脑室肿瘤的影像学诊断价值(附26例分析)
作者:徐庆云 耿道颖 沈天真
单位:徐庆云(浙江省长兴县人民医院放射科,浙江 长兴 313100);耿道颖(海医科大学华山医院放射科);沈天真(浙江省长兴县人民医院放射科,浙江 长兴 313100)
关键词:脑室肿瘤;体层摄影术,X线计算机;磁共振成像
中国医学影像技术000606[摘 要] 目的 分析脑室肿瘤的CT和MRI特征,提高对各种脑室肿瘤诊断的准确率。方法 收集26例经手术与病理证实的脑室多种肿瘤:其中侧脑室15例,三脑室3例,四脑室8例。单独作CT检查5例,同时作CT和MRI检查21例。根据26例多种脑室肿瘤的发生部位,进行脑室定位分类。结果 5例中央性神经细胞瘤和2例胶样囊肿发生于中线室间孔区;6例髓母细胞瘤分别发生于小脑上蚓部和四脑室顶部近中线区;5例室管膜瘤发生在单侧脑室,年龄分别为28~36岁;3例室管膜瘤发生在四脑室,年龄分别为7~13岁;2例脉络丛乳头状瘤发生侧脑室三角区,年龄13~15岁;2例脑膜瘤发生在侧脑室三角区,年龄为15~71岁,1例巨细胞型星形细胞瘤发生在右侧脑室底部,年龄为30岁。结论 CT与MRI有助于对脑室肿瘤的鉴别诊断,结合临床资料进行综合分析,可提高诊断的准确率。
, http://www.100md.com
[中图分类号] R445 R739.4 [文献标识码] A
[文章编号] 1003-3289(2000)06-0439-03
Value of Imaging Diagnosis of Ventricle Tumor
XU Qing-yun, GENG Dao-ying, SHEN Tian-zhen
(Department of Radiology,Changxin Municipal Hospital, Provice 313100,China)
[Abstract] Objective To analyse imaging features of ventricle tumor and to improve accuracy of diagnosis in various ventricle tumors. Methods We collected 26 cases ventricle tumors proved surgically and pathologically. Among of them,lateral ventricle tumors 15 cases,the third ventricle tumors 3 cases,the fourth ventricle tumors 8 cases.5 cases were performed with CT,21 cases were performed with CT and MRI.We could categorise them according to their location. Results 5 cases central gaugliocytoma and 2 cases colloid cyst were located at middle line of ventricle,6 cases medulloblastoma were located at the top of the fourth ventricle or super cerebellum vermis,5 cases ependymoma were located at one lateral ventricle,3 cases ependymoma were located at the fouth ventricle,2 cases papilloma of choroid plexus werre located at triangle area of lateral ventricle,2 cases meningioma were located at triangle area of lateral ventricle,1 cases astrocytoma were located at lateral ventricle anterior horn. Conclusion CT and MRI was helpful in differential of ventricle tumor and could improve the accuracy of diagnosis when combined with clinical data.
, 百拇医药
[Key words] Ventricle tumor; Tomgraphy,X-ray computed; Magnetic resonance imaging
1 材料与方法
本文回顾性收集26例经手术和病理证实的脑室肿瘤,其中侧脑室15例,三脑室3例,四脑室8例,单独作CT检查5例,同时作CT和MR检查21例,根据26例多种脑室肿瘤的发生部位,进行脑室定位分类。全部病例分别采用Elscient 2400 CT机和Shimazu 5000 CT机,平扫加增强,层厚5~10mm,造影剂为Omnipaque,剂量为2ml/kg。MRI检查采用Resonex 0.38T和GE signal 1.5T磁共振扫描仪,SE序列横断位、冠状位、矢状位T1WI\,T2WI\,T1WI增强扫描,层厚5~10mm,矩阵256×256,造影剂为Gd-DTPA,剂量0.1mmol/kg。
