CT检查在石棉肺诊断中的价值
作者:赵金铎 刘景德 阎波 王希元
单位:(赵金铎 刘景德)沈阳市劳动卫生职业病研究所,辽宁 沈阳 110024;(阎波 王希元)沈阳市第九人民医院,辽宁 沈阳 110024
关键词:石棉肺;胸膜斑;CT检查
中国工业医学杂志990501
摘要:目的 研究石棉肺的肺实质和胸膜病变的CT检查所见。方法 对19例石棉肺患者进行胸部X线和CT检查,比较X线和CT检查对石棉肺患者肺实质改变和胸膜改变的表现特点和检出结果。结果 X线胸片有胸膜改变的5例,其中1例为胸膜斑。CT检查发现有胸膜改变的16例,其中6例为胸膜斑;6例有胸膜斑的病例中,有3例为X线胸片上难以发现的脊椎旁胸膜斑。肺实质改变,在X线胸片上,在3个病例各发现1个大阴影;而CT检查,在4个病例中,共发现5个大阴影,其中1例伴有胸膜下曲线状肺纤维化阴影。肺内小阴影的显示,CT检查所见不如X线所见的密集。结论 联合应用胸部X线和CT检查结果,可为石棉肺的诊断和分级提供较有价值的信息。
, 百拇医药
Evaluation of CT scanning in diagnosis for asbestosis
ZHAO Jin-duo LIU Jing-de
Shenyang Institute of Occupational Health and Medicine,Shenyang 110024,China;
YAN Bo WANG Xi-yuan
Shenyang Ninth People's Hospital,Shenyang 110024,China
Abstract:Objective To study lung parenchymal and pleural changes in patients with asbestosis in their computerized tomography(CT)scanning.Methods Appearance of lung parenchymal and pleural changes in patients with asbestosis in chest X-ray film and CT scanning was compared.Results Nineteen patients with asbestosis were chest X-rayed and CT scanned.Pleural changes were found in five cases in chest X-ray film with one of pleural plaque,and in 16 cases with CT scanning with six of pleural plaque,three of whom with paravertebral pleural plaque usually difficult to reveal in X-ray film.A large shadow was found in the lung of each of three cases with chest X-ray film,and five large shadows were found in four cases with CT scanning,one of whom with subpleural curvilinear linecfibrosis.Small opacities in the lungs were less densely distributed in CT scanning than in X-ray film.Conclusion Combination of chest X-ray film and CT scanning can provide useful information in diagnosis and classification of asbestosis.
, 百拇医药
Key words:Asbestosis;Pleural plaque; CT scanning
石棉肺的诊断,除根据肺实质病变的X线表现外,胸膜的特征性改变——胸膜斑,可视为石棉对呼吸系统损伤的佐证,是石棉肺诊断及分级的重要指标。本研究是以常规胸部X线与CT检查相配合、对比,辨认石棉肺的肺实质及胸膜的改变,以评估CT检查在石棉肺诊断的价值。
1 临床资料和检查结果
1.1 一般情况
