正常胸腺的螺旋CT表现
作者:李毅红 魏经国 王耀程 王新疆 黄进 白建军
单位:第四军医大学唐都医院放射科,陕西 西安 710038
关键词:胸腺;CT
中国医学影像技术000820[摘 要] 目的 总结正常胸腺的螺旋CT表现。方法 对316例,1~82岁的病人进行胸部螺旋CT扫描,依年龄分为7组,测量每叶胸腺的厚度、宽度、奇静脉弓层面两叶胸腺面积和、胸腺平均CT值,6组数值进行统计学处理,并记录胸腺上下界及两外缘位置。结果 胸腺的厚度,59岁以下均小于21mm,60岁以上部分胸腺厚度可达30 mm,胸腺宽度随年龄的增长而增大,胸腺的密度随年龄的增长而减低,最终与脂肪密度相似,胸腺的面积和仅随年龄而变化,但变异系数较大。胸腺的上界不超过胸骨柄上缘,下界不超过左心室上缘,两外缘不超过上腔静脉、主动脉弓外缘,胸腺左叶通常大于右叶。结论 认识正常胸腺的螺旋CT表现对异常胸腺的诊断有重要价值。
, http://www.100md.com
[中图分类号] R445.3 R322.5+3 [文献标识码] A
[文章编号] 1003-3289(2000)08-0656-04
Appearance of the Normal Thymus on Spiral CT
LI Yi-hong, WEI Jing-guo,WANG Yao-cheng, et al
(Radiology Department of Tangdu Hospital,Fourth Military Medical University,Xi'an 710038,China)
[Abstract] Purpose To summarize the appearance of the normal thymus on spiral CT. Methods Spiral CT scan of thymus was performed in 316 normal patients,aged from 1 to 82 years old,which was classified into seven groups. The thickness\,width of both lobes,CT attenuation value and the bilobe area of thymus in level of azygos vein were measured. The edge and location of the thymus were recorded,the result were analyzed statistically. Results The thickness was less than 21 mm under age 59,some cases were up to 30mm over 60 years of age. The width increase with the age,the density decrease with the age,finally approaching that of fat,the bilobe area of the thymus changed with the age,but a wide variation was considorable. The location of the thymus is between the manubrium of sternum and upper edge of left ventricule,the bilateral edges of thymus was smaller than the edge of superior cava vena or aortic arch. The left leaf of thymus was greater than right in most cases. And the diagnostic criterion of the abnormal thymus was discussed.Conclusion Recognition of variations in size and shape of the normal thymus on spiral CT scan is of importance value at the diagnosis of the abnormal thymus.
