血源性脑及脑膜转移瘤MRI特点
作者:徐朝霞 张贵祥 张学昕
单位:西安市第四军医大学西京医院放射影像科,陕西 西安 710032
关键词:脑;脑膜;转移瘤;磁共振成像
中国医学影像技术000908[摘 要] 目的 回顾性分析经临床及病理证实67例血源性脑及脑膜转移瘤的临床特征及MRI表现,探讨MRI诊断作用。方法 67例病人,男50例,女17例;年龄18~77岁。其中56例注射Gd-DTPA后横轴位,矢状位及冠状位T1WI扫描。结果 MRI诊断单纯脑转移41例,单纯脑膜转移5例,脑转移侵及脑膜19例,脑转移合并脑膜转移2例。56例增强扫描中均有不同程度之强化,多呈圆形结节或环形,直径在0.2~7.0cm之间。脑转移侵及脑膜可见脑膜增厚或类似“靶征”或“鼠尾征”。结论 MRI是诊断脑及脑膜转移的可靠方法,增强MRI对脑及脑膜转移的诊断具有重要价值,鉴别诊断应结合临床资料和其他影像学资料综合分析。
, 百拇医药
[中图分类号] R445.2;R322.81;R73-37 [文献标识码] A
[文章编号] 1003-3289(2000)09-0728-04
MRI Characteristics of Hematogenous Cerebral and Meningeal Metastasis
XU Zhao-xia, ZHANG Gui-xiang, ZHANG Xu-xin
(Department of Radiology,Xi'jing Hospital Fourth Military Medical University,Xi'an 710032,China)
[Abstract] Objective To analyse respectively the clinical and MRI features of 67 hematogenous cerebral and meningeal metastases proved by clinical and pathology.To explore MRI diagnostic function. Methods 67 patients including 50 males and 17 females with the age of 18~77 years old.Pre- and post-enhancement with Gadolinum DTPA of 56 patients were taken with transveaxial sagittal and coronal planes. Results MRI found 41 cerebral metastasis,5 meningeal metastasis and 19 cerebral metastasis invaded meninge,2 cerebral with meningeal metastasis.56 post-enhanced MRI showed different degree of spherical nodule or ring enhancement.The diameter of metastasis was 0.2~7.0 cm.Meningeal thicking or just like “target sign” or “tail of mouse sign” were found after cerebral metastasis invaded neighbour meninges. Conclusion MRI is a good method for diagnosing cerebral and meningeal metastasis.Enhanced MRI has a important value on cerebral and meningeal metastasis.Differential diagnosis has to combine with other imaging information and clinical data.
, http://www.100md.com
[Key words]Brain; Meninge; Metastasis; Magnetic resonance imaging
我们对1994年5月至1999年7月经临床、手术、病理证实的67例脑及脑膜转移瘤的MRI表现进行回顾分析,总结如下:
1 材料与方法
