小鼠树突状细胞肉瘤不同转移能力克隆的分离筛选鉴定
作者:刘玉琴 顾蓓 赵雪梅 李存玺 高进 章静波
单位:刘玉琴(中国医学科学院 中国协和医科大学基础医学研究所,北京 100005);顾蓓(中国医学科学院 中国协和医科大学基础医学研究所,北京 100005);赵雪梅(中国医学科学院 中国协和医科大学基础医学研究所,北京 100005);李存玺(中国医学科学院 中国协和医科大学基础医学研究所,北京 100005);高进(中国医学科学院 中国协和医科大学基础医学研究所,北京 100005)
关键词:树突状细胞肉瘤;肺转移;克隆;小鼠
解剖学报000410 【摘要】 目的 利用小鼠树突状细胞肉瘤(DCS)细胞分离鉴定不同肺转移能力的克隆细胞株,为进一步筛选与肺转移相关cDNA片段奠定基础。 方法 采用极限稀释单细胞克隆法,分离出不同克隆,经体内生长转移性,体外水解酶分泌等方法进行鉴定。 结果 DD1、DG6肺转移分别为100%,27%,其具蛋白酶水解能力的细胞分别为15.80%和5.39%,DG6的体内生长明显较DD1缓慢。 结论 筛选出了高肺转移克隆DD1,低肺转移克隆DG6。利用小鼠树突状细胞肉瘤(DCS)细胞分离鉴定不同肺转移能力的克隆细胞株,为进一步筛选与肺转移相关cDNA片段奠定基础。 方法 采用极限稀释单细胞克隆法,分离出不同克隆,经体内生长转移性,体外水解酶分泌等方法进行鉴定。 结果 DD1、DG6肺转移分别为100%,27%,其具蛋白酶水解能力的细胞分别为15.80%和5.39%,DG6的体内生长明显较DD1缓慢。 结论 筛选出了高肺转移克隆DD1,低肺转移克隆DG6。
, 百拇医药
【中图分类号】 R730;R731-33 【文献标识码】 A 【文章编号】 0529-1356(2000)04-332
SCREENING AND IDENTIFICATION OF CLONES WITH DIFFERENT
METASTATIC ABILITY FROM DENDRITIC CELL SARCOMA CELLS
LIU Yu-qin GU Bei ZHAO Xue-mei LI Cun-xi GAO Jin ZHANG Jing-bo
(Institute of Basic Medical Sciences, Chinese Academy of Medical Sciences Peking
Union Medical College, Beijing 100005, China)
, http://www.100md.com
【Abstract】 Objective From dendritic cell sarcoma(DCS) cells, to screen and identify lung metastatic clones for further screening of lung metastasis related cDNA. Methods Limited dilution was used to isolate and establish single cell clones. In vivo metastasis and in vitro proteolysis were used to determine different clones. Results The rate of lung metastasis of clone DD1 and DG6 were 100% and 27% respectively. The percentages of proteolytic cells of them were 15.80% and 5.39% respectively. The in vivo growth of DG6 is obviously slower than that of DD1. Conclusion DD1 proved to be a high lung metastatic clone, while DG6 a low lung metastatic clone.
, http://www.100md.com
【Key words】 Dendritic cell sarcoma, Lung metastasis, Clone; Mouse
肿瘤细胞的侵袭转移是肿瘤治疗的难题,肿瘤的转移是由异质性的母系群体中,少数具有高转移能力的细胞而形成的。肿瘤的转移还具有器官亲和性[1],因此肿瘤转移是肿瘤细胞与宿主器官组织相互作用、特异选择的结果。本研究的目的就是从高转移性肿瘤细胞系中分离、鉴定不同肺转移能力的克隆细胞,为进一步克隆肿瘤转移器官亲和性cDNA片段或基因奠定基础。
材料和方法
1.细胞来源及培养
实验选用本室自建肿瘤细胞系,小鼠树突状细胞肉瘤(DCS)[2],常规RPMI1640培养基加10%新生牛血清和双抗(青霉素105IU/L、链霉素105IU/L)培养。
, 百拇医药
2.DCS细胞单克隆细胞株的分离
