职业性肺癌中HSPs与多种瘤抑制基因、k-ras表达的相关性
作者:张永幸 贺涵贞 张国高 张招弟 鲁翠荣 杨木兰 陈荣安 潘秋萍 何骁生 陈 胜
单位:430030 武汉,同济医科大学职业医学研究所
关键词:职业性肺癌;热应激蛋白;癌基因;抑癌基因
中华劳动卫生职业病杂志990106
【摘要】 目的 观察HSP27、HSP70与多种瘤抑制基因(MTS1)、k-ras基因及其蛋白产物在职业性肺癌(occupational lung cancer,OLC)中的联合表达的情况。方法 采用免疫组化和原位分子杂交技术。结果 OLC中的HSPs表达较正常肺组织高;OLC中的HSPs与k-ras都有基因扩增和蛋白产物的过表达;MTS1的表达与HSPs、k-ras的表达呈负相关。结论 MTS1表达的变化可能是OLC癌变的重要分子学改变;HSPs与k-ras在OLC的癌变过程中有协同作用;OLC中以上3种基因在基因水平及蛋白产物表达上的改变基本一致。
, 百拇医药
Correlation of heat stress proteins,k-ras and MTS1 expression in occupational lung cancer
Zhang Yongxing,He Hanzhen,Zhang Guogao,et al.Institute of Occupational Medicine,Tongji Medical University,Wuhan 430030
【Abstract】 Objective To study the expression of heat stress proteins HSP27,HSP70 and antioncogene MTS1,oncogene k-ras,and their protein products in occupational lung cancer(OLC). Methods In-situ hybridization and immunohistochemistry were conducted in the study. Results The expression of HSPs was higher in OLC than in normal lung tissue.HSPs and k-ras were overexpressed and amplified in OLC.The expression of MTS1 correlated negatively with HSPs and k-ras expression. Conclusion HSPs and k-ras might play a synergetic role in the process of carcinogenesis;change of MTS1 expression might be an important molecular alteration of OLC;the expression of the above three genes in OLC are consistent with their protein products.
, 百拇医药
【Key words】 Occupational lung cancer Heat stress protein Oncogene Antioncogene
为探讨主要的热应激蛋白HSP27、HSP70和k-ras、多种瘤抑制基因(MTS1)在职业性肺癌癌变过程中相互关系及其作用机制,我们利用免疫组化和原位分子杂交技术观察以上三者的基因水平和蛋白水平在职业性肺癌组织中联合表达的动态变化和分布情况,为职业性肺癌的癌前监护和早期防治提供重要的理论依据。
材料与方法
1.材料:从广西铜坑、长坡、巴里、栗木4个锡矿1975~1995年间诊断的职业性肺癌(OLC)103例中挑选出20例有完整职业史、生活史以及临床、病理资料和有手术标本的存档蜡块的病例。20例均为非小细胞肺癌(NSCLC),其中鳞癌10例、腺癌5例、腺鳞癌4例、支气管肺泡癌1例。患者均为男性,年龄为40~62岁。存档蜡块作4μm厚连续切片,贴于经APES处理的干净载玻片上,分别进行免疫组化和原位分子杂交。
, 百拇医药
2.免疫组化方法:主要试剂有鼠抗人p21单克隆抗体(Dako),兔抗人HSP27、HSP70抗体(由加拿大拉瓦尔大学遗传学研究所与本实验室共同研制)、兔抗人p16抗体(Dako)。染色方法均为LSAB法[1](LSAB试剂盒为Dako公司产品),DAB显色、苏木素或甲基绿复染。以上实验均设阳性和阴性对照。结果判断:细胞呈明显棕色反应即为阳性,根据染色深浅和阳性细胞百分比,将阳性强度判断为(+)、(++)和(+++)。
3.原位分子杂交:含k-ras、MTS1 cDNA的质粒由日本国立基因库赠送,含HSP70、HSP27 cDNA的质粒由加拿大拉瓦尔大学遗传学研究所与本实验室共同研制。cDNA的抽提、探针标记以及原位分子杂交(石蜡切片)实验过程参见文献[2]。阳性细胞呈蓝色反应,阳性强度判断与免疫组化实验标准相同。
4.统计学处理:用χ2检验和四格表确切概率法分析。
, 百拇医药
结 果
