人胚胎气管上皮几种粘蛋白表达的研究
作者:闵永芬 贾心善 贺慧颖
单位:闵永芬(中国医科大学病理学教研室,沈阳 110001);贾心善(中国医科大学病理学教研室,沈阳 110001);贺慧颖(中国医科大学病理学教研室,沈阳 110001)
关键词:粘蛋白;原位分子杂交;人胚胎气管
解剖学报000423 【摘要】 目的 研究人胚胎气管上皮细胞分化过程中,粘蛋白MUC1、MUC2和MUC5ac的表达,以及MUC5ac mRNA的表达。 方法 免疫组织化学及原位杂交技术。 结果 胚胎气管上皮细胞中MUC1呈阴性表达,不同胎龄的胚胎气管上皮细胞MUC2和MUC5ac均呈阳性表达。胚胎气管上皮的细胞核及胞浆中MUC5ac mRNA呈阳性表达。 结论 胚胎气管上皮均能产生MUC2和MUC5ac粘蛋白,而且MUC5ac蛋白表达是在转录水平进行的。研究人胚胎气管上皮细胞分化过程中,粘蛋白MUC1、MUC2和MUC5ac的表达,以及MUC5ac mRNA的表达。 方法 免疫组织化学及原位杂交技术。 结果 胚胎气管上皮细胞中MUC1呈阴性表达,不同胎龄的胚胎气管上皮细胞MUC2和MUC5ac均呈阳性表达。胚胎气管上皮的细胞核及胞浆中MUC5ac mRNA呈阳性表达。 结论 胚胎气管上皮均能产生MUC2和MUC5ac粘蛋白,而且MUC5ac蛋白表达是在转录水平进行的。
, 百拇医药
【中图分类号】 Q132.7;R322.3+3;R446.62 【文献标识码】 A 【文章编号】 0529-1356(2000)04-380
STUDY OF THE EXPRESSION OF SEVERAL MUCIN GLYCOPROTEINS
IN TRACHEAL EPITHELIUM OF HUMAN EMBRYOS
MIN Yong-fen JIA Xin-shan HE Hui-ying
(Department of Pathology, China Medical University, Shenyang 110001, China)
【Abstract】 Objectives
, 百拇医药
To study the expression of MUC1, MUC2, MUC5ac and MUC5ac mRNA during the differentiation of tracheal epithelium in human embryos. Methods Immunohistochemical staining and in situ hybridization were performed. Results MUC1 was negative expression in all tracheal epithelium cells of embryos. MUC2 and MUC5ac were positively expressed in embryo tracheal epithelium of different fetal age. MUC5ac mRNA was found to be expressed in cells of embryo tracheal epithelium. Conclusion Tracheal epithelial cells of embryos all produce MUC2 and MUC5ac protein, expression of MUC5ac was on the level of transcription.
, http://www.100md.com
【Key words】 Mucin glycoproteins; in situ hybridization; Embryos tracheal
在呼吸道上皮细胞中已检测出粘蛋白MUC1-MUC5ac mRNA,在粘膜的腺细胞内发现了粘蛋白MUC4、MUC5ac及MUC8mRNA[1]。MUC2和MUC5ac基因均位于11号染色体短臂上,故两者的氨基酸序列也近似,同属于凝胶粘蛋白家族。MUC5ac是从正常人呼吸道分泌物中分离出来的,因而被认为是气管分泌的一种粘蛋白[2]。至今为止,尚无人胚胎发育过程中气管上皮细胞粘蛋白表达的研究报道。本研究对不同胎龄的胚胎气管粘膜组织中MUC1、MUC2和MUC5ac3种粘蛋白的表达进行了观察,以探讨胚胎气管上皮细胞分化过程中粘蛋白的演变过程。
材料和方法
1. 标本来源
, 百拇医药
25例因意外事故终止妊娠的人胚胎气管组织,胎龄8~32周。由中国医科大学附属第二临床学院提供。
2. 试剂及方法
3种粘蛋白MUC1、MUC2、MUC5ac抗体(均为即用型)以及PS试剂盒(即用型)和核快红购自福州迈新公司,地高辛标记及检测试剂盒为德国BM公司产品。MUC5ac cDNA探针由日本鹿儿岛大学医学部第二病理米泽杰教授惠赠。胚胎用生理盐水冲洗后,分离气管(8周胚胎则直接取颈部),经4%福尔马林固定,石蜡包埋,切片厚4μm。
2.1 MUC1、MUC2和MUC5ac免疫组织化学染色(SP法):