收集对数生长期DCS细胞,台盼蓝染色,活细胞>95%。采用连续稀释法稀释至10个细胞/ml。96孔板2块,每孔加0.1ml该稀释细胞悬液,然后再加入0.1ml培养液,贴壁2h后,倒置显微镜下观察并标出单细胞孔。连续5d反复标记单细胞孔,快速生长的克隆于10d时接种6孔板,扩大培养。
3.DCS细胞及克隆细胞蛋白水解能力的鉴定
详细方法见文献[3]。简言之,用小鼠血浆涂布盖片,纯酒精固定后,热气流速干,置96孔板中,培养液洗涤后备用。实验时,6孔板内每孔加3ml培养液,10万个细胞,37℃,5%CO2孵箱温育60min,然后洗去未粘附细胞,更换新的培养板及培养液继续培养至24h。取出盖片,0.01mol/L pH7.4的PBS洗3次,2.5%戊二醛固定15min,考马斯亮蓝R250(Serva,NY)染色30min,漂洗、风干、树胶封片,光学显微镜下观察并摄片。
, 百拇医药
4.细胞蛋白水解能力结果判断
经染色后血浆基质为蓝色,肿瘤细胞可将其周围的蛋白基质水解,留下透明空斑区,该透明空斑的有无及大小即可反映肿瘤细胞的蛋白水解能力(图1)。将瘤细胞随机计数200个以上细胞,计数水解细胞的比例。
5.DCS细胞及克隆细胞体内肺转移能力的鉴定
分别收集DCS母系及克隆的细胞,制备细胞悬液,以2×106/0.2ml肿瘤细胞接种于近交系615小鼠右侧腋下,观察记录肿瘤生长情况。于22~23d全部处死。取引流淋巴结及肺、肾、肝、脾、脑组织,10%PBS福尔马林固定,常规脱水、石蜡包埋、切片、HE染色、树胶封片,组织学观察。
肺内肿瘤组织学分级参照高进[4]分级法。
Ⅰ级:肺内查见1~5个小转移灶(直径<1 mm)。
, http://www.100md.com
Ⅱ级:肺内有6~10个小转移灶或1~2个中等转移灶(直径1~2 mm)。
Ⅲ级:肺内广泛分布小转移灶10个以上,或有大转移灶(直径>2 mm)。整个肺叶由转移瘤灶取代。
6.肿瘤组织中Laminin(LN)的免疫组织化学观察
瘤组织经10%中性福尔马林固定,石蜡包埋、切片。LN多抗系SIGMA公司产品(Lot 086H4822),1∶20稀释。免疫组织化学染色采用SP法,DAB显色。
结 果
1.DCS克隆细胞的分离
采用极限分离法,一次获得18个单细胞克隆细胞株。经初步筛选选出具有代表性的克隆DD1、DG6、DF7和DF1。克隆细胞的形态较为一致,各有一定特点。DD1(图1)和DF7细胞长棱形,DG6(图2)和DF1圆形、短梭形细胞较多。
, 百拇医药
2.各克隆细胞株水解能力观察结果
表1 不同克隆细胞水解细胞百分比%
Table 1 The percentage of proteolytic
cells in different clones 克隆细胞株
clones
1
2
3
平均
average
DCS
, 百拇医药
3.62
-
-
-
DD1
14.90
15.31
17.21
15.80
DF1
5.50
-
-
, 百拇医药
-
DG6
5.30
7.07
3.78
5.39
DF7
19.80
-
-
-
DD1克隆细胞株中具蛋白水解能力的细胞比例较高。DG6克隆细胞中较低。单个DD1细胞的水解空斑(图3)也较单DG6细胞的水解空斑大(图4)。提示DD1细胞的水解作用较DG6细胞强。
, 百拇医药
3.各克隆细胞株体内肺转移能力测定结果

图1 DD1和图2 DG6细胞形态。 相差 ×100
Fig.1 The image of DD1 and Fig.2 DG6 cells. Phase contrast ×100

图3 DD1和图4DG6 在蛋白基质上蛋白水解活性图像。 ×100
Fig.3 The proteolysis of DD1 and Fig.4 DG6 on protein-coated coverslip. ×100
, 百拇医药
表2 各克隆细胞株体内肺转移情况
Table 2 The lung metastasis of the clones 克隆细胞株
clones
成瘤率
tumorigenecity
肺转移率%
rate of lung
metastasis
肺转移程度
degree of lung
metastasis
, 百拇医药
Ⅰ
Ⅱ
Ⅲ
DCS
100(12/12)
83(10/12)
7
2
1
DG6
100(12/12)
27(3/12)
3
, http://www.100md.com
0
0
DF7
100(12/12)
30(3/10)
1
2
0
DF1
100(12/12)
58(7/12)
6
1
, http://www.100md.com
0
DD1
100(12/12)
100(12/12)
5
6
1
从上表可以看出,高转移克隆细胞株有DD1。中转移克隆细胞株有DF1。低转移克隆细胞株有DG6、DF7。
选DD1和DG6进行重复实验,其体内生长曲线如图5。其平均瘤重及肺转移情况与第1次实验结果基本一致,见表3。表3 DD1和DG6体内重复实验结果
Table 3 The in vivo metastasis of DD1 and DG6.