1.各基因蛋白表达的一般特点:HSP70、HSP27、p16、p21在癌组织中的表达阳性率见表1。HSP70、HSP27阳性颗粒主要位于胞浆内。其阳性强度:鳞癌(+)、腺鳞癌(++)、腺癌、支气管肺泡癌(+++)。HSP70在腺癌、支气管肺泡癌中则既有胞浆又有核内的阳性表达(图1)。p16主要定位于胞浆内,阳性强度为(+),主要见于鳞癌细胞内(图2);在`肺腺癌以及肺泡细胞癌为(±)表达。p21主要定位于胞膜内侧之胞浆中,在各型中表达强度无明显差异。HSP70、HSP27在正常支气管纤毛柱状上皮表达(+),主要定位于上皮细胞浆内(图3),无核内表达,在正常肺泡上皮、间质中未见表达;p16在正常肺组织有表达;p21在正常肺组织未见表达。
表1 HSP70、HSP27、p16和p21在癌组织中用免疫组化和原位杂交检出阳性率比较
Table 1 The comparison of the positive rate of HSP70,HSP27,p16 and p21 expression in OLC using immunohistochemistryand in situ hybridization
, http://www.100md.com
HSP70
HSP27
p16
p21
免疫组化
Immunohisto-
chemistry
70%
(14/20)
85%
(17/20)
25%
(5/20)
, 百拇医药
55%
(11/20)
原位杂交
In situ
hybridization
55%
(11/20)
65%
(13/20)
10%
(2/20)
40%
(8/20)
, 百拇医药
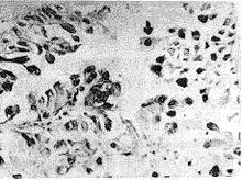
图1 OLC支气管肺泡癌之癌细胞胞浆和胞核内均可见有HSP70阳性表达(棕色颗粒↑) SABC×20
Fig 1 The positive expression (brown particles↑) of HSP70 in both cytoplasm and nucleus of
the cells of occupationalbronchoalveolar cancer SABC×20
图2 肺鳞状细胞癌之癌细胞MTS1(p16)阳性表达(棕色颗粒↑) SABC×10
Fig 2 The positive expression of MTS1(p16)(brown particles↑)
, 百拇医药
in the cells of squamous-cell carcinoma SABC×10
图3 正常细支气管纤毛上皮胞浆内见有HSP70阳性表达(棕色颗粒↑) SABC×20
Fig 3 The positive expression(brown particles ↑) of HSP70
in cytoplasm of normal bronchiole ciliatedepithelial cells SABC×20
2.基因扩增的一般特点:HSP70、HSP27、MTS1、k-ras扩增率见表1,虽然阳性率较蛋白水平低,但两者间差异无显著性(P>0.05)。即表明OLC中以上3种基因在基因水平及蛋白产物表达上的改变基本一致,其阳性定位也与前者相同。
, http://www.100md.com
3.多基因表达之间的相互关系(两种测检方法):HSP70、HSP27与k-ras存在共同表达情况,三者中以HSP27阳性率最高。HSP27在正常肺组织中表达与HSP70一致;但在肺癌组织中阳性颗粒仅位于胞浆内。p16阳性率在4种基因表达中最低,且阳性强度弱,而且在前3种基因为强阳性(++)的病例切片中,p16为阴性反应。说明前者主要是靠基因的扩增来激活,后者则主要以基因丢失方式来使抑癌基因失活,这也是p16与p53不同之处所在。
讨 论
OLC发生发展过程系以多种分子基因变化为基础,其中既有癌基因的激活,又有抑癌基因的失活。利用免疫组化和分子杂交技术,可以从分子水平定位检测这些基因变化。在连续组织切片上同步进行多种基因的检测,便于在原位对比观察各基因的表达,研究它们的变化规律和相互之间的关系。
近年来研究发现:HSPs参与细胞的生长发育过程[3],癌基因产物如c-myc、fos及p53、ras基因产物均能促进细胞内HSPs表达[4],ras基因产物能与HSPs结合,从而抑制具有酪氨酸激酶的ras基因产物的活力。本实验两种检测结果均表明:大多数肺癌组织均持续表达HSP70、HSP27,其阳性率高,提示HSPs在肺癌的早期阶段已发生变化;其阳性反应的强弱与组织类型和分化程度密切相关,并且在正常肺泡组织中不表达,而发生癌变后表达,提示HSPs与肺癌发生有着密切联系。目前我们已知HSPs在肺癌细胞中表达是增强的,但HSPs在肺癌发生发展中所起的作用尚有待深入研究。
, http://www.100md.com
k-ras癌基因研究较多,其高表达表示癌细胞的增生和浸润能力增强,是肺癌恶性程度高的表现[5],本实验亦有同样发现。HSPs与k-ras表达呈显著正相关,进一步证实两者过表达与肺癌的进展有明显关系。k-ras与HSPs的联合检测是否可以作为环境化学物所致肺癌早期发现和环境化学致癌物致癌危险性评价的一种新手段,值得我们去尝试。
p16基因称为MTS1,是新近发现的一个参与细胞周期调控的抑癌基因,有抑制细胞分裂功能[6]。p16在多种类型肿瘤(如黑色素癌、恶性间皮瘤等)中有高频率结合性缺失[7]。但有关p16基因在OLC中的变化尚未见报道。研究p16基因与HSPs的关系,对阐明OLC癌变机制及寻找新的肿瘤标志物具有重要意义。本研究结果表明:p16基因的缺失与OLC的发生发展密切相关,它与HSPs和k-ras基因表达呈明显负相关,而且p16基因缺失(阴性反应)的病例均属于低分化、有淋巴结转移的进展期肺癌,提示p16基因异常是肺癌癌变的晚期事件,可能与肺癌转移有关。