19例石棉肺患者,男8人,女11人;年龄为58~72岁;Ⅰ期13人,Ⅱ期5人,Ⅲ期1人。
1.2 检查结果
19例患者同时进行胸部X线和CT检查,观察、对比肺实质和胸膜的改变。
, 百拇医药
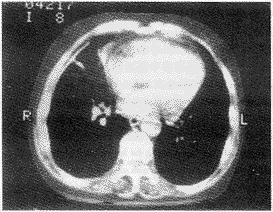
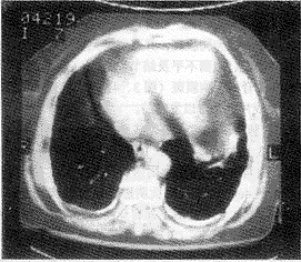
1.2.1 胸膜改变:X线片可观察到胸膜改变5例,其中1例疑为胸膜斑。CT检查发现胸膜改变高达16例,其中6例为胸膜斑,并可观察到胸膜斑钙化、小块的胸膜斑、表面不平及结节状表现(图1、2、3),还有3例脊椎旁胸膜斑(图3、4)。CT检查所见的改变在X线片上是难以发现的。
患者接触石棉15年(1949~1964年)
图1 CT检出左前侧非钙化型胸膜斑
患者接触石棉23年(1955~1978年)
图2 左前侧胸膜斑及肺纤维化束
, http://www.100md.com
患者接触石棉9年(1956~1965年)
图3 双后侧胸膜斑,包括双侧脊椎旁胸膜斑
患者接触石棉25年(1954~1979年)
图4 右肺背侧胸膜下肺纤维化(呈曲线状),左肺
大阴影疑似肺癌,酷似圆形肺不张
1.2.2 肺实质改变:在X线胸片上观察到大阴影3例,共3个大阴影,其中1例疑为左侧肺癌。CT检查时,发现4例,5个大阴影,其中1例在右下叶尖段脊椎旁4cm×2.5cm的大阴影,在X线胸片上却未观察到;另1例右肺后下部有炎症阴影,在X线胸片上也未显示。此外,CT检查显示的蜂窝状影、胸膜下曲线状肺纤维化影,左侧大阴影疑为肺癌,但未经组织学证实,其形态酷似圆形肺不张(图4)。纵隔胸膜粘连及心包胸膜粘连各1例,这些所见均可补充X线胸片所见之不足。
, 百拇医药
1.2.3小阴影及其他:在X线胸片所显示的小阴影、肺气肿等,在CT检查时均可显示,但对圆形及不规则的小阴影,CT检查不如X线胸片所见之密集,显然是因为X线胸片系全肺的重叠影象,而CT只是显示一定厚度断面的病变。详见表1、2、3。
表1 19例石棉肺的CT及X线胸片检查结果比较
肺实质改变
胸膜改变
CT
19
16
X线胸片
18
5
, http://www.100md.com
表2 19例石棉肺的CT及X线胸片检查胸膜异常对比
胸膜异常
钙化
胸膜增厚
胸膜斑
脊椎旁斑
CT
16
3
12
6
3
X线胸片
, http://www.100md.com
5
0
2
1
0
表3 19例石棉肺的CT及X线胸片检查肺实质病变对比
小阴影
块状影
胸膜下肺
蜂窝
纵隔
心包胸膜
病例
, http://www.100md.com
数量
纤维化
状影
粘连
粘连
CT
19
4
5
1
1
1
1
X线胸片
, 百拇医药
18
3
3
0
0
0
0
2 讨论 自70年代电子计算机控制的断层摄影(CT)以一种新的诊断手段应用于临床以来,随着技术不断改进、经验逐渐丰富,应用也日益普及。CT检查配合X线胸片,可获得具有临床意义的资料,有些病例能借助CT资料而避免剖胸探查。有人对71例患者应用CT检查评价X线胸片所表现的纵隔增宽的诊断意见,有92%得出正确诊断,其中有些属正常结构,软组织投影或血管异常等。CT可用以鉴别胸膜和肺实质影象,也可较正确地指出局部活检的定位[1]。以CT检查和支气管造影对照研究,可精确辨认支气管扩张[2]。有人对58例矽肺患者研究发现CT检查与X线胸片对比,对有合并症和大阴影的检出,两者无区别;而在X线胸片只有小阴影的30例单纯矽肺的患者中,经CT检查发现10例同时有融合或大阴影,并可早期发现结核病或肺癌等病变[3],也有人认为以CT对胸膜恶性病变的辨认,有其优越性[4,5]。Aberle等对29例石棉肺患者进行常规CT及高分辨CT(HRCT)检查,发现肺实质异常多见于肺的后基底部,取俯卧位检查可排除血液重力充盈现象(gravity-related physiologic phenomena)的干扰。HRCT对胸膜和肺实质纤维化的检出均略优于常规CT检查,如对肺实质异常的检出,两者分别为96%和83%;对胸膜增厚的检出率分别为100%和93%[6]。国内已有不少单位应用CT检查对尘肺的影象进行观察研究,并积累了很多经验,但HRCT检查尚不普及,目前只有少数单位着手应用HRCT对尘肺影象进行观察。
, http://www.100md.com
