胃癌CT扫描的研究
作者:张凤翔 田玉泉 高娃 张浩亮 刘智君 赵智
单位:张凤翔 高娃 张浩亮 刘智君(伊克昭盟医院CT-MRI室,内蒙古 伊克昭盟 017000);田玉泉 赵智(内蒙达拉特旗医院CT室)
关键词:
中国医学影像技术000825[中图分类号] R445.3 R735.2 [文献标识码] A
[文章编号] 1003-3289(2000)08-0668-02
胃癌是消化道常见的恶性肿瘤。目前主要的诊断方法是胃镜和胃肠造影,但两种检查方法对胃癌的分期价值均有限。CT应用于胃癌的检查,国内不很普遍,有关文献不多。但对胃癌的分期诊断确有一定的价值。然而准确性不一。因此,有必要进行再观察。现把我们的结果总结如下:
, http://www.100md.com
1 资料和方法
1994年2月至1997年5月期间我们共行胃部CT检查25例。5例正常。20例胃癌(包括4例贲门癌)。其中14例经胃镜活检证实,6例有典型胃肠造影表现。20例中,男18例,女2例。平均年龄55.1岁。14例行手术治疗。手术时间在CT扫描后2~7天内完成。
CT检查方法:患者检查前禁食6小时,先静脉注射654-2 10mg,随属饮温水1000~1500ml,待患者感胃胀,然后令其打嗝3~5次,以尽可能排空胃内气体,即上床扫描。根据检查前胃镜和胃肠造影结果所提示的病变位置,采用适当体位,一般取仰卧位。扫描范围从膈顶到脐。层厚10mm,间距10mm,重点区加扫5mm。机器GESYTEC2000I,120kV,80mA,3.6s。全部病例行平扫加增强。
2 结果
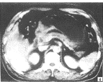
20例均为进展期胃癌,其中以胃壁增厚表现者10例,局限性增厚7例,弥漫性3例(图1)。胃腔内肿块表现者共6例,包括丘状和分叶状肿块(图2)。可见癌性溃疡表现者4例,其中一例可见溃疡内积血(手术证实)(图3)。6例放弃手术者,4例有肝内多发转移,2例腹膜后腔主动脉周围可见淋巴结转移融合团块。14例手术病例,8例CT判定:胃与周围脏器界面清楚,胃周围未见肿大淋巴结(图4)。手术见:病变未突破浆膜层,3例可见胃小弯血管周围有肿大淋巴结,直径在1~2.2cm之间。其中一例为反应性增生,2例可见癌转移。全部8例行根治性切除。6例CT表现有胃周脂肪界面受累:主要有界面消失,可见条索影及小结节影(图3)。2例可见穿透性溃疡。5例见有淋巴结肿大。主要分布在胃小弯侧及胰头周围。手术见:病变已穿透浆膜,胃周均见淋巴结肿大。做了姑息切除。由此可见:CT在判定浆膜受累方面准确性很高,而在胃周淋巴结转移的判定方面存在假阴性。
, 百拇医药
图1 胃窦部胃壁局限性增厚
图2 胃体小弯侧可见突向胃腔的软组织块影,局部胃壁僵硬
图3 胃窦部可见一腔内溃疡并出血,局部胃壁明显增厚。且与胰腺之间可见索条影
图4 胃窦部胃壁增厚,胃与周围脏器脂肪界面清楚
3 讨论
理想的胃癌诊断应做到准确分期。只有这样才能采取合理的治疗方案[1-2]。限局于黏膜或黏膜下的癌性病变,以胃镜和胃双重造影检查为主,因CT不能区分正常胃壁层次。此为CT的限度,故CT检查的作用不大。但对进展期胃癌,CT检查的价值是肯定的[3]。再者,因临床遇到的胃癌,早期的不多见。大部分为二期或以上的进展期胃癌。故对进展胃癌进行术前CT检查是很有必要的。
, 百拇医药
为使胃的CT检查取得理想的结果,检查前准备和体位很重要[4]。我们推荐低张服温水法。即检查前先静脉注射654-2 10mg,然后服温开水1000~1500ml,此时属患者打嗝3-5次,以排出胃内气体。这样可以使胃充分扩张和减少空气伪影的干扰,从而清楚显示胃内病变。高密度造影剂遮盖胃壁,不宜观察测量胃壁厚度。含植物油的阴性造影剂可在患者大量服用时出现恶心,不易使患者接受,而且效果不满意。胃的形态和位置的特殊性,使用常规方法对某些部位病变显示不够满意,一般我们根据胃镜和胃双重对比造影结果的病变解剖定位,采用适当的体位。胃窦区病变尤其是靠近幽门前区者,采用左前斜位扫描,胃底贲门区者采用中下腹背部垫高并右前斜而呈头低右前斜位扫描。均使病变得到了很好的显示。
