碘水剂椎管造影误入硬膜下腔的影像学分析
作者:涂蓉 陈春美 俞安乐
单位:海南医学院附属医院放射科(570102)
关键词:椎管造影;硬膜下腔;CT
放射学实践990108 【摘要】 目的:观察碘水剂椎管造影误入硬膜下腔的X线造影表现,并分析其误入原因和鉴别诊断方法。方法:从281例椎管造影中发现7例经脊髓造影CT(CTM)证实有造影剂误入硬膜下腔者,进行X线征象分析。结果:发现其造影呈多样化影像表现,可产生多种假象:7例椎管造影中,假性硬膜外梗阻征5例,假性血管畸形4例,马尾神经不显影者5例等。结论:碘水剂椎管造影误入硬膜下腔的X线造影表现极易误诊为硬膜外梗阻和血管畸形,充分认识其X线表现,并与CTM对照分析,有重要的鉴别诊断意义。用细针操作,可减少其发生率。
An Analynsis of Myelography with Misintroduction of Isovist contrast medium into subdusal space
, 百拇医药
Tu Rong,Chen Chunmei,Yu anle.Department of Radiology,Hospital of Hainang Medical University.Haikou 570102
【Abstract】 Purpose:To review the X-ray findings of myelography with misintroduction of Isovist into subdural space.Methods:CT Myelographies (CTM) confirmedthe misintroduction of Isovist in 7 cases of 281 myelographies,The causes of misintroductioin and its differential diagnosis were discussed.Results:The 7 myelographic findings were various:5 cases showed pseudoepidural obstruction,4 cases with arteriovenous malformations (AVM),non-visualization of coccygeal nerves in 5 cases.The typical image of CT myelography with misintroduction of Isovist into subdural space was the appearance of a two-layer structure.Conclusion:The myelography with misintroduction of contrast medium could be easily misinterpreted as epidural obstruction and AVM.Recognizing these images and comparing myelography with its CTM could help the differential diagnosis.Operating with fine needle and careful technique might lessen the chance of misintroduction .
, 百拇医药
【Key words】 Myelography Subdural space CT
近几年虽然MRI已在椎管疾病的诊断中占据了主导地位,但在此期间椎管造影并没有被淘汰,而是得到了进一步的发展,尤其对没有MRI检查装置的地方,仍是一种切实可行的椎管检查方法[1]。椎管造影时如将碘水剂误注入硬膜下腔,常给诊断带来困难,甚至造成误诊。以往文献对碘油剂误入硬膜下腔有过描述[2,3],而对碘水剂误入硬膜下腔的影像学表现,未见文献报道。本文重点分析碘水剂误入硬膜下腔的X线椎管造影表现,并分析误注原因和如何鉴别诊断,旨在减少误注、避免误诊。
材料与方法
笔者搜集了1994年10月至今281例椎管造影,从中发现了7例造影剂误入硬膜下腔的椎管造影片。7例患者中,男性5例,女性2例,年龄30~74岁(平均49.5岁)。7例均经CTM证实:造影4h后的CTM可明显显示造影剂在硬膜下腔,而蛛网膜下腔不显影的内低外高密度的双层影像。1例还经重复造影证实,7例均因椎间盘突出等疾病做了手术治疗。造影方法采取腰3~4或腰4~5间盘入路、用7~9号腰穿针穿刺见到脑脊液流出时注入Isovist(300mg碘)10ml,头高25°,分别摄双斜位和正侧位片,若要显示胸段,再放床至-10°~25°摄片。4h后常规于可疑病变处行CT扫描(Somatom CR型CT机),均未见造影剂吸收和硬膜外腔增强现象。同时,找出9例造影剂误入硬膜外腔的CTM和X线椎管造影片比较。
