先天性松果体囊肿的MRI诊断(附13例分析)
作者:朱峰 王化利 孙景春
单位:山东省泰安市88医院MRI室,山东 泰安 271000
关键词:松果体;囊性;先天性;磁共振成像
中国医学影像技术000714[摘 要] 目的 探讨先天性松果体囊肿的MRI特点,提高诊断水平。方法 对13例先天性松果体囊肿的MRI特征进行回顾性分析。结果 MRI能清楚地显示囊肿的大小、形态和信号特点,可做出定性诊断。结论 MRI对先天性松果体囊肿的诊断和鉴别诊断具有重要价值。
[中图分类号] R445.2 R739.41 [文献标识码] A
[文章编号] 1003-3289(2000)07-0548-02
MRI Diagnosis of Congenital Pineal Cyst (Report of 13 Cases)
, http://www.100md.com
ZHU Feng,WANG Hua-li,SUN Jing-chun
(Department of Radiology,PLA 88 Hospital,Tai′an 271000,China)
[Abstract] Purpose To study the MRI features of congenital pineal cyst and improve the diagnosis. Methods MR images of 13 cases of congenital pineal cyst were stadied and reviewed retrospectively. Results MRI clearly demonstrated the size image and signal featrees of congenital pineal cyst,can disided the qualitative diagnosis. Conclusion MRI is playing a very important role in the diagnosis of congenital pineal cyst.
, 百拇医药
[Key words] Pineal body; Cystic; Congenital; Magnetic resonance imaging
本文对13例先天性松果体囊肿的MRI表现特点加以分析,旨在提高对其进一步认识。
1 资料与方法
本组共13例,男5例,女8例。年龄25~49岁,平均37.6岁。本组手术治疗3例,脑立体定向穿刺活检6例,其余4例MRI随访2年囊肿无明显变化。本组7例患者临床上有不同程度的阵发性头痛,其余6例无临床症状,13例患者体检均未见阳性体征。检查设备采用安科公司ASM-016P永磁型MR机,头部线圈,扫描序列采用自旋回波(SE)序列,T1WI:TR/TE=500/30 ms,T2WI:TR/TE=2800/90ms,常规行矢状位、冠状位T1WI和横断位T1WI、T2WI。扫描矩阵128×512,层厚10 mm,间隔2 mm,本组患者均行Gd-DTPA增强扫描,矢状位、冠状位轴位T1WI,注射Gd-DTPA剂量为0.2 ml/kg。
, 百拇医药
2 结果
先天性松果体囊肿的MRI表现:①松果体四叠体池内圆形或类圆形囊性病灶,直径0.8~2.3 cm不等,周边有完整包膜。②囊性病灶信号均匀,T1WI显示囊壁为等信号,囊内容物为低信号,T2WI表现为均匀高信号。③注射Gd-DTPA之后,病灶囊壁轻度强化或不强化,内容物未见强化。④中脑导水管及第三脑室无扩大。⑤大脑大静脉流空效应存在(图1~4)。
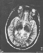
图1 头颅轴位T1WI(TR/TE=500/30 ms)。松果体区见一低信号囊肿,壁薄、光滑
图2 头颅轴位T2WI(TR/TE=2800/90ms)。松果体区类圆形囊性病
, 百拇医药
灶呈均匀高信号,边缘光滑
3 讨论