67例病人,男50例,女17例,男∶女比例为3.1∶1,年龄18~77岁(平均54岁),>40岁57例(占85%)。所有病例均经临床,影像学及手术病理学证实。MRI检查使用Siemens 1.5 Tesla成像机,SE序列,横轴位T1WI(TR500~700ms,TE15~30ms);T2WI(TR2500~6000ms,TE60~90ms);矢状位T1WI(TR500~700ms,TE30~50ms)。层厚5mm,层间距0.3mm。矩阵256×256。增强扫描使用Gd-DTPA造影剂,0.1mmol/kg,静脉团注法,T1WI横轴位及矢状位,冠状位,检查序列及参数同平扫。
, http://www.100md.com
2 结果
2.1 判断标准
(1)水肿比值:笔者分别测量最大转移瘤直径和瘤周最大水肿径(edema tumour ratio,ETR),依据两者的比值将瘤周水肿程度划分为四个级别:0度:未见明显水肿;Ⅰ度:ETR<1;Ⅱ度:ETR>1但<2;Ⅲ度:ETR>2[2]。
(2)转移瘤定位:依据MRI显示转移瘤的中心位置确定位于脑的叶、回;灰质、白质,灰白交界、室管膜或脑膜。
(3)脑膜转移分型:按Meltzer方法分为两型:软脑膜-蛛网膜下腔型表现为深入脑回脑表面起伏的小结节状强化。硬脑膜-蛛网膜型,表现为颅骨内板下结节状或增厚的节段性强化,连续层面均可见到[3]。
2.2 MRI平扫表现
, 百拇医药
(1)脑实质:根据病灶位置脑实质内共见217个,其中转移灶位于脑灰质43个,脑白质33个,灰白交界136个,脑干(桥脑4个,延脑1个)5个。大小约在1.0~7.0cm之间,形
表1 56例增强前后转移瘤部位及数目分布表 项目
幕 上
幕下
百分比
数目
部位
额叶
顶叶
颞叶
枕叶
, 百拇医药
小脑半球
%
合计
扫描方法
平扫
增强
平扫
增强
平扫
增强
平扫
增强
平扫
增强
, http://www.100md.com
平扫
增强
平扫
增强
皮质
10
13
9
10
6
9
8
8
10
, 百拇医药
18
20
19
43
58
髓质
9
10
11
16
6
11
1
3
, 百拇医药
6
16
15
18
33
56
皮髓交界
23
33
30
40
29
31
15
, 百拇医药
19
39
44
62
53
136
167
硬膜-蛛网膜
3
6
3
9
软膜-蛛网膜
, 百拇医药 5
1
7
1
3
2
1
5
2
17
合计
42
61
51
, 百拇医药
76
42
60
24
30
55
80
214
307
态多呈圆形,椭圆形或不规则形,有明显之占位征象。67例中,大脑镰移位30例次,脑室受压移位46例次,邻近脑沟,脑池闭塞消失16例次,脑沟变浅37例次。152个病灶(70%)较小而周围水肿广泛,ETR>1,占位效应显著。147个病灶T1WI呈低信号,164个病灶T2WI呈高信号。53个病灶呈不规律混杂信号,即22个呈短T1高信号改变,T2WI显示长T2高信号,即有出血征象;其中有15个病灶内呈长T1低信号,短T2低信号,呈含铁血黄素沉着征象;1个病灶呈长T1,短T2低信号,CT扫描显示为钙化;15个病灶T1WI及T2WI信号类似于脑脊液。本组病灶T2WI显示较T1WI多(多发现17个病灶)。
, 百拇医药
(2)脑膜:2例为蛛网膜下腔的结节,共3个病灶,直径在1~2cm;其中位于顶叶脑沟1个,颞叶脑沟1个,小脑脑沟1个,病灶在T1WI上为等信号或略低信号,T2WI上为略高信号(图1、2)。4例仅见交通性轻度脑积水。2例显示脑内多发转移灶,但未显示脑膜病变。有2例仅见颅底骨质破坏,未显示脑膜浸润。
2.3 MRI增强表现 56例增强后均显示不同程度强化灶。根据增强后的MRI表现确定病灶的分布、数目、大小、形态、以及囊变、坏死、水肿等情况。
(1)脑转移病灶分布:幕上转移31例(单发13例,多发18例);幕下转移10例(单发4例,多发6例);幕上、幕下存在转移26例(其中5例合并脑干转移)。幕上转移主要分布于脑内的顶、颞叶及额叶和枕叶等脑皮质,脑髓质及脑皮髓交界处。幕下转移病灶主要分布于小脑半球,蚓部及脑干(见表1)。桥脑4个,延脑1个,平扫和增强所见数目一致。
, http://www.100md.com
(2)大小、形态及信号:①病灶最大为7cm×5cm×6cm,最小者为0.2cm×0.2cm,其中直径在2~4cm为最多见。②增强后形态:圆形结节状98个,类圆形结节状48个,环形110个,连环形3个,周围表现圆形但其中心呈点状低信号30个。结节状沿颅骨走行的弯曲线状强化7个,不均匀增厚强化16个,(共312个)。③信号:注入Gd-DTPA后,行T1WI扫描多呈圆形、环形等不同的程度之高信号改变,中心呈囊变或坏死即仍呈低信号49个。
(3)瘤周水肿:无瘤周水肿0度92个,瘤周水肿Ⅰ度22个,Ⅱ度82个,Ⅲ度116个。
