卵巢恶性肿瘤的CT诊断(附38例分析)
作者:游淼 陈巨坤 赵国文 陈颖元
单位:游淼(锦州石化公司医院放射科,辽宁 锦州 121001);陈巨坤(解放军总医院CT室);赵国文 陈颖元(辽宁省朝阳市第二医院影像科)
关键词:卵巢;恶性肿瘤;CT
中国医学影像技术000626[摘 要] 目的 探讨CT对卵巢恶性肿瘤的诊断价值。方法 对38例手术病理证实的卵巢恶性肿瘤做回顾性分析。结果 CT显示肿瘤呈壁厚,不规则或伴壁结节的囊性肿块5例,实性肿块6例,囊实性肿块27例。所有肿块边缘均不规则。增强扫描示囊壁或壁结节和实性部分均有增强。结论 CT对卵巢恶性肿瘤的诊断及鉴别诊断很有价值,但判定早期腹腔内转移有一定的限度。
[中图分类号] R445.3 R737.31 [文献标识码] A
[文章编号] 1003-3289(2000)06-0473-02
, http://www.100md.com
CT Diagnosis of Ovarian Malignant Tumor(An Analysis of 38 Cases)
YOU Miao, CHEN Ju-kun, ZHAO Guo-wen,et al
(Department of Radiology,Petrochemical Company Hospital,Jinzhou 121001,China)
[Abstract] Purpose To explore the value of CT diagnosis of ovarian malignant tumors. Methods The CT findings of 38 cases of ovarian malignant tumors confirmed by surgery and pathology were analysed retrospectively. Results CT showed the tumor as a cystic mass with a thick irregular wall or mural nodes in 5 cases,solid mass in 6 cases and cystic solid mass in 27 cases.All masses had irregular margin.The cystic wall or mural nodes,and solid part were enhanced. Conclusion CT is very valuable in diagnosis and distinguishing between benign and malignant ovarian tumor,but it still has a limitation in early stage finding the abdominopeivic metastases.
, 百拇医药
[Key words] Ovary; Malignant tumor; CT
本文回顾性分析38例手术病理证实的卵巢恶性肿瘤,进一步探讨CT对卵巢恶性肿瘤的诊断和鉴别诊断的价值。
1 材料
收集1986年1月至1998年6月手术病理证实卵巢恶性肿瘤38例,年龄15~72岁,平均46.5岁。单侧31例,占81.6%,双侧7例,占18.4%。最大肿瘤为15cm×11cm×10cm,最小为1.0cm×0.8cm×0.5cm。其中腺癌21例,低分化浆液性囊腺癌5例,浆液性乳头状囊腺癌4例,透明细胞癌3例,纤维肉瘤2例,颗粒细胞癌(肉瘤型)2例,卵黄囊癌(多囊泡型)1例。
使用Philips SR7000型CT机扫描,检查前空腹,住院病人检查前一天晚上口服800~1000ml 1.5%~2%的泛影葡胺造影剂,门诊病人经直肠灌入相同浓度的造影剂300ml;已婚妇女阴道内放置阴道塞,以明确阴道和宫颈的位置。
, 百拇医药
CT平扫:病人取仰卧位,扫描基线从耻骨联合向上到髂嵴连线或肿块上缘以上,层厚5~10mm,层间距10mm。CT增强扫描:本组38例病人中有28例平扫后作了增强扫描,造影剂为优维显100ml,经静脉以每秒2.5ml的速度高压快速连续注射,注射完毕立即连续扫描病变区。
