人白介素-2基因在原代培养骨骼肌细胞中的表达研究
作者:潘海燕 田竟生 王珂 赵春礼 郑少鹏 薛绍白
单位:潘海燕 田竟生 王珂 赵春礼 郑少鹏(首都医科大学神经科学研究所,北京 100054);薛绍白 北京师范大学生物系细胞组)
关键词:人白介素-2;骨骼肌细胞;脂质体介导的基因转移
解剖学报990114
【摘要】 目的 对以人白介素-2在原代培养骨骼肌细胞中的表达作为肿瘤基因治疗模式进行新的探索; 方法 将人白介素-2 cDNA片段与CMV启动子及RSV启动子重组,通过Lipofectin介导将得到真核表达载体pCMV-IL2和pRSV-IL2转入原代培养的骨骼肌细胞,并用免疫组织化学方法观察白介素-2的表达; 结果 pCMV-IL2和pRSV-IL2经酶切鉴定正确,免疫组织化学观察到约有10%左右细胞表达了白介素-2cDNA; 结论 不同启动子表达情况并无差别,质粒DNA为今后肿瘤基因治疗提供了新的途径。
, 百拇医药
THE HUMAN INTERLEUKIN-2 EXPRESSION IN PRIMARY
SKELETAL MUSCLE CELLS OF THE RAT
Pan Haiyan△, Tian Jingsheng, Wang Ke, Zhao Chunli, Zheng Shaopeng, Xue Shaobai*
(Beijing Institute for Neuroscience,Capital University of Medical Sciences,Beijing,*Molecular and Cellular Program,Biology Department of Beijing Normal University,Beijing)
【Abstract】 Objective By using hIL2-muscle model to exploit a new gene therapeutics for cancer.Methods Two mammalian expression vectors were constructed,which contained 1kb human interleukin-2 cDNA,and were transfected into primary skeletal muscle cells of the rats mediated by lipofectin(hIL2-muscle model).The hIL-2 expression in primary muscle cells was detected by immunohistochemical stain method.Results Identification of pCMV-IL2 and PRSV-IL2 was confirmed by digesting with restrictive endonucleases,about 10% positive cells were observed and the expression level of pCMV-IL2 and pRSV-IL2 had no difference in the muscle cells.Conclusion Recombinant plasmid DNAs might be suitable for gene therapeutics for cancer.
, http://www.100md.com
【Key words】 hIL2; Muscle cells; Lipofectin mediated gene transfer
目前,对肿瘤的基因治疗研究正方兴未艾、发展迅速。肿瘤基因治疗中大约有1/3的方案是将细胞因子基因导入肿瘤细胞后作为肿瘤疫苗植入体内,以期持续分泌活性细胞因子来达到增强抗肿瘤免疫反应的目的[1]。在诸多细胞因子中,白介素-2(interleukin-2,IL2)是体内一种重要的参与免疫调节的细胞因子,也是肿瘤临床治疗中应用最早的细胞因子[2]。相反,由于IL2在血液中半衰期短,反复输入IL2会产生严重的毒副作用,因此用体内直接输入IL2的方法来治疗肿瘤有很大的缺点[3]。用IL2基因修饰的肿瘤细胞可以使之在肿瘤部位表达分泌,从而增加了IL2的靶向性,而且肿瘤疫苗还会诱导特异性的抗肿瘤免疫反应,故用IL2基因导入肿瘤细胞行肿瘤基因治疗有很好的前景。然而,以肿瘤细胞作为靶细胞也有许多不足之处[4]:肿瘤细胞自体建系困难,稳定的自体细胞系除了在黑色素瘤和肾癌患者中约30%病人可建立稳定的自体细胞系外,在其他患者尚未见成功,将永久性的细胞系回输体内有易于癌化趋势。因此我们拟采用原代培养的骨骼肌做为靶细胞转入IL2基因,希望通过其能分泌细胞因子达到治疗肿瘤的目的,为肿瘤的基因治疗提供新途径。
, http://www.100md.com
材料和方法
1. pGEM-3zf(+)-IL2多克隆载体的构建
用限制性内切酶PstI酶切pGEM-3zf(+)质粒(购自华美生物工程公司),与纯化的1.0kbh-IL2 cDNA片段(两端pstI酶切,由美国Michigan大学医学中心Thompson CB教授惠赠),用T4连接酶(华美生物工程公司)连接;转化感受态菌DH5α或JM109,将细菌涂布于含X-gal和IPTG的平板上进行蓝/白斑筛选,酶切鉴定阳性克隆(图1)。重组质粒的提取、纯化、酶切、片段回收、连接及大肠杆菌感受态制备均参见文献[5]。
2. 真核表达载体pCMV-IL2构建
用pCMV-LacZ质粒(美国Wisconsin大学Waisman中心惠赠),经限制性内切酶HindⅢ、EcoR Ⅰ(华美生物工程公司)双酶切,去掉3.0kb的LacZ基因,回收含CMV启动子的4.3kb片段;pGEM-3zf(+)-IL2经相同双酶切处理,提取其中1.0kb的h-IL2cDNA片段,与含有CMV启动子的DNA片段经T4连接酶连接,建成pCMV-IL2真核载体(图2)。
, 百拇医药
图1 多克隆载体pGEM-IL2构建示意图
Fig.1 Construction of recombinant vector pGEM-IL2.
