孤儿肽在自发性高血压大鼠和家兔心血管系统的分布
作者:米立国 魏英杰 丁金凤
单位:米立国* 魏英杰 丁金凤(中国医学科学院 中国协和医科大学心血管病研究所;阜外心血管病医院,北京 100037)
关键词:孤儿肽;心血管系统;反转录-聚合酶链反应;免疫组织化学;家兔;自发性高血压大鼠
解剖学报990320
【摘要】 目的 研究孤儿肽(orphanin FQ,OFQ)在自发性高血压大鼠和家兔心血管系统的分布。 方法 采用反转录 -聚合酶链反应(RT-PCR)法和免疫组织化学方法。 结果 RT-PCR的结果显示,OFQ的前体mRNA在自发性高血压大鼠的主动脉、肺动脉、肾动静脉均有较高的表达,其表达水平与脑组织表达水平相似,心房组织也有弱的表达,但在心室组织未见OFQ前体mRNA的表达。免疫组织化学结果显示,心肌细胞OFQ免疫反应阴性,心房内膜的内皮细胞和主动脉、肾动静脉的内皮细胞及血管平滑肌细胞均含有OFQ免疫反应阳性颗粒,此外在肾小球也观察到了OFQ反应阳性细胞。 结论 OFQ可能是对心血管系统和肾脏功能有一定调节作用的调节肽,但其具体的功能及调节机制尚待进一步研究。
, 百拇医药
CARDIOVASCULAR DISTRIBUTION OF ORPHANIN FQ IN
SPONTANEOUSLY HYPERTENSIVE RAT AND RABBIT
Mi Liguo, Wei Yingjie, Ding Jinfeng△
(Cardiovascular Institute and Fu Wai Hospital, Chinese Academy of
Medical Sciences Peking Union Medical College, Beijing)
【Abstract】 Objective To investigate the cardiovascular distribution of orphanin FQ (OFQ) and OFQ precursor mRNA in spontaneously hypertensive rat(SHR) and rabbit. Methods Reverse transcription-polymerase chain reacrtion(RT-PCR), and immunohistochemical method were used. Results The expression of OFQ precursor mRNA was detected from aorta, pulmonary artery, renal artery and vein of rat at a high level comparable with the amounts of brain, and a weak expression signal could also be observed in the atrium. The positive immunoreactive OFQ was detected in the tissues of aorta, atrium and renal of rabbit, as well as in smooth cells, endothelium and glomerulus. Conclusion These observations suggest that orphanin FQ might play a role in regulating the function of cardiovascular system and kidney, but the exact underlying mechanism needs further studying.
, 百拇医药
【Key words】 Orphanin FQ; Cardiovascular system; Reverse transcription-polymerase chain reaction; Immunohistochemistry; Rabbit;Spontaneously hypertensive rat
1995年Meunier[1]和Reinscheid[2]等分别自大鼠和猪的脑组织中分离出一种新的17肽,称为孤儿肽(orphanin FQ, OFQ)或痛敏肽(nociceptin),OFQ来自一个较大的前体,与阿片肽有较高的同源性,并被证明为阿片受体样受体(opioid receptor-like receptor, ORL1)的内源性配体[1、2],故很快引起人们的关注。OFQ前体mRNA在中枢神经系统有广泛的分布,在外周组织如脾、胎儿肾、卵巢等也观察到了OFQ前体mRNA的表达[3~5],但在心血管系统是否有OFQ分布尚未见报道。此外,最近的研究证明:经静脉或侧脑室注射OFQ可引起大鼠动脉压降低和抗钠利尿等功能[6,7]。本研究用RT-PCR和免疫组织化学方法分别对自发性高血压大鼠和家兔的心血管系统进行了研究,以观察心血管组织中是否有OFQ的分布,并为进一步探讨OFQ的心血管效应及作用机制提供参考。
, 百拇医药
材料和方法
1. RT-PCR
