20例糖尿病的胃粘膜微血管超微结构观察
作者:张盛忠 卢志达 洪明理 崔云 王雁
单位:张盛忠(北京首都医科大学附属同仁医院病理科, 邮政编码 北京100730);卢志达(北京首都医科大学附属同仁医院病理科, 邮政编码 北京100730);洪明理(北京友谊医院电镜室);崔云(北京首都医科大学附属同仁医院病理科, 邮政编码 北京100730);王雁(同仁医院内科)
关键词:Ⅱ型糖尿病;胃粘膜;微血管;超微结构
微循环学杂志000205
目的: 通过对胃粘膜超微结构观察, 了解糖尿病人胃粘膜微血管及胃固有腺体的变化特点, 探讨胃粘膜微血管的变化与糖尿病胃病及其它重要合并症的联系。方法: 选择20例临床没有或仅有轻微症状的NIDDM病人, 4例无糖尿病及胃病的志愿者作对照组, 取胃窦部及胃体部粘膜组织各二份, 进行透射电镜观察。结果: 全部被观察病例微血管内皮细胞均有不同程度的肿胀, 基底膜增厚。 微血管轻度变化2例,中度变化16例, 重度变化2例。 壁细胞内线粒体数目不同程度地减少, 部分线粒体肿胀, 少数线粒体高度肿胀、 脊断裂, 壁细胞分泌小管减少或萎缩。 10例有1种以上合并症者(糖尿病肾病、 视网膜病变、 神经病变)微血管损伤均在中度以上。结论: 糖尿病胃粘膜微血管的损伤是糖尿病性胃病的重要病理基础。
, http://www.100md.com
Ultrastructural observance of 20 cases microvascular in gastric mucosa of NIDDM
Zhang Shengzhong, Lu Zhida, Hong Mingli
(Department of Pathology, Beijing Tong Ren Hospital, Beijing 100730)
Objective: In order to study the relationship between diabetic gastropathy and microvascular.Method: The gastric mucosa in 20 cases with non ̄insulin dependent diabetes mellitus (NIDDM) were observed by electric microscope, compared with the group (4 cases) without diabetes mellitus. Results: It was found that all cases of microvascular endothelicytes got swelling and basal menbrance got thick in varying degrees. The microvascular mild injuring has 2 cases, and medial injuring has 16 cases, and 2 cases were injures seriously, and the group (4 cases) compared were normal. The 10 cases had over one complication (diabetic nephropathy, retinopathy, neuropathy) that its microvascular injuring was more serious than medial injuring.Conclusion: The results show that microvascular injuring in gastric mucosa with NIDDM is pathologic basis of diabetic gastropathy.
, 百拇医药
Key words:Non ̄insulin dependent diabetes mellitus; Gastric mucosa; Microvascular; Ultrastructure
糖尿病患者微血管(毛细血管、 微静脉、 微动脉)病变, 是糖尿病并发器官病变的重要病理 基础, 常累及视网膜、 肾、 外周神经、 心肌等重要脏器和组织。 它起病隐匿, 当临床 出现症状时, 相应器官和组织常引起严重的损害。 我们对临床上没有或仅有轻微胃病症状 的20例糖尿病胃粘膜进行超微结构的观察, 拟探讨胃粘膜微血管改变与糖尿病胃病及其重 要并发症的关系。
