人鼻咽上皮超微结构观察
作者:周本成 郭小谦 杨传红 赖晃文
单位:周本成(广州军区广州总医院病理科,广州 510010);郭小谦(广州军区广州总医院病理科,耳鼻喉科,广州 510010);杨传红 赖晃文(广州军区广州总医院病理科,电镜室,广州 510010)
关键词:鼻咽;上皮;超微结构;人类
解剖学报990123 【摘要】 目的 观察人鼻咽上皮类型及超微结构特点,探讨鼻咽癌的细胞起源及组织学分型。 方法 光镜及电镜观察62例取自成人鼻咽顶部及侧壁的粘膜。 结果 鼻咽癌好发部位主要为假复层纤毛柱状上皮,其次为化生而成的复层鳞状上皮。鼻咽上皮的基底细胞具有相同的超微结构特点。 结论 在某些致癌因素作用下,这些基底细胞或者恶变为角化癌,或者恶变为非角化癌(低分化鳞癌和未分化癌),偶而形成腺癌。
ULTRASTRUCTURAL OBSERVATION OF HUMAN
, http://www.100md.com
NASOPHARYNGEAL EPITHELIUM
Zhou Bencheng△, Guo Xiaoqian, Yang Chuanhong, Lai Huangwen
(Department of Pathology, Guangzhou General Hospital of Guangzhou Command;
Department of Otolaryngology;Electron Microscopy Laboratory)
【Abstract】 Objective To observe the epithelial types and ultrastructural features of the human nasopharynx and to investigate the cellular origin and histological classification of nasopharyngeal carcinoma. Methods The adult nasopharyngeal mucosa of sixty-two cases, which were taken from the top or lateral wall of the nasopharynx, were observed with light, and electron microscopes. Results Pseudostratified ciliated columnar epithelium was predominant type in the regions, where nasopharyngeal carcinoma often occurs, squamous epithelium was secondary, and the latter could be derived from the former through metaplasia. The basal cells of epithelia in the nasopharynx had similar ultrastructural features. Conclusion Under certain carcinogenic stimulation, these basal cells can transform into either keratinized or non-keratinized carcinoma(poorly differentiated squamous cell carcinoma and undifferentiated carcinoma), occationally adenocarcinoma.
, 百拇医药
【Key words】 Nasopharynx; Epithelium; Ultrastructure; Human
国内外有关人鼻咽上皮超微结构的研究文献较少且结果不一。本研究对62例人鼻咽上皮进行了光镜与电镜观察,讨论了鼻咽癌好发部位的上皮类型和超微结构特点及其与鼻咽癌细胞起源和组织学分型的关系。我们认为鼻咽癌主要起源于假复层纤毛柱状上皮。将所有鼻咽癌均归类为鳞癌且认为主要起源自鼻咽固有鳞状上皮的观点似乎欠妥。
材料和方法
