蛛网膜囊肿的MR表现与癫痫的关系
作者:吴建伟 丁仕义
单位:吴建伟(解放军第81医院放射科,江苏 南京 210002);丁仕义(第三军医大学西南医院放射核医学科)
关键词:
中国医学影像技术000608[中图分类号] R445.2 R739.41 [文献标识码] A
[文章编号] 1003-3289(2000)06-0444-02
颅内蛛网膜囊肿是常见的疾病,常引起头痛、头晕和癫痫发作等症状,近来多位学者研究其与癫痫的关系,结论不一,为此,本文通过对131例蛛网膜囊肿磁共振征象回顾性分析,试图阐明这两者的关系。
1 材料和方法
本文包括1992年至1999年5月遇到的142例有MRI和/或CT资料的蛛网膜囊肿病人,其中11例因合并其他性质的病变而排除在本研究之外。131例包括男96例,女35例,年龄6~67岁,平均32.5岁,30例病人表现为癫痫发作,27例为部分性癫痫发作,其中3例经临床表现和脑电图诊断为颞叶癫痫,并做前颞叶切除术,3例为大发作。全部病人均常规做轴位SE序列成像,其参数:T1加权像TR/TE=420~600ms/15ms,FOV210~230mm,层厚7mm,10%的间距,矩阵190~250×256;T2加权像TR/TE=4000ms/22/90ms,其余与T1加权像相同。冠状位和矢状位T1和T2加权成像,层厚5mm,其余各参数与轴位成像相同。7例癫痫病人做海马体积测量[1],包括2例手术治疗的颞叶癫痫病人。
, http://www.100md.com
2 结果
蛛网膜囊肿有一定的好发部位,本组131例中位于颞区的有87例(66%),有癫痫发作者占28例;位于额区者有5例,顶区者7例,1例项区和1例额区蛛网膜囊肿病人有癫痫发作;发生于枕大池者32例(24%),均无癫痫发作。由于颞叶结构,尤其是颞叶内侧结构对刺激或损害敏感性高,为此,我们把蛛网膜囊肿分为颞区和颞区以外两类(表1)。
在颞区蛛网膜囊肿中,位于颞窝及侧裂池者66例,环池者11例,位于颞角内者10例(表2)。
由于蛛网膜囊肿壁薄,在MRI和CT上一般不能显示,因而仅测量横贯囊肿的颅板与脑表面之间的最长距离估计囊肿的大小(表3)。
1例蛛网膜囊肿位于右颞窝病人(图1)、1例位于环池病人(图2)及1例位于颞角病人脑电图提示有癫痫波,以颞叶癫痫做前颞叶切除术,术中见海马结构及部分颞叶皮层有异常波或癫痫波,病理均提示颞叶皮层和海马结构胶质增生。1例额部(图3A)及1例顶区蛛网膜囊肿(图3B)病人做囊肿切除术,术中见病灶周围异常波。所有手术病人术后短期随访4例无癫痫发作,1例发作减少。
, 百拇医药
表1 各部位蛛网膜囊肿与癫痫发作关系 部位
例数
有癫痫发作
无癫痫发作
颞 区
87
28
59
颞区以外
44
2
42
χ2=11.236,P<0.05,即2组之间癫痫发病率有显著差异,即颞区发病率高,为32.6%,而颞区以外者发病率为4%表2 颞区各部位蛛网膜囊肿与癫痫关系 部位
, http://www.100md.com
例数
有癫痫发作
无癫痫发作
颞窝
66
20
46
环池
11
6
5
颞角
10
2
, 百拇医药
8
χ2=3.34,P>0.05,各组之间无显著差异,即尽管颞窝、环池和颞角内蛛网膜囊肿癫痫发病率不同,但尚未达到统计学上显著性差异表3 蛛网膜囊肿大小与癫痫关系 囊肿大小
(cm)
例数
有癫痫发作
无癫痫发作
<2
35
11
24
2~5
, http://www.100md.com
86
17
69
>5
10
2
8
χ2=1.97,P>0.05,即囊肿大小与癫痫发作无显著相关
3 讨论