, http://www.100md.com
结 果
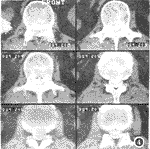
7例X线椎管造影表现归纳如下:造影剂上行至腰1~2段2例,胸段5例;侧斜位片呈刀尖样截断,正位呈浅杯口样假性梗阻,类似于硬膜外梗阻者5例(图1,2),其中2例经头低位后造影剂呈细线样上行(图3,4);呈全程管状充盈缺损表现2例;腰段马尾影不显示5例(图1,3),隐约显示2例;显示粗大的条状充盈缺损征,误为血管畸形4例(图1);自下而上缺乏造影剂由浓逐渐变淡的浓度梯度6例(图1,3)。
7例CTM片表现为蛛网膜下腔无强化,造影剂完全进入硬膜下腔1例;蛛网膜下腔轻微强化,造影剂部分进入硬膜下腔6例(图2),椎管造影片上显示的刀尖样截断征,CTM均可见该处有造影剂流过。而9例造影剂进入硬膜外腔的CTM,均表现为造影剂完全吸收,椎旁肌肉强化,X线椎管造影均表现为竹节样外观,造影柱增宽,流动性差。
, http://www.100md.com
图1 造影柱上行至胸12段,正位成浅杯口,侧位呈刀尖样截断,缺乏浓度梯度,末见马尾充盈缺损,腰4段可见条状充盈缺损(↑)
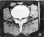
图2 与图1同一病人的CTM,咳见造影剂位于硬膜下,呈内外双层表现。
图3 双斜位片,可见造影剂线样上行,末见马尾影,造影剂缺乏浓度梯度,MRI末见异常。
图4 与图3同一病人的CTM,造影剂位于硬膜下腔。
讨 论
造影剂误入硬膜下腔容易被CTM识别,Dake[5]描述的CTM表现,与笔者所述的双层结构相似,内层是造影剂充盈不良的蛛网膜下腔,外层是充满造影剂的硬膜下腔,常呈梭形或半月形,非常类似于头颅硬膜下或硬膜外血肿的成像原理,其双层各自密度的高低与其内造影剂的量相关,该征可视为诊断造影剂进入硬膜下腔的金指标。而造影剂误入硬膜下腔的椎管造影表现则不易被识别,可以造成许多假象。因此,充分认识其X线表现很有临床意义。
, http://www.100md.com
椎管造影表现 由于碘水剂流动性好,造影时并不象以往文献所述的流动缓慢[2,3],所以比碘油剂更不易及时发现。在X线表现上有与碘油剂造影相似之处,但本组更多见的是:1.造影柱上行受阻,上缘侧位呈刀尖样截断,这可能是由于硬膜下腔的齿状韧带阻挡所致[4];2.腰段马尾之线条样充盈缺损多显示不清,这是因为硬膜下腔没有马尾神经所致。若造影剂半量以上进入蛛网膜下腔半量以下注入硬膜下腔时亦能隐约显示马尾影;3.造影柱上行缺乏浓度梯度:当造影剂注入蛛网膜下腔时,造影剂会随着脑脊液循环自下而上逐渐上行,浓度由浓逐渐变淡,形成一个浓度梯度。而当造影剂注入硬膜下腔时,由于硬膜下腔内没有脑脊液,所以就没有浓度梯度,但流动变缓现象并不象碘油剂误入硬膜下腔明显[3];4.腰段出现全管状充盈缺损,则为造影剂几乎全部进入硬膜下腔,使蛛网膜下腔出现中空状态所致;5.有时可见到粗大的条状充盈缺损,则是硬膜静脉影[2],而非血管畸形。
鉴别诊断 碘水剂比碘油剂误入硬膜下腔的造影表现更多样化,可出现许多假阳性造成误诊,本组就有误为硬膜外梗阻和血管畸形的。因此,鉴别诊断的临床意义重大,鉴别要点可归纳为:1.造影剂误入硬膜下腔的假性梗阻端呈刀尖样,侧位常偏向腹侧或背侧的直角三角形,与真性梗阻的笔尖样的等腰三角形不同,后者常是环形截断所致;2.该影像缺乏恒定性,变换体位多次摄片可出现截断口形态与位置变化现象,4h后的CTM不能显示与造影片相符的梗阻性病变;3.造影时特别注意马尾神经是否显示得清晰,是鉴别诊断的关键;4.双筒征[2];5.流动或排空延迟[3];6.CT扫描可见双层影;7.必要时可重复造影。
, 百拇医药
除此之外,还需与造影剂注入硬膜外腔进行鉴别:后者临床上更常见,椎管造影可见竹节样充盈,两侧造影柱间距明显宽于前者,造影剂流动性更差,而吸收则明显快于前者,4h后CT扫描椎管内造影剂均已吸收,并见椎旁肌肉内造影剂残留痕迹,这是硬膜外血管丰富所致。而前者CTM可直接显示造影剂在硬膜囊内。
误入原因分析 Epstein[2]认为是由于穿刺针的针尖部分进入蛛网膜下腔,部分还在硬膜下腔,虽然脑脊液能顺利流出,但当注射时,则造影剂部分流入了硬膜下腔,本组7例(82.5%)有此表现,亦支持这一点。Dake[5]发现用22G穿刺针可减少其发生率。另外,穿刺次数增多,针眼大,或蛛网膜下腔压力增高,也可导致造影剂从蛛网膜下腔漏出到硬膜下腔,Miants[6]通过观察624例CTM发现造影剂漏到硬膜下腔的发生率高达9.6%,也证明了外漏现象的存在。