图2 表达载体pCMV-IL2构建示意图
Fig.2 Construction of eukaryotic expression vector pCMV-IL2.
3. 真核表达载体pRSV-IL2的构建
将pRSV-LacZ质粒(美国Wisconsin大学Waisman中心惠赠),经限制性内切酶HindⅢ、pvuⅡ(华美生物工程公司)酶切,去除其中的LacZ基因,回收其中含有RSV启动子的4.0kb基因片段;将pGEM3zf(+)-IL2经HindⅢ、HincⅡ(华美生物工程公司)双酶切,回收其中1.0kb h-IL2 cDNA片段,与RSV启动子经T4连接酶连接,构建pRSV-IL2真核载体(图3)。
, http://www.100md.com
图3 表达载体pRSV-IL2构建示意图
Fig.3 Construction of eukaryotic expression vector pRSV-IL2
4. 原代骨骼肌的培养
取新生2~5d的SD大鼠的四肢骨骼肌组织,剪成肉糜后用胰蛋白酶(1∶250,Sigma)和胶原酶(Gibco/BRL)消化,制成细胞悬液并用20μm孔径的滤膜过滤去除组织碎块,所得悬液用Percoll(Sigma)进行密度梯度离心,得出纯化干细胞以5×105细胞密度在35mm平皿内进行原代培养。培养基含5%鸡胚浸出液(Gibco/BRL)、15%马血清(天津血研所)、和80%MEM(Gibco/BRL)。前3d每日换液,以后隔日换液。
5. Lipofectin介导的基因转移
, 百拇医药
将质粒pCMV-IL2、pRSV-IL2以及作为阳性对照的质粒pRSV-LacZ与Lipofectin分别用无血清培养基(Opti-MEM)稀释至0.75ml,然后逐滴混匀,形成DNA-Lipofectin复合物;将培养2~3d的原代骨骼肌细胞用无血清培养基洗3次后加入DNA-Lipofectin复合物,在37℃、5%CO2条件下放置4~6h,经10%DMSO冲击后,加入完全培养基,继续培养2~3d。
6. ABC免疫组织化学法检测人白介素-2的表达
将35mm平皿取出,对其中培养的转基因后细胞进行免疫组织化学染色,以PBS(0.01mol/L pH7.4)洗2次,用5%戊二醛固定5~10min,以PBS洗(5min×3)。加入含0.1% Triton X-100和1.5%正常马血清的PBS缓冲液,室温下振荡孵育30min,移入鼠抗人白介素-2单克隆抗体(1∶100,购自军事医学科学院)中4℃孵育24h,PBS洗(5min×3)。加入ABC复合物(1∶50),37℃孵育30min,0.05mol/L Tris.HCl缓冲液洗(5min×3),加入含0.5g/L DAB的Tris-HCl缓冲液(0.05mol/L,含0.003% H2O2)中呈色,室温下孵育5~10min。对转入pRSV-LacZ的肌细胞阳性对照经X-gal组织化学染色,方法参见文献[6]。
, 百拇医药
结果
1. 多克隆载体pGEM3zf(+)-IL2的鉴定
在涂布含有X-gal和IPTG的LB Amp+平板上,长有数百个细胞克隆,蓝和白的比例接近1∶1。用HindⅢ单酶切分析随机挑取的6个白色克隆,全有h-IL2 cDNA插入,用XbaⅠ酶切分析,其中1号和6号是正向克隆,3号是反向克隆(图片未附)。HindⅢ、EcoR Ⅰ分别单酶切下产生4.2kb单一条带,XbaⅠ酶切下产生两条带,即正向0.6kb+3.6kb,反向0.4kb+3.8kb(图4)。
2. 真核表达载体pCMV-IL2和pRSV-IL2的构建
pCMV-IL2组建后全长5.3kb,pRSV-IL2组建后全长5.0kb,经酶切鉴定后显示构建正确(图5)。
, 百拇医药
3. 真核表达载体在原代培养的骨骼肌细胞中的表达
骨骼肌原代培养中,前3d的培养细胞以成肌细胞(myoblast)形式存在;培养3d后细胞拉长并出现多核,转化为肌管细胞(myotube),以后融合成骨骼肌细胞,在显微镜下可见骨骼肌细胞具有多核、融合、收缩活动等形态特征。
(1)对照pRSV-LacZ转染的骨骼肌细胞经X-gal组织化学染色后呈蓝色,光镜下观察蓝染细胞占骨骼肌细胞总数的10%~20%(图6)。
(2)pCMV-IL2、pRSV-IL2转染的骨骼肌细胞经ABC免疫组织化学染色后,阳性细胞呈褐色,阳性细胞占总数的10%,细胞核深染,含不同启动子的两种质粒的表达情况未见差别(图7,8)。
, http://www.100md.com
图4 pGEM-IL2酶切鉴定图
Fig.4 Restritive digestion and identification of recombinant vector pGEM-IL2
F:λDNA/HindⅢ+EcoRⅠ Marker G:pGEM-IL2/XbaⅠ反向[0.4kb,3.8kb] H:pGEM-IL2/XbaⅠ正向[0.6kb,3.6kb] I:pGEM-IL2/HindⅢ[4.2kb] J:pGEM-IL2/EcoRⅠ[4.2kb] K:λDNA/HindⅢ Marker
图5 pCMV-IL2和pRSV-IL2酶切鉴定图
, http://www.100md.com
Fig.5 Restrictive digestion and identification of mammalian
expression vectors pCMV-IL2 and pRSV-IL2
