膀胱内翻性乳头状瘤B超声像图表现
作者:黄苏里 郝玉芝 林冬梅
单位:黄苏里 郝玉芝(中国医学科学院中国协和医科大学肿瘤医院超声诊断科,北京 100021);林冬梅(中国医学科学院中国协和医科大学肿瘤医院病理科)
关键词:
中国医学影像技术000624[中图分类号] R445.1 R737.14 [文献标识码] A
[文章编号] 1003-3289(2000)06-0469-02
膀胱内翻性乳头状瘤(inverted papilloma of urinary bladder;IP)是一种罕见的膀胱肿瘤。我们总结和分析了从1968至1998年30年间我院收治的8例膀胱内翻性乳头状瘤的B超图像,目的是从中得到膀胱内翻性乳头状瘤的影像特征,得到比较明确的术前诊断,从而为外科手术提供术前预备方案。
, http://www.100md.com
1 材料与方法
本组8例膀胱内翻性乳头状瘤全部经手术、病理证实。患者均为男性,年龄45~68岁,平均年龄为54岁。临床表现:无痛性肉眼血尿病史,血尿时间不等,分别为3~8年。仅2例有尿路刺激症状和排尿困难(25%)。手术中见肿瘤结节大小为1.0~4.0cm,约有75%(6/8)的结节有粗细、长短不等的蒂与壁相连,肿瘤表面光滑、多呈乳头状,仅1例呈多发乳头状。超声仪器为ALOKA-650、630型,在膀胱充盈状态下用3.5MHz探头经腹扫查。
2 结果
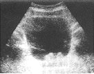
经腹超声检查膀胱内翻性乳头状瘤,肿瘤发生部位:三角区4例,膀胱颈部2例,左侧壁1例,左侧壁近左输尿管膀胱开口处1例。肿瘤结节长径大小<2cm者为2例(25%),≥2cm 6例(75%),平均大小为2.6cm。本组肿瘤结节声像图:较大结节(≥2cm)周边为齿状强回声,其内部可呈中强回声或略低回声(图1),较小的结节则为强回声;肿瘤结节表面光滑,大多呈乳头或结节状,1例呈多发乳头状(图2);所有结节内部回声较均匀,后方均无声衰减;肿瘤结节与膀胱壁间似有分界,但超声检查仅1例有蒂(图3);结节在膀胱内不随尿液或体位改变而漂动,整个膀胱壁肌层环完整,与肿瘤结节接触部位黏膜面略粗糙、欠光滑。


, 百拇医药
图1 膀胱三角区-膀胱内翻性乳头状瘤结节,结节周边呈齿状强回声,内回声略低 图2 膀胱内翻性乳头状瘤结节呈多发乳头状结节,内为较均匀的强回声 图3 膀胱左侧壁(横切)-乳头状瘤为均匀的强回声,有蒂
3 讨论
膀胱内翻性乳头状瘤是一种罕见的泌尿系统上皮良性肿瘤,至1997年10月,全球文献共报道了277例膀胱内翻性乳头状瘤。我院从1968年至1998年共收治膀胱肿瘤912例,经手术、病理证实为膀胱内翻性乳头状瘤共14例,约占膀胱肿瘤总数的1.54%(14/912),低于国外2.2%的发病率。14例膀胱内翻性乳头状瘤中8例有B超检查记录(8/14)。
膀胱内翻性乳头状瘤为膀胱上皮源良性肿瘤,在病理组织学上具有移行细胞瘤的形态学特征,肿瘤表面被覆正常的组织上皮,肿瘤表面移行上皮增生、下陷呈均匀的组织团块状或条索状,下陷的上皮无纤维或血管轴芯,致肿瘤结节内部组织结构整齐、层次均匀,因此,经腹超声检查膀胱内翻性乳头状瘤结节表面比较光滑,特性声阻抗差较大,而产生表面强回声;结节内组织呈均匀团块状或条索状反射界面层,特性声阻抗相近,使其内部可为较均匀回声;结节内不同组织来源的层次越多,则组织反射波越多,回声则偏强,近似其表面回声,反之则略低回声,因此,膀胱内翻性乳头状瘤结节内回声与其组织内部组织结构有关。膀胱内翻性乳头状瘤为膀胱良性肿瘤,仅局限于黏膜层,黏膜下无浸润,壁肌层比较完整,膀胱壁环连续性好。
, http://www.100md.com
经腹超声检查膀胱内肿瘤时,绝大多数肿瘤结节的声像图表现为强或中强回声,单从结节回声这一点很难将内翻性乳头状瘤与其他膀胱内肿瘤区别开来,因此,必须进行综合性的分析,其中包括超声声像图的表现、病史等临床资料的分析与比较。
本组膀胱内翻性乳头瘤均发生在膀胱三角区及颈部等邻近部位,与膀胱癌发生部位相同。因此,从肿瘤发生部位和肿瘤结节回声上两者有相似的地方。但是,膀胱内翻性乳头状瘤为上皮良性肿瘤,生长较慢,病史一般比较长,肿瘤结节一般多呈乳头状,超声显示表面光滑,内部回声均匀,由于其良性细胞生物行为表现,肿瘤结节较大时,仍仅局限于黏膜层,黏膜下无浸润,整个膀胱壁肌层环完整,壁的连续性好。并且蒂茎较短,故不易在液体中浮动。膀胱癌则是膀胱内上皮源恶性肿瘤,发病率约占膀胱肿瘤的90%以上,病史短,生长迅速,部分肿瘤结节向腔内突出,可呈菜花状、分叶状,结节有蒂,或呈宽基底样黏膜隆起,极易向下浸润膀胱肌层。超声显示为不均匀强或低回声的肿瘤结节,内部回声不均,乳头表面粗糙不平,有蒂,可浮动,膀胱壁肌层被肿瘤浸润,壁环中断,其局部回声不清,组织结构回声紊乱。
