实验性铅中毒对睾丸神经生长因子基因表达的影响
作者:丁斐 顾晓松 王晓冬 姚登兵
单位:丁斐(南通医学院卫生毒理学教研室);顾晓松(神经科学研究所,南通 226001);王晓冬(神经科学研究所,南通 226001);姚登兵(神经科学研究所,南通 226001)
关键词:铅;神经生长因子(NGF) mRNA;睾丸;小鼠
解剖学报000406 【摘要】 目的 探讨实验性铅中毒对睾丸组织神经生长因子(NGF)基因表达的影响。 方法 小鼠以0.5%醋酸铅自由饮服8周,测定血铅和睾丸铅含量。采用原位杂交法(以地高辛标记NGF DNA为探针)和RT-PCR方法,观察睾丸组织NGF mRNA含量的变化。 结果 铅染毒小鼠血铅和睾丸组织铅含量明显升高;原位杂交结果显示,铅染毒小鼠睾丸杂交信号明显减少;RT-PCR结果表明,铅染毒小鼠睾丸组织NGF mRNA表达量明显下降。 结论 铅中毒可使睾丸组织NGF基因表达量减少。探讨实验性铅中毒对睾丸组织神经生长因子(NGF)基因表达的影响。 方法 小鼠以0.5%醋酸铅自由饮服8周,测定血铅和睾丸铅含量。采用原位杂交法(以地高辛标记NGF DNA为探针)和RT-PCR方法,观察睾丸组织NGF mRNA含量的变化。 结果 铅染毒小鼠血铅和睾丸组织铅含量明显升高;原位杂交结果显示,铅染毒小鼠睾丸杂交信号明显减少;RT-PCR结果表明,铅染毒小鼠睾丸组织NGF mRNA表达量明显下降。 结论 铅中毒可使睾丸组织NGF基因表达量减少。
, http://www.100md.com
【中图分类号】 R153.1 【文献标识码】 A 【文章编号】 0529-1356(2000)04-313
THE EFFECT OF LEAD POISONING ON NGF GENE
EXPRESS IN MOUSE TESTIS
DING fei
(Department of Hygiene Toxicology)
GU Xiao-song WANG Xiao-dong YAO Den-bing
(Institute of Neuroscience, Nantong Medical College, Nantong 226001,China)
, 百拇医药
【Abstract】 Objective To study the effect of the lead poison on the NGF gene expression in the testis of mouse. Methods Mice were exposed to 0.5% acetate lead for 8 weeks. The lead concentrations of blood and contents of testis were determined. Effects of lead poisoning on expression of NGF mRNA in testis were analyzed by in situ hybridization using NGF DNA probe labeled with digoxin and the reverse transcription-polymerase chain reaction(RT-PCR) method. Results The lead concentrations of blood and contents in testis of poisoned mice were increased. In situ hybridization indicated that hybridized signals in the testis of poisoned mice reduced significantly. The expression levels of NGF mRNA in the poisoned mouse testis were decreased. Conclusion Lead poisoning could reduce NGF gene expression levels of mouse testis.
, http://www.100md.com
【Key words】 Lead; NGF mRNA; Testis; Mouse
神经生长因子(nerve growth factor, NGF)是调节神经系统的重要生物活性分子之一。大量的实验证明它是神经元发育、分化、行使正常生理功能必不可少的营养分子[1]。近年来不断有学者通过免疫组织化学的方法发现在小鼠、大鼠的睾丸、附睾以及豚鼠、兔、公牛的前列腺中也有NGF存在[2~4],提示NGF在生殖细胞的分化、发育和生理功能方面可能也具有重要的作用。我们在以往的研究中也发现,NGF在睾丸中具有自分泌与旁分泌作用的可能,并不断地促进精子自身的成熟,维持精子的活力[5]。
铅作为一种重金属,不仅对机体神经、造血、消化、心血管等系统具有毒性作用,而且也可损害机体的生殖功能[6]。有报道证实,铅作业男性精子数减少,精子活动力下降、精子畸形率升高[7]。动物实验表明,铅中毒可使大、小鼠的睾丸组织发生组织病理学变化[8]。但至今尚未见有关铅中毒对雄性动物生殖系统NGF影响的报道。本研究采用原位杂交和RT-PCR的方法,观察铅中毒小鼠睾丸组织中NGF mRNA含量的变化,以探讨铅对睾丸组织NGF基因表达的影响。
, 百拇医药
材料和方法
1.动物和试剂
健康雄性ICR小鼠,1月龄,由南通医学院实验动物中心提供。
