人胚胎中枢神经系统NOVmRNA神经元的发育——原位杂交研究*
作者:苏炳银 蔡文琴 张成岗 Perbal B
单位:苏炳银 蔡文琴 张成岗(第三军医大学组织学胚胎学教研室,重庆 400038 Perbal B(Universite Paris Ⅶ,Paris,France)
关键词:肾母细胞瘤过度表达基因-mRNA;;中枢神经系统;发育;原位杂交;人胚胎
解剖学报990113
【摘要】 目的 研究人胚胎中枢神经系统NOV mRNA神经元的发育。 方法 地高辛标记的cRNA探针原位杂交技术。 结果 (1)脊髓:第16周人胚胎脊髓腹侧出现NOV mRNA神经元,为大型神经元,至第28周扩展到后角中间神经元,第38周中央灰质中阳性神经元明显。(2)延髓:第16周延髓观察到下橄榄核、舌下神经核、迷走神经背核均有阳性神经元分布,至第28周,三叉神经脊束核和楔束副核检测到阳性神经元;(3)脑桥、中脑和间脑:第32周脑桥展神经核、中脑红核和黑质、丘脑腹外侧核和背内侧核均有阳性神经元分布。(4)大脑:第32周纹状体有较多标记神经元,第38周大脑皮质顶叶阳性神经元明显。以上结果表明NOV mRNA神经元在人胚胎中枢神经系统中,首先在低级中枢出现,在高级中枢中逐渐发育;各胎龄标本中所观察到的阳性神经元多位于支配躯体运动的神经核团;随着胚胎中枢神经系统的发育,NOV mRNA神经元逐渐增多,这与其他原癌基因在胚胎发育的早期表达高,而后降低不同。 结论 在人胚胎发育过程中NOV基因对神经系统的分化和进一步的功能活动可能起重要调节作用,且这种作用逐渐增强。
, 百拇医药
DEVELOPMENT OF NOV mRNA NEURONS IN HUMAN FETAL
CENTRAL NERVOUS SYSTEM——IN SITU
HYBRIDIZATION STUDY BY cRNA PROBE
Su Bingyin, Cai Wenqin△, Zhang Chenggang, Perbal B
(Department of Histology and Embryology,The Third Military Medical University,Chongqing;
*Universite Paris Ⅶ, Paris)
, 百拇医药
【Abstract】 Objective To examine the development of nephroblastoma overexpressed gene (NOV)mRNA neurons in fetal human central nervous system.Methods In situ hybridization histochemistry using digoxigenin-labelled cRNA probes.Results 1.Spinal cord:neurons expressing NOV mRNA were detected first in ventral region of the spinal cord at 16 weeks of gestation age.In 28 weeks old embryo positive neurons were found in a dorsal region of the spinal cord.At 38 weeks of gestation age the positive neurons were also observed in central gray matter.2.Madulla:NOV mRNA neurons were detected in principal nucleus of inferior olive,hypoglossal nucleus and dorsal motor nucleus of vagus at 16 weeks of gestation age.In 28 weeks old embryo nucleus of the spinal tract of the trigeminal and cuneate nucleus showed labeling neurons.3. Pons,midbrain and diencephalon:In 38 weeks old embryo NOV mRNA neurons were found in abducens nucleus of pons,red nucleus and substantia nigra of midbrain,ventral posterolateral and mediodorsal thalamic nucleus.4. Cerebrum:A high labeling was found in striatum at 38 weeks of gestation age.The positive neurons were also found in cerebral cortex of parietal lobe.These data show that NOV mRNA neurons were detected first in lower central nervous system,and then observed gradually in higher central nervous system of human embryo.Most of the NOV mRNA neurons were localized in the nucleus governing somatic motor.It is characterized that NOV mRNA neurons increase gradually during the early development of central nervous system.This character is quite different from the other proto-oncogenes which highly express in early development and then gradually decrease to the low level at adult stage.Conclusion Our results indicated that NOV gene might play an important role in the development and differentiation of the neurons within the central nervous system.
