软组织神经源性肿瘤的MRI诊断
作者:汪登斌 何国祥 江浩 吴达明 唐永华 周康荣
单位:汪登斌 何国祥 江浩 吴达明 唐永华(上海第二医科大学附属瑞金医院放射科,上海 200025);周康荣(上海医科大学附属中山医院放射科)
关键词:神经源性肿瘤;软组织;MRI;诊断
中国医学影像技术000631[摘 要] 目的 探讨软组织神经源性肿瘤MRI的诊断价值。方法 分析26例由病理证实的软组织神经源性肿瘤MRI表现,并与病理比较。结果 神经鞘瘤11例,神经纤维瘤7例,节细胞神经瘤1例,神经纤维瘤病1例,恶性神经鞘瘤4例和神经纤维肉瘤2例。26例中21例与神经血管束伴行(占80.8%);3例神经纤维瘤出现“靶征”;5例出现肿瘤邻近或远端肢体肌萎缩。结论 综合分析肿瘤的部位、形态、信号及其邻近的神经血管束,有助于确立软组织神经源性肿瘤的诊断,但MRI对其良、恶性的鉴别有较大局限性。
, http://www.100md.com
[中图分类号] R445.2 R739.4 [文献标识码] A
[文章编号] 1003-3289(2000)06-0484-03
MRI Evaluation of Neurogenic Tumor in Soft Tissue
WANG Deng-bin, HE Guo-xiang, JIANG Hao,et al
(Department of Radiology,Ruijin Hospital affiliated to Shanghai Second Medical University,Shanghai 200025,China)
[Abstract] Objective To investigate the diagnostic value of MRI in neurogenic tumor of soft tissue. Methods The MRI manifestations of twenty-six neurogenic tumors confirmed pathologically were analyzed in comparison with the pathologic findings. Results The study population consisted of 11 schwannomas,7 neurofibromas,1 ganglioneuroma,1neurofibromatosis,4 malignant schwannomas and 2 neurofibrosarcomas. Of 26 cases,twenty-one tumors were accompanied closely with the adjacent neurovascular bundles (80.8%),and 3 neurofibromas showed "target sign". And the atrophy of muscles in the nearby or distal part of limb due to the tumor occurred in 5 cases. Conclusion Analyzing comprehensively the location, shape,signal features and adjoining neurovascular bundles of the tumor is very conducive to establishing the diagnosis of neurogenic tumor in soft tissue,while the capability of MRI to distinguish the benignity and malignancy is much limited.
, 百拇医药
[Key words] Neurogenic tumor; Soft tissue; MRI; Diagnosis
本文报道一组软组织神经源性肿瘤病例的MRI表现和病理结果,旨在评价MRI对此类肿瘤的诊断价值。
1 材料与方法