限制性内切酶、Taq DNA聚合酶、RNA提取试剂(Trizol)、第一链cDNA合成试剂盒(SuperScriptTM Preamlification System for First Strand cDNA Synthesis Kit)购自GibcoBRL公司;地高辛标记试剂盒(PCR DIG Probe Synthesis Kit)购自Bboehringer Mannheim公司;硫酸葡聚糖、鱼精DNA、甲酰胺等试剂购自Sigma公司;一般化学试剂购自上海试剂公司。
2.引物的合成
按NGF基因DNA序列,以中国科学院上海植物生理研究所合成的2个寡核苷酸为引物,其编码区为38~56和380~398,预期扩增产物为360bp。引物1:5’-GAATTCTCGGTGTGTGACA-3';引物2:5'-CTATCTCACAGCCTTCCTG-3'。以G3PD (甘油醛-3-磷酸脱氢酶Glyceraldehyde 3-Phosphate Dehydrogenase)作为内参,引物序列为:引物1:5’-GGTGAAGGTGGGTGTCAAC-3';引物2:5’-TTCCCATTCTCAGCCTTGAC-3'。预期扩增产物长度为200bp。
, http://www.100md.com
3.铅中毒模型的制备
小鼠16只,随机分成2组(每组8只):一组为正常对照组,以去离子水自由饮服;另一组为铅染毒组,以0.5%醋酸铅水溶液自由饮服,染毒时间为8周。
4.血铅、睾丸铅含量的测定及组织病理学检查
采用原子吸收分光光度法分别测定染毒组和对照组小鼠血铅和睾丸组织铅含量。取睾丸组织经HE染色,光镜检查。
5.Dig-β NGF DNA探针制备
将360 bp的β NGF DNA片段,克隆人pUC19质粒,转染JM13大肠杆菌,体外扩增,按碱性裂解法提取质粒DNA。将质粒DNA稀释后作为模板,采用上述NGF引物,在Cetus公司的PCR仪上,通过PCR DNA扩增,用直接标记法制备Dig-β NGF cDNA探针[9]。
, http://www.100md.com
6.原位杂交
小鼠经10%水合氯醛腹腔注射麻醉,生理盐水、4%多聚甲醛磷酸缓冲液灌流固定,取睾丸组织后固定,常规冰冻切片(厚约15 μm),按文献[9,10]的方法,进行原位杂交。
7.RT-PCR
7.1 总RNA提取:采用Trizol试剂提取正常对照组和染毒组小鼠睾丸组织总RNA。每个样品均经甲醛变性胶电泳检测其RNA的完整性。采用日本岛津UV2200紫外分光光度仪,检测各样品中总RNA的含量。
7.2 第1链cDNA的合成:分别取对照组和染毒组小鼠睾丸组织总RNA各5 μg,依次加入10μmol/L 01igo(dT)12~18 1μl,DEPC水适量,使总体积达12μl,于70℃加热10min,冰浴2min。再加入:10×PCR缓冲液2μl、25mmol/L MgCl2 2μl、10mmol/L dNTPmix 1μl、0.1mol/L二硫苏糖醇(DDT) 2μl。轻轻混匀后于42℃孵育5min,再加入SuperScript Ⅱ反转录酶1μl(2×106IU/L),于42℃孵育50min。70℃加热15min终止反应。置-20℃保存备用。
, http://www.100md.com
7.3 PCR:以第1链cDNA 2μl为模板,依次加入NGF引物(10pmol/L)各1μl,2mmol/L dNTPmix 4μl,10×PCR缓冲液 5μl,双蒸水34.5μl,TaqDNA聚合酶0.5μl(5×106 IU/L),反应总体系为50μl。95℃预变性3min。PCR反应条件为:95℃变性45s,57℃退火45s,72℃延伸40s,循环32次。每个反应体系中,均加入G3PD的一对引物(10pmol/L)为PCR扩增的内参。以1.5%琼脂糖凝胶电泳检测NGF扩增产物(360bp)和G3PD扩增产物(200bp)。经凝胶图像分析系统,对各组RT-PCR产物的电泳条带进行密度分析。
结 果
1.实验性铅中毒对血铅、睾丸组织铅含量的影响
铅染毒8周,小鼠的发育停止,精神痿靡。用火焰原子吸收分光光度法测定小鼠血铅及睾丸组织铅含量,采用t检验比较染毒组和对照组间的差异。结果表明,染毒组小鼠血铅浓度和睾丸组织铅含量明显高于对照组(P<0.01)。结果见表1。
, 百拇医药
2.病理组织学观察
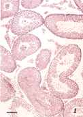
光镜下可见,对照组小鼠睾丸生精小管细胞5~7层,各层细胞分化明显,细胞排列紧密;而染毒组小鼠睾丸生精小管中生精细胞局灶性减少,细胞核固缩,空泡变性,细胞各层分化不明显(图1,2)。
3.原位杂交
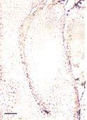
原位杂交结果显示,正常成年小鼠睾丸生精小管管壁呈多处散在的杂交阳性反应,且基部较近腔部信号强;生精小管基膜也有较强的阳性反应,可能和此处的肌上皮有关。管腔中呈弱阳性,曲精小管间质有弱阳性反应。而铅染毒小鼠睾丸杂交信号明显减弱,仅局限于基底膜和基底的精原细胞或初级精母细胞上,曲精小管间质细胞无阳性反应(图3,4)。
图1 正常小鼠睾丸HE染色,标尺示100μm
, http://www.100md.com
Fig.1 The HE stainment of nomal mouse testes. Bar=100μm
图2 铅染毒小鼠睾丸HE染色,标尺示50μm
Fig.2 The HE stainment of lead poisoned mouse testis. Bar=50μm
