肺癌颅骨转移MR表现1例
作者:张红 李晋川
单位:张红(兰州军区总医院肿瘤科,甘肃 兰州 730050);李晋川(兰州军区总医院MR室)
关键词:
中国医学影像技术000753[中图分类号] R445.2
[文章编号] 1003-3289(2000)07-0595-01
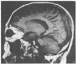
患者男,62岁。咳嗽胸痛,左锁骨上淋巴结肿大10天入院。查体:双侧锁骨上淋巴结肿大,右肺呼吸音低,心率102bpm。胸片:右下肺巨大肿块影,可见分叶、毛刺且与胸膜粘连。纤支镜检查仅见右肺上叶及舌叶支气管分嵴增宽。心脏彩超示心包积液。左锁骨上淋巴结活检的病理诊断:转移性低分化鳞癌。行MVP方案一疗程,咳嗽胸痛症状消失,肿大淋巴结回缩,复查胸片右肺肿块缩小2/5。但出现轻度恶心,头晕症状。行头颅CT检查未见异常,故出院。15天后因头痛恶心呕吐再次入院。查体发现颅顶部局限性隆起,范围约1.5cm×2cm,质硬。头颅MR:平扫:后顶枕部可见不规则肿块影,轴位大小约3cm×4.9cm。T1WI呈低信号,T2WI呈高信号。矢状位T1WI:可见肿块沿脑膜及颅骨生长,长8cm,并侵入蛛网膜下腔。硬脑膜明显增厚,脂肪板障高信号消失,内、外板骨质破坏,并侵入皮下(图1)。+C:脑膜及肿块可见不均匀增强(图2)。
图1 SE T1W矢状位:后顶枕部不规则肿块影,肿瘤侵及蛛网膜下腔、硬脑膜、颅骨内外板
及板障
图2 SE T1W+C轴位:肿瘤及脑膜可
见不规则增强
讨论 颅骨转移瘤临床较少见,主 要来源于肺癌、乳腺癌、前列腺癌。其转移途径主要是血行转移。骨转移的影像学表现一般分为:①溶骨型。②成骨型。③混合型及囊状扩张型。本例表现以溶骨型改变为主。病灶不但侵犯颅骨而且沿脑膜扩展,使脑膜增厚,并穿过硬脑膜,侵入蛛网膜下腔。属于脑膜转移瘤亦可属于颅骨转移瘤,至于首先转移至 脑膜还是颅骨有待进一步研究。由于颅骨在MR像上显示为无信号,所以当颅骨病灶不甚明显而仅有颅内病灶时,易被误诊为恶性脑膜瘤。矢状位对显示蛛网膜下腔、硬脑膜、颅骨内、外板及板障的层次很有帮助。此外,对有临床症状的患者,虽头颅CT未见异常,亦不能轻易排除脑膜转移,应进一步行MR检查以确诊。
作者简介:张红(1957—),女,陕西人,大学本科,主治医师。
(收稿日期:2000-01-29), 百拇医药
单位:张红(兰州军区总医院肿瘤科,甘肃 兰州 730050);李晋川(兰州军区总医院MR室)
关键词:
中国医学影像技术000753[中图分类号] R445.2
[文章编号] 1003-3289(2000)07-0595-01
患者男,62岁。咳嗽胸痛,左锁骨上淋巴结肿大10天入院。查体:双侧锁骨上淋巴结肿大,右肺呼吸音低,心率102bpm。胸片:右下肺巨大肿块影,可见分叶、毛刺且与胸膜粘连。纤支镜检查仅见右肺上叶及舌叶支气管分嵴增宽。心脏彩超示心包积液。左锁骨上淋巴结活检的病理诊断:转移性低分化鳞癌。行MVP方案一疗程,咳嗽胸痛症状消失,肿大淋巴结回缩,复查胸片右肺肿块缩小2/5。但出现轻度恶心,头晕症状。行头颅CT检查未见异常,故出院。15天后因头痛恶心呕吐再次入院。查体发现颅顶部局限性隆起,范围约1.5cm×2cm,质硬。头颅MR:平扫:后顶枕部可见不规则肿块影,轴位大小约3cm×4.9cm。T1WI呈低信号,T2WI呈高信号。矢状位T1WI:可见肿块沿脑膜及颅骨生长,长8cm,并侵入蛛网膜下腔。硬脑膜明显增厚,脂肪板障高信号消失,内、外板骨质破坏,并侵入皮下(图1)。+C:脑膜及肿块可见不均匀增强(图2)。
图1 SE T1W矢状位:后顶枕部不规则肿块影,肿瘤侵及蛛网膜下腔、硬脑膜、颅骨内外板
及板障
图2 SE T1W+C轴位:肿瘤及脑膜可
见不规则增强
讨论 颅骨转移瘤临床较少见,主 要来源于肺癌、乳腺癌、前列腺癌。其转移途径主要是血行转移。骨转移的影像学表现一般分为:①溶骨型。②成骨型。③混合型及囊状扩张型。本例表现以溶骨型改变为主。病灶不但侵犯颅骨而且沿脑膜扩展,使脑膜增厚,并穿过硬脑膜,侵入蛛网膜下腔。属于脑膜转移瘤亦可属于颅骨转移瘤,至于首先转移至 脑膜还是颅骨有待进一步研究。由于颅骨在MR像上显示为无信号,所以当颅骨病灶不甚明显而仅有颅内病灶时,易被误诊为恶性脑膜瘤。矢状位对显示蛛网膜下腔、硬脑膜、颅骨内、外板及板障的层次很有帮助。此外,对有临床症状的患者,虽头颅CT未见异常,亦不能轻易排除脑膜转移,应进一步行MR检查以确诊。
作者简介:张红(1957—),女,陕西人,大学本科,主治医师。
(收稿日期:2000-01-29), 百拇医药