回顾性分析1995年5月至1999年11月经MRI检查且由手术病理证实的神经源性肿瘤26例。男17例,女9例,年龄7~59岁,平均36.6岁。本组26例包括神经鞘瘤11例,神经纤维瘤7例,节细胞神经瘤1例,神经纤维瘤1例,恶性神经鞘瘤4例和神经纤维肉瘤2例。所用设备:GE 0.5T (22例)和1.5T(4例)超导型MR成像仪。每例均采用表面线圈,SE序列T1WI和FSE序列T2WI平扫,成像体位包括矢状位T1WI(TR/TE:450~500ms/18~25ms)、T2WI(TR/TE:3500~4000ms/90~108ms)和横断位T1WI(TR/TE:1500/25ms);部分病例进行了冠状位成像;26例中22例进行了MRI增强扫描(注射Gd-DTPA 0.1mmol/kg)。层厚、间距分别为5~7mm/1~3mm,矩阵为192×256。
, http://www.100md.com
2 结果
2.1 发病部位分布 颈部8例(神经纤维瘤3例,神经鞘瘤4例,恶性神经鞘瘤1例),上肢6例(神经纤维瘤1例,神经鞘瘤3例,恶性神经鞘瘤2例),下肢9例(神经纤维瘤3例,节细胞神经瘤1例,神经鞘瘤3例,神经纤维瘤病1例,恶性神经鞘瘤1例),躯干3例(神经鞘瘤1例,神经纤维肉瘤2例)。
2.2 MRI表现 肿瘤的最大直径为2.2~15cm,平均5.1cm,其中良性肿瘤最大直径为2.2~6.8cm;恶性者为4.8cm~15cm。26例中21例呈类圆形(包括1例恶性),4例恶性肿瘤呈分叶状,另1例恶性神经鞘瘤呈梭形。20例良性肿瘤中18例境界清晰(占90%);2例恶性神经鞘瘤境界亦较清晰,其余肿瘤境界均欠清晰。
26例中21例(占80.8%)可见肿瘤与神经血管束伴行,并且肿瘤的长轴平行于神经血管束走行方向;位于四肢的15例肿瘤除1例神经纤维瘤外,其余14例均位于四肢屈侧面,其中6例神经鞘瘤的前侧缘与粗大的神经紧邻(图1),且见神经血管束受推移,有2例肿瘤包绕神经血管束,其长轴亦与神经血管束平行;恶性肿瘤体积较大,故常推移且侵犯神经血管束(4/6)。此外,本组尚有4例出现肿瘤以远的肢体肌肉萎缩,1例出现邻近肿瘤的肌肉萎缩。

, 百拇医药
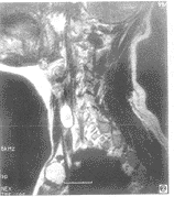
图1 右小腿神经鞘瘤 MRI增强T1W像,肿瘤边缘区强化明显,中央为坏死液化区,肿块上、下均见神经血管束影,并被推移 图2 右颈部神经纤维瘤 于T2W像上,肿瘤中心呈中等信号,边缘为高信号,即“靶征”

图3 左大腿恶性神经鞘瘤 于T1W像上,肿瘤大部分信号稍高于肌肉,而其后上部见新月形较高信号,为出血所致,肿瘤前上缘侵犯股骨后侧皮质 图4 右肩部神经纤维肉瘤 MRI增强T1W像上,肿瘤呈不均匀显著强化,其长轴与臂丛神经走行一致
良性肿瘤于T1WI上为中等或稍低信号,于T2WI上均为较高信号。其中3例神经纤维瘤见“靶征”,即T2WI上肿瘤中心区呈中等信号或低信号,而周围区呈较高信号(图2)。增强后,中心区强化较显著。神经鞘瘤中8例可见明显囊变,于T2WI上显示肿瘤信号极高,且不均匀,增强后肿瘤呈不均匀显著强化。本组1例神经纤维瘤病病例有三处病灶,其信号及强化特点与神经纤维瘤或神经鞘瘤相似,但未见“靶征”。本组恶性肿瘤于T1WI信号极不均匀,其中3例恶性神经鞘瘤可见高信号,为出血所致(图3),于T2WI呈不均匀高信号,提示存在囊变;恶性肿瘤均见显著强化(图4)。其中1例恶性神经鞘瘤和1例神经纤维肉瘤出现邻近骨骼皮质破坏或骨髓腔信号异常。
, http://www.100md.com
2.3 与手术病理结果比较,MRI诊断的正确率为69.2%(18/26)。2例神经鞘瘤、2例神经纤维瘤、1例节细胞神经瘤、1例神经纤维肉瘤被误诊;1例神经纤维肉瘤和1例恶性神经鞘瘤被误诊为其他组织类型恶性肿瘤。
3 讨论
病理学上周围性神经源性肿瘤分为交感神经肿瘤和神经鞘膜肿瘤两大类。前者又分为神经母细胞瘤和节细胞神经瘤;后者包括神经鞘瘤和神经纤维瘤。过去认为,神经鞘瘤来自神经鞘细胞而神经纤维瘤源于神经束膜细胞。近年来组织学培养、免疫组化和电镜观察发现,两者并无区别,均来源于神经鞘细胞,由于二者临床表现和组织学形态有一定差异,且恶变后便成为恶性神经鞘瘤和神经纤维肉瘤,故通常分开进行讨论。