, http://www.100md.com
【Key words】 NOV-mRNA; Central nervous system; Development;In situ hybridization histochemistry; Human embryo
NOV基因是法国Perbal B等人于1991年发现的,由于在鸡肾母细胞瘤中高表达,故命名为肾母细胞瘤过度表达基因(nephroblastoma overexpressed gene,NOV),随后的研究表明它是原癌基因的一种。现在已经克隆出人的NOV基因(NOVH),定位于染色体8q24.1。NOV基因高度保守,编码产物(NOV蛋白)是一种胰岛素样生长因子(insulin-like growth factor,IGF)结合蛋白(IGF-binding protein,IGFBP),通过调节IGFs与其受体结合而发挥作用[1,2]。Northern印迹杂交实验结果显示,在鸡胚胎和成体脑组织中有一定量的NOV mRNA存在。苏炳银等用原位杂交方法证实在成年大鼠中枢神经系统中NOV mRNA分布广泛,提示在鸡及大鼠中枢神经系统中NOV基因可能起着重要的作用[3~5]。深入进行该基因在神经系统发育中表达的研究,探讨它与胚胎发育是否、以及如何相关都具有重要意义。而目前关于NOV原癌基因在神经系统发育过程中的表达国内外尚未见报道。因此,本实验拟用原位杂交方法对人胚胎中枢神经系统NOV mRNA神经元的发育进行研究,并进而探讨NOV基因与神经系统发育的相关性及对神经系统可能的调控作用。
, 百拇医药
材料和方法
1. 试剂
限制性内切酶XbaI、地高辛标记试剂盒(SP6/T7)、抗地高辛抗体(工作浓度1∶1 000)、碱性磷酸酶显色剂NBT/BCIP(工作浓度1∶100)均购自德国Boehringer Mannheim公司。
2. 材料
意外死亡胎儿11例。根据临床记录,胎儿顶臀长,顶跟长及体重综合确定,其胎龄分别为16周2例,18周1例,20周1例,25周3例,28周1例,32周2例,38周1例。胎儿在死亡3h以内迅速用生理盐水经心脏快速冲洗,继而用冷(4℃)Zamboni液1 000~3 000ml灌注固定取脑和脊髓在上述固定液中固定1h后,分割切取顶叶皮质、颞叶皮质、枕叶皮质、丘脑、下丘脑、小脑、中脑、脑桥、延髓和脊髓0.7cm×0.7cm标本块于Zamboni液中后固定4h,置30%蔗糖和Zamboni液中过夜(4℃),30μm厚连续冰冻切片,漂于Zamboni液中备用。
, 百拇医药
3. cRNA核酸探针的制备
含NOV原癌基因重组质粒(pBX1.5)按氯化钙法程序操作[6]。经宿主菌HB101(本室吴康博士惠赠)扩增,按碱裂解法分离纯化,所扩增质粒(长度4.5kb)经限制性内切酶XbaI酶切为3.5kb和1kb两个片断。回收含T7启动子的3.5kb片断,采用地高辛标记系统体外转录成含624nt的cRNA探针。
4. 原位杂交
用漂浮法进行NOV mRNA原位杂交组织化学染色[6]:0.1mol/L PBS(pH7.2)漂洗5min×3次,0.1mol/L甘氨酸/PBS漂洗5min,0.3%Triton X-100/PBS漂洗25min,蛋白酶K(2μg/L 37℃)孵育25min(于0.1mol/L Tris-HCl pH8.0;0.05mol/L EDTA缓冲液中),4%多聚甲醛中漂洗5min,0.1mol/L PBS漂洗5min×3次,浸入新配制的0.1mol/L Tris-HCl(pH8.0,含0.25%乙酸酐)5min,2×SSC 10min,切片进含0.5mg/L地高辛标记的NOV cRNA探针的杂交液中42℃反应24h后,4×SSC中漂洗15min,2×SSC(含RNase A 20mg/L)中漂洗30min(37℃),1×SSC、0.5×SSC中各漂洗10min(37℃),0.05mol/L PBS漂洗10min×2次,将切片转入碱性磷酸酶标记的抗地高辛抗体中孵育4h(37℃),0.05mol/L PBS漂洗10min×3次,TSM1、TSM2中各漂洗10min×2次,继之用NBT/BCIP显色液显色[6],室温3~5h,然后裱片、脱水、DPX封片。
, http://www.100md.com
为了检验本实验的专一性和可靠性,作以下阴性对照。
(1)将切片用RNA酶进行预处理后杂交;
(2)以不含探针的杂交缓冲液取代含Dig-NOV-cRNA探针的杂交液;
(3)以正常羊血清代替羊抗Dig抗体-Ap复合物。
结果
1. 人胚胎脊髓中NOV mRNA神经元的发育
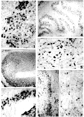
