100名发育正常国人延髓、上段颈髓轴线夹角的测量
作者:王健 蒋学祥 肖江喜 高玉洁
单位:北京医科大学第一医院医学影像科,北京 100034
关键词:磁共振;颅底凹陷症;测量
中国医学影像技术000808[摘 要] 目的 为MRI诊断颅底凹陷症提供正常参考标准。方法 对100例没有中枢神经系统症状及体征的国人以及6例颅底凹陷症患者行颅脑矢状位MRI扫描,于正中矢状层面上测量脑桥、延髓轴线与上颈髓轴线的夹角。结果 男女两性该角度的差别没有统计学意义,国人延髓、上段颈髓轴线夹角正常参考值为143.64°~165.42°(95%可信区间),颅底凹陷症患者该角度的估计范围为124.84°~131.16°(95%可信区间),二者间无交叉。结论 对于颅底凹陷症的诊断,MR能够直接显示脑桥延髓受压的情况,在MRI成像中可以应用参考上述正常参考值对于该疾病作出正确的诊断。
[中图分类号] R445.2 R681.1 [文献标识码] A
, http://www.100md.com
[文章编号] 1003-3289(2000)08-0630-02
Measurement of the Angle between Medulla Oblongata and Upper Spinal Cord on 100 Normal Chinese
WANG Jian, JIANG Xue-xiang, XIAO Jiang-xi, et al
(Department of Radiology,the First Hospital of Beijing Medical University,Beijing 100034,China)
[Abstract] Purpose To provide a clinical reference in diagnosing basilar invagination by MRI. Methods 100 Chinese with no evidence of CNS abnormity and 6 patients with basilar invagination diagnosed by X-ray film was studied by MRI.The measurement was performed on the central sagittal slice. Results The measurement shows no statistical difference between male and female.The angle between medulla oblongata and upper spinal cord is 143.64°~165.42°(95% confidence).The estimating range of the angle of the basilar invagination patients group is 124.84°~131.16°(95% confidence).There is no overlap between the two data groups. Conclusion With the referential range of the normal natural angle between medulla oblongata and upper spinal cord,we can make a diagnosis of basilar invagination by MRI.
, 百拇医药
[Key words]Magnetic resonance imaging; Basilar invagination; Measurement
常规X线诊断颅底凹陷症是单纯根据颅底的骨性结构之间的相互关系进行的,无法直接观察到颅内神经解剖结构继发性的改变。随着影像技术的不断发展,磁共振成像(MRI)已成为颅脑检查的常规手段之一,它可以直观显示颅内神经系统的解剖关系,准确确定病变程度及特征。本研究通过利用MRI对于延髓与上段颈髓轴线的夹角的测量,为应用MRI诊断颅底凹陷症提供正常参考值。
1 材料方法
发育正常、没有中枢神经系统症状及体征的成年人100例,男50例,女50例,平均年龄38周岁(18~55周岁)。经临床+普通X线摄影诊断为颅底凹陷症患者6例,男1例,女5例,平均年龄43岁。病因:发育性5例,外伤性1例。所有病例均行MR扫描,扫描时注意头部保持自然、舒适体位,避免过度屈伸。扫描仪器采用岛津1.0T(SMT-100X)超导型MR设备。头线圈。所有检查均行矢状位T2W扫描(TR1800/TE80)。采用正中矢状层面,沿脑桥-延髓轴线,以及上颈髓(颈1~3)轴线进行角度测量(图1)。
, http://www.100md.com