1 资料与方法
1.1观察对象
20例被测病人均系成人型非胰岛素依赖性糖尿(NIDDM)病人。 其中男10人, 女10人, 年龄 30~70岁, 平均50.8岁。 病程3个月~17年, 平均6.9年。 10例伴有一种以上合 并症(糖尿病性肾病、 视网膜病变、 外周神经病变)。 其中伴糖尿病肾病2例, 糖尿病视 网膜病变9例,周围神经病变6例。 具有2种以上合并症者6例。 有消化道症状者13例, 主 要表现为腹胀、 消化不良、 上腹疼痛、 烧心等。 对照组4例为无糖尿病及胃病症状的志 愿者。
, 百拇医药
1.2 取材部位和方法
二组均先经胃镜检查, 分别于胃窦及胃体部取2份标本。 取材后一份用福尔马林固定, 另 一份即刻用2.5%戊二醛固定液固定。 光镜切片用HE、 PAS及Warthin-Starr y染色。 电镜标本继续用磷酸缓冲液漂洗, 1%锇酸后固定, 逐级丙酮脱水, 用EP-812包埋, 超薄切片机切片, 醋酸 铀和枸橼酸铝双染, JEMI200EX透射电镜观察。
2 结 果
2.1光镜检查
轻度慢性浅表性胃炎13例, 中度慢性浅表性胃炎3例, 重度慢性浅表性胃炎3例, 无明显 异常1例。 固有膜有轻度水肿4例, 幽门螺杆菌(Helicobater pylori, HP)检出15例, 占7 5%。 光镜下HE染色微血管无显著变化。 经PAS染色, 20例在微血管周围均有PAS阳性物质 沉着。 对照组微血管周围PAS阳性物质不明显。
, 百拇医药
2.2 透射电镜观察
对照组4例微血管均无显著变化。 内皮细胞无肿胀, 血管腔无狭窄, 基底膜无增厚, 壁 细胞分泌小管及线粒体丰富, 主细胞酶原颗粒多, 粘液细胞内充满粘原颗粒。
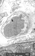
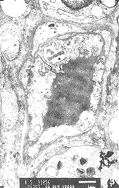
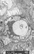
20例NIDDM病人胃粘膜微血管均有不同程度显著改变。 微血管内皮细胞均有不同程度的肿胀 , 内皮细胞的厚度是对照组内皮细胞的几倍乃至十几倍。 有1例血管内皮细胞呈气球样肿 胀, 并突向管腔, 堵塞血管腔约4/5(图1)。 胞浆形成大量指状突起伸入管腔, 有的突起 呈犬齿状, 有的互相连成网状, 与红细胞发生缠绕现象(图2)。 吞饮小泡明显增多, 大 部分吞饮小泡集中于细胞的腔面及基底面两侧。 胞浆内可见肿胀的线粒体, 有的呈空泡状 。 少见高尔基氏器及粗面内织网。 细胞连接缝隙增宽窗孔增大, 有的由于内皮细胞的肿 胀而使窗孔减少甚至消失, 有2例内皮细胞内膜部分有破损, 血小板和红细胞聚集在受损 面上。 微血管基底膜均有不同程度增厚。 有的同一病例显示部分微血管基底显著增厚, 而部分微血管基底膜增厚较轻, 提示为一种微血管的节段性基底膜增厚。 有的微血管基底 膜在内皮细胞外和周细胞周围呈层状增厚(图3)。 周细胞在胃粘膜微血管中出现较少。 周 细胞以一种不完全的包绕微血管的形式存在, 其内侧基底膜和外侧基底膜显示了同等的厚 度。 我们根据电镜下胃粘膜微血管受损程度将其分为轻、 中、 重三级。 轻度: 微血管 内皮细胞轻度肿胀, 管腔无明显狭窄, 无胞膜损害, 基底膜轻度增厚。 中度: 微血管 内皮细胞肿胀, 管腔稍变窄, 不闭锁。 基底膜增厚较明显(图4)。 重度: 微血管内皮细 胞高度肿胀, 内膜受损, 管腔狭窄, 甚至闭锁。 基底膜明显增厚。 本组20例NIDDM胃粘 膜微血管的电镜观察结果: 轻度受损2例; 中度受损16例; 重度受损2例。
, http://www.100md.com
壁细胞: 12例有壁细胞的标本中, 壁细胞内线粒体数目不同程度的减少, 部分线粒体肿 胀, 少数线粒体高度肿胀、 脊断裂, 线粒体内电子致密颗粒减少或消失。 9例壁细胞分 泌小管有减少或萎缩(图5)。 在同一病例中还可看到分泌小管高度扩张, 微绒毛变短变细 甚至消失, 可能是壁细胞盐酸分泌功能的代偿现象。
主细胞: 大部分主细胞酶原颗粒较多, 酶原颗粒集中在上部。 部分病例酶原颗粒减少, 基质的电子致密度较低, 粗面内织网高尔基氏器少, 线粒体轻度肿胀。
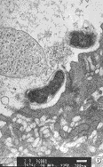
