子宫内膜增生的超声分型及诊断价值
作者:李吉昌 王玲 张先东
单位:李吉昌(山东省医学影像研究所,山东 济南 250021);张先东(山东省医学影像研究所,山东 济南 250021);王玲(山东肥城矿务局杨庄矿医院)
关键词:超声检查;子宫内膜;增生病变
中国医学影像技术000932[摘 要] 目的 探讨子宫内膜增生的分型及诊断价值。方法 对常规经腹部超声检查并获得病理证实的28例宫内膜增生进行了回顾性分析与研究。结果 超声对宫内膜增生的检出率100%,对子宫内膜囊性增生的诊断符合率达77.78%(14/18),但难以对腺瘤样增生和非典型增生作出定性诊断。结合病理变化将宫内膜增生分为二类三种声像图表现:宫内膜轻度弥漫增生型(Ⅰa);宫内膜重度弥漫增生型(Ⅰb);宫内膜局限性增生型(Ⅱ)。结论 超声对宫内膜增生的早期发现、及时治疗具有重要的临床价值,是本病无创、无痛性的最佳检查方法。
, http://www.100md.com
[中图分类号] R445.1;R711.71 [文献标识码] A
[文章编号]1003-3289(2000)09-0781-02
Classification and Diagnostic Value of Ultrasonography in Uterine Endometrial Hyperplasia
LI Ji-chang, WANG Ling,ZHANG Xian-dong
(Shandong Provincial Medical Imaging Institute,Jinan 250021,China)
[Abstract] Objective To discuss the ultrasonographical classification and diagnotic value of uterine endometrial hyperplasia. Methods 28 cases with endometrial hyperplasia diagnosed by transabdominal ultrasonography are proved pathologically,were analysed retraspectively. Results The sensitivity of ultrasonography for uterine endometrial hyperplasia is 100%.The specibility of ultrasonography for uterine cycstic endometrial hyperplasia is 77.78%(14/18).It is difficult to give a qulititative diagnosis for adenomatoid and atypical hyperplasia ultrasonographically.Combination with pathological findings and ultrasonographical findings,the endometrial hyperplasia was classified into two types:mild diffuse endometrial hyperplasia(type Ia)and severe diffuse endometrial hyperplasia(type Ib),local endometrial hyperplasia(type Ⅱ). Conclusion Ultrasonography has great significance in the early detection and treatment of endometrial hyperplasia clinically,and it is the best and noninvasive examination method for the diseases.
, 百拇医药
[Key words] Ultrasonography; Uterine endometrium; Hyperplasia
子宫内膜增生多发生于月经异常,年龄较轻或绝经期的妇女[1]。超声显像对子宫内膜增生虽具有较高的敏感性,但难以作出病理定性诊断。本文回顾性总结了1990年至1995年间资料完整的28例宫内膜增生,旨在研究、探讨宫内膜增生的病理变化与声像图间的关系,提高本病诊断水平。
1 资料与方法
28例宫内膜增生,年龄21~56岁,平均29岁。其中已婚26例,未婚2例,15例因不孕(育)而就诊,其余13例(包括绝经期4例)因月经不调而行超声检查。28例患者共行诊断性刮宫89次,最多者5次,少者3次。应用Aloka SSD-620;650;1200型等实时超声诊断仪,均为凸阵3.5 MHz探头。查前适量(膀胱容量的2/3)充盈膀胱,常规采用经腹法扫查。必要时摄片随访观察。