, 百拇医药
[Key words] Thymus; CT
作者对国人不同年龄组正常胸腺的螺旋CT表现进行了分析总结。
1 材料与方法
自1998年5月至1999年12月在我院进行螺旋CT检查的14400例病人中,随机选择316例年龄从1岁至82岁做胸部CT检查的病人作为本组研究资料,所有病例均无与胸腺有关的疾病,如重症肌无力、淋巴瘤、甲状腺毒症、再生障碍性贫血、溃疡性结肠炎、营养不良等。全部病例依年龄分为7组:1~9岁为第1组,42例,男25例,女17例;10~19岁为第2组,57例,男33例,女24例;20~29岁为第3组,49例,男28例,女21例;30~39岁为第4组,49例,男31,女18例;40~49岁为第5组,58例,男41,女17;50~59岁为第6组,54例,男35,女19例;大于60岁为第7组,56例,男33例,女23例。
, http://www.100md.com
采用Philips Easyvision Release 4.2螺旋CT机,扫描范围自胸腔入口至隔上。扫描参数为175mA,120 kV,1s,扫描野为350mm,在吸气后憋气状态下,层厚5~10mm,间隔5~10mm,pith为1,进行螺旋扫描,全部病例均未行静脉增强检查。由专人在监视器上使用功能键直接测量每叶胸腺宽度、厚度及平均CT值、胸壁胸大肌平均CT值、奇静脉弓层面两叶胸腺面积和,记录胸腺两侧边缘位置、形态(内凹、平直、弧形凸出)及其上、下缘位置,其内密度分布状态(分为片絮状、点条状、均匀)。
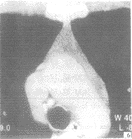
测量方法:图像所用窗位-50Hu左右,窗宽400Hu,测量宽度是指横断扫描每叶最大长径,厚度是指垂直于每叶长径的最大横径(如图1),胸腺CT值取其静脉弓层面,用游标围绕两叶胸腺,测出胸腺面积和及平均CT值,同时测量该层面胸大肌CT值,六组数值经统计学处理,取平均值及标准差。
, 百拇医药
图1 不同形态胸腺宽度与厚度测量方法
A.梯形;B.箭头形(当胸腺为A、B型时,取胸腺后缘向前最突出点与胸骨间垂线,作为两叶分界)。 W为宽度,即每叶胸腺最
大径线。T为厚度,即垂直于宽度的最大径线
2 结果
显示率:胸腺的显示率在螺旋CT上随年龄增长而变化,本组1~9岁(100%);10~19岁(100%);20~29岁(100%);30~39岁(80%);40~49岁(78%);50~59岁(60%);60岁以上(59%)(如图2)。
图2 不同年龄组正常胸腺显示率
位置:316例胸腺均位于前上纵隔胸骨后方,其上界95%在左头臂静脉水平,5%在胸骨柄上缘水平;下界,50%在左下叶背段支气管开口水平,40%在左主支气管水平,10%在右主支气管水平,左叶往往较右叶位置低;其前缘位置可在骨胸柄左侧或右侧;后缘从上至下紧临气管、左侧头臂静脉、主动脉弓及其分支、上腔静脉及肺动脉干。胸腺右叶外缘,88%位于上腔静脉外缘1/2处,12%位于其中外1/3交界处,8%位于上腔静脉最外缘。胸腺左叶外缘,100%不超过纵隔血管外缘,其84%位于主动脉弓外缘1/2处,16%位于主动脉弓外缘中外1/3交界处。80%于其静脉弓层面显示胸腺两叶最大面积,余20%在向下至气管隆突之间层面显示最大面积。
, 百拇医药
形态:胸腺分左右两叶,多不对称,整个胸腺呈上窄下宽的三角形。96%患者胸腺CT扫描很少见到两叶之间的结缔组织分隔,胸腺形态随年龄变化及其周围纵隔和肺结构大小、形态改变而改变,由方形或梯形(图3)逐渐呈新月形、烧杯形、箭头形(图4),其前缘可宽可窄,本组病例前缘最宽达5cm,最小呈线样。两外缘形态88%为内凹或平直,12%一侧外缘或两侧外缘呈弧形外凸,后缘不同程度伸沿到纵隔大血管间隙内呈波浪状。两叶胸腺长轴夹角78%呈锐角,22%呈钝角。
Table 1 Width of the Thymus Seen
on Transverse CT Scans (mm) Age Group
(yrs)
Right Lobe
Left Lobe
, http://www.100md.com
Range
s
Range
s
1~9
6~20
10.97
±5.04
7~21
12.36
±5.83
, 百拇医药
10~19
6~16
10.82
±4.83
7~18
12.32
±4.51
20~29
5~14
10.20
±4.47