根据我国尘肺X线诊断标准规定,在以不规则小阴影为主要X线表现的石棉肺诊断分级中,当肺部表现为0+时,如有两侧胸壁局限性胸膜斑,可定为Ⅰ期;如肺部病变为Ⅰ+时,而胸膜斑已涉及部分心缘和膈面,使之变为模糊,可定为Ⅱ期;如肺部病变定为Ⅱ+时,虽无Ⅲ期所要求的大阴影出现,而胸膜斑范围广泛,累及心缘,并使其相当部分显示蓬乱,可定为Ⅲ期。由此可见胸膜斑的辨认对石棉肺的诊断和分级十分重要。X线胸片常因多种原因使胸膜斑显示不清,如与CT影象相互印证,准确地辨认胸膜斑,对石棉肺的诊断和分级是很有价值的。本文观察的19例中,X线胸片发现胸膜改变的仅5例,其中1例为胸膜斑;而CT检查发现有胸膜改变的16例,其中有6例为胸膜斑,6例中有3例是X线胸片不能显示的脊椎旁胸膜斑。由此可见,CT检查对胸膜病变,特别是胸膜斑的检出效果较好。X线胸片的正常肋骨伴随影可达75%,应与胸膜斑相鉴别;有人统计剖检证明有胸膜斑者在X线胸片上,只能反映15%左右[7]。这些问题均可藉CT检查加以辨别。
, http://www.100md.com
Gevenois等对231名石棉工人进行CT检查总结为3个类型,除了肺纤维化和壁胸膜纤维化(表现为胸膜斑)外,还有反映脏胸膜纤维化的表现,即弥漫性胸膜纤维化、圆形肺不张和肺实质束状影。圆形肺不张和肺实质纤维化束主要反映脏胸膜的纤维化。圆形肺不张为脏胸膜纤维化收缩的后果,靠近胸膜肥厚处,并有血管、支气管聚束的线状影向肺门方向延伸,呈彗星尾征[8]。目前ILO的尘肺X线分级标准和我国尘肺X线诊断标准中,对石棉致壁胸膜纤维化,即胸膜斑的记述十分详细,并予以重视,但尚未涉及石棉对脏胸膜影响的记述,今后应予注意,并进行观察、研究。
有人认为CT对石棉肺的诊断,仍有其一定的局限性,虽优于常规的临床诊断,但不如病理组织学诊断敏感和特异[9]。目前我国仍以X线胸片为主进行临床综合诊断,如能对个别病例佐以CT检查,可能提供更有价值的信息,如能及时应用HRCT等新技术进行观察研究,发现新征象,会使石棉肺的诊断渐趋完善。
3 结论
, http://www.100md.com
对于石棉肺的肺部小阴影的检出,X线胸片优于CT检查,因为X线胸片是肺部病变的重叠影象,可显示较高密集度的小阴影。但对病变融合、肺不张、结核、炎症、肿块等影象的检出,CT检查优于X线胸片。对胸膜病变及胸膜斑的检出,CT检查明显地优于X线胸片,特别是对X线胸片难以发现的脊椎旁胸膜斑及胸壁小块胸膜斑的辨认十分有用。两者配合应用对石棉肺的诊断及分级,可提供更多的有价值的依据。鉴于HRCT的应用,会更加深入地认识石棉肺的影象特征,今后应进一步观察研究。
作者简介:赵金铎(1930—),男,辽宁海城人,主任医师。
参考文献:
[1]Snider GL,et al.Computed tomography of the thorax.An important new diagnostic tool〔J〕.Chest,1981,80(5):527~529.
, 百拇医药
[2]Grenier P,et al.Bronchiectasis:Assessment by thin-section CT[J].Radiology,1986,161:95~99.
[3]Begin R,et al.CT Assessment of silicosis in exposed workers[J].A J R,1987,148:509~514.
[4]Law MR,et al.Computed tomography in the assessment of malignant mesothelioma of the pleura[J].Clinical Radiology,1982,33:67~70.
[5]Leung AN,et al.CT in differential diagnosis of diffuse pleural disease[J].A J R,1990,154(3):487~492.
, http://www.100md.com
[6]Aberle DR,et al.Asbestos-related pleural and paranchymal fibrosis:Detection with High-Resolution CT.[J].Radiology,1988,166(3):729~734.
[7]Katz D,et al.Computed tomography in pulmonary asbestosis[J].Clinical Radiology,1979,30(2):207~213.