, 百拇医药
2 结果
28例宫内膜增生,均获得了诊刮及手术病理的定性诊断。其中囊性增生(按传统病理分法)14例,腺瘤样增生5例,9例非典型增生。3例经多次分段性诊刮证实癌变,6例诊为重度腺瘤样增生和非典型增生而行手术治疗,其余19例均采用激素疗法。
28例中均是超声首先发现了不同程度的宫内膜增生(检出率100%),而且尝试性提示了定性诊断。本组内膜最厚者78 mm(两层厚度),最薄者15 mm(均为非分泌期),平均28 mm。超声提示囊性增生18例;腺瘤样增生4 例,非典型增生6例。超声与病理结果对照见表1。
表1 28例宫内膜增生超声与病理结果对照
例数
囊性增生
腺瘤样增生
, 百拇医药
非典型增生
超声诊断
28
18
4
6
病理诊断
28
14
2
3
误诊
9
4
, 百拇医药
2
3
注:带括号的数字为误诊例数
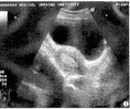
声像图表现:子宫内膜显著弥漫增厚者,子宫增大呈类圆形,纵切面增厚的内膜位于中央呈椭圆形,横切面为圆形,内回声增强,呈粗大光点分布的团块状(图1),间有斑、点状低回声或无回声,此征象为囊性增生的特异性表现。增厚的内膜与宫壁肌层界限清晰,肌层多显示变薄。弥漫性轻度增生者,子宫体积略大或正常,形态多无改变或略显饱满,宫内膜一致性增强、均匀性增厚,一般≤30 mm,增厚内膜内回声均匀或见斑、点状低回声(图2)。
宫内膜局灶性增生相对少见。局部增厚的内膜范围大小不等,厚薄不一,内回声增强而均匀。边界多清晰,子宫大小、形态可显示正常(图3)。当宫内膜增生恶变时,增厚之内膜与正常宫壁界限不清,内回声可减低。


, 百拇医药
图1 Ⅰa(子宫内膜轻度弥漫增生型) 图2 Ⅰb(子宫内膜重度弥漫增生型)
图3 Ⅱ(子宫内膜局限性增生型)
超声分型:根据宫内膜增厚的程度及范围将其分为二类三种声像图表现:Ⅰa轻度弥漫增厚型(宫内膜厚度≤30 mm),此型可见于囊性增生,亦可为非典型增生,但少见于腺瘤样增生;Ⅰb,重度弥漫增生型(宫内膜厚度≥31 mm),此型多数为囊性增生,极少为腺瘤样增生和非典型增生;Ⅱ,局部内膜增厚型,多见于腺瘤样增生和非典型增生。
3 讨论
3.1 超声诊断宫内膜增生的依据 声像图的变化是建立在病理变化的基础上,大体病理的形态学变化愈明显,声像图的改变就越显著,就越具有特异性。本组超声诊断的18例囊性增生,经病理证实的14例,符合率为77.78%(14/18),较高的符合率取决于此型的弥漫性、显著性及具有囊腔形成的特异性。
, 百拇医药
腺瘤样增生和非典型增生的病理变化多是程度轻、病变局限,亦可为二种并存,因此,声像图缺少显著性及特异性,故难以作出各自的定性诊断。本组超声提示腺瘤样增生4例,误诊2例;非典型增生6例,误诊3例。超声对子宫内膜增生病理定性误诊的原因:①两型病理形态学变化小;②三类增生,尤其是腺瘤样增生和非典型增生间声像图交叉现象严重。③两型间的大体病理及临床资料缺少差异性。
3.2 宫内膜增生与其它类增生性改变鉴别
(1)宫内膜增生与生理性宫内膜增厚:后者多为程度较轻的均匀性增厚,一般为6~12 mm[2]增厚内膜间宫腔线显示清晰,内膜与肌层间见完整低回声“晕”征。同时结合月经周期即可作出鉴别。
(2)宫内膜增生过长:多发生于长期无排卵者。少量持续的雌激素刺激子宫内膜,致使其增厚而内膜增生过长,但此类病人的双侧卵巢可见多个大小不等小卵泡,类似多囊卵巢声像。
, http://www.100md.com
(3)宫内膜增生与内膜癌:后者多为老年妇女,常有绝经后的子宫出血及阴道排液。声像图表现为局部或弥漫性的宫内膜异常不规则增厚,增厚区回声常低于宫内膜增生,部分患者伴有宫内积液的无回声。此外,绝经后的子宫内膜呈一线状回声,厚度为3~5 mm[2]。CDFI对宫内膜良、恶性病变的鉴别可提供重要依据。Kujark等对750例绝经后妇女的子宫病变行经阴道CDFI检查,所有正常内膜萎缩和92%的内膜增生的内膜内均无明显的彩色血流,91%的内膜癌的癌肿周边及内部可见有彩色血流显示,RI为0.42±0.02。而8%的内膜增生患者的内膜内虽有血流显示,但RI为0.67±0.05,两者间有显著性差异[3]。本组3例内膜增生癌变患者中,只有一例见到星、点状彩色血流,其余(包括无癌变26例)均未见到血流信号,其原因为经腹探查,增加了深度,降低了彩色灵敏度的缘故。
3.3 宫内膜增生及类增生病变超声诊断价值 以往子宫内膜增生性病变主要依靠刮宫活检来确诊,自超声显像应用于临床以来,为本病的早期诊断提供了无创、无痛且具有敏感性高的检查手段。尽管超声对内膜增生各病理类型间缺少特异性,尤其是腺瘤样增生和非典型增生,但对内膜增生却具有极高的检出率,而且对大多数囊性增生可作出病理定性诊断,超声又能全面地了解增生内膜以外的宫壁、附件及盆腔内的情况。因此,超声对子宫内膜增生及类似的增生性病变的早期发现及治疗具有重要的临床价值。