统计学处理应用Spss7.5 for windows软件,对数据行正态分布检验、方差齐性检验、独立两样本均数间t检验,延髓-上颈髓轴线夹角正常参考值范围采用
±1.96s表示。
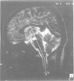
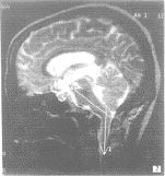
图1 矢状位T2W扫描(TR1800/TE80),洞脑桥-延髓轴线,以及上颈髓(颈1~3)轴线进
行自然角度测量
图2 颅底凹陷症患者,延髓、上段颈髓轴线夹角明显小于正常值
2 结果
, 百拇医药
2.1 正常国人延髓-上颈髓轴线夹角的测量 经磁共振T2WI正中矢状位测量,其结果经统计学检验符合正态性分布。本组100例中,男性延髓-上颈髓轴线夹角为154.64°±5.08°(
±s),其中最大角度为166°,最小角度为141°。女性该夹角为153.98°±5.93°(
±s),本组中最大角度为166°,最小角度为139°。该角度在男女之间没有统计学差别(P>0.05)。将男、女两组样本合并,得到本研究100名发育正常、无中枢神经系统症状及体征的成年国人延髓、上段颈髓轴线夹角为154.34°±5.46°(
±s),最大角度为166°,最小角度为139°。该样本呈正态分布,其总体正常值范围(
±1.96s)为143.64°~165.42°(95%可信限)。
, http://www.100md.com
2.2 颅底凹陷症患者延髓-上颈髓轴线夹角的测量 本组病例6例,经测量,颅底凹陷症患者延髓-上颈髓轴线夹角分别为130°、125°、128°、132°、131°、125°,平均为128.5°±3.02°(
±s)。本组患者中,最大角度132°,最小角度125°,均小于上述正常参考值的范围。采用小样本资料均数的可信区间(95%)计算公式
±t0.05(ν)S
估计颅底凹陷症患者延髓-上段颈髓轴线夹角124.84°~131.16°,也均小于上述正常参考值。
3 讨论
3.1 颅底凹陷症是以枕骨大孔为中心的颅底向上凹陷及齿突上移畸形 多数因第1、2颈椎和枕骨先天发育异常所致,如寰椎枕化、寰枢椎半脱位等。枕骨变扁,枕骨大孔偏斜,前后径变短。此外,本病亦可发生于使颅底软化的后天性疾病,如畸形性骨炎、软骨病、甲状旁腺机能亢进、类脂质沉着及老年骨质疏松等。临床症状的产生主要是因为脊髓、延髓、小脑受压,主要表现为听神经受累、眼球震颤和共济失调,脑积水,也可有副神经和颈神经根受累的症状。对于颅底凹陷症的诊断过去以常规X线摄影为主[1-3],主要通过头颅X线片分析颅底、枕骨大孔和齿突的相互关系,其测量方法较多,如测量枕鄂(Chamberlain)线、McGregor线、二腹肌沟线、Klaus线、Boogard's角、外耳孔高度指数等。MR成像不能直接观测颅底的骨骼结构,但能够直接观察病变区域延髓、脊髓、小脑受压的状况,较常规X线摄影能够更为直接和准确的反应出病变的程度[4,5]。由于正常人延髓-脑桥轴线与上颈髓轴线有一自然夹角,颅底凹陷症患者常常由于延髓受压致使该交角变小(图2),但目前为止,尚未见有文献报导该正常情况下该夹角自然角度的大小,本文通过对100名发育正常、无中枢神经系统症状及体征的成年国人该角度的测量,总结出国人该角度大小的正常参考值范围为:143.64°~165.42°(95%可信区间),根据6例颅底凹陷症患者测得的数据推测该类患者延髓-上颈髓之轴线夹角应在124.84°~131.16°之间(95%可信限),两者没有交叉。我们认为当该角度在132°~143°之间时,可以称为处于“临界状态”,此时究竟能否诊断为颅底凹陷症尚需根据临床症状综合综合考虑。
, 百拇医药
3.2 应用该角度作为诊断标准时所应注意的一些问题 由于脊髓具有一定的活动度,因此扫描过程中头颅过伸、过曲均可使延髓-上颈髓之轴线夹角的测量发生一定的变化。所以应特别强调扫描时体位的标准化,即保持舒适、自然的体位,避免过度伸曲。上述延髓-上颈髓之轴线夹角正常值也正是基于自然状态下推算得出的。此外,其他疾病,例如类风湿性关节炎、颅底肿瘤等均可导致局部延髓受压,导致上述角度的变化,在作出颅底凹陷症的诊断之前,应当结合影像学及临床特点排除上述病变。
作者简介:王健(1973—),男,北京人,博士,主治医师。
[参考文献]
[1] Smoker WR.Craniovertebral junction:normal anatomy,craniometry,and congenital anomalies[J].Radiographics,1994,14(2):255-277.
, http://www.100md.com
[2] Paramonov LV,Shifrin SS.X-ray diagnosis of cranio-vertebral anomalies[J].Vopr Neirokhir,1976,(6):15-19.