, http://www.100md.com
of repeated experiments 细胞克隆株
clones
动物数(只)
number of
animals
平均瘤重(g)
average tumor
weight
肺转移率(%)
rate of lung
metastasis
, 百拇医药
DD1
10
6.47
80
DG6
11
3.87
27
图5 DD1和DG6体内肿瘤生长曲线
Fig.5 THe growth curve of DD1 and DG6
4.肿瘤组织中LN免疫组织化学检查结果
, 百拇医药
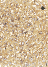
DCS肿瘤组织内细胞间基质中LN呈强阳性(图6)。
图6 DCS肿瘤组织中LN组织化学染色。 SP法 ×400
Fig.6 LN immunochemical stainning of LN of DCS tumor tissue. S-P stain ×400
讨 论
人们对肿瘤转移的器官亲和性早有认识。在上世纪1889年病理学家Paget就提出了癌转移的“种子与土壤学说”。即只有具有转移能力的肿瘤细胞运行至适宜的器官微环境中,肿瘤转移才能形成,肿瘤转移是转移性癌细胞与宿主器官(组织)相互作用、特异选择的结果[5]。
已有的研究表明,肿瘤母系群体中肿瘤细胞是异质性的。我们研究组以前的工作中也先后建立了数种不同转移潜能的克隆[6]。深入的基因水平的研究工作表明:肿瘤细胞的生物学行为的变化都是以基因表达调控的变化为基础。迄今有关癌基因、抑癌基因的研究已取得了很大进展。人们也已开始了肿瘤侵袭基因(invasion gene)、肿瘤转移基因及转移抑制基因的研究[7]。对肿瘤转移器官特异性相关基因的寻找是一个新的研究领域。本研究就是要筛选出不同肺转移能力的癌细胞亚群,为进一步差异筛选癌细胞转移器官亲和性相关DNA片段或基因奠定基础。
, 百拇医药
本研究中用单细胞克隆法得到的DD1和DG6两个亚系,体外经水解酶测定,两者差异明显。体内经生长和肺转移能力测定,相差也很明显。证明两者确实为具有不同肺转移能力的亚系,是进一步筛选肿瘤肺转移相关DNA片段或基因的有力工具。
DCS细胞体内移植成瘤后,瘤组织及周围解剖时见大量粘稠物质。为明确其性质,进行了免疫组织化学检查。本研究LN染色(S-P法)呈强阳性,信号位于瘤细胞间,组成肿瘤间质。
本文图1~4,6见插图第10页
【基金项目】 卫生部基金资助项目(98-1-006)
【作者简介】 刘玉琴(1964—),女(汉族),山东省人,副研究员,硕士导师
作者单位:章静波(中国医学科学院 中国协和医科大学基础医学研究所,北京 100005)
, http://www.100md.com
参考文献
[1] Nicolson GL. Organ specificity of tumor metastasis, role of preferential adhesion and growth of malignant cells at specific secondary site[J]. Cancer and metastasis review, 1988,7:143-167.
[2] 李存玺,顾蓓,高进.小鼠树突状细胞系的建立及形态学鉴定[J].解剖学报,1997,28(1):63~68.
[3] 刘玉琴.侵袭和转移性肿瘤细胞相关生物学特性研究方法和应用.见高进主编《癌的侵袭与转移——基础研究与临床》[M].北京:北京医科大学中国协和医科大学联合出版社,1996:15~27.
[4] 高进.癌细胞转移模型的建立及应用.见高进主编《癌的侵袭与转移——基础研究与临床》[M].北京:北京医科大学中国协和医科大学联合出版社,1996:53~63.
, http://www.100md.com
[5] 刘玉琴,高进.肿瘤侵袭转移器官特异性研究进展[J].中国肿瘤临床,1993,20(12):944~947.
[6] 高进,刘玉琴,韩立群,等.不同转移潜能癌细胞亚系分离鉴定和细胞克隆模型建立及在转移机理研究中的应用[J].中国肿瘤,1997,6(2);20~21.
[7] 章静波.癌基因、抑癌基因在人细胞癌变过程的作用及调控[J].中国肿瘤,1996,5(3):14~16.