本院门诊搜集19~68岁成年人鼻咽粘膜活检标本共62例,其中22例为鼻咽粘膜慢性炎症,即鼻咽粘膜固有层内淋巴组织增生,浆细胞浸润,但被覆上皮无异常改变。另40例为鼻咽癌组织附近的正常粘膜。活检组织取自鼻咽顶部或侧壁粘膜。标本钳取后,立即分成两份,一份以4%甲醛固定,常规石蜡包埋,切片,厚4μm,HE染色,光镜观察,另一份迅速以3.1%戊二醛在4℃冰箱内固定2h,漂洗后以1%锇酸在4℃冰箱内后固定2h,按透射电镜样品制备常规制成半薄切片。对62例标本之石蜡及半薄切片首先进行光镜观察,定位后每例均制成超薄切片,日立H600电镜逐一观察。
, 百拇医药
结 果
鼻咽粘膜包括 3种被覆上皮,即假复层纤毛柱状上皮(以下简称纤柱上皮)、复层鳞状上皮(以下简称鳞状上皮)和过渡型上皮。此外,固有层内常有混合性腺体。62例鼻咽粘膜被覆上皮大多为一种,也同时见有2种或3种被覆上皮,其中56例见有纤柱上皮,20例见有鳞状上皮,12例见有过渡型上皮,18例固有层内见有腺上皮。各型上皮的超微结构特点如下。
1. 纤柱上皮
此型上皮由纤毛柱状细胞、无纤毛柱状细胞、杯状细胞和基底细胞组成,这些细胞的基部均贴附在基膜上。
1.1 纤毛柱状细胞(图1):细胞呈柱状,核位于中下部,呈卵圆形。胞质内有少量张力丝,高尔基复合体易见,有较多粗面内质网及游离核糖体。线粒体丰富,多位于胞核上方。细胞表面有多量纤毛。细胞膜较平直,局部有微绒毛状突起与相邻细胞呈指状相嵌,偶见桥粒连接。近腔面见有连接复合体。
, 百拇医药
1.2 无纤毛柱状细胞(图1):细胞的游离面无纤毛,仅见少量的短小微绒毛。其余结构与纤毛柱状细胞基本相似。
1.3 杯状细胞(图2):此细胞上宽下窄,表面有少量微绒毛。胞核偏下,卵圆形。核上方有许多粘原颗粒,其周围有丰富的粗面内质网,高尔基复合体发达,线粒体中等量,张力丝可见,细胞膜较平直,与相邻细胞局部见有相嵌连接,偶见桥粒连接。近腔面常见连接复合体。
1.4 基底细胞(图3):此细胞略呈锥形或立方状,底部紧靠基膜。核质比较大,核为圆形或卵圆形,核内异染色质明显。胞质内游离核糖体丰富,粗面内质网较少而短小,张力丝易见并有桥粒连接。
2. 鳞状上皮
2.1 表层细胞:为数层扁平或梭形的细胞,胞核大都消失,胞质内张力丝丰富,游离核糖体易见,并见有数量不等的膜被颗粒,其他细胞器少见。细胞表面见棘状突起,部分相邻细胞的突起见桥粒连接。
, 百拇医药
2.2 中层细胞(图4):位于基底细胞与表层细胞之间,约4~6层。细胞呈多边形,核圆形或卵圆形,胞质量多,张力丝丰富,粗面内质网量少且较短小,游离核糖体散在,线粒体中等量,常见膜被颗粒。细胞表面见较多棘状突起,与相邻细胞的突起间见有桥粒连接。
2.3 基底细胞:与纤柱上皮基底细胞之特点相似,胞质内张力丝易见,桥粒易见。
3. 过渡型上皮
又称移行上皮或中间上皮,形态不一,大致可分为复层柱状上皮和复层立方上皮两种。
3.1 复层柱状上皮:细胞为柱状,排列成复层。其表层细胞游离面见有短小的微绒毛突起,偶见少量纤毛(图5)。胞质内线粒体及核糖体丰富,张力丝较少,桥粒连接可见。中层细胞粗面内质网与张力丝均易见到,常见桥粒连接。复层柱状上皮的基底细胞与纤柱上皮基底细胞超微结构相似。
, 百拇医药
3.2 复层立方上皮:一般由3~4层立方状细胞组成。表层细胞较大,呈倒梨形,表面有少量微绒毛,胞质中粗面内质网易见,常扩张呈小囊状,游离核糖体散在,张力丝少量,桥粒连接可见。中层及底层细胞结构相似,胞质内张力丝较表层细胞多,粗面内质网散在,桥粒连接易见。
4. 腺上皮(图6)
位于固有层内,为混合腺。胞核圆形或卵圆形。胞质含较多酶原颗粒或粘原颗粒,高尔基复合体发达,粗面内质网及游离核糖体丰富,并含少量张力丝,细胞间可见桥粒连接。在腺细胞间近基底膜处,有时见到略呈三角形的基底细胞,其超微结构同上述基底细胞。
讨 论
1. 鼻咽癌的好发部位是鼻咽顶部及侧壁,此处的粘膜上皮究竟为何种类型文献报道不一。梁伯强[1]认为咽扁桃体平面以上为纤柱上皮,以下为鳞状上皮,两者交界处为过渡型上皮。Ali[2]则认为鼻咽顶后壁80%~90%为鳞状上皮,沿着鼻咽的侧壁和顶壁处鳞状上皮与纤柱上皮呈斑块状交错排列,其间有时见过渡型上皮小岛。我们观察的活检标本均取自成年人鼻咽癌好发部位的鼻咽顶部及侧壁,62例标本中56例见纤柱上皮,20例是鳞状上皮,12例是过渡型上皮,显示成年人鼻咽癌好发部位主要为纤柱上皮,其次为鳞状上皮,只有少量过渡型上皮。我们观察到过渡型上皮的表面有少量纤毛,提示此型上皮可能是纤柱上皮向鳞状上皮化生的“过渡形态”,并非是一种独立的组织学类型。王福熙[3]报道人胚(5~6个月)鼻咽粘膜主要由纤柱上皮覆盖,伴有少量过渡型上皮,未见鳞状上皮。李振权[4]指出流产儿及新生儿的鼻咽粘膜均由纤柱上皮覆盖。我们认为,成年人鼻咽粘膜中占较小比例的鳞状上皮并非生来固有的,而是出生后部分纤柱上皮鳞状化生的结果。