[3] Gosain AK,McCarthy JG,Pinto RS.Cervicovertebral anomalies and basilar impression in Goldenhar syndrome[J].Plast Reconstr Surg,1994,93(3):498-506.
[4] Tada S,Hata Y,Miyamoto Y.Magnetic resonance imaging in craniovertebral junction anomaly[J].Rinsho Hoshasen,1985,30(3):341-344,[5] White KS,Ball WS,Prenger EC,Patterson BJ,et al.Evaluation of the craniocervical junction in Down syndrome:correlation of measurements obtained with radiography and MR imaging[J].Radiology,1993,186(2):377-382.
收稿日期:2000-02-22, http://www.100md.com
单位:北京医科大学第一医院医学影像科,北京 100034
关键词:磁共振;颅底凹陷症;测量
中国医学影像技术000808[摘 要] 目的 为MRI诊断颅底凹陷症提供正常参考标准。方法 对100例没有中枢神经系统症状及体征的国人以及6例颅底凹陷症患者行颅脑矢状位MRI扫描,于正中矢状层面上测量脑桥、延髓轴线与上颈髓轴线的夹角。结果 男女两性该角度的差别没有统计学意义,国人延髓、上段颈髓轴线夹角正常参考值为143.64°~165.42°(95%可信区间),颅底凹陷症患者该角度的估计范围为124.84°~131.16°(95%可信区间),二者间无交叉。结论 对于颅底凹陷症的诊断,MR能够直接显示脑桥延髓受压的情况,在MRI成像中可以应用参考上述正常参考值对于该疾病作出正确的诊断。
[中图分类号] R445.2 R681.1 [文献标识码] A
, http://www.100md.com
[文章编号] 1003-3289(2000)08-0630-02
Measurement of the Angle between Medulla Oblongata and Upper Spinal Cord on 100 Normal Chinese
WANG Jian, JIANG Xue-xiang, XIAO Jiang-xi, et al
(Department of Radiology,the First Hospital of Beijing Medical University,Beijing 100034,China)
[Abstract] Purpose To provide a clinical reference in diagnosing basilar invagination by MRI. Methods 100 Chinese with no evidence of CNS abnormity and 6 patients with basilar invagination diagnosed by X-ray film was studied by MRI.The measurement was performed on the central sagittal slice. Results The measurement shows no statistical difference between male and female.The angle between medulla oblongata and upper spinal cord is 143.64°~165.42°(95% confidence).The estimating range of the angle of the basilar invagination patients group is 124.84°~131.16°(95% confidence).There is no overlap between the two data groups. Conclusion With the referential range of the normal natural angle between medulla oblongata and upper spinal cord,we can make a diagnosis of basilar invagination by MRI.
, 百拇医药
[Key words]Magnetic resonance imaging; Basilar invagination; Measurement
常规X线诊断颅底凹陷症是单纯根据颅底的骨性结构之间的相互关系进行的,无法直接观察到颅内神经解剖结构继发性的改变。随着影像技术的不断发展,磁共振成像(MRI)已成为颅脑检查的常规手段之一,它可以直观显示颅内神经系统的解剖关系,准确确定病变程度及特征。本研究通过利用MRI对于延髓与上段颈髓轴线的夹角的测量,为应用MRI诊断颅底凹陷症提供正常参考值。
1 材料方法