【收稿日期】 1999-09-14
【修回日期】 2000-04-12, http://www.100md.com
单位:刘玉琴(中国医学科学院 中国协和医科大学基础医学研究所,北京 100005);顾蓓(中国医学科学院 中国协和医科大学基础医学研究所,北京 100005);赵雪梅(中国医学科学院 中国协和医科大学基础医学研究所,北京 100005);李存玺(中国医学科学院 中国协和医科大学基础医学研究所,北京 100005);高进(中国医学科学院 中国协和医科大学基础医学研究所,北京 100005)
关键词:树突状细胞肉瘤;肺转移;克隆;小鼠
解剖学报000410 【摘要】 目的 利用小鼠树突状细胞肉瘤(DCS)细胞分离鉴定不同肺转移能力的克隆细胞株,为进一步筛选与肺转移相关cDNA片段奠定基础。 方法 采用极限稀释单细胞克隆法,分离出不同克隆,经体内生长转移性,体外水解酶分泌等方法进行鉴定。 结果 DD1、DG6肺转移分别为100%,27%,其具蛋白酶水解能力的细胞分别为15.80%和5.39%,DG6的体内生长明显较DD1缓慢。 结论 筛选出了高肺转移克隆DD1,低肺转移克隆DG6。利用小鼠树突状细胞肉瘤(DCS)细胞分离鉴定不同肺转移能力的克隆细胞株,为进一步筛选与肺转移相关cDNA片段奠定基础。 方法 采用极限稀释单细胞克隆法,分离出不同克隆,经体内生长转移性,体外水解酶分泌等方法进行鉴定。 结果 DD1、DG6肺转移分别为100%,27%,其具蛋白酶水解能力的细胞分别为15.80%和5.39%,DG6的体内生长明显较DD1缓慢。 结论 筛选出了高肺转移克隆DD1,低肺转移克隆DG6。
, 百拇医药
【中图分类号】 R730;R731-33 【文献标识码】 A 【文章编号】 0529-1356(2000)04-332
SCREENING AND IDENTIFICATION OF CLONES WITH DIFFERENT
METASTATIC ABILITY FROM DENDRITIC CELL SARCOMA CELLS
LIU Yu-qin GU Bei ZHAO Xue-mei LI Cun-xi GAO Jin ZHANG Jing-bo
(Institute of Basic Medical Sciences, Chinese Academy of Medical Sciences Peking
Union Medical College, Beijing 100005, China)
, http://www.100md.com
【Abstract】 Objective From dendritic cell sarcoma(DCS) cells, to screen and identify lung metastatic clones for further screening of lung metastasis related cDNA. Methods Limited dilution was used to isolate and establish single cell clones. In vivo metastasis and in vitro proteolysis were used to determine different clones. Results The rate of lung metastasis of clone DD1 and DG6 were 100% and 27% respectively. The percentages of proteolytic cells of them were 15.80% and 5.39% respectively. The in vivo growth of DG6 is obviously slower than that of DD1. Conclusion DD1 proved to be a high lung metastatic clone, while DG6 a low lung metastatic clone.
, http://www.100md.com
【Key words】 Dendritic cell sarcoma, Lung metastasis, Clone; Mouse
肿瘤细胞的侵袭转移是肿瘤治疗的难题,肿瘤的转移是由异质性的母系群体中,少数具有高转移能力的细胞而形成的。肿瘤的转移还具有器官亲和性[1],因此肿瘤转移是肿瘤细胞与宿主器官组织相互作用、特异选择的结果。本研究的目的就是从高转移性肿瘤细胞系中分离、鉴定不同肺转移能力的克隆细胞,为进一步克隆肿瘤转移器官亲和性cDNA片段或基因奠定基础。
材料和方法
1.细胞来源及培养
实验选用本室自建肿瘤细胞系,小鼠树突状细胞肉瘤(DCS)[2],常规RPMI1640培养基加10%新生牛血清和双抗(青霉素105IU/L、链霉素105IU/L)培养。
, 百拇医药
2.DCS细胞单克隆细胞株的分离