(4)脑膜转移:3例硬膜-蛛网膜型转移,表现沿脑沟走行之线状增厚及强化,本组有1例位于顶叶,表现为颅骨内板下方连续线状强化。2例位于颞叶脑膜,沿颅骨内板下方连续线状强化。3例软脑膜-蛛网膜下腔型转移,位于脑沟,脑池结节状强化(图3、4),有2例位于额、顶、颞脑沟及脚间池和小脑脑沟,结节状强化,共见结节14个转移灶,大小为0.2~2.0cm之间。2例脑转移合并脑膜转移(图5、6),转移灶位于颞叶脑沟1个,右侧脑室三角区1例,均有明显不同程度的结节状强化。19个脑内转移侵及脑膜,增强后可见脑膜增厚或类似“靶征”或“鼠尾征”的征象。
, http://www.100md.com
(5)供血情况:按颈内动脉主要分支,即大脑前、中、后动脉分支的脑实质分布区确定转移瘤的位置。由大脑前动脉供血86个,大脑中动脉供血89个,大脑后动脉供血61个,颈外动脉供血7个(脑膜转移),小脑后动脉供血69个。
2.4 病理资料 手术证实肺癌33例,乳腺癌5例,结肠癌2例、胃癌1例,肝癌1例,肾癌1例,肾上腺癌1例,皮肤癌1例。部位不明,但经临床多项检查,脑脊液细胞检查及活检证实者22例。镜下组织学表现与原发肿瘤相似,癌组织有不同程度的坏死、液化、囊性变或出血,癌肿周边部可见癌组织沿血管周围浸润,脑组织水肿明显,并有淋巴细胞,巨噬细胞及泡沫细胞形成。
2.5 不同原发癌肿在脑内转移的特点
(1)肺癌脑转移:肺癌主要以多发形式出现,多位于幕上、幕下亦可受累。本组33例中单纯幕上转移9例(其中单发3例,多发6例)。单纯幕下转移5例(单发3例,多发2例)。幕上、幕下均受累19例。直径在0.2~7cm之间。33例中有9例可见短T1高信号,示灶周有出血。13例可见短T2低信号,示灶周有含铁血黄素沉着,11例内有囊变和坏死。增强后均示有环形、实性结节状增强,部分呈环形混杂强化(8个);共有12个侵及脑膜,其中硬膜-蛛网膜受侵6个,软膜-蛛网膜下腔转移6个。
, http://www.100md.com
(2)乳腺癌脑转移特点:5例乳腺癌脑转移,3例幕上、幕下均受累,其中1例合并脑膜转移。2例为单纯脑膜转移。转移灶均呈长T1,长T2信号。多发病例中1例可见短T2低信号,CT为高密度影,示为钙化。病灶大小在4cm×3cm×2cm之间。增强后4个呈环形;5个呈均匀实性结节状强化。脑膜转移1个呈线状增厚,4个呈结节状强化。
(3)其它癌肿转移:由于本组病例中数目较少,故未做详细性统计。
2.6 统计学结果 增强较平扫多发现转移瘤92个(29%),P<0.01。T2WI较T1WI多发现转移瘤17个(9.6%),P>0.01。单纯脑转移占61.2%,单纯脑膜转移占7.5%。脑转移合并脑膜转移占31.3%。脑转移较脑膜转移多,χ2=11.98,P<0.01。灰白交界部转移瘤占53.5%。大脑前动脉分布区占27.6%,大脑中动脉分布区占28.5,大脑后动脉分布区占19.6%。椎基底动脉22.1%。颈外动脉2.2%。



, 百拇医药
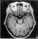
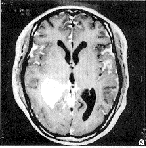
图1 直肠癌手术后7个月病人,轴位平扫T2WI示左大脑脚前方略高信号,脚间池左侧似有充盈缺损 图2 同图1病人轴位T1WI示左大脑脚前方等信号结节,脚间池左侧有充盈缺损 图3 同图1病人轴位增强扫描示左大脑脚前方增强结节,脚间池左侧有充盈缺损 图4 同图1病人矢状位增强扫描示大脑脚前及小脑上沟和小脑下蚓部结节状增强 图5 室管膜瘤转移,T1WI轴位增强示右侧脑室三角区肿块伴软膜-蛛网膜转移呈结节状增强 图6 同图5病人,T1WI矢状位增强扫描示软膜-蛛网膜 转移呈结节状增强3 讨论
3.1 颅内转移瘤发生率 脑转移瘤约占颅内肿瘤的25%~30%[1],脑转移的原发恶性肿瘤可来自中枢神经系统内或外。血源性脑转移中以肺癌转移率最高,文献报道约占7%~65%[4],其它依次为乳腺癌,结肠癌等。本组原发肺癌脑转移有33例,占49.3%,与文献报导相符。而在脑、脊髓实质转移中31%合并有软脑膜受累[5],本组合并软脑膜受累19例,约占28.5%。以血源性肺癌,乳癌常见、而胃癌、肾癌,黑色素瘤,白血病及淋巴瘤等亦可发生[6]。
, 百拇医药
