颅后窝肿瘤CT漏诊原因分析(附10例报告)
作者:蒋定尧 龚小娅
单位:浙江大学医学院附属第二医院放射科,浙江 杭州 310009
关键词:颅后窝;肿瘤;体层摄影术,X线计算机
中国医学影像技术000809[摘 要] 目的 提高颅后窝肿瘤CT诊断准确性。方法 收集10例CT漏诊,本院手术病理证实的颅后窝肿瘤,就其漏诊原因进行分析。结果 10例CT漏诊的颅后窝肿瘤中,小脑蚓部实质性肿瘤7例,桥脑小脑角听神经瘤3例。结论 重视脑室的形态变化,采取薄层和增强扫描,可减少颅后窝肿瘤的漏诊。
[中图分类号] R445.4 R739.41 [文献标识码] A
[文章编号] 1003-3289(2000)08-0632-03
Analysis of the Causes of CT Missed-Diagnosis of Posterior Fossa Tumors(A Report of 10 Cases)
, 百拇医药
JIANG Ding-yao, GONG Xiao-ya
(Department of Radiology,the Second Affiliated Hospital of Medical College of Zhejiang University,Hangzhou 310009,China)
[Abstract] Objective To improve accuracy of CT diagnosis of posterior fossa tumors. Methods 10 cases of CT missed-diagnosis of posterior fossa tumors surgically and pathologically proved were analyzed. Results 7 cases of solid tumors in 10 cases were located in the cerebellar vermis. 3 cases of acousitc neuromas were located in the cerebellopontine angle. Conclusion The key to reduce the CT missed-diagnosis of posterior fossa tumors was to be attention to the change of venturiculus shape and to use thin-slice and contrast-enhanced CT scans.
, 百拇医药
[Key words] Posterior fossa; Tumor; Tomography,X-ray computed
颅后窝病变由于CT扫描时邻近致密骨所产生伪影的干扰,常较难显示。如诊断经验不足,可能会导致漏诊,延误病情。本文收集10例CT漏诊的颅后窝肿瘤,就其漏诊原因进行分析。
1 材料和方法
10例中男6例,女4例。年龄12~63岁,平均42岁。漏诊病例的CT片都系外院CT扫描,扫描层厚、间隔为10mm,无1例增强扫描。因病情加重或病因不明来本院检查,4例经CT薄层平扫加增强显示,6例经MR平扫加增强显示。所有病例均在本院手术病理证实。
2 结果
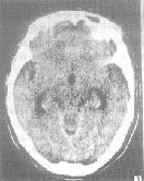
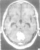
2.1 小脑蚓部实质型血管母细胞瘤4例 当地CT平扫肿瘤接近等密度,加上伪影干扰肿瘤本身显示不清。但有不同程度的脑室受压、移位,第三脑室扩大(图1)。其中1例漏诊达21个月之久,最后一次CT扫描出现明显第三脑室和侧脑室扩大,误诊为脑萎缩。本院CT和MR扫描均清楚显示肿瘤(图2),并诊断为血管母细胞瘤。虽然CT平扫肿瘤接近等密度,但注射造影剂后肿瘤明显增强。在MR扫描时肿瘤T1W呈稍低信号,T2W呈稍高信号,并且明显增强。
, 百拇医药
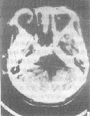