收集对数生长期DCS细胞,台盼蓝染色,活细胞>95%。采用连续稀释法稀释至10个细胞/ml。96孔板2块,每孔加0.1ml该稀释细胞悬液,然后再加入0.1ml培养液,贴壁2h后,倒置显微镜下观察并标出单细胞孔。连续5d反复标记单细胞孔,快速生长的克隆于10d时接种6孔板,扩大培养。
3.DCS细胞及克隆细胞蛋白水解能力的鉴定
详细方法见文献[3]。简言之,用小鼠血浆涂布盖片,纯酒精固定后,热气流速干,置96孔板中,培养液洗涤后备用。实验时,6孔板内每孔加3ml培养液,10万个细胞,37℃,5%CO2孵箱温育60min,然后洗去未粘附细胞,更换新的培养板及培养液继续培养至24h。取出盖片,0.01mol/L pH7.4的PBS洗3次,2.5%戊二醛固定15min,考马斯亮蓝R250(Serva,NY)染色30min,漂洗、风干、树胶封片,光学显微镜下观察并摄片。
, 百拇医药
4.细胞蛋白水解能力结果判断
经染色后血浆基质为蓝色,肿瘤细胞可将其周围的蛋白基质水解,留下透明空斑区,该透明空斑的有无及大小即可反映肿瘤细胞的蛋白水解能力(图1)。将瘤细胞随机计数200个以上细胞,计数水解细胞的比例。
5.DCS细胞及克隆细胞体内肺转移能力的鉴定
分别收集DCS母系及克隆的细胞,制备细胞悬液,以2×106/0.2ml肿瘤细胞接种于近交系615小鼠右侧腋下,观察记录肿瘤生长情况。于22~23d全部处死。取引流淋巴结及肺、肾、肝、脾、脑组织,10%PBS福尔马林固定,常规脱水、石蜡包埋、切片、HE染色、树胶封片,组织学观察。
肺内肿瘤组织学分级参照高进[4]分级法。
Ⅰ级:肺内查见1~5个小转移灶(直径<1 mm)。
, http://www.100md.com
Ⅱ级:肺内有6~10个小转移灶或1~2个中等转移灶(直径1~2 mm)。
Ⅲ级:肺内广泛分布小转移灶10个以上,或有大转移灶(直径>2 mm)。整个肺叶由转移瘤灶取代。
6.肿瘤组织中Laminin(LN)的免疫组织化学观察
瘤组织经10%中性福尔马林固定,石蜡包埋、切片。LN多抗系SIGMA公司产品(Lot 086H4822),1∶20稀释。免疫组织化学染色采用SP法,DAB显色。
结 果
1.DCS克隆细胞的分离
采用极限分离法,一次获得18个单细胞克隆细胞株。经初步筛选选出具有代表性的克隆DD1、DG6、DF7和DF1。克隆细胞的形态较为一致,各有一定特点。DD1(图1)和DF7细胞长棱形,DG6(图2)和DF1圆形、短梭形细胞较多。
, 百拇医药
2.各克隆细胞株水解能力观察结果
表1 不同克隆细胞水解细胞百分比%
Table 1 The percentage of proteolytic
cells in different clones 克隆细胞株
clones
1
2
3
平均
average
DCS
, 百拇医药
3.62
-
-
-
DD1
14.90
15.31
17.21
15.80
DF1
5.50
-
-
, 百拇医药
-
DG6
5.30
7.07
3.78
5.39
DF7
19.80
-
-
-
DD1克隆细胞株中具蛋白水解能力的细胞比例较高。DG6克隆细胞中较低。单个DD1细胞的水解空斑(图3)也较单DG6细胞的水解空斑大(图4)。提示DD1细胞的水解作用较DG6细胞强。
, 百拇医药
3.各克隆细胞株体内肺转移能力测定结果
图1 DD1和图2 DG6细胞形态。 相差 ×100
Fig.1 The image of DD1 and Fig.2 DG6 cells. Phase contrast ×100
图3 DD1和图4DG6 在蛋白基质上蛋白水解活性图像。 ×100
Fig.3 The proteolysis of DD1 and Fig.4 DG6 on protein-coated coverslip. ×100
, 百拇医药
表2 各克隆细胞株体内肺转移情况
Table 2 The lung metastasis of the clones 克隆细胞株
clones
成瘤率
tumorigenecity
肺转移率%
rate of lung
metastasis
肺转移程度
degree of lung
metastasis
, 百拇医药
Ⅰ
Ⅱ
Ⅲ
DCS
100(12/12)
83(10/12)
7
2
1
DG6
100(12/12)
27(3/12)
3
, http://www.100md.com
0
0
DF7
100(12/12)
30(3/10)
1
2
0
DF1
100(12/12)
58(7/12)
6
1
, http://www.100md.com
0
DD1
100(12/12)
100(12/12)
5
6
1
从上表可以看出,高转移克隆细胞株有DD1。中转移克隆细胞株有DF1。低转移克隆细胞株有DG6、DF7。
选DD1和DG6进行重复实验,其体内生长曲线如图5。其平均瘤重及肺转移情况与第1次实验结果基本一致,见表3。表3 DD1和DG6体内重复实验结果
Table 3 The in vivo metastasis of DD1 and DG6.