选用体重250g的自发性高血压大鼠(spontaneously hypertensive rat,SHR),雌雄不拘,(由北京阜外医院实验动物科提供)依据Chomczynski等[8]建立的一步法提取各组织的总RNA,采用紫外吸收法进行RNA定量,各组RNA样品的A260/A280nm吸光度比值均在1.8~2.0之间。将2μg的总RNA反转录成相应的cDNA。
据已报道的OFQ前体cDNA核甘酸序列[4]合成引物,正义链引物(sense primer)为:5′-T GGA TCC CAC GGC TGC ACC ATG AA-3′,+9~+23,反义链引物(antisense primer)为:5′-GAA TTC GGC TCC TTC TGG CTA CAC ATT AC-3′,+563~+591,由Sangon公司合成,此对引物的扩增片段长为585bp。PCR参照Martin等[9]建立的方法进行。PCR条件为:94℃变性1min,56℃退火1.5min,72℃延伸2.5min,扩增30个循环。取15μl PCR产物在含有溴化乙啶的1.5%的琼脂糖凝胶上电脉,电泳结果应用Doc1000分析仪(Bio-Rad公司)进行分析。
, 百拇医药
2. 免疫组织化学染色
抗兔OFQ抗体由美国Phoenix公司提供,免疫组织化学染色试剂盒购自北京华美生物工程公司。选用体重1.8kg家兔,1.3%戊巴比妥钠麻醉后取心,主动脉,肾和脑组织用中性福尔马林固定12h以上,冰冻切片,厚10μm,0.3%H2O2封闭内源性过氧化物酶,0.1%胰蛋白酶修复抗原,25%小牛血清封片,上述各步间用PBS洗3×5min,以下染色程序按试剂盒要求进行。第一抗体的稀释度为1∶500。阴性对照省去一抗。
结果
1. RT-PCR结果
1.5%琼脂糖凝胶电脉后的影像显示:阴性对照(水)中未见任何扩增条带,心室组织未见585bp的条带,心房组织可观察到荧光信号较弱的585bp条带,主动脉、肺动脉、肾动脉和肾静脉组织均有585bp条带,其荧光信号的强度和带形与阳性对照脑组织近似,各组织内的内参照β-actin的荧光信号强度和带形一致(图1)。可见OFQ前体mRNA在主动脉、肺动脉、肾动脉和肾静脉组织均有较高表达,其表达量近似于脑组织,而在心房组织中,OFQ前体mRNA的表达水平较低。
, 百拇医药
图1 心血管系统OFQ前体mRNA的RT-PCR产物的琼脂糖
凝胶电泳结果:M.Marker,A.阳性对照(脑组织),B.心房,C.心室,D.主动脉,E.肺动脉,F.肾动脉,G.肾静脉,H.阴性对照(水)
Fig.1 Amplification of OFQ precursor mRNA in cardiovascular system by RT PCR.PCR products were
analyzed by agarose gel electrophoresis.M,molecular mass marker;A,positive control(brain);B,atrium;C,ventricle;D,aorta;E,pulmonary artery;F,renal artery,G,renal vein;H,negative control(water).
, 百拇医药
2.免疫组织化学染色结果
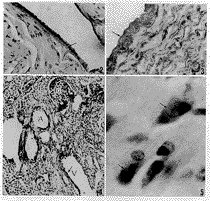
免疫反应细胞呈棕色,背底不着色或呈浅黄色。免疫组织化学染色结果与RT-PCR结果一致,并进一步确定了OFQ在各组织中的具体分布位置。在心房组织中内皮细胞呈OFQ免疫反应性,心肌细胞中未见OFQ免疫反应颗粒(图2)。主动脉组织中内皮细胞和平滑肌细胞呈OFQ免疫反应性(图3),此外,肾脏血管内膜的内皮细胞和中膜的平滑肌细胞呈现OFQ阳性反应,在肾小球内也观察到了OFQ反应细胞(图4)。阳性对照组织(大脑皮质)有OFQ阳性反应神经元(图5),阴性对照均呈阴性。
讨论
尽管OFQ与阿片肽,ORL1与阿片肽受体μ、σ和κ有较高的同源性,但OFQ不能与阿片受体结合而发挥作用,而且阿片肽也不与ORL1结合,说明OFQ有其独特的作用机制和途径。经静脉或侧脑室注射OFQ可引起大鼠动脉压降低和抗钠利尿,其反应程度与注射剂量有关,因此Kapusta等[6]认为内源性的OFQ可能通过中枢神经对机体的水电解质平衡及动脉压调节发挥重要作用。心血管系统和肾脏是否可以合成及分泌OFQ尚未见报告。本研究用RT-PCR和免疫组织化学染色方法分别对自发性高血压大鼠和家兔的心血管系统的研究结果显示:心房和血管的内皮细胞,血管平滑肌细胞和肾小球均有OFQ的分布,在肾小球尚不能确定OFQ反应阳性细胞为何种细胞,这需进一步研究确定。可见除了神经系统可合成和分泌OFQ,参与神经系统功能的调节外,心血管系统和肾脏也可合成和分泌OFQ,它们可能以自分泌或旁分泌的形式参与心血管和肾功能的调节。但也有报道[4]用Northern blot杂交技术在胎儿肾观察到OFQ前体mRNA表达,而在胎儿心和成人肾、心及大鼠肾脏均未观察到其表达。这些报道与本研究结果有所不同,推测其原因可能是Nothacker等所用Northern blot杂交技术的灵敏度较RT-PCR方法低,当组织中的mRNA表达量很低时不易被检测出来。
, 百拇医药
图2 心房:箭头示OFQ免疫反应阳性细胞——内皮细胞;m示OFQ免疫反应阴性细胞——心肌细胞.×200
图3 主动脉:内皮细胞(↑)和平滑肌细胞(s)呈OFQ免疫反应阳性.×400
图4 肾脏:动脉(A)和静脉(V)的管壁及肾小球(G)内均可见OFQ免疫反应阳性颗粒,箭头示OFQ免疫反应阳性的内皮细胞.×100