第16周人胚胎脊髓灰白质分界不明显,此间出现NOV mRNA神经元,主要分布在腹侧运动神经元区域,细胞呈圆形或卵圆形,突起较短,阳性信号集中在细胞胞浆内,颜色较深(图1)。在背侧有少量染色较浅的小型中间神经元。第28周脊髓前角NOV mRNA神经元细胞为大多角形,突起明显,阳性信号强,在背侧及中央灰质亦有较多小型神经元。第38周脊髓前角NOV mRNA神经元为Ⅷ、Ⅸ板层内大型运动神经元,具2~3个突起。中央管周密集阳性神经元,为中大型神经元。
, http://www.100md.com
2. 人胚胎延髓中NOV mRNA神经元的发育
第16周延髓下橄榄核密集多层胞体小、突起较多的阳性细胞,主要位于下橄榄核主核(图2)。中央灰质分布有着色稍淡的阳性细胞。舌下神经核、迷走神经背核、疑核标记细胞明显,密集成团。另外尚有一些散在的染色浅的阳性神经元。第25周延髓下橄榄核内阳性细胞密度降低。细胞层数减少,但这些阳性神经元突起较第16周时为大,染色更深(图3)。疑核中阳性细胞密集,着色深。第28周下橄榄核阳性细胞变得更稀疏,突起明显,在整个下橄榄核范围内均有阳性细胞分布(图4)。在舌下神经核阳性细胞为具2~3个突起的大型神经元,其腹侧由中型细胞组成、小而略为密集的Roller核亦具阳性神经元,迷走神经背核阳性细胞多且大,在迷走神经背核与舌下神经核之间还有一小的阳性神经核为中介核。此阶段三叉神经脊束核和楔束副核都有阳性细胞出现。第38周薄束核和楔束核阳性神经元明显分为大、中、小型,阳性信号强(图5)。延髓前角细胞群、内侧副橄榄核亦有较多阳性细胞。
, http://www.100md.com 3. 脑桥、中脑和间脑中NOV mRNA神经元的发育
在这些脑区NOV mRNA阳性神经元出现较晚,直到第32周脑桥展神经核,中脑红核和黑质、丘脑腹外侧核和背内侧核等出现数量不一、形态大小不同的阳性神经元。
4. 基底核与大脑皮质
第32周人胚胎纹状体出现形态各异、染色深浅不同的阳性神经元(图6)。第38周顶叶皮质中出现NOV mRNA神经元,主要定位于皮质的Ⅴ、Ⅵ层,这些神经元多为突起明显的大锥体细胞(图7),除锥体层外,其他各层也有较小型的阳性神经元。
5. 对照实验
均未发现NOV mRNA阳性神经元。
讨论
, http://www.100md.com 以地高辛标记的NOV cRNA探针原位杂交组织化学技术研究了人胚胎中枢神经系统NOV mRNA神经元的发育。第16周人胚胎脊髓腹侧、延髓下橄榄核、舌下神经核、迷走神经背核均出现NOV mRNA神经元。第28周三叉神经脊束核和楔束副核观察到阳性神经元。第32周脑桥展神经核、中脑红核和黑质、丘脑腹外侧核和背内侧核以及第38周大脑纹状体、顶叶皮质显示NOV mRNA稳定的表达。结果表明,在人胚胎中枢神经系统中NOV mRNA神经元,首先在低级中枢出现,然后在高级中枢中逐渐发育;阳性神经核团大多为运动核团,我们推测NOV基因的表达可能对神经系统的分化和进一步的功能活动起重要的调节作用。有趣的是,随着胚胎发育的进程,NOV基因的表达逐渐增强。这与其他原癌基因在胚胎发育早期表达量高而后降低不同[7,8]。据苏炳银等[5]的观察,NOV mRNA在成年大鼠中枢神经系统内表达广泛,包括大脑皮层、基底核、海马、丘脑和下丘脑的多数核团、脑干和脊髓均有NOV mRNA阳性神经元分布。这与本实验观测到的人胚胎中枢神经系统发育中NOV基因的表达逐渐增强的结果相符。
, 百拇医药
NOV基因是法国巴黎第七大学居里研究所的Perbal B等人于1991年将一种成髓细胞性白血病相关病毒(myelobastosis-associated virus type 1,MAV1)诱导产生鸡肾母细胞瘤而克隆出的一种原癌基因,该基因编码一种32kD富含半胱氨酸的分泌性多肽[3],属于即刻早期反应蛋白家族的一员。后来证实它是胰岛素样生长因子结合蛋白的一种。尽管人们对IGF结合蛋白的作用还不十分清楚,但已经认识到它在调节IGFs与其受体结合方面可能起关键性作用[9,10]。本研究证实在人胚胎中枢神经系统发育过程中有NOV mRNA神经元的广泛分布,可以推测NOV基因可能通过IGF介导的信号传递系统而对神经系统进行调节。
原癌基因(proto-oncogene)广泛存在于真核细胞基因组中,这些基因高度保守,其表达产物属于复杂的细胞信号网络分子,它们或作为细胞外的配体,或细胞生长因子而起作用;有的作为质膜上的受体,或作为胞质内的信号传递分子,或核内转录因子参与细胞生长、分化、学习和记忆及神经功能可塑性变化过程[11,12]。Bradshaw等[13]发现细胞分化的降低伴随有细胞间缝隙连接的增多与IGFBP的增加,提示IGFBP可能与细胞间信号传递密切相关。NOV基因是否及如何参与神经细胞之间或神经细胞与胶质细胞之间的信号传递尚有待进一步研究。
, 百拇医药
本文承蒙第三军医大学电教中心徐小红同志协助制作照片,特此致谢!