3.2 血源性脑、脑膜转移瘤的分布特点 常以单发、多发性和弥漫性三种方式生长,病理上转移瘤结构与原发肿瘤相似。界限清楚,呈实性或囊性,可分布于脑的任何部位。幕上转移多于幕下,幕上者大脑中动脉分布区多见,且以灰、白质交界为主。作者认为与血液中的瘤细胞较易进入大脑中动脉末梢分支及脑内动脉血液供应的特殊性有关,大脑灰质的血流为脑白质的3~4倍,解剖上供血动脉在灰、白质界面上突然变细,使转移瘤栓大多被阻于此交界区,本组53.5%位于灰白质交界区。脑膜转移发生弥漫性蛛网膜下腔浸润,以脑底或脊髓脊膜最为多见,累及其中的颅神经或脊髓神经根,瘤细胞浸润形成局限性瘤结节或广泛性软脑膜癌病,脑脊液回流受阻形成脑积水。
3.3 MRI表现
(1)脑转移:MRI平扫T1WI肿瘤呈低信号,T2WI呈高信号,有明显的占位效应,肿瘤周围水肿明显。瘤灶多位于大脑灰、白质交界处,少数位于丘脑及小脑,较大的瘤内可有囊变及出血,并可累及脑表面。小于0.5cm结节,MRI非增强扫描很易遗漏。注入Gd-DTPA后增强扫描有不同形态的强化(93.6%),如呈结节状或环形增强,也有混杂强化。脑膜受侵时,可出现脑膜增厚或类似“靶征”或“鼠尾征”。MRI增强可发现<0.5cm的转移结节,T1WI增强应为首选方法。
, 百拇医药
(2)脑膜转移特点:非增强MRI所显示的阳性征象并不多,主要为交通性脑积水,间质性脑水肿等间接征象[4]。对脑膜弥漫性转移的直接征象难以显示,较大的肿瘤结节虽可发现,但难以清楚显示其边界,0.5cm以下的结节易遗漏,因此非增强MRI扫描在诊断脑膜转移上价值有限,显示病变的病理征象主要依靠增强扫描。因硬脑膜无血脑屏障存在,故正常脑膜可以出现轻度强化,呈短线状不连续。在结节性转移中,软脑膜表面的结节可突入脑实质,并可伴脑水肿,类似脑内转移,但肿瘤同时位于脑实质和蛛网膜下腔内是其特点,与完全位于脑内的转移瘤表现不同。在病理性脑膜增强中,硬脑膜-蛛网膜的增强与软脑膜-蛛网膜下腔的增强表现完全不同,前者呈线状或颅骨内板下结节状强化,可以是节段性,连续层面均可见到,但不伸入脑池,脑沟。后者表现为深入脑回或沿大脑表面起伏的小结节状或线性强化。
3.4 MRI在临床诊断中的作用 MRI增强扫描为诊断脑、脑膜转移的主要影像检查方法。而T2WI发现转移瘤较T1WI敏感。但MRI平扫对脑及脑膜转移的诊断上还存在一定的限度。因为单纯脑及脑膜的转移瘤MRI显示率较低,且无病理诊断上特异性,脑膜转移与感染性脑膜炎,结节病等多种病变难以区别,所以单纯脑内或脑膜的扫描阳性表现不能确诊脑或脑膜转移,必须有赖于结合其它影像征象和临床资料的综合性分析。当原发肿瘤病史明确,有脑、脑膜受累的临床表现,MRI表现为脑、脑膜的病理性强化,则支持脑、脑膜转移的诊断。如无脑、脑膜受累的直接征象,不能完全排除脑、脑膜转移应根据病变的进展情况,及时复查MRI增强扫描,以便发现脑、脑膜受累的证据。当原发肿瘤不明,可脑、脑膜有相似转移瘤灶出现,在诊断尚未明确时,应作相关的辅助性检查,如脑脊液细胞学检查,以明确诊断。因此,MRI增强扫描具有重要的临床作用。
, http://www.100md.com
[作者简介]徐朝霞(1967—),女,山东乐陵人,学士,现为第四军医大学中青年人才培养基金班学员。
[参考文献]
[1] 史玉泉.实用神经病学[M].第2版.上海:上海科学技术出版社,1994.564-572.
[2] 王金林,肖湘生,刘光华,等.脑内转移瘤周水肿与解剖部位的MRI研究[J].中华放射学杂志,1997,31(7):495-496.
[3] Meltzer C C,Fukui M B,Kanal E,et al.MR imaging of the meninges.Part I.Normal anatomic features and noneoplastic disease[J].Radiology,1996,201(2):297-308.
, http://www.100md.com
[4] 肖家和,王大有,邓开鸿.肿瘤软脑膜-蛛网膜转移的CT、MRI诊断[J].中华放射学杂志,1999,33(2):85-88.
[5] Zelaya FO,Rose SE,Nixon PF,et al.MRI demonstration of impairment of the blood-CSF barrier by glucose administration to the thiamin-deficient rat brain[J].Magnetic Resonance Imaging,1995,13(4):555-561.
[6] Hwang TL,Close TP,Grego JM,et al.Prediliction of brain metastasis in gray matter junction and vascular border zones[J].Cancer,1996,77(8):1551-1555.