粘液细胞: 部分粘液细胞有丰富的粘原颗粒, 粘原颗粒位于细胞顶部, 提示粘液分泌旺 盛。 少部分粘液细胞内粘原粒减少。 深部粘液腺腺腔内常可见到较多的幽门螺杆菌。 幽 门螺杆菌使粘液细胞表面微绒毛消失, 甚至侵入细胞内(图6)。





, http://www.100md.com
图1NIDDM患 者胃粘膜 微血管内皮细胞气球样肿胀,突入并者塞管腔×5000
图2 NIDDM 患者胃粘膜微血管内皮细胞缠绕细胞×5000
图3 NIDDM 患者胃粘膜 微血管基底膜 出现层状增厚×5000
图4 NIDDM 患者胃粘膜 微血管基度膜 的明显增厚×5000
图5 患者胃粘膜 微血管壁细胞分泌小管减少或萎缩×5000
图6 NIDDM患者胃粘膜呈现幽门螺杆菌向粘液细胞的入侵×250003 讨 论
3.1胃粘膜微血管病变与糖尿病性胃病
糖尿病性胃病的发生率约为糖尿病人的10%[1]。 主要表现为慢性胃炎、 胃弛缓和 胃潴留[2]。 本组20例中13例有消化道症状。 光镜检查19例为慢性浅表性胃炎, 占95%, HP检出18例, 占90%。 高于一般人群胃炎的发生率。 Wiechman报告124例糖尿病 人, 25%胃酸缺乏, 15%胃酸分泌不足[2]。 20例胃粘膜的微血管内皮细胞肿胀, 指状突起增多, 线粒体肿胀, 吞饮泡明显增多, 说明糖代谢异常引起血管内皮细胞通透 性增强, 使基底膜合成增加, 从而使基底膜增厚, 影响了氧的弥散和其它营养物质的交 换, 导致壁细胞合成盐酸过程中摄氧不足, 而在壁细胞合成盐酸过程中必须依赖氧的存在 , 故糖尿病人胃酸分泌不足甚至缺乏。 我们检查12例有壁细胞的标本中, 有9例壁细胞分 泌小管减少和萎缩, 说明泌酸功能低下[3,4]。 HP的适宜生存条件为低酸和微氧 环境, 糖尿病人胃酸分泌不足, 食物潴留, 造成低氧和低酸环境, 适宜HP繁殖, 可能 是糖尿病人慢性胃炎检出率高于普通人群的原因。 糖尿病胃排空弛缓, 有人推测和迷走神 经、 肌间神经受累与胃壁内感受器反射减弱有关, 而神经病变认为与高血糖、 微循环障 碍、 自由基损害有关[4]。 因此, 糖尿病胃粘膜微血管病变可能是造成糖尿病胃 病的重要病理基础之一。
, 百拇医药
3.2 糖尿病胃粘膜微血管病变与其它组织的关系
多数学者认为糖尿病的肾病、视网膜病变、神经病变都与微循环障碍有关[5,6]。 糖尿病是一种糖代谢障碍为主的全身性代谢紊乱的疾病,可累及各个器官,胃肠道也不例外 。我们把胃粘膜微血管作为观察全身微循环的一个“窗口”来研究糖尿病微血管的变化,从 而推测重要器官的病理变化。本组20例NIDDM病人10例伴有1种以上合并症,其微血管损伤均 在中度以上。电镜下见血管内皮细胞明显肿胀,细胞内吞饮小泡明显增多,线粒体肿胀,管 腔变窄,红细胞和血小板聚集,基底膜增厚。正常对照组无明显变化。这些特点和报告与相 关糖尿病性肾病、视网膜病变的病理变化相一致[7]。提示胃粘膜微血管的病变和 这些器官的变化是同步发生的。
3.3 糖尿病微血管损伤的机理探讨
血管内皮细胞糖代谢异常在微血管通透性改变方面起着重要作用。 细胞内糖浓度过高, 激 活醛糖还原酶, 引起山梨醇在细胞内堆积, 造成细胞内高渗状态, 细胞水肿, 最终导致 细胞结构破坏。 此外, 半乳糖醇的堆积同样可以损害内皮细胞的完整性[7]。 说 明多元醇代谢激活途径在糖尿病微血管损害的形成过程中起着重要的作用。 糖尿病时, 血 浆白蛋白糖基化, 使其构型及pH发生变化, 易被内皮细胞以胞饮方式摄取和转运, 引起 基底膜增厚。 我们还观察到内皮细胞胞浆指状突起较多, 有的形
, http://www.100md.com
似网状, 增加了血流阻力, 又因为红细胞变形能差、 血小板变形等原因, 使血粘度增高 , 血流缓慢、 淤滞、 阻断也是造成循环障碍的重要原因[5]。 因此微血管基底 膜增厚可能与多元醇途径激活、 结构蛋白的非糖基化、 糖基化终末产物的形成及胶原合成 增加等有关[8]。
本文作者简介:张盛忠(1947~), 男, 汉族, 主治医师
参考文献
1,Angervall L, Dotevall G, Lehmann KE. The gastric mucosa in diabetes me llitus. A functional and histopathologicall study. Acta Med Scand, 1961, 169:339 .