图3 正常小鼠睾丸原位杂交,标尺示50μm
Fig.3 In situ hybridization for normal mouse testis. Bar=50μm
, 百拇医药
图4 铅染毒小鼠睾丸原位杂交,标尺示50μm
Fig.4 In situ hybridition for lead poisoned mouse testis. Bar=50μm
表1 铅染毒对小鼠血铅及睾丸组织铅含量的影响
Table 1 The effect of lead poison on the concentration
of blood and the contents of testis 组别
group
动物数
number
, http://www.100md.com (只)
血铅浓度
lead concentr-
ation of blood
(μg/dl,
±s)
睾丸铅含量
lead contents
of testis
(μg/dl,
±s)
铅染毒组
, http://www.100md.com
lead poison
group
8
182.09±8.64*
3.92±0.53*
正常对照组control group
8
4.24±0.67
0.05±0.01
*与对照组相比,P<0.01 compared with control,P<0.01
, 百拇医药 4.RT-PCR
将染毒组和对照组NGF mRNA RT-PCR扩增产物经1.5%琼脂糖凝胶电泳检测,证实在360bp(NGF)和200bp(G3PD)处均呈现特异性扩增条带。采用凝胶图像分析系统分别对扩增产物的电泳条带进行密度分析(结果用NGF/G3PD表示,以减少误差)。采用t检验,比较两组间的差异。结果表明,与正常对照组相比,铅染毒组小鼠睾丸NGF mRNA表达水平明显下降(P<0.01),即铅中毒小鼠睾丸组织中NGF mRNA含量明显减少。(表2,图5)。
图5 铅中毒对睾丸NGF mRNA的影响
1.正常小鼠睾丸 2.铅染毒小鼠睾丸 M.DNA分子量标准品
Fig.5 The effect of lead poison on NGF mRNA in testis.
, 百拇医药
表2 铅染毒对小鼠睾丸组织NGF mRNA的影响
Table 2 The effect of lead poison
on NGF mRAN in mouse testis 组别
group
实验次数(次)
times of the
experiment
NGF/G3PD
(
±s)
, 百拇医药
铅染毒组
lead poison
group
5
0.23±0.02
正常对照组
control group
5
0.73±0.04
与对照组相比,P<0.01 compared with control, P<0.01讨 论
由于铅对机体的神经、造血、消化、心血管及生殖系统等均可产生毒性作用,所以学者们对铅的毒作用机理已进行了较为深入的研究,但迄今关于铅对雄性生殖毒作用机理却说法不一。有人认为铅通过损伤下丘脑-垂体-性腺轴而间接抑制睾丸的生精功能[11]。Lancranjan[7]则在调查中发现,铅作业工人和对照组工人尿17-羟类固醇含量并无显著性差异。故而认为男性生殖功能损伤的原因并非是铅作用于下丘脑-垂体-性腺轴,而是铅对性腺的直接毒性作用。本研究结果表明,铅染毒后小鼠血铅浓度升高的同时,睾丸组织铅含量也增加。病理组织学观察结果显示,铅染毒使睾丸组织呈现病理组织学改变,生精小管中生精细胞局灶性减少,细胞核固缩、空泡变性,细胞各层分化不明显。提示:铅可通过血睾屏障进入睾丸组织,从而直接损伤生精细胞,导致生殖功能损害。
, 百拇医药
50年代初,Levi-Montalcini在小鼠肉瘤细胞中发现了NGF,研究表明,它是神经系统最重要的生物活性分子之一。实验证实NGF及其受体在体内的分布十分广泛,但并不仅仅局限于神经系统,它也像其他肽类生长因子一样具有多方面功能[1]。近年的研究还表明,NGF对机体生殖功能也具有重要调节作用。早在80年代后期,Olson[4]和MacGrogon[12]等发现,小鼠、大鼠等动物睾丸中的各级生精细胞均具有合成NGF的能力;我们的实验也证实NGF mRNA存在于小鼠的精原细胞、精母细胞及精子细胞浆中,提示精子的成熟和运动需要NGF的参与。Parvinen[13]在睾丸曲精小管体外培养研究中发现,NGF可防止生精细胞变性,保持曲精小管生精上皮的厚度,而且在生精细胞成熟分裂过程中DNA的合成随NGF的加入量而增加。说明NGF对曲精小管上皮具有营养、促进生长的效应,还能促进生精细胞的发育成熟。生精细胞的分化成熟是一个复杂的过程,受多种因素的调节,其中雄激素是促进生精细胞成熟的主要因素之一。在曲精小管中,生精细胞相嵌在支持细胞的侧面,支持细胞合成的雄性激素结合蛋白(androgen binding protein,ABP)可与睾丸间质细胞分泌的雄性激素结合,提高曲精小管内雄激素的含量,促进精子的发生。NGF促进生精过程的机理至今尚不完全清楚。有文献报道[14],在睾丸支持细胞中有NGF受体mRNA的存在,Lonnerberg等[15]在研究中也发现,NGF能促进支持细胞ABP mRNA的表达。故而推测NGF参与调节生精过程的途径之一,很可能是通过与支持细胞表面的NGF受体结合,促进支持细胞中ABP mRNA表达,ABP合成增加,进而使行使支持细胞浓集雄性激素的能力增加,而曲精小管内雄性激素含量的增加又促进了生精细胞的分化与成熟。