5~17
11.37
, http://www.100md.com
±4.72
30~39
6~13
9.72
±5.16
6~21
10.51
±5.82
40~49
6~20
11.46
±5.68
6~21
, 百拇医药
12.24
±5.88
50~59
9~18
11.21
±5.88
9~20
12.72
±5.60
>60
7~25
13.22
±5.03
, 百拇医药
11~25
13.92
±6.08
P>0.05Table 2 Thickness of the Thymus Seen
on Transverse CT Scans (mm) Age Group
(yrs)
Right Lobe
Left Lobe
Range
s
, 百拇医药
Range
s
1~9
13~29
22.10
±6.82
17~39
28.23
±8.65
10~19
20~43
25.18
, http://www.100md.com
±6.31
21~61
31.68
±9.26
20~29
19~38
27.24
±5.31
16~49
31.06
±9.88
30~39
10~50
, 百拇医药
27.44
±9.78
11~90
33.05
±9.78
40~49
11~53
23.95
±9.73
13~57
34.19
±9.65
50~59
, 百拇医药
10~52
24.63
±11.42
12~70
37.69
±9.90
>60
12~53
28.76
±11.22
16~68
41.21
±9.98
, 百拇医药
P>0.05Table 3 Bible Area (mm2) and CT Values (Hu) of
the Normal Thymus In the Level of Azygos Vein Age
Group
(yrs)
Area
CT Values
Range
s
Range
, 百拇医药
s
1~9
215~995
546.43
±146.17
19~64
47.91
±9.62
10~19
295~1010
455.40
±125.42
, 百拇医药
-49~62
23.90
±9.69
20~29
275~1080
441.28
±105.21
-50~57
-17.08
±9.89
30~39
201~950
, 百拇医药
411.37
±104.78
-128~39
-54.19
±9.46
40~49
224~114
448.51
±118.75
-125~-10
-79.28
, 百拇医药 ±9.25
50~59
198~1345
589.27
±135.10
-128~-43
-91.93
±9.72
>60
61~1785
525.44
±121.64
, 百拇医药
-137~-70
-108.58
±9.94
P>0.05 P<0.05
大小:如表1、2所示:随着年龄的增长,胸腺的宽、厚度、面积和随年龄增长而变化,各年龄组间统计学上无明显差别(P>0.05),除极少数例外,胸腺左叶通常大于右叶(图4)。随年龄增长,胸腺厚度范围5~30mm,平均值为9.72~13.92mm。胸腺宽度随年龄增长而呈增大趋势,以左叶更明显,最宽的1例,左叶宽68mm。其静脉弓层面测量两叶胸腺面积和不与年龄增长的成比例增大(表3),最大1例,胸腺面积为1785mm2。本组病例胸腺上下径40~90mm左右。
密度:胸腺各年龄CT值见表3,随着患者年龄的增长,胸腺的CT值随年龄增加而降低,各年龄组间统计学上差异显著(P<0.05),范围-137~64Hu,平均值为-108.58~47.9Hu。胸大肌平均CT值43Hu。19岁以下患者,胸腺肉眼与胸大肌呈等密度,其CT值与胸壁肌肉相类似或更高;20~39岁胸腺78%密度不均呈片絮状、筛网状、海绵状(图5、6);22%呈均匀脂肪密度。40~49岁,66%胸腺呈点条状(图7),12%呈絮状,22%呈均匀脂肪密度。59岁以后,64%呈点、条状,36%呈均匀脂肪密度(图8)。
, http://www.100md.com
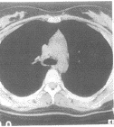
图3 男,5岁。胸腺似梯形,两外缘平直
图4 女,16岁。两叶胸腺夹角成锐角,成箭头状,左外缘略弧形外凸
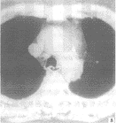