收稿日期:2000-02-20, http://www.100md.com
单位:西安市第四军医大学西京医院放射影像科,陕西 西安 710032
关键词:脑;脑膜;转移瘤;磁共振成像
中国医学影像技术000908[摘 要] 目的 回顾性分析经临床及病理证实67例血源性脑及脑膜转移瘤的临床特征及MRI表现,探讨MRI诊断作用。方法 67例病人,男50例,女17例;年龄18~77岁。其中56例注射Gd-DTPA后横轴位,矢状位及冠状位T1WI扫描。结果 MRI诊断单纯脑转移41例,单纯脑膜转移5例,脑转移侵及脑膜19例,脑转移合并脑膜转移2例。56例增强扫描中均有不同程度之强化,多呈圆形结节或环形,直径在0.2~7.0cm之间。脑转移侵及脑膜可见脑膜增厚或类似“靶征”或“鼠尾征”。结论 MRI是诊断脑及脑膜转移的可靠方法,增强MRI对脑及脑膜转移的诊断具有重要价值,鉴别诊断应结合临床资料和其他影像学资料综合分析。
, 百拇医药
[中图分类号] R445.2;R322.81;R73-37 [文献标识码] A
[文章编号] 1003-3289(2000)09-0728-04
MRI Characteristics of Hematogenous Cerebral and Meningeal Metastasis
XU Zhao-xia, ZHANG Gui-xiang, ZHANG Xu-xin
(Department of Radiology,Xi'jing Hospital Fourth Military Medical University,Xi'an 710032,China)
[Abstract] Objective To analyse respectively the clinical and MRI features of 67 hematogenous cerebral and meningeal metastases proved by clinical and pathology.To explore MRI diagnostic function. Methods 67 patients including 50 males and 17 females with the age of 18~77 years old.Pre- and post-enhancement with Gadolinum DTPA of 56 patients were taken with transveaxial sagittal and coronal planes. Results MRI found 41 cerebral metastasis,5 meningeal metastasis and 19 cerebral metastasis invaded meninge,2 cerebral with meningeal metastasis.56 post-enhanced MRI showed different degree of spherical nodule or ring enhancement.The diameter of metastasis was 0.2~7.0 cm.Meningeal thicking or just like “target sign” or “tail of mouse sign” were found after cerebral metastasis invaded neighbour meninges. Conclusion MRI is a good method for diagnosing cerebral and meningeal metastasis.Enhanced MRI has a important value on cerebral and meningeal metastasis.Differential diagnosis has to combine with other imaging information and clinical data.
, http://www.100md.com
[Key words]Brain; Meninge; Metastasis; Magnetic resonance imaging
我们对1994年5月至1999年7月经临床、手术、病理证实的67例脑及脑膜转移瘤的MRI表现进行回顾分析,总结如下:
1 材料与方法