A:λDNA/HindⅢ+EcoRⅠ marker B:pRSV-IL2/StuⅠ[0.7kb,4.3kb] C:pRSV-IL2/ApaⅠ[4.0kb] D:pRSV-IL2/XbaⅠ[0.7kb,4.3kb] E:λDNA/HindⅢ+EcoRⅠ Marker F:pCMV-IL2/XbaⅠ[0.6kb,4.7kb] G:pCMV-IL2/stuⅠ[0.7kb,4.6kb] H:pCMV-IL2/EcoRⅠ[5.3kb] I:pCMV-IL2/HindⅢ[5.3kb] J:λDNA/HindⅢ marker
, 百拇医药
图6 免疫组织化学方法检测LacZ基因在大鼠原代培养骨骼肌中的表达
Fig.6 Detection of LacZ gene expression in primary skeletal
muscle cell of the rat by immunohistochemical stain.
图7 免疫组织化学方法检测pCMV-IL2在大鼠原代培养骨骼肌中的表达
Fig.7 Detection of pCMV-IL2 expression in primary skeletal
muscle cell of the rat by immunohistochemical stain.
, 百拇医药
图8 免疫组织化学方法检测pRSV-IL2在大鼠原代培养骨骼肌中的表达
Fig.7 Detection of pRSV-IL2 expression in primary skeletal
muscle cell of the rat by immunohistochemical stain.
讨 论
目前,基因治疗中所遇困难之一是遗传修饰的各类细胞植入体内后不能持久表达[7],而原代培养的骨骼肌细胞在保持移植后长期存活及基因表达的成功率方面优于其他细胞。
大鼠骨骼肌做基因治疗的靶细胞有以下特点:(1)已有研究表明骨骼肌不仅能表达肌蛋白基因,也能表达非肌蛋白基因,如人生长激素[7]、凝血因子IX[8]和GM-CSF[9]等,而且这些基因在体内能稳定表达几个月之久,因此可以用移植的骨骼肌细胞做为异位点(ectopic site)产生重组蛋白治疗遗传性疾病、代谢性疾病或诱导免疫反应的目的;(2)外源基因即使以附加体形式存在,也可以在骨骼肌中长期表达[10],例如用Lipofectin或重组腺病毒直接注射等方法,这也许与骨骼肌纤维处于Go期,较稳定有关;(3)原代培养的骨骼肌细胞能在植入成体后10d左右与宿主肌纤维融合,并且遗传修饰的肌纤维形态上无任何改变[7,8];(4)移植数月后,遗传修饰的骨骼肌细胞不仅与宿主肌纤维融合,其中存在一小部分静止期的肌肉前体细胞即遗传修饰的干细胞,它们仍具有重新再生的能力,这就进一步保证移植后的骨骼肌能长期稳定表达外源基因[8]。
, 百拇医药
骨骼肌上述特征,应看作适于做人白介素-2基因治疗肿瘤的载体。如果将IL2基因修饰的骨骼肌细胞移植到肿瘤附近,有理由相信其应可成为一个长期稳定的、生理量的白介素-2的分泌源。
本研究成功重组了质粒pCMV-IL2和pRSV-IL2并转入原代培养的骨骼肌细胞,看到了的确可以表达白介素-2,尽管有文献说不同启动子会产生不同基因表达水平,但我们看到的两种质粒(pCMV-IL2和pRSV-IL2)的表达情况基本相同。此外我们采用Lipofectin与质粒DNA混合物的方法进行基因转移,这就克服了以病毒为基因转移载体所存在的问题[11]。质粒DNA易于制备,纯度较病毒上清易于控制,质粒DNA注射后,免疫反应很少或几乎不存在,而使用逆转录病毒与腺病毒都会造成有免疫细胞浸润现象。此外质粒DNA与细胞染色体发生重组的可能性远远小于病毒载体,特别是逆转录病毒载体。
, 百拇医药
曹雪涛等[12]将白介素-2基因修饰的成纤维细胞,用胶原包裹后植入腹腔治疗肝癌取得一定疗效。由于骨骼肌的优点,我们有理由认为将基因修饰的骨骼肌细胞植入腹腔治疗肝癌当有更好的效果。
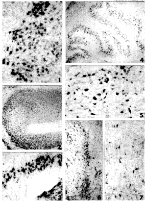
Fig.1 NOV mRNA neurons in ventral region of the spinal cord at 16 weeks of gestation age.The strong hybridization signal were localized in the cytoplasm. ×100
Fig.2 NOV mRNA neurons in principal nucleus of inferior olive at 16 weeks of gestation age the density of positive cells were high. ×40
, http://www.100md.com
Fig.3 The density of NOV mRNA in principal nucleus of inferior oliveat 25 weeks of gestation age were lower than that of 16 weeks of gestation age,but the positive signal were stronger. ×100
Fig.4 NOV mRNA neurons were widely distributed throughout the principal nucleus of inferior olive at 28 weeks of gestation age. ×40