, 百拇医药
以上结果表明:OLC的发生发展是多种基因的参与和协同作用的结果,癌基因、抑癌基因的表达产物可以直接或间接地影响HSPs的表达,提示在OLC的发生发展过程中,HSPs与癌基因、抑癌基因有着密切的内在联系。相信随着人们在这方面的深入研究,不仅使人们对环境和OLC的病因及发病机制有更深入认识,而且在OLC的早期监测和诊断、预后判断及治疗等方面有着广阔的应用前景。
本课题受国家博士后科研基金和湖北省科委资助
参 考 文 献
[1] 梁英杰,凌启波.一种快速敏感的免疫组化染色法—LSAB法.中华病理学杂志,1993,22:369-370.
[2] 倪灿荣主编.免疫组化实验新技术及应用.北京:北京科技出版社,1993.563-585.
[3] Kindas MI,Trautinger F.Increased expression of HSP27 in vitro differentiated normal human keratinocytes.Cell Growth Differ,1994,5:777-781.
, 百拇医药
[4] Lee CS,Montebello J,Rush M.Overexpression of heat shock protein HSP70 associated with abnormal p53 expression in cancer of the pancreas.Zentralbl Pathol,1994,149:259-264.
[5] Liotta LA.k-ras p21 and metastatic phenotype.J Natl Cancer Inst,1988,80:468-469.
[6] Marx J.New tumor suppressor may rival p53.Science,1994,264:344-345.
[7] Kamb A,Gruis NA,Feldhaus JW,et al.A cell cycle regulator potentially involved in genesis of many tumor types.Science,1994,264:436-440.
(收稿:1998-06-18 修回:1998-07-24), 百拇医药
单位:430030 武汉,同济医科大学职业医学研究所
关键词:职业性肺癌;热应激蛋白;癌基因;抑癌基因
中华劳动卫生职业病杂志990106
【摘要】 目的 观察HSP27、HSP70与多种瘤抑制基因(MTS1)、k-ras基因及其蛋白产物在职业性肺癌(occupational lung cancer,OLC)中的联合表达的情况。方法 采用免疫组化和原位分子杂交技术。结果 OLC中的HSPs表达较正常肺组织高;OLC中的HSPs与k-ras都有基因扩增和蛋白产物的过表达;MTS1的表达与HSPs、k-ras的表达呈负相关。结论 MTS1表达的变化可能是OLC癌变的重要分子学改变;HSPs与k-ras在OLC的癌变过程中有协同作用;OLC中以上3种基因在基因水平及蛋白产物表达上的改变基本一致。
, 百拇医药
Correlation of heat stress proteins,k-ras and MTS1 expression in occupational lung cancer
Zhang Yongxing,He Hanzhen,Zhang Guogao,et al.Institute of Occupational Medicine,Tongji Medical University,Wuhan 430030
【Abstract】 Objective To study the expression of heat stress proteins HSP27,HSP70 and antioncogene MTS1,oncogene k-ras,and their protein products in occupational lung cancer(OLC). Methods In-situ hybridization and immunohistochemistry were conducted in the study. Results The expression of HSPs was higher in OLC than in normal lung tissue.HSPs and k-ras were overexpressed and amplified in OLC.The expression of MTS1 correlated negatively with HSPs and k-ras expression. Conclusion HSPs and k-ras might play a synergetic role in the process of carcinogenesis;change of MTS1 expression might be an important molecular alteration of OLC;the expression of the above three genes in OLC are consistent with their protein products.