2 结果
38例中,5例表现为不规则囊性肿块,肿块6个,平扫时1例见囊壁结节,未作增强扫描;另一例平扫时为囊性改变,囊壁厚而不规则,增强扫描发现小的囊壁结节多个,囊性部分CT值10~22Hu,增强前后无变化,壁结节CT值增加20~30Hu,术后病理为腺癌3例,透明细胞癌1例,卵黄囊癌1例。实性肿块6例,肿块9个,肿块边缘欠光整,平扫时CT值为31~45Hu,增强后CT值增加20~40Hu。6例中,透明细胞癌2例,颗粒细胞癌和纤维肉瘤各2例,囊实性肿块27例,肿块30个,最大为15cm×11cm×10cm,最小为1.0cm×0.8cm×0.5cm,囊内均有分隔,囊壁厚薄不均,其中8例见囊壁结节,增强后,分隔及壁结节更为清楚,CT值增加20~30Hu,囊性部分CT值为10~25Hu,增强后无改变。
, 百拇医药
3 讨论
CT对卵巢恶性肿瘤的诊断价值是肯定的[1],本文有4例误诊为良性,分析其原因是未作增强扫描,CT平扫未能显示肿瘤的恶性征象。我们认为CT增强扫描对鉴别卵巢肿瘤,尤其是对囊性肿瘤的良恶性鉴别是必不可少的。
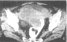
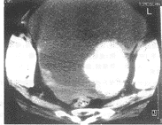
卵巢恶性肿瘤的主要CT表现为卵巢不规则肿块,巨大者可突入腹腔,瘤体呈囊性或实性或囊实性,尤以囊实性多见,肿瘤边缘不规则,子宫、膀胱受压移位、变形,受侵者边界不清,囊性或囊性部分常有粗细不均分隔,囊壁厚薄不均,常有壁结节,增强扫描肿瘤实性部分、囊壁,壁结节和囊内分隔均有不同程度增强。本组38例,囊实性27例,占71.1%,实性6例,占15.1%,囊性5例,占13.8%。值得注意的是,卵巢恶性肿瘤以单侧多见,但双侧者亦不能排除恶性,区别良恶性,关键是决定于其CT征象。本组38例中,单侧31例,占81.6%,双侧7例,占18.4%(图1~4)。

, http://www.100md.com
图1 浆液性乳头状囊腺癌 CT扫描示盆腹腔内巨大不规则形囊实性肿块,大小为15cm×11cm×10cm,囊性部分CT值为10~22Hu,实性部分CT值为35~45Hu,壁结节CT值为34.8Hu 图2 低分化浆液性囊腺瘤 CT平扫示右侧卵巢不规则形囊实性肿
块,囊壁厚薄不均,CT值为35~45Hu,囊性部分CT值为10~22Hu

图3 透明细胞癌 CT平扫示左侧卵巢不规则形实性肿块,大小为7.0cm×6.0cm×5.5cm,伴有大量腹水 图4 腺癌 CT平扫示右侧卵巢不规则形囊性肿块,囊壁厚薄不均
CT对卵巢恶性肿瘤的盆腹腔和腹膜淋巴结转移、腹水和腹膜、网膜转移以及对邻近器官侵犯的诊断价值是很高的,但对早期转移的检出仍有一定的限度。本组18例术前诊断侵犯膀胱和子宫,术中证实15例,3例与膀胱、子宫粘连,但无浸润,21例术前诊断大网膜和淋巴结转移,术中发现已有31例转移。分析其原因,一是CT检查前未作好检查前准备,肠内容物较多,二是其中10例未作增强扫描。我们认为检查前作好充分准备以及CT增强扫描肯定能提高其检出率。
, http://www.100md.com
此外,本组2例麦格氏综合征患者均以胸闷为首发症状就诊,因此对中年以上女性,出现不明原因的胸闷、胸水,应想到卵巢恶性肿瘤的可能性,应尽早作CT检查,以便及时准确诊断。
作者简介:游淼(1963—)女,湖北人,大专学历,主治医师。
[参考文献]
[1] 周学惠.卵巢肿瘤的CT诊断[J].实用放射学杂志,1998,12:733-735.
[2] Ghossach MA.Epithelial tumors of the ovary comparision of MR and CT findings[J].Radiology,1991,181:863.
[3] 许有生,查二南,顾松根,等.女性盆腔内肿块的CT诊断(附12例分析)[J].中国医学影像技术,1999(15):224.