Fig.5 NOV mRNA neurons in gracile nucleus at 38 weeks of age.There are three types of positive neurons:large,middle and small in size. ×100
, http://www.100md.com
Fig.6 NOV mRNA neurons distributed in striatum at 38 weeks of gestation age. ×40
Fig.7 NOV mRNA neurons localized in Ⅴ and Ⅵ layer of cerebral cortex of parietal lobe were large pyramidal cells. ×100
△ Beijing Institute for Neuroscience,Capital University of Medical Sciences,Beijing 100054,China
参考文献
[1]Blankenstein T,Qin Z.Cancer vaccines in gene therapy.Gene Therapy,1996,3(2):95
, http://www.100md.com
[2]Cordier L,Duffour MT,Sabourin JC,et al.Complete recovery of mice from a pre-established tumor by direct intratumoral delivery of an adenovirus vector harboring the murine IL2 gene.Gene Therapy,1995,2(1):16
[3]Sobol RE,Fakhrai H,Shawler D,et al.Interleukin-2 gene therapy in a patient with glioblastoma.Gene Therapy,1995,2(2):164
[4]Foe R,Guarini A,Cronin K,et al.Cytokine gene therapy:a new stragtegy for the management of cancer patients.Nat Immun,1994,13(2-3):65
, 百拇医药
[5]金冬雁,黎孟枫译.分子克隆实验指南.第2版,北京:科学出版社,1992
[6]郑少鹏,田竟生,徐群渊,等.LacZ基因在体内外骨骼肌中的表达.首都医学院学报,1995,16(2):85
[7]Dhawan J,Pan LC,Pavlath,et al.Systemic delivery of human growth hormone by injection of genetically engineered myoblasts.Science,1991,254(5037):1507
[8]Yao SN,Kurack K.Implanted myoblasts not only fuse with myofibers but also survive as muscle precuror cells.Journal of cell Science,1993,105:957
, 百拇医药
[9]Bonham L,Palmer T,Miller AD.Prolonged expression of therapeutic levels of human granulocyte colony-stimulating factor in rats following gene transfer to skeletal muscle.Human Gene Therapy,1996,7(12):1423
[10]Karpacti G,Acsadi G.The potential for gene therapy in Duchenne muscular dystropy and other genetic muscle disease.Muscle Nerve,1993,16(11):1141
[11]Davis HL,Demeneix BA,Quantin B,et al,Plasmid DNA is superior to viral vectors for direct gene transfer into adult mouse skeletal muscle.Human Gene Therapy,1993,4:733
[12]曹雪涛,章卫平,陶群,等.成纤维细胞介导的白细胞介素2基因疗法的免疫增强作用及其抗肿瘤效果.中华医学杂志,1995,75(9):521
收稿1997-10 修回1998-07, 百拇医药
单位:潘海燕 田竟生 王珂 赵春礼 郑少鹏(首都医科大学神经科学研究所,北京 100054);薛绍白 北京师范大学生物系细胞组)
关键词:人白介素-2;骨骼肌细胞;脂质体介导的基因转移
解剖学报990114
【摘要】 目的 对以人白介素-2在原代培养骨骼肌细胞中的表达作为肿瘤基因治疗模式进行新的探索; 方法 将人白介素-2 cDNA片段与CMV启动子及RSV启动子重组,通过Lipofectin介导将得到真核表达载体pCMV-IL2和pRSV-IL2转入原代培养的骨骼肌细胞,并用免疫组织化学方法观察白介素-2的表达; 结果 pCMV-IL2和pRSV-IL2经酶切鉴定正确,免疫组织化学观察到约有10%左右细胞表达了白介素-2cDNA; 结论 不同启动子表达情况并无差别,质粒DNA为今后肿瘤基因治疗提供了新的途径。