, http://www.100md.com
本研究的结果显示,铅染毒可使小鼠睾丸组织NGF mRNA表达水平明显下降,使其指导合成的NGF也必然减少。说明铅染毒不仅可使睾丸组织出现组织病理学改变,而且可从DNA转录或复制水平影响NGF的合成,使睾丸组织中NGF生成减少,进而影响睾丸组织的生长发育、影响生精细胞的分化和成熟、影响精子的生成。这一切均会更加重铅对生殖系统的毒性作用。
NGF具有广泛的生物学作用,目前国内外已经将其应用于临床治疗神经损伤、脑萎缩、脑功能障碍、神经退行性变疾病及糖尿病并发的周围神经炎等,取得了满意的疗效。本研究结果为今后使用NGF治疗和预防铅对机体生殖功能的毒作用,提供了有益的资料。
本文图1~4见插图7页
【基金项目】 国家杰出青年科学基金部分资助项目(39425006);江苏省教委青蓝工程资助项目
【作者简介】 丁斐(1958—),女(汉族),江苏南通市人,硕士,副教授,卫生毒理学教研室主任
, 百拇医药
参考文献
[1] 周廷冲主编.多肽生长因子——基础与临床[M].北京:中国科学技术出版社,1992:105~118.
[2] Harer GP, Glanville RW, Thoenen H. The purification of nerve growth factor from bovine seminal plasma[J]. J Biol Chem, 1982,275(14):8541-8548.
[3] Shikata H, Utsumi N, Hiramatsu M, et al. Immunohisto-chemical localization of nerve growth factor and epidermal growth factor in guinea pig prostate gland[J]. Histochemistry, 1984,80(4):411-415.
, 百拇医药
[4] Olson L, Ayěr-Le lievre C, Ebendal T. Nerve growth factor-like immunoreactivities in the testis and epididymis of mouse and rat[J]. Cell Tissue Res,1987,248(2):275-286.
[5] 曹铮,陆璐,丁斐,等.神经生长因子mRNA水平与睾丸生精细胞成熟和功能的关系[J].男性学杂志,1996,10(3):136~139.
[6] 王兰,刚葆琪.现代劳动卫生学[M].北京:人民卫生出版社,1994:275~282.
[7] Lancranjan L, Popesscu HI. Reproductive ability of workmen occupationally exposed to lead[J]. Arch Environ Herlth,1975,30(8):396-401.
, http://www.100md.com
[8] 王丽莉,胡文媛,吴沈春,等.醋酸铅染毒小鼠睾丸和附睾组织病理学观察[J].卫生毒理学杂志,1991,5(2):89~92.
[9] 曹铮,陆璐,丁斐,等.地高辛标记人神经生长因子DNA探针的制备及应用[J].神经科学,1995,3:141~144.
[10] 丁斐,陆璐,曹铮,等.铅中毒对小鼠颌下腺神经生长因子基因表达的影响[J].中华预防医学杂志,1999,33(5):266~268.
[11] Sokol R Z. Lead toxicity and the hypothalamic-pituitary-testicular axis[J]. Biology of Reproduction,1985,33(3):722-728.
[12] MacGrogan D, Despres G, Romand R, et al. Expression of β nerve growth factor in male sex organs of the mouse, rat and guinea pig[J]. J Neursci Res,1991,28(4):567-573.
, 百拇医药
[13] Parvinen M, Pelto-Huikko M, Soder O, et al. Expression of β nerve growth factor and its receptor in rat seminiferous epithlium:specific function at the onset of meiosis [J]. J Cell Biol,1992,117(3):629-641.
[14] Persson H, Ayer-Le Lievre C. Expresson of β-nerve growth factor receptor mRNA in Sertoll cells downregulated by testosterone [J]. Science, 1990,247(4943):704-707.
[15] Lonnerbrg P, Soder O, Parvinen M. β-NGF influences the expression of androgen biding motein messenger ribenucleic acid in the rat testis [J]. Biology of Reproduction, 1992,47(3):381-389.