图版说明
图1 第16周脊髓腹侧NOV mRNA神经元,细胞呈大多角形,杂交信号集中在细胞胞浆内,颜色较深 ×100
图2 第16周延髓下橄榄核NOV mRNA神经元多而密集 ×40
图3 第25周延髓下橄榄核内阳性细胞密度降低,细胞层数少而阳性信号强 ×40
图4 第28周延髓下橄榄核阳性细胞分布广泛 ×40
图5 第38周延髓薄束核NOV mRNA神经元明显分为大、中、小型,阳性信号强 ×100
, 百拇医药
图6 第32周纹状体内密集的NOV mRNA神经元,呈线状分布 ×40
图7 第38周顶叶皮质中NOV mRNA神经元位于皮质的Ⅴ、Ⅵ层,为突起明显的大锥体细胞 ×100
Fig.1 NOV mRNA neurons in ventral region of the spinal cord at 16 weeks of gestation age.The strong hybridization signal were localized in the cytoplasm. ×100
Fig.2 NOV mRNA neurons in principal nucleus of inferior olive at 16 weeks of gestation age the density of positive cells were high. ×40
, 百拇医药
Fig.3 The density of NOV mRNA in principal nucleus of inferior oliveat 25 weeks of gestation age were lower than that of 16 weeks of gestation age,but the positive signal were stronger. ×100
Fig.4 NOV mRNA neurons were widely distributed throughout the principal nucleus of inferior olive at 28 weeks of gestation age. ×40
Fig.5 NOV mRNA neurons in gracile nucleus at 38 weeks of age.There are three types of positive neurons:large,middle and small in size. ×100
, 百拇医药
Fig.6 NOV mRNA neurons distributed in striatum at 38 weeks of gestation age. ×40
Fig.7 NOV mRNA neurons localized in Ⅴ and Ⅵ layer of cerebral cortex of parietal lobe were large pyramidal cells. ×100
* 95全军科研基金资助课题(No.96M090)
现在军事医学科学院二所三室工作
△ Department of Histology and Embryology,The Third Military Medical University,Chongqing 400038,China
, http://www.100md.com
参考文献
[1]Martinerie C,Viegas-pequignot E,Guenard I,et al.Physical mapping of human loci homologous to the chicken nov proto-oncgene.Oncogene,1992,7(12):2529
[2]Martinerie C,Huff V,Joubert I,et al.Structural analysis of the human nov proto-oncogene and expression in Wilms′ tumor.Oncogene,1994,9(9):2729
[3]Joliot V,Martinerie C,Dambrine G,et al.Proviral rearrangements and overexpression of a new cellular gene(nov) in myeloblastosis-associaded virus type l-induced nephroblastomas.Molecular and Cellular Biology,1992,12(1):10
, 百拇医药
[4]Perbal B,Contribution of MAV-1-induced nephroblastoma to the study of genes involved in human Wilms′ tumor development.Crit Rev Oncog,1994,5(6):589
[5]苏炳银,蔡文琴,张成岗,等.肾母细胞瘤过度表达基因mRNA在成年大鼠中枢神经系统的原位杂交定位.解剖学报,1998,29(2):151
[6]蔡文琴,王伯云主编.实用免疫细胞化学与核酸分子杂交技术.成都:四川科学技术出版社,1994:354~434
[7]Ringstedt T,Lagercrantz H.Persson H.Expression of members of the trk family in the developing postnatal rat brain.Brain Res Dev Brain Res,1993,72(1):119
, 百拇医药
[8]Eileen F.Grady,Manfred S,Werner R.Expression of N-myc and C-src during the development of fetal human brain.Cancer research,1987,47(11):2931
[9]Flora de Pablo,Enrique J de la Rosa.The developing CNS:a scenario for the action of proinsulin,insulin and insulin-like growth factors.Trend in Neuroscience,1995,18(3):143
[10]周廷冲主编.多肽生长因子.北京:中国科学技术出版社,1992:187~208
[11]Baserga R.Oncogenes and the strategy of growth factors.Cell,1994,79(16):9270
, 百拇医药
[12]Fults DW.angiogenic factors.Science,1987,253(11);442