图5 男,25岁。胸腺呈片絮状,后缘凸凹不平,向血管间隙内延伸
图6 男,37岁。胸腺呈筛网状,左侧缘内凹
图7 女,44岁。胸腺呈点条状
, http://www.100md.com
图8 女,63岁。胸腺呈较均匀脂肪密度,左侧缘弧表外凸
3 讨论
胸腺起源于两侧第三对咽囊远端的腹侧部分,在胚胎发育过程中它向下生长,随心包下降入胸腔而位于前纵隔的上部,少数人原有的颈部胸腺原基不完全消失,发展成为颈部胸腺,有小而尖细的胸腺向上伸展到甲状软骨上,附着于甲状腺上[1],也有报道胸腺位于后纵隔[3],这两种情况,本组病例均未见到。
本文胸腺显示率较Baron报道[4]增高,是因为病理已证实,正常人在青春期后胸腺开始萎缩但不完全消失,在心包前方的脂肪组织学上总可以找到残留的胸腺组织小岛,主要由淋巴细胞时呈结节状,主要由上皮细胞组成时呈小梁状或菊形团样[5],故我们把胸腺呈点状、片状、条状均计算在内。
本文精确测定正常胸腺的上下缘、外缘位置,并总结其规律。其上下缘位置与李欣[2]报道相类似,其外缘位置规律未见文献报道。胸腺的位置上界不超过胸骨柄上缘,下缘不超过左心室上缘或主动脉根部层面,外缘超过上腔静脉、主动脉弓外缘,其前缘位置正常可随周围结构改变而向左或向右移位。
, http://www.100md.com
胸腺的形态各年龄组变异较大,但9岁以下大多数呈方形、梯形,10岁以后大多数呈箭头形,部分呈新月形、烧杯形。另外还发现<39岁胸腺的长轴夹角多成锐角,>40岁多成钝角。
解剖学亦已证实,胸腺在一生中体积变化最大,前上纵隔间隙大小也随年龄变化而变化[6],由本组病例,我们亦观察到,胸腺大小随病人的年龄、胖瘦而变化,较小年龄、较胖的人,胸腺变化较大,其中1例68岁,女性病人,胸腺厚度达30mm,宽度达68mm;瘦人胸腺可较小,其中1例38岁,女性,仅0.5cm×0.3cm大小,且发生脂肪变。胸腺的厚度本组也随年龄的增长而变化,总体来说,有从大到小再到大的规律,但统计学上无明显差别,其变化最大是在20~49岁之间,>60岁胸腺有增大趋势,这与Baron[4]报道的胸腺厚度随年龄的增长而逐渐减小不同,但与Geer报道[7]相类似,有一点值得提出的是,>60岁组发现有部分较肥胖人胸腺厚度可达30mm,体积也较大,<59岁的正常人,胸腺厚度均<21mm。>60岁胸腺厚度明显增加,可能与肥胖有关。胸腺的宽度变化与Geer报道[7]相类似。
, 百拇医药
胸腺在19岁以前主要呈软组织密度,19岁以后,胸腺逐渐退化,由脂肪置换,且随年龄增加,脂肪置换也增多,虽仍可保持其原有形态,但分叶变得不明显,仅在脂肪背景上见到散在的残余胸腺组织岛,呈片絮状或弧状、点状、条状密度增高影(相对于脂肪背景)。由表3看出,胸腺密度的变化主要发生在19~29岁之间,大于39岁胸腺的平均CT值主要为脂肪密度,若显示为软组织密度影应考虑为异常。
本文认为,29岁以前,观察胸腺是否正常,应主要依赖于其厚度、宽度,上下径,外缘形态及其位置;30岁以后,胸腺异常主要依赖于胸腺密度是否局限或均匀升高,其边缘是否显示及其整体大小。较胖老年人,胸腺厚度可达30mm,不应认为是异常表现。值得一提的是,临床上有部分胸腺增生主要表现在组织细胞学改变,CT可无异常,因此密切结合胸腺外形、总体大小、宽度、厚度、密度和临床症状、实验室检查是正确诊断胸腺正常与否的综合指标。
作者简介:李毅红(1967—),男,河南人,学士,主治医师。
, http://www.100md.com
[参考文献]
[1] 鲍润贤.胸腺的CT诊断[J]. 国外医学临床放射分册,1985,1:4-7.
[2] 李欣,李朋林,杨志勇.儿童正常胸腺CT测量[J]. 临床放射学杂志,1995,14(1):50-52.
[3] Saade M,Whitten DM,Necheles TF,et al. Posterior mediastinal accessony thymus[J]. J Pediatr,1976,88:71-72.
[4] Baron RL,Lee JKT,Sagel SS,et al. computed tomography of the normal thymus[J]. Radiology,1982,142:121.
[5] 刘彤华.诊断病理学[M].北京:人民卫生出版社,1995.216.
[6] 谬亚平.儿童解剖学[M].上海:上海科学技术出版社,1987.255.