2,Marshak RH, Maklansky D. Diabetic gastropathy. Am J Dig Dis, 1964, 9:3 67.
, 百拇医药
3,王崇文, 胡伟, 胡人义, 等. 糖尿病患者的胃肠道症状及其胃粘膜超微结构 的观察. 中华消化杂志, 1990年, 10(3):179~180.
4,Yang R, Arem R, Chan L. Gastrointestinal trsct complications of Diabet es mellitus. Arch Intern Med, 1984, 144:1 251~1 256.
5,朱良湘, 王雁, 潘素芳, 等. 糖尿病患者胃粘膜血流量和血粘度的研究. 中 华医学杂志, 1993, 73:476.
6,Williamson JR, Chang K, Frangos M, et al. Perspectives in Diabetes Hyp erglycemic peseudohypoxia and diabetic complications. Diabetes, 1993, 42:801.
, http://www.100md.com
7,Grene DA, Sina AAF, Stevens MJ, et al. Complieation: neuropathy, patho genetic consideration. Diabetes Care, 1992, 15:1 902.
8,Robison WG, Kador PF, Akagi Y, et al. Prevention of basement membrane thickening in retinal capillaries by a novel inhibitor of aldose reductase: tolr estat. Diabetes, 1986, 35:295~299.
本文1999-12-14收到, 2000-05-09接受, 百拇医药
单位:张盛忠(北京首都医科大学附属同仁医院病理科, 邮政编码 北京100730);卢志达(北京首都医科大学附属同仁医院病理科, 邮政编码 北京100730);洪明理(北京友谊医院电镜室);崔云(北京首都医科大学附属同仁医院病理科, 邮政编码 北京100730);王雁(同仁医院内科)
关键词:Ⅱ型糖尿病;胃粘膜;微血管;超微结构
微循环学杂志000205
目的: 通过对胃粘膜超微结构观察, 了解糖尿病人胃粘膜微血管及胃固有腺体的变化特点, 探讨胃粘膜微血管的变化与糖尿病胃病及其它重要合并症的联系。方法: 选择20例临床没有或仅有轻微症状的NIDDM病人, 4例无糖尿病及胃病的志愿者作对照组, 取胃窦部及胃体部粘膜组织各二份, 进行透射电镜观察。结果: 全部被观察病例微血管内皮细胞均有不同程度的肿胀, 基底膜增厚。 微血管轻度变化2例,中度变化16例, 重度变化2例。 壁细胞内线粒体数目不同程度地减少, 部分线粒体肿胀, 少数线粒体高度肿胀、 脊断裂, 壁细胞分泌小管减少或萎缩。 10例有1种以上合并症者(糖尿病肾病、 视网膜病变、 神经病变)微血管损伤均在中度以上。结论: 糖尿病胃粘膜微血管的损伤是糖尿病性胃病的重要病理基础。
, http://www.100md.com
Ultrastructural observance of 20 cases microvascular in gastric mucosa of NIDDM
Zhang Shengzhong, Lu Zhida, Hong Mingli
(Department of Pathology, Beijing Tong Ren Hospital, Beijing 100730)
Objective: In order to study the relationship between diabetic gastropathy and microvascular.Method: The gastric mucosa in 20 cases with non ̄insulin dependent diabetes mellitus (NIDDM) were observed by electric microscope, compared with the group (4 cases) without diabetes mellitus. Results: It was found that all cases of microvascular endothelicytes got swelling and basal menbrance got thick in varying degrees. The microvascular mild injuring has 2 cases, and medial injuring has 16 cases, and 2 cases were injures seriously, and the group (4 cases) compared were normal. The 10 cases had over one complication (diabetic nephropathy, retinopathy, neuropathy) that its microvascular injuring was more serious than medial injuring.Conclusion: The results show that microvascular injuring in gastric mucosa with NIDDM is pathologic basis of diabetic gastropathy.