软组织良性神经源性肿瘤于T1WI上均为等或稍低信号,T2WI上为较高信号[1]。其中神经纤维瘤有时可见相对特征性的MRI表现,即于T2WI上出现“靶征”(target sign)[2]。组织学上,靶缘区为结构较疏松的黏液样基质,于T2WI上为高信号,靶心则为肿瘤实质区,含有大量紧密排列的肿瘤细胞及少许纤维和脂肪,故于T2WI呈等信号;注射Gd-DTPA增强后,靶中心呈显著强化,信号高于靶缘区。本组7例中有3例见此征象(占42.9%),据文献报道[1,2],靶征虽可见于神经鞘瘤,但极少见于恶性肿瘤。此外,神经纤维瘤可出现多个肿瘤灶,即神经纤维瘤病,本组有1例。神经鞘瘤于T2WI上信号通常较高,且不均匀;组织学上,其排列整齐且紧密的细胞区(Antoni A区)与排列疏松的黏液样基质区(Antoni B区)的分布不如神经纤维瘤那样规则,而且中央区信号常高于周围部,这是因为中央区常存在坏死及组织液化导致的囊变,本组有8例出现此征象(占72.7%),这也是神经鞘瘤与神经纤维瘤的重要区别;增强后,中央区无明显强化,笔者认为这一表现可用于鉴别诊断。恶性肿瘤信号常不均匀,且少数情况下因肿瘤内出血于T1WI可出现高信号,T2WI上肿瘤为不均匀高信号。但是单纯依靠肿瘤信号特点尚难以鉴别良、恶性,必须结合肿瘤的其它特点进行综合分析,才能提高诊断的正确性,如肿瘤直径大于5cm,肿瘤边界欠清,神经血管束受侵等征象提示恶性肿瘤,而境界较清晰,肿瘤直径小于5cm,信号较均匀者提示为良性肿瘤,但这只适合于部分病例,本组良性肿瘤亦有直径达6.8cm者;反之,本组尚见恶性肿瘤最大径在5cm以下者。虽有21例肿瘤与神经血管束相伴行(占80.8%),但这只能提示肿瘤可能为神经源性,而难以判断良、恶性,因为良性肿瘤亦可包绕神经血管束,因此除非肿瘤巨大使神经血管束完全包入其内,且境界不清时,方可提示其为恶性[3-5]。MRI增强扫描时,软组织神经源性肿瘤均见显著的强化,但本组未发现有助于良、恶性鉴别的强化模式。
, http://www.100md.com
因此,笔者认为典型的发病部位(如颈动脉鞘内、四肢屈侧面等)、典型的肿瘤形态(如卵圆形或纺缍形)、肿瘤长轴与相伴行的神经血管束走行方向相平行,且伴行的神经血管束被推移或侵犯、肿瘤邻近及远端肌肉萎缩以及靶征等均高度提示软组织神经性肿瘤,但尚不足以鉴别良、恶性。此外体积较大的软组织恶性神经源性肿瘤亦难以与其他组织类型的恶性肿瘤相鉴别。
作者简介:汪登斌(1970—),男,博士,主治医师。
[参考文献]
[1] Stull MA,Moser RP Jr,Kransdorf MJ,et al. Magnetic resonance appearance of peripheral nerve sheath tumors[J]. Skelet Radiol,1991,20:9.
[2] Suh SJ,Abenoza P,Galloway HR,et al. Peripheral (extracranial) nerve tumors:correlation of MR imaging and histologic findings[J]. Radiology,1992,183:341.
, 百拇医药
[3] Hermann G. Abdelwahab IF, Miller TT,et al. Tumor and tumor-like conditions of the soft tissue:magnetic resonance imaging features differentiating benign from malignant masses [J]. Br J Radiol,1992,65:14.
[4] Kransdorf MJ,Jelinek JS,Moser RP. Imaging of soft tissue tumors[J]. Radiol clinics North Am,1993,31:359.