, http://www.100md.com
2. Svoboda[5]曾对鼻咽上皮进行了电镜观察,认为胞质内张力丝及细胞间桥粒连接仅见于鼻咽部鳞状上皮而不见于纤柱上皮,并将张力丝称之为“角质纤维”。他们同时观察了14例鼻咽未分化癌,由于在各例癌细胞均见有张力丝及桥粒结构,因而认为所有的鼻咽癌均为鳞癌,且主要起源于鼻咽部固有的鳞状上皮,Prasad[6]亦同意这一观点。我们的结果与Lin[7]相似,即张力丝及桥粒连接不仅见于鳞状上皮,亦见于纤柱上皮、过渡型上皮及腺上皮。因此,将张力丝称之为“角质纤维”易引起误解。另一方面,如同Lin[7]所强调指出的,应注意到鼻咽上皮尚存在另一类胞质结构——胞质泡状系统(高尔基复合体、粗面内质网等)。鼻咽不同的上皮类型,两类胞质结构(张力丝与胞质泡状系统)所占比例各不相同:纤柱上皮胞质泡状系统占优势而张力丝较少,桥粒连接数量较少;鳞状上皮胞质泡状系统欠发达,但张力丝丰富,桥粒连接多见;过渡型上皮两类胞质结构比例大致相当,桥粒数量中等;腺上皮胞质泡状系统发达,分泌颗粒多见,张力丝及桥粒连接亦可见到。文献报道,除鳞癌外,未分化癌、腺癌等亦存在张力丝及桥粒连接,因此,我们认为,Svoboda等将电镜下见到张力丝及桥粒连接的鼻咽未分化癌亦归类为鳞癌,并认为起源于鼻咽固有鳞状上皮的观点是欠妥当的。
, http://www.100md.com
3. 四川医学院电镜室[8]观察了人鼻咽粘膜上皮,认为鼻咽鳞状上皮的基底细胞存在张力丝及桥粒连接,而其他类型鼻咽上皮的基底细胞则无此两种结构。石善溶[9]认为鼻咽鳞癌(角化型)起源于鳞状上皮,非鳞癌起源于纤柱上皮。我们的结果显示,纤柱上皮、过渡型上皮及腺上皮的基底细胞与鳞状上皮基底细胞的超微结构基本相同,同样具有张力微丝及桥粒连接,只是数量较少。我们认为,鼻咽各类型上皮的基底细胞均具有多方向分化的潜能:在一定致癌因素的作用下,既可恶变为角化型鳞癌,亦可恶变为非角化癌(低分化鳞癌与未分化癌),偶而形成腺癌。由于鼻咽癌通常发生于成年人,好发部位的粘膜上皮大都为纤柱上皮,结合文献报道的鼻咽癌细胞超微结构特点[5~7,10],我们认为鼻咽癌主要起源于纤柱上皮,鼻咽角化癌并非一定起源于鳞状上皮。
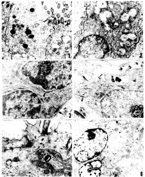
图1 右侧为纤毛柱状细胞,其表面有许多纤毛;左侧为无纤毛柱状细胞。两细胞近腔面见连接复合体(△)×8 000
, 百拇医药
图2 杯状细胞,核上方有较多粘原颗粒及粗面内质网。注意胞质内张力丝(△)×10 000
图3 纤柱上皮相邻的两个基底细胞,位于基膜(↑)上方,胞质内有成束的张力丝(▲),细胞间偶见桥粒连接(△)×12 000
图4 鳞状上皮之中层细胞,胞质内富含张力丝(▲),细胞表面有许多棘突,棘突间见桥粒连接(△)×8 000
图5 复层柱状上皮之表层细胞,其表面可见一纤毛 ×20 000
图6 腺上皮,其胞质内有丰富的粗面内质网及酶原颗粒。另一相邻的小细胞为基底细胞(△)×5 000
Fig.1 The cell at the right with numerous cilia on its free surface is a ciliated columnar cell, and the cell at the left is a nonciliated columnar cell. There is a junctional complex (△) on their apices. ×8 000
, http://www.100md.com
Fig.2 Goblet cell. Many mucigen granules accompanied by rough endoplasmic reticulum are mostly situated above the nucleus. Note the presence of tonofilaments (△) in cytoplasm. ×10 000