, 百拇医药
【Key words】 Occupational lung cancer Heat stress protein Oncogene Antioncogene
为探讨主要的热应激蛋白HSP27、HSP70和k-ras、多种瘤抑制基因(MTS1)在职业性肺癌癌变过程中相互关系及其作用机制,我们利用免疫组化和原位分子杂交技术观察以上三者的基因水平和蛋白水平在职业性肺癌组织中联合表达的动态变化和分布情况,为职业性肺癌的癌前监护和早期防治提供重要的理论依据。
材料与方法
1.材料:从广西铜坑、长坡、巴里、栗木4个锡矿1975~1995年间诊断的职业性肺癌(OLC)103例中挑选出20例有完整职业史、生活史以及临床、病理资料和有手术标本的存档蜡块的病例。20例均为非小细胞肺癌(NSCLC),其中鳞癌10例、腺癌5例、腺鳞癌4例、支气管肺泡癌1例。患者均为男性,年龄为40~62岁。存档蜡块作4μm厚连续切片,贴于经APES处理的干净载玻片上,分别进行免疫组化和原位分子杂交。
, 百拇医药
2.免疫组化方法:主要试剂有鼠抗人p21单克隆抗体(Dako),兔抗人HSP27、HSP70抗体(由加拿大拉瓦尔大学遗传学研究所与本实验室共同研制)、兔抗人p16抗体(Dako)。染色方法均为LSAB法[1](LSAB试剂盒为Dako公司产品),DAB显色、苏木素或甲基绿复染。以上实验均设阳性和阴性对照。结果判断:细胞呈明显棕色反应即为阳性,根据染色深浅和阳性细胞百分比,将阳性强度判断为(+)、(++)和(+++)。
3.原位分子杂交:含k-ras、MTS1 cDNA的质粒由日本国立基因库赠送,含HSP70、HSP27 cDNA的质粒由加拿大拉瓦尔大学遗传学研究所与本实验室共同研制。cDNA的抽提、探针标记以及原位分子杂交(石蜡切片)实验过程参见文献[2]。阳性细胞呈蓝色反应,阳性强度判断与免疫组化实验标准相同。
4.统计学处理:用χ2检验和四格表确切概率法分析。
, 百拇医药
结 果
1.各基因蛋白表达的一般特点:HSP70、HSP27、p16、p21在癌组织中的表达阳性率见表1。HSP70、HSP27阳性颗粒主要位于胞浆内。其阳性强度:鳞癌(+)、腺鳞癌(++)、腺癌、支气管肺泡癌(+++)。HSP70在腺癌、支气管肺泡癌中则既有胞浆又有核内的阳性表达(图1)。p16主要定位于胞浆内,阳性强度为(+),主要见于鳞癌细胞内(图2);在`肺腺癌以及肺泡细胞癌为(±)表达。p21主要定位于胞膜内侧之胞浆中,在各型中表达强度无明显差异。HSP70、HSP27在正常支气管纤毛柱状上皮表达(+),主要定位于上皮细胞浆内(图3),无核内表达,在正常肺泡上皮、间质中未见表达;p16在正常肺组织有表达;p21在正常肺组织未见表达。
表1 HSP70、HSP27、p16和p21在癌组织中用免疫组化和原位杂交检出阳性率比较
Table 1 The comparison of the positive rate of HSP70,HSP27,p16 and p21 expression in OLC using immunohistochemistryand in situ hybridization
, http://www.100md.com
HSP70
HSP27
p16
p21
免疫组化
Immunohisto-
chemistry
70%
(14/20)
85%
(17/20)
25%
(5/20)
, 百拇医药
55%
(11/20)
原位杂交
In situ
hybridization
55%
(11/20)
65%
(13/20)
10%
(2/20)
40%
(8/20)
, 百拇医药
图1 OLC支气管肺泡癌之癌细胞胞浆和胞核内均可见有HSP70阳性表达(棕色颗粒↑) SABC×20
Fig 1 The positive expression (brown particles↑) of HSP70 in both cytoplasm and nucleus of
the cells of occupationalbronchoalveolar cancer SABC×20
图2 肺鳞状细胞癌之癌细胞MTS1(p16)阳性表达(棕色颗粒↑) SABC×10
Fig 2 The positive expression of MTS1(p16)(brown particles↑)
, 百拇医药
in the cells of squamous-cell carcinoma SABC×10
图3 正常细支气管纤毛上皮胞浆内见有HSP70阳性表达(棕色颗粒↑) SABC×20
Fig 3 The positive expression(brown particles ↑) of HSP70
in cytoplasm of normal bronchiole ciliatedepithelial cells SABC×20
2.基因扩增的一般特点:HSP70、HSP27、MTS1、k-ras扩增率见表1,虽然阳性率较蛋白水平低,但两者间差异无显著性(P>0.05)。即表明OLC中以上3种基因在基因水平及蛋白产物表达上的改变基本一致,其阳性定位也与前者相同。