阳性对照:MUC1用乳腺癌组织切片,MUC2用结肠癌组织切片,MUC5ac用正常胃粘膜组织切片。
阴性对照:以PBS代替一抗作阴性对照。
, 百拇医药
2.2 MUC5ac原位杂交:切片脱蜡水化后,2×SSC清洗,4%多聚甲醛PBS液固定20 min,1g/L Pronase消化37 ℃ 10 min,2g/L Glycin Solutio,滴杂交液50 μl于切片上,用经硅化处理过的盖玻片覆盖,湿盒中37 ℃过夜(杂交液组成:50% (V/V) Formamide,10%(W/V) Dextra Sulfate; 20 mmol/L Sodium Phosphate (pH7.4), 3×SSC, 1×Denhardt Solution, 100 mg/L Salmon Sperm DNA; 125 mg/L Yeast-RNA; 0.5 g/L Digoxigenin Conjugate Probe)。阻断液阻断30 min,碱性磷酸酶标记的抗地高辛抗体(1∶100)37 ℃ 60 min,加入底物缓冲液稀释的1∶50 BCIP/NBT(4-溴基-5氨基-3吲哚磷酸盐/氮盐四唑)显色,1 mol/L Tris-HCl, 0.5 mol/L EDTA中止反应,核快红复染、脱水、封胶盖片。
, http://www.100md.com
阳性对照:用正常胃粘膜组织切片。
阴性对照:杂交液中不加探针做为阴性对照。
结果和讨论
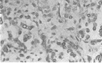
MUC1在胚胎气管上皮细胞均呈阴性表达(图1),而MUC2和MUC5ac则在25例胚胎气管上皮细胞均呈阳性表达(附表),而且纤毛细胞、粘液细胞和基底细胞的胞质内均可见棕黄色阳性颗粒,杯状细胞的分泌物也呈阳性(图2~4)。MUC2的表达随着胎龄的增大,染色阳性程度降低。阴性对照结果均呈阴性(图5)。胚胎气管上皮MUC5ac mRNA的表达;8周的个别细胞胞质及胞核呈阳性表达(图6),至32周时,胎儿肺的肺泡上皮细胞胞质及胞核多呈阳性表达(图7),阴性对照均呈阴性(图8)。
人类9种粘蛋白多肽分子结构,已被确定[3]。这些粘蛋白基因在不同组织和细胞中表达,MUC1是一种膜粘蛋白,在乳腺癌及胰腺导管细胞呈高表达,含有中心前后排列的重复序列,此区域高度糖基化,并且在跨膜区域与肌动蛋白细胞骨架成分相互作用。MUC2是一种分泌型粘蛋白,也是主要的肠粘蛋白之一。MUC2也拥有一个中心前后排列的重复区域,较MUC1糖基化程度高,且在两侧非重复区域富含半胱氨酸。研究表明,粘蛋白中的糖基分子参与细胞的许多重要生物学功能,包括生长调控、细胞分化、同型和异型细胞间相互作用,细胞与基底膜之间的相互作用,而且有独特的理化特性,使上皮细胞具有保护功能。贾心善等[4]研究发现,成人气管粘膜上皮中仅见基底细胞表达MUC1,而在腺癌和小细胞癌中呈高表达,MUC2在成人气管上皮的粘液腺呈阳性表达。本研究结果表明,胚胎气管上皮细胞中呈MUC1阴性表达,MUC2则均呈阳性表达,且随着胎龄的增加,其阳性程度下降,提示MUC2存在于胚胎气管上皮细胞中,而且在胚胎发育早期和中期MUC2蛋白的合成较多,晚期较少,这可能与胎儿在母体内,气管迅速生长发育相关。
, http://www.100md.com
附表 不同胎龄胚胎气管上皮粘蛋白抗原的表达
Table The expression of mucin in embryos tracheal
epithelium of different fetal age 胎龄(fetal age)
MUC1
MUC2
MUC5ac
8周(week)
-
+
+
, http://www.100md.com 12周(week)
-
+
+
17周(week)
-
+
+
21周(week)
-
+
+
29周(week)
, 百拇医药
-
+
+
MUC5ac和MUC2基因位于染色体11P15.5上,可能属于同源基因。Borchers等[5]研究发现,丙烯醛刺激大鼠呼吸道能诱导粘液细胞化生,并伴有MUC5ac mRNA含量和MUC5ac抗原的免疫反应性增大,认为气管上皮细胞中MUC5ac抗原表达增强是由于激活了粘膜下腺的固有粘液细胞,从而导致粘蛋白合成和分泌。给大鼠表皮生长因子和维甲酸后,气管上皮内的MUC5ac mRNA含量增加,并伴有MUC5ac抗原表达增强。本研究结果,胚胎气管上皮细胞均呈MUC5ac阳性表达,而且不同胎龄的反应无差异,胚胎气管上皮细胞的胞质和胞核也呈阳性表达。说明MUC5ac是气管上皮细胞分化和成熟过程中必不可少的。
胚胎发育过程是在时间和空间环境的精细调节下进行的一种极其复杂的过程,细胞成熟和分化过程是在许多因素参与下完成的。本研究表明,粘蛋白MUC2和MUC5ac对胚胎气管上皮发育过程中,纤毛细胞、粘液细胞和基底细胞的分化和成熟过程,以及3种细胞之间相互作用和生长调控起重要作用。本文图1~6见插图第20页
, 百拇医药
图1 8周胚胎气管上皮细胞MUC1呈阴性表达。SP法 ×400