2.2 桥脑小脑角听神经瘤3例 当地CT上颅后窝伪影较多(图3),其中2例第四脑室结构不清,1例第四脑室形态尚可,但一侧桥脑小脑角隐约可见占位影,并有第三脑室和侧脑室明显扩大。本院MR显示3例均为较大的听神经瘤,T1W呈稍低信号,T2W呈高信,有明显不均匀增强。
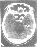
2.3 小脑蚓部I级星形细胞瘤2例 1例由于机器的同心圆伪影重叠,使颅后窝结构显示不清,但第四脑室似有受压改变(图4)。另1例层厚、间隔为10mm平扫时病灶难以发现,在本院改为层厚、间隔5mm,CT平扫时病灶显示。在MR上,小脑蚓部病灶T1W呈稍低信号,T2W呈高信号,约2cm×3cm大小。
2.4 小脑蚓部髓母细胞瘤1例 患者年龄仅12岁,头痛、呕吐症状较明显。当地CT片质量较差,但隐约可见小脑蚓部有一个稍高密度的肿块影(图5)。本院MR显示肿块约3cm×4cm大小,T1W稍低信号,T2W呈稍高信号,明显增强(图6)。
, 百拇医药
3 讨论
3.1 颅后窝伪影干扰 CT扫描的不足之处是颅后窝伪影较多,尤其是低档CT和二手CT更为明显,本组10例均有不同程度的伪影干扰。采用薄层扫描可以减少伪影,并提高肿瘤的显示率。本组4例经薄层CT扫描都清楚显示颅后窝结构,提示颅后窝占位。笔者认为CT扫描颅后窝时应采用厚层、间距5mm扫描,至天幕时再改用10mm扫描,以减少漏诊机会。同样摆正头颅扫描位置,清除机器伪影也是避免颅后窝病变漏诊的有效措施。
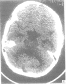
图1 小脑蚓部实质性血管母细胞瘤,三脑室扩大
i
图2 同图1病例,MR扫描显示小脑蚓部肿瘤明显增强
, 百拇医药
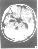
图3 右侧桥
脑小脑角听神经瘤。颅后窝伪影干扰
图4 小脑蚓部1级星形细胞瘤。机器伪影干扰
图5 小脑蚓部髓母细胞瘤,小脑蚓部有一略高密度肿块影,但被忽视
图6 同图5病例。MR扫描显示小脑蚓部肿瘤明显增强
3.2 忽视第四脑室变形、移位,第三脑室扩大 由于颅后窝伪影的干扰,肿瘤的直接征象往往被掩盖,或肿瘤平扫接近等密度,无法清楚显示。此时观察肿瘤的间接征象,即脑室的形态变化尤为重要。颅后窝肿瘤往往会引起第四脑室变形、移位,第三脑室扩大,严重时侧脑室也明显扩大。本组10例中有8例当地CT片上可看到不同程度的脑室变形、扩大。第三脑室位于颅后窝之上,伪影干扰少,即使较差的CT也能显示。正常第三脑室宽度为4mm,最大不超过6mm[1]。脑积水时往往超过正常值,严重时呈球形扩大。这一结果对于提示颅后窝占位很重要。本组2例听神经瘤出现视力模糊,当地CT漏诊。本院脑外科怀疑鞍区占位,仅建议垂体冠状扫描。但笔者从冠状扫描中发现第三脑室扩大,而鞍区又无占位,当即怀疑颅后窝占位,再行MR扫描时显示为较大的听神经瘤。
, http://www.100md.com
3.3 小脑蚓部的实质性肿瘤未行增强扫描 小脑蚓部的占位仅使第四脑室略向前移位,左右移位不明显。观察CT片时人们往往习惯于两侧半球对比,而忽视中线结构。小脑蚓部的良性实质型肿瘤,如血管母细胞瘤,其肿瘤密度接近正常脑组织密度,CT平扫不易显示。本组4例实质型血管母细胞瘤漏诊,Elster[2]和Lee[3]也报道2例颅后窝实质型血管母细胞瘤漏诊,相比之下囊腔型血管母细胞瘤不易漏诊,笔者总结60余例囊腔型血管母细胞瘤时,未发现一例曾经漏诊。同样低级别的实质性星形细胞瘤和髓母细胞瘤由于与周围正常脑组织反差不大,也会漏诊。此时增强扫描很重要,本组血供丰实的血管母细胞瘤和髓母细胞瘤一经增强扫描,病灶清楚显示。因此,对于临床怀疑颅后窝占位的病例,即使CT平扫阴性,也应做增强扫描。
3.4 将脑积水误诊为脑萎缩 颅后窝占位常可导致第三脑室和侧脑室扩大。如果发现脑积水就会考虑有无颅后窝占位,建议进一步检查,不致漏诊。如误诊为脑萎缩就失去考虑颅后窝占位的可能。本组有2例将脑积水误诊为脑萎缩,造成颅后窝肿瘤漏诊。仔细分析二者可以区别,脑萎缩一般发生在老年人,脑沟、脑池增宽,脑室扩大是由于脑室周围组织萎缩时牵拉脑室壁所致,扩大的形态基本维持在原状。脑积水时,脑沟、脑池不扩大,两侧脑室前角和第三脑室如充气球样扩大。而且颅后窝肿瘤所致脑积水时,第四脑室不大,反而变小。