, 百拇医药
THE HUMAN INTERLEUKIN-2 EXPRESSION IN PRIMARY
SKELETAL MUSCLE CELLS OF THE RAT
Pan Haiyan△, Tian Jingsheng, Wang Ke, Zhao Chunli, Zheng Shaopeng, Xue Shaobai*
(Beijing Institute for Neuroscience,Capital University of Medical Sciences,Beijing,*Molecular and Cellular Program,Biology Department of Beijing Normal University,Beijing)
【Abstract】 Objective By using hIL2-muscle model to exploit a new gene therapeutics for cancer.Methods Two mammalian expression vectors were constructed,which contained 1kb human interleukin-2 cDNA,and were transfected into primary skeletal muscle cells of the rats mediated by lipofectin(hIL2-muscle model).The hIL-2 expression in primary muscle cells was detected by immunohistochemical stain method.Results Identification of pCMV-IL2 and PRSV-IL2 was confirmed by digesting with restrictive endonucleases,about 10% positive cells were observed and the expression level of pCMV-IL2 and pRSV-IL2 had no difference in the muscle cells.Conclusion Recombinant plasmid DNAs might be suitable for gene therapeutics for cancer.
, http://www.100md.com
【Key words】 hIL2; Muscle cells; Lipofectin mediated gene transfer
目前,对肿瘤的基因治疗研究正方兴未艾、发展迅速。肿瘤基因治疗中大约有1/3的方案是将细胞因子基因导入肿瘤细胞后作为肿瘤疫苗植入体内,以期持续分泌活性细胞因子来达到增强抗肿瘤免疫反应的目的[1]。在诸多细胞因子中,白介素-2(interleukin-2,IL2)是体内一种重要的参与免疫调节的细胞因子,也是肿瘤临床治疗中应用最早的细胞因子[2]。相反,由于IL2在血液中半衰期短,反复输入IL2会产生严重的毒副作用,因此用体内直接输入IL2的方法来治疗肿瘤有很大的缺点[3]。用IL2基因修饰的肿瘤细胞可以使之在肿瘤部位表达分泌,从而增加了IL2的靶向性,而且肿瘤疫苗还会诱导特异性的抗肿瘤免疫反应,故用IL2基因导入肿瘤细胞行肿瘤基因治疗有很好的前景。然而,以肿瘤细胞作为靶细胞也有许多不足之处[4]:肿瘤细胞自体建系困难,稳定的自体细胞系除了在黑色素瘤和肾癌患者中约30%病人可建立稳定的自体细胞系外,在其他患者尚未见成功,将永久性的细胞系回输体内有易于癌化趋势。因此我们拟采用原代培养的骨骼肌做为靶细胞转入IL2基因,希望通过其能分泌细胞因子达到治疗肿瘤的目的,为肿瘤的基因治疗提供新途径。
, http://www.100md.com
材料和方法
1. pGEM-3zf(+)-IL2多克隆载体的构建
用限制性内切酶PstI酶切pGEM-3zf(+)质粒(购自华美生物工程公司),与纯化的1.0kbh-IL2 cDNA片段(两端pstI酶切,由美国Michigan大学医学中心Thompson CB教授惠赠),用T4连接酶(华美生物工程公司)连接;转化感受态菌DH5α或JM109,将细菌涂布于含X-gal和IPTG的平板上进行蓝/白斑筛选,酶切鉴定阳性克隆(图1)。重组质粒的提取、纯化、酶切、片段回收、连接及大肠杆菌感受态制备均参见文献[5]。
2. 真核表达载体pCMV-IL2构建
用pCMV-LacZ质粒(美国Wisconsin大学Waisman中心惠赠),经限制性内切酶HindⅢ、EcoR Ⅰ(华美生物工程公司)双酶切,去掉3.0kb的LacZ基因,回收含CMV启动子的4.3kb片段;pGEM-3zf(+)-IL2经相同双酶切处理,提取其中1.0kb的h-IL2cDNA片段,与含有CMV启动子的DNA片段经T4连接酶连接,建成pCMV-IL2真核载体(图2)。
, 百拇医药
图1 多克隆载体pGEM-IL2构建示意图
Fig.1 Construction of recombinant vector pGEM-IL2.