[7] Geer GD,Webb WR,Gamsu G,et al. Normal thymus:assessment with MR and CT[J]. Radiology,1986,158:313.
收稿日期:2000-01-17, 百拇医药
单位:第四军医大学唐都医院放射科,陕西 西安 710038
关键词:胸腺;CT
中国医学影像技术000820[摘 要] 目的 总结正常胸腺的螺旋CT表现。方法 对316例,1~82岁的病人进行胸部螺旋CT扫描,依年龄分为7组,测量每叶胸腺的厚度、宽度、奇静脉弓层面两叶胸腺面积和、胸腺平均CT值,6组数值进行统计学处理,并记录胸腺上下界及两外缘位置。结果 胸腺的厚度,59岁以下均小于21mm,60岁以上部分胸腺厚度可达30 mm,胸腺宽度随年龄的增长而增大,胸腺的密度随年龄的增长而减低,最终与脂肪密度相似,胸腺的面积和仅随年龄而变化,但变异系数较大。胸腺的上界不超过胸骨柄上缘,下界不超过左心室上缘,两外缘不超过上腔静脉、主动脉弓外缘,胸腺左叶通常大于右叶。结论 认识正常胸腺的螺旋CT表现对异常胸腺的诊断有重要价值。
, http://www.100md.com
[中图分类号] R445.3 R322.5+3 [文献标识码] A
[文章编号] 1003-3289(2000)08-0656-04
Appearance of the Normal Thymus on Spiral CT
LI Yi-hong, WEI Jing-guo,WANG Yao-cheng, et al
(Radiology Department of Tangdu Hospital,Fourth Military Medical University,Xi'an 710038,China)
[Abstract] Purpose To summarize the appearance of the normal thymus on spiral CT. Methods Spiral CT scan of thymus was performed in 316 normal patients,aged from 1 to 82 years old,which was classified into seven groups. The thickness\,width of both lobes,CT attenuation value and the bilobe area of thymus in level of azygos vein were measured. The edge and location of the thymus were recorded,the result were analyzed statistically. Results The thickness was less than 21 mm under age 59,some cases were up to 30mm over 60 years of age. The width increase with the age,the density decrease with the age,finally approaching that of fat,the bilobe area of the thymus changed with the age,but a wide variation was considorable. The location of the thymus is between the manubrium of sternum and upper edge of left ventricule,the bilateral edges of thymus was smaller than the edge of superior cava vena or aortic arch. The left leaf of thymus was greater than right in most cases. And the diagnostic criterion of the abnormal thymus was discussed.Conclusion Recognition of variations in size and shape of the normal thymus on spiral CT scan is of importance value at the diagnosis of the abnormal thymus.