, 百拇医药
3.5 临床病史未引起足够重视,颅后窝占位往往会产生头痛、呕吐、视乳头水肿三联症,并有步态不稳,视力模糊,听力下降等症状,如有上述症状和体征应高度怀疑颅内占位。CT平扫病灶显示不清楚,应做增强扫描,或建议行MR扫描,这样不致于漏诊。显示颅后窝病变MR明显优于CT,很少漏诊。MR扫描时无颅后窝伪影,敏感性高,加上三维成像可清楚、准确地显示肿瘤部位和形态。
作者简介:蒋定尧(1957—),男,宁波人,硕士,副主任医师,科主任。研究方向:神经影像诊断及介入治疗。
[参考文献]
[1] 沈天真,陈星荣.中枢神经系统计算机体层摄影和磁共振成像[M].上海医科大学出版社,1992.
[2] Lee SR,Sanches J,Mark AS,et al.Posterior fossa hemangioblstomas:MR imaging[J].Radiology,1989,171:463-468.
[3] Elster AN,Arthur DW.Intracraaial hemangioblastomas CT and MR finding[J].J Comput Asist Tomogr,1988,12:736-739.
收稿日期:2000-03-28, 百拇医药
单位:浙江大学医学院附属第二医院放射科,浙江 杭州 310009
关键词:颅后窝;肿瘤;体层摄影术,X线计算机
中国医学影像技术000809[摘 要] 目的 提高颅后窝肿瘤CT诊断准确性。方法 收集10例CT漏诊,本院手术病理证实的颅后窝肿瘤,就其漏诊原因进行分析。结果 10例CT漏诊的颅后窝肿瘤中,小脑蚓部实质性肿瘤7例,桥脑小脑角听神经瘤3例。结论 重视脑室的形态变化,采取薄层和增强扫描,可减少颅后窝肿瘤的漏诊。
[中图分类号] R445.4 R739.41 [文献标识码] A
[文章编号] 1003-3289(2000)08-0632-03
Analysis of the Causes of CT Missed-Diagnosis of Posterior Fossa Tumors(A Report of 10 Cases)
, 百拇医药
JIANG Ding-yao, GONG Xiao-ya
(Department of Radiology,the Second Affiliated Hospital of Medical College of Zhejiang University,Hangzhou 310009,China)
[Abstract] Objective To improve accuracy of CT diagnosis of posterior fossa tumors. Methods 10 cases of CT missed-diagnosis of posterior fossa tumors surgically and pathologically proved were analyzed. Results 7 cases of solid tumors in 10 cases were located in the cerebellar vermis. 3 cases of acousitc neuromas were located in the cerebellopontine angle. Conclusion The key to reduce the CT missed-diagnosis of posterior fossa tumors was to be attention to the change of venturiculus shape and to use thin-slice and contrast-enhanced CT scans.
