婴儿型多囊肾的影像学诊断
作者:夏黎明 王承缘 邵剑波
单位:夏黎明 王承缘(同济医科大学附属同济医院放射科,湖北 武汉 430030);邵剑波(武汉市儿童医院CT室)
关键词:多囊肾;影像
中国医学影像技术000828
[摘 要] 目的 提高对婴儿型多囊肾(IPKD)的影像学认识。方法 3例婴儿型多囊肾分别进行了分泌性尿路造影、超声扫描、CT或/和MRI检查。1例作肝穿刺活检。结果 超声表现为肾内弥漫性强回声,CT和MRI表现为肾脏增大,呈分叶状,增强扫描典型表现为放射状排列的高密度或高信号影,肝脾肿大,肝纤维化。结论 影像学综合检查可明确婴儿型多囊肾的诊断。
[中图分类号] R445 R692.1+2 [文献标识码] A
, http://www.100md.com
[文章编号] 1003-3289(2000)08-0674-02
Imaging Diagnosis of Infantile Polycystic Kidney Disease
XIA Li-ming,WANG Chang-yuan,SHAO Jian-bo
(Departmant of Radiology,Tongji Hospital Tongji Medical University,Wuhan 430030,Chian)
[Abstract] Objective to improve imaging recognition of infantie polycystic kidney disease (IPKD). Methods Excretory urography,ultrasound scan(US),computed tomography (CT)and magnetic resonance imaging (MRI) were performed in three cases with IPKD respectively,hepatic biopsy was performed in one patient. Results US examination demonstrated hyperechoic kidney.CT and MRI display kidneys enlargement,lobulation,enhancement scan typical finding was radiating arrangement of high density or high signal tubules,liver and spleen enlargement,hepatic fibrosis. Conclusion imaging combining examination may make a firm diagnosis.
, 百拇医药
[Key words] Polycystic kidney disease; Imaging
婴儿型多囊肾(infantile polycystic kidney disease; IPKD)是肾脏囊性病中的一种,其发病率约为1/6000~10000[1],过去主要根据临床表现,超声检查,及分泌性尿路造影来诊断,有关本病的CT尤其是MRI诊断国内外均报道极少,笔者收集经临床,影像学诊断的IPKD 3例,其中1例行肝穿刺活检,现报道如下,旨在提高对本病的影像学认识。
1 材料与方法
本文共3例,男2例,女1例,年龄为1岁8个月至10岁。1例行分泌性尿路造影,注射60%泛影葡胺,剂量为1ml/kg,注射造影剂后分别5min、10min\,15min及30min摄片,松压后再摄片。2例行彩色多谱勒检查,所使用的彩色多谱勒为Diasonic Gateway。2例行CT检查,所使用的CT机为Elscient CT twin。2例作MRI扫描,使用的MR扫描仪为GE 1.5Tesla Signa Advontage超导型,使用Gd-DTPA,剂量为0.01mmol/kg。
, 百拇医药
2 病例报道
例1:女,1岁8个月。
B超检查:双肾增大,肾内见弥漫的强光点同声,后方无声影。
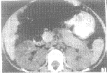
CT检查:平扫,双肾体积增大,呈分叶状,密度普遍减低,皮髓质分界不清(图1),肝脏显著增大,脾稍大。