图2 表达载体pCMV-IL2构建示意图
Fig.2 Construction of eukaryotic expression vector pCMV-IL2.
3. 真核表达载体pRSV-IL2的构建
将pRSV-LacZ质粒(美国Wisconsin大学Waisman中心惠赠),经限制性内切酶HindⅢ、pvuⅡ(华美生物工程公司)酶切,去除其中的LacZ基因,回收其中含有RSV启动子的4.0kb基因片段;将pGEM3zf(+)-IL2经HindⅢ、HincⅡ(华美生物工程公司)双酶切,回收其中1.0kb h-IL2 cDNA片段,与RSV启动子经T4连接酶连接,构建pRSV-IL2真核载体(图3)。
, http://www.100md.com
图3 表达载体pRSV-IL2构建示意图
Fig.3 Construction of eukaryotic expression vector pRSV-IL2
4. 原代骨骼肌的培养
取新生2~5d的SD大鼠的四肢骨骼肌组织,剪成肉糜后用胰蛋白酶(1∶250,Sigma)和胶原酶(Gibco/BRL)消化,制成细胞悬液并用20μm孔径的滤膜过滤去除组织碎块,所得悬液用Percoll(Sigma)进行密度梯度离心,得出纯化干细胞以5×105细胞密度在35mm平皿内进行原代培养。培养基含5%鸡胚浸出液(Gibco/BRL)、15%马血清(天津血研所)、和80%MEM(Gibco/BRL)。前3d每日换液,以后隔日换液。
5. Lipofectin介导的基因转移
, 百拇医药
将质粒pCMV-IL2、pRSV-IL2以及作为阳性对照的质粒pRSV-LacZ与Lipofectin分别用无血清培养基(Opti-MEM)稀释至0.75ml,然后逐滴混匀,形成DNA-Lipofectin复合物;将培养2~3d的原代骨骼肌细胞用无血清培养基洗3次后加入DNA-Lipofectin复合物,在37℃、5%CO2条件下放置4~6h,经10%DMSO冲击后,加入完全培养基,继续培养2~3d。
6. ABC免疫组织化学法检测人白介素-2的表达
将35mm平皿取出,对其中培养的转基因后细胞进行免疫组织化学染色,以PBS(0.01mol/L pH7.4)洗2次,用5%戊二醛固定5~10min,以PBS洗(5min×3)。加入含0.1% Triton X-100和1.5%正常马血清的PBS缓冲液,室温下振荡孵育30min,移入鼠抗人白介素-2单克隆抗体(1∶100,购自军事医学科学院)中4℃孵育24h,PBS洗(5min×3)。加入ABC复合物(1∶50),37℃孵育30min,0.05mol/L Tris.HCl缓冲液洗(5min×3),加入含0.5g/L DAB的Tris-HCl缓冲液(0.05mol/L,含0.003% H2O2)中呈色,室温下孵育5~10min。对转入pRSV-LacZ的肌细胞阳性对照经X-gal组织化学染色,方法参见文献[6]。
, 百拇医药
结果
1. 多克隆载体pGEM3zf(+)-IL2的鉴定
在涂布含有X-gal和IPTG的LB Amp+平板上,长有数百个细胞克隆,蓝和白的比例接近1∶1。用HindⅢ单酶切分析随机挑取的6个白色克隆,全有h-IL2 cDNA插入,用XbaⅠ酶切分析,其中1号和6号是正向克隆,3号是反向克隆(图片未附)。HindⅢ、EcoR Ⅰ分别单酶切下产生4.2kb单一条带,XbaⅠ酶切下产生两条带,即正向0.6kb+3.6kb,反向0.4kb+3.8kb(图4)。
2. 真核表达载体pCMV-IL2和pRSV-IL2的构建
pCMV-IL2组建后全长5.3kb,pRSV-IL2组建后全长5.0kb,经酶切鉴定后显示构建正确(图5)。
, 百拇医药
3. 真核表达载体在原代培养的骨骼肌细胞中的表达
骨骼肌原代培养中,前3d的培养细胞以成肌细胞(myoblast)形式存在;培养3d后细胞拉长并出现多核,转化为肌管细胞(myotube),以后融合成骨骼肌细胞,在显微镜下可见骨骼肌细胞具有多核、融合、收缩活动等形态特征。
(1)对照pRSV-LacZ转染的骨骼肌细胞经X-gal组织化学染色后呈蓝色,光镜下观察蓝染细胞占骨骼肌细胞总数的10%~20%(图6)。
(2)pCMV-IL2、pRSV-IL2转染的骨骼肌细胞经ABC免疫组织化学染色后,阳性细胞呈褐色,阳性细胞占总数的10%,细胞核深染,含不同启动子的两种质粒的表达情况未见差别(图7,8)。
, http://www.100md.com
图4 pGEM-IL2酶切鉴定图
Fig.4 Restritive digestion and identification of recombinant vector pGEM-IL2
F:λDNA/HindⅢ+EcoRⅠ Marker G:pGEM-IL2/XbaⅠ反向[0.4kb,3.8kb] H:pGEM-IL2/XbaⅠ正向[0.6kb,3.6kb] I:pGEM-IL2/HindⅢ[4.2kb] J:pGEM-IL2/EcoRⅠ[4.2kb] K:λDNA/HindⅢ Marker
图5 pCMV-IL2和pRSV-IL2酶切鉴定图
, http://www.100md.com