先天性松果体囊肿实质上是一种正常变异。由于其起源不十分明确,有人认为是由于第三脑室顶部闭合障碍,留下囊肿;或因为原来应分化为神经胶质的原始细胞残留,并演变为一个较大的囊肿,内壁衬以室管膜;或因松果体实质发生坏死形成囊肿[1]。还有人推测,在胚胎发育中,内衬于原始脑室系统的神经上皮发生折叠、内卷或外翻,形成一袋状囊腔,凸向脑室内或伸出脑室外,袋颈可离断而使囊肿与脑室隔绝[2]。由于囊肿的上皮具有分泌功能,可使囊肿逐渐增大而产生占位效应,故大多数人在成年后才发病。根据囊肿内容物而分为胶样与非胶样两类。本病临床表现轻重不一,一般无阳性体征。MRI是诊断松果体先天性囊肿的一种 可靠的方法。MRI特征表现为T1WI囊肿壁薄、光壁;呈等信号或稍低信号,内容物为低信号;增强后囊壁轻度强化或不强化,T2WI囊内容物呈均匀高信号。本病在诊断时首先需要与松果体区肿瘤,特别是体积较小的肿瘤相鉴别。松果体区较小的肿瘤因轻度的占位效应而造成的较早间接征象——中脑导水管及其上方的大脑大静脉流空效应减弱,而松果体囊肿不会产生上述现象,另外信号特点,对比增强、临床症状对鉴别诊断均有参考价值。
, http://www.100md.com
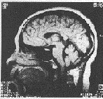
图3 头颅矢状位T1WI(TR/TE=500/30 ms)。囊壁呈等信号,囊内容物呈低信号,周围有完整包膜,中脑导水管及第三脑室无扩大,大脑大静脉流空效应存在
图4 头颅矢状位T1WI(TR/TE=500/30 ms)。注射Gd-DTPA增强后囊壁轻度强化,囊内容物未见强化
作者简介:朱峰(1963—),男,安徽人,大学本科,主治医师。
[参考文献]
[1] 高元桂、蔡幼铨、蔡祖龙,等.磁共振成像诊断学[M].北京:人民卫生出版社,1993.136-140.
[2] Ciricillo SF,Davis RL,Wilson CB.Neuroepithelial cysts of the posterior fossa[J].Neurosurg,1990,72:302-305.
[3] Numaguchi Y,Foster RW,Gum Gk.Large asymptomatic noncolloid neuroepithelial cysts in the lateral ventricle:CT and MR features[J].Neuroradiology,1989,31:98-101.
(收稿日期:1999-10-27), http://www.100md.com
单位:山东省泰安市88医院MRI室,山东 泰安 271000
关键词:松果体;囊性;先天性;磁共振成像
中国医学影像技术000714[摘 要] 目的 探讨先天性松果体囊肿的MRI特点,提高诊断水平。方法 对13例先天性松果体囊肿的MRI特征进行回顾性分析。结果 MRI能清楚地显示囊肿的大小、形态和信号特点,可做出定性诊断。结论 MRI对先天性松果体囊肿的诊断和鉴别诊断具有重要价值。
[中图分类号] R445.2 R739.41 [文献标识码] A
[文章编号] 1003-3289(2000)07-0548-02
MRI Diagnosis of Congenital Pineal Cyst (Report of 13 Cases)
, http://www.100md.com
ZHU Feng,WANG Hua-li,SUN Jing-chun
(Department of Radiology,PLA 88 Hospital,Tai′an 271000,China)
[Abstract] Purpose To study the MRI features of congenital pineal cyst and improve the diagnosis. Methods MR images of 13 cases of congenital pineal cyst were stadied and reviewed retrospectively. Results MRI clearly demonstrated the size image and signal featrees of congenital pineal cyst,can disided the qualitative diagnosis. Conclusion MRI is playing a very important role in the diagnosis of congenital pineal cyst.