MRI检查:双肾增大,外形呈分叶状,皮髓质分界不清,呈长T1长T2信号,肝脏显著增大,脾脏轻度增大,注射Gd-DTPA后,双肾可见从乳头向皮质呈放射状排列的管状或条状强化影,肾盏肾盂内未见明显的造影剂(图2),此病例在超声引导下,行肝穿刺活检,结果提示肝纤维化。
例2:男,10岁。
B超检查:双肾稍大,双肾髓质区为主部位见多个强光点及强光斑回声。
, 百拇医药
分泌性尿路造影,肾盂肾盏受压,变窄,距离加大,以左肾较明显(图3)。
MRI检查:双肾体积稍大,略呈浅分叶状,皮髓质内见多个小类圆形长T1、长T2信号灶,注射Gd-DTPA后,双肾皮髓质内见多个小囊肿,大小不等,肝脏显著增大,右叶见多个长T1、长T2信号小囊肿,并与扩张胆管相连(图4),脾脏增大。
例3:男,10岁。
CT检查:双肾影增大,大部分皮髓质分界不清,密度普遍减低,增强扫描,皮质明显变薄,皮髓质区见多发不强化区,及少许放射状强化影。
图1 CT平扫:双肾增大,呈分叶状,密度普遍减低
, http://www.100md.com
图2 MRI注射Gd-DTPA,双肾
见从乳突向皮质呈放射状排列的管状高信号影,肾盂肾盏未见造影剂
图3 分泌性尿路造影:双肾影增大,肾盂肾盏受压变窄,距离加大,以左肾明显
图4 MRI,SE T1WI,肝脏肿大,胆内胆管囊状及管状扩张,以右叶明显
3 讨论
3.1 多囊肾的命名及分型 多囊肾一般分为婴儿型多囊肾(IPCKD)与成人型多囊肾(adult polycystic kidney disase;APCKD),前者又称常染色体隐性遗传性多囊肾(autosomal recessive polycystic kidney disease;ARPKD)或肝肾多囊性疾病(hepatoenal polycystic disease),后者又称为常染色体显性遗传性多囊肾(autosomal dominant polycystic kidney disease;ADPKD)。IPCKD又可分为几个亚型[2]。一般分为四个亚型:①围产期型,两肾对称性受累约90%的肾小管扩张,门静脉周围有轻微纤维化;②新生儿期型,约60%的肾小管扩张,肝门周围轻度纤维化;③婴儿期型,约25%肾小管扩张,中度肝硬化;④少年期型,约10%肾小管扩张,肝门周围纤维化明显。本组例1为新生儿期型,另2例为婴儿期型或少年期型。另外有作者将IPCKD分为两型,即婴儿型和儿童型。还有作者把婴儿型多囊肾合并Carolis病时称为Carolis综合征。本组例2为Carolis综合征。
, http://www.100md.com
3.2 影像学的病理基础 本病的肾脏主要病理改变是集合管弥漫性扩张,肾脏肿大,切面可见弥漫的帽针头到绿豆大的小囊腔,并有放射状囊性扩张的管状囊腔[3]。由于弥漫性集合扩张,使得肾脏显著增大,呈分叶状,小囊及扩张的管状囊腔内的尿液增多增加回声界面,超声检查时,肾脏呈弥漫性强回声或强光点[4]。同时皮髓质分界不清,CT密度减低,MRI呈长T1、长T2信号,扩张的管状囊腔在延迟分泌性尿路造影,增强CT及MRI上呈放射状排列,本组例1增强MRI表现极为典型。
有时肾脏外围部分皮质正常,超声表现为低回声环。
肝脏门静脉周围的纤维化致肝脏肿大、门静脉高压、脾脏肿大。此外胆管可增生、扩张。
3.3 影像学诊断 本病的影像学诊断的报道主要为超声和分泌性尿路造影[4],不同的类型其表现不尽相同[2]。典型IPCKD的超声表现为肾脏增大,肾弥漫性回声增强或强光点[4],有时描述为胡椒粉样或盐样的表现,本组例1、2均表现为弥漫性强光点,例2见强光斑。静脉尿路造影,典型表现为密度增高的条状或管状影,从肾盏区向锥体呈放射状排列甚至一直伸延达肾皮质区,肾盂肾盏不显影或显影较淡。年龄较大的肾小管不显像,肾盂肾盏变形、延长。本组例2未见典型表现,仅见肾脏增大,肾盂肾盏受压、变形征象。
, 百拇医药
关于本病的CT报道不多[1],表现为肾脏增大显著,呈分叶状,本组例1仅作CT平扫示双肾增大呈分叶状,肾皮髓质分界不清,密度普遍减低,例2作CT平扫及增强扫描,示双肾增大呈浅分叶状平扫部分实质密度减低,增强扫描,皮质变薄,实质内隐约可见少数放射状排列的条状高密度影,笔者认为本例外围正常强化的变薄皮质与超声的外围低回声环病理基础相同。