【收稿日期】 1999-08-06
【修回日期】 1999-12-14, 百拇医药
单位:丁斐(南通医学院卫生毒理学教研室);顾晓松(神经科学研究所,南通 226001);王晓冬(神经科学研究所,南通 226001);姚登兵(神经科学研究所,南通 226001)
关键词:铅;神经生长因子(NGF) mRNA;睾丸;小鼠
解剖学报000406 【摘要】 目的 探讨实验性铅中毒对睾丸组织神经生长因子(NGF)基因表达的影响。 方法 小鼠以0.5%醋酸铅自由饮服8周,测定血铅和睾丸铅含量。采用原位杂交法(以地高辛标记NGF DNA为探针)和RT-PCR方法,观察睾丸组织NGF mRNA含量的变化。 结果 铅染毒小鼠血铅和睾丸组织铅含量明显升高;原位杂交结果显示,铅染毒小鼠睾丸杂交信号明显减少;RT-PCR结果表明,铅染毒小鼠睾丸组织NGF mRNA表达量明显下降。 结论 铅中毒可使睾丸组织NGF基因表达量减少。探讨实验性铅中毒对睾丸组织神经生长因子(NGF)基因表达的影响。 方法 小鼠以0.5%醋酸铅自由饮服8周,测定血铅和睾丸铅含量。采用原位杂交法(以地高辛标记NGF DNA为探针)和RT-PCR方法,观察睾丸组织NGF mRNA含量的变化。 结果 铅染毒小鼠血铅和睾丸组织铅含量明显升高;原位杂交结果显示,铅染毒小鼠睾丸杂交信号明显减少;RT-PCR结果表明,铅染毒小鼠睾丸组织NGF mRNA表达量明显下降。 结论 铅中毒可使睾丸组织NGF基因表达量减少。
, http://www.100md.com
【中图分类号】 R153.1 【文献标识码】 A 【文章编号】 0529-1356(2000)04-313
THE EFFECT OF LEAD POISONING ON NGF GENE
EXPRESS IN MOUSE TESTIS
DING fei
(Department of Hygiene Toxicology)
GU Xiao-song WANG Xiao-dong YAO Den-bing
(Institute of Neuroscience, Nantong Medical College, Nantong 226001,China)
, 百拇医药
【Abstract】 Objective To study the effect of the lead poison on the NGF gene expression in the testis of mouse. Methods Mice were exposed to 0.5% acetate lead for 8 weeks. The lead concentrations of blood and contents of testis were determined. Effects of lead poisoning on expression of NGF mRNA in testis were analyzed by in situ hybridization using NGF DNA probe labeled with digoxin and the reverse transcription-polymerase chain reaction(RT-PCR) method. Results The lead concentrations of blood and contents in testis of poisoned mice were increased. In situ hybridization indicated that hybridized signals in the testis of poisoned mice reduced significantly. The expression levels of NGF mRNA in the poisoned mouse testis were decreased. Conclusion Lead poisoning could reduce NGF gene expression levels of mouse testis.
, http://www.100md.com
【Key words】 Lead; NGF mRNA; Testis; Mouse
神经生长因子(nerve growth factor, NGF)是调节神经系统的重要生物活性分子之一。大量的实验证明它是神经元发育、分化、行使正常生理功能必不可少的营养分子[1]。近年来不断有学者通过免疫组织化学的方法发现在小鼠、大鼠的睾丸、附睾以及豚鼠、兔、公牛的前列腺中也有NGF存在[2~4],提示NGF在生殖细胞的分化、发育和生理功能方面可能也具有重要的作用。我们在以往的研究中也发现,NGF在睾丸中具有自分泌与旁分泌作用的可能,并不断地促进精子自身的成熟,维持精子的活力[5]。
铅作为一种重金属,不仅对机体神经、造血、消化、心血管等系统具有毒性作用,而且也可损害机体的生殖功能[6]。有报道证实,铅作业男性精子数减少,精子活动力下降、精子畸形率升高[7]。动物实验表明,铅中毒可使大、小鼠的睾丸组织发生组织病理学变化[8]。但至今尚未见有关铅中毒对雄性动物生殖系统NGF影响的报道。本研究采用原位杂交和RT-PCR的方法,观察铅中毒小鼠睾丸组织中NGF mRNA含量的变化,以探讨铅对睾丸组织NGF基因表达的影响。
, 百拇医药
材料和方法
1.动物和试剂
健康雄性ICR小鼠,1月龄,由南通医学院实验动物中心提供。