Fig.1 MUC1 was negative expression in embryos tracheal epithelium cells of 8 weeks age. SP method ×400
图2 8周胚胎气管上皮细胞MUC2呈强阳性表达。SP法 ×400
Fig.2 Strongly expressed MUC2 in embryos tracheal epithelium cells of 8 weeks age. SP method ×400
, 百拇医药 图3 18周胚胎气管上皮细胞MUC5ac呈阳性表达。SP法 ×400
Fig.3 MUC5 was positive expression in embryos tracheal epithelium cells of 18 weeks age. SP method ×400
图4 29周胚胎气管上皮细胞MUC2呈轻度阳性表达。SP法 ×400
Fig.4 Faintly expressed MUC2 in embryos tracheal epithelium cells of 29 weeks age. SP method ×400
, 百拇医药 图5 24周胚胎气管上皮细胞MUC5ac呈阴性表达。SP法 ×400
Fig.5 MUC5ac was negative expression in embryos tracheal epithelium cells of 24 weeks age. SP method ×400
图6 8周胚胎气管上皮细胞的胞核及胞质MUC5ac mRNA呈阳性表达。cDNA-RNA原位杂交 ×400
Fig.6 MUC5ac mRNA appeared in some nuclei and cytoplasm of embryo tracheal epithelium cells of 8 weeks age. cDNA-RNA in situ hybridization ×400
, 百拇医药
图7 32周胚胎肺泡上皮细胞的胞核及胞质MUC5ac mRNA呈阳性表达。cDNA-RNA原位杂交 ×400
Fig.7 MUC5ac mRNA appeared in nuclei and cytoplasm of embryo alveolar epithelium cells of 32 weeks age. cDNA-RNA in situ hybridization ×400
图8 21周胚胎气管上皮细胞MUC5ac mRNA呈阴性表达。cDNA-RNA原位杂交 ×400
Fig.8 MUC5ac mRNA negative expression in embryo tracheal epithelium cells of 21 weeks age. cDNA-RNA in situ hybridization ×400
, http://www.100md.com
【基金项目】 国家自然科学基金资助项目(3870805)
【作者简介】 闵永芬(1966—),女(汉族),吉林省柳河县人,博士,讲师
参考文献
[1]Audie JP, Janin A, Porchet N, et al. Expression of human mucin genes in respiratory, digestive and reproductive tracts ascertained by insitu hybridization[J]. J Histochem Cytochem,1993,41(6):1479-1485.
[2]Rose MC, Kaufman B, Martin BM, et al. Proteolytie fragmentation and peptide mapping of human carboxyamidomethylated tracheobronchial mucin[J]. J Biol Chem,1989,264(13):8193-8199.
, 百拇医药
[3]Kim YS. Mucin glycoproteins in colonic Neoplasia[J]. Keio J Med,1998,47(1):10-18.
[4]Ding JY, Jia XS, Han YC,et al. Immunohistochemical study of mucin carbohydrates and apomucin in human lung cancer[C]. 4th Congress Asia Pacific Association of Societies of Pathologists.Beijing, 1995,5():8-11.
[5]Borchers MT, Wert SE, Leikauf GD, et al. Acrolein-induced MUC5ac expression in rat airways[J]. Am J Physiol,1998,274(4):L573-581.