Fig.3 Two adjacent basal cells of the pseudostratified ciliated columnar epithelium. The cells, having bundles of tonofilaments (▲) in cytoplasm, are situated above the basement membrane (↑) and occasionally united by a desmosome (△) ×12 000
Fig.4 A intermediate cell of the squamous epithelium with its cytoplasm full of tonofilaments (▲). There are many spines on its surface, and desmosome (△) is seen between two spines. ×8 000
, 百拇医药
Fig.5 A superficial cell of the stratified columnar epithelium. A cilium can be seen on its surface. ×20 000
Fig.6 Glandular epithelium having abundant rough endoplasmic reticulum and zymogen granules in its cytoplasm. Another adjacent small cell is a basal cell (△). ×5 000
△ Department of Pathology, Guangzhou General Hospital of Guangzhou Command, Guangzhou 510010, China
参考文献
, 百拇医药
[1]梁伯强,祝家镇.鼻咽癌发生学的研究Ⅰ.全部鼻咽的新解剖法和鼻咽粘膜的一般形态改变.中华病理学杂志,1960,6(2):57
[2]Ali MYY. Histology of the human nasopharyngeal mucosa. J Anat, 1965, 99(3):657
[3]王福熙,刘大冲,肖家声,等.体外培养人胚鼻咽上皮生物学特性的观察Ⅱ.人胚鼻咽上皮细胞分化的光镜、电镜研究.湖南医学院学报,1984,9(3):227
[4]李振权,潘启超,陈剑经.鼻咽癌临床与实验研究.广州:广东科技出版社,1983:83~91
[5]Svoboda D, Kirchner, Shanmugaratnam K. Ultrastructure of nasopharyngeal carcinoma in American and Chinese patients: an application of electron microscopy to geographic pathology. Exp Molecu Pathol, 1965, 4(2):189
, 百拇医药
[6]Prasad U. Cell of origin nasopharyngeal carcinoma: an electron microscopic study. J Laryngol Otol, 1974,88(11):1087
[7]Lin HS, Liu CS, Yeh S, et al. Fine structure of nasopharyngeal carcinoma with special reference to the anaplastic type. Cancer, 1969, 23(2):390
[8]四川医学院电镜室.鼻咽上皮组织的电子显微镜观察.四川医学院学报,1978,9(1):28
[9]石善溶,Goodman ML, Bhan AK, 等.鼻咽癌的组织发生学与病理分类.中华耳鼻喉科杂志,1987,22(3):129
[10]周本成,张孟良,赖晃文,等.鼻咽泡状核细胞癌的病因分析.中华病理学杂志,1995,24(2):106