67例病人,男50例,女17例,男∶女比例为3.1∶1,年龄18~77岁(平均54岁),>40岁57例(占85%)。所有病例均经临床,影像学及手术病理学证实。MRI检查使用Siemens 1.5 Tesla成像机,SE序列,横轴位T1WI(TR500~700ms,TE15~30ms);T2WI(TR2500~6000ms,TE60~90ms);矢状位T1WI(TR500~700ms,TE30~50ms)。层厚5mm,层间距0.3mm。矩阵256×256。增强扫描使用Gd-DTPA造影剂,0.1mmol/kg,静脉团注法,T1WI横轴位及矢状位,冠状位,检查序列及参数同平扫。
, http://www.100md.com
2 结果
2.1 判断标准
(1)水肿比值:笔者分别测量最大转移瘤直径和瘤周最大水肿径(edema tumour ratio,ETR),依据两者的比值将瘤周水肿程度划分为四个级别:0度:未见明显水肿;Ⅰ度:ETR<1;Ⅱ度:ETR>1但<2;Ⅲ度:ETR>2[2]。
(2)转移瘤定位:依据MRI显示转移瘤的中心位置确定位于脑的叶、回;灰质、白质,灰白交界、室管膜或脑膜。
(3)脑膜转移分型:按Meltzer方法分为两型:软脑膜-蛛网膜下腔型表现为深入脑回脑表面起伏的小结节状强化。硬脑膜-蛛网膜型,表现为颅骨内板下结节状或增厚的节段性强化,连续层面均可见到[3]。
2.2 MRI平扫表现
, 百拇医药
(1)脑实质:根据病灶位置脑实质内共见217个,其中转移灶位于脑灰质43个,脑白质33个,灰白交界136个,脑干(桥脑4个,延脑1个)5个。大小约在1.0~7.0cm之间,形
表1 56例增强前后转移瘤部位及数目分布表 项目
幕 上
幕下
百分比
数目
部位
额叶
顶叶
颞叶
枕叶
, 百拇医药
小脑半球
%
合计
扫描方法
平扫
增强
平扫
增强
平扫
增强
平扫
增强
平扫
增强
, http://www.100md.com
平扫
增强
平扫
增强
皮质
10
13
9
10
6
9
8
8
10
, 百拇医药
18
20
19
43
58
髓质
9
10
11
16
6
11
1
3
, 百拇医药
6
16
15
18
33
56
皮髓交界
23
33
30
40
29
31
15
, 百拇医药
19
39
44
62
53
136
167
硬膜-蛛网膜
3
6
3
9
软膜-蛛网膜
, 百拇医药 5
1
7
1
3
2
1
5
2
17
合计
42
61
51
, 百拇医药
76
42
60
24
30
55
80
214
307
态多呈圆形,椭圆形或不规则形,有明显之占位征象。67例中,大脑镰移位30例次,脑室受压移位46例次,邻近脑沟,脑池闭塞消失16例次,脑沟变浅37例次。152个病灶(70%)较小而周围水肿广泛,ETR>1,占位效应显著。147个病灶T1WI呈低信号,164个病灶T2WI呈高信号。53个病灶呈不规律混杂信号,即22个呈短T1高信号改变,T2WI显示长T2高信号,即有出血征象;其中有15个病灶内呈长T1低信号,短T2低信号,呈含铁血黄素沉着征象;1个病灶呈长T1,短T2低信号,CT扫描显示为钙化;15个病灶T1WI及T2WI信号类似于脑脊液。本组病灶T2WI显示较T1WI多(多发现17个病灶)。
, 百拇医药
(2)脑膜:2例为蛛网膜下腔的结节,共3个病灶,直径在1~2cm;其中位于顶叶脑沟1个,颞叶脑沟1个,小脑脑沟1个,病灶在T1WI上为等信号或略低信号,T2WI上为略高信号(图1、2)。4例仅见交通性轻度脑积水。2例显示脑内多发转移灶,但未显示脑膜病变。有2例仅见颅底骨质破坏,未显示脑膜浸润。
2.3 MRI增强表现 56例增强后均显示不同程度强化灶。根据增强后的MRI表现确定病灶的分布、数目、大小、形态、以及囊变、坏死、水肿等情况。
(1)脑转移病灶分布:幕上转移31例(单发13例,多发18例);幕下转移10例(单发4例,多发6例);幕上、幕下存在转移26例(其中5例合并脑干转移)。幕上转移主要分布于脑内的顶、颞叶及额叶和枕叶等脑皮质,脑髓质及脑皮髓交界处。幕下转移病灶主要分布于小脑半球,蚓部及脑干(见表1)。桥脑4个,延脑1个,平扫和增强所见数目一致。
, http://www.100md.com
(2)大小、形态及信号:①病灶最大为7cm×5cm×6cm,最小者为0.2cm×0.2cm,其中直径在2~4cm为最多见。②增强后形态:圆形结节状98个,类圆形结节状48个,环形110个,连环形3个,周围表现圆形但其中心呈点状低信号30个。结节状沿颅骨走行的弯曲线状强化7个,不均匀增厚强化16个,(共312个)。③信号:注入Gd-DTPA后,行T1WI扫描多呈圆形、环形等不同的程度之高信号改变,中心呈囊变或坏死即仍呈低信号49个。