[5] Erickson SJ. High-Rsolution imaging of the musculoskeletal system[J].Radiology,1997,205:593.
(收稿日期:1999-11-29), 百拇医药
单位:汪登斌 何国祥 江浩 吴达明 唐永华(上海第二医科大学附属瑞金医院放射科,上海 200025);周康荣(上海医科大学附属中山医院放射科)
关键词:神经源性肿瘤;软组织;MRI;诊断
中国医学影像技术000631[摘 要] 目的 探讨软组织神经源性肿瘤MRI的诊断价值。方法 分析26例由病理证实的软组织神经源性肿瘤MRI表现,并与病理比较。结果 神经鞘瘤11例,神经纤维瘤7例,节细胞神经瘤1例,神经纤维瘤病1例,恶性神经鞘瘤4例和神经纤维肉瘤2例。26例中21例与神经血管束伴行(占80.8%);3例神经纤维瘤出现“靶征”;5例出现肿瘤邻近或远端肢体肌萎缩。结论 综合分析肿瘤的部位、形态、信号及其邻近的神经血管束,有助于确立软组织神经源性肿瘤的诊断,但MRI对其良、恶性的鉴别有较大局限性。
, http://www.100md.com
[中图分类号] R445.2 R739.4 [文献标识码] A
[文章编号] 1003-3289(2000)06-0484-03
MRI Evaluation of Neurogenic Tumor in Soft Tissue
WANG Deng-bin, HE Guo-xiang, JIANG Hao,et al
(Department of Radiology,Ruijin Hospital affiliated to Shanghai Second Medical University,Shanghai 200025,China)
[Abstract] Objective To investigate the diagnostic value of MRI in neurogenic tumor of soft tissue. Methods The MRI manifestations of twenty-six neurogenic tumors confirmed pathologically were analyzed in comparison with the pathologic findings. Results The study population consisted of 11 schwannomas,7 neurofibromas,1 ganglioneuroma,1neurofibromatosis,4 malignant schwannomas and 2 neurofibrosarcomas. Of 26 cases,twenty-one tumors were accompanied closely with the adjacent neurovascular bundles (80.8%),and 3 neurofibromas showed "target sign". And the atrophy of muscles in the nearby or distal part of limb due to the tumor occurred in 5 cases. Conclusion Analyzing comprehensively the location, shape,signal features and adjoining neurovascular bundles of the tumor is very conducive to establishing the diagnosis of neurogenic tumor in soft tissue,while the capability of MRI to distinguish the benignity and malignancy is much limited.
, 百拇医药
[Key words] Neurogenic tumor; Soft tissue; MRI; Diagnosis
本文报道一组软组织神经源性肿瘤病例的MRI表现和病理结果,旨在评价MRI对此类肿瘤的诊断价值。