(收稿日期:1999-10-21), 百拇医药
单位:游淼(锦州石化公司医院放射科,辽宁 锦州 121001);陈巨坤(解放军总医院CT室);赵国文 陈颖元(辽宁省朝阳市第二医院影像科)
关键词:卵巢;恶性肿瘤;CT
中国医学影像技术000626[摘 要] 目的 探讨CT对卵巢恶性肿瘤的诊断价值。方法 对38例手术病理证实的卵巢恶性肿瘤做回顾性分析。结果 CT显示肿瘤呈壁厚,不规则或伴壁结节的囊性肿块5例,实性肿块6例,囊实性肿块27例。所有肿块边缘均不规则。增强扫描示囊壁或壁结节和实性部分均有增强。结论 CT对卵巢恶性肿瘤的诊断及鉴别诊断很有价值,但判定早期腹腔内转移有一定的限度。
[中图分类号] R445.3 R737.31 [文献标识码] A
[文章编号] 1003-3289(2000)06-0473-02
, http://www.100md.com
CT Diagnosis of Ovarian Malignant Tumor(An Analysis of 38 Cases)
YOU Miao, CHEN Ju-kun, ZHAO Guo-wen,et al
(Department of Radiology,Petrochemical Company Hospital,Jinzhou 121001,China)
[Abstract] Purpose To explore the value of CT diagnosis of ovarian malignant tumors. Methods The CT findings of 38 cases of ovarian malignant tumors confirmed by surgery and pathology were analysed retrospectively. Results CT showed the tumor as a cystic mass with a thick irregular wall or mural nodes in 5 cases,solid mass in 6 cases and cystic solid mass in 27 cases.All masses had irregular margin.The cystic wall or mural nodes,and solid part were enhanced. Conclusion CT is very valuable in diagnosis and distinguishing between benign and malignant ovarian tumor,but it still has a limitation in early stage finding the abdominopeivic metastases.
, 百拇医药
[Key words] Ovary; Malignant tumor; CT
本文回顾性分析38例手术病理证实的卵巢恶性肿瘤,进一步探讨CT对卵巢恶性肿瘤的诊断和鉴别诊断的价值。
1 材料
收集1986年1月至1998年6月手术病理证实卵巢恶性肿瘤38例,年龄15~72岁,平均46.5岁。单侧31例,占81.6%,双侧7例,占18.4%。最大肿瘤为15cm×11cm×10cm,最小为1.0cm×0.8cm×0.5cm。其中腺癌21例,低分化浆液性囊腺癌5例,浆液性乳头状囊腺癌4例,透明细胞癌3例,纤维肉瘤2例,颗粒细胞癌(肉瘤型)2例,卵黄囊癌(多囊泡型)1例。
使用Philips SR7000型CT机扫描,检查前空腹,住院病人检查前一天晚上口服800~1000ml 1.5%~2%的泛影葡胺造影剂,门诊病人经直肠灌入相同浓度的造影剂300ml;已婚妇女阴道内放置阴道塞,以明确阴道和宫颈的位置。
, 百拇医药