[8]Gevenois PA,et al.Asbestosis,pleural plaques and diffuse pleural thickening:three distinct benign responses to asbestos exposure[J].Eur Respir J,1998,11(5):1021~1027.
[9]Lynch DA.CT for asbestosis:Value and limitations[J].A J R,1995,164:69~71.
收稿日期:1999-07-15, http://www.100md.com
单位:(赵金铎 刘景德)沈阳市劳动卫生职业病研究所,辽宁 沈阳 110024;(阎波 王希元)沈阳市第九人民医院,辽宁 沈阳 110024
关键词:石棉肺;胸膜斑;CT检查
中国工业医学杂志990501
摘要:目的 研究石棉肺的肺实质和胸膜病变的CT检查所见。方法 对19例石棉肺患者进行胸部X线和CT检查,比较X线和CT检查对石棉肺患者肺实质改变和胸膜改变的表现特点和检出结果。结果 X线胸片有胸膜改变的5例,其中1例为胸膜斑。CT检查发现有胸膜改变的16例,其中6例为胸膜斑;6例有胸膜斑的病例中,有3例为X线胸片上难以发现的脊椎旁胸膜斑。肺实质改变,在X线胸片上,在3个病例各发现1个大阴影;而CT检查,在4个病例中,共发现5个大阴影,其中1例伴有胸膜下曲线状肺纤维化阴影。肺内小阴影的显示,CT检查所见不如X线所见的密集。结论 联合应用胸部X线和CT检查结果,可为石棉肺的诊断和分级提供较有价值的信息。
, 百拇医药
Evaluation of CT scanning in diagnosis for asbestosis
ZHAO Jin-duo LIU Jing-de
Shenyang Institute of Occupational Health and Medicine,Shenyang 110024,China;
YAN Bo WANG Xi-yuan
Shenyang Ninth People's Hospital,Shenyang 110024,China
Abstract:Objective To study lung parenchymal and pleural changes in patients with asbestosis in their computerized tomography(CT)scanning.Methods Appearance of lung parenchymal and pleural changes in patients with asbestosis in chest X-ray film and CT scanning was compared.Results Nineteen patients with asbestosis were chest X-rayed and CT scanned.Pleural changes were found in five cases in chest X-ray film with one of pleural plaque,and in 16 cases with CT scanning with six of pleural plaque,three of whom with paravertebral pleural plaque usually difficult to reveal in X-ray film.A large shadow was found in the lung of each of three cases with chest X-ray film,and five large shadows were found in four cases with CT scanning,one of whom with subpleural curvilinear linecfibrosis.Small opacities in the lungs were less densely distributed in CT scanning than in X-ray film.Conclusion Combination of chest X-ray film and CT scanning can provide useful information in diagnosis and classification of asbestosis.
, 百拇医药
Key words:Asbestosis;Pleural plaque; CT scanning