, http://www.100md.com
2 结果
2.1 发病部位 5例中央性神经细胞瘤和2例胶样囊肿发生于中线室间孔区(图1),6例髓母细胞瘤分别发生于小脑上蚓部和四脑室顶部近中线处(图2),5例室管膜瘤发生在单侧脑室,3例室管膜瘤发生在四脑室(图3),2例脉络丛乳头状瘤发生在侧脑室三角区;2例脑膜瘤发生在侧脑室三角区(图4),1例巨细胞型星形细胞瘤发生在右侧脑室前角底部。
2.2 发病年龄 5例中央性神经细胞瘤年龄为30~56岁,平均年龄38岁;2例胶样囊肿年龄为36~42岁,平均年龄39岁;5例幕上侧脑室内室管膜瘤年龄为28~36岁,平均年龄32岁;3例幕下四脑室内室管膜瘤年龄为7~13岁,平均年龄10岁;6例髓母细胞瘤年龄为3~13岁,平均年龄8岁;2例幕上侧脑室三角区内脉络丛乳头状瘤年龄为13~15岁,平均年龄36岁;3例幕上侧脑室三角区内脑膜瘤年龄为15~71岁,平均年龄45岁,1例幕上侧脑室前角底部巨细胞型星形细胞瘤年龄为30岁。
, 百拇医药
图1 胶样囊肿
MRI冠状位,T1WI示中线室间孔区病灶呈圆形高信号,病灶以上脑室明显阻塞性扩张
图2 髓母细胞瘤
MRI横断位,T1WI增强示小脑中线区类圆形肿块,呈均匀高信号,其前方可见四脑室受压呈弧线状低信号
图3 室管膜瘤
MRI横断位,T2WI示四脑室内椭圆形肿块,肿块呈高均匀高信号,瘤周轻度水肿亦呈高信号
, http://www.100md.com
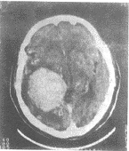
图4 脑膜瘤
CT增强横断位示右侧脑室三角区内巨大圆形肿块明显强化,呈均匀高信号
2.3 各种脑室肿瘤影像学特征 3例胶样囊肿在CT和MR图像上都呈高密度或高信号,1例四脑室内室管膜瘤通过出口向外播散,侵犯延髓与颈髓呈“溶腊”状改变,3例中央性神经细胞瘤CT平扫都有不规则条形钙化,8例室管膜瘤中有6例瘤内显示小斑片状钙化。
3 讨论
本文根据收集的26例脑室肿瘤提供的各种资料,并参考有关文献,认为在脑室肿瘤的定性诊断中,可从以下四方面进行综合分析,研究其规律,旨在提高对脑室肿瘤鉴别诊断的准确率。
3.1 发生部位 大多脑室肿瘤都有其好发部位,本组26例脑室肿瘤经CT与MRI检查,定位准确率达100%,所以定位准确与否在一定程度上会影响对肿瘤的定性诊断。如位于中线起源于室间孔区的肿瘤,常见的有中央性神经细胞瘤和胶样囊肿,髓母细胞瘤好发于四脑室顶部或小脑上蚓部近中线处,脑膜瘤多见于侧脑室三角区[1-3],巨细胞型星形细胞瘤好发于侧脑室前角区[3]。
, http://www.100md.com
3.2 发病年龄 发病年龄对于脑室肿瘤的定性诊断有一定价值,如中央性神经细胞瘤多见于中老年人,室管膜瘤发生在儿童多见于幕下四脑室,而成人则多见于侧脑室,三脑室少见;脉络丛乳头状瘤恰好与室管膜瘤相反,幕上多见儿童,成人则以幕下多见。髓母细胞瘤主要发生于儿童,胶样囊肿几乎都发生于成年[4,5],因巨细胞型星形细胞瘤本组只收集1例,年龄为30岁,定性诊断价值不大。
3.3 临床症状 一般情况下,幕上脑室肿瘤临床定位体征少见,以颅内高压为主要症状,轻重与否取决于肿瘤引起的积水程度而不同。但有些临床症状对于定性诊断很有价值,如胶样囊肿临床有典型的体位性头痛,可能是囊肿活瓣性阻塞室间孔所致;本组1例巨细胞型星细胞瘤伴有结节性硬化,临床出现皮肤神经三联征。各种脑室肿瘤均可造成程度不同的颅内高压征,发生在室间孔的肿瘤,颅内高压征出现早,若肿瘤发生在四脑室,临床除有颅内高压征外,还会出现小脑功能障碍症状。
3.4 CT与MRI影像学特征 各种脑室肿瘤的影像特征:典型的胶样囊肿在CT与MRI图像上都呈圆形高密度或高信号,四脑室的室管膜瘤若通过出口向外播散,侵犯延髓与颈髓呈“溶腊”状表现,中央性神经细胞瘤CT平扫常可发现点、条状或不规则片状钙化,室管膜瘤的小斑片状钙化也很具特征[3,6]。室管膜瘤、髓母细胞瘤均可沿着室管膜转移,在MRI增强图像上,可显示各脑室内壁呈镶框状高信号影。CT和MRI的共同表现:
, http://www.100md.com
(1)瘤周水肿或无:通常肿瘤不大对周围脑组织不产生压迫,瘤周无水肿,本组中有3例肿瘤较大造成机械性压迫,导致局部脑组织缺血或静脉回流障碍而产生瘤周轻度水肿,CT与MRI扫描T1WI像呈低密度或低信号,T2WI像呈高信号。
(2)脑积水易出现:按肿瘤的阻塞部位不同可出现幕上或幕下乃至整个脑室系统积水。罗健君等报导,脉络丛乳头状瘤由于肿瘤刺激脉络丛过多分泌脑脊液,常伴有交通性脑积水,本组2例脑积水不明显。
(3)肿瘤边界与强化:肿瘤中除中央性神经细胞瘤和室管膜瘤边界欠规则外,其余肿瘤大多较光滑,注射造影剂后肿瘤多为均匀强化,少数不强化或不均匀强化,若肿瘤内发生坏死囊变则坏死囊变区不强化。
作者简介:徐庆云(1951—),男,主治医师。
[参考文献]
, 百拇医药
[1] 罗健君,孙兮文,冯晓源,等.侧脑室脑膜瘤的CT和MRI诊断[J].中国医学计算机成像杂志,1997,3(4):221-224.
[2] Fomaim Meningioma of the lateral ventricles:Neuorodiological and surgical consideration in 18 cases[J].J Neurosurg,1981,54:64-68.