【收稿日期】 1999-08-10
【修回日期】 2000-01-11, 百拇医药
单位:闵永芬(中国医科大学病理学教研室,沈阳 110001);贾心善(中国医科大学病理学教研室,沈阳 110001);贺慧颖(中国医科大学病理学教研室,沈阳 110001)
关键词:粘蛋白;原位分子杂交;人胚胎气管
解剖学报000423 【摘要】 目的 研究人胚胎气管上皮细胞分化过程中,粘蛋白MUC1、MUC2和MUC5ac的表达,以及MUC5ac mRNA的表达。 方法 免疫组织化学及原位杂交技术。 结果 胚胎气管上皮细胞中MUC1呈阴性表达,不同胎龄的胚胎气管上皮细胞MUC2和MUC5ac均呈阳性表达。胚胎气管上皮的细胞核及胞浆中MUC5ac mRNA呈阳性表达。 结论 胚胎气管上皮均能产生MUC2和MUC5ac粘蛋白,而且MUC5ac蛋白表达是在转录水平进行的。研究人胚胎气管上皮细胞分化过程中,粘蛋白MUC1、MUC2和MUC5ac的表达,以及MUC5ac mRNA的表达。 方法 免疫组织化学及原位杂交技术。 结果 胚胎气管上皮细胞中MUC1呈阴性表达,不同胎龄的胚胎气管上皮细胞MUC2和MUC5ac均呈阳性表达。胚胎气管上皮的细胞核及胞浆中MUC5ac mRNA呈阳性表达。 结论 胚胎气管上皮均能产生MUC2和MUC5ac粘蛋白,而且MUC5ac蛋白表达是在转录水平进行的。
, 百拇医药
【中图分类号】 Q132.7;R322.3+3;R446.62 【文献标识码】 A 【文章编号】 0529-1356(2000)04-380
STUDY OF THE EXPRESSION OF SEVERAL MUCIN GLYCOPROTEINS
IN TRACHEAL EPITHELIUM OF HUMAN EMBRYOS
MIN Yong-fen JIA Xin-shan HE Hui-ying
(Department of Pathology, China Medical University, Shenyang 110001, China)
【Abstract】 Objectives
, 百拇医药
To study the expression of MUC1, MUC2, MUC5ac and MUC5ac mRNA during the differentiation of tracheal epithelium in human embryos. Methods Immunohistochemical staining and in situ hybridization were performed. Results MUC1 was negative expression in all tracheal epithelium cells of embryos. MUC2 and MUC5ac were positively expressed in embryo tracheal epithelium of different fetal age. MUC5ac mRNA was found to be expressed in cells of embryo tracheal epithelium. Conclusion Tracheal epithelial cells of embryos all produce MUC2 and MUC5ac protein, expression of MUC5ac was on the level of transcription.
, http://www.100md.com
【Key words】 Mucin glycoproteins; in situ hybridization; Embryos tracheal
在呼吸道上皮细胞中已检测出粘蛋白MUC1-MUC5ac mRNA,在粘膜的腺细胞内发现了粘蛋白MUC4、MUC5ac及MUC8mRNA[1]。MUC2和MUC5ac基因均位于11号染色体短臂上,故两者的氨基酸序列也近似,同属于凝胶粘蛋白家族。MUC5ac是从正常人呼吸道分泌物中分离出来的,因而被认为是气管分泌的一种粘蛋白[2]。至今为止,尚无人胚胎发育过程中气管上皮细胞粘蛋白表达的研究报道。本研究对不同胎龄的胚胎气管粘膜组织中MUC1、MUC2和MUC5ac3种粘蛋白的表达进行了观察,以探讨胚胎气管上皮细胞分化过程中粘蛋白的演变过程。
材料和方法
1. 标本来源
, 百拇医药
25例因意外事故终止妊娠的人胚胎气管组织,胎龄8~32周。由中国医科大学附属第二临床学院提供。
2. 试剂及方法
3种粘蛋白MUC1、MUC2、MUC5ac抗体(均为即用型)以及PS试剂盒(即用型)和核快红购自福州迈新公司,地高辛标记及检测试剂盒为德国BM公司产品。MUC5ac cDNA探针由日本鹿儿岛大学医学部第二病理米泽杰教授惠赠。胚胎用生理盐水冲洗后,分离气管(8周胚胎则直接取颈部),经4%福尔马林固定,石蜡包埋,切片厚4μm。
2.1 MUC1、MUC2和MUC5ac免疫组织化学染色(SP法):