CT平扫:病人取仰卧位,扫描基线从耻骨联合向上到髂嵴连线或肿块上缘以上,层厚5~10mm,层间距10mm。CT增强扫描:本组38例病人中有28例平扫后作了增强扫描,造影剂为优维显100ml,经静脉以每秒2.5ml的速度高压快速连续注射,注射完毕立即连续扫描病变区。
2 结果
38例中,5例表现为不规则囊性肿块,肿块6个,平扫时1例见囊壁结节,未作增强扫描;另一例平扫时为囊性改变,囊壁厚而不规则,增强扫描发现小的囊壁结节多个,囊性部分CT值10~22Hu,增强前后无变化,壁结节CT值增加20~30Hu,术后病理为腺癌3例,透明细胞癌1例,卵黄囊癌1例。实性肿块6例,肿块9个,肿块边缘欠光整,平扫时CT值为31~45Hu,增强后CT值增加20~40Hu。6例中,透明细胞癌2例,颗粒细胞癌和纤维肉瘤各2例,囊实性肿块27例,肿块30个,最大为15cm×11cm×10cm,最小为1.0cm×0.8cm×0.5cm,囊内均有分隔,囊壁厚薄不均,其中8例见囊壁结节,增强后,分隔及壁结节更为清楚,CT值增加20~30Hu,囊性部分CT值为10~25Hu,增强后无改变。
, 百拇医药
3 讨论
CT对卵巢恶性肿瘤的诊断价值是肯定的[1],本文有4例误诊为良性,分析其原因是未作增强扫描,CT平扫未能显示肿瘤的恶性征象。我们认为CT增强扫描对鉴别卵巢肿瘤,尤其是对囊性肿瘤的良恶性鉴别是必不可少的。
卵巢恶性肿瘤的主要CT表现为卵巢不规则肿块,巨大者可突入腹腔,瘤体呈囊性或实性或囊实性,尤以囊实性多见,肿瘤边缘不规则,子宫、膀胱受压移位、变形,受侵者边界不清,囊性或囊性部分常有粗细不均分隔,囊壁厚薄不均,常有壁结节,增强扫描肿瘤实性部分、囊壁,壁结节和囊内分隔均有不同程度增强。本组38例,囊实性27例,占71.1%,实性6例,占15.1%,囊性5例,占13.8%。值得注意的是,卵巢恶性肿瘤以单侧多见,但双侧者亦不能排除恶性,区别良恶性,关键是决定于其CT征象。本组38例中,单侧31例,占81.6%,双侧7例,占18.4%(图1~4)。
, http://www.100md.com
图1 浆液性乳头状囊腺癌 CT扫描示盆腹腔内巨大不规则形囊实性肿块,大小为15cm×11cm×10cm,囊性部分CT值为10~22Hu,实性部分CT值为35~45Hu,壁结节CT值为34.8Hu 图2 低分化浆液性囊腺瘤 CT平扫示右侧卵巢不规则形囊实性肿
块,囊壁厚薄不均,CT值为35~45Hu,囊性部分CT值为10~22Hu
图3 透明细胞癌 CT平扫示左侧卵巢不规则形实性肿块,大小为7.0cm×6.0cm×5.5cm,伴有大量腹水 图4 腺癌 CT平扫示右侧卵巢不规则形囊性肿块,囊壁厚薄不均
CT对卵巢恶性肿瘤的盆腹腔和腹膜淋巴结转移、腹水和腹膜、网膜转移以及对邻近器官侵犯的诊断价值是很高的,但对早期转移的检出仍有一定的限度。本组18例术前诊断侵犯膀胱和子宫,术中证实15例,3例与膀胱、子宫粘连,但无浸润,21例术前诊断大网膜和淋巴结转移,术中发现已有31例转移。分析其原因,一是CT检查前未作好检查前准备,肠内容物较多,二是其中10例未作增强扫描。我们认为检查前作好充分准备以及CT增强扫描肯定能提高其检出率。
, http://www.100md.com
此外,本组2例麦格氏综合征患者均以胸闷为首发症状就诊,因此对中年以上女性,出现不明原因的胸闷、胸水,应想到卵巢恶性肿瘤的可能性,应尽早作CT检查,以便及时准确诊断。
作者简介:游淼(1963—)女,湖北人,大专学历,主治医师。
[参考文献]
[1] 周学惠.卵巢肿瘤的CT诊断[J].实用放射学杂志,1998,12:733-735.
[2] Ghossach MA.Epithelial tumors of the ovary comparision of MR and CT findings[J].Radiology,1991,181:863.
[3] 许有生,查二南,顾松根,等.女性盆腔内肿块的CT诊断(附12例分析)[J].中国医学影像技术,1999(15):224.
(收稿日期:1999-10-21), 百拇医药