大鼠肝大部切除后再生时贮脂细胞的动态变化
作者:王冬梅 李凤林 童蓓燕 顾云娣
单位:王冬梅(安徽宿县地区卫校 安徽宿县 234000); 李凤林(安徽淮南卫校);童蓓燕 顾云娣(上海医科大学组织胚胎学教研室,上海 200032)
关键词:肝贮脂细胞;结蛋白;肝大部切除;免疫组织化学
解剖学报990325
【摘要】 目的 研究大鼠肝大部切除后再生时贮脂细胞的动态变化。 方法 用结蛋白免疫组织化学法显示肝贮脂细胞并计量,以图像分析仪测灰度值。 结果 正常肝小叶内贮脂细胞呈网架状分布,肝大部切除后再生时贮脂细胞数量递减,至第5d时为正常肝的1/3。 结论 肝大部切除后再生时贮脂细胞动态变化明显不同于肝中毒等损伤后的增殖变化。
THE KINETIC CHANGE OF HEPATIC FAT-STORING CELLS
, http://www.100md.com
IN THE REGENERATIVE PROCESS AFTER
SUBTOTAL HEPATECTOMY OF RATS
Wang Dongmei, Li Fenglin*, Tong Beiyan**, Gu Yundi**Δ
(Medical School of Shu Country and *Huainan in Anhui Province, Shu Country;
**Department of Histology and Embryology, Shanghai Medical University, Shanghai)
, 百拇医药
【Abstract】 Objective To study the kinetic change of hepatic fat-storing cells (FSC) in the regenerative process after subtotal hepatectomy of rats. Methods The hepatic FSC were showed and measured by means of desmin-immunohistochemical method. Grey degree numerical value was measured with image analyser. Results The rat FSC were extensively distributed in liver lobules and constituted the supporting network. Within 5 days after hepatectomy, the number of desmin positive FSC was decreased toward to 1/3 of that in normal liver. Conclusion The kinetics of FSC in regenerating liver after hepatectomy is different from reproduction kinetic of the liver-poisoning or injure.
, http://www.100md.com
【Key words】 Hepatic fat-storing cell; Desmin; Subtotal hepatectomy; Immunohistochemistry
肝贮脂细胞又称肝星形细胞或Ito细胞,是肝小叶内的一种间质性细胞,它能产生纤维和基质,与肝纤维增生病变的发生发展密切相关[1]。肝炎、肝中毒等损害后常见贮脂细胞增生,肝小叶内纤维也增多[2];但肝大部切除后再生过程中是否也伴之以贮脂细胞和纤维的增生,尚未见报道。本实验以结蛋白免疫组织化学法显示大鼠肝贮脂细胞,探讨其在肝大部切除后再生过程中的动态变化。
材料和方法
成年雄性SD大鼠18只,体重140~180g。3只为正常对照组。其余15只为实验组,均在乙醚麻醉下行标准的肝大部切除术[3],分别于术后24、48、72、96、120h取肝,每组3例。对照组和实验组的肝组织均以10%中性福尔马林固定,石蜡包埋,切片厚5 μm,做ABC免疫组织化学法染色。切片先以0.1%胰酶0℃消化过夜,一抗为Dako公司的鼠抗人结蛋白(desmin)单抗(1:50),ABC试剂为Vector产品。阴性对照切片染色以平衡盐水替代一抗。每例动物取3块组织,每块组织任选3张不连续切片,每张切片在高倍光镜下(×400)随机挑选5个视野观察,记录视野内结蛋白阳性贮脂细胞数。采用LeicaQ500IW图像分析仪,每张切片随机测5个单位面积(8 395.5 μm)内贮脂细胞总灰度值。各组数据取平均值,并作统计学分析(P值)。
, 百拇医药
结果和讨论
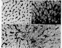
肝组织切片免疫组织化学染色后,仅见贮脂细胞呈结蛋白阳性,肝的其他细胞成分均为阴性,染色对照切片中贮脂细胞也呈阴性。贮脂细胞质呈结蛋白阳性反应(棕黄色),核呈阴性。细胞多为星形,有突起,轮廓清晰。正常大鼠肝贮脂细胞数量多,均匀散在分布整个肝小叶内,或沿肝索呈放射状排列,细胞突起相互连接成网状(图1)。肝大部切除后再生过程中,结蛋白阳性贮脂细胞呈明显减少趋势,至术后第5d(120h),细胞数仅为正常肝的1/3(附表)。贮脂细胞结蛋白免疫染色强度,于术后48h略显增强(图2),此后细胞表达结蛋白明显减弱(图3,4)。
附表 结蛋白阳性贮脂细胞数(每视野)及灰度值测定(
±s)
Table Desmin positive fat-storing cell number (every field) and grey degree numerical value(
±s) 术后时间(h)
, 百拇医药
time after operation(hour)
N
24
48
72
96
120
细胞数
cell number
252.4±29.6
192.7±25
171.7±32.1
, 百拇医药
136.3±35.3
107.1±19
85.3±88
灰度值
grey degree numerical value
2 027±141
2 235±677
3 013±1 079
1 753±703
1 295±454
572±261
, 百拇医药
各实验组与对照组之间P值均<0.01~0.001,N为正常对照组
P<0.01~0.001, between each experiment groups and control groups. N is control groups.