临床上常可见癫痫病人有蛛网膜囊肿而无其它脑实质病变,文献报告蛛网膜囊肿并发癫痫的发病率不等,Arroyo[2]发现1.9%的癫痫病人有蛛网膜囊肿,Morioka[3]也发现56例中颅窝蛛网膜囊肿病人中11例(19%)有癫痫病史,发病率与本组(22.9%)相似。也有文献报告[3]异常脑电波与囊肿位置、大小无关,认为颅中窝蛛网膜囊肿的占位效应不可能是癫痫发作的原因。那么两者到底有没有关系呢?本组30例癫痫病人中17例有脑电图资料,3例病人有明确的颞区癫痫波,MRI示海马体积缩小,T2加权像海马信号增高,为海马硬化的表现[1],并手术证实,另1例额部和1例顶部蛛网膜囊肿病人术中见病灶周围也有异常脑电波,可以说这5例异常脑电波与蛛网膜囊肿所在部位基本一致,但12例发作间期脑电图仅见异常脑电波无明确定位或定侧。众所周知颅内其他类型癫痫病理灶也可以在该病灶中、边缘或较远的部位形成致痫灶,颅内常见的肿瘤性病灶,有35%发生继发性癫痫[4],所以我们认为蛛网膜囊肿和颅内其他病灶一样也可以引起继发性癫痫发作,甚至形成颞叶癫痫。
, 百拇医药
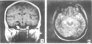
图1 右侧颞窝蛛网膜囊肿,同侧海马较小,T2加权像示海马信号较高,手术、病理证实为海马硬化
图2 右侧环池(脉络裂)蛛网膜囊肿,海马受压,T2加权像信号较高,手术、病理正视为海马硬化
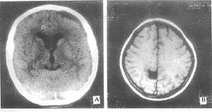
图3 分别为左侧额区蛛网膜囊肿、右顶部纵裂旁蛛网膜囊肿,术中均发现病灶边缘有癫痫波,病理提示胶质增生
颞叶由于其解剖和组织结构的特殊性,对缺血缺氧和损伤极为敏感,认为海马区特别容易受损而形成致痫灶;海马结构主要传入纤维来自内嗅区,也来自扣带回和隔核等处,而穹隆是其主要传出纤维,可见海马结构与大脑其它部位有广泛的联系,所以颞叶是癫痫的好发部位,鉴于上述电生理和解剖病理特点,可以解释为什么本组颞区蛛网膜囊肿病人引起癫痫发作的发病率较其它部位的囊肿高,图3、4所示环池囊肿长期压迫海马结构导致后者硬化可能是引起癫痫发作的原因之一。
, http://www.100md.com
那么囊肿的大小与癫痫发作是否有关?本组资料显示两者无关,但由于囊肿壁菲薄,在CT和MRI上一般不能显示,不能估计囊肿的真实大小,因此认为用囊肿张力估计对脑实质的影响更为确切。
当然不是所有的蛛网膜囊肿均会发生癫痫发作,李晓东[5]等发现32例脉络裂蛛网膜囊肿均无癫痫病史,本组多数病例无癫痫病史,所以我们认为囊肿压迫脑实质是引起癫痫的原因之一,但原因是多方面的,可能与囊肿部位、张力、发生时间长短及个体差异等有关。由于一部分癫痫为特发性的,现代影像手段不能发现除蛛网膜囊肿以外的引起癫痫的病灶。
作者简介:吴建伟(1963—),男,江苏人,硕士,副主任医师。研究方向:癫痫的影像学诊断。
[参考文献]
[1] 吴建伟,宋兆祺,陈君坤,等.癫痫病人海马体积测量[J].中华放射学杂志,1998,4.
, http://www.100md.com
[2] Arroyo S,Santamaria J.What is relationship between arachnoid cysts and seizure foci?[J].Epilepsia,1997,1098.
[3] Morioka T,Nishio S,Suznki S,et al.Chi- roidal fissure cyst in temporal horn associated with complex partial seizure[J].Epilepsia,1998,39(7):804.
[4] 谭启富.癫痫外科学[M].南京:南京大学出版社,1995,35-145.
[5] 李小东,杨贞振,王光彬,等.脉络裂蛛网膜囊肿的MRI诊断[J].中国医学影像技术,1999,2:111.