(3)瘤周水肿:无瘤周水肿0度92个,瘤周水肿Ⅰ度22个,Ⅱ度82个,Ⅲ度116个。
(4)脑膜转移:3例硬膜-蛛网膜型转移,表现沿脑沟走行之线状增厚及强化,本组有1例位于顶叶,表现为颅骨内板下方连续线状强化。2例位于颞叶脑膜,沿颅骨内板下方连续线状强化。3例软脑膜-蛛网膜下腔型转移,位于脑沟,脑池结节状强化(图3、4),有2例位于额、顶、颞脑沟及脚间池和小脑脑沟,结节状强化,共见结节14个转移灶,大小为0.2~2.0cm之间。2例脑转移合并脑膜转移(图5、6),转移灶位于颞叶脑沟1个,右侧脑室三角区1例,均有明显不同程度的结节状强化。19个脑内转移侵及脑膜,增强后可见脑膜增厚或类似“靶征”或“鼠尾征”的征象。
, http://www.100md.com
(5)供血情况:按颈内动脉主要分支,即大脑前、中、后动脉分支的脑实质分布区确定转移瘤的位置。由大脑前动脉供血86个,大脑中动脉供血89个,大脑后动脉供血61个,颈外动脉供血7个(脑膜转移),小脑后动脉供血69个。
2.4 病理资料 手术证实肺癌33例,乳腺癌5例,结肠癌2例、胃癌1例,肝癌1例,肾癌1例,肾上腺癌1例,皮肤癌1例。部位不明,但经临床多项检查,脑脊液细胞检查及活检证实者22例。镜下组织学表现与原发肿瘤相似,癌组织有不同程度的坏死、液化、囊性变或出血,癌肿周边部可见癌组织沿血管周围浸润,脑组织水肿明显,并有淋巴细胞,巨噬细胞及泡沫细胞形成。
2.5 不同原发癌肿在脑内转移的特点
(1)肺癌脑转移:肺癌主要以多发形式出现,多位于幕上、幕下亦可受累。本组33例中单纯幕上转移9例(其中单发3例,多发6例)。单纯幕下转移5例(单发3例,多发2例)。幕上、幕下均受累19例。直径在0.2~7cm之间。33例中有9例可见短T1高信号,示灶周有出血。13例可见短T2低信号,示灶周有含铁血黄素沉着,11例内有囊变和坏死。增强后均示有环形、实性结节状增强,部分呈环形混杂强化(8个);共有12个侵及脑膜,其中硬膜-蛛网膜受侵6个,软膜-蛛网膜下腔转移6个。
, http://www.100md.com
(2)乳腺癌脑转移特点:5例乳腺癌脑转移,3例幕上、幕下均受累,其中1例合并脑膜转移。2例为单纯脑膜转移。转移灶均呈长T1,长T2信号。多发病例中1例可见短T2低信号,CT为高密度影,示为钙化。病灶大小在4cm×3cm×2cm之间。增强后4个呈环形;5个呈均匀实性结节状强化。脑膜转移1个呈线状增厚,4个呈结节状强化。
(3)其它癌肿转移:由于本组病例中数目较少,故未做详细性统计。
2.6 统计学结果 增强较平扫多发现转移瘤92个(29%),P<0.01。T2WI较T1WI多发现转移瘤17个(9.6%),P>0.01。单纯脑转移占61.2%,单纯脑膜转移占7.5%。脑转移合并脑膜转移占31.3%。脑转移较脑膜转移多,χ2=11.98,P<0.01。灰白交界部转移瘤占53.5%。大脑前动脉分布区占27.6%,大脑中动脉分布区占28.5,大脑后动脉分布区占19.6%。椎基底动脉22.1%。颈外动脉2.2%。
, 百拇医药
图1 直肠癌手术后7个月病人,轴位平扫T2WI示左大脑脚前方略高信号,脚间池左侧似有充盈缺损 图2 同图1病人轴位T1WI示左大脑脚前方等信号结节,脚间池左侧有充盈缺损 图3 同图1病人轴位增强扫描示左大脑脚前方增强结节,脚间池左侧有充盈缺损 图4 同图1病人矢状位增强扫描示大脑脚前及小脑上沟和小脑下蚓部结节状增强 图5 室管膜瘤转移,T1WI轴位增强示右侧脑室三角区肿块伴软膜-蛛网膜转移呈结节状增强 图6 同图5病人,T1WI矢状位增强扫描示软膜-蛛网膜 转移呈结节状增强3 讨论
3.1 颅内转移瘤发生率 脑转移瘤约占颅内肿瘤的25%~30%[1],脑转移的原发恶性肿瘤可来自中枢神经系统内或外。血源性脑转移中以肺癌转移率最高,文献报道约占7%~65%[4],其它依次为乳腺癌,结肠癌等。本组原发肺癌脑转移有33例,占49.3%,与文献报导相符。而在脑、脊髓实质转移中31%合并有软脑膜受累[5],本组合并软脑膜受累19例,约占28.5%。以血源性肺癌,乳癌常见、而胃癌、肾癌,黑色素瘤,白血病及淋巴瘤等亦可发生[6]。
, 百拇医药
3.2 血源性脑、脑膜转移瘤的分布特点 常以单发、多发性和弥漫性三种方式生长,病理上转移瘤结构与原发肿瘤相似。界限清楚,呈实性或囊性,可分布于脑的任何部位。幕上转移多于幕下,幕上者大脑中动脉分布区多见,且以灰、白质交界为主。作者认为与血液中的瘤细胞较易进入大脑中动脉末梢分支及脑内动脉血液供应的特殊性有关,大脑灰质的血流为脑白质的3~4倍,解剖上供血动脉在灰、白质界面上突然变细,使转移瘤栓大多被阻于此交界区,本组53.5%位于灰白质交界区。脑膜转移发生弥漫性蛛网膜下腔浸润,以脑底或脊髓脊膜最为多见,累及其中的颅神经或脊髓神经根,瘤细胞浸润形成局限性瘤结节或广泛性软脑膜癌病,脑脊液回流受阻形成脑积水。