收稿1997-12 修回1998-06, 百拇医药
单位:周本成(广州军区广州总医院病理科,广州 510010);郭小谦(广州军区广州总医院病理科,耳鼻喉科,广州 510010);杨传红 赖晃文(广州军区广州总医院病理科,电镜室,广州 510010)
关键词:鼻咽;上皮;超微结构;人类
解剖学报990123 【摘要】 目的 观察人鼻咽上皮类型及超微结构特点,探讨鼻咽癌的细胞起源及组织学分型。 方法 光镜及电镜观察62例取自成人鼻咽顶部及侧壁的粘膜。 结果 鼻咽癌好发部位主要为假复层纤毛柱状上皮,其次为化生而成的复层鳞状上皮。鼻咽上皮的基底细胞具有相同的超微结构特点。 结论 在某些致癌因素作用下,这些基底细胞或者恶变为角化癌,或者恶变为非角化癌(低分化鳞癌和未分化癌),偶而形成腺癌。
ULTRASTRUCTURAL OBSERVATION OF HUMAN
, http://www.100md.com
NASOPHARYNGEAL EPITHELIUM
Zhou Bencheng△, Guo Xiaoqian, Yang Chuanhong, Lai Huangwen
(Department of Pathology, Guangzhou General Hospital of Guangzhou Command;
Department of Otolaryngology;Electron Microscopy Laboratory)
【Abstract】 Objective To observe the epithelial types and ultrastructural features of the human nasopharynx and to investigate the cellular origin and histological classification of nasopharyngeal carcinoma. Methods The adult nasopharyngeal mucosa of sixty-two cases, which were taken from the top or lateral wall of the nasopharynx, were observed with light, and electron microscopes. Results Pseudostratified ciliated columnar epithelium was predominant type in the regions, where nasopharyngeal carcinoma often occurs, squamous epithelium was secondary, and the latter could be derived from the former through metaplasia. The basal cells of epithelia in the nasopharynx had similar ultrastructural features. Conclusion Under certain carcinogenic stimulation, these basal cells can transform into either keratinized or non-keratinized carcinoma(poorly differentiated squamous cell carcinoma and undifferentiated carcinoma), occationally adenocarcinoma.
, 百拇医药
【Key words】 Nasopharynx; Epithelium; Ultrastructure; Human
国内外有关人鼻咽上皮超微结构的研究文献较少且结果不一。本研究对62例人鼻咽上皮进行了光镜与电镜观察,讨论了鼻咽癌好发部位的上皮类型和超微结构特点及其与鼻咽癌细胞起源和组织学分型的关系。我们认为鼻咽癌主要起源于假复层纤毛柱状上皮。将所有鼻咽癌均归类为鳞癌且认为主要起源自鼻咽固有鳞状上皮的观点似乎欠妥。
材料和方法