, 百拇医药
Key words:Non ̄insulin dependent diabetes mellitus; Gastric mucosa; Microvascular; Ultrastructure
糖尿病患者微血管(毛细血管、 微静脉、 微动脉)病变, 是糖尿病并发器官病变的重要病理 基础, 常累及视网膜、 肾、 外周神经、 心肌等重要脏器和组织。 它起病隐匿, 当临床 出现症状时, 相应器官和组织常引起严重的损害。 我们对临床上没有或仅有轻微胃病症状 的20例糖尿病胃粘膜进行超微结构的观察, 拟探讨胃粘膜微血管改变与糖尿病胃病及其重 要并发症的关系。
1 资料与方法
1.1观察对象
20例被测病人均系成人型非胰岛素依赖性糖尿(NIDDM)病人。 其中男10人, 女10人, 年龄 30~70岁, 平均50.8岁。 病程3个月~17年, 平均6.9年。 10例伴有一种以上合 并症(糖尿病性肾病、 视网膜病变、 外周神经病变)。 其中伴糖尿病肾病2例, 糖尿病视 网膜病变9例,周围神经病变6例。 具有2种以上合并症者6例。 有消化道症状者13例, 主 要表现为腹胀、 消化不良、 上腹疼痛、 烧心等。 对照组4例为无糖尿病及胃病症状的志 愿者。
, 百拇医药
1.2 取材部位和方法
二组均先经胃镜检查, 分别于胃窦及胃体部取2份标本。 取材后一份用福尔马林固定, 另 一份即刻用2.5%戊二醛固定液固定。 光镜切片用HE、 PAS及Warthin-Starr y染色。 电镜标本继续用磷酸缓冲液漂洗, 1%锇酸后固定, 逐级丙酮脱水, 用EP-812包埋, 超薄切片机切片, 醋酸 铀和枸橼酸铝双染, JEMI200EX透射电镜观察。
2 结 果
2.1光镜检查
轻度慢性浅表性胃炎13例, 中度慢性浅表性胃炎3例, 重度慢性浅表性胃炎3例, 无明显 异常1例。 固有膜有轻度水肿4例, 幽门螺杆菌(Helicobater pylori, HP)检出15例, 占7 5%。 光镜下HE染色微血管无显著变化。 经PAS染色, 20例在微血管周围均有PAS阳性物质 沉着。 对照组微血管周围PAS阳性物质不明显。
, 百拇医药
2.2 透射电镜观察
对照组4例微血管均无显著变化。 内皮细胞无肿胀, 血管腔无狭窄, 基底膜无增厚, 壁 细胞分泌小管及线粒体丰富, 主细胞酶原颗粒多, 粘液细胞内充满粘原颗粒。
20例NIDDM病人胃粘膜微血管均有不同程度显著改变。 微血管内皮细胞均有不同程度的肿胀 , 内皮细胞的厚度是对照组内皮细胞的几倍乃至十几倍。 有1例血管内皮细胞呈气球样肿 胀, 并突向管腔, 堵塞血管腔约4/5(图1)。 胞浆形成大量指状突起伸入管腔, 有的突起 呈犬齿状, 有的互相连成网状, 与红细胞发生缠绕现象(图2)。 吞饮小泡明显增多, 大 部分吞饮小泡集中于细胞的腔面及基底面两侧。 胞浆内可见肿胀的线粒体, 有的呈空泡状 。 少见高尔基氏器及粗面内织网。 细胞连接缝隙增宽窗孔增大, 有的由于内皮细胞的肿 胀而使窗孔减少甚至消失, 有2例内皮细胞内膜部分有破损, 血小板和红细胞聚集在受损 面上。 微血管基底膜均有不同程度增厚。 有的同一病例显示部分微血管基底显著增厚, 而部分微血管基底膜增厚较轻, 提示为一种微血管的节段性基底膜增厚。 有的微血管基底 膜在内皮细胞外和周细胞周围呈层状增厚(图3)。 周细胞在胃粘膜微血管中出现较少。 周 细胞以一种不完全的包绕微血管的形式存在, 其内侧基底膜和外侧基底膜显示了同等的厚 度。 我们根据电镜下胃粘膜微血管受损程度将其分为轻、 中、 重三级。 轻度: 微血管 内皮细胞轻度肿胀, 管腔无明显狭窄, 无胞膜损害, 基底膜轻度增厚。 中度: 微血管 内皮细胞肿胀, 管腔稍变窄, 不闭锁。 基底膜增厚较明显(图4)。 重度: 微血管内皮细 胞高度肿胀, 内膜受损, 管腔狭窄, 甚至闭锁。 基底膜明显增厚。 本组20例NIDDM胃粘 膜微血管的电镜观察结果: 轻度受损2例; 中度受损16例; 重度受损2例。