[13]Bradshaw SL,Naus CC,Zhu D,et al.Alterations in the synthesis of insulin-like growth factor binding proteins and insulin-like growth factors in rat C6 glioma cells transfected with a gap juction connexin43 cDNA. Regul Pept,1993,48(1-2):99
收稿1997-10 修回1998-05, 百拇医药
单位:苏炳银 蔡文琴 张成岗(第三军医大学组织学胚胎学教研室,重庆 400038 Perbal B(Universite Paris Ⅶ,Paris,France)
关键词:肾母细胞瘤过度表达基因-mRNA;;中枢神经系统;发育;原位杂交;人胚胎
解剖学报990113
【摘要】 目的 研究人胚胎中枢神经系统NOV mRNA神经元的发育。 方法 地高辛标记的cRNA探针原位杂交技术。 结果 (1)脊髓:第16周人胚胎脊髓腹侧出现NOV mRNA神经元,为大型神经元,至第28周扩展到后角中间神经元,第38周中央灰质中阳性神经元明显。(2)延髓:第16周延髓观察到下橄榄核、舌下神经核、迷走神经背核均有阳性神经元分布,至第28周,三叉神经脊束核和楔束副核检测到阳性神经元;(3)脑桥、中脑和间脑:第32周脑桥展神经核、中脑红核和黑质、丘脑腹外侧核和背内侧核均有阳性神经元分布。(4)大脑:第32周纹状体有较多标记神经元,第38周大脑皮质顶叶阳性神经元明显。以上结果表明NOV mRNA神经元在人胚胎中枢神经系统中,首先在低级中枢出现,在高级中枢中逐渐发育;各胎龄标本中所观察到的阳性神经元多位于支配躯体运动的神经核团;随着胚胎中枢神经系统的发育,NOV mRNA神经元逐渐增多,这与其他原癌基因在胚胎发育的早期表达高,而后降低不同。 结论 在人胚胎发育过程中NOV基因对神经系统的分化和进一步的功能活动可能起重要调节作用,且这种作用逐渐增强。
, 百拇医药
DEVELOPMENT OF NOV mRNA NEURONS IN HUMAN FETAL
CENTRAL NERVOUS SYSTEM——IN SITU
HYBRIDIZATION STUDY BY cRNA PROBE
Su Bingyin, Cai Wenqin△, Zhang Chenggang, Perbal B
(Department of Histology and Embryology,The Third Military Medical University,Chongqing;
*Universite Paris Ⅶ, Paris)
, 百拇医药
【Abstract】 Objective To examine the development of nephroblastoma overexpressed gene (NOV)mRNA neurons in fetal human central nervous system.Methods In situ hybridization histochemistry using digoxigenin-labelled cRNA probes.Results 1.Spinal cord:neurons expressing NOV mRNA were detected first in ventral region of the spinal cord at 16 weeks of gestation age.In 28 weeks old embryo positive neurons were found in a dorsal region of the spinal cord.At 38 weeks of gestation age the positive neurons were also observed in central gray matter.2.Madulla:NOV mRNA neurons were detected in principal nucleus of inferior olive,hypoglossal nucleus and dorsal motor nucleus of vagus at 16 weeks of gestation age.In 28 weeks old embryo nucleus of the spinal tract of the trigeminal and cuneate nucleus showed labeling neurons.3. Pons,midbrain and diencephalon:In 38 weeks old embryo NOV mRNA neurons were found in abducens nucleus of pons,red nucleus and substantia nigra of midbrain,ventral posterolateral and mediodorsal thalamic nucleus.4. Cerebrum:A high labeling was found in striatum at 38 weeks of gestation age.The positive neurons were also found in cerebral cortex of parietal lobe.These data show that NOV mRNA neurons were detected first in lower central nervous system,and then observed gradually in higher central nervous system of human embryo.Most of the NOV mRNA neurons were localized in the nucleus governing somatic motor.It is characterized that NOV mRNA neurons increase gradually during the early development of central nervous system.This character is quite different from the other proto-oncogenes which highly express in early development and then gradually decrease to the low level at adult stage.Conclusion Our results indicated that NOV gene might play an important role in the development and differentiation of the neurons within the central nervous system.