, 百拇医药
[Key words] Pineal body; Cystic; Congenital; Magnetic resonance imaging
本文对13例先天性松果体囊肿的MRI表现特点加以分析,旨在提高对其进一步认识。
1 资料与方法
本组共13例,男5例,女8例。年龄25~49岁,平均37.6岁。本组手术治疗3例,脑立体定向穿刺活检6例,其余4例MRI随访2年囊肿无明显变化。本组7例患者临床上有不同程度的阵发性头痛,其余6例无临床症状,13例患者体检均未见阳性体征。检查设备采用安科公司ASM-016P永磁型MR机,头部线圈,扫描序列采用自旋回波(SE)序列,T1WI:TR/TE=500/30 ms,T2WI:TR/TE=2800/90ms,常规行矢状位、冠状位T1WI和横断位T1WI、T2WI。扫描矩阵128×512,层厚10 mm,间隔2 mm,本组患者均行Gd-DTPA增强扫描,矢状位、冠状位轴位T1WI,注射Gd-DTPA剂量为0.2 ml/kg。
, 百拇医药
2 结果
先天性松果体囊肿的MRI表现:①松果体四叠体池内圆形或类圆形囊性病灶,直径0.8~2.3 cm不等,周边有完整包膜。②囊性病灶信号均匀,T1WI显示囊壁为等信号,囊内容物为低信号,T2WI表现为均匀高信号。③注射Gd-DTPA之后,病灶囊壁轻度强化或不强化,内容物未见强化。④中脑导水管及第三脑室无扩大。⑤大脑大静脉流空效应存在(图1~4)。
图1 头颅轴位T1WI(TR/TE=500/30 ms)。松果体区见一低信号囊肿,壁薄、光滑
图2 头颅轴位T2WI(TR/TE=2800/90ms)。松果体区类圆形囊性病
, 百拇医药
灶呈均匀高信号,边缘光滑
3 讨论
先天性松果体囊肿实质上是一种正常变异。由于其起源不十分明确,有人认为是由于第三脑室顶部闭合障碍,留下囊肿;或因为原来应分化为神经胶质的原始细胞残留,并演变为一个较大的囊肿,内壁衬以室管膜;或因松果体实质发生坏死形成囊肿[1]。还有人推测,在胚胎发育中,内衬于原始脑室系统的神经上皮发生折叠、内卷或外翻,形成一袋状囊腔,凸向脑室内或伸出脑室外,袋颈可离断而使囊肿与脑室隔绝[2]。由于囊肿的上皮具有分泌功能,可使囊肿逐渐增大而产生占位效应,故大多数人在成年后才发病。根据囊肿内容物而分为胶样与非胶样两类。本病临床表现轻重不一,一般无阳性体征。MRI是诊断松果体先天性囊肿的一种 可靠的方法。MRI特征表现为T1WI囊肿壁薄、光壁;呈等信号或稍低信号,内容物为低信号;增强后囊壁轻度强化或不强化,T2WI囊内容物呈均匀高信号。本病在诊断时首先需要与松果体区肿瘤,特别是体积较小的肿瘤相鉴别。松果体区较小的肿瘤因轻度的占位效应而造成的较早间接征象——中脑导水管及其上方的大脑大静脉流空效应减弱,而松果体囊肿不会产生上述现象,另外信号特点,对比增强、临床症状对鉴别诊断均有参考价值。
, http://www.100md.com
图3 头颅矢状位T1WI(TR/TE=500/30 ms)。囊壁呈等信号,囊内容物呈低信号,周围有完整包膜,中脑导水管及第三脑室无扩大,大脑大静脉流空效应存在
图4 头颅矢状位T1WI(TR/TE=500/30 ms)。注射Gd-DTPA增强后囊壁轻度强化,囊内容物未见强化
作者简介:朱峰(1963—),男,安徽人,大学本科,主治医师。
[参考文献]
[1] 高元桂、蔡幼铨、蔡祖龙,等.磁共振成像诊断学[M].北京:人民卫生出版社,1993.136-140.
[2] Ciricillo SF,Davis RL,Wilson CB.Neuroepithelial cysts of the posterior fossa[J].Neurosurg,1990,72:302-305.
[3] Numaguchi Y,Foster RW,Gum Gk.Large asymptomatic noncolloid neuroepithelial cysts in the lateral ventricle:CT and MR features[J].Neuroradiology,1989,31:98-101.
(收稿日期:1999-10-27), http://www.100md.com