胰源性区域性门静脉高压症的螺旋CT诊断——与门静脉高压的对照研究
作者:严志汉 周翔平 许崇永 宋彬 黄娟 刘荣波 徐剑英 陈宪
单位:华西医科大学附一院放射科,四川 成都 610041
关键词:胰腺疾病;门静脉高压;螺旋CT
中国医学影像技术000619[摘 要] 目的 探讨胰源性区域性门静脉高压(PSPH)的CT表现及其鉴别诊断。方法 回顾性分析18例PSPH的螺旋CT表现,并以30例肝炎后门静脉高压(PH)作为对照,着重观察胃周侧支静脉开放情况。结果 在PSPH和PH中,食管下端静脉、胃冠状静脉、胃短静脉、胃网膜静脉曲张或扩大的比例分别为11%、72%、94%、94%和100%、100%、28%、20%。结论 与PH相比,PSPH的胃周侧支循环开放具有特征性,这对于PSPH的诊断和临床治疗具有指导意义。
[中图分类号] R445.3 R576 [文献标识码] A
, 百拇医药
[文章编号] 1003-3289(2000)06-0462-03
Spiral CT Diagnosis of Pancreatic Segmental Portal Hypertension ——Correlated with Portal Hypertension
YAN Zhi-han, ZHOU Xiang-ping,XU Chong-yong,et al
(Department of radiology,No.1 Affiliated Hospital,West China University of
Medical Sciences, Chengdu,610041,China)
[Abstract] Purpose To study the CT appearances and differention diagnosis of pancreatic segmental portal hypertension (PSPH). Methods Spiral CT appearances of 18 cases with PSPH were reviewed and compared with those of 30 cases with protal hypertension (PH),especially perigastric collateral channel formation were evaluated. Results The frequency of the collateral vessels including esophageal vein,gastric coronery vein,gastric short vein,gastroepipolic vein were respectively 11%,72%,94%,94% and 100%,100%,28%,20% in patients of PSPH and PH. Conclusion Compared with PH,PSPH has characteric perigastric collateral vessels which are important to the diagnosis and clinical treatment of PSPH.
, http://www.100md.com
[Key words] Pancreatic disease; Portal hypertension; Spiral CT
门静脉由脾静脉和肠系膜上静脉两个主要属支汇合形成,两个属支分别接受其伴随的同名动脉血流,故门静脉循环实质上可分为两个流域,即脾胃血流区和肠系膜血流区。脾动脉携带的血流量约为门静脉总流量的20%,通过脾静脉、胃网膜静脉、胃短静脉、胃左静脉回流至门静脉,这个循环系统称为门静脉系统的小循环,脾静脉是血液回流的主要通道。脾静脉阻塞时大量的脾血将取道胃网膜静脉或胃短静脉、胃冠状静脉回流至门静脉系,造成门静脉小循环高压而门静脉压仍正常,故称之为区域性门静脉高压症[1],国内外关于这方面的报道甚少[1-5],本文旨在探讨其CT特征。
1 材料和方法
1.1 研究对象 孤立性脾静脉阻塞组:19例,男16例,女3例,年龄33~73岁,平均54.0岁。均无肝炎、肝硬化病史;其中17例为胰体、尾癌,2例为胰尾假性囊肿。2例假性胰腺囊肿和4例胰体尾癌经手术病理证实,13例胰体尾癌经临床、影像学检查及临床追踪诊断。门静脉高压组:30例,均经病史、临床、影像学检查诊断为肝炎后肝硬化性门静脉高压,5例伴有肝癌,但无门静脉系癌栓形成,其中男24例,女6例,年龄32~68岁,平均50.3岁。
, http://www.100md.com
1.2 检查方法 采用德国西门子Somatom Plus 4 VA型螺旋CT机。所有患者均行门静脉期增强扫描,扫描范围包括肝、胰,层厚8~10mm,Pitch 1,重建层厚为6~8mm,造影剂为65% Angiografin或优维显(300mg/ml),总剂量为80~140ml,注射速度为2.5~3ml/s。