石棉肺的诊断,除根据肺实质病变的X线表现外,胸膜的特征性改变——胸膜斑,可视为石棉对呼吸系统损伤的佐证,是石棉肺诊断及分级的重要指标。本研究是以常规胸部X线与CT检查相配合、对比,辨认石棉肺的肺实质及胸膜的改变,以评估CT检查在石棉肺诊断的价值。
1 临床资料和检查结果
1.1 一般情况
19例石棉肺患者,男8人,女11人;年龄为58~72岁;Ⅰ期13人,Ⅱ期5人,Ⅲ期1人。
1.2 检查结果
19例患者同时进行胸部X线和CT检查,观察、对比肺实质和胸膜的改变。
, 百拇医药
1.2.1 胸膜改变:X线片可观察到胸膜改变5例,其中1例疑为胸膜斑。CT检查发现胸膜改变高达16例,其中6例为胸膜斑,并可观察到胸膜斑钙化、小块的胸膜斑、表面不平及结节状表现(图1、2、3),还有3例脊椎旁胸膜斑(图3、4)。CT检查所见的改变在X线片上是难以发现的。
患者接触石棉15年(1949~1964年)
图1 CT检出左前侧非钙化型胸膜斑
患者接触石棉23年(1955~1978年)
图2 左前侧胸膜斑及肺纤维化束
, http://www.100md.com
患者接触石棉9年(1956~1965年)
图3 双后侧胸膜斑,包括双侧脊椎旁胸膜斑
患者接触石棉25年(1954~1979年)
图4 右肺背侧胸膜下肺纤维化(呈曲线状),左肺
大阴影疑似肺癌,酷似圆形肺不张
1.2.2 肺实质改变:在X线胸片上观察到大阴影3例,共3个大阴影,其中1例疑为左侧肺癌。CT检查时,发现4例,5个大阴影,其中1例在右下叶尖段脊椎旁4cm×2.5cm的大阴影,在X线胸片上却未观察到;另1例右肺后下部有炎症阴影,在X线胸片上也未显示。此外,CT检查显示的蜂窝状影、胸膜下曲线状肺纤维化影,左侧大阴影疑为肺癌,但未经组织学证实,其形态酷似圆形肺不张(图4)。纵隔胸膜粘连及心包胸膜粘连各1例,这些所见均可补充X线胸片所见之不足。
, 百拇医药
1.2.3小阴影及其他:在X线胸片所显示的小阴影、肺气肿等,在CT检查时均可显示,但对圆形及不规则的小阴影,CT检查不如X线胸片所见之密集,显然是因为X线胸片系全肺的重叠影象,而CT只是显示一定厚度断面的病变。详见表1、2、3。
表1 19例石棉肺的CT及X线胸片检查结果比较
肺实质改变
胸膜改变
CT
19
16
X线胸片
18
5
, http://www.100md.com
表2 19例石棉肺的CT及X线胸片检查胸膜异常对比
胸膜异常
钙化
胸膜增厚
胸膜斑
脊椎旁斑
CT
16
3
12
6
3
X线胸片
, http://www.100md.com
5
0
2
1
0
表3 19例石棉肺的CT及X线胸片检查肺实质病变对比
小阴影
块状影
胸膜下肺
蜂窝
纵隔
心包胸膜
病例
, http://www.100md.com
数量
纤维化
状影
粘连
粘连
CT
19
4
5
1
1
1
1
X线胸片
, 百拇医药
18
3
3
0
0
0
0
2 讨论 自70年代电子计算机控制的断层摄影(CT)以一种新的诊断手段应用于临床以来,随着技术不断改进、经验逐渐丰富,应用也日益普及。CT检查配合X线胸片,可获得具有临床意义的资料,有些病例能借助CT资料而避免剖胸探查。有人对71例患者应用CT检查评价X线胸片所表现的纵隔增宽的诊断意见,有92%得出正确诊断,其中有些属正常结构,软组织投影或血管异常等。CT可用以鉴别胸膜和肺实质影象,也可较正确地指出局部活检的定位[1]。以CT检查和支气管造影对照研究,可精确辨认支气管扩张[2]。有人对58例矽肺患者研究发现CT检查与X线胸片对比,对有合并症和大阴影的检出,两者无区别;而在X线胸片只有小阴影的30例单纯矽肺的患者中,经CT检查发现10例同时有融合或大阴影,并可早期发现结核病或肺癌等病变[3],也有人认为以CT对胸膜恶性病变的辨认,有其优越性[4,5]。Aberle等对29例石棉肺患者进行常规CT及高分辨CT(HRCT)检查,发现肺实质异常多见于肺的后基底部,取俯卧位检查可排除血液重力充盈现象(gravity-related physiologic phenomena)的干扰。HRCT对胸膜和肺实质纤维化的检出均略优于常规CT检查,如对肺实质异常的检出,两者分别为96%和83%;对胸膜增厚的检出率分别为100%和93%[6]。国内已有不少单位应用CT检查对尘肺的影象进行观察研究,并积累了很多经验,但HRCT检查尚不普及,目前只有少数单位着手应用HRCT对尘肺影象进行观察。
, http://www.100md.com