, http://www.100md.com
【Key words】 NOV-mRNA; Central nervous system; Development;In situ hybridization histochemistry; Human embryo
NOV基因是法国Perbal B等人于1991年发现的,由于在鸡肾母细胞瘤中高表达,故命名为肾母细胞瘤过度表达基因(nephroblastoma overexpressed gene,NOV),随后的研究表明它是原癌基因的一种。现在已经克隆出人的NOV基因(NOVH),定位于染色体8q24.1。NOV基因高度保守,编码产物(NOV蛋白)是一种胰岛素样生长因子(insulin-like growth factor,IGF)结合蛋白(IGF-binding protein,IGFBP),通过调节IGFs与其受体结合而发挥作用[1,2]。Northern印迹杂交实验结果显示,在鸡胚胎和成体脑组织中有一定量的NOV mRNA存在。苏炳银等用原位杂交方法证实在成年大鼠中枢神经系统中NOV mRNA分布广泛,提示在鸡及大鼠中枢神经系统中NOV基因可能起着重要的作用[3~5]。深入进行该基因在神经系统发育中表达的研究,探讨它与胚胎发育是否、以及如何相关都具有重要意义。而目前关于NOV原癌基因在神经系统发育过程中的表达国内外尚未见报道。因此,本实验拟用原位杂交方法对人胚胎中枢神经系统NOV mRNA神经元的发育进行研究,并进而探讨NOV基因与神经系统发育的相关性及对神经系统可能的调控作用。
, 百拇医药
材料和方法
1. 试剂
限制性内切酶XbaI、地高辛标记试剂盒(SP6/T7)、抗地高辛抗体(工作浓度1∶1 000)、碱性磷酸酶显色剂NBT/BCIP(工作浓度1∶100)均购自德国Boehringer Mannheim公司。
2. 材料
意外死亡胎儿11例。根据临床记录,胎儿顶臀长,顶跟长及体重综合确定,其胎龄分别为16周2例,18周1例,20周1例,25周3例,28周1例,32周2例,38周1例。胎儿在死亡3h以内迅速用生理盐水经心脏快速冲洗,继而用冷(4℃)Zamboni液1 000~3 000ml灌注固定取脑和脊髓在上述固定液中固定1h后,分割切取顶叶皮质、颞叶皮质、枕叶皮质、丘脑、下丘脑、小脑、中脑、脑桥、延髓和脊髓0.7cm×0.7cm标本块于Zamboni液中后固定4h,置30%蔗糖和Zamboni液中过夜(4℃),30μm厚连续冰冻切片,漂于Zamboni液中备用。
, 百拇医药
3. cRNA核酸探针的制备
含NOV原癌基因重组质粒(pBX1.5)按氯化钙法程序操作[6]。经宿主菌HB101(本室吴康博士惠赠)扩增,按碱裂解法分离纯化,所扩增质粒(长度4.5kb)经限制性内切酶XbaI酶切为3.5kb和1kb两个片断。回收含T7启动子的3.5kb片断,采用地高辛标记系统体外转录成含624nt的cRNA探针。
4. 原位杂交
用漂浮法进行NOV mRNA原位杂交组织化学染色[6]:0.1mol/L PBS(pH7.2)漂洗5min×3次,0.1mol/L甘氨酸/PBS漂洗5min,0.3%Triton X-100/PBS漂洗25min,蛋白酶K(2μg/L 37℃)孵育25min(于0.1mol/L Tris-HCl pH8.0;0.05mol/L EDTA缓冲液中),4%多聚甲醛中漂洗5min,0.1mol/L PBS漂洗5min×3次,浸入新配制的0.1mol/L Tris-HCl(pH8.0,含0.25%乙酸酐)5min,2×SSC 10min,切片进含0.5mg/L地高辛标记的NOV cRNA探针的杂交液中42℃反应24h后,4×SSC中漂洗15min,2×SSC(含RNase A 20mg/L)中漂洗30min(37℃),1×SSC、0.5×SSC中各漂洗10min(37℃),0.05mol/L PBS漂洗10min×2次,将切片转入碱性磷酸酶标记的抗地高辛抗体中孵育4h(37℃),0.05mol/L PBS漂洗10min×3次,TSM1、TSM2中各漂洗10min×2次,继之用NBT/BCIP显色液显色[6],室温3~5h,然后裱片、脱水、DPX封片。
, http://www.100md.com
为了检验本实验的专一性和可靠性,作以下阴性对照。
(1)将切片用RNA酶进行预处理后杂交;
(2)以不含探针的杂交缓冲液取代含Dig-NOV-cRNA探针的杂交液;
(3)以正常羊血清代替羊抗Dig抗体-Ap复合物。
结果
1. 人胚胎脊髓中NOV mRNA神经元的发育