1.3 观测指标及阅片 早期研究表明,当脾静脉阻塞时,阻塞静脉远端压力升高,当压力高出正常15cm H2O时,胃周便出现静脉曲张,胃周侧支循环形成是区域性门静脉高压的可靠征象[1-3]。参照国内外文献,胃周静脉曲张的标准为[2-7]:① 食管下端静脉(esophageal vein,EV):食管下端周围或黏膜下血管增多、增粗、迂曲;② 胃冠状静脉(gastric coronary vein,GCV):肝胃韧带宽径≥6mm或GCV迂曲延长、增多;③ 胃短静脉(gastric short veins,GSV):主干直径≥4cm或脾胃韧带内血管增多迂曲;④ 胃网膜静脉(gastroepiploic vein,GEV):主干直径≥5mm。此外,脾静脉阻塞的CT标准为:门静脉、肠系膜上静脉显影良好,而脾静脉局部突然中断不显影。血管直径采用分规在CT片上直接测量[6]。
, 百拇医药
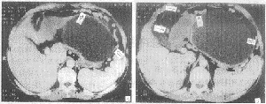
图1 CT显示胰体尾巨大囊肿压迫阻塞脾静脉伴胃短静脉(开尾前)、胃网膜静脉(黑箭头)曲张,均为手术证实。胃短静脉从脾门发出,行于脾胃韧带内;胃网膜静脉沿胃大弯走行
图2 胰体尾癌伴脾静脉中断(空心箭),同时显示胃短静脉,胃网膜静脉曲张
图3 A.显示食管下段静脉曲张;B.显示胃冠状静脉曲张
2 结果
19例孤立性脾静脉阻塞中,只有1例脾动、静脉同时阻塞者未出现胃周静脉曲张,其余18例均出现了胃周静脉曲张,因此该18例诊断胰源性区域性门静脉高压(pancreatic segmental portal hypertension,PSPH)成立。18例PSPH中(见表1)EV曲张2例(11%),表现为食管下端黏膜下血管增多;GCV曲张13例(72%),其中曲张明显(GCV主干直径≥5mm)5例,不明显者8例,后者表现为GCV迂曲延长或血管断面增多,但GCV主干直径<5mm;GSV曲张(见图1、2)17例(94%),曲张明显者14(其主干直径≥4mm),不明显者3例;GEV曲张17例(94%),其主干直径均≥5mm。30例门静脉高压(portal hypertension,PH)中(见表1),EV曲张(见图3A)30例(100%),其中曲张明显26例,表现为食管下端静脉蚯蚓状或瘤样扩张;GCV曲张(见图3B)30例(100%),其中曲张明显者27例;GSV曲张8例,曲张明显者5例;GEV曲张6例。同时,29例出现了脾静脉的迂曲、扩张(直径≥1cm)。
, 百拇医药
表1 胃周静脉曲张分布情况 诊断
EV
GCV
GSV
GEV
PSPH(n=18)
2(11%)
13(72%)
17(94%)
17(94%)
PH(n=30)
30(100%)
, http://www.100md.com
30(100%)
8(28%)
6(20%)
3 讨论
3.1 PSPH的螺旋CT诊断与鉴别 胰源性脾静脉的阻塞是PSPH的必要条件,当脾静脉阻塞时,门静脉系小循环压力升高,大部分脾血取道两条主要侧支循环回流到门静脉[1,3]:① 经胃短静脉到胃冠状静脉再回流至门静脉;② 经胃网膜左静脉、右静脉到肠系膜上静脉,再汇入门静脉。因此,脾静脉的阻塞和胃周静脉曲张是诊断PSPH的有力证据。脾静脉的阻塞并非一定形成PSPH,本研究1例脾动、静脉均包埋阻塞的患者,胃周并未出现曲张静脉,是因为脾动脉的阻塞导致了胃脾区(即门静脉系小循环)血供减少。本研究显示PSPH胃周静脉曲张以GSV、GEV最常见,这与文献报道一致[1-5],GCV曲张尽管较常见,但曲张的程度往往不如门静脉高压时明显,主要原因是[1]:① GCV离脾门区较远,PSPH发生时,越靠近脾门区压力越高;② PSPH发生时,门静脉主干压力往往并不升高。同样的道理也不难理解PSPH很少出现食管下端静脉曲张。与PSPH不同,肝硬化性门静脉高压属肝内型门脉高压,由于GCV邻近门脉主干,且GCV与门静脉间无静脉瓣,因此,门脉高压时,GCV和EV容易扩张(见图3A,B),成为门静脉与奇静脉交通的主要通道,而且曲张明显[1,3]。而GSV、GEV很少曲张或不明显,可能与其位置离门脉主干较远和其它侧支循环(如脐静脉、脾肾侧支及腹膜后侧支开放等)代偿有关。因此,PSPH主要CT表现为:① 胰腺疾病;② 脾静脉阻塞;③ GEV、GSV明显曲张,少有EV曲张;此外还有④脾增大[1]。而PH与之鉴别点为:① 有肝硬变的CT表现;② 脾静脉常迂曲、扩张;③ 胃周静脉以GCV、EV曲张明显且常见;④ 有门静脉高压其它侧支循环形成[7]。
, 百拇医药
3.2 临床意义 近年来,腹腔内脏血管造影的应用日益增多,发现来源于胰腺疾病的区域性门脉高压及上消化道出血并非少见,并有其独特的临床表现和外科处理原则[1,3-5]。临床上,孤立性胃底静脉曲张常常是诊断PSPH的有力证据,因此,PSPH最常见的消化道出血部位是胃底黏膜下静脉曲张,这与肝硬化性门脉高压最常见的出血部位——食管下端不同。同时,PSPH所致上消化道出血在治疗上首选脾切除术,这与肝硬化性门脉高压的治疗原则有根本区别。因此,正确诊断PSPH对临床治疗有重要意义。
