大鼠颌下腺颗粒曲管神经肽的分布
作者:贾雪梅 齐威琴 王惠珠 蔡龙虎
单位:贾雪梅 齐威琴 王惠珠 蔡龙虎(安徽医科大学组织学胚胎学教研室,合肥 230032)
关键词:神经肽;颌下腺;颗粒曲管;免疫组织化学;大鼠
解剖学报000124 摘 要:目的 研究颌下腺内神经肽的性质、分布。 方法 免疫组织化学ABC方法。 结果 大鼠颌下腺颗粒曲管和纹状管上皮细胞呈SOM、SP、VIP和NPY免疫反应性,而腺泡细胞为阴性。 结论 大鼠颌下腺导管上皮细胞内含有多种神经肽,可能参与腺体的分泌活动、血液供应乃至消化道功能的调节。
分类号:R329.4 文献标识码:A
文章编号:0529-1356(2000)01-94
LOCALIZATION OF THE NEUROPEPTIDES IN THE GRANULAR
, 百拇医药
CONVOLUTED TUBULE OF RAT SUBMANDIBULAR GLAND
JIA Xue-mei
(Department of Histology and Embryology, Anhui Medical University, Hefei 230032, China)
QI Wei-qing
(Department of Histology and Embryology, Anhui Medical University, Hefei 230032, China)
WANG Hui-zhu
(Department of Histology and Embryology, Anhui Medical University, Hefei 230032, China)
, 百拇医药
CAI Long-hu
(Department of Histology and Embryology, Anhui Medical University, Hefei 230032, China)
Abstract:Objective To study the localization of SOM, SP, VIP, and NPY in rat submandibular gland. Methods Immunohistochemical ABC method was used. Results Granular convoluted tubule (GCT) cells and striated duct cells showed SOM, SP, VIP, and NPY immunoreactivity while the acinar cells were negative. Conclusion The neuropeptides in GCT cells might have closely relation to acinar secretion, local blood supply and physiologic regulation of degestive tract.
, 百拇医药
Key words:Neuropeptides; Submandibular gland; Granular convoluted tubule; Immunohistochemistry; Rat▲
自1936年在颌下腺中发现激肽释放酶系以来,已从小鼠、大鼠等啮齿类动物的颌下腺中发现或分离出近30种蛋白质和肽类生物活性物质[1],它们主要定位于颌下腺颗粒曲管(GCT)细胞中。因此有人认为颌下腺具有内分泌样功能,可将其归属于消化道弥散性神经内分泌系统。但颌下腺GCT细胞内是否含有P物质(SP)、血管活性肠肽(VIP)、神经肽Y(NPY)等神经肽类物质,尚未见系统报道。本实验采用免疫组织化学ABC方法,对大鼠颌下腺上述物质等进行观察,为深入研究颌下腺复杂的内分泌功能提供形态学依据。
材料和方法
1.动物和标本制备
, http://www.100md.com
取正常雄性Wistar大鼠10只,体重100~150克,用10%乌拉坦按1ml/100g体重的剂量腹腔内注射,麻醉后剖开胸腹腔,用生理盐水从左心室灌流,再用0.4%苯醌固定液灌注固定。石蜡包埋切片,分别作HE和免疫组织化学染色。
2.免疫组织化学染色
采用免疫组织化学ABC技术,所用抗体及稀释度:第一抗体为兔抗生长抑素(SOM)抗血清,兔抗SP抗血清、兔抗VIP抗血清和兔抗NPY抗血清(前者购自华美生物工程公司,后三者购自Peninsula公司);稀释度前者为1∶200,后三者为1∶2 000。第二抗体为生物素标记的羊抗兔IgG血清(购自华美生物工程公司),稀释度为1∶200。ABC复合物(购自华美生物工程公司)的稀释度为:1∶200。标本用DAB显色后,脱水,透明和封片。
3.对照
以正常兔血清代替第一抗体作为阴性对照。以小肠切片作为阳性对照。
, 百拇医药
结果和讨论