因此,选用细针,准确操作,适当放出一些脑脊液以降低腔内压力,当确定针套已进入蛛网膜下腔后,再将其略推进少许,可能会减少其发生率。
, 百拇医药
总之,充分认识碘水剂误入硬膜下腔的造影和CTM表现,掌握操作技巧,注意与椎管病变鉴别, 有重要的临床意义。
参考文献
1 漆剑频.现代医学影像在神经系统疾病诊断中的应用.华中医学杂志,1998,22(2)∶71-72.
2 B.S.Epstein 著,段承祥译.脊柱X线诊断学.上海:上海科学技术出版社,1987,31-32.
3 赵定麟主编.脊柱外科学.上海科学技术文献出版社,1997,10(2):110-112.
4 杨克勤主编.脊柱疾患的临床与研究.北京:北京出版社,1993,29-30.
5 Dake MD,Dillon WP,Dorwart RH.CT of Extraarachnoid Metrizamide Instillation.AJR,1986,147∶583-586.
6 Milants WP,Parizel PM,de-Moor J,et al.Epidural and subdural contrast in myelography and CT myelography.Eur-J-Radiol.1993 Feb,16(2)∶147-150.
(1998-09-12 收稿), http://www.100md.com
单位:海南医学院附属医院放射科(570102)
关键词:椎管造影;硬膜下腔;CT
放射学实践990108 【摘要】 目的:观察碘水剂椎管造影误入硬膜下腔的X线造影表现,并分析其误入原因和鉴别诊断方法。方法:从281例椎管造影中发现7例经脊髓造影CT(CTM)证实有造影剂误入硬膜下腔者,进行X线征象分析。结果:发现其造影呈多样化影像表现,可产生多种假象:7例椎管造影中,假性硬膜外梗阻征5例,假性血管畸形4例,马尾神经不显影者5例等。结论:碘水剂椎管造影误入硬膜下腔的X线造影表现极易误诊为硬膜外梗阻和血管畸形,充分认识其X线表现,并与CTM对照分析,有重要的鉴别诊断意义。用细针操作,可减少其发生率。
An Analynsis of Myelography with Misintroduction of Isovist contrast medium into subdusal space
, 百拇医药
Tu Rong,Chen Chunmei,Yu anle.Department of Radiology,Hospital of Hainang Medical University.Haikou 570102
【Abstract】 Purpose:To review the X-ray findings of myelography with misintroduction of Isovist into subdural space.Methods:CT Myelographies (CTM) confirmedthe misintroduction of Isovist in 7 cases of 281 myelographies,The causes of misintroductioin and its differential diagnosis were discussed.Results:The 7 myelographic findings were various:5 cases showed pseudoepidural obstruction,4 cases with arteriovenous malformations (AVM),non-visualization of coccygeal nerves in 5 cases.The typical image of CT myelography with misintroduction of Isovist into subdural space was the appearance of a two-layer structure.Conclusion:The myelography with misintroduction of contrast medium could be easily misinterpreted as epidural obstruction and AVM.Recognizing these images and comparing myelography with its CTM could help the differential diagnosis.Operating with fine needle and careful technique might lessen the chance of misintroduction .