, http://www.100md.com
of repeated experiments 细胞克隆株
clones
动物数(只)
number of
animals
平均瘤重(g)
average tumor
weight
肺转移率(%)
rate of lung
metastasis
, 百拇医药
DD1
10
6.47
80
DG6
11
3.87
27
图5 DD1和DG6体内肿瘤生长曲线
Fig.5 THe growth curve of DD1 and DG6
4.肿瘤组织中LN免疫组织化学检查结果
, 百拇医药
DCS肿瘤组织内细胞间基质中LN呈强阳性(图6)。
图6 DCS肿瘤组织中LN组织化学染色。 SP法 ×400
Fig.6 LN immunochemical stainning of LN of DCS tumor tissue. S-P stain ×400
讨 论
人们对肿瘤转移的器官亲和性早有认识。在上世纪1889年病理学家Paget就提出了癌转移的“种子与土壤学说”。即只有具有转移能力的肿瘤细胞运行至适宜的器官微环境中,肿瘤转移才能形成,肿瘤转移是转移性癌细胞与宿主器官(组织)相互作用、特异选择的结果[5]。
已有的研究表明,肿瘤母系群体中肿瘤细胞是异质性的。我们研究组以前的工作中也先后建立了数种不同转移潜能的克隆[6]。深入的基因水平的研究工作表明:肿瘤细胞的生物学行为的变化都是以基因表达调控的变化为基础。迄今有关癌基因、抑癌基因的研究已取得了很大进展。人们也已开始了肿瘤侵袭基因(invasion gene)、肿瘤转移基因及转移抑制基因的研究[7]。对肿瘤转移器官特异性相关基因的寻找是一个新的研究领域。本研究就是要筛选出不同肺转移能力的癌细胞亚群,为进一步差异筛选癌细胞转移器官亲和性相关DNA片段或基因奠定基础。
, 百拇医药
本研究中用单细胞克隆法得到的DD1和DG6两个亚系,体外经水解酶测定,两者差异明显。体内经生长和肺转移能力测定,相差也很明显。证明两者确实为具有不同肺转移能力的亚系,是进一步筛选肿瘤肺转移相关DNA片段或基因的有力工具。
DCS细胞体内移植成瘤后,瘤组织及周围解剖时见大量粘稠物质。为明确其性质,进行了免疫组织化学检查。本研究LN染色(S-P法)呈强阳性,信号位于瘤细胞间,组成肿瘤间质。
本文图1~4,6见插图第10页
【基金项目】 卫生部基金资助项目(98-1-006)
【作者简介】 刘玉琴(1964—),女(汉族),山东省人,副研究员,硕士导师
作者单位:章静波(中国医学科学院 中国协和医科大学基础医学研究所,北京 100005)
, http://www.100md.com
参考文献
[1] Nicolson GL. Organ specificity of tumor metastasis, role of preferential adhesion and growth of malignant cells at specific secondary site[J]. Cancer and metastasis review, 1988,7:143-167.
[2] 李存玺,顾蓓,高进.小鼠树突状细胞系的建立及形态学鉴定[J].解剖学报,1997,28(1):63~68.
[3] 刘玉琴.侵袭和转移性肿瘤细胞相关生物学特性研究方法和应用.见高进主编《癌的侵袭与转移——基础研究与临床》[M].北京:北京医科大学中国协和医科大学联合出版社,1996:15~27.
[4] 高进.癌细胞转移模型的建立及应用.见高进主编《癌的侵袭与转移——基础研究与临床》[M].北京:北京医科大学中国协和医科大学联合出版社,1996:53~63.
, http://www.100md.com
[5] 刘玉琴,高进.肿瘤侵袭转移器官特异性研究进展[J].中国肿瘤临床,1993,20(12):944~947.
[6] 高进,刘玉琴,韩立群,等.不同转移潜能癌细胞亚系分离鉴定和细胞克隆模型建立及在转移机理研究中的应用[J].中国肿瘤,1997,6(2);20~21.
[7] 章静波.癌基因、抑癌基因在人细胞癌变过程的作用及调控[J].中国肿瘤,1996,5(3):14~16.
【收稿日期】 1999-09-14
【修回日期】 2000-04-12, http://www.100md.com