, http://www.100md.com
壁细胞: 12例有壁细胞的标本中, 壁细胞内线粒体数目不同程度的减少, 部分线粒体肿 胀, 少数线粒体高度肿胀、 脊断裂, 线粒体内电子致密颗粒减少或消失。 9例壁细胞分 泌小管有减少或萎缩(图5)。 在同一病例中还可看到分泌小管高度扩张, 微绒毛变短变细 甚至消失, 可能是壁细胞盐酸分泌功能的代偿现象。
主细胞: 大部分主细胞酶原颗粒较多, 酶原颗粒集中在上部。 部分病例酶原颗粒减少, 基质的电子致密度较低, 粗面内织网高尔基氏器少, 线粒体轻度肿胀。
粘液细胞: 部分粘液细胞有丰富的粘原颗粒, 粘原颗粒位于细胞顶部, 提示粘液分泌旺 盛。 少部分粘液细胞内粘原粒减少。 深部粘液腺腺腔内常可见到较多的幽门螺杆菌。 幽 门螺杆菌使粘液细胞表面微绒毛消失, 甚至侵入细胞内(图6)。
, http://www.100md.com
图1NIDDM患 者胃粘膜 微血管内皮细胞气球样肿胀,突入并者塞管腔×5000
图2 NIDDM 患者胃粘膜微血管内皮细胞缠绕细胞×5000
图3 NIDDM 患者胃粘膜 微血管基底膜 出现层状增厚×5000
图4 NIDDM 患者胃粘膜 微血管基度膜 的明显增厚×5000
图5 患者胃粘膜 微血管壁细胞分泌小管减少或萎缩×5000
图6 NIDDM患者胃粘膜呈现幽门螺杆菌向粘液细胞的入侵×250003 讨 论
3.1胃粘膜微血管病变与糖尿病性胃病
糖尿病性胃病的发生率约为糖尿病人的10%[1]。 主要表现为慢性胃炎、 胃弛缓和 胃潴留[2]。 本组20例中13例有消化道症状。 光镜检查19例为慢性浅表性胃炎, 占95%, HP检出18例, 占90%。 高于一般人群胃炎的发生率。 Wiechman报告124例糖尿病 人, 25%胃酸缺乏, 15%胃酸分泌不足[2]。 20例胃粘膜的微血管内皮细胞肿胀, 指状突起增多, 线粒体肿胀, 吞饮泡明显增多, 说明糖代谢异常引起血管内皮细胞通透 性增强, 使基底膜合成增加, 从而使基底膜增厚, 影响了氧的弥散和其它营养物质的交 换, 导致壁细胞合成盐酸过程中摄氧不足, 而在壁细胞合成盐酸过程中必须依赖氧的存在 , 故糖尿病人胃酸分泌不足甚至缺乏。 我们检查12例有壁细胞的标本中, 有9例壁细胞分 泌小管减少和萎缩, 说明泌酸功能低下[3,4]。 HP的适宜生存条件为低酸和微氧 环境, 糖尿病人胃酸分泌不足, 食物潴留, 造成低氧和低酸环境, 适宜HP繁殖, 可能 是糖尿病人慢性胃炎检出率高于普通人群的原因。 糖尿病胃排空弛缓, 有人推测和迷走神 经、 肌间神经受累与胃壁内感受器反射减弱有关, 而神经病变认为与高血糖、 微循环障 碍、 自由基损害有关[4]。 因此, 糖尿病胃粘膜微血管病变可能是造成糖尿病胃 病的重要病理基础之一。
, 百拇医药
3.2 糖尿病胃粘膜微血管病变与其它组织的关系
多数学者认为糖尿病的肾病、视网膜病变、神经病变都与微循环障碍有关[5,6]。 糖尿病是一种糖代谢障碍为主的全身性代谢紊乱的疾病,可累及各个器官,胃肠道也不例外 。我们把胃粘膜微血管作为观察全身微循环的一个“窗口”来研究糖尿病微血管的变化,从 而推测重要器官的病理变化。本组20例NIDDM病人10例伴有1种以上合并症,其微血管损伤均 在中度以上。电镜下见血管内皮细胞明显肿胀,细胞内吞饮小泡明显增多,线粒体肿胀,管 腔变窄,红细胞和血小板聚集,基底膜增厚。正常对照组无明显变化。这些特点和报告与相 关糖尿病性肾病、视网膜病变的病理变化相一致[7]。提示胃粘膜微血管的病变和 这些器官的变化是同步发生的。