Fig.5 Restrictive digestion and identification of mammalian
expression vectors pCMV-IL2 and pRSV-IL2
A:λDNA/HindⅢ+EcoRⅠ marker B:pRSV-IL2/StuⅠ[0.7kb,4.3kb] C:pRSV-IL2/ApaⅠ[4.0kb] D:pRSV-IL2/XbaⅠ[0.7kb,4.3kb] E:λDNA/HindⅢ+EcoRⅠ Marker F:pCMV-IL2/XbaⅠ[0.6kb,4.7kb] G:pCMV-IL2/stuⅠ[0.7kb,4.6kb] H:pCMV-IL2/EcoRⅠ[5.3kb] I:pCMV-IL2/HindⅢ[5.3kb] J:λDNA/HindⅢ marker
, 百拇医药
图6 免疫组织化学方法检测LacZ基因在大鼠原代培养骨骼肌中的表达
Fig.6 Detection of LacZ gene expression in primary skeletal
muscle cell of the rat by immunohistochemical stain.
图7 免疫组织化学方法检测pCMV-IL2在大鼠原代培养骨骼肌中的表达
Fig.7 Detection of pCMV-IL2 expression in primary skeletal
muscle cell of the rat by immunohistochemical stain.
, 百拇医药
图8 免疫组织化学方法检测pRSV-IL2在大鼠原代培养骨骼肌中的表达
Fig.7 Detection of pRSV-IL2 expression in primary skeletal
muscle cell of the rat by immunohistochemical stain.
讨 论
目前,基因治疗中所遇困难之一是遗传修饰的各类细胞植入体内后不能持久表达[7],而原代培养的骨骼肌细胞在保持移植后长期存活及基因表达的成功率方面优于其他细胞。
大鼠骨骼肌做基因治疗的靶细胞有以下特点:(1)已有研究表明骨骼肌不仅能表达肌蛋白基因,也能表达非肌蛋白基因,如人生长激素[7]、凝血因子IX[8]和GM-CSF[9]等,而且这些基因在体内能稳定表达几个月之久,因此可以用移植的骨骼肌细胞做为异位点(ectopic site)产生重组蛋白治疗遗传性疾病、代谢性疾病或诱导免疫反应的目的;(2)外源基因即使以附加体形式存在,也可以在骨骼肌中长期表达[10],例如用Lipofectin或重组腺病毒直接注射等方法,这也许与骨骼肌纤维处于Go期,较稳定有关;(3)原代培养的骨骼肌细胞能在植入成体后10d左右与宿主肌纤维融合,并且遗传修饰的肌纤维形态上无任何改变[7,8];(4)移植数月后,遗传修饰的骨骼肌细胞不仅与宿主肌纤维融合,其中存在一小部分静止期的肌肉前体细胞即遗传修饰的干细胞,它们仍具有重新再生的能力,这就进一步保证移植后的骨骼肌能长期稳定表达外源基因[8]。
, 百拇医药
骨骼肌上述特征,应看作适于做人白介素-2基因治疗肿瘤的载体。如果将IL2基因修饰的骨骼肌细胞移植到肿瘤附近,有理由相信其应可成为一个长期稳定的、生理量的白介素-2的分泌源。
本研究成功重组了质粒pCMV-IL2和pRSV-IL2并转入原代培养的骨骼肌细胞,看到了的确可以表达白介素-2,尽管有文献说不同启动子会产生不同基因表达水平,但我们看到的两种质粒(pCMV-IL2和pRSV-IL2)的表达情况基本相同。此外我们采用Lipofectin与质粒DNA混合物的方法进行基因转移,这就克服了以病毒为基因转移载体所存在的问题[11]。质粒DNA易于制备,纯度较病毒上清易于控制,质粒DNA注射后,免疫反应很少或几乎不存在,而使用逆转录病毒与腺病毒都会造成有免疫细胞浸润现象。此外质粒DNA与细胞染色体发生重组的可能性远远小于病毒载体,特别是逆转录病毒载体。
, 百拇医药
曹雪涛等[12]将白介素-2基因修饰的成纤维细胞,用胶原包裹后植入腹腔治疗肝癌取得一定疗效。由于骨骼肌的优点,我们有理由认为将基因修饰的骨骼肌细胞植入腹腔治疗肝癌当有更好的效果。
Fig.1 NOV mRNA neurons in ventral region of the spinal cord at 16 weeks of gestation age.The strong hybridization signal were localized in the cytoplasm. ×100
Fig.2 NOV mRNA neurons in principal nucleus of inferior olive at 16 weeks of gestation age the density of positive cells were high. ×40
, http://www.100md.com
Fig.3 The density of NOV mRNA in principal nucleus of inferior oliveat 25 weeks of gestation age were lower than that of 16 weeks of gestation age,but the positive signal were stronger. ×100