图5 阳性对照(脑组织):箭头示OFQ免反应阳性神经元.×1 000
Fig.2 Atrium:the arrow shows the OFQ immuno-reaction positive endothelium. m shows the OFQ reaction negative myocardium of atrium. ×200
, 百拇医药 Fig.3 Aorta:the OFQ immuno-reaction positive particles can be detected in epithelium(↑) and smoth cells (s)×400
Fig.4 Kidney: the OFQ immunoreaction positive particles can be detected in the artery (A), vein(V) and glomeruli(G). The arrow shows the OFQ immuno-reaction positive cells-endothelium. ×100
Fig.5 Positive control(brain):the arrows show the OFQ immuno-reaction positive neuron ×1 000
* 河北医科大学CMB学员
, 百拇医药
△ Molecular Medicine Center of Cardiovascular Institute, Chinese Academy of Medical Sciences Peking Union Medical College, Beijing 100037, China
参考文献
[1]Meunier JC, Mollereau C, Toll L, et al. Isolation and structure of the endogenous agonist of opioid receptor-like ORL1 receptor. Nature, 1995,377(12):532
[2]Reinscheid RK, Nothacker HP, Bourson A, et al. Orphanin FQ: a neuropeptide that activates an opioidlike G protein-coupled receptor. Science, 1995,270(3):792
, http://www.100md.com
[3]Mollereau C, Simons MJ, Soularue P, et al. Structure, tissue distribution and chromosomal Loca lization of the prepronociceptin gene. Proc Natl Acad Sct(USA), 1996,93(8):8666
[4]Nothacker HP, Reinschid RK, Mansour A, et al. Primary structure and tissue distribution of theorphanin FQ precursor. Proc Natl Acad Sct(USA),1996,93(8):8677
[5]Houtani T, Nishi M, Takeshima H, et al. Structure and regional distribution of nociceptin/orphaninFQ precursor. Biochem Biophys Res Commun, 1996,219(3):714
, 百拇医药
[6]Kapusta DR, Sezen SF, Change JK, et al. Diuretic and antinatriuretic responses produced by the endogenous opioid-like peptide, nociceptin(orphanin FQ). Life Sciences, 1997,60(1):15
[7]Champion HC, Kadowitz PJ. Nociceptin, an endogenous ligand for the ORL1 receptor has novel hypotensive activity in the rat. Life Sciences, 1997,60(16):241
[8]Chomczynski P, Sacchi N. Single-step method of RNA isolation by acid guanidinium thiocy-anate-phenol-chloroform extraction. Anal Biochem, 1987, 162(1):156
[9]Martin U, Michael B, John SE, et al. Altered expression of β adrenergic receptor kinase and β1-adrenergic receptors in the failing human heart. Circulation, 1993,87(2):454