3.3 糖尿病微血管损伤的机理探讨
血管内皮细胞糖代谢异常在微血管通透性改变方面起着重要作用。 细胞内糖浓度过高, 激 活醛糖还原酶, 引起山梨醇在细胞内堆积, 造成细胞内高渗状态, 细胞水肿, 最终导致 细胞结构破坏。 此外, 半乳糖醇的堆积同样可以损害内皮细胞的完整性[7]。 说 明多元醇代谢激活途径在糖尿病微血管损害的形成过程中起着重要的作用。 糖尿病时, 血 浆白蛋白糖基化, 使其构型及pH发生变化, 易被内皮细胞以胞饮方式摄取和转运, 引起 基底膜增厚。 我们还观察到内皮细胞胞浆指状突起较多, 有的形
, http://www.100md.com
似网状, 增加了血流阻力, 又因为红细胞变形能差、 血小板变形等原因, 使血粘度增高 , 血流缓慢、 淤滞、 阻断也是造成循环障碍的重要原因[5]。 因此微血管基底 膜增厚可能与多元醇途径激活、 结构蛋白的非糖基化、 糖基化终末产物的形成及胶原合成 增加等有关[8]。
本文作者简介:张盛忠(1947~), 男, 汉族, 主治医师
参考文献
1,Angervall L, Dotevall G, Lehmann KE. The gastric mucosa in diabetes me llitus. A functional and histopathologicall study. Acta Med Scand, 1961, 169:339 .
2,Marshak RH, Maklansky D. Diabetic gastropathy. Am J Dig Dis, 1964, 9:3 67.
, 百拇医药
3,王崇文, 胡伟, 胡人义, 等. 糖尿病患者的胃肠道症状及其胃粘膜超微结构 的观察. 中华消化杂志, 1990年, 10(3):179~180.
4,Yang R, Arem R, Chan L. Gastrointestinal trsct complications of Diabet es mellitus. Arch Intern Med, 1984, 144:1 251~1 256.
5,朱良湘, 王雁, 潘素芳, 等. 糖尿病患者胃粘膜血流量和血粘度的研究. 中 华医学杂志, 1993, 73:476.
6,Williamson JR, Chang K, Frangos M, et al. Perspectives in Diabetes Hyp erglycemic peseudohypoxia and diabetic complications. Diabetes, 1993, 42:801.
, http://www.100md.com
7,Grene DA, Sina AAF, Stevens MJ, et al. Complieation: neuropathy, patho genetic consideration. Diabetes Care, 1992, 15:1 902.
8,Robison WG, Kador PF, Akagi Y, et al. Prevention of basement membrane thickening in retinal capillaries by a novel inhibitor of aldose reductase: tolr estat. Diabetes, 1986, 35:295~299.
本文1999-12-14收到, 2000-05-09接受, 百拇医药