限制性内切酶、Taq DNA聚合酶、RNA提取试剂(Trizol)、第一链cDNA合成试剂盒(SuperScriptTM Preamlification System for First Strand cDNA Synthesis Kit)购自GibcoBRL公司;地高辛标记试剂盒(PCR DIG Probe Synthesis Kit)购自Bboehringer Mannheim公司;硫酸葡聚糖、鱼精DNA、甲酰胺等试剂购自Sigma公司;一般化学试剂购自上海试剂公司。
2.引物的合成
按NGF基因DNA序列,以中国科学院上海植物生理研究所合成的2个寡核苷酸为引物,其编码区为38~56和380~398,预期扩增产物为360bp。引物1:5’-GAATTCTCGGTGTGTGACA-3';引物2:5'-CTATCTCACAGCCTTCCTG-3'。以G3PD (甘油醛-3-磷酸脱氢酶Glyceraldehyde 3-Phosphate Dehydrogenase)作为内参,引物序列为:引物1:5’-GGTGAAGGTGGGTGTCAAC-3';引物2:5’-TTCCCATTCTCAGCCTTGAC-3'。预期扩增产物长度为200bp。
, http://www.100md.com
3.铅中毒模型的制备
小鼠16只,随机分成2组(每组8只):一组为正常对照组,以去离子水自由饮服;另一组为铅染毒组,以0.5%醋酸铅水溶液自由饮服,染毒时间为8周。
4.血铅、睾丸铅含量的测定及组织病理学检查
采用原子吸收分光光度法分别测定染毒组和对照组小鼠血铅和睾丸组织铅含量。取睾丸组织经HE染色,光镜检查。
5.Dig-β NGF DNA探针制备
将360 bp的β NGF DNA片段,克隆人pUC19质粒,转染JM13大肠杆菌,体外扩增,按碱性裂解法提取质粒DNA。将质粒DNA稀释后作为模板,采用上述NGF引物,在Cetus公司的PCR仪上,通过PCR DNA扩增,用直接标记法制备Dig-β NGF cDNA探针[9]。
, http://www.100md.com
6.原位杂交
小鼠经10%水合氯醛腹腔注射麻醉,生理盐水、4%多聚甲醛磷酸缓冲液灌流固定,取睾丸组织后固定,常规冰冻切片(厚约15 μm),按文献[9,10]的方法,进行原位杂交。
7.RT-PCR
7.1 总RNA提取:采用Trizol试剂提取正常对照组和染毒组小鼠睾丸组织总RNA。每个样品均经甲醛变性胶电泳检测其RNA的完整性。采用日本岛津UV2200紫外分光光度仪,检测各样品中总RNA的含量。
7.2 第1链cDNA的合成:分别取对照组和染毒组小鼠睾丸组织总RNA各5 μg,依次加入10μmol/L 01igo(dT)12~18 1μl,DEPC水适量,使总体积达12μl,于70℃加热10min,冰浴2min。再加入:10×PCR缓冲液2μl、25mmol/L MgCl2 2μl、10mmol/L dNTPmix 1μl、0.1mol/L二硫苏糖醇(DDT) 2μl。轻轻混匀后于42℃孵育5min,再加入SuperScript Ⅱ反转录酶1μl(2×106IU/L),于42℃孵育50min。70℃加热15min终止反应。置-20℃保存备用。
, http://www.100md.com
7.3 PCR:以第1链cDNA 2μl为模板,依次加入NGF引物(10pmol/L)各1μl,2mmol/L dNTPmix 4μl,10×PCR缓冲液 5μl,双蒸水34.5μl,TaqDNA聚合酶0.5μl(5×106 IU/L),反应总体系为50μl。95℃预变性3min。PCR反应条件为:95℃变性45s,57℃退火45s,72℃延伸40s,循环32次。每个反应体系中,均加入G3PD的一对引物(10pmol/L)为PCR扩增的内参。以1.5%琼脂糖凝胶电泳检测NGF扩增产物(360bp)和G3PD扩增产物(200bp)。经凝胶图像分析系统,对各组RT-PCR产物的电泳条带进行密度分析。
结 果
1.实验性铅中毒对血铅、睾丸组织铅含量的影响
铅染毒8周,小鼠的发育停止,精神痿靡。用火焰原子吸收分光光度法测定小鼠血铅及睾丸组织铅含量,采用t检验比较染毒组和对照组间的差异。结果表明,染毒组小鼠血铅浓度和睾丸组织铅含量明显高于对照组(P<0.01)。结果见表1。
, 百拇医药
2.病理组织学观察
光镜下可见,对照组小鼠睾丸生精小管细胞5~7层,各层细胞分化明显,细胞排列紧密;而染毒组小鼠睾丸生精小管中生精细胞局灶性减少,细胞核固缩,空泡变性,细胞各层分化不明显(图1,2)。
3.原位杂交
原位杂交结果显示,正常成年小鼠睾丸生精小管管壁呈多处散在的杂交阳性反应,且基部较近腔部信号强;生精小管基膜也有较强的阳性反应,可能和此处的肌上皮有关。管腔中呈弱阳性,曲精小管间质有弱阳性反应。而铅染毒小鼠睾丸杂交信号明显减弱,仅局限于基底膜和基底的精原细胞或初级精母细胞上,曲精小管间质细胞无阳性反应(图3,4)。
图1 正常小鼠睾丸HE染色,标尺示100μm
, http://www.100md.com
Fig.1 The HE stainment of nomal mouse testes. Bar=100μm
图2 铅染毒小鼠睾丸HE染色,标尺示50μm
Fig.2 The HE stainment of lead poisoned mouse testis. Bar=50μm
图3 正常小鼠睾丸原位杂交,标尺示50μm