, 百拇医药
【Key words】 Myelography Subdural space CT
近几年虽然MRI已在椎管疾病的诊断中占据了主导地位,但在此期间椎管造影并没有被淘汰,而是得到了进一步的发展,尤其对没有MRI检查装置的地方,仍是一种切实可行的椎管检查方法[1]。椎管造影时如将碘水剂误注入硬膜下腔,常给诊断带来困难,甚至造成误诊。以往文献对碘油剂误入硬膜下腔有过描述[2,3],而对碘水剂误入硬膜下腔的影像学表现,未见文献报道。本文重点分析碘水剂误入硬膜下腔的X线椎管造影表现,并分析误注原因和如何鉴别诊断,旨在减少误注、避免误诊。
材料与方法
笔者搜集了1994年10月至今281例椎管造影,从中发现了7例造影剂误入硬膜下腔的椎管造影片。7例患者中,男性5例,女性2例,年龄30~74岁(平均49.5岁)。7例均经CTM证实:造影4h后的CTM可明显显示造影剂在硬膜下腔,而蛛网膜下腔不显影的内低外高密度的双层影像。1例还经重复造影证实,7例均因椎间盘突出等疾病做了手术治疗。造影方法采取腰3~4或腰4~5间盘入路、用7~9号腰穿针穿刺见到脑脊液流出时注入Isovist(300mg碘)10ml,头高25°,分别摄双斜位和正侧位片,若要显示胸段,再放床至-10°~25°摄片。4h后常规于可疑病变处行CT扫描(Somatom CR型CT机),均未见造影剂吸收和硬膜外腔增强现象。同时,找出9例造影剂误入硬膜外腔的CTM和X线椎管造影片比较。
, http://www.100md.com
结 果
7例X线椎管造影表现归纳如下:造影剂上行至腰1~2段2例,胸段5例;侧斜位片呈刀尖样截断,正位呈浅杯口样假性梗阻,类似于硬膜外梗阻者5例(图1,2),其中2例经头低位后造影剂呈细线样上行(图3,4);呈全程管状充盈缺损表现2例;腰段马尾影不显示5例(图1,3),隐约显示2例;显示粗大的条状充盈缺损征,误为血管畸形4例(图1);自下而上缺乏造影剂由浓逐渐变淡的浓度梯度6例(图1,3)。
7例CTM片表现为蛛网膜下腔无强化,造影剂完全进入硬膜下腔1例;蛛网膜下腔轻微强化,造影剂部分进入硬膜下腔6例(图2),椎管造影片上显示的刀尖样截断征,CTM均可见该处有造影剂流过。而9例造影剂进入硬膜外腔的CTM,均表现为造影剂完全吸收,椎旁肌肉强化,X线椎管造影均表现为竹节样外观,造影柱增宽,流动性差。
, http://www.100md.com
图1 造影柱上行至胸12段,正位成浅杯口,侧位呈刀尖样截断,缺乏浓度梯度,末见马尾充盈缺损,腰4段可见条状充盈缺损(↑)
图2 与图1同一病人的CTM,咳见造影剂位于硬膜下,呈内外双层表现。
图3 双斜位片,可见造影剂线样上行,末见马尾影,造影剂缺乏浓度梯度,MRI末见异常。
图4 与图3同一病人的CTM,造影剂位于硬膜下腔。
讨 论
造影剂误入硬膜下腔容易被CTM识别,Dake[5]描述的CTM表现,与笔者所述的双层结构相似,内层是造影剂充盈不良的蛛网膜下腔,外层是充满造影剂的硬膜下腔,常呈梭形或半月形,非常类似于头颅硬膜下或硬膜外血肿的成像原理,其双层各自密度的高低与其内造影剂的量相关,该征可视为诊断造影剂进入硬膜下腔的金指标。而造影剂误入硬膜下腔的椎管造影表现则不易被识别,可以造成许多假象。因此,充分认识其X线表现很有临床意义。
, http://www.100md.com