本组胃镜和胃双重对比造影明确的20例进展期胃癌CT均可见异常。由此可见CT在显示此类性质的病变方面的价值。但作为胃癌的诊断,仅能作出诊断很不够,还必须作出分期诊断。只有这样才能为临床手术与非手术治疗方案的选择提供帮助。从本组14例手术病例(包括8例根治,6例姑息)的手术所见和CT资料回顾分析来看,说明CT在胃癌的分期诊断方面是有实用价值的。CT表现为:病变局部浆膜面完整,胃周围未见明确的肿大淋巴结是可以行根治手术的。浆膜面完整,胃周围淋巴结肿大,但不融合成团,也可以行根治手术。我们的根治手术病例中,3例均见胃小弯侧有肿大淋巴结,2例为转移性的,1例为反应性增生,作了比较彻底的根治术。而浆膜面不整,可见小结节影和条索影,胃周围淋巴结肿大并融合成团,则只能行姑息手术。而腹膜后大血管周围有融合成团的淋巴结不宜行手术治疗。另外还需指出的是,病变突破浆膜面最易受累的是胰腺。故胃胰脂肪界面的显示很重要。但胰腺周围脂肪的显示受患者的年龄、胖瘦、胃型的影响。有时胃胰之间的界面完整与否的判定很困难,还需综合考虑,包括病程、胃部的其它CT表现。
, 百拇医药
作者简介:张凤翔(1962—),男,内蒙古人,大专,副主任医师。
[参考文献]
[1] 陈九如,陈民强,黄军斌.胃癌手术切除可能性的放射学诊断[J].中华放射学杂志,1995,29:627.
[2] Kleinhaus U,Militianu D. Computed Tomography in the preoperative evaluation of gastric carcinoma[J]. Gastrointest Radiol,1988,13:97-101.
[3] 余俊,沈天真,陈星荣.胃癌的CT诊断及分期[J].中国医学计算机成像杂志,1995,2:111-115.
[4] John C,Scatarige,David J. CT of the stomach and duodenum[J]. Radiologic clinics of north America,1989,27:687-704.
收稿日期:2000-03-02, 百拇医药
单位:张凤翔 高娃 张浩亮 刘智君(伊克昭盟医院CT-MRI室,内蒙古 伊克昭盟 017000);田玉泉 赵智(内蒙达拉特旗医院CT室)
关键词:
中国医学影像技术000825[中图分类号] R445.3 R735.2 [文献标识码] A
[文章编号] 1003-3289(2000)08-0668-02
胃癌是消化道常见的恶性肿瘤。目前主要的诊断方法是胃镜和胃肠造影,但两种检查方法对胃癌的分期价值均有限。CT应用于胃癌的检查,国内不很普遍,有关文献不多。但对胃癌的分期诊断确有一定的价值。然而准确性不一。因此,有必要进行再观察。现把我们的结果总结如下:
, http://www.100md.com
1 资料和方法
1994年2月至1997年5月期间我们共行胃部CT检查25例。5例正常。20例胃癌(包括4例贲门癌)。其中14例经胃镜活检证实,6例有典型胃肠造影表现。20例中,男18例,女2例。平均年龄55.1岁。14例行手术治疗。手术时间在CT扫描后2~7天内完成。
CT检查方法:患者检查前禁食6小时,先静脉注射654-2 10mg,随属饮温水1000~1500ml,待患者感胃胀,然后令其打嗝3~5次,以尽可能排空胃内气体,即上床扫描。根据检查前胃镜和胃肠造影结果所提示的病变位置,采用适当体位,一般取仰卧位。扫描范围从膈顶到脐。层厚10mm,间距10mm,重点区加扫5mm。机器GESYTEC2000I,120kV,80mA,3.6s。全部病例行平扫加增强。
2 结果