[3] Mani RL.Radiographic diagnosis of the lateral ventricles (Review of 22 cases)[J].J Neurosurg,1978,49:249-253.
[4] 陈星荣,沈天真,等主编.全身CT和MRI[M].上海医科大学出版社,1994.1:153-170.
[5] 张雪林,等译.颅内肿瘤CT诊断[M].成都科技大学出版社,1991.20-49.
[6] 余准,沈天真,陈星荣.脑室内肿瘤的影像学诊断[J].国外医学临床放射学分册,1995,18:2-5.
(收稿日期:1999-11-12), http://www.100md.com
单位:徐庆云(浙江省长兴县人民医院放射科,浙江 长兴 313100);耿道颖(海医科大学华山医院放射科);沈天真(浙江省长兴县人民医院放射科,浙江 长兴 313100)
关键词:脑室肿瘤;体层摄影术,X线计算机;磁共振成像
中国医学影像技术000606[摘 要] 目的 分析脑室肿瘤的CT和MRI特征,提高对各种脑室肿瘤诊断的准确率。方法 收集26例经手术与病理证实的脑室多种肿瘤:其中侧脑室15例,三脑室3例,四脑室8例。单独作CT检查5例,同时作CT和MRI检查21例。根据26例多种脑室肿瘤的发生部位,进行脑室定位分类。结果 5例中央性神经细胞瘤和2例胶样囊肿发生于中线室间孔区;6例髓母细胞瘤分别发生于小脑上蚓部和四脑室顶部近中线区;5例室管膜瘤发生在单侧脑室,年龄分别为28~36岁;3例室管膜瘤发生在四脑室,年龄分别为7~13岁;2例脉络丛乳头状瘤发生侧脑室三角区,年龄13~15岁;2例脑膜瘤发生在侧脑室三角区,年龄为15~71岁,1例巨细胞型星形细胞瘤发生在右侧脑室底部,年龄为30岁。结论 CT与MRI有助于对脑室肿瘤的鉴别诊断,结合临床资料进行综合分析,可提高诊断的准确率。
, http://www.100md.com
[中图分类号] R445 R739.4 [文献标识码] A
[文章编号] 1003-3289(2000)06-0439-03
Value of Imaging Diagnosis of Ventricle Tumor
XU Qing-yun, GENG Dao-ying, SHEN Tian-zhen
(Department of Radiology,Changxin Municipal Hospital, Provice 313100,China)
[Abstract] Objective To analyse imaging features of ventricle tumor and to improve accuracy of diagnosis in various ventricle tumors. Methods We collected 26 cases ventricle tumors proved surgically and pathologically. Among of them,lateral ventricle tumors 15 cases,the third ventricle tumors 3 cases,the fourth ventricle tumors 8 cases.5 cases were performed with CT,21 cases were performed with CT and MRI.We could categorise them according to their location. Results 5 cases central gaugliocytoma and 2 cases colloid cyst were located at middle line of ventricle,6 cases medulloblastoma were located at the top of the fourth ventricle or super cerebellum vermis,5 cases ependymoma were located at one lateral ventricle,3 cases ependymoma were located at the fouth ventricle,2 cases papilloma of choroid plexus werre located at triangle area of lateral ventricle,2 cases meningioma were located at triangle area of lateral ventricle,1 cases astrocytoma were located at lateral ventricle anterior horn. Conclusion CT and MRI was helpful in differential of ventricle tumor and could improve the accuracy of diagnosis when combined with clinical data.