收稿1998-03 修回1998-12, http://www.100md.com
单位:米立国* 魏英杰 丁金凤(中国医学科学院 中国协和医科大学心血管病研究所;阜外心血管病医院,北京 100037)
关键词:孤儿肽;心血管系统;反转录-聚合酶链反应;免疫组织化学;家兔;自发性高血压大鼠
解剖学报990320
【摘要】 目的 研究孤儿肽(orphanin FQ,OFQ)在自发性高血压大鼠和家兔心血管系统的分布。 方法 采用反转录 -聚合酶链反应(RT-PCR)法和免疫组织化学方法。 结果 RT-PCR的结果显示,OFQ的前体mRNA在自发性高血压大鼠的主动脉、肺动脉、肾动静脉均有较高的表达,其表达水平与脑组织表达水平相似,心房组织也有弱的表达,但在心室组织未见OFQ前体mRNA的表达。免疫组织化学结果显示,心肌细胞OFQ免疫反应阴性,心房内膜的内皮细胞和主动脉、肾动静脉的内皮细胞及血管平滑肌细胞均含有OFQ免疫反应阳性颗粒,此外在肾小球也观察到了OFQ反应阳性细胞。 结论 OFQ可能是对心血管系统和肾脏功能有一定调节作用的调节肽,但其具体的功能及调节机制尚待进一步研究。
, 百拇医药
CARDIOVASCULAR DISTRIBUTION OF ORPHANIN FQ IN
SPONTANEOUSLY HYPERTENSIVE RAT AND RABBIT
Mi Liguo, Wei Yingjie, Ding Jinfeng△
(Cardiovascular Institute and Fu Wai Hospital, Chinese Academy of
Medical Sciences Peking Union Medical College, Beijing)
【Abstract】 Objective To investigate the cardiovascular distribution of orphanin FQ (OFQ) and OFQ precursor mRNA in spontaneously hypertensive rat(SHR) and rabbit. Methods Reverse transcription-polymerase chain reacrtion(RT-PCR), and immunohistochemical method were used. Results The expression of OFQ precursor mRNA was detected from aorta, pulmonary artery, renal artery and vein of rat at a high level comparable with the amounts of brain, and a weak expression signal could also be observed in the atrium. The positive immunoreactive OFQ was detected in the tissues of aorta, atrium and renal of rabbit, as well as in smooth cells, endothelium and glomerulus. Conclusion These observations suggest that orphanin FQ might play a role in regulating the function of cardiovascular system and kidney, but the exact underlying mechanism needs further studying.
, 百拇医药
【Key words】 Orphanin FQ; Cardiovascular system; Reverse transcription-polymerase chain reaction; Immunohistochemistry; Rabbit;Spontaneously hypertensive rat
1995年Meunier[1]和Reinscheid[2]等分别自大鼠和猪的脑组织中分离出一种新的17肽,称为孤儿肽(orphanin FQ, OFQ)或痛敏肽(nociceptin),OFQ来自一个较大的前体,与阿片肽有较高的同源性,并被证明为阿片受体样受体(opioid receptor-like receptor, ORL1)的内源性配体[1、2],故很快引起人们的关注。OFQ前体mRNA在中枢神经系统有广泛的分布,在外周组织如脾、胎儿肾、卵巢等也观察到了OFQ前体mRNA的表达[3~5],但在心血管系统是否有OFQ分布尚未见报道。此外,最近的研究证明:经静脉或侧脑室注射OFQ可引起大鼠动脉压降低和抗钠利尿等功能[6,7]。本研究用RT-PCR和免疫组织化学方法分别对自发性高血压大鼠和家兔的心血管系统进行了研究,以观察心血管组织中是否有OFQ的分布,并为进一步探讨OFQ的心血管效应及作用机制提供参考。
, 百拇医药
材料和方法
1. RT-PCR