1.阴性对照结果显示为阴性。阳性对照结果显示小肠壁内有丰富的SOM、SP、VIP及NPY免疫反应纤维和细胞。在大鼠颌下腺的HE染色切片中,可见混合性腺泡和各级导管,其中GCT粗长而弯曲,构成导管系统中重要组成部分。在免疫组织化学染色切片中,SOM、SP、VIP和NPY免疫反应性细胞呈浅棕色至深棕色不等,背景几乎无色。大鼠颌下腺GCT细胞分别呈SOM、SP、VIP和NPY免疫反应性,免疫染色产物分布于细胞质内,细胞核为阴性(图1~6)。此外,纹状管上皮细胞亦呈SOM、SP、VIP和NPY免疫反应性。
图1示大鼠颌下腺颗粒曲管细胞(△)呈SOM免疫染色阳性,腺泡细胞为阴性(*)。×200
Fig1The GCT cells(△) showing SOM-immunoreactivity,acinar cells(*)negative.×200
, http://www.100md.com
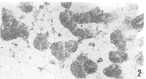
图2示大鼠颌下腺颗粒曲管细胞(△)呈SP免疫反应性,腺泡细胞为阴性(*)。×200
Fig2The GCT cells(△) showing SP-immunoreactivity,acinar cells(*)negative.×200
图3示大鼠颌下腺颗粒曲管细胞(△)和纹状管细胞(▲)呈VIP免疫反应性,腺泡细胞为阴性(*).×200
Fig3The GCT cells(△) and striated duct (▲)cells showing VIP-immunoreactivity,acinar cells(*)negative.×200
, http://www.100md.com
图4示大鼠颌下腺颗粒曲管细胞(△)和纹状管细胞(▲)呈NPY免疫反应性,腺泡细胞为阴性(*).×200
Fig4The GCT cells(△) and striated duct (▲)cells showing NPY-immunoreactivity,acinar cells(*)negative.×200
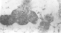
图5示颗粒曲管细胞(△)呈VIP免疫反应性.×400
Fig 5 The GCT cells(△)showing VIP-immunoreactivity.×400
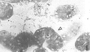
图6示颗粒曲管细胞(△)呈NPY免疫反应性.×400
, http://www.100md.com
Fig6 The GCT cells(△)showing NPY-immunoreactivity.×400
2.随着研究的深入,人们发现颌下腺是含生物活性物质最多的器官之一。最新研究发现颌下腺还含有转化生长因子β1[2]、肝细胞生长因子[3]等生物活性物质,可见颌下腺对机体功能意义越来越显得重要。本实验观察到,大鼠颌下腺中含有SOM、SP、VIP和NPY,这些神经肽的免疫染色强度不尽相同,主要分布于GCT细胞中。我们认为大鼠颌下腺GCT细胞含有上述多种神经肽,它们可能以内分泌方式释放入血,或直接释放入导管系统,构成唾液的一部分进入消化道,对相关器官和组织的生理活动起着一定的调节作用。有资料报道:NPY使动脉血管收缩,增加血流阻力,减少血流量[4]。而SP和VIP直接作用于血管平滑肌,使血管扩张[5]。我们推测,GCT细胞内的SP、VIP和NPY还可能以旁分泌的方式释放到组织间隙,通过调节局部血流量而影响腺泡的分泌活动。生长抑素是一种内分泌激素,同时亦具有神经递质或神经调质的作用。GCT细胞中SOM的存在对上述各种神经肽的释放可能有调节作用。■
, 百拇医药
作者简介:贾雪梅(1959—),女,浙江长兴人,医学硕士,教授
参考文献:
[1]Barka T. Biologically active polypeptides in submandibular gland[J]. J Histochem, 1980, 28(8):836-859.
[2]Mogi M, Matsuura S, Suzuki H. Differential expression of transforming growth factor-alpha and epidermal growth factor during postnatal development of rat submanibular gland[J]. Biochem Biophys Res Commun, 1995,217(1):271-277.
, http://www.100md.com
[3]Amano O, Matsumoto K, Nakamura T. Expression and localization of hepatocyte growth factor in rat submandibular gland[J]. Growth Factor, 1994,10(2):145-151.
[4]张金山,苏慧慈,张远强,神经肽Y免疫反应神经纤维在鼠肠系膜淋巴结的分布[J].解剖学报,1995,26(4):367~370.
[5]王志钧,胃肠激素[M].北京:科学出版社,1985:210~211.