1 材料与方法
回顾性分析1995年5月至1999年11月经MRI检查且由手术病理证实的神经源性肿瘤26例。男17例,女9例,年龄7~59岁,平均36.6岁。本组26例包括神经鞘瘤11例,神经纤维瘤7例,节细胞神经瘤1例,神经纤维瘤1例,恶性神经鞘瘤4例和神经纤维肉瘤2例。所用设备:GE 0.5T (22例)和1.5T(4例)超导型MR成像仪。每例均采用表面线圈,SE序列T1WI和FSE序列T2WI平扫,成像体位包括矢状位T1WI(TR/TE:450~500ms/18~25ms)、T2WI(TR/TE:3500~4000ms/90~108ms)和横断位T1WI(TR/TE:1500/25ms);部分病例进行了冠状位成像;26例中22例进行了MRI增强扫描(注射Gd-DTPA 0.1mmol/kg)。层厚、间距分别为5~7mm/1~3mm,矩阵为192×256。
, http://www.100md.com
2 结果
2.1 发病部位分布 颈部8例(神经纤维瘤3例,神经鞘瘤4例,恶性神经鞘瘤1例),上肢6例(神经纤维瘤1例,神经鞘瘤3例,恶性神经鞘瘤2例),下肢9例(神经纤维瘤3例,节细胞神经瘤1例,神经鞘瘤3例,神经纤维瘤病1例,恶性神经鞘瘤1例),躯干3例(神经鞘瘤1例,神经纤维肉瘤2例)。
2.2 MRI表现 肿瘤的最大直径为2.2~15cm,平均5.1cm,其中良性肿瘤最大直径为2.2~6.8cm;恶性者为4.8cm~15cm。26例中21例呈类圆形(包括1例恶性),4例恶性肿瘤呈分叶状,另1例恶性神经鞘瘤呈梭形。20例良性肿瘤中18例境界清晰(占90%);2例恶性神经鞘瘤境界亦较清晰,其余肿瘤境界均欠清晰。
26例中21例(占80.8%)可见肿瘤与神经血管束伴行,并且肿瘤的长轴平行于神经血管束走行方向;位于四肢的15例肿瘤除1例神经纤维瘤外,其余14例均位于四肢屈侧面,其中6例神经鞘瘤的前侧缘与粗大的神经紧邻(图1),且见神经血管束受推移,有2例肿瘤包绕神经血管束,其长轴亦与神经血管束平行;恶性肿瘤体积较大,故常推移且侵犯神经血管束(4/6)。此外,本组尚有4例出现肿瘤以远的肢体肌肉萎缩,1例出现邻近肿瘤的肌肉萎缩。
, 百拇医药
图1 右小腿神经鞘瘤 MRI增强T1W像,肿瘤边缘区强化明显,中央为坏死液化区,肿块上、下均见神经血管束影,并被推移 图2 右颈部神经纤维瘤 于T2W像上,肿瘤中心呈中等信号,边缘为高信号,即“靶征”
图3 左大腿恶性神经鞘瘤 于T1W像上,肿瘤大部分信号稍高于肌肉,而其后上部见新月形较高信号,为出血所致,肿瘤前上缘侵犯股骨后侧皮质 图4 右肩部神经纤维肉瘤 MRI增强T1W像上,肿瘤呈不均匀显著强化,其长轴与臂丛神经走行一致
良性肿瘤于T1WI上为中等或稍低信号,于T2WI上均为较高信号。其中3例神经纤维瘤见“靶征”,即T2WI上肿瘤中心区呈中等信号或低信号,而周围区呈较高信号(图2)。增强后,中心区强化较显著。神经鞘瘤中8例可见明显囊变,于T2WI上显示肿瘤信号极高,且不均匀,增强后肿瘤呈不均匀显著强化。本组1例神经纤维瘤病病例有三处病灶,其信号及强化特点与神经纤维瘤或神经鞘瘤相似,但未见“靶征”。本组恶性肿瘤于T1WI信号极不均匀,其中3例恶性神经鞘瘤可见高信号,为出血所致(图3),于T2WI呈不均匀高信号,提示存在囊变;恶性肿瘤均见显著强化(图4)。其中1例恶性神经鞘瘤和1例神经纤维肉瘤出现邻近骨骼皮质破坏或骨髓腔信号异常。
, http://www.100md.com
2.3 与手术病理结果比较,MRI诊断的正确率为69.2%(18/26)。2例神经鞘瘤、2例神经纤维瘤、1例节细胞神经瘤、1例神经纤维肉瘤被误诊;1例神经纤维肉瘤和1例恶性神经鞘瘤被误诊为其他组织类型恶性肿瘤。
3 讨论
病理学上周围性神经源性肿瘤分为交感神经肿瘤和神经鞘膜肿瘤两大类。前者又分为神经母细胞瘤和节细胞神经瘤;后者包括神经鞘瘤和神经纤维瘤。过去认为,神经鞘瘤来自神经鞘细胞而神经纤维瘤源于神经束膜细胞。近年来组织学培养、免疫组化和电镜观察发现,两者并无区别,均来源于神经鞘细胞,由于二者临床表现和组织学形态有一定差异,且恶变后便成为恶性神经鞘瘤和神经纤维肉瘤,故通常分开进行讨论。