, 百拇医药
[Key words] Posterior fossa; Tumor; Tomography,X-ray computed
颅后窝病变由于CT扫描时邻近致密骨所产生伪影的干扰,常较难显示。如诊断经验不足,可能会导致漏诊,延误病情。本文收集10例CT漏诊的颅后窝肿瘤,就其漏诊原因进行分析。
1 材料和方法
10例中男6例,女4例。年龄12~63岁,平均42岁。漏诊病例的CT片都系外院CT扫描,扫描层厚、间隔为10mm,无1例增强扫描。因病情加重或病因不明来本院检查,4例经CT薄层平扫加增强显示,6例经MR平扫加增强显示。所有病例均在本院手术病理证实。
2 结果
2.1 小脑蚓部实质型血管母细胞瘤4例 当地CT平扫肿瘤接近等密度,加上伪影干扰肿瘤本身显示不清。但有不同程度的脑室受压、移位,第三脑室扩大(图1)。其中1例漏诊达21个月之久,最后一次CT扫描出现明显第三脑室和侧脑室扩大,误诊为脑萎缩。本院CT和MR扫描均清楚显示肿瘤(图2),并诊断为血管母细胞瘤。虽然CT平扫肿瘤接近等密度,但注射造影剂后肿瘤明显增强。在MR扫描时肿瘤T1W呈稍低信号,T2W呈稍高信号,并且明显增强。
, 百拇医药
2.2 桥脑小脑角听神经瘤3例 当地CT上颅后窝伪影较多(图3),其中2例第四脑室结构不清,1例第四脑室形态尚可,但一侧桥脑小脑角隐约可见占位影,并有第三脑室和侧脑室明显扩大。本院MR显示3例均为较大的听神经瘤,T1W呈稍低信号,T2W呈高信,有明显不均匀增强。
2.3 小脑蚓部I级星形细胞瘤2例 1例由于机器的同心圆伪影重叠,使颅后窝结构显示不清,但第四脑室似有受压改变(图4)。另1例层厚、间隔为10mm平扫时病灶难以发现,在本院改为层厚、间隔5mm,CT平扫时病灶显示。在MR上,小脑蚓部病灶T1W呈稍低信号,T2W呈高信号,约2cm×3cm大小。
2.4 小脑蚓部髓母细胞瘤1例 患者年龄仅12岁,头痛、呕吐症状较明显。当地CT片质量较差,但隐约可见小脑蚓部有一个稍高密度的肿块影(图5)。本院MR显示肿块约3cm×4cm大小,T1W稍低信号,T2W呈稍高信号,明显增强(图6)。
, 百拇医药
3 讨论
3.1 颅后窝伪影干扰 CT扫描的不足之处是颅后窝伪影较多,尤其是低档CT和二手CT更为明显,本组10例均有不同程度的伪影干扰。采用薄层扫描可以减少伪影,并提高肿瘤的显示率。本组4例经薄层CT扫描都清楚显示颅后窝结构,提示颅后窝占位。笔者认为CT扫描颅后窝时应采用厚层、间距5mm扫描,至天幕时再改用10mm扫描,以减少漏诊机会。同样摆正头颅扫描位置,清除机器伪影也是避免颅后窝病变漏诊的有效措施。
图1 小脑蚓部实质性血管母细胞瘤,三脑室扩大
i
图2 同图1病例,MR扫描显示小脑蚓部肿瘤明显增强
, 百拇医药
图3 右侧桥
脑小脑角听神经瘤。颅后窝伪影干扰
图4 小脑蚓部1级星形细胞瘤。机器伪影干扰
图5 小脑蚓部髓母细胞瘤,小脑蚓部有一略高密度肿块影,但被忽视
图6 同图5病例。MR扫描显示小脑蚓部肿瘤明显增强