本院门诊搜集19~68岁成年人鼻咽粘膜活检标本共62例,其中22例为鼻咽粘膜慢性炎症,即鼻咽粘膜固有层内淋巴组织增生,浆细胞浸润,但被覆上皮无异常改变。另40例为鼻咽癌组织附近的正常粘膜。活检组织取自鼻咽顶部或侧壁粘膜。标本钳取后,立即分成两份,一份以4%甲醛固定,常规石蜡包埋,切片,厚4μm,HE染色,光镜观察,另一份迅速以3.1%戊二醛在4℃冰箱内固定2h,漂洗后以1%锇酸在4℃冰箱内后固定2h,按透射电镜样品制备常规制成半薄切片。对62例标本之石蜡及半薄切片首先进行光镜观察,定位后每例均制成超薄切片,日立H600电镜逐一观察。
, 百拇医药
结 果
鼻咽粘膜包括 3种被覆上皮,即假复层纤毛柱状上皮(以下简称纤柱上皮)、复层鳞状上皮(以下简称鳞状上皮)和过渡型上皮。此外,固有层内常有混合性腺体。62例鼻咽粘膜被覆上皮大多为一种,也同时见有2种或3种被覆上皮,其中56例见有纤柱上皮,20例见有鳞状上皮,12例见有过渡型上皮,18例固有层内见有腺上皮。各型上皮的超微结构特点如下。
1. 纤柱上皮
此型上皮由纤毛柱状细胞、无纤毛柱状细胞、杯状细胞和基底细胞组成,这些细胞的基部均贴附在基膜上。
1.1 纤毛柱状细胞(图1):细胞呈柱状,核位于中下部,呈卵圆形。胞质内有少量张力丝,高尔基复合体易见,有较多粗面内质网及游离核糖体。线粒体丰富,多位于胞核上方。细胞表面有多量纤毛。细胞膜较平直,局部有微绒毛状突起与相邻细胞呈指状相嵌,偶见桥粒连接。近腔面见有连接复合体。
, 百拇医药
1.2 无纤毛柱状细胞(图1):细胞的游离面无纤毛,仅见少量的短小微绒毛。其余结构与纤毛柱状细胞基本相似。
1.3 杯状细胞(图2):此细胞上宽下窄,表面有少量微绒毛。胞核偏下,卵圆形。核上方有许多粘原颗粒,其周围有丰富的粗面内质网,高尔基复合体发达,线粒体中等量,张力丝可见,细胞膜较平直,与相邻细胞局部见有相嵌连接,偶见桥粒连接。近腔面常见连接复合体。
1.4 基底细胞(图3):此细胞略呈锥形或立方状,底部紧靠基膜。核质比较大,核为圆形或卵圆形,核内异染色质明显。胞质内游离核糖体丰富,粗面内质网较少而短小,张力丝易见并有桥粒连接。
2. 鳞状上皮
2.1 表层细胞:为数层扁平或梭形的细胞,胞核大都消失,胞质内张力丝丰富,游离核糖体易见,并见有数量不等的膜被颗粒,其他细胞器少见。细胞表面见棘状突起,部分相邻细胞的突起见桥粒连接。
, 百拇医药
2.2 中层细胞(图4):位于基底细胞与表层细胞之间,约4~6层。细胞呈多边形,核圆形或卵圆形,胞质量多,张力丝丰富,粗面内质网量少且较短小,游离核糖体散在,线粒体中等量,常见膜被颗粒。细胞表面见较多棘状突起,与相邻细胞的突起间见有桥粒连接。
2.3 基底细胞:与纤柱上皮基底细胞之特点相似,胞质内张力丝易见,桥粒易见。
3. 过渡型上皮
又称移行上皮或中间上皮,形态不一,大致可分为复层柱状上皮和复层立方上皮两种。
3.1 复层柱状上皮:细胞为柱状,排列成复层。其表层细胞游离面见有短小的微绒毛突起,偶见少量纤毛(图5)。胞质内线粒体及核糖体丰富,张力丝较少,桥粒连接可见。中层细胞粗面内质网与张力丝均易见到,常见桥粒连接。复层柱状上皮的基底细胞与纤柱上皮基底细胞超微结构相似。
, 百拇医药
3.2 复层立方上皮:一般由3~4层立方状细胞组成。表层细胞较大,呈倒梨形,表面有少量微绒毛,胞质中粗面内质网易见,常扩张呈小囊状,游离核糖体散在,张力丝少量,桥粒连接可见。中层及底层细胞结构相似,胞质内张力丝较表层细胞多,粗面内质网散在,桥粒连接易见。
4. 腺上皮(图6)
位于固有层内,为混合腺。胞核圆形或卵圆形。胞质含较多酶原颗粒或粘原颗粒,高尔基复合体发达,粗面内质网及游离核糖体丰富,并含少量张力丝,细胞间可见桥粒连接。在腺细胞间近基底膜处,有时见到略呈三角形的基底细胞,其超微结构同上述基底细胞。
讨 论