Fig.3 In situ hybridization for normal mouse testis. Bar=50μm
, 百拇医药
图4 铅染毒小鼠睾丸原位杂交,标尺示50μm
Fig.4 In situ hybridition for lead poisoned mouse testis. Bar=50μm
表1 铅染毒对小鼠血铅及睾丸组织铅含量的影响
Table 1 The effect of lead poison on the concentration
of blood and the contents of testis 组别
group
动物数
number
, http://www.100md.com (只)
血铅浓度
lead concentr-
ation of blood
(μg/dl,
睾丸铅含量
lead contents
of testis
(μg/dl,
铅染毒组
, http://www.100md.com
lead poison
group
8
182.09±8.64*
3.92±0.53*
正常对照组control group
8
4.24±0.67
0.05±0.01
*与对照组相比,P<0.01 compared with control,P<0.01
, 百拇医药 4.RT-PCR
将染毒组和对照组NGF mRNA RT-PCR扩增产物经1.5%琼脂糖凝胶电泳检测,证实在360bp(NGF)和200bp(G3PD)处均呈现特异性扩增条带。采用凝胶图像分析系统分别对扩增产物的电泳条带进行密度分析(结果用NGF/G3PD表示,以减少误差)。采用t检验,比较两组间的差异。结果表明,与正常对照组相比,铅染毒组小鼠睾丸NGF mRNA表达水平明显下降(P<0.01),即铅中毒小鼠睾丸组织中NGF mRNA含量明显减少。(表2,图5)。
图5 铅中毒对睾丸NGF mRNA的影响
1.正常小鼠睾丸 2.铅染毒小鼠睾丸 M.DNA分子量标准品
Fig.5 The effect of lead poison on NGF mRNA in testis.
, 百拇医药
表2 铅染毒对小鼠睾丸组织NGF mRNA的影响
Table 2 The effect of lead poison
on NGF mRAN in mouse testis 组别
group
实验次数(次)
times of the
experiment
NGF/G3PD
(
, 百拇医药
铅染毒组
lead poison
group
5
0.23±0.02
正常对照组
control group
5
0.73±0.04
与对照组相比,P<0.01 compared with control, P<0.01讨 论
由于铅对机体的神经、造血、消化、心血管及生殖系统等均可产生毒性作用,所以学者们对铅的毒作用机理已进行了较为深入的研究,但迄今关于铅对雄性生殖毒作用机理却说法不一。有人认为铅通过损伤下丘脑-垂体-性腺轴而间接抑制睾丸的生精功能[11]。Lancranjan[7]则在调查中发现,铅作业工人和对照组工人尿17-羟类固醇含量并无显著性差异。故而认为男性生殖功能损伤的原因并非是铅作用于下丘脑-垂体-性腺轴,而是铅对性腺的直接毒性作用。本研究结果表明,铅染毒后小鼠血铅浓度升高的同时,睾丸组织铅含量也增加。病理组织学观察结果显示,铅染毒使睾丸组织呈现病理组织学改变,生精小管中生精细胞局灶性减少,细胞核固缩、空泡变性,细胞各层分化不明显。提示:铅可通过血睾屏障进入睾丸组织,从而直接损伤生精细胞,导致生殖功能损害。
, 百拇医药
50年代初,Levi-Montalcini在小鼠肉瘤细胞中发现了NGF,研究表明,它是神经系统最重要的生物活性分子之一。实验证实NGF及其受体在体内的分布十分广泛,但并不仅仅局限于神经系统,它也像其他肽类生长因子一样具有多方面功能[1]。近年的研究还表明,NGF对机体生殖功能也具有重要调节作用。早在80年代后期,Olson[4]和MacGrogon[12]等发现,小鼠、大鼠等动物睾丸中的各级生精细胞均具有合成NGF的能力;我们的实验也证实NGF mRNA存在于小鼠的精原细胞、精母细胞及精子细胞浆中,提示精子的成熟和运动需要NGF的参与。Parvinen[13]在睾丸曲精小管体外培养研究中发现,NGF可防止生精细胞变性,保持曲精小管生精上皮的厚度,而且在生精细胞成熟分裂过程中DNA的合成随NGF的加入量而增加。说明NGF对曲精小管上皮具有营养、促进生长的效应,还能促进生精细胞的发育成熟。生精细胞的分化成熟是一个复杂的过程,受多种因素的调节,其中雄激素是促进生精细胞成熟的主要因素之一。在曲精小管中,生精细胞相嵌在支持细胞的侧面,支持细胞合成的雄性激素结合蛋白(androgen binding protein,ABP)可与睾丸间质细胞分泌的雄性激素结合,提高曲精小管内雄激素的含量,促进精子的发生。NGF促进生精过程的机理至今尚不完全清楚。有文献报道[14],在睾丸支持细胞中有NGF受体mRNA的存在,Lonnerberg等[15]在研究中也发现,NGF能促进支持细胞ABP mRNA的表达。故而推测NGF参与调节生精过程的途径之一,很可能是通过与支持细胞表面的NGF受体结合,促进支持细胞中ABP mRNA表达,ABP合成增加,进而使行使支持细胞浓集雄性激素的能力增加,而曲精小管内雄性激素含量的增加又促进了生精细胞的分化与成熟。
, http://www.100md.com