3.2 忽视第四脑室变形、移位,第三脑室扩大 由于颅后窝伪影的干扰,肿瘤的直接征象往往被掩盖,或肿瘤平扫接近等密度,无法清楚显示。此时观察肿瘤的间接征象,即脑室的形态变化尤为重要。颅后窝肿瘤往往会引起第四脑室变形、移位,第三脑室扩大,严重时侧脑室也明显扩大。本组10例中有8例当地CT片上可看到不同程度的脑室变形、扩大。第三脑室位于颅后窝之上,伪影干扰少,即使较差的CT也能显示。正常第三脑室宽度为4mm,最大不超过6mm[1]。脑积水时往往超过正常值,严重时呈球形扩大。这一结果对于提示颅后窝占位很重要。本组2例听神经瘤出现视力模糊,当地CT漏诊。本院脑外科怀疑鞍区占位,仅建议垂体冠状扫描。但笔者从冠状扫描中发现第三脑室扩大,而鞍区又无占位,当即怀疑颅后窝占位,再行MR扫描时显示为较大的听神经瘤。
, http://www.100md.com
3.3 小脑蚓部的实质性肿瘤未行增强扫描 小脑蚓部的占位仅使第四脑室略向前移位,左右移位不明显。观察CT片时人们往往习惯于两侧半球对比,而忽视中线结构。小脑蚓部的良性实质型肿瘤,如血管母细胞瘤,其肿瘤密度接近正常脑组织密度,CT平扫不易显示。本组4例实质型血管母细胞瘤漏诊,Elster[2]和Lee[3]也报道2例颅后窝实质型血管母细胞瘤漏诊,相比之下囊腔型血管母细胞瘤不易漏诊,笔者总结60余例囊腔型血管母细胞瘤时,未发现一例曾经漏诊。同样低级别的实质性星形细胞瘤和髓母细胞瘤由于与周围正常脑组织反差不大,也会漏诊。此时增强扫描很重要,本组血供丰实的血管母细胞瘤和髓母细胞瘤一经增强扫描,病灶清楚显示。因此,对于临床怀疑颅后窝占位的病例,即使CT平扫阴性,也应做增强扫描。
3.4 将脑积水误诊为脑萎缩 颅后窝占位常可导致第三脑室和侧脑室扩大。如果发现脑积水就会考虑有无颅后窝占位,建议进一步检查,不致漏诊。如误诊为脑萎缩就失去考虑颅后窝占位的可能。本组有2例将脑积水误诊为脑萎缩,造成颅后窝肿瘤漏诊。仔细分析二者可以区别,脑萎缩一般发生在老年人,脑沟、脑池增宽,脑室扩大是由于脑室周围组织萎缩时牵拉脑室壁所致,扩大的形态基本维持在原状。脑积水时,脑沟、脑池不扩大,两侧脑室前角和第三脑室如充气球样扩大。而且颅后窝肿瘤所致脑积水时,第四脑室不大,反而变小。
, 百拇医药
3.5 临床病史未引起足够重视,颅后窝占位往往会产生头痛、呕吐、视乳头水肿三联症,并有步态不稳,视力模糊,听力下降等症状,如有上述症状和体征应高度怀疑颅内占位。CT平扫病灶显示不清楚,应做增强扫描,或建议行MR扫描,这样不致于漏诊。显示颅后窝病变MR明显优于CT,很少漏诊。MR扫描时无颅后窝伪影,敏感性高,加上三维成像可清楚、准确地显示肿瘤部位和形态。
作者简介:蒋定尧(1957—),男,宁波人,硕士,副主任医师,科主任。研究方向:神经影像诊断及介入治疗。
[参考文献]
[1] 沈天真,陈星荣.中枢神经系统计算机体层摄影和磁共振成像[M].上海医科大学出版社,1992.
[2] Lee SR,Sanches J,Mark AS,et al.Posterior fossa hemangioblstomas:MR imaging[J].Radiology,1989,171:463-468.
[3] Elster AN,Arthur DW.Intracraaial hemangioblastomas CT and MR finding[J].J Comput Asist Tomogr,1988,12:736-739.
收稿日期:2000-03-28, 百拇医药