阳性对照:MUC1用乳腺癌组织切片,MUC2用结肠癌组织切片,MUC5ac用正常胃粘膜组织切片。
阴性对照:以PBS代替一抗作阴性对照。
, 百拇医药
2.2 MUC5ac原位杂交:切片脱蜡水化后,2×SSC清洗,4%多聚甲醛PBS液固定20 min,1g/L Pronase消化37 ℃ 10 min,2g/L Glycin Solutio,滴杂交液50 μl于切片上,用经硅化处理过的盖玻片覆盖,湿盒中37 ℃过夜(杂交液组成:50% (V/V) Formamide,10%(W/V) Dextra Sulfate; 20 mmol/L Sodium Phosphate (pH7.4), 3×SSC, 1×Denhardt Solution, 100 mg/L Salmon Sperm DNA; 125 mg/L Yeast-RNA; 0.5 g/L Digoxigenin Conjugate Probe)。阻断液阻断30 min,碱性磷酸酶标记的抗地高辛抗体(1∶100)37 ℃ 60 min,加入底物缓冲液稀释的1∶50 BCIP/NBT(4-溴基-5氨基-3吲哚磷酸盐/氮盐四唑)显色,1 mol/L Tris-HCl, 0.5 mol/L EDTA中止反应,核快红复染、脱水、封胶盖片。
, http://www.100md.com
阳性对照:用正常胃粘膜组织切片。
阴性对照:杂交液中不加探针做为阴性对照。
结果和讨论
MUC1在胚胎气管上皮细胞均呈阴性表达(图1),而MUC2和MUC5ac则在25例胚胎气管上皮细胞均呈阳性表达(附表),而且纤毛细胞、粘液细胞和基底细胞的胞质内均可见棕黄色阳性颗粒,杯状细胞的分泌物也呈阳性(图2~4)。MUC2的表达随着胎龄的增大,染色阳性程度降低。阴性对照结果均呈阴性(图5)。胚胎气管上皮MUC5ac mRNA的表达;8周的个别细胞胞质及胞核呈阳性表达(图6),至32周时,胎儿肺的肺泡上皮细胞胞质及胞核多呈阳性表达(图7),阴性对照均呈阴性(图8)。
人类9种粘蛋白多肽分子结构,已被确定[3]。这些粘蛋白基因在不同组织和细胞中表达,MUC1是一种膜粘蛋白,在乳腺癌及胰腺导管细胞呈高表达,含有中心前后排列的重复序列,此区域高度糖基化,并且在跨膜区域与肌动蛋白细胞骨架成分相互作用。MUC2是一种分泌型粘蛋白,也是主要的肠粘蛋白之一。MUC2也拥有一个中心前后排列的重复区域,较MUC1糖基化程度高,且在两侧非重复区域富含半胱氨酸。研究表明,粘蛋白中的糖基分子参与细胞的许多重要生物学功能,包括生长调控、细胞分化、同型和异型细胞间相互作用,细胞与基底膜之间的相互作用,而且有独特的理化特性,使上皮细胞具有保护功能。贾心善等[4]研究发现,成人气管粘膜上皮中仅见基底细胞表达MUC1,而在腺癌和小细胞癌中呈高表达,MUC2在成人气管上皮的粘液腺呈阳性表达。本研究结果表明,胚胎气管上皮细胞中呈MUC1阴性表达,MUC2则均呈阳性表达,且随着胎龄的增加,其阳性程度下降,提示MUC2存在于胚胎气管上皮细胞中,而且在胚胎发育早期和中期MUC2蛋白的合成较多,晚期较少,这可能与胎儿在母体内,气管迅速生长发育相关。
, http://www.100md.com
附表 不同胎龄胚胎气管上皮粘蛋白抗原的表达
Table The expression of mucin in embryos tracheal
epithelium of different fetal age 胎龄(fetal age)
MUC1
MUC2
MUC5ac
8周(week)
-
+
+
, http://www.100md.com 12周(week)
-
+
+
17周(week)
-
+
+
21周(week)
-
+
+
29周(week)
, 百拇医药
-
+
+
MUC5ac和MUC2基因位于染色体11P15.5上,可能属于同源基因。Borchers等[5]研究发现,丙烯醛刺激大鼠呼吸道能诱导粘液细胞化生,并伴有MUC5ac mRNA含量和MUC5ac抗原的免疫反应性增大,认为气管上皮细胞中MUC5ac抗原表达增强是由于激活了粘膜下腺的固有粘液细胞,从而导致粘蛋白合成和分泌。给大鼠表皮生长因子和维甲酸后,气管上皮内的MUC5ac mRNA含量增加,并伴有MUC5ac抗原表达增强。本研究结果,胚胎气管上皮细胞均呈MUC5ac阳性表达,而且不同胎龄的反应无差异,胚胎气管上皮细胞的胞质和胞核也呈阳性表达。说明MUC5ac是气管上皮细胞分化和成熟过程中必不可少的。
胚胎发育过程是在时间和空间环境的精细调节下进行的一种极其复杂的过程,细胞成熟和分化过程是在许多因素参与下完成的。本研究表明,粘蛋白MUC2和MUC5ac对胚胎气管上皮发育过程中,纤毛细胞、粘液细胞和基底细胞的分化和成熟过程,以及3种细胞之间相互作用和生长调控起重要作用。本文图1~6见插图第20页
, 百拇医药
图1 8周胚胎气管上皮细胞MUC1呈阴性表达。SP法 ×400