, 百拇医药
腺性膀胱炎是慢性膀胱炎的一种特殊类型,经腹超声检查易与膀胱内翻性乳头状瘤混淆。腺性膀胱炎病史为反复发作,致使膀胱壁黏膜在炎症的刺激下呈局灶性增生,形成Brunn巢,病变多见于膀胱三角区,亦可连接成片累及整个膀胱。其黏膜增生可分为结节、乳头和弥漫三型,其中结节和乳头型腺性膀胱炎在超声声像图上与膀胱内翻性乳头状瘤难以鉴别,均为强、中强回声,内部回声均匀,表面光滑,周围膀胱壁正常。但是,腺性膀胱炎的临床症状比较突出,发病急,患者常有典型的尿急、尿频、尿痛等尿道刺激症状,和长期临床治疗的慢性病史。
曾有作者报道了经尿道膀胱腔内超声检查6例膀胱内翻性乳头状瘤,结节的声像图为周边锯齿状强回声,内部则为低、无回声,后方回声衰减不明显,区别于乳头状膀胱癌的菜花样不均匀强回声的腔内超声表现。但该方法对设备、技术、操作者的熟练程度和患者条件要求较高,操作较繁琐,不易推广应用。而经腹超声检查操作简便,安全,副作用少,易重复检查。
有报道认为膀胱内翻性乳头状瘤与恶性泌尿上皮肿瘤的密切关系,认为其有较高的细胞增殖能力,可能伴发、或具有发展为恶性肿瘤的潜在趋势,尤其在50~70岁年龄组的男性发生率最高,约有四分之一的移行细胞癌来源于其。尽管膀胱内翻性乳头状瘤为良性肿瘤,作者仍建议对其病变部位采取严格的周期性监控措施,必须重视膀胱内翻性乳头状瘤术后随诊,尤其针对高危人群应采取积极、有效的诊查措施,做到早期发现、早期诊断、早期治疗。
, 百拇医药
作者简介:黄苏里(1962—),男,河北人,医学硕士,主治医师。
[参考文献]
[1] Paschkis R. Uber Adenome der Harnblase[J]. J Urol Chir,1927,21:315.
[2] Potts I F,First E. Inverted papilloma of the bladder[J]. J Urol,1963,90:175.
[3] Cameron KM, Luoton C H. Inverted papillma of the lower urinary tract. Brit J Urol,1976,48:567.
[4] Goertchen R,Seidenschnur A, Stosiek R. Die klinische pathological invertierter papillome der harnblase: eine komplexe morphologische und katamnestische studie[J]. Pathology,1994,15:279.
, http://www.100md.com
[5] Aubert J,Dore B,Touchard G. Inverted papilloma of the bladder: a report of 10 cases[J]. Eur Urol,1984,10:24.
[6] Mattelaer J,Leonard A,Goddeeris P,D'Hoedt M. Inverted papilloma of bladder: clinical significance[J]. Urology,1988,32:192.
[7] de Meester L J,Farrow G M,Utz D C. Inverted papilloma of the urinary bladder[J]. Cancer,1975,36:505.
[8] Witjes JA,van Balken MR,van de Kaa CA,et al. The prognostic value of a primary inverted papilloma of the urinary tract[J]. J Urol,1997,158(4):1500-1505.
[9] 刘复生,刘彤华.肿瘤病理学[M].北京:北京医科大学中国协和医科大学联合出版社,1997.1805-1823.
[10] 周永昌,郭万学.超声医学[M].第3版.北京:科学技术文献出版社,1998.1055-1059.