作者简介:严志汉(1971—),男,硕士,湖北天门市人,讲师。主要事腹部影像诊断。
[参考文献]
[1] 黄志强.现代腹部外科学[M].长沙:湖南科学技术出版社,1994.365-370.
[2] Moody AR,Poon PR. Gastroepiploic veins:CT appearance in pancreatic disease[J]. AJR,1991,158:779-783.
, 百拇医药
[3] Cho KJ,Martel W. Recognition of splenic vein occlusion[J]. AJR,1978,131:439-443.
[4] Marn CS,Glazer GM,Williams DM,et al. CT-Angiographic correlation of collateral venous pathways in isolated splenic vein occlusion:new observations[J]. Radiology,1990,175:375-380.
[5] Mori H,Mcgrath FP,Malone DE,et al. The gastrocolic trunk and its tributaries:CT evaluation [J]. Radiology,1992,182:871-877.
[6] 宋彬,闵鹏秋,周翔平,等.胰头静脉弓的CT研究[J].中华放射学杂志,1997,31:603-607.
[7] 许崇永,周翔平,邓开鸿,等.门静脉高压侧支循环CT表现[J]. 临床放射学杂志,1999,18:280-283.
(收稿日期:1999-09-03), 百拇医药
单位:华西医科大学附一院放射科,四川 成都 610041
关键词:胰腺疾病;门静脉高压;螺旋CT
中国医学影像技术000619[摘 要] 目的 探讨胰源性区域性门静脉高压(PSPH)的CT表现及其鉴别诊断。方法 回顾性分析18例PSPH的螺旋CT表现,并以30例肝炎后门静脉高压(PH)作为对照,着重观察胃周侧支静脉开放情况。结果 在PSPH和PH中,食管下端静脉、胃冠状静脉、胃短静脉、胃网膜静脉曲张或扩大的比例分别为11%、72%、94%、94%和100%、100%、28%、20%。结论 与PH相比,PSPH的胃周侧支循环开放具有特征性,这对于PSPH的诊断和临床治疗具有指导意义。
[中图分类号] R445.3 R576 [文献标识码] A
, 百拇医药
[文章编号] 1003-3289(2000)06-0462-03
Spiral CT Diagnosis of Pancreatic Segmental Portal Hypertension ——Correlated with Portal Hypertension
YAN Zhi-han, ZHOU Xiang-ping,XU Chong-yong,et al
(Department of radiology,No.1 Affiliated Hospital,West China University of
Medical Sciences, Chengdu,610041,China)
[Abstract] Purpose To study the CT appearances and differention diagnosis of pancreatic segmental portal hypertension (PSPH). Methods Spiral CT appearances of 18 cases with PSPH were reviewed and compared with those of 30 cases with protal hypertension (PH),especially perigastric collateral channel formation were evaluated. Results The frequency of the collateral vessels including esophageal vein,gastric coronery vein,gastric short vein,gastroepipolic vein were respectively 11%,72%,94%,94% and 100%,100%,28%,20% in patients of PSPH and PH. Conclusion Compared with PH,PSPH has characteric perigastric collateral vessels which are important to the diagnosis and clinical treatment of PSPH.