收稿日期:1998-09-07
修回日期:1999-07-01, http://www.100md.com
单位:贾雪梅 齐威琴 王惠珠 蔡龙虎(安徽医科大学组织学胚胎学教研室,合肥 230032)
关键词:神经肽;颌下腺;颗粒曲管;免疫组织化学;大鼠
解剖学报000124 摘 要:目的 研究颌下腺内神经肽的性质、分布。 方法 免疫组织化学ABC方法。 结果 大鼠颌下腺颗粒曲管和纹状管上皮细胞呈SOM、SP、VIP和NPY免疫反应性,而腺泡细胞为阴性。 结论 大鼠颌下腺导管上皮细胞内含有多种神经肽,可能参与腺体的分泌活动、血液供应乃至消化道功能的调节。
分类号:R329.4 文献标识码:A
文章编号:0529-1356(2000)01-94
LOCALIZATION OF THE NEUROPEPTIDES IN THE GRANULAR
, 百拇医药
CONVOLUTED TUBULE OF RAT SUBMANDIBULAR GLAND
JIA Xue-mei
(Department of Histology and Embryology, Anhui Medical University, Hefei 230032, China)
QI Wei-qing
(Department of Histology and Embryology, Anhui Medical University, Hefei 230032, China)
WANG Hui-zhu
(Department of Histology and Embryology, Anhui Medical University, Hefei 230032, China)
, 百拇医药
CAI Long-hu
(Department of Histology and Embryology, Anhui Medical University, Hefei 230032, China)
Abstract:Objective To study the localization of SOM, SP, VIP, and NPY in rat submandibular gland. Methods Immunohistochemical ABC method was used. Results Granular convoluted tubule (GCT) cells and striated duct cells showed SOM, SP, VIP, and NPY immunoreactivity while the acinar cells were negative. Conclusion The neuropeptides in GCT cells might have closely relation to acinar secretion, local blood supply and physiologic regulation of degestive tract.
, 百拇医药
Key words:Neuropeptides; Submandibular gland; Granular convoluted tubule; Immunohistochemistry; Rat▲
自1936年在颌下腺中发现激肽释放酶系以来,已从小鼠、大鼠等啮齿类动物的颌下腺中发现或分离出近30种蛋白质和肽类生物活性物质[1],它们主要定位于颌下腺颗粒曲管(GCT)细胞中。因此有人认为颌下腺具有内分泌样功能,可将其归属于消化道弥散性神经内分泌系统。但颌下腺GCT细胞内是否含有P物质(SP)、血管活性肠肽(VIP)、神经肽Y(NPY)等神经肽类物质,尚未见系统报道。本实验采用免疫组织化学ABC方法,对大鼠颌下腺上述物质等进行观察,为深入研究颌下腺复杂的内分泌功能提供形态学依据。
材料和方法
1.动物和标本制备
, http://www.100md.com
取正常雄性Wistar大鼠10只,体重100~150克,用10%乌拉坦按1ml/100g体重的剂量腹腔内注射,麻醉后剖开胸腹腔,用生理盐水从左心室灌流,再用0.4%苯醌固定液灌注固定。石蜡包埋切片,分别作HE和免疫组织化学染色。
2.免疫组织化学染色
采用免疫组织化学ABC技术,所用抗体及稀释度:第一抗体为兔抗生长抑素(SOM)抗血清,兔抗SP抗血清、兔抗VIP抗血清和兔抗NPY抗血清(前者购自华美生物工程公司,后三者购自Peninsula公司);稀释度前者为1∶200,后三者为1∶2 000。第二抗体为生物素标记的羊抗兔IgG血清(购自华美生物工程公司),稀释度为1∶200。ABC复合物(购自华美生物工程公司)的稀释度为:1∶200。标本用DAB显色后,脱水,透明和封片。
3.对照
以正常兔血清代替第一抗体作为阴性对照。以小肠切片作为阳性对照。
, 百拇医药
结果和讨论