本研究的结果显示,铅染毒可使小鼠睾丸组织NGF mRNA表达水平明显下降,使其指导合成的NGF也必然减少。说明铅染毒不仅可使睾丸组织出现组织病理学改变,而且可从DNA转录或复制水平影响NGF的合成,使睾丸组织中NGF生成减少,进而影响睾丸组织的生长发育、影响生精细胞的分化和成熟、影响精子的生成。这一切均会更加重铅对生殖系统的毒性作用。
NGF具有广泛的生物学作用,目前国内外已经将其应用于临床治疗神经损伤、脑萎缩、脑功能障碍、神经退行性变疾病及糖尿病并发的周围神经炎等,取得了满意的疗效。本研究结果为今后使用NGF治疗和预防铅对机体生殖功能的毒作用,提供了有益的资料。
本文图1~4见插图7页
【基金项目】 国家杰出青年科学基金部分资助项目(39425006);江苏省教委青蓝工程资助项目
【作者简介】 丁斐(1958—),女(汉族),江苏南通市人,硕士,副教授,卫生毒理学教研室主任
, 百拇医药
参考文献
[1] 周廷冲主编.多肽生长因子——基础与临床[M].北京:中国科学技术出版社,1992:105~118.
[2] Harer GP, Glanville RW, Thoenen H. The purification of nerve growth factor from bovine seminal plasma[J]. J Biol Chem, 1982,275(14):8541-8548.
[3] Shikata H, Utsumi N, Hiramatsu M, et al. Immunohisto-chemical localization of nerve growth factor and epidermal growth factor in guinea pig prostate gland[J]. Histochemistry, 1984,80(4):411-415.
, 百拇医药
[4] Olson L, Ayěr-Le lievre C, Ebendal T. Nerve growth factor-like immunoreactivities in the testis and epididymis of mouse and rat[J]. Cell Tissue Res,1987,248(2):275-286.
[5] 曹铮,陆璐,丁斐,等.神经生长因子mRNA水平与睾丸生精细胞成熟和功能的关系[J].男性学杂志,1996,10(3):136~139.
[6] 王兰,刚葆琪.现代劳动卫生学[M].北京:人民卫生出版社,1994:275~282.
[7] Lancranjan L, Popesscu HI. Reproductive ability of workmen occupationally exposed to lead[J]. Arch Environ Herlth,1975,30(8):396-401.
, http://www.100md.com
[8] 王丽莉,胡文媛,吴沈春,等.醋酸铅染毒小鼠睾丸和附睾组织病理学观察[J].卫生毒理学杂志,1991,5(2):89~92.
[9] 曹铮,陆璐,丁斐,等.地高辛标记人神经生长因子DNA探针的制备及应用[J].神经科学,1995,3:141~144.
[10] 丁斐,陆璐,曹铮,等.铅中毒对小鼠颌下腺神经生长因子基因表达的影响[J].中华预防医学杂志,1999,33(5):266~268.
[11] Sokol R Z. Lead toxicity and the hypothalamic-pituitary-testicular axis[J]. Biology of Reproduction,1985,33(3):722-728.
[12] MacGrogan D, Despres G, Romand R, et al. Expression of β nerve growth factor in male sex organs of the mouse, rat and guinea pig[J]. J Neursci Res,1991,28(4):567-573.
, 百拇医药
[13] Parvinen M, Pelto-Huikko M, Soder O, et al. Expression of β nerve growth factor and its receptor in rat seminiferous epithlium:specific function at the onset of meiosis [J]. J Cell Biol,1992,117(3):629-641.
[14] Persson H, Ayer-Le Lievre C. Expresson of β-nerve growth factor receptor mRNA in Sertoll cells downregulated by testosterone [J]. Science, 1990,247(4943):704-707.
[15] Lonnerbrg P, Soder O, Parvinen M. β-NGF influences the expression of androgen biding motein messenger ribenucleic acid in the rat testis [J]. Biology of Reproduction, 1992,47(3):381-389.
【收稿日期】 1999-08-06
【修回日期】 1999-12-14, 百拇医药