, 百拇医药
[作者简介]李吉昌(1953—),男,山东潍坊人,副教授,副主任医师。
[参考文献]
[1] 郭利娜,连利娟,刘彤华.生育年龄妇女子宫内膜不典型增生与复合增生诊断及预后[J].中华妇产杂志,1993,28(12):725-727.
[2] 周永昌,郭万学.超声诊断学[M].第3版.北京:科学技术文献出版社,1998.1117.
[3] Siegfried Rotmensch,et al.Fetal humeral lenth to detect Down Syndrome[J].Am J Obstet Graecol,1992,166:1330-1334.
收稿日期:2000-03-26, http://www.100md.com
单位:李吉昌(山东省医学影像研究所,山东 济南 250021);张先东(山东省医学影像研究所,山东 济南 250021);王玲(山东肥城矿务局杨庄矿医院)
关键词:超声检查;子宫内膜;增生病变
中国医学影像技术000932[摘 要] 目的 探讨子宫内膜增生的分型及诊断价值。方法 对常规经腹部超声检查并获得病理证实的28例宫内膜增生进行了回顾性分析与研究。结果 超声对宫内膜增生的检出率100%,对子宫内膜囊性增生的诊断符合率达77.78%(14/18),但难以对腺瘤样增生和非典型增生作出定性诊断。结合病理变化将宫内膜增生分为二类三种声像图表现:宫内膜轻度弥漫增生型(Ⅰa);宫内膜重度弥漫增生型(Ⅰb);宫内膜局限性增生型(Ⅱ)。结论 超声对宫内膜增生的早期发现、及时治疗具有重要的临床价值,是本病无创、无痛性的最佳检查方法。
, http://www.100md.com
[中图分类号] R445.1;R711.71 [文献标识码] A
[文章编号]1003-3289(2000)09-0781-02
Classification and Diagnostic Value of Ultrasonography in Uterine Endometrial Hyperplasia
LI Ji-chang, WANG Ling,ZHANG Xian-dong
(Shandong Provincial Medical Imaging Institute,Jinan 250021,China)
[Abstract] Objective To discuss the ultrasonographical classification and diagnotic value of uterine endometrial hyperplasia. Methods 28 cases with endometrial hyperplasia diagnosed by transabdominal ultrasonography are proved pathologically,were analysed retraspectively. Results The sensitivity of ultrasonography for uterine endometrial hyperplasia is 100%.The specibility of ultrasonography for uterine cycstic endometrial hyperplasia is 77.78%(14/18).It is difficult to give a qulititative diagnosis for adenomatoid and atypical hyperplasia ultrasonographically.Combination with pathological findings and ultrasonographical findings,the endometrial hyperplasia was classified into two types:mild diffuse endometrial hyperplasia(type Ia)and severe diffuse endometrial hyperplasia(type Ib),local endometrial hyperplasia(type Ⅱ). Conclusion Ultrasonography has great significance in the early detection and treatment of endometrial hyperplasia clinically,and it is the best and noninvasive examination method for the diseases.