Fig.1 MUC1 was negative expression in embryos tracheal epithelium cells of 8 weeks age. SP method ×400
图2 8周胚胎气管上皮细胞MUC2呈强阳性表达。SP法 ×400
Fig.2 Strongly expressed MUC2 in embryos tracheal epithelium cells of 8 weeks age. SP method ×400
, 百拇医药 图3 18周胚胎气管上皮细胞MUC5ac呈阳性表达。SP法 ×400
Fig.3 MUC5 was positive expression in embryos tracheal epithelium cells of 18 weeks age. SP method ×400
图4 29周胚胎气管上皮细胞MUC2呈轻度阳性表达。SP法 ×400
Fig.4 Faintly expressed MUC2 in embryos tracheal epithelium cells of 29 weeks age. SP method ×400
, 百拇医药 图5 24周胚胎气管上皮细胞MUC5ac呈阴性表达。SP法 ×400
Fig.5 MUC5ac was negative expression in embryos tracheal epithelium cells of 24 weeks age. SP method ×400
图6 8周胚胎气管上皮细胞的胞核及胞质MUC5ac mRNA呈阳性表达。cDNA-RNA原位杂交 ×400
Fig.6 MUC5ac mRNA appeared in some nuclei and cytoplasm of embryo tracheal epithelium cells of 8 weeks age. cDNA-RNA in situ hybridization ×400
, 百拇医药
图7 32周胚胎肺泡上皮细胞的胞核及胞质MUC5ac mRNA呈阳性表达。cDNA-RNA原位杂交 ×400
Fig.7 MUC5ac mRNA appeared in nuclei and cytoplasm of embryo alveolar epithelium cells of 32 weeks age. cDNA-RNA in situ hybridization ×400
图8 21周胚胎气管上皮细胞MUC5ac mRNA呈阴性表达。cDNA-RNA原位杂交 ×400
Fig.8 MUC5ac mRNA negative expression in embryo tracheal epithelium cells of 21 weeks age. cDNA-RNA in situ hybridization ×400
, http://www.100md.com
【基金项目】 国家自然科学基金资助项目(3870805)
【作者简介】 闵永芬(1966—),女(汉族),吉林省柳河县人,博士,讲师
参考文献
[1]Audie JP, Janin A, Porchet N, et al. Expression of human mucin genes in respiratory, digestive and reproductive tracts ascertained by insitu hybridization[J]. J Histochem Cytochem,1993,41(6):1479-1485.
[2]Rose MC, Kaufman B, Martin BM, et al. Proteolytie fragmentation and peptide mapping of human carboxyamidomethylated tracheobronchial mucin[J]. J Biol Chem,1989,264(13):8193-8199.
, 百拇医药
[3]Kim YS. Mucin glycoproteins in colonic Neoplasia[J]. Keio J Med,1998,47(1):10-18.
[4]Ding JY, Jia XS, Han YC,et al. Immunohistochemical study of mucin carbohydrates and apomucin in human lung cancer[C]. 4th Congress Asia Pacific Association of Societies of Pathologists.Beijing, 1995,5():8-11.
[5]Borchers MT, Wert SE, Leikauf GD, et al. Acrolein-induced MUC5ac expression in rat airways[J]. Am J Physiol,1998,274(4):L573-581.
【收稿日期】 1999-08-10
【修回日期】 2000-01-11, 百拇医药