关于本病的MRI表现,笔者未见正式报道,本组例1、2作MRI检查,均行平扫加增强扫描,例1具有典型的表现双肾增大、呈分叶状、皮髓质分界不清,呈长T1、长T2信号,注射Gd-DTPA后表现为双肾乳头至皮质呈放射状或车轮状排列的条状高信号影,类似分泌性尿路造影表现,例2 MRI与例1表现不同。例1年龄小,病变广泛,例2年龄大,病变范围小,说明不同类型的婴儿型多囊肾表现不尽相同。
3例均表现为肝脏肿大,2例脾脏肿大明显,例1脾脏轻度肿大,本例属新生儿期型,肾脏病变明显,肝硬化相对轻,另2例属婴儿期型或少儿期型,肝脏硬化更明显,肾脏累及较轻,例2伴肝内胆管囊状扩张,为Carolis综合征。
, http://www.100md.com
作者简介:夏黎明(1961—),男,湖北人,硕士,副教授。研究方向:胸部、神经CT、MRI影像诊断。
[参考文献]
[1] Schild HH,Schweden F J,Lang E K.Computed tomography in urology[M].New York:Georg Thieme Verlag Stuttgart,1992.93-94.
[2] 诸福棠,关瑞萍,胡亚美,等.实用儿科学[M].第4版.北京:人民卫生出版社,1985.463-464.
[3] 董郡,等.病理学[M].第2版.北京:人民卫生出版社,1996.661-662.
[4] 张国成,陈荣华,郑德元,等.尼尔逊儿科学[M].西安:世界图书出版社,1999.476-477.
收稿日期:2000-04-30, http://www.100md.com
单位:夏黎明 王承缘(同济医科大学附属同济医院放射科,湖北 武汉 430030);邵剑波(武汉市儿童医院CT室)
关键词:多囊肾;影像
中国医学影像技术000828
[摘 要] 目的 提高对婴儿型多囊肾(IPKD)的影像学认识。方法 3例婴儿型多囊肾分别进行了分泌性尿路造影、超声扫描、CT或/和MRI检查。1例作肝穿刺活检。结果 超声表现为肾内弥漫性强回声,CT和MRI表现为肾脏增大,呈分叶状,增强扫描典型表现为放射状排列的高密度或高信号影,肝脾肿大,肝纤维化。结论 影像学综合检查可明确婴儿型多囊肾的诊断。
[中图分类号] R445 R692.1+2 [文献标识码] A
, http://www.100md.com
[文章编号] 1003-3289(2000)08-0674-02
Imaging Diagnosis of Infantile Polycystic Kidney Disease
XIA Li-ming,WANG Chang-yuan,SHAO Jian-bo
(Departmant of Radiology,Tongji Hospital Tongji Medical University,Wuhan 430030,Chian)
[Abstract] Objective to improve imaging recognition of infantie polycystic kidney disease (IPKD). Methods Excretory urography,ultrasound scan(US),computed tomography (CT)and magnetic resonance imaging (MRI) were performed in three cases with IPKD respectively,hepatic biopsy was performed in one patient. Results US examination demonstrated hyperechoic kidney.CT and MRI display kidneys enlargement,lobulation,enhancement scan typical finding was radiating arrangement of high density or high signal tubules,liver and spleen enlargement,hepatic fibrosis. Conclusion imaging combining examination may make a firm diagnosis.