, http://www.100md.com
3.多基因表达之间的相互关系(两种测检方法):HSP70、HSP27与k-ras存在共同表达情况,三者中以HSP27阳性率最高。HSP27在正常肺组织中表达与HSP70一致;但在肺癌组织中阳性颗粒仅位于胞浆内。p16阳性率在4种基因表达中最低,且阳性强度弱,而且在前3种基因为强阳性(++)的病例切片中,p16为阴性反应。说明前者主要是靠基因的扩增来激活,后者则主要以基因丢失方式来使抑癌基因失活,这也是p16与p53不同之处所在。
讨 论
OLC发生发展过程系以多种分子基因变化为基础,其中既有癌基因的激活,又有抑癌基因的失活。利用免疫组化和分子杂交技术,可以从分子水平定位检测这些基因变化。在连续组织切片上同步进行多种基因的检测,便于在原位对比观察各基因的表达,研究它们的变化规律和相互之间的关系。
近年来研究发现:HSPs参与细胞的生长发育过程[3],癌基因产物如c-myc、fos及p53、ras基因产物均能促进细胞内HSPs表达[4],ras基因产物能与HSPs结合,从而抑制具有酪氨酸激酶的ras基因产物的活力。本实验两种检测结果均表明:大多数肺癌组织均持续表达HSP70、HSP27,其阳性率高,提示HSPs在肺癌的早期阶段已发生变化;其阳性反应的强弱与组织类型和分化程度密切相关,并且在正常肺泡组织中不表达,而发生癌变后表达,提示HSPs与肺癌发生有着密切联系。目前我们已知HSPs在肺癌细胞中表达是增强的,但HSPs在肺癌发生发展中所起的作用尚有待深入研究。
, http://www.100md.com
k-ras癌基因研究较多,其高表达表示癌细胞的增生和浸润能力增强,是肺癌恶性程度高的表现[5],本实验亦有同样发现。HSPs与k-ras表达呈显著正相关,进一步证实两者过表达与肺癌的进展有明显关系。k-ras与HSPs的联合检测是否可以作为环境化学物所致肺癌早期发现和环境化学致癌物致癌危险性评价的一种新手段,值得我们去尝试。
p16基因称为MTS1,是新近发现的一个参与细胞周期调控的抑癌基因,有抑制细胞分裂功能[6]。p16在多种类型肿瘤(如黑色素癌、恶性间皮瘤等)中有高频率结合性缺失[7]。但有关p16基因在OLC中的变化尚未见报道。研究p16基因与HSPs的关系,对阐明OLC癌变机制及寻找新的肿瘤标志物具有重要意义。本研究结果表明:p16基因的缺失与OLC的发生发展密切相关,它与HSPs和k-ras基因表达呈明显负相关,而且p16基因缺失(阴性反应)的病例均属于低分化、有淋巴结转移的进展期肺癌,提示p16基因异常是肺癌癌变的晚期事件,可能与肺癌转移有关。
, 百拇医药
以上结果表明:OLC的发生发展是多种基因的参与和协同作用的结果,癌基因、抑癌基因的表达产物可以直接或间接地影响HSPs的表达,提示在OLC的发生发展过程中,HSPs与癌基因、抑癌基因有着密切的内在联系。相信随着人们在这方面的深入研究,不仅使人们对环境和OLC的病因及发病机制有更深入认识,而且在OLC的早期监测和诊断、预后判断及治疗等方面有着广阔的应用前景。
本课题受国家博士后科研基金和湖北省科委资助
参 考 文 献
[1] 梁英杰,凌启波.一种快速敏感的免疫组化染色法—LSAB法.中华病理学杂志,1993,22:369-370.
[2] 倪灿荣主编.免疫组化实验新技术及应用.北京:北京科技出版社,1993.563-585.
[3] Kindas MI,Trautinger F.Increased expression of HSP27 in vitro differentiated normal human keratinocytes.Cell Growth Differ,1994,5:777-781.
, 百拇医药
[4] Lee CS,Montebello J,Rush M.Overexpression of heat shock protein HSP70 associated with abnormal p53 expression in cancer of the pancreas.Zentralbl Pathol,1994,149:259-264.
[5] Liotta LA.k-ras p21 and metastatic phenotype.J Natl Cancer Inst,1988,80:468-469.
[6] Marx J.New tumor suppressor may rival p53.Science,1994,264:344-345.
[7] Kamb A,Gruis NA,Feldhaus JW,et al.A cell cycle regulator potentially involved in genesis of many tumor types.Science,1994,264:436-440.
(收稿:1998-06-18 修回:1998-07-24), 百拇医药