(收稿日期:1999-11-21), 百拇医药
单位:吴建伟(解放军第81医院放射科,江苏 南京 210002);丁仕义(第三军医大学西南医院放射核医学科)
关键词:
中国医学影像技术000608[中图分类号] R445.2 R739.41 [文献标识码] A
[文章编号] 1003-3289(2000)06-0444-02
颅内蛛网膜囊肿是常见的疾病,常引起头痛、头晕和癫痫发作等症状,近来多位学者研究其与癫痫的关系,结论不一,为此,本文通过对131例蛛网膜囊肿磁共振征象回顾性分析,试图阐明这两者的关系。
1 材料和方法
本文包括1992年至1999年5月遇到的142例有MRI和/或CT资料的蛛网膜囊肿病人,其中11例因合并其他性质的病变而排除在本研究之外。131例包括男96例,女35例,年龄6~67岁,平均32.5岁,30例病人表现为癫痫发作,27例为部分性癫痫发作,其中3例经临床表现和脑电图诊断为颞叶癫痫,并做前颞叶切除术,3例为大发作。全部病人均常规做轴位SE序列成像,其参数:T1加权像TR/TE=420~600ms/15ms,FOV210~230mm,层厚7mm,10%的间距,矩阵190~250×256;T2加权像TR/TE=4000ms/22/90ms,其余与T1加权像相同。冠状位和矢状位T1和T2加权成像,层厚5mm,其余各参数与轴位成像相同。7例癫痫病人做海马体积测量[1],包括2例手术治疗的颞叶癫痫病人。
, http://www.100md.com
2 结果
蛛网膜囊肿有一定的好发部位,本组131例中位于颞区的有87例(66%),有癫痫发作者占28例;位于额区者有5例,顶区者7例,1例项区和1例额区蛛网膜囊肿病人有癫痫发作;发生于枕大池者32例(24%),均无癫痫发作。由于颞叶结构,尤其是颞叶内侧结构对刺激或损害敏感性高,为此,我们把蛛网膜囊肿分为颞区和颞区以外两类(表1)。
在颞区蛛网膜囊肿中,位于颞窝及侧裂池者66例,环池者11例,位于颞角内者10例(表2)。
由于蛛网膜囊肿壁薄,在MRI和CT上一般不能显示,因而仅测量横贯囊肿的颅板与脑表面之间的最长距离估计囊肿的大小(表3)。
1例蛛网膜囊肿位于右颞窝病人(图1)、1例位于环池病人(图2)及1例位于颞角病人脑电图提示有癫痫波,以颞叶癫痫做前颞叶切除术,术中见海马结构及部分颞叶皮层有异常波或癫痫波,病理均提示颞叶皮层和海马结构胶质增生。1例额部(图3A)及1例顶区蛛网膜囊肿(图3B)病人做囊肿切除术,术中见病灶周围异常波。所有手术病人术后短期随访4例无癫痫发作,1例发作减少。
, 百拇医药
表1 各部位蛛网膜囊肿与癫痫发作关系 部位
例数
有癫痫发作
无癫痫发作
颞 区
87
28
59
颞区以外
44
2
42
χ2=11.236,P<0.05,即2组之间癫痫发病率有显著差异,即颞区发病率高,为32.6%,而颞区以外者发病率为4%表2 颞区各部位蛛网膜囊肿与癫痫关系 部位
, http://www.100md.com
例数
有癫痫发作
无癫痫发作
颞窝
66
20
46
环池
11
6
5
颞角
10
2
, 百拇医药
8
χ2=3.34,P>0.05,各组之间无显著差异,即尽管颞窝、环池和颞角内蛛网膜囊肿癫痫发病率不同,但尚未达到统计学上显著性差异表3 蛛网膜囊肿大小与癫痫关系 囊肿大小
(cm)
例数
有癫痫发作
无癫痫发作
<2
35
11
24
2~5
, http://www.100md.com
86
17
69
>5
10
2
8
χ2=1.97,P>0.05,即囊肿大小与癫痫发作无显著相关
3 讨论