观察发现,正常大鼠肝贮脂细胞呈网状分布在整个肝小叶内,构成肝板和血窦的支架。静止的贮脂细胞呈结蛋白和平滑肌α-肌动蛋白阳性,具肌成纤维细胞性质,它在血窦内皮细胞分泌的内皮素和NO的旁分泌作用下发生收缩和舒张,在调节肝血窦微循环血流中起重要作用[4]。大鼠肝大部切除后,肝细胞反应迅速,增殖很快,在第1~2d内达到增殖高峰,至术后5~7d,肝的体积及肝细胞总数与结构和功能均恢复到正常水平[3,5]。枯否细胞和血窦内皮细胞的增殖反应较慢,其增殖高峰分别出现在术后第3d和第5d[5]。至于贮脂细胞的增殖反应则无明确报道。实验结果表明,肝大部切除后贮脂细胞的反应比其他血窦细胞的快速增殖要迟缓得多,至术后第5d贮脂细胞数量比正常肝内仍少得多。提示肝大部切除后的快速再生过程是不同于炎症或中毒等损伤后的恢复过程的,后者是一种反复性的病理损害,贮脂细胞被“激活”而转化为成纤维细胞性质,细胞不断增殖并生成大量细胞外基质。肝大部切除后残余肝细胞无直接性病理损害,肝细胞快速增生,单层细胞的肝板变为不规则的细胞团块,再生的肝细胞产生TGF-α等生长因子,刺激血窦内皮细胞和枯否细胞增生,血管也随之生长[5]。而贮脂细胞则可能反应迟缓,数量比例减少,也不形成大量纤维,这显然是肝大部切除后快速再生过程中的重要特点之一。
, 百拇医药
本文是在上海医科大学成令忠教授指导下完成的,在此表示感谢。
图版说明
图1 正常大鼠肝结蛋白免疫组织化学染色 ×400(下同)
图2 肝大部切除后48h再生肝结蛋白免疫组织化学染色
图3 肝大部切除后96h再生肝结蛋白免疫组织化学染色
图4 肝大部切除后120h再生肝结蛋白免疫组织化学染色
Explanation of figures
Fig.1 Desmin immunohistochemical staining of normal rat liver. ×400(The same as follows)
, 百拇医药
Fig.2 Desmin immunohistochemical staining of 48h-regenerating liver after hepatectomy.
Fig.3 Desmin immunohistochemical staining of 96h-regenerating liver after hepatectomy.
Fig.4 Desmin immunohistochemical staining of 120h-regenerating liver after hepatectomy.