选用体重250g的自发性高血压大鼠(spontaneously hypertensive rat,SHR),雌雄不拘,(由北京阜外医院实验动物科提供)依据Chomczynski等[8]建立的一步法提取各组织的总RNA,采用紫外吸收法进行RNA定量,各组RNA样品的A260/A280nm吸光度比值均在1.8~2.0之间。将2μg的总RNA反转录成相应的cDNA。
据已报道的OFQ前体cDNA核甘酸序列[4]合成引物,正义链引物(sense primer)为:5′-T GGA TCC CAC GGC TGC ACC ATG AA-3′,+9~+23,反义链引物(antisense primer)为:5′-GAA TTC GGC TCC TTC TGG CTA CAC ATT AC-3′,+563~+591,由Sangon公司合成,此对引物的扩增片段长为585bp。PCR参照Martin等[9]建立的方法进行。PCR条件为:94℃变性1min,56℃退火1.5min,72℃延伸2.5min,扩增30个循环。取15μl PCR产物在含有溴化乙啶的1.5%的琼脂糖凝胶上电脉,电泳结果应用Doc1000分析仪(Bio-Rad公司)进行分析。
, 百拇医药
2. 免疫组织化学染色
抗兔OFQ抗体由美国Phoenix公司提供,免疫组织化学染色试剂盒购自北京华美生物工程公司。选用体重1.8kg家兔,1.3%戊巴比妥钠麻醉后取心,主动脉,肾和脑组织用中性福尔马林固定12h以上,冰冻切片,厚10μm,0.3%H2O2封闭内源性过氧化物酶,0.1%胰蛋白酶修复抗原,25%小牛血清封片,上述各步间用PBS洗3×5min,以下染色程序按试剂盒要求进行。第一抗体的稀释度为1∶500。阴性对照省去一抗。
结果
1. RT-PCR结果
1.5%琼脂糖凝胶电脉后的影像显示:阴性对照(水)中未见任何扩增条带,心室组织未见585bp的条带,心房组织可观察到荧光信号较弱的585bp条带,主动脉、肺动脉、肾动脉和肾静脉组织均有585bp条带,其荧光信号的强度和带形与阳性对照脑组织近似,各组织内的内参照β-actin的荧光信号强度和带形一致(图1)。可见OFQ前体mRNA在主动脉、肺动脉、肾动脉和肾静脉组织均有较高表达,其表达量近似于脑组织,而在心房组织中,OFQ前体mRNA的表达水平较低。
, 百拇医药
图1 心血管系统OFQ前体mRNA的RT-PCR产物的琼脂糖
凝胶电泳结果:M.Marker,A.阳性对照(脑组织),B.心房,C.心室,D.主动脉,E.肺动脉,F.肾动脉,G.肾静脉,H.阴性对照(水)
Fig.1 Amplification of OFQ precursor mRNA in cardiovascular system by RT PCR.PCR products were
analyzed by agarose gel electrophoresis.M,molecular mass marker;A,positive control(brain);B,atrium;C,ventricle;D,aorta;E,pulmonary artery;F,renal artery,G,renal vein;H,negative control(water).
, 百拇医药
2.免疫组织化学染色结果
免疫反应细胞呈棕色,背底不着色或呈浅黄色。免疫组织化学染色结果与RT-PCR结果一致,并进一步确定了OFQ在各组织中的具体分布位置。在心房组织中内皮细胞呈OFQ免疫反应性,心肌细胞中未见OFQ免疫反应颗粒(图2)。主动脉组织中内皮细胞和平滑肌细胞呈OFQ免疫反应性(图3),此外,肾脏血管内膜的内皮细胞和中膜的平滑肌细胞呈现OFQ阳性反应,在肾小球内也观察到了OFQ反应细胞(图4)。阳性对照组织(大脑皮质)有OFQ阳性反应神经元(图5),阴性对照均呈阴性。
讨论
尽管OFQ与阿片肽,ORL1与阿片肽受体μ、σ和κ有较高的同源性,但OFQ不能与阿片受体结合而发挥作用,而且阿片肽也不与ORL1结合,说明OFQ有其独特的作用机制和途径。经静脉或侧脑室注射OFQ可引起大鼠动脉压降低和抗钠利尿,其反应程度与注射剂量有关,因此Kapusta等[6]认为内源性的OFQ可能通过中枢神经对机体的水电解质平衡及动脉压调节发挥重要作用。心血管系统和肾脏是否可以合成及分泌OFQ尚未见报告。本研究用RT-PCR和免疫组织化学染色方法分别对自发性高血压大鼠和家兔的心血管系统的研究结果显示:心房和血管的内皮细胞,血管平滑肌细胞和肾小球均有OFQ的分布,在肾小球尚不能确定OFQ反应阳性细胞为何种细胞,这需进一步研究确定。可见除了神经系统可合成和分泌OFQ,参与神经系统功能的调节外,心血管系统和肾脏也可合成和分泌OFQ,它们可能以自分泌或旁分泌的形式参与心血管和肾功能的调节。但也有报道[4]用Northern blot杂交技术在胎儿肾观察到OFQ前体mRNA表达,而在胎儿心和成人肾、心及大鼠肾脏均未观察到其表达。这些报道与本研究结果有所不同,推测其原因可能是Nothacker等所用Northern blot杂交技术的灵敏度较RT-PCR方法低,当组织中的mRNA表达量很低时不易被检测出来。
, 百拇医药
图2 心房:箭头示OFQ免疫反应阳性细胞——内皮细胞;m示OFQ免疫反应阴性细胞——心肌细胞.×200
图3 主动脉:内皮细胞(↑)和平滑肌细胞(s)呈OFQ免疫反应阳性.×400
图4 肾脏:动脉(A)和静脉(V)的管壁及肾小球(G)内均可见OFQ免疫反应阳性颗粒,箭头示OFQ免疫反应阳性的内皮细胞.×100