第16周人胚胎脊髓灰白质分界不明显,此间出现NOV mRNA神经元,主要分布在腹侧运动神经元区域,细胞呈圆形或卵圆形,突起较短,阳性信号集中在细胞胞浆内,颜色较深(图1)。在背侧有少量染色较浅的小型中间神经元。第28周脊髓前角NOV mRNA神经元细胞为大多角形,突起明显,阳性信号强,在背侧及中央灰质亦有较多小型神经元。第38周脊髓前角NOV mRNA神经元为Ⅷ、Ⅸ板层内大型运动神经元,具2~3个突起。中央管周密集阳性神经元,为中大型神经元。
, http://www.100md.com
2. 人胚胎延髓中NOV mRNA神经元的发育
第16周延髓下橄榄核密集多层胞体小、突起较多的阳性细胞,主要位于下橄榄核主核(图2)。中央灰质分布有着色稍淡的阳性细胞。舌下神经核、迷走神经背核、疑核标记细胞明显,密集成团。另外尚有一些散在的染色浅的阳性神经元。第25周延髓下橄榄核内阳性细胞密度降低。细胞层数减少,但这些阳性神经元突起较第16周时为大,染色更深(图3)。疑核中阳性细胞密集,着色深。第28周下橄榄核阳性细胞变得更稀疏,突起明显,在整个下橄榄核范围内均有阳性细胞分布(图4)。在舌下神经核阳性细胞为具2~3个突起的大型神经元,其腹侧由中型细胞组成、小而略为密集的Roller核亦具阳性神经元,迷走神经背核阳性细胞多且大,在迷走神经背核与舌下神经核之间还有一小的阳性神经核为中介核。此阶段三叉神经脊束核和楔束副核都有阳性细胞出现。第38周薄束核和楔束核阳性神经元明显分为大、中、小型,阳性信号强(图5)。延髓前角细胞群、内侧副橄榄核亦有较多阳性细胞。
, http://www.100md.com 3. 脑桥、中脑和间脑中NOV mRNA神经元的发育
在这些脑区NOV mRNA阳性神经元出现较晚,直到第32周脑桥展神经核,中脑红核和黑质、丘脑腹外侧核和背内侧核等出现数量不一、形态大小不同的阳性神经元。
4. 基底核与大脑皮质
第32周人胚胎纹状体出现形态各异、染色深浅不同的阳性神经元(图6)。第38周顶叶皮质中出现NOV mRNA神经元,主要定位于皮质的Ⅴ、Ⅵ层,这些神经元多为突起明显的大锥体细胞(图7),除锥体层外,其他各层也有较小型的阳性神经元。
5. 对照实验
均未发现NOV mRNA阳性神经元。
讨论
, http://www.100md.com 以地高辛标记的NOV cRNA探针原位杂交组织化学技术研究了人胚胎中枢神经系统NOV mRNA神经元的发育。第16周人胚胎脊髓腹侧、延髓下橄榄核、舌下神经核、迷走神经背核均出现NOV mRNA神经元。第28周三叉神经脊束核和楔束副核观察到阳性神经元。第32周脑桥展神经核、中脑红核和黑质、丘脑腹外侧核和背内侧核以及第38周大脑纹状体、顶叶皮质显示NOV mRNA稳定的表达。结果表明,在人胚胎中枢神经系统中NOV mRNA神经元,首先在低级中枢出现,然后在高级中枢中逐渐发育;阳性神经核团大多为运动核团,我们推测NOV基因的表达可能对神经系统的分化和进一步的功能活动起重要的调节作用。有趣的是,随着胚胎发育的进程,NOV基因的表达逐渐增强。这与其他原癌基因在胚胎发育早期表达量高而后降低不同[7,8]。据苏炳银等[5]的观察,NOV mRNA在成年大鼠中枢神经系统内表达广泛,包括大脑皮层、基底核、海马、丘脑和下丘脑的多数核团、脑干和脊髓均有NOV mRNA阳性神经元分布。这与本实验观测到的人胚胎中枢神经系统发育中NOV基因的表达逐渐增强的结果相符。
, 百拇医药
NOV基因是法国巴黎第七大学居里研究所的Perbal B等人于1991年将一种成髓细胞性白血病相关病毒(myelobastosis-associated virus type 1,MAV1)诱导产生鸡肾母细胞瘤而克隆出的一种原癌基因,该基因编码一种32kD富含半胱氨酸的分泌性多肽[3],属于即刻早期反应蛋白家族的一员。后来证实它是胰岛素样生长因子结合蛋白的一种。尽管人们对IGF结合蛋白的作用还不十分清楚,但已经认识到它在调节IGFs与其受体结合方面可能起关键性作用[9,10]。本研究证实在人胚胎中枢神经系统发育过程中有NOV mRNA神经元的广泛分布,可以推测NOV基因可能通过IGF介导的信号传递系统而对神经系统进行调节。
原癌基因(proto-oncogene)广泛存在于真核细胞基因组中,这些基因高度保守,其表达产物属于复杂的细胞信号网络分子,它们或作为细胞外的配体,或细胞生长因子而起作用;有的作为质膜上的受体,或作为胞质内的信号传递分子,或核内转录因子参与细胞生长、分化、学习和记忆及神经功能可塑性变化过程[11,12]。Bradshaw等[13]发现细胞分化的降低伴随有细胞间缝隙连接的增多与IGFBP的增加,提示IGFBP可能与细胞间信号传递密切相关。NOV基因是否及如何参与神经细胞之间或神经细胞与胶质细胞之间的信号传递尚有待进一步研究。
, 百拇医药
本文承蒙第三军医大学电教中心徐小红同志协助制作照片,特此致谢!