Fig.4 NOV mRNA neurons were widely distributed throughout the principal nucleus of inferior olive at 28 weeks of gestation age. ×40
Fig.5 NOV mRNA neurons in gracile nucleus at 38 weeks of age.There are three types of positive neurons:large,middle and small in size. ×100
, http://www.100md.com
Fig.6 NOV mRNA neurons distributed in striatum at 38 weeks of gestation age. ×40
Fig.7 NOV mRNA neurons localized in Ⅴ and Ⅵ layer of cerebral cortex of parietal lobe were large pyramidal cells. ×100
△ Beijing Institute for Neuroscience,Capital University of Medical Sciences,Beijing 100054,China
参考文献
[1]Blankenstein T,Qin Z.Cancer vaccines in gene therapy.Gene Therapy,1996,3(2):95
, http://www.100md.com
[2]Cordier L,Duffour MT,Sabourin JC,et al.Complete recovery of mice from a pre-established tumor by direct intratumoral delivery of an adenovirus vector harboring the murine IL2 gene.Gene Therapy,1995,2(1):16
[3]Sobol RE,Fakhrai H,Shawler D,et al.Interleukin-2 gene therapy in a patient with glioblastoma.Gene Therapy,1995,2(2):164
[4]Foe R,Guarini A,Cronin K,et al.Cytokine gene therapy:a new stragtegy for the management of cancer patients.Nat Immun,1994,13(2-3):65
, 百拇医药
[5]金冬雁,黎孟枫译.分子克隆实验指南.第2版,北京:科学出版社,1992
[6]郑少鹏,田竟生,徐群渊,等.LacZ基因在体内外骨骼肌中的表达.首都医学院学报,1995,16(2):85
[7]Dhawan J,Pan LC,Pavlath,et al.Systemic delivery of human growth hormone by injection of genetically engineered myoblasts.Science,1991,254(5037):1507
[8]Yao SN,Kurack K.Implanted myoblasts not only fuse with myofibers but also survive as muscle precuror cells.Journal of cell Science,1993,105:957
, 百拇医药
[9]Bonham L,Palmer T,Miller AD.Prolonged expression of therapeutic levels of human granulocyte colony-stimulating factor in rats following gene transfer to skeletal muscle.Human Gene Therapy,1996,7(12):1423
[10]Karpacti G,Acsadi G.The potential for gene therapy in Duchenne muscular dystropy and other genetic muscle disease.Muscle Nerve,1993,16(11):1141
[11]Davis HL,Demeneix BA,Quantin B,et al,Plasmid DNA is superior to viral vectors for direct gene transfer into adult mouse skeletal muscle.Human Gene Therapy,1993,4:733
[12]曹雪涛,章卫平,陶群,等.成纤维细胞介导的白细胞介素2基因疗法的免疫增强作用及其抗肿瘤效果.中华医学杂志,1995,75(9):521
收稿1997-10 修回1998-07, 百拇医药