, 百拇医药
[Key words] Thymus; CT
作者对国人不同年龄组正常胸腺的螺旋CT表现进行了分析总结。
1 材料与方法
自1998年5月至1999年12月在我院进行螺旋CT检查的14400例病人中,随机选择316例年龄从1岁至82岁做胸部CT检查的病人作为本组研究资料,所有病例均无与胸腺有关的疾病,如重症肌无力、淋巴瘤、甲状腺毒症、再生障碍性贫血、溃疡性结肠炎、营养不良等。全部病例依年龄分为7组:1~9岁为第1组,42例,男25例,女17例;10~19岁为第2组,57例,男33例,女24例;20~29岁为第3组,49例,男28例,女21例;30~39岁为第4组,49例,男31,女18例;40~49岁为第5组,58例,男41,女17;50~59岁为第6组,54例,男35,女19例;大于60岁为第7组,56例,男33例,女23例。
, http://www.100md.com
采用Philips Easyvision Release 4.2螺旋CT机,扫描范围自胸腔入口至隔上。扫描参数为175mA,120 kV,1s,扫描野为350mm,在吸气后憋气状态下,层厚5~10mm,间隔5~10mm,pith为1,进行螺旋扫描,全部病例均未行静脉增强检查。由专人在监视器上使用功能键直接测量每叶胸腺宽度、厚度及平均CT值、胸壁胸大肌平均CT值、奇静脉弓层面两叶胸腺面积和,记录胸腺两侧边缘位置、形态(内凹、平直、弧形凸出)及其上、下缘位置,其内密度分布状态(分为片絮状、点条状、均匀)。
测量方法:图像所用窗位-50Hu左右,窗宽400Hu,测量宽度是指横断扫描每叶最大长径,厚度是指垂直于每叶长径的最大横径(如图1),胸腺CT值取其静脉弓层面,用游标围绕两叶胸腺,测出胸腺面积和及平均CT值,同时测量该层面胸大肌CT值,六组数值经统计学处理,取平均值及标准差。
, 百拇医药
图1 不同形态胸腺宽度与厚度测量方法
A.梯形;B.箭头形(当胸腺为A、B型时,取胸腺后缘向前最突出点与胸骨间垂线,作为两叶分界)。 W为宽度,即每叶胸腺最
大径线。T为厚度,即垂直于宽度的最大径线
2 结果
显示率:胸腺的显示率在螺旋CT上随年龄增长而变化,本组1~9岁(100%);10~19岁(100%);20~29岁(100%);30~39岁(80%);40~49岁(78%);50~59岁(60%);60岁以上(59%)(如图2)。
图2 不同年龄组正常胸腺显示率
位置:316例胸腺均位于前上纵隔胸骨后方,其上界95%在左头臂静脉水平,5%在胸骨柄上缘水平;下界,50%在左下叶背段支气管开口水平,40%在左主支气管水平,10%在右主支气管水平,左叶往往较右叶位置低;其前缘位置可在骨胸柄左侧或右侧;后缘从上至下紧临气管、左侧头臂静脉、主动脉弓及其分支、上腔静脉及肺动脉干。胸腺右叶外缘,88%位于上腔静脉外缘1/2处,12%位于其中外1/3交界处,8%位于上腔静脉最外缘。胸腺左叶外缘,100%不超过纵隔血管外缘,其84%位于主动脉弓外缘1/2处,16%位于主动脉弓外缘中外1/3交界处。80%于其静脉弓层面显示胸腺两叶最大面积,余20%在向下至气管隆突之间层面显示最大面积。
, 百拇医药
形态:胸腺分左右两叶,多不对称,整个胸腺呈上窄下宽的三角形。96%患者胸腺CT扫描很少见到两叶之间的结缔组织分隔,胸腺形态随年龄变化及其周围纵隔和肺结构大小、形态改变而改变,由方形或梯形(图3)逐渐呈新月形、烧杯形、箭头形(图4),其前缘可宽可窄,本组病例前缘最宽达5cm,最小呈线样。两外缘形态88%为内凹或平直,12%一侧外缘或两侧外缘呈弧形外凸,后缘不同程度伸沿到纵隔大血管间隙内呈波浪状。两叶胸腺长轴夹角78%呈锐角,22%呈钝角。
Table 1 Width of the Thymus Seen
on Transverse CT Scans (mm) Age Group
(yrs)
Right Lobe
Left Lobe
, http://www.100md.com
Range
s
Range
s
1~9
6~20
10.97
±5.04
7~21
12.36
±5.83
, 百拇医药
10~19
6~16
10.82
±4.83
7~18
12.32
±4.51
20~29
5~14
10.20
±4.47
