18.57.
[7] DNA Commission of the International Society for Forensic Haemogenetics. Report concerning further recommendations of the DNA Commission of the ISFH regarding PCR-based polymorphisms in STR. Int J Legal Med, 1994,107∶159-160.
[8] Baer W, Brinkmann B, Budowle B, et al.DNA recommendations: further report of the DNA Commission of the ISFH regarding the use of short tandem repeat systems.Int J Legal Med, 1997,110∶175-176.
, http://www.100md.com
[9] Hou Y, Prinz M, Staak M. Comparison of different tests for deviation from Hardy-Weinberg equilibrium of AMFLP population data. In:Bar W, Fiori A, Rossi U. eds. Advances in forensic haemogenetics 5.Berlin, Heideberg, New York:Springer-Verlag, 1994.511-514.
[10] Edwards A, Hammond HA, Jim L,et al. Genetics variation at five trimeric and tetrameric tandem repeat loci in four human population groups. Genomics, 1992,12∶241-253.
, 百拇医药 [11] Ohno Y, Sebetan IM, Akaishi S. A simple method for calculating the probability of excluding paternity with any number of codominant alleles.Forensic Sci Int, 1982,19(3)∶93-98.
[12] Fisher RA. Standard calculations for evaluating a blood group system. Heredity, 1951,5(2)∶95-102.
(收稿:1998-07-02 修回:1998-11-03), 百拇医药