, 百拇医药
[Key words] Polycystic kidney disease; Imaging
婴儿型多囊肾(infantile polycystic kidney disease; IPKD)是肾脏囊性病中的一种,其发病率约为1/6000~10000[1],过去主要根据临床表现,超声检查,及分泌性尿路造影来诊断,有关本病的CT尤其是MRI诊断国内外均报道极少,笔者收集经临床,影像学诊断的IPKD 3例,其中1例行肝穿刺活检,现报道如下,旨在提高对本病的影像学认识。
1 材料与方法
本文共3例,男2例,女1例,年龄为1岁8个月至10岁。1例行分泌性尿路造影,注射60%泛影葡胺,剂量为1ml/kg,注射造影剂后分别5min、10min\,15min及30min摄片,松压后再摄片。2例行彩色多谱勒检查,所使用的彩色多谱勒为Diasonic Gateway。2例行CT检查,所使用的CT机为Elscient CT twin。2例作MRI扫描,使用的MR扫描仪为GE 1.5Tesla Signa Advontage超导型,使用Gd-DTPA,剂量为0.01mmol/kg。
, 百拇医药
2 病例报道
例1:女,1岁8个月。
B超检查:双肾增大,肾内见弥漫的强光点同声,后方无声影。
CT检查:平扫,双肾体积增大,呈分叶状,密度普遍减低,皮髓质分界不清(图1),肝脏显著增大,脾稍大。
MRI检查:双肾增大,外形呈分叶状,皮髓质分界不清,呈长T1长T2信号,肝脏显著增大,脾脏轻度增大,注射Gd-DTPA后,双肾可见从乳头向皮质呈放射状排列的管状或条状强化影,肾盏肾盂内未见明显的造影剂(图2),此病例在超声引导下,行肝穿刺活检,结果提示肝纤维化。
例2:男,10岁。
B超检查:双肾稍大,双肾髓质区为主部位见多个强光点及强光斑回声。
, 百拇医药
分泌性尿路造影,肾盂肾盏受压,变窄,距离加大,以左肾较明显(图3)。
MRI检查:双肾体积稍大,略呈浅分叶状,皮髓质内见多个小类圆形长T1、长T2信号灶,注射Gd-DTPA后,双肾皮髓质内见多个小囊肿,大小不等,肝脏显著增大,右叶见多个长T1、长T2信号小囊肿,并与扩张胆管相连(图4),脾脏增大。
例3:男,10岁。
CT检查:双肾影增大,大部分皮髓质分界不清,密度普遍减低,增强扫描,皮质明显变薄,皮髓质区见多发不强化区,及少许放射状强化影。
图1 CT平扫:双肾增大,呈分叶状,密度普遍减低
, http://www.100md.com
图2 MRI注射Gd-DTPA,双肾
见从乳突向皮质呈放射状排列的管状高信号影,肾盂肾盏未见造影剂
图3 分泌性尿路造影:双肾影增大,肾盂肾盏受压变窄,距离加大,以左肾明显
图4 MRI,SE T1WI,肝脏肿大,胆内胆管囊状及管状扩张,以右叶明显
3 讨论
3.1 多囊肾的命名及分型 多囊肾一般分为婴儿型多囊肾(IPCKD)与成人型多囊肾(adult polycystic kidney disase;APCKD),前者又称常染色体隐性遗传性多囊肾(autosomal recessive polycystic kidney disease;ARPKD)或肝肾多囊性疾病(hepatoenal polycystic disease),后者又称为常染色体显性遗传性多囊肾(autosomal dominant polycystic kidney disease;ADPKD)。IPCKD又可分为几个亚型[2]。一般分为四个亚型:①围产期型,两肾对称性受累约90%的肾小管扩张,门静脉周围有轻微纤维化;②新生儿期型,约60%的肾小管扩张,肝门周围轻度纤维化;③婴儿期型,约25%肾小管扩张,中度肝硬化;④少年期型,约10%肾小管扩张,肝门周围纤维化明显。本组例1为新生儿期型,另2例为婴儿期型或少年期型。另外有作者将IPCKD分为两型,即婴儿型和儿童型。还有作者把婴儿型多囊肾合并Carolis病时称为Carolis综合征。本组例2为Carolis综合征。