5~17
11.37
, http://www.100md.com
±4.72
30~39
6~13
9.72
±5.16
6~21
10.51
±5.82
40~49
6~20
11.46
±5.68
6~21
, 百拇医药
12.24
±5.88
50~59
9~18
11.21
±5.88
9~20
12.72
±5.60
>60
7~25
13.22
±5.03
, 百拇医药
11~25
13.92
±6.08
P>0.05Table 2 Thickness of the Thymus Seen
on Transverse CT Scans (mm) Age Group
(yrs)
Right Lobe
Left Lobe
Range
s
, 百拇医药
Range
s
1~9
13~29
22.10
±6.82
17~39
28.23
±8.65
10~19
20~43
25.18
, http://www.100md.com
±6.31
21~61
31.68
±9.26
20~29
19~38
27.24
±5.31
16~49
31.06
±9.88
30~39
10~50
, 百拇医药
27.44
±9.78
11~90
33.05
±9.78
40~49
11~53
23.95
±9.73
13~57
34.19
±9.65
50~59
, 百拇医药
10~52
24.63
±11.42
12~70
37.69
±9.90
>60
12~53
28.76
±11.22
16~68
41.21
±9.98
, 百拇医药
P>0.05Table 3 Bible Area (mm2) and CT Values (Hu) of
the Normal Thymus In the Level of Azygos Vein Age
Group
(yrs)
Area
CT Values
Range
s
Range
, 百拇医药
s
1~9
215~995
546.43
±146.17
19~64
47.91
±9.62
10~19
295~1010
455.40
±125.42
, 百拇医药
-49~62
23.90
±9.69
20~29
275~1080
441.28
±105.21
-50~57
-17.08
±9.89
30~39
201~950
, 百拇医药
411.37
±104.78
-128~39
-54.19
±9.46
40~49
224~114
448.51
±118.75
-125~-10
-79.28
, 百拇医药 ±9.25
50~59
198~1345
589.27
±135.10
-128~-43
-91.93
±9.72
>60
61~1785
525.44
±121.64
, 百拇医药
-137~-70
-108.58
±9.94
P>0.05 P<0.05
大小:如表1、2所示:随着年龄的增长,胸腺的宽、厚度、面积和随年龄增长而变化,各年龄组间统计学上无明显差别(P>0.05),除极少数例外,胸腺左叶通常大于右叶(图4)。随年龄增长,胸腺厚度范围5~30mm,平均值为9.72~13.92mm。胸腺宽度随年龄增长而呈增大趋势,以左叶更明显,最宽的1例,左叶宽68mm。其静脉弓层面测量两叶胸腺面积和不与年龄增长的成比例增大(表3),最大1例,胸腺面积为1785mm2。本组病例胸腺上下径40~90mm左右。
密度:胸腺各年龄CT值见表3,随着患者年龄的增长,胸腺的CT值随年龄增加而降低,各年龄组间统计学上差异显著(P<0.05),范围-137~64Hu,平均值为-108.58~47.9Hu。胸大肌平均CT值43Hu。19岁以下患者,胸腺肉眼与胸大肌呈等密度,其CT值与胸壁肌肉相类似或更高;20~39岁胸腺78%密度不均呈片絮状、筛网状、海绵状(图5、6);22%呈均匀脂肪密度。40~49岁,66%胸腺呈点条状(图7),12%呈絮状,22%呈均匀脂肪密度。59岁以后,64%呈点、条状,36%呈均匀脂肪密度(图8)。
, http://www.100md.com
图3 男,5岁。胸腺似梯形,两外缘平直
图4 女,16岁。两叶胸腺夹角成锐角,成箭头状,左外缘略弧形外凸
图5 男,25岁。胸腺呈片絮状,后缘凸凹不平,向血管间隙内延伸
图6 男,37岁。胸腺呈筛网状,左侧缘内凹
图7 女,44岁。胸腺呈点条状
, http://www.100md.com
图8 女,63岁。胸腺呈较均匀脂肪密度,左侧缘弧表外凸