, http://www.100md.com
[Key words] Pancreatic disease; Portal hypertension; Spiral CT
门静脉由脾静脉和肠系膜上静脉两个主要属支汇合形成,两个属支分别接受其伴随的同名动脉血流,故门静脉循环实质上可分为两个流域,即脾胃血流区和肠系膜血流区。脾动脉携带的血流量约为门静脉总流量的20%,通过脾静脉、胃网膜静脉、胃短静脉、胃左静脉回流至门静脉,这个循环系统称为门静脉系统的小循环,脾静脉是血液回流的主要通道。脾静脉阻塞时大量的脾血将取道胃网膜静脉或胃短静脉、胃冠状静脉回流至门静脉系,造成门静脉小循环高压而门静脉压仍正常,故称之为区域性门静脉高压症[1],国内外关于这方面的报道甚少[1-5],本文旨在探讨其CT特征。
1 材料和方法
1.1 研究对象 孤立性脾静脉阻塞组:19例,男16例,女3例,年龄33~73岁,平均54.0岁。均无肝炎、肝硬化病史;其中17例为胰体、尾癌,2例为胰尾假性囊肿。2例假性胰腺囊肿和4例胰体尾癌经手术病理证实,13例胰体尾癌经临床、影像学检查及临床追踪诊断。门静脉高压组:30例,均经病史、临床、影像学检查诊断为肝炎后肝硬化性门静脉高压,5例伴有肝癌,但无门静脉系癌栓形成,其中男24例,女6例,年龄32~68岁,平均50.3岁。
, http://www.100md.com
1.2 检查方法 采用德国西门子Somatom Plus 4 VA型螺旋CT机。所有患者均行门静脉期增强扫描,扫描范围包括肝、胰,层厚8~10mm,Pitch 1,重建层厚为6~8mm,造影剂为65% Angiografin或优维显(300mg/ml),总剂量为80~140ml,注射速度为2.5~3ml/s。
1.3 观测指标及阅片 早期研究表明,当脾静脉阻塞时,阻塞静脉远端压力升高,当压力高出正常15cm H2O时,胃周便出现静脉曲张,胃周侧支循环形成是区域性门静脉高压的可靠征象[1-3]。参照国内外文献,胃周静脉曲张的标准为[2-7]:① 食管下端静脉(esophageal vein,EV):食管下端周围或黏膜下血管增多、增粗、迂曲;② 胃冠状静脉(gastric coronary vein,GCV):肝胃韧带宽径≥6mm或GCV迂曲延长、增多;③ 胃短静脉(gastric short veins,GSV):主干直径≥4cm或脾胃韧带内血管增多迂曲;④ 胃网膜静脉(gastroepiploic vein,GEV):主干直径≥5mm。此外,脾静脉阻塞的CT标准为:门静脉、肠系膜上静脉显影良好,而脾静脉局部突然中断不显影。血管直径采用分规在CT片上直接测量[6]。
, 百拇医药
图1 CT显示胰体尾巨大囊肿压迫阻塞脾静脉伴胃短静脉(开尾前)、胃网膜静脉(黑箭头)曲张,均为手术证实。胃短静脉从脾门发出,行于脾胃韧带内;胃网膜静脉沿胃大弯走行
图2 胰体尾癌伴脾静脉中断(空心箭),同时显示胃短静脉,胃网膜静脉曲张
图3 A.显示食管下段静脉曲张;B.显示胃冠状静脉曲张
2 结果
19例孤立性脾静脉阻塞中,只有1例脾动、静脉同时阻塞者未出现胃周静脉曲张,其余18例均出现了胃周静脉曲张,因此该18例诊断胰源性区域性门静脉高压(pancreatic segmental portal hypertension,PSPH)成立。18例PSPH中(见表1)EV曲张2例(11%),表现为食管下端黏膜下血管增多;GCV曲张13例(72%),其中曲张明显(GCV主干直径≥5mm)5例,不明显者8例,后者表现为GCV迂曲延长或血管断面增多,但GCV主干直径<5mm;GSV曲张(见图1、2)17例(94%),曲张明显者14(其主干直径≥4mm),不明显者3例;GEV曲张17例(94%),其主干直径均≥5mm。30例门静脉高压(portal hypertension,PH)中(见表1),EV曲张(见图3A)30例(100%),其中曲张明显26例,表现为食管下端静脉蚯蚓状或瘤样扩张;GCV曲张(见图3B)30例(100%),其中曲张明显者27例;GSV曲张8例,曲张明显者5例;GEV曲张6例。同时,29例出现了脾静脉的迂曲、扩张(直径≥1cm)。
, 百拇医药
表1 胃周静脉曲张分布情况 诊断
EV
GCV
GSV