20例均为进展期胃癌,其中以胃壁增厚表现者10例,局限性增厚7例,弥漫性3例(图1)。胃腔内肿块表现者共6例,包括丘状和分叶状肿块(图2)。可见癌性溃疡表现者4例,其中一例可见溃疡内积血(手术证实)(图3)。6例放弃手术者,4例有肝内多发转移,2例腹膜后腔主动脉周围可见淋巴结转移融合团块。14例手术病例,8例CT判定:胃与周围脏器界面清楚,胃周围未见肿大淋巴结(图4)。手术见:病变未突破浆膜层,3例可见胃小弯血管周围有肿大淋巴结,直径在1~2.2cm之间。其中一例为反应性增生,2例可见癌转移。全部8例行根治性切除。6例CT表现有胃周脂肪界面受累:主要有界面消失,可见条索影及小结节影(图3)。2例可见穿透性溃疡。5例见有淋巴结肿大。主要分布在胃小弯侧及胰头周围。手术见:病变已穿透浆膜,胃周均见淋巴结肿大。做了姑息切除。由此可见:CT在判定浆膜受累方面准确性很高,而在胃周淋巴结转移的判定方面存在假阴性。
, 百拇医药
图1 胃窦部胃壁局限性增厚
图2 胃体小弯侧可见突向胃腔的软组织块影,局部胃壁僵硬
图3 胃窦部可见一腔内溃疡并出血,局部胃壁明显增厚。且与胰腺之间可见索条影
图4 胃窦部胃壁增厚,胃与周围脏器脂肪界面清楚
3 讨论
理想的胃癌诊断应做到准确分期。只有这样才能采取合理的治疗方案[1-2]。限局于黏膜或黏膜下的癌性病变,以胃镜和胃双重造影检查为主,因CT不能区分正常胃壁层次。此为CT的限度,故CT检查的作用不大。但对进展期胃癌,CT检查的价值是肯定的[3]。再者,因临床遇到的胃癌,早期的不多见。大部分为二期或以上的进展期胃癌。故对进展胃癌进行术前CT检查是很有必要的。
, 百拇医药
为使胃的CT检查取得理想的结果,检查前准备和体位很重要[4]。我们推荐低张服温水法。即检查前先静脉注射654-2 10mg,然后服温开水1000~1500ml,此时属患者打嗝3-5次,以排出胃内气体。这样可以使胃充分扩张和减少空气伪影的干扰,从而清楚显示胃内病变。高密度造影剂遮盖胃壁,不宜观察测量胃壁厚度。含植物油的阴性造影剂可在患者大量服用时出现恶心,不易使患者接受,而且效果不满意。胃的形态和位置的特殊性,使用常规方法对某些部位病变显示不够满意,一般我们根据胃镜和胃双重对比造影结果的病变解剖定位,采用适当的体位。胃窦区病变尤其是靠近幽门前区者,采用左前斜位扫描,胃底贲门区者采用中下腹背部垫高并右前斜而呈头低右前斜位扫描。均使病变得到了很好的显示。
本组胃镜和胃双重对比造影明确的20例进展期胃癌CT均可见异常。由此可见CT在显示此类性质的病变方面的价值。但作为胃癌的诊断,仅能作出诊断很不够,还必须作出分期诊断。只有这样才能为临床手术与非手术治疗方案的选择提供帮助。从本组14例手术病例(包括8例根治,6例姑息)的手术所见和CT资料回顾分析来看,说明CT在胃癌的分期诊断方面是有实用价值的。CT表现为:病变局部浆膜面完整,胃周围未见明确的肿大淋巴结是可以行根治手术的。浆膜面完整,胃周围淋巴结肿大,但不融合成团,也可以行根治手术。我们的根治手术病例中,3例均见胃小弯侧有肿大淋巴结,2例为转移性的,1例为反应性增生,作了比较彻底的根治术。而浆膜面不整,可见小结节影和条索影,胃周围淋巴结肿大并融合成团,则只能行姑息手术。而腹膜后大血管周围有融合成团的淋巴结不宜行手术治疗。另外还需指出的是,病变突破浆膜面最易受累的是胰腺。故胃胰脂肪界面的显示很重要。但胰腺周围脂肪的显示受患者的年龄、胖瘦、胃型的影响。有时胃胰之间的界面完整与否的判定很困难,还需综合考虑,包括病程、胃部的其它CT表现。
, 百拇医药
作者简介:张凤翔(1962—),男,内蒙古人,大专,副主任医师。
[参考文献]
[1] 陈九如,陈民强,黄军斌.胃癌手术切除可能性的放射学诊断[J].中华放射学杂志,1995,29:627.
[2] Kleinhaus U,Militianu D. Computed Tomography in the preoperative evaluation of gastric carcinoma[J]. Gastrointest Radiol,1988,13:97-101.
[3] 余俊,沈天真,陈星荣.胃癌的CT诊断及分期[J].中国医学计算机成像杂志,1995,2:111-115.
[4] John C,Scatarige,David J. CT of the stomach and duodenum[J]. Radiologic clinics of north America,1989,27:687-704.
收稿日期:2000-03-02, 百拇医药