1.阴性对照结果显示为阴性。阳性对照结果显示小肠壁内有丰富的SOM、SP、VIP及NPY免疫反应纤维和细胞。在大鼠颌下腺的HE染色切片中,可见混合性腺泡和各级导管,其中GCT粗长而弯曲,构成导管系统中重要组成部分。在免疫组织化学染色切片中,SOM、SP、VIP和NPY免疫反应性细胞呈浅棕色至深棕色不等,背景几乎无色。大鼠颌下腺GCT细胞分别呈SOM、SP、VIP和NPY免疫反应性,免疫染色产物分布于细胞质内,细胞核为阴性(图1~6)。此外,纹状管上皮细胞亦呈SOM、SP、VIP和NPY免疫反应性。
图1示大鼠颌下腺颗粒曲管细胞(△)呈SOM免疫染色阳性,腺泡细胞为阴性(*)。×200
Fig1The GCT cells(△) showing SOM-immunoreactivity,acinar cells(*)negative.×200
, http://www.100md.com
图2示大鼠颌下腺颗粒曲管细胞(△)呈SP免疫反应性,腺泡细胞为阴性(*)。×200
Fig2The GCT cells(△) showing SP-immunoreactivity,acinar cells(*)negative.×200
图3示大鼠颌下腺颗粒曲管细胞(△)和纹状管细胞(▲)呈VIP免疫反应性,腺泡细胞为阴性(*).×200
Fig3The GCT cells(△) and striated duct (▲)cells showing VIP-immunoreactivity,acinar cells(*)negative.×200
, http://www.100md.com
图4示大鼠颌下腺颗粒曲管细胞(△)和纹状管细胞(▲)呈NPY免疫反应性,腺泡细胞为阴性(*).×200
Fig4The GCT cells(△) and striated duct (▲)cells showing NPY-immunoreactivity,acinar cells(*)negative.×200
图5示颗粒曲管细胞(△)呈VIP免疫反应性.×400
Fig 5 The GCT cells(△)showing VIP-immunoreactivity.×400
图6示颗粒曲管细胞(△)呈NPY免疫反应性.×400
, http://www.100md.com
Fig6 The GCT cells(△)showing NPY-immunoreactivity.×400
2.随着研究的深入,人们发现颌下腺是含生物活性物质最多的器官之一。最新研究发现颌下腺还含有转化生长因子β1[2]、肝细胞生长因子[3]等生物活性物质,可见颌下腺对机体功能意义越来越显得重要。本实验观察到,大鼠颌下腺中含有SOM、SP、VIP和NPY,这些神经肽的免疫染色强度不尽相同,主要分布于GCT细胞中。我们认为大鼠颌下腺GCT细胞含有上述多种神经肽,它们可能以内分泌方式释放入血,或直接释放入导管系统,构成唾液的一部分进入消化道,对相关器官和组织的生理活动起着一定的调节作用。有资料报道:NPY使动脉血管收缩,增加血流阻力,减少血流量[4]。而SP和VIP直接作用于血管平滑肌,使血管扩张[5]。我们推测,GCT细胞内的SP、VIP和NPY还可能以旁分泌的方式释放到组织间隙,通过调节局部血流量而影响腺泡的分泌活动。生长抑素是一种内分泌激素,同时亦具有神经递质或神经调质的作用。GCT细胞中SOM的存在对上述各种神经肽的释放可能有调节作用。■
, 百拇医药
作者简介:贾雪梅(1959—),女,浙江长兴人,医学硕士,教授
参考文献:
[1]Barka T. Biologically active polypeptides in submandibular gland[J]. J Histochem, 1980, 28(8):836-859.
[2]Mogi M, Matsuura S, Suzuki H. Differential expression of transforming growth factor-alpha and epidermal growth factor during postnatal development of rat submanibular gland[J]. Biochem Biophys Res Commun, 1995,217(1):271-277.
, http://www.100md.com
[3]Amano O, Matsumoto K, Nakamura T. Expression and localization of hepatocyte growth factor in rat submandibular gland[J]. Growth Factor, 1994,10(2):145-151.
[4]张金山,苏慧慈,张远强,神经肽Y免疫反应神经纤维在鼠肠系膜淋巴结的分布[J].解剖学报,1995,26(4):367~370.
[5]王志钧,胃肠激素[M].北京:科学出版社,1985:210~211.
收稿日期:1998-09-07
修回日期:1999-07-01, http://www.100md.com