椎管造影表现 由于碘水剂流动性好,造影时并不象以往文献所述的流动缓慢[2,3],所以比碘油剂更不易及时发现。在X线表现上有与碘油剂造影相似之处,但本组更多见的是:1.造影柱上行受阻,上缘侧位呈刀尖样截断,这可能是由于硬膜下腔的齿状韧带阻挡所致[4];2.腰段马尾之线条样充盈缺损多显示不清,这是因为硬膜下腔没有马尾神经所致。若造影剂半量以上进入蛛网膜下腔半量以下注入硬膜下腔时亦能隐约显示马尾影;3.造影柱上行缺乏浓度梯度:当造影剂注入蛛网膜下腔时,造影剂会随着脑脊液循环自下而上逐渐上行,浓度由浓逐渐变淡,形成一个浓度梯度。而当造影剂注入硬膜下腔时,由于硬膜下腔内没有脑脊液,所以就没有浓度梯度,但流动变缓现象并不象碘油剂误入硬膜下腔明显[3];4.腰段出现全管状充盈缺损,则为造影剂几乎全部进入硬膜下腔,使蛛网膜下腔出现中空状态所致;5.有时可见到粗大的条状充盈缺损,则是硬膜静脉影[2],而非血管畸形。
鉴别诊断 碘水剂比碘油剂误入硬膜下腔的造影表现更多样化,可出现许多假阳性造成误诊,本组就有误为硬膜外梗阻和血管畸形的。因此,鉴别诊断的临床意义重大,鉴别要点可归纳为:1.造影剂误入硬膜下腔的假性梗阻端呈刀尖样,侧位常偏向腹侧或背侧的直角三角形,与真性梗阻的笔尖样的等腰三角形不同,后者常是环形截断所致;2.该影像缺乏恒定性,变换体位多次摄片可出现截断口形态与位置变化现象,4h后的CTM不能显示与造影片相符的梗阻性病变;3.造影时特别注意马尾神经是否显示得清晰,是鉴别诊断的关键;4.双筒征[2];5.流动或排空延迟[3];6.CT扫描可见双层影;7.必要时可重复造影。
, 百拇医药
除此之外,还需与造影剂注入硬膜外腔进行鉴别:后者临床上更常见,椎管造影可见竹节样充盈,两侧造影柱间距明显宽于前者,造影剂流动性更差,而吸收则明显快于前者,4h后CT扫描椎管内造影剂均已吸收,并见椎旁肌肉内造影剂残留痕迹,这是硬膜外血管丰富所致。而前者CTM可直接显示造影剂在硬膜囊内。
误入原因分析 Epstein[2]认为是由于穿刺针的针尖部分进入蛛网膜下腔,部分还在硬膜下腔,虽然脑脊液能顺利流出,但当注射时,则造影剂部分流入了硬膜下腔,本组7例(82.5%)有此表现,亦支持这一点。Dake[5]发现用22G穿刺针可减少其发生率。另外,穿刺次数增多,针眼大,或蛛网膜下腔压力增高,也可导致造影剂从蛛网膜下腔漏出到硬膜下腔,Miants[6]通过观察624例CTM发现造影剂漏到硬膜下腔的发生率高达9.6%,也证明了外漏现象的存在。
因此,选用细针,准确操作,适当放出一些脑脊液以降低腔内压力,当确定针套已进入蛛网膜下腔后,再将其略推进少许,可能会减少其发生率。
, 百拇医药
总之,充分认识碘水剂误入硬膜下腔的造影和CTM表现,掌握操作技巧,注意与椎管病变鉴别, 有重要的临床意义。
参考文献
1 漆剑频.现代医学影像在神经系统疾病诊断中的应用.华中医学杂志,1998,22(2)∶71-72.
2 B.S.Epstein 著,段承祥译.脊柱X线诊断学.上海:上海科学技术出版社,1987,31-32.
3 赵定麟主编.脊柱外科学.上海科学技术文献出版社,1997,10(2):110-112.
4 杨克勤主编.脊柱疾患的临床与研究.北京:北京出版社,1993,29-30.
5 Dake MD,Dillon WP,Dorwart RH.CT of Extraarachnoid Metrizamide Instillation.AJR,1986,147∶583-586.
6 Milants WP,Parizel PM,de-Moor J,et al.Epidural and subdural contrast in myelography and CT myelography.Eur-J-Radiol.1993 Feb,16(2)∶147-150.
(1998-09-12 收稿), http://www.100md.com