1. 鼻咽癌的好发部位是鼻咽顶部及侧壁,此处的粘膜上皮究竟为何种类型文献报道不一。梁伯强[1]认为咽扁桃体平面以上为纤柱上皮,以下为鳞状上皮,两者交界处为过渡型上皮。Ali[2]则认为鼻咽顶后壁80%~90%为鳞状上皮,沿着鼻咽的侧壁和顶壁处鳞状上皮与纤柱上皮呈斑块状交错排列,其间有时见过渡型上皮小岛。我们观察的活检标本均取自成年人鼻咽癌好发部位的鼻咽顶部及侧壁,62例标本中56例见纤柱上皮,20例是鳞状上皮,12例是过渡型上皮,显示成年人鼻咽癌好发部位主要为纤柱上皮,其次为鳞状上皮,只有少量过渡型上皮。我们观察到过渡型上皮的表面有少量纤毛,提示此型上皮可能是纤柱上皮向鳞状上皮化生的“过渡形态”,并非是一种独立的组织学类型。王福熙[3]报道人胚(5~6个月)鼻咽粘膜主要由纤柱上皮覆盖,伴有少量过渡型上皮,未见鳞状上皮。李振权[4]指出流产儿及新生儿的鼻咽粘膜均由纤柱上皮覆盖。我们认为,成年人鼻咽粘膜中占较小比例的鳞状上皮并非生来固有的,而是出生后部分纤柱上皮鳞状化生的结果。
, http://www.100md.com
2. Svoboda[5]曾对鼻咽上皮进行了电镜观察,认为胞质内张力丝及细胞间桥粒连接仅见于鼻咽部鳞状上皮而不见于纤柱上皮,并将张力丝称之为“角质纤维”。他们同时观察了14例鼻咽未分化癌,由于在各例癌细胞均见有张力丝及桥粒结构,因而认为所有的鼻咽癌均为鳞癌,且主要起源于鼻咽部固有的鳞状上皮,Prasad[6]亦同意这一观点。我们的结果与Lin[7]相似,即张力丝及桥粒连接不仅见于鳞状上皮,亦见于纤柱上皮、过渡型上皮及腺上皮。因此,将张力丝称之为“角质纤维”易引起误解。另一方面,如同Lin[7]所强调指出的,应注意到鼻咽上皮尚存在另一类胞质结构——胞质泡状系统(高尔基复合体、粗面内质网等)。鼻咽不同的上皮类型,两类胞质结构(张力丝与胞质泡状系统)所占比例各不相同:纤柱上皮胞质泡状系统占优势而张力丝较少,桥粒连接数量较少;鳞状上皮胞质泡状系统欠发达,但张力丝丰富,桥粒连接多见;过渡型上皮两类胞质结构比例大致相当,桥粒数量中等;腺上皮胞质泡状系统发达,分泌颗粒多见,张力丝及桥粒连接亦可见到。文献报道,除鳞癌外,未分化癌、腺癌等亦存在张力丝及桥粒连接,因此,我们认为,Svoboda等将电镜下见到张力丝及桥粒连接的鼻咽未分化癌亦归类为鳞癌,并认为起源于鼻咽固有鳞状上皮的观点是欠妥当的。
, http://www.100md.com
3. 四川医学院电镜室[8]观察了人鼻咽粘膜上皮,认为鼻咽鳞状上皮的基底细胞存在张力丝及桥粒连接,而其他类型鼻咽上皮的基底细胞则无此两种结构。石善溶[9]认为鼻咽鳞癌(角化型)起源于鳞状上皮,非鳞癌起源于纤柱上皮。我们的结果显示,纤柱上皮、过渡型上皮及腺上皮的基底细胞与鳞状上皮基底细胞的超微结构基本相同,同样具有张力微丝及桥粒连接,只是数量较少。我们认为,鼻咽各类型上皮的基底细胞均具有多方向分化的潜能:在一定致癌因素的作用下,既可恶变为角化型鳞癌,亦可恶变为非角化癌(低分化鳞癌与未分化癌),偶而形成腺癌。由于鼻咽癌通常发生于成年人,好发部位的粘膜上皮大都为纤柱上皮,结合文献报道的鼻咽癌细胞超微结构特点[5~7,10],我们认为鼻咽癌主要起源于纤柱上皮,鼻咽角化癌并非一定起源于鳞状上皮。
图1 右侧为纤毛柱状细胞,其表面有许多纤毛;左侧为无纤毛柱状细胞。两细胞近腔面见连接复合体(△)×8 000
, 百拇医药
图2 杯状细胞,核上方有较多粘原颗粒及粗面内质网。注意胞质内张力丝(△)×10 000
图3 纤柱上皮相邻的两个基底细胞,位于基膜(↑)上方,胞质内有成束的张力丝(▲),细胞间偶见桥粒连接(△)×12 000
图4 鳞状上皮之中层细胞,胞质内富含张力丝(▲),细胞表面有许多棘突,棘突间见桥粒连接(△)×8 000
图5 复层柱状上皮之表层细胞,其表面可见一纤毛 ×20 000
图6 腺上皮,其胞质内有丰富的粗面内质网及酶原颗粒。另一相邻的小细胞为基底细胞(△)×5 000
Fig.1 The cell at the right with numerous cilia on its free surface is a ciliated columnar cell, and the cell at the left is a nonciliated columnar cell. There is a junctional complex (△) on their apices. ×8 000
, http://www.100md.com
Fig.2 Goblet cell. Many mucigen granules accompanied by rough endoplasmic reticulum are mostly situated above the nucleus. Note the presence of tonofilaments (△) in cytoplasm. ×10 000