△ Department of Histology and Embryology, Shanghai Medical University, Shanghai 200032, China
参考文献
, 百拇医药
[1]成令忠主编.组织学.第2版.北京:北京人民卫生出版社 1993:1171~1241
[2]Friedman SL. The cellular basis of hepatic fibrosis. Mechanism and treatment strategies. N Eng1 J Med 1993, 328(6):1828
[3]成令忠.肝大部切除后再生的研究.见汤钊猷主编.原发性肝癌的研究与进展.上海:上海医科大学出版社,1990:86~94
[4]Rockey D. The cellular pathogenesis of portal hypertension: Stellate cell contractility, endothelin and nitric oxide. Hepatology, 1997,25(1):2
[5]Michalopoulos GK, Defrances MC. Liver regeneration. Science, 1997,276(4):60
收稿1998-06 修回1999-02, 百拇医药
单位:王冬梅(安徽宿县地区卫校 安徽宿县 234000); 李凤林(安徽淮南卫校);童蓓燕 顾云娣(上海医科大学组织胚胎学教研室,上海 200032)
关键词:肝贮脂细胞;结蛋白;肝大部切除;免疫组织化学
解剖学报990325
【摘要】 目的 研究大鼠肝大部切除后再生时贮脂细胞的动态变化。 方法 用结蛋白免疫组织化学法显示肝贮脂细胞并计量,以图像分析仪测灰度值。 结果 正常肝小叶内贮脂细胞呈网架状分布,肝大部切除后再生时贮脂细胞数量递减,至第5d时为正常肝的1/3。 结论 肝大部切除后再生时贮脂细胞动态变化明显不同于肝中毒等损伤后的增殖变化。
THE KINETIC CHANGE OF HEPATIC FAT-STORING CELLS
, http://www.100md.com
IN THE REGENERATIVE PROCESS AFTER
SUBTOTAL HEPATECTOMY OF RATS
Wang Dongmei, Li Fenglin*, Tong Beiyan**, Gu Yundi**Δ
(Medical School of Shu Country and *Huainan in Anhui Province, Shu Country;
**Department of Histology and Embryology, Shanghai Medical University, Shanghai)
, 百拇医药
【Abstract】 Objective To study the kinetic change of hepatic fat-storing cells (FSC) in the regenerative process after subtotal hepatectomy of rats. Methods The hepatic FSC were showed and measured by means of desmin-immunohistochemical method. Grey degree numerical value was measured with image analyser. Results The rat FSC were extensively distributed in liver lobules and constituted the supporting network. Within 5 days after hepatectomy, the number of desmin positive FSC was decreased toward to 1/3 of that in normal liver. Conclusion The kinetics of FSC in regenerating liver after hepatectomy is different from reproduction kinetic of the liver-poisoning or injure.
, http://www.100md.com
【Key words】 Hepatic fat-storing cell; Desmin; Subtotal hepatectomy; Immunohistochemistry
肝贮脂细胞又称肝星形细胞或Ito细胞,是肝小叶内的一种间质性细胞,它能产生纤维和基质,与肝纤维增生病变的发生发展密切相关[1]。肝炎、肝中毒等损害后常见贮脂细胞增生,肝小叶内纤维也增多[2];但肝大部切除后再生过程中是否也伴之以贮脂细胞和纤维的增生,尚未见报道。本实验以结蛋白免疫组织化学法显示大鼠肝贮脂细胞,探讨其在肝大部切除后再生过程中的动态变化。
材料和方法
成年雄性SD大鼠18只,体重140~180g。3只为正常对照组。其余15只为实验组,均在乙醚麻醉下行标准的肝大部切除术[3],分别于术后24、48、72、96、120h取肝,每组3例。对照组和实验组的肝组织均以10%中性福尔马林固定,石蜡包埋,切片厚5 μm,做ABC免疫组织化学法染色。切片先以0.1%胰酶0℃消化过夜,一抗为Dako公司的鼠抗人结蛋白(desmin)单抗(1:50),ABC试剂为Vector产品。阴性对照切片染色以平衡盐水替代一抗。每例动物取3块组织,每块组织任选3张不连续切片,每张切片在高倍光镜下(×400)随机挑选5个视野观察,记录视野内结蛋白阳性贮脂细胞数。采用LeicaQ500IW图像分析仪,每张切片随机测5个单位面积(8 395.5 μm)内贮脂细胞总灰度值。各组数据取平均值,并作统计学分析(P值)。
, 百拇医药
结果和讨论
肝组织切片免疫组织化学染色后,仅见贮脂细胞呈结蛋白阳性,肝的其他细胞成分均为阴性,染色对照切片中贮脂细胞也呈阴性。贮脂细胞质呈结蛋白阳性反应(棕黄色),核呈阴性。细胞多为星形,有突起,轮廓清晰。正常大鼠肝贮脂细胞数量多,均匀散在分布整个肝小叶内,或沿肝索呈放射状排列,细胞突起相互连接成网状(图1)。肝大部切除后再生过程中,结蛋白阳性贮脂细胞呈明显减少趋势,至术后第5d(120h),细胞数仅为正常肝的1/3(附表)。贮脂细胞结蛋白免疫染色强度,于术后48h略显增强(图2),此后细胞表达结蛋白明显减弱(图3,4)。
附表 结蛋白阳性贮脂细胞数(每视野)及灰度值测定(
Table Desmin positive fat-storing cell number (every field) and grey degree numerical value(
, 百拇医药
time after operation(hour)
N
24
48
72
96
120
细胞数
cell number
252.4±29.6
192.7±25
171.7±32.1
, 百拇医药
136.3±35.3
107.1±19
85.3±88
灰度值
grey degree numerical value
2 027±141
2 235±677
3 013±1 079
1 753±703
1 295±454
572±261
, 百拇医药
各实验组与对照组之间P值均<0.01~0.001,N为正常对照组
P<0.01~0.001, between each experiment groups and control groups. N is control groups.