, 百拇医药
[Key words] Ultrasonography; Uterine endometrium; Hyperplasia
子宫内膜增生多发生于月经异常,年龄较轻或绝经期的妇女[1]。超声显像对子宫内膜增生虽具有较高的敏感性,但难以作出病理定性诊断。本文回顾性总结了1990年至1995年间资料完整的28例宫内膜增生,旨在研究、探讨宫内膜增生的病理变化与声像图间的关系,提高本病诊断水平。
1 资料与方法
28例宫内膜增生,年龄21~56岁,平均29岁。其中已婚26例,未婚2例,15例因不孕(育)而就诊,其余13例(包括绝经期4例)因月经不调而行超声检查。28例患者共行诊断性刮宫89次,最多者5次,少者3次。应用Aloka SSD-620;650;1200型等实时超声诊断仪,均为凸阵3.5 MHz探头。查前适量(膀胱容量的2/3)充盈膀胱,常规采用经腹法扫查。必要时摄片随访观察。
, 百拇医药
2 结果
28例宫内膜增生,均获得了诊刮及手术病理的定性诊断。其中囊性增生(按传统病理分法)14例,腺瘤样增生5例,9例非典型增生。3例经多次分段性诊刮证实癌变,6例诊为重度腺瘤样增生和非典型增生而行手术治疗,其余19例均采用激素疗法。
28例中均是超声首先发现了不同程度的宫内膜增生(检出率100%),而且尝试性提示了定性诊断。本组内膜最厚者78 mm(两层厚度),最薄者15 mm(均为非分泌期),平均28 mm。超声提示囊性增生18例;腺瘤样增生4 例,非典型增生6例。超声与病理结果对照见表1。
表1 28例宫内膜增生超声与病理结果对照
例数
囊性增生
腺瘤样增生
, 百拇医药
非典型增生
超声诊断
28
18
4
6
病理诊断
28
14
2
3
误诊
9
4
, 百拇医药
2
3
注:带括号的数字为误诊例数
声像图表现:子宫内膜显著弥漫增厚者,子宫增大呈类圆形,纵切面增厚的内膜位于中央呈椭圆形,横切面为圆形,内回声增强,呈粗大光点分布的团块状(图1),间有斑、点状低回声或无回声,此征象为囊性增生的特异性表现。增厚的内膜与宫壁肌层界限清晰,肌层多显示变薄。弥漫性轻度增生者,子宫体积略大或正常,形态多无改变或略显饱满,宫内膜一致性增强、均匀性增厚,一般≤30 mm,增厚内膜内回声均匀或见斑、点状低回声(图2)。
宫内膜局灶性增生相对少见。局部增厚的内膜范围大小不等,厚薄不一,内回声增强而均匀。边界多清晰,子宫大小、形态可显示正常(图3)。当宫内膜增生恶变时,增厚之内膜与正常宫壁界限不清,内回声可减低。
, 百拇医药
图1 Ⅰa(子宫内膜轻度弥漫增生型) 图2 Ⅰb(子宫内膜重度弥漫增生型)
图3 Ⅱ(子宫内膜局限性增生型)
超声分型:根据宫内膜增厚的程度及范围将其分为二类三种声像图表现:Ⅰa轻度弥漫增厚型(宫内膜厚度≤30 mm),此型可见于囊性增生,亦可为非典型增生,但少见于腺瘤样增生;Ⅰb,重度弥漫增生型(宫内膜厚度≥31 mm),此型多数为囊性增生,极少为腺瘤样增生和非典型增生;Ⅱ,局部内膜增厚型,多见于腺瘤样增生和非典型增生。
3 讨论
3.1 超声诊断宫内膜增生的依据 声像图的变化是建立在病理变化的基础上,大体病理的形态学变化愈明显,声像图的改变就越显著,就越具有特异性。本组超声诊断的18例囊性增生,经病理证实的14例,符合率为77.78%(14/18),较高的符合率取决于此型的弥漫性、显著性及具有囊腔形成的特异性。