3 讨论
胸腺起源于两侧第三对咽囊远端的腹侧部分,在胚胎发育过程中它向下生长,随心包下降入胸腔而位于前纵隔的上部,少数人原有的颈部胸腺原基不完全消失,发展成为颈部胸腺,有小而尖细的胸腺向上伸展到甲状软骨上,附着于甲状腺上[1],也有报道胸腺位于后纵隔[3],这两种情况,本组病例均未见到。
本文胸腺显示率较Baron报道[4]增高,是因为病理已证实,正常人在青春期后胸腺开始萎缩但不完全消失,在心包前方的脂肪组织学上总可以找到残留的胸腺组织小岛,主要由淋巴细胞时呈结节状,主要由上皮细胞组成时呈小梁状或菊形团样[5],故我们把胸腺呈点状、片状、条状均计算在内。
本文精确测定正常胸腺的上下缘、外缘位置,并总结其规律。其上下缘位置与李欣[2]报道相类似,其外缘位置规律未见文献报道。胸腺的位置上界不超过胸骨柄上缘,下缘不超过左心室上缘或主动脉根部层面,外缘超过上腔静脉、主动脉弓外缘,其前缘位置正常可随周围结构改变而向左或向右移位。
, http://www.100md.com
胸腺的形态各年龄组变异较大,但9岁以下大多数呈方形、梯形,10岁以后大多数呈箭头形,部分呈新月形、烧杯形。另外还发现<39岁胸腺的长轴夹角多成锐角,>40岁多成钝角。
解剖学亦已证实,胸腺在一生中体积变化最大,前上纵隔间隙大小也随年龄变化而变化[6],由本组病例,我们亦观察到,胸腺大小随病人的年龄、胖瘦而变化,较小年龄、较胖的人,胸腺变化较大,其中1例68岁,女性病人,胸腺厚度达30mm,宽度达68mm;瘦人胸腺可较小,其中1例38岁,女性,仅0.5cm×0.3cm大小,且发生脂肪变。胸腺的厚度本组也随年龄的增长而变化,总体来说,有从大到小再到大的规律,但统计学上无明显差别,其变化最大是在20~49岁之间,>60岁胸腺有增大趋势,这与Baron[4]报道的胸腺厚度随年龄的增长而逐渐减小不同,但与Geer报道[7]相类似,有一点值得提出的是,>60岁组发现有部分较肥胖人胸腺厚度可达30mm,体积也较大,<59岁的正常人,胸腺厚度均<21mm。>60岁胸腺厚度明显增加,可能与肥胖有关。胸腺的宽度变化与Geer报道[7]相类似。
, 百拇医药
胸腺在19岁以前主要呈软组织密度,19岁以后,胸腺逐渐退化,由脂肪置换,且随年龄增加,脂肪置换也增多,虽仍可保持其原有形态,但分叶变得不明显,仅在脂肪背景上见到散在的残余胸腺组织岛,呈片絮状或弧状、点状、条状密度增高影(相对于脂肪背景)。由表3看出,胸腺密度的变化主要发生在19~29岁之间,大于39岁胸腺的平均CT值主要为脂肪密度,若显示为软组织密度影应考虑为异常。
本文认为,29岁以前,观察胸腺是否正常,应主要依赖于其厚度、宽度,上下径,外缘形态及其位置;30岁以后,胸腺异常主要依赖于胸腺密度是否局限或均匀升高,其边缘是否显示及其整体大小。较胖老年人,胸腺厚度可达30mm,不应认为是异常表现。值得一提的是,临床上有部分胸腺增生主要表现在组织细胞学改变,CT可无异常,因此密切结合胸腺外形、总体大小、宽度、厚度、密度和临床症状、实验室检查是正确诊断胸腺正常与否的综合指标。
作者简介:李毅红(1967—),男,河南人,学士,主治医师。
, http://www.100md.com
[参考文献]
[1] 鲍润贤.胸腺的CT诊断[J]. 国外医学临床放射分册,1985,1:4-7.
[2] 李欣,李朋林,杨志勇.儿童正常胸腺CT测量[J]. 临床放射学杂志,1995,14(1):50-52.
[3] Saade M,Whitten DM,Necheles TF,et al. Posterior mediastinal accessony thymus[J]. J Pediatr,1976,88:71-72.
[4] Baron RL,Lee JKT,Sagel SS,et al. computed tomography of the normal thymus[J]. Radiology,1982,142:121.
[5] 刘彤华.诊断病理学[M].北京:人民卫生出版社,1995.216.
[6] 谬亚平.儿童解剖学[M].上海:上海科学技术出版社,1987.255.
[7] Geer GD,Webb WR,Gamsu G,et al. Normal thymus:assessment with MR and CT[J]. Radiology,1986,158:313.
收稿日期:2000-01-17, 百拇医药