图版说明
图1 第16周脊髓腹侧NOV mRNA神经元,细胞呈大多角形,杂交信号集中在细胞胞浆内,颜色较深 ×100
图2 第16周延髓下橄榄核NOV mRNA神经元多而密集 ×40
图3 第25周延髓下橄榄核内阳性细胞密度降低,细胞层数少而阳性信号强 ×40
图4 第28周延髓下橄榄核阳性细胞分布广泛 ×40
图5 第38周延髓薄束核NOV mRNA神经元明显分为大、中、小型,阳性信号强 ×100
, 百拇医药
图6 第32周纹状体内密集的NOV mRNA神经元,呈线状分布 ×40
图7 第38周顶叶皮质中NOV mRNA神经元位于皮质的Ⅴ、Ⅵ层,为突起明显的大锥体细胞 ×100
Fig.1 NOV mRNA neurons in ventral region of the spinal cord at 16 weeks of gestation age.The strong hybridization signal were localized in the cytoplasm. ×100
Fig.2 NOV mRNA neurons in principal nucleus of inferior olive at 16 weeks of gestation age the density of positive cells were high. ×40
, 百拇医药
Fig.3 The density of NOV mRNA in principal nucleus of inferior oliveat 25 weeks of gestation age were lower than that of 16 weeks of gestation age,but the positive signal were stronger. ×100
Fig.4 NOV mRNA neurons were widely distributed throughout the principal nucleus of inferior olive at 28 weeks of gestation age. ×40
Fig.5 NOV mRNA neurons in gracile nucleus at 38 weeks of age.There are three types of positive neurons:large,middle and small in size. ×100
, 百拇医药
Fig.6 NOV mRNA neurons distributed in striatum at 38 weeks of gestation age. ×40
Fig.7 NOV mRNA neurons localized in Ⅴ and Ⅵ layer of cerebral cortex of parietal lobe were large pyramidal cells. ×100
* 95全军科研基金资助课题(No.96M090)
现在军事医学科学院二所三室工作
△ Department of Histology and Embryology,The Third Military Medical University,Chongqing 400038,China
, http://www.100md.com
参考文献
[1]Martinerie C,Viegas-pequignot E,Guenard I,et al.Physical mapping of human loci homologous to the chicken nov proto-oncgene.Oncogene,1992,7(12):2529
[2]Martinerie C,Huff V,Joubert I,et al.Structural analysis of the human nov proto-oncogene and expression in Wilms′ tumor.Oncogene,1994,9(9):2729
[3]Joliot V,Martinerie C,Dambrine G,et al.Proviral rearrangements and overexpression of a new cellular gene(nov) in myeloblastosis-associaded virus type l-induced nephroblastomas.Molecular and Cellular Biology,1992,12(1):10
, 百拇医药
[4]Perbal B,Contribution of MAV-1-induced nephroblastoma to the study of genes involved in human Wilms′ tumor development.Crit Rev Oncog,1994,5(6):589
[5]苏炳银,蔡文琴,张成岗,等.肾母细胞瘤过度表达基因mRNA在成年大鼠中枢神经系统的原位杂交定位.解剖学报,1998,29(2):151
[6]蔡文琴,王伯云主编.实用免疫细胞化学与核酸分子杂交技术.成都:四川科学技术出版社,1994:354~434
[7]Ringstedt T,Lagercrantz H.Persson H.Expression of members of the trk family in the developing postnatal rat brain.Brain Res Dev Brain Res,1993,72(1):119
, 百拇医药
[8]Eileen F.Grady,Manfred S,Werner R.Expression of N-myc and C-src during the development of fetal human brain.Cancer research,1987,47(11):2931
[9]Flora de Pablo,Enrique J de la Rosa.The developing CNS:a scenario for the action of proinsulin,insulin and insulin-like growth factors.Trend in Neuroscience,1995,18(3):143
[10]周廷冲主编.多肽生长因子.北京:中国科学技术出版社,1992:187~208
[11]Baserga R.Oncogenes and the strategy of growth factors.Cell,1994,79(16):9270
, 百拇医药
[12]Fults DW.angiogenic factors.Science,1987,253(11);442
[13]Bradshaw SL,Naus CC,Zhu D,et al.Alterations in the synthesis of insulin-like growth factor binding proteins and insulin-like growth factors in rat C6 glioma cells transfected with a gap juction connexin43 cDNA. Regul Pept,1993,48(1-2):99
收稿1997-10 修回1998-05, 百拇医药