, 百拇医药
[Key words] Ventricle tumor; Tomgraphy,X-ray computed; Magnetic resonance imaging
1 材料与方法
本文回顾性收集26例经手术和病理证实的脑室肿瘤,其中侧脑室15例,三脑室3例,四脑室8例,单独作CT检查5例,同时作CT和MR检查21例,根据26例多种脑室肿瘤的发生部位,进行脑室定位分类。全部病例分别采用Elscient 2400 CT机和Shimazu 5000 CT机,平扫加增强,层厚5~10mm,造影剂为Omnipaque,剂量为2ml/kg。MRI检查采用Resonex 0.38T和GE signal 1.5T磁共振扫描仪,SE序列横断位、冠状位、矢状位T1WI\,T2WI\,T1WI增强扫描,层厚5~10mm,矩阵256×256,造影剂为Gd-DTPA,剂量0.1mmol/kg。
, http://www.100md.com
2 结果
2.1 发病部位 5例中央性神经细胞瘤和2例胶样囊肿发生于中线室间孔区(图1),6例髓母细胞瘤分别发生于小脑上蚓部和四脑室顶部近中线处(图2),5例室管膜瘤发生在单侧脑室,3例室管膜瘤发生在四脑室(图3),2例脉络丛乳头状瘤发生在侧脑室三角区;2例脑膜瘤发生在侧脑室三角区(图4),1例巨细胞型星形细胞瘤发生在右侧脑室前角底部。
2.2 发病年龄 5例中央性神经细胞瘤年龄为30~56岁,平均年龄38岁;2例胶样囊肿年龄为36~42岁,平均年龄39岁;5例幕上侧脑室内室管膜瘤年龄为28~36岁,平均年龄32岁;3例幕下四脑室内室管膜瘤年龄为7~13岁,平均年龄10岁;6例髓母细胞瘤年龄为3~13岁,平均年龄8岁;2例幕上侧脑室三角区内脉络丛乳头状瘤年龄为13~15岁,平均年龄36岁;3例幕上侧脑室三角区内脑膜瘤年龄为15~71岁,平均年龄45岁,1例幕上侧脑室前角底部巨细胞型星形细胞瘤年龄为30岁。
, 百拇医药
图1 胶样囊肿
MRI冠状位,T1WI示中线室间孔区病灶呈圆形高信号,病灶以上脑室明显阻塞性扩张
图2 髓母细胞瘤
MRI横断位,T1WI增强示小脑中线区类圆形肿块,呈均匀高信号,其前方可见四脑室受压呈弧线状低信号
图3 室管膜瘤
MRI横断位,T2WI示四脑室内椭圆形肿块,肿块呈高均匀高信号,瘤周轻度水肿亦呈高信号
, http://www.100md.com
图4 脑膜瘤
CT增强横断位示右侧脑室三角区内巨大圆形肿块明显强化,呈均匀高信号
2.3 各种脑室肿瘤影像学特征 3例胶样囊肿在CT和MR图像上都呈高密度或高信号,1例四脑室内室管膜瘤通过出口向外播散,侵犯延髓与颈髓呈“溶腊”状改变,3例中央性神经细胞瘤CT平扫都有不规则条形钙化,8例室管膜瘤中有6例瘤内显示小斑片状钙化。
3 讨论
本文根据收集的26例脑室肿瘤提供的各种资料,并参考有关文献,认为在脑室肿瘤的定性诊断中,可从以下四方面进行综合分析,研究其规律,旨在提高对脑室肿瘤鉴别诊断的准确率。
3.1 发生部位 大多脑室肿瘤都有其好发部位,本组26例脑室肿瘤经CT与MRI检查,定位准确率达100%,所以定位准确与否在一定程度上会影响对肿瘤的定性诊断。如位于中线起源于室间孔区的肿瘤,常见的有中央性神经细胞瘤和胶样囊肿,髓母细胞瘤好发于四脑室顶部或小脑上蚓部近中线处,脑膜瘤多见于侧脑室三角区[1-3],巨细胞型星形细胞瘤好发于侧脑室前角区[3]。
, http://www.100md.com