根据我国尘肺X线诊断标准规定,在以不规则小阴影为主要X线表现的石棉肺诊断分级中,当肺部表现为0+时,如有两侧胸壁局限性胸膜斑,可定为Ⅰ期;如肺部病变为Ⅰ+时,而胸膜斑已涉及部分心缘和膈面,使之变为模糊,可定为Ⅱ期;如肺部病变定为Ⅱ+时,虽无Ⅲ期所要求的大阴影出现,而胸膜斑范围广泛,累及心缘,并使其相当部分显示蓬乱,可定为Ⅲ期。由此可见胸膜斑的辨认对石棉肺的诊断和分级十分重要。X线胸片常因多种原因使胸膜斑显示不清,如与CT影象相互印证,准确地辨认胸膜斑,对石棉肺的诊断和分级是很有价值的。本文观察的19例中,X线胸片发现胸膜改变的仅5例,其中1例为胸膜斑;而CT检查发现有胸膜改变的16例,其中有6例为胸膜斑,6例中有3例是X线胸片不能显示的脊椎旁胸膜斑。由此可见,CT检查对胸膜病变,特别是胸膜斑的检出效果较好。X线胸片的正常肋骨伴随影可达75%,应与胸膜斑相鉴别;有人统计剖检证明有胸膜斑者在X线胸片上,只能反映15%左右[7]。这些问题均可藉CT检查加以辨别。
, http://www.100md.com
Gevenois等对231名石棉工人进行CT检查总结为3个类型,除了肺纤维化和壁胸膜纤维化(表现为胸膜斑)外,还有反映脏胸膜纤维化的表现,即弥漫性胸膜纤维化、圆形肺不张和肺实质束状影。圆形肺不张和肺实质纤维化束主要反映脏胸膜的纤维化。圆形肺不张为脏胸膜纤维化收缩的后果,靠近胸膜肥厚处,并有血管、支气管聚束的线状影向肺门方向延伸,呈彗星尾征[8]。目前ILO的尘肺X线分级标准和我国尘肺X线诊断标准中,对石棉致壁胸膜纤维化,即胸膜斑的记述十分详细,并予以重视,但尚未涉及石棉对脏胸膜影响的记述,今后应予注意,并进行观察、研究。
有人认为CT对石棉肺的诊断,仍有其一定的局限性,虽优于常规的临床诊断,但不如病理组织学诊断敏感和特异[9]。目前我国仍以X线胸片为主进行临床综合诊断,如能对个别病例佐以CT检查,可能提供更有价值的信息,如能及时应用HRCT等新技术进行观察研究,发现新征象,会使石棉肺的诊断渐趋完善。
3 结论
, http://www.100md.com
对于石棉肺的肺部小阴影的检出,X线胸片优于CT检查,因为X线胸片是肺部病变的重叠影象,可显示较高密集度的小阴影。但对病变融合、肺不张、结核、炎症、肿块等影象的检出,CT检查优于X线胸片。对胸膜病变及胸膜斑的检出,CT检查明显地优于X线胸片,特别是对X线胸片难以发现的脊椎旁胸膜斑及胸壁小块胸膜斑的辨认十分有用。两者配合应用对石棉肺的诊断及分级,可提供更多的有价值的依据。鉴于HRCT的应用,会更加深入地认识石棉肺的影象特征,今后应进一步观察研究。
作者简介:赵金铎(1930—),男,辽宁海城人,主任医师。
参考文献:
[1]Snider GL,et al.Computed tomography of the thorax.An important new diagnostic tool〔J〕.Chest,1981,80(5):527~529.
, 百拇医药
[2]Grenier P,et al.Bronchiectasis:Assessment by thin-section CT[J].Radiology,1986,161:95~99.
[3]Begin R,et al.CT Assessment of silicosis in exposed workers[J].A J R,1987,148:509~514.
[4]Law MR,et al.Computed tomography in the assessment of malignant mesothelioma of the pleura[J].Clinical Radiology,1982,33:67~70.
[5]Leung AN,et al.CT in differential diagnosis of diffuse pleural disease[J].A J R,1990,154(3):487~492.
, http://www.100md.com
[6]Aberle DR,et al.Asbestos-related pleural and paranchymal fibrosis:Detection with High-Resolution CT.[J].Radiology,1988,166(3):729~734.
[7]Katz D,et al.Computed tomography in pulmonary asbestosis[J].Clinical Radiology,1979,30(2):207~213.
[8]Gevenois PA,et al.Asbestosis,pleural plaques and diffuse pleural thickening:three distinct benign responses to asbestos exposure[J].Eur Respir J,1998,11(5):1021~1027.
[9]Lynch DA.CT for asbestosis:Value and limitations[J].A J R,1995,164:69~71.
收稿日期:1999-07-15, http://www.100md.com