观察发现,正常大鼠肝贮脂细胞呈网状分布在整个肝小叶内,构成肝板和血窦的支架。静止的贮脂细胞呈结蛋白和平滑肌α-肌动蛋白阳性,具肌成纤维细胞性质,它在血窦内皮细胞分泌的内皮素和NO的旁分泌作用下发生收缩和舒张,在调节肝血窦微循环血流中起重要作用[4]。大鼠肝大部切除后,肝细胞反应迅速,增殖很快,在第1~2d内达到增殖高峰,至术后5~7d,肝的体积及肝细胞总数与结构和功能均恢复到正常水平[3,5]。枯否细胞和血窦内皮细胞的增殖反应较慢,其增殖高峰分别出现在术后第3d和第5d[5]。至于贮脂细胞的增殖反应则无明确报道。实验结果表明,肝大部切除后贮脂细胞的反应比其他血窦细胞的快速增殖要迟缓得多,至术后第5d贮脂细胞数量比正常肝内仍少得多。提示肝大部切除后的快速再生过程是不同于炎症或中毒等损伤后的恢复过程的,后者是一种反复性的病理损害,贮脂细胞被“激活”而转化为成纤维细胞性质,细胞不断增殖并生成大量细胞外基质。肝大部切除后残余肝细胞无直接性病理损害,肝细胞快速增生,单层细胞的肝板变为不规则的细胞团块,再生的肝细胞产生TGF-α等生长因子,刺激血窦内皮细胞和枯否细胞增生,血管也随之生长[5]。而贮脂细胞则可能反应迟缓,数量比例减少,也不形成大量纤维,这显然是肝大部切除后快速再生过程中的重要特点之一。
, 百拇医药
本文是在上海医科大学成令忠教授指导下完成的,在此表示感谢。
图版说明
图1 正常大鼠肝结蛋白免疫组织化学染色 ×400(下同)
图2 肝大部切除后48h再生肝结蛋白免疫组织化学染色
图3 肝大部切除后96h再生肝结蛋白免疫组织化学染色
图4 肝大部切除后120h再生肝结蛋白免疫组织化学染色
Explanation of figures
Fig.1 Desmin immunohistochemical staining of normal rat liver. ×400(The same as follows)
, 百拇医药
Fig.2 Desmin immunohistochemical staining of 48h-regenerating liver after hepatectomy.
Fig.3 Desmin immunohistochemical staining of 96h-regenerating liver after hepatectomy.
Fig.4 Desmin immunohistochemical staining of 120h-regenerating liver after hepatectomy.
△ Department of Histology and Embryology, Shanghai Medical University, Shanghai 200032, China
参考文献
, 百拇医药
[1]成令忠主编.组织学.第2版.北京:北京人民卫生出版社 1993:1171~1241
[2]Friedman SL. The cellular basis of hepatic fibrosis. Mechanism and treatment strategies. N Eng1 J Med 1993, 328(6):1828
[3]成令忠.肝大部切除后再生的研究.见汤钊猷主编.原发性肝癌的研究与进展.上海:上海医科大学出版社,1990:86~94
[4]Rockey D. The cellular pathogenesis of portal hypertension: Stellate cell contractility, endothelin and nitric oxide. Hepatology, 1997,25(1):2
[5]Michalopoulos GK, Defrances MC. Liver regeneration. Science, 1997,276(4):60
收稿1998-06 修回1999-02, 百拇医药