软组织良性神经源性肿瘤于T1WI上均为等或稍低信号,T2WI上为较高信号[1]。其中神经纤维瘤有时可见相对特征性的MRI表现,即于T2WI上出现“靶征”(target sign)[2]。组织学上,靶缘区为结构较疏松的黏液样基质,于T2WI上为高信号,靶心则为肿瘤实质区,含有大量紧密排列的肿瘤细胞及少许纤维和脂肪,故于T2WI呈等信号;注射Gd-DTPA增强后,靶中心呈显著强化,信号高于靶缘区。本组7例中有3例见此征象(占42.9%),据文献报道[1,2],靶征虽可见于神经鞘瘤,但极少见于恶性肿瘤。此外,神经纤维瘤可出现多个肿瘤灶,即神经纤维瘤病,本组有1例。神经鞘瘤于T2WI上信号通常较高,且不均匀;组织学上,其排列整齐且紧密的细胞区(Antoni A区)与排列疏松的黏液样基质区(Antoni B区)的分布不如神经纤维瘤那样规则,而且中央区信号常高于周围部,这是因为中央区常存在坏死及组织液化导致的囊变,本组有8例出现此征象(占72.7%),这也是神经鞘瘤与神经纤维瘤的重要区别;增强后,中央区无明显强化,笔者认为这一表现可用于鉴别诊断。恶性肿瘤信号常不均匀,且少数情况下因肿瘤内出血于T1WI可出现高信号,T2WI上肿瘤为不均匀高信号。但是单纯依靠肿瘤信号特点尚难以鉴别良、恶性,必须结合肿瘤的其它特点进行综合分析,才能提高诊断的正确性,如肿瘤直径大于5cm,肿瘤边界欠清,神经血管束受侵等征象提示恶性肿瘤,而境界较清晰,肿瘤直径小于5cm,信号较均匀者提示为良性肿瘤,但这只适合于部分病例,本组良性肿瘤亦有直径达6.8cm者;反之,本组尚见恶性肿瘤最大径在5cm以下者。虽有21例肿瘤与神经血管束相伴行(占80.8%),但这只能提示肿瘤可能为神经源性,而难以判断良、恶性,因为良性肿瘤亦可包绕神经血管束,因此除非肿瘤巨大使神经血管束完全包入其内,且境界不清时,方可提示其为恶性[3-5]。MRI增强扫描时,软组织神经源性肿瘤均见显著的强化,但本组未发现有助于良、恶性鉴别的强化模式。
, http://www.100md.com
因此,笔者认为典型的发病部位(如颈动脉鞘内、四肢屈侧面等)、典型的肿瘤形态(如卵圆形或纺缍形)、肿瘤长轴与相伴行的神经血管束走行方向相平行,且伴行的神经血管束被推移或侵犯、肿瘤邻近及远端肌肉萎缩以及靶征等均高度提示软组织神经性肿瘤,但尚不足以鉴别良、恶性。此外体积较大的软组织恶性神经源性肿瘤亦难以与其他组织类型的恶性肿瘤相鉴别。
作者简介:汪登斌(1970—),男,博士,主治医师。
[参考文献]
[1] Stull MA,Moser RP Jr,Kransdorf MJ,et al. Magnetic resonance appearance of peripheral nerve sheath tumors[J]. Skelet Radiol,1991,20:9.
[2] Suh SJ,Abenoza P,Galloway HR,et al. Peripheral (extracranial) nerve tumors:correlation of MR imaging and histologic findings[J]. Radiology,1992,183:341.
, 百拇医药
[3] Hermann G. Abdelwahab IF, Miller TT,et al. Tumor and tumor-like conditions of the soft tissue:magnetic resonance imaging features differentiating benign from malignant masses [J]. Br J Radiol,1992,65:14.
[4] Kransdorf MJ,Jelinek JS,Moser RP. Imaging of soft tissue tumors[J]. Radiol clinics North Am,1993,31:359.
[5] Erickson SJ. High-Rsolution imaging of the musculoskeletal system[J].Radiology,1997,205:593.
(收稿日期:1999-11-29), 百拇医药