发育正常、没有中枢神经系统症状及体征的成年人100例,男50例,女50例,平均年龄38周岁(18~55周岁)。经临床+普通X线摄影诊断为颅底凹陷症患者6例,男1例,女5例,平均年龄43岁。病因:发育性5例,外伤性1例。所有病例均行MR扫描,扫描时注意头部保持自然、舒适体位,避免过度屈伸。扫描仪器采用岛津1.0T(SMT-100X)超导型MR设备。头线圈。所有检查均行矢状位T2W扫描(TR1800/TE80)。采用正中矢状层面,沿脑桥-延髓轴线,以及上颈髓(颈1~3)轴线进行角度测量(图1)。
, http://www.100md.com
统计学处理应用Spss7.5 for windows软件,对数据行正态分布检验、方差齐性检验、独立两样本均数间t检验,延髓-上颈髓轴线夹角正常参考值范围采用
图1 矢状位T2W扫描(TR1800/TE80),洞脑桥-延髓轴线,以及上颈髓(颈1~3)轴线进
行自然角度测量
图2 颅底凹陷症患者,延髓、上段颈髓轴线夹角明显小于正常值
2 结果
, 百拇医药
2.1 正常国人延髓-上颈髓轴线夹角的测量 经磁共振T2WI正中矢状位测量,其结果经统计学检验符合正态性分布。本组100例中,男性延髓-上颈髓轴线夹角为154.64°±5.08°(
, http://www.100md.com
2.2 颅底凹陷症患者延髓-上颈髓轴线夹角的测量 本组病例6例,经测量,颅底凹陷症患者延髓-上颈髓轴线夹角分别为130°、125°、128°、132°、131°、125°,平均为128.5°±3.02°(
3 讨论
3.1 颅底凹陷症是以枕骨大孔为中心的颅底向上凹陷及齿突上移畸形 多数因第1、2颈椎和枕骨先天发育异常所致,如寰椎枕化、寰枢椎半脱位等。枕骨变扁,枕骨大孔偏斜,前后径变短。此外,本病亦可发生于使颅底软化的后天性疾病,如畸形性骨炎、软骨病、甲状旁腺机能亢进、类脂质沉着及老年骨质疏松等。临床症状的产生主要是因为脊髓、延髓、小脑受压,主要表现为听神经受累、眼球震颤和共济失调,脑积水,也可有副神经和颈神经根受累的症状。对于颅底凹陷症的诊断过去以常规X线摄影为主[1-3],主要通过头颅X线片分析颅底、枕骨大孔和齿突的相互关系,其测量方法较多,如测量枕鄂(Chamberlain)线、McGregor线、二腹肌沟线、Klaus线、Boogard's角、外耳孔高度指数等。MR成像不能直接观测颅底的骨骼结构,但能够直接观察病变区域延髓、脊髓、小脑受压的状况,较常规X线摄影能够更为直接和准确的反应出病变的程度[4,5]。由于正常人延髓-脑桥轴线与上颈髓轴线有一自然夹角,颅底凹陷症患者常常由于延髓受压致使该交角变小(图2),但目前为止,尚未见有文献报导该正常情况下该夹角自然角度的大小,本文通过对100名发育正常、无中枢神经系统症状及体征的成年国人该角度的测量,总结出国人该角度大小的正常参考值范围为:143.64°~165.42°(95%可信区间),根据6例颅底凹陷症患者测得的数据推测该类患者延髓-上颈髓之轴线夹角应在124.84°~131.16°之间(95%可信限),两者没有交叉。我们认为当该角度在132°~143°之间时,可以称为处于“临界状态”,此时究竟能否诊断为颅底凹陷症尚需根据临床症状综合综合考虑。
, 百拇医药
3.2 应用该角度作为诊断标准时所应注意的一些问题 由于脊髓具有一定的活动度,因此扫描过程中头颅过伸、过曲均可使延髓-上颈髓之轴线夹角的测量发生一定的变化。所以应特别强调扫描时体位的标准化,即保持舒适、自然的体位,避免过度伸曲。上述延髓-上颈髓之轴线夹角正常值也正是基于自然状态下推算得出的。此外,其他疾病,例如类风湿性关节炎、颅底肿瘤等均可导致局部延髓受压,导致上述角度的变化,在作出颅底凹陷症的诊断之前,应当结合影像学及临床特点排除上述病变。
作者简介:王健(1973—),男,北京人,博士,主治医师。
[参考文献]
[1] Smoker WR.Craniovertebral junction:normal anatomy,craniometry,and congenital anomalies[J].Radiographics,1994,14(2):255-277.
, http://www.100md.com
[2] Paramonov LV,Shifrin SS.X-ray diagnosis of cranio-vertebral anomalies[J].Vopr Neirokhir,1976,(6):15-19.
[3] Gosain AK,McCarthy JG,Pinto RS.Cervicovertebral anomalies and basilar impression in Goldenhar syndrome[J].Plast Reconstr Surg,1994,93(3):498-506.
[4] Tada S,Hata Y,Miyamoto Y.Magnetic resonance imaging in craniovertebral junction anomaly[J].Rinsho Hoshasen,1985,30(3):341-344,[5] White KS,Ball WS,Prenger EC,Patterson BJ,et al.Evaluation of the craniocervical junction in Down syndrome:correlation of measurements obtained with radiography and MR imaging[J].Radiology,1993,186(2):377-382.
收稿日期:2000-02-22, http://www.100md.com