3.3 MRI表现
(1)脑转移:MRI平扫T1WI肿瘤呈低信号,T2WI呈高信号,有明显的占位效应,肿瘤周围水肿明显。瘤灶多位于大脑灰、白质交界处,少数位于丘脑及小脑,较大的瘤内可有囊变及出血,并可累及脑表面。小于0.5cm结节,MRI非增强扫描很易遗漏。注入Gd-DTPA后增强扫描有不同形态的强化(93.6%),如呈结节状或环形增强,也有混杂强化。脑膜受侵时,可出现脑膜增厚或类似“靶征”或“鼠尾征”。MRI增强可发现<0.5cm的转移结节,T1WI增强应为首选方法。
, 百拇医药
(2)脑膜转移特点:非增强MRI所显示的阳性征象并不多,主要为交通性脑积水,间质性脑水肿等间接征象[4]。对脑膜弥漫性转移的直接征象难以显示,较大的肿瘤结节虽可发现,但难以清楚显示其边界,0.5cm以下的结节易遗漏,因此非增强MRI扫描在诊断脑膜转移上价值有限,显示病变的病理征象主要依靠增强扫描。因硬脑膜无血脑屏障存在,故正常脑膜可以出现轻度强化,呈短线状不连续。在结节性转移中,软脑膜表面的结节可突入脑实质,并可伴脑水肿,类似脑内转移,但肿瘤同时位于脑实质和蛛网膜下腔内是其特点,与完全位于脑内的转移瘤表现不同。在病理性脑膜增强中,硬脑膜-蛛网膜的增强与软脑膜-蛛网膜下腔的增强表现完全不同,前者呈线状或颅骨内板下结节状强化,可以是节段性,连续层面均可见到,但不伸入脑池,脑沟。后者表现为深入脑回或沿大脑表面起伏的小结节状或线性强化。
3.4 MRI在临床诊断中的作用 MRI增强扫描为诊断脑、脑膜转移的主要影像检查方法。而T2WI发现转移瘤较T1WI敏感。但MRI平扫对脑及脑膜转移的诊断上还存在一定的限度。因为单纯脑及脑膜的转移瘤MRI显示率较低,且无病理诊断上特异性,脑膜转移与感染性脑膜炎,结节病等多种病变难以区别,所以单纯脑内或脑膜的扫描阳性表现不能确诊脑或脑膜转移,必须有赖于结合其它影像征象和临床资料的综合性分析。当原发肿瘤病史明确,有脑、脑膜受累的临床表现,MRI表现为脑、脑膜的病理性强化,则支持脑、脑膜转移的诊断。如无脑、脑膜受累的直接征象,不能完全排除脑、脑膜转移应根据病变的进展情况,及时复查MRI增强扫描,以便发现脑、脑膜受累的证据。当原发肿瘤不明,可脑、脑膜有相似转移瘤灶出现,在诊断尚未明确时,应作相关的辅助性检查,如脑脊液细胞学检查,以明确诊断。因此,MRI增强扫描具有重要的临床作用。
, http://www.100md.com
[作者简介]徐朝霞(1967—),女,山东乐陵人,学士,现为第四军医大学中青年人才培养基金班学员。
[参考文献]
[1] 史玉泉.实用神经病学[M].第2版.上海:上海科学技术出版社,1994.564-572.
[2] 王金林,肖湘生,刘光华,等.脑内转移瘤周水肿与解剖部位的MRI研究[J].中华放射学杂志,1997,31(7):495-496.
[3] Meltzer C C,Fukui M B,Kanal E,et al.MR imaging of the meninges.Part I.Normal anatomic features and noneoplastic disease[J].Radiology,1996,201(2):297-308.
, http://www.100md.com
[4] 肖家和,王大有,邓开鸿.肿瘤软脑膜-蛛网膜转移的CT、MRI诊断[J].中华放射学杂志,1999,33(2):85-88.
[5] Zelaya FO,Rose SE,Nixon PF,et al.MRI demonstration of impairment of the blood-CSF barrier by glucose administration to the thiamin-deficient rat brain[J].Magnetic Resonance Imaging,1995,13(4):555-561.
[6] Hwang TL,Close TP,Grego JM,et al.Prediliction of brain metastasis in gray matter junction and vascular border zones[J].Cancer,1996,77(8):1551-1555.
收稿日期:2000-02-20, http://www.100md.com