临床上常可见癫痫病人有蛛网膜囊肿而无其它脑实质病变,文献报告蛛网膜囊肿并发癫痫的发病率不等,Arroyo[2]发现1.9%的癫痫病人有蛛网膜囊肿,Morioka[3]也发现56例中颅窝蛛网膜囊肿病人中11例(19%)有癫痫病史,发病率与本组(22.9%)相似。也有文献报告[3]异常脑电波与囊肿位置、大小无关,认为颅中窝蛛网膜囊肿的占位效应不可能是癫痫发作的原因。那么两者到底有没有关系呢?本组30例癫痫病人中17例有脑电图资料,3例病人有明确的颞区癫痫波,MRI示海马体积缩小,T2加权像海马信号增高,为海马硬化的表现[1],并手术证实,另1例额部和1例顶部蛛网膜囊肿病人术中见病灶周围也有异常脑电波,可以说这5例异常脑电波与蛛网膜囊肿所在部位基本一致,但12例发作间期脑电图仅见异常脑电波无明确定位或定侧。众所周知颅内其他类型癫痫病理灶也可以在该病灶中、边缘或较远的部位形成致痫灶,颅内常见的肿瘤性病灶,有35%发生继发性癫痫[4],所以我们认为蛛网膜囊肿和颅内其他病灶一样也可以引起继发性癫痫发作,甚至形成颞叶癫痫。
, 百拇医药
图1 右侧颞窝蛛网膜囊肿,同侧海马较小,T2加权像示海马信号较高,手术、病理证实为海马硬化
图2 右侧环池(脉络裂)蛛网膜囊肿,海马受压,T2加权像信号较高,手术、病理正视为海马硬化
图3 分别为左侧额区蛛网膜囊肿、右顶部纵裂旁蛛网膜囊肿,术中均发现病灶边缘有癫痫波,病理提示胶质增生
颞叶由于其解剖和组织结构的特殊性,对缺血缺氧和损伤极为敏感,认为海马区特别容易受损而形成致痫灶;海马结构主要传入纤维来自内嗅区,也来自扣带回和隔核等处,而穹隆是其主要传出纤维,可见海马结构与大脑其它部位有广泛的联系,所以颞叶是癫痫的好发部位,鉴于上述电生理和解剖病理特点,可以解释为什么本组颞区蛛网膜囊肿病人引起癫痫发作的发病率较其它部位的囊肿高,图3、4所示环池囊肿长期压迫海马结构导致后者硬化可能是引起癫痫发作的原因之一。
, http://www.100md.com
那么囊肿的大小与癫痫发作是否有关?本组资料显示两者无关,但由于囊肿壁菲薄,在CT和MRI上一般不能显示,不能估计囊肿的真实大小,因此认为用囊肿张力估计对脑实质的影响更为确切。
当然不是所有的蛛网膜囊肿均会发生癫痫发作,李晓东[5]等发现32例脉络裂蛛网膜囊肿均无癫痫病史,本组多数病例无癫痫病史,所以我们认为囊肿压迫脑实质是引起癫痫的原因之一,但原因是多方面的,可能与囊肿部位、张力、发生时间长短及个体差异等有关。由于一部分癫痫为特发性的,现代影像手段不能发现除蛛网膜囊肿以外的引起癫痫的病灶。
作者简介:吴建伟(1963—),男,江苏人,硕士,副主任医师。研究方向:癫痫的影像学诊断。
[参考文献]
[1] 吴建伟,宋兆祺,陈君坤,等.癫痫病人海马体积测量[J].中华放射学杂志,1998,4.
, http://www.100md.com
[2] Arroyo S,Santamaria J.What is relationship between arachnoid cysts and seizure foci?[J].Epilepsia,1997,1098.
[3] Morioka T,Nishio S,Suznki S,et al.Chi- roidal fissure cyst in temporal horn associated with complex partial seizure[J].Epilepsia,1998,39(7):804.
[4] 谭启富.癫痫外科学[M].南京:南京大学出版社,1995,35-145.
[5] 李小东,杨贞振,王光彬,等.脉络裂蛛网膜囊肿的MRI诊断[J].中国医学影像技术,1999,2:111.
(收稿日期:1999-11-21), 百拇医药