图5 阳性对照(脑组织):箭头示OFQ免反应阳性神经元.×1 000
Fig.2 Atrium:the arrow shows the OFQ immuno-reaction positive endothelium. m shows the OFQ reaction negative myocardium of atrium. ×200
, 百拇医药 Fig.3 Aorta:the OFQ immuno-reaction positive particles can be detected in epithelium(↑) and smoth cells (s)×400
Fig.4 Kidney: the OFQ immunoreaction positive particles can be detected in the artery (A), vein(V) and glomeruli(G). The arrow shows the OFQ immuno-reaction positive cells-endothelium. ×100
Fig.5 Positive control(brain):the arrows show the OFQ immuno-reaction positive neuron ×1 000
* 河北医科大学CMB学员
, 百拇医药
△ Molecular Medicine Center of Cardiovascular Institute, Chinese Academy of Medical Sciences Peking Union Medical College, Beijing 100037, China
参考文献
[1]Meunier JC, Mollereau C, Toll L, et al. Isolation and structure of the endogenous agonist of opioid receptor-like ORL1 receptor. Nature, 1995,377(12):532
[2]Reinscheid RK, Nothacker HP, Bourson A, et al. Orphanin FQ: a neuropeptide that activates an opioidlike G protein-coupled receptor. Science, 1995,270(3):792
, http://www.100md.com
[3]Mollereau C, Simons MJ, Soularue P, et al. Structure, tissue distribution and chromosomal Loca lization of the prepronociceptin gene. Proc Natl Acad Sct(USA), 1996,93(8):8666
[4]Nothacker HP, Reinschid RK, Mansour A, et al. Primary structure and tissue distribution of theorphanin FQ precursor. Proc Natl Acad Sct(USA),1996,93(8):8677
[5]Houtani T, Nishi M, Takeshima H, et al. Structure and regional distribution of nociceptin/orphaninFQ precursor. Biochem Biophys Res Commun, 1996,219(3):714
, 百拇医药
[6]Kapusta DR, Sezen SF, Change JK, et al. Diuretic and antinatriuretic responses produced by the endogenous opioid-like peptide, nociceptin(orphanin FQ). Life Sciences, 1997,60(1):15
[7]Champion HC, Kadowitz PJ. Nociceptin, an endogenous ligand for the ORL1 receptor has novel hypotensive activity in the rat. Life Sciences, 1997,60(16):241
[8]Chomczynski P, Sacchi N. Single-step method of RNA isolation by acid guanidinium thiocy-anate-phenol-chloroform extraction. Anal Biochem, 1987, 162(1):156
[9]Martin U, Michael B, John SE, et al. Altered expression of β adrenergic receptor kinase and β1-adrenergic receptors in the failing human heart. Circulation, 1993,87(2):454
收稿1998-03 修回1998-12, http://www.100md.com