(收稿日期:1999-12-22), http://www.100md.com
单位:黄苏里 郝玉芝(中国医学科学院中国协和医科大学肿瘤医院超声诊断科,北京 100021);林冬梅(中国医学科学院中国协和医科大学肿瘤医院病理科)
关键词:
中国医学影像技术000624[中图分类号] R445.1 R737.14 [文献标识码] A
[文章编号] 1003-3289(2000)06-0469-02
膀胱内翻性乳头状瘤(inverted papilloma of urinary bladder;IP)是一种罕见的膀胱肿瘤。我们总结和分析了从1968至1998年30年间我院收治的8例膀胱内翻性乳头状瘤的B超图像,目的是从中得到膀胱内翻性乳头状瘤的影像特征,得到比较明确的术前诊断,从而为外科手术提供术前预备方案。
, http://www.100md.com
1 材料与方法
本组8例膀胱内翻性乳头状瘤全部经手术、病理证实。患者均为男性,年龄45~68岁,平均年龄为54岁。临床表现:无痛性肉眼血尿病史,血尿时间不等,分别为3~8年。仅2例有尿路刺激症状和排尿困难(25%)。手术中见肿瘤结节大小为1.0~4.0cm,约有75%(6/8)的结节有粗细、长短不等的蒂与壁相连,肿瘤表面光滑、多呈乳头状,仅1例呈多发乳头状。超声仪器为ALOKA-650、630型,在膀胱充盈状态下用3.5MHz探头经腹扫查。
2 结果
经腹超声检查膀胱内翻性乳头状瘤,肿瘤发生部位:三角区4例,膀胱颈部2例,左侧壁1例,左侧壁近左输尿管膀胱开口处1例。肿瘤结节长径大小<2cm者为2例(25%),≥2cm 6例(75%),平均大小为2.6cm。本组肿瘤结节声像图:较大结节(≥2cm)周边为齿状强回声,其内部可呈中强回声或略低回声(图1),较小的结节则为强回声;肿瘤结节表面光滑,大多呈乳头或结节状,1例呈多发乳头状(图2);所有结节内部回声较均匀,后方均无声衰减;肿瘤结节与膀胱壁间似有分界,但超声检查仅1例有蒂(图3);结节在膀胱内不随尿液或体位改变而漂动,整个膀胱壁肌层环完整,与肿瘤结节接触部位黏膜面略粗糙、欠光滑。
, 百拇医药
图1 膀胱三角区-膀胱内翻性乳头状瘤结节,结节周边呈齿状强回声,内回声略低 图2 膀胱内翻性乳头状瘤结节呈多发乳头状结节,内为较均匀的强回声 图3 膀胱左侧壁(横切)-乳头状瘤为均匀的强回声,有蒂
3 讨论
膀胱内翻性乳头状瘤是一种罕见的泌尿系统上皮良性肿瘤,至1997年10月,全球文献共报道了277例膀胱内翻性乳头状瘤。我院从1968年至1998年共收治膀胱肿瘤912例,经手术、病理证实为膀胱内翻性乳头状瘤共14例,约占膀胱肿瘤总数的1.54%(14/912),低于国外2.2%的发病率。14例膀胱内翻性乳头状瘤中8例有B超检查记录(8/14)。
膀胱内翻性乳头状瘤为膀胱上皮源良性肿瘤,在病理组织学上具有移行细胞瘤的形态学特征,肿瘤表面被覆正常的组织上皮,肿瘤表面移行上皮增生、下陷呈均匀的组织团块状或条索状,下陷的上皮无纤维或血管轴芯,致肿瘤结节内部组织结构整齐、层次均匀,因此,经腹超声检查膀胱内翻性乳头状瘤结节表面比较光滑,特性声阻抗差较大,而产生表面强回声;结节内组织呈均匀团块状或条索状反射界面层,特性声阻抗相近,使其内部可为较均匀回声;结节内不同组织来源的层次越多,则组织反射波越多,回声则偏强,近似其表面回声,反之则略低回声,因此,膀胱内翻性乳头状瘤结节内回声与其组织内部组织结构有关。膀胱内翻性乳头状瘤为膀胱良性肿瘤,仅局限于黏膜层,黏膜下无浸润,壁肌层比较完整,膀胱壁环连续性好。
, http://www.100md.com
经腹超声检查膀胱内肿瘤时,绝大多数肿瘤结节的声像图表现为强或中强回声,单从结节回声这一点很难将内翻性乳头状瘤与其他膀胱内肿瘤区别开来,因此,必须进行综合性的分析,其中包括超声声像图的表现、病史等临床资料的分析与比较。
本组膀胱内翻性乳头瘤均发生在膀胱三角区及颈部等邻近部位,与膀胱癌发生部位相同。因此,从肿瘤发生部位和肿瘤结节回声上两者有相似的地方。但是,膀胱内翻性乳头状瘤为上皮良性肿瘤,生长较慢,病史一般比较长,肿瘤结节一般多呈乳头状,超声显示表面光滑,内部回声均匀,由于其良性细胞生物行为表现,肿瘤结节较大时,仍仅局限于黏膜层,黏膜下无浸润,整个膀胱壁肌层环完整,壁的连续性好。并且蒂茎较短,故不易在液体中浮动。膀胱癌则是膀胱内上皮源恶性肿瘤,发病率约占膀胱肿瘤的90%以上,病史短,生长迅速,部分肿瘤结节向腔内突出,可呈菜花状、分叶状,结节有蒂,或呈宽基底样黏膜隆起,极易向下浸润膀胱肌层。超声显示为不均匀强或低回声的肿瘤结节,内部回声不均,乳头表面粗糙不平,有蒂,可浮动,膀胱壁肌层被肿瘤浸润,壁环中断,其局部回声不清,组织结构回声紊乱。