GEV
PSPH(n=18)
2(11%)
13(72%)
17(94%)
17(94%)
PH(n=30)
30(100%)
, http://www.100md.com
30(100%)
8(28%)
6(20%)
3 讨论
3.1 PSPH的螺旋CT诊断与鉴别 胰源性脾静脉的阻塞是PSPH的必要条件,当脾静脉阻塞时,门静脉系小循环压力升高,大部分脾血取道两条主要侧支循环回流到门静脉[1,3]:① 经胃短静脉到胃冠状静脉再回流至门静脉;② 经胃网膜左静脉、右静脉到肠系膜上静脉,再汇入门静脉。因此,脾静脉的阻塞和胃周静脉曲张是诊断PSPH的有力证据。脾静脉的阻塞并非一定形成PSPH,本研究1例脾动、静脉均包埋阻塞的患者,胃周并未出现曲张静脉,是因为脾动脉的阻塞导致了胃脾区(即门静脉系小循环)血供减少。本研究显示PSPH胃周静脉曲张以GSV、GEV最常见,这与文献报道一致[1-5],GCV曲张尽管较常见,但曲张的程度往往不如门静脉高压时明显,主要原因是[1]:① GCV离脾门区较远,PSPH发生时,越靠近脾门区压力越高;② PSPH发生时,门静脉主干压力往往并不升高。同样的道理也不难理解PSPH很少出现食管下端静脉曲张。与PSPH不同,肝硬化性门静脉高压属肝内型门脉高压,由于GCV邻近门脉主干,且GCV与门静脉间无静脉瓣,因此,门脉高压时,GCV和EV容易扩张(见图3A,B),成为门静脉与奇静脉交通的主要通道,而且曲张明显[1,3]。而GSV、GEV很少曲张或不明显,可能与其位置离门脉主干较远和其它侧支循环(如脐静脉、脾肾侧支及腹膜后侧支开放等)代偿有关。因此,PSPH主要CT表现为:① 胰腺疾病;② 脾静脉阻塞;③ GEV、GSV明显曲张,少有EV曲张;此外还有④脾增大[1]。而PH与之鉴别点为:① 有肝硬变的CT表现;② 脾静脉常迂曲、扩张;③ 胃周静脉以GCV、EV曲张明显且常见;④ 有门静脉高压其它侧支循环形成[7]。
, 百拇医药
3.2 临床意义 近年来,腹腔内脏血管造影的应用日益增多,发现来源于胰腺疾病的区域性门脉高压及上消化道出血并非少见,并有其独特的临床表现和外科处理原则[1,3-5]。临床上,孤立性胃底静脉曲张常常是诊断PSPH的有力证据,因此,PSPH最常见的消化道出血部位是胃底黏膜下静脉曲张,这与肝硬化性门脉高压最常见的出血部位——食管下端不同。同时,PSPH所致上消化道出血在治疗上首选脾切除术,这与肝硬化性门脉高压的治疗原则有根本区别。因此,正确诊断PSPH对临床治疗有重要意义。
作者简介:严志汉(1971—),男,硕士,湖北天门市人,讲师。主要事腹部影像诊断。
[参考文献]
[1] 黄志强.现代腹部外科学[M].长沙:湖南科学技术出版社,1994.365-370.
[2] Moody AR,Poon PR. Gastroepiploic veins:CT appearance in pancreatic disease[J]. AJR,1991,158:779-783.
, 百拇医药
[3] Cho KJ,Martel W. Recognition of splenic vein occlusion[J]. AJR,1978,131:439-443.
[4] Marn CS,Glazer GM,Williams DM,et al. CT-Angiographic correlation of collateral venous pathways in isolated splenic vein occlusion:new observations[J]. Radiology,1990,175:375-380.
[5] Mori H,Mcgrath FP,Malone DE,et al. The gastrocolic trunk and its tributaries:CT evaluation [J]. Radiology,1992,182:871-877.
[6] 宋彬,闵鹏秋,周翔平,等.胰头静脉弓的CT研究[J].中华放射学杂志,1997,31:603-607.
[7] 许崇永,周翔平,邓开鸿,等.门静脉高压侧支循环CT表现[J]. 临床放射学杂志,1999,18:280-283.
(收稿日期:1999-09-03), 百拇医药