Fig.3 Two adjacent basal cells of the pseudostratified ciliated columnar epithelium. The cells, having bundles of tonofilaments (▲) in cytoplasm, are situated above the basement membrane (↑) and occasionally united by a desmosome (△) ×12 000
Fig.4 A intermediate cell of the squamous epithelium with its cytoplasm full of tonofilaments (▲). There are many spines on its surface, and desmosome (△) is seen between two spines. ×8 000
, 百拇医药
Fig.5 A superficial cell of the stratified columnar epithelium. A cilium can be seen on its surface. ×20 000
Fig.6 Glandular epithelium having abundant rough endoplasmic reticulum and zymogen granules in its cytoplasm. Another adjacent small cell is a basal cell (△). ×5 000
△ Department of Pathology, Guangzhou General Hospital of Guangzhou Command, Guangzhou 510010, China
参考文献
, 百拇医药
[1]梁伯强,祝家镇.鼻咽癌发生学的研究Ⅰ.全部鼻咽的新解剖法和鼻咽粘膜的一般形态改变.中华病理学杂志,1960,6(2):57
[2]Ali MYY. Histology of the human nasopharyngeal mucosa. J Anat, 1965, 99(3):657
[3]王福熙,刘大冲,肖家声,等.体外培养人胚鼻咽上皮生物学特性的观察Ⅱ.人胚鼻咽上皮细胞分化的光镜、电镜研究.湖南医学院学报,1984,9(3):227
[4]李振权,潘启超,陈剑经.鼻咽癌临床与实验研究.广州:广东科技出版社,1983:83~91
[5]Svoboda D, Kirchner, Shanmugaratnam K. Ultrastructure of nasopharyngeal carcinoma in American and Chinese patients: an application of electron microscopy to geographic pathology. Exp Molecu Pathol, 1965, 4(2):189
, 百拇医药
[6]Prasad U. Cell of origin nasopharyngeal carcinoma: an electron microscopic study. J Laryngol Otol, 1974,88(11):1087
[7]Lin HS, Liu CS, Yeh S, et al. Fine structure of nasopharyngeal carcinoma with special reference to the anaplastic type. Cancer, 1969, 23(2):390
[8]四川医学院电镜室.鼻咽上皮组织的电子显微镜观察.四川医学院学报,1978,9(1):28
[9]石善溶,Goodman ML, Bhan AK, 等.鼻咽癌的组织发生学与病理分类.中华耳鼻喉科杂志,1987,22(3):129
[10]周本成,张孟良,赖晃文,等.鼻咽泡状核细胞癌的病因分析.中华病理学杂志,1995,24(2):106
收稿1997-12 修回1998-06, 百拇医药