3.2 发病年龄 发病年龄对于脑室肿瘤的定性诊断有一定价值,如中央性神经细胞瘤多见于中老年人,室管膜瘤发生在儿童多见于幕下四脑室,而成人则多见于侧脑室,三脑室少见;脉络丛乳头状瘤恰好与室管膜瘤相反,幕上多见儿童,成人则以幕下多见。髓母细胞瘤主要发生于儿童,胶样囊肿几乎都发生于成年[4,5],因巨细胞型星形细胞瘤本组只收集1例,年龄为30岁,定性诊断价值不大。
3.3 临床症状 一般情况下,幕上脑室肿瘤临床定位体征少见,以颅内高压为主要症状,轻重与否取决于肿瘤引起的积水程度而不同。但有些临床症状对于定性诊断很有价值,如胶样囊肿临床有典型的体位性头痛,可能是囊肿活瓣性阻塞室间孔所致;本组1例巨细胞型星细胞瘤伴有结节性硬化,临床出现皮肤神经三联征。各种脑室肿瘤均可造成程度不同的颅内高压征,发生在室间孔的肿瘤,颅内高压征出现早,若肿瘤发生在四脑室,临床除有颅内高压征外,还会出现小脑功能障碍症状。
3.4 CT与MRI影像学特征 各种脑室肿瘤的影像特征:典型的胶样囊肿在CT与MRI图像上都呈圆形高密度或高信号,四脑室的室管膜瘤若通过出口向外播散,侵犯延髓与颈髓呈“溶腊”状表现,中央性神经细胞瘤CT平扫常可发现点、条状或不规则片状钙化,室管膜瘤的小斑片状钙化也很具特征[3,6]。室管膜瘤、髓母细胞瘤均可沿着室管膜转移,在MRI增强图像上,可显示各脑室内壁呈镶框状高信号影。CT和MRI的共同表现:
, http://www.100md.com
(1)瘤周水肿或无:通常肿瘤不大对周围脑组织不产生压迫,瘤周无水肿,本组中有3例肿瘤较大造成机械性压迫,导致局部脑组织缺血或静脉回流障碍而产生瘤周轻度水肿,CT与MRI扫描T1WI像呈低密度或低信号,T2WI像呈高信号。
(2)脑积水易出现:按肿瘤的阻塞部位不同可出现幕上或幕下乃至整个脑室系统积水。罗健君等报导,脉络丛乳头状瘤由于肿瘤刺激脉络丛过多分泌脑脊液,常伴有交通性脑积水,本组2例脑积水不明显。
(3)肿瘤边界与强化:肿瘤中除中央性神经细胞瘤和室管膜瘤边界欠规则外,其余肿瘤大多较光滑,注射造影剂后肿瘤多为均匀强化,少数不强化或不均匀强化,若肿瘤内发生坏死囊变则坏死囊变区不强化。
作者简介:徐庆云(1951—),男,主治医师。
[参考文献]
, 百拇医药
[1] 罗健君,孙兮文,冯晓源,等.侧脑室脑膜瘤的CT和MRI诊断[J].中国医学计算机成像杂志,1997,3(4):221-224.
[2] Fomaim Meningioma of the lateral ventricles:Neuorodiological and surgical consideration in 18 cases[J].J Neurosurg,1981,54:64-68.
[3] Mani RL.Radiographic diagnosis of the lateral ventricles (Review of 22 cases)[J].J Neurosurg,1978,49:249-253.
[4] 陈星荣,沈天真,等主编.全身CT和MRI[M].上海医科大学出版社,1994.1:153-170.
[5] 张雪林,等译.颅内肿瘤CT诊断[M].成都科技大学出版社,1991.20-49.
[6] 余准,沈天真,陈星荣.脑室内肿瘤的影像学诊断[J].国外医学临床放射学分册,1995,18:2-5.
(收稿日期:1999-11-12), http://www.100md.com