, 百拇医药
腺性膀胱炎是慢性膀胱炎的一种特殊类型,经腹超声检查易与膀胱内翻性乳头状瘤混淆。腺性膀胱炎病史为反复发作,致使膀胱壁黏膜在炎症的刺激下呈局灶性增生,形成Brunn巢,病变多见于膀胱三角区,亦可连接成片累及整个膀胱。其黏膜增生可分为结节、乳头和弥漫三型,其中结节和乳头型腺性膀胱炎在超声声像图上与膀胱内翻性乳头状瘤难以鉴别,均为强、中强回声,内部回声均匀,表面光滑,周围膀胱壁正常。但是,腺性膀胱炎的临床症状比较突出,发病急,患者常有典型的尿急、尿频、尿痛等尿道刺激症状,和长期临床治疗的慢性病史。
曾有作者报道了经尿道膀胱腔内超声检查6例膀胱内翻性乳头状瘤,结节的声像图为周边锯齿状强回声,内部则为低、无回声,后方回声衰减不明显,区别于乳头状膀胱癌的菜花样不均匀强回声的腔内超声表现。但该方法对设备、技术、操作者的熟练程度和患者条件要求较高,操作较繁琐,不易推广应用。而经腹超声检查操作简便,安全,副作用少,易重复检查。
有报道认为膀胱内翻性乳头状瘤与恶性泌尿上皮肿瘤的密切关系,认为其有较高的细胞增殖能力,可能伴发、或具有发展为恶性肿瘤的潜在趋势,尤其在50~70岁年龄组的男性发生率最高,约有四分之一的移行细胞癌来源于其。尽管膀胱内翻性乳头状瘤为良性肿瘤,作者仍建议对其病变部位采取严格的周期性监控措施,必须重视膀胱内翻性乳头状瘤术后随诊,尤其针对高危人群应采取积极、有效的诊查措施,做到早期发现、早期诊断、早期治疗。
, 百拇医药
作者简介:黄苏里(1962—),男,河北人,医学硕士,主治医师。
[参考文献]
[1] Paschkis R. Uber Adenome der Harnblase[J]. J Urol Chir,1927,21:315.
[2] Potts I F,First E. Inverted papilloma of the bladder[J]. J Urol,1963,90:175.
[3] Cameron KM, Luoton C H. Inverted papillma of the lower urinary tract. Brit J Urol,1976,48:567.
[4] Goertchen R,Seidenschnur A, Stosiek R. Die klinische pathological invertierter papillome der harnblase: eine komplexe morphologische und katamnestische studie[J]. Pathology,1994,15:279.
, http://www.100md.com
[5] Aubert J,Dore B,Touchard G. Inverted papilloma of the bladder: a report of 10 cases[J]. Eur Urol,1984,10:24.
[6] Mattelaer J,Leonard A,Goddeeris P,D'Hoedt M. Inverted papilloma of bladder: clinical significance[J]. Urology,1988,32:192.
[7] de Meester L J,Farrow G M,Utz D C. Inverted papilloma of the urinary bladder[J]. Cancer,1975,36:505.
[8] Witjes JA,van Balken MR,van de Kaa CA,et al. The prognostic value of a primary inverted papilloma of the urinary tract[J]. J Urol,1997,158(4):1500-1505.
[9] 刘复生,刘彤华.肿瘤病理学[M].北京:北京医科大学中国协和医科大学联合出版社,1997.1805-1823.
[10] 周永昌,郭万学.超声医学[M].第3版.北京:科学技术文献出版社,1998.1055-1059.
(收稿日期:1999-12-22), http://www.100md.com