, 百拇医药
腺瘤样增生和非典型增生的病理变化多是程度轻、病变局限,亦可为二种并存,因此,声像图缺少显著性及特异性,故难以作出各自的定性诊断。本组超声提示腺瘤样增生4例,误诊2例;非典型增生6例,误诊3例。超声对子宫内膜增生病理定性误诊的原因:①两型病理形态学变化小;②三类增生,尤其是腺瘤样增生和非典型增生间声像图交叉现象严重。③两型间的大体病理及临床资料缺少差异性。
3.2 宫内膜增生与其它类增生性改变鉴别
(1)宫内膜增生与生理性宫内膜增厚:后者多为程度较轻的均匀性增厚,一般为6~12 mm[2]增厚内膜间宫腔线显示清晰,内膜与肌层间见完整低回声“晕”征。同时结合月经周期即可作出鉴别。
(2)宫内膜增生过长:多发生于长期无排卵者。少量持续的雌激素刺激子宫内膜,致使其增厚而内膜增生过长,但此类病人的双侧卵巢可见多个大小不等小卵泡,类似多囊卵巢声像。
, http://www.100md.com
(3)宫内膜增生与内膜癌:后者多为老年妇女,常有绝经后的子宫出血及阴道排液。声像图表现为局部或弥漫性的宫内膜异常不规则增厚,增厚区回声常低于宫内膜增生,部分患者伴有宫内积液的无回声。此外,绝经后的子宫内膜呈一线状回声,厚度为3~5 mm[2]。CDFI对宫内膜良、恶性病变的鉴别可提供重要依据。Kujark等对750例绝经后妇女的子宫病变行经阴道CDFI检查,所有正常内膜萎缩和92%的内膜增生的内膜内均无明显的彩色血流,91%的内膜癌的癌肿周边及内部可见有彩色血流显示,RI为0.42±0.02。而8%的内膜增生患者的内膜内虽有血流显示,但RI为0.67±0.05,两者间有显著性差异[3]。本组3例内膜增生癌变患者中,只有一例见到星、点状彩色血流,其余(包括无癌变26例)均未见到血流信号,其原因为经腹探查,增加了深度,降低了彩色灵敏度的缘故。
3.3 宫内膜增生及类增生病变超声诊断价值 以往子宫内膜增生性病变主要依靠刮宫活检来确诊,自超声显像应用于临床以来,为本病的早期诊断提供了无创、无痛且具有敏感性高的检查手段。尽管超声对内膜增生各病理类型间缺少特异性,尤其是腺瘤样增生和非典型增生,但对内膜增生却具有极高的检出率,而且对大多数囊性增生可作出病理定性诊断,超声又能全面地了解增生内膜以外的宫壁、附件及盆腔内的情况。因此,超声对子宫内膜增生及类似的增生性病变的早期发现及治疗具有重要的临床价值。
, 百拇医药
[作者简介]李吉昌(1953—),男,山东潍坊人,副教授,副主任医师。
[参考文献]
[1] 郭利娜,连利娟,刘彤华.生育年龄妇女子宫内膜不典型增生与复合增生诊断及预后[J].中华妇产杂志,1993,28(12):725-727.
[2] 周永昌,郭万学.超声诊断学[M].第3版.北京:科学技术文献出版社,1998.1117.
[3] Siegfried Rotmensch,et al.Fetal humeral lenth to detect Down Syndrome[J].Am J Obstet Graecol,1992,166:1330-1334.
收稿日期:2000-03-26, http://www.100md.com