, http://www.100md.com
3.2 影像学的病理基础 本病的肾脏主要病理改变是集合管弥漫性扩张,肾脏肿大,切面可见弥漫的帽针头到绿豆大的小囊腔,并有放射状囊性扩张的管状囊腔[3]。由于弥漫性集合扩张,使得肾脏显著增大,呈分叶状,小囊及扩张的管状囊腔内的尿液增多增加回声界面,超声检查时,肾脏呈弥漫性强回声或强光点[4]。同时皮髓质分界不清,CT密度减低,MRI呈长T1、长T2信号,扩张的管状囊腔在延迟分泌性尿路造影,增强CT及MRI上呈放射状排列,本组例1增强MRI表现极为典型。
有时肾脏外围部分皮质正常,超声表现为低回声环。
肝脏门静脉周围的纤维化致肝脏肿大、门静脉高压、脾脏肿大。此外胆管可增生、扩张。
3.3 影像学诊断 本病的影像学诊断的报道主要为超声和分泌性尿路造影[4],不同的类型其表现不尽相同[2]。典型IPCKD的超声表现为肾脏增大,肾弥漫性回声增强或强光点[4],有时描述为胡椒粉样或盐样的表现,本组例1、2均表现为弥漫性强光点,例2见强光斑。静脉尿路造影,典型表现为密度增高的条状或管状影,从肾盏区向锥体呈放射状排列甚至一直伸延达肾皮质区,肾盂肾盏不显影或显影较淡。年龄较大的肾小管不显像,肾盂肾盏变形、延长。本组例2未见典型表现,仅见肾脏增大,肾盂肾盏受压、变形征象。
, 百拇医药
关于本病的CT报道不多[1],表现为肾脏增大显著,呈分叶状,本组例1仅作CT平扫示双肾增大呈分叶状,肾皮髓质分界不清,密度普遍减低,例2作CT平扫及增强扫描,示双肾增大呈浅分叶状平扫部分实质密度减低,增强扫描,皮质变薄,实质内隐约可见少数放射状排列的条状高密度影,笔者认为本例外围正常强化的变薄皮质与超声的外围低回声环病理基础相同。
关于本病的MRI表现,笔者未见正式报道,本组例1、2作MRI检查,均行平扫加增强扫描,例1具有典型的表现双肾增大、呈分叶状、皮髓质分界不清,呈长T1、长T2信号,注射Gd-DTPA后表现为双肾乳头至皮质呈放射状或车轮状排列的条状高信号影,类似分泌性尿路造影表现,例2 MRI与例1表现不同。例1年龄小,病变广泛,例2年龄大,病变范围小,说明不同类型的婴儿型多囊肾表现不尽相同。
3例均表现为肝脏肿大,2例脾脏肿大明显,例1脾脏轻度肿大,本例属新生儿期型,肾脏病变明显,肝硬化相对轻,另2例属婴儿期型或少儿期型,肝脏硬化更明显,肾脏累及较轻,例2伴肝内胆管囊状扩张,为Carolis综合征。
, http://www.100md.com
作者简介:夏黎明(1961—),男,湖北人,硕士,副教授。研究方向:胸部、神经CT、MRI影像诊断。
[参考文献]
[1] Schild HH,Schweden F J,Lang E K.Computed tomography in urology[M].New York:Georg Thieme Verlag Stuttgart,1992.93-94.
[2] 诸福棠,关瑞萍,胡亚美,等.实用儿科学[M].第4版.北京:人民卫生出版社,1985.463-464.
[3] 董郡,等.病理学[M].第2版.北京:人民卫生出版社,1996.661-662.
[4] 张国成,陈荣华,郑德元,等.尼尔逊儿科学[M].西安:世界图书出版社,1999.476-477.
收稿日期:2000-04-30, http://www.100md.com