颅脑外伤性迟发性出血的CT诊断
作者:邬美惠 王望生
单位:黄石市二医院CT室(435002)
关键词:颅脑外伤;迟发血肿;X线计算机
放射学实践990107 【摘要】 目的:用CT随访研究颅内迟发性血肿。方法:在232例颅脑外伤患者中行CT随访检查。结果:61例发现有迟发性颅内出血。其中38例为原血肿增大或出现新的血肿;8例为对冲伤血肿;15例为脑挫伤与小量散在出血灶。结论:在外伤病例中,即使开初CT扫描为阴性者,如病人的临床表现有改变,如症状加重、意识丧失、抽搐等,应立即行CT复查,对CT随访的价值及迟发出血的机理也进行了讨论。
CT diagnosis of delayed traumatic intracranial bleeding in head injury
Wu Mei hui,Wang Wangsheng. Department of Radiology,Huang Shi second hospital.
, 百拇医药
【Abstract】 Purpose:Delayed traumatic intracranial bleeding was investigated by follow-up CT scan.Methods:Follow-up CT scan was performed in 232 patient with head injury.Results:The enlargement of initial bleeding foci and/or occurrence of new hematomas were found in 38 cases.Hematomas on the contralateral side of injury were showed in another 8 cases,contusion and sporatic small bleeding foci in 15.Conclusion:It is suggested that although the initial CT scan was normal, an immediate repetition of CT examination is indicated whenever patients show deterioration of clinical symptoms and signs e.g.loss of consciousness, convulsion etc.The value of follow-up CT scan and pathogenesis of delayed bleeding were discussed.
, 百拇医药
【Key words】 Head injury Delayed hematoma X-ray computed
颅脑急性损伤十分常见。常规颅脑CT扫描非常必要。CT能清楚、准确地显示颅内各种类型的出血、挫伤、骨折、水肿、脑积水等。但在少数病例中,外伤当时或首次CT扫描其CT表现可能为阴性,对这些病人的CT随访应引起重视,以免造成严重的不良后果。
材料与方法
一般资料 颅脑外伤患者1 050例,CT复查232例,其中61例出现迟发性脑出血或血肿。男54例,女7例,年龄4~71岁,平均年龄为30岁。多为青壮年。
检查方法 CT机为GEMax 640全身CT。常规轴位平扫,层厚10mm或5mm,同时用软组织窗与骨窗观察。初诊时同时在监视器上随机观察少量硬膜下出血。
, 百拇医药
结 果
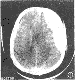
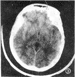
232例颅脑外伤CT随访检查中,61例发现颅内出现异常,其中60例CT复查时间为24h以内,1例为72h。61例中38例为原有的少量出血增多、血肿增大(图1,2)或出现新的血肿(图3,4),15例出现脑挫伤与脑内出血灶,8例出现对冲性脑血肿。
图1 伤后30min头颅CT示两侧额叶及左侧颞、顶叶脑挫伤,蛛网膜下腔出血。
图2 5h后头颅CT复查左额颞顶部硬膜外血肿,蛛网膜下腔出血。
图3 伤后1hCT平扫。左颞部硬膜下少量出血,伴左侧环沟少量出血。
, 百拇医药
图4 同图3病例,24小时CT复查,左颞叶脑内血肿。
讨 论
随着脑外伤增多及CT的普及,及时行颅脑CT平扫,已是颅脑外伤的最安全、有效的检查方法,省去过去的常规头颅平片检查,已获共识。但是在初次CT平扫表现为损伤轻或CT表现为阴性的病例中,亦不要掉以轻心,而忽视其病情的发展。未严格进行临床观察,而出现病情突然加重而出血死亡时有发生,应引起重视。本组61例迟发性颅内出血,开始CT表现为损伤轻或为“正常”,经过严格临床观察,发现患者有情绪改变、症状加重,或有精神意识障碍、瞳孔改变时,而行CT复查。文献报道约9%[1]的病人可出现迟发血肿,多发生在48~72h内,本组发生率为5.8%,且加重或复发出血时间在初次CT扫描后1.5~72h之间,大多数为24h内,此与国外一组报道一致,但有人曾报道过迟发血肿可出现在外伤后13天[2]。由此说明,初次CT检查即使表现正常,亦应该常规在24h~72h之间严密观察病人,及时行CT复查,以便及时了解颅内改变,并早期治疗。
, http://www.100md.com
迟发颅内血肿,以硬膜下、脑内血肿最常见,常常出现在外伤处或对冲伤处、颅底部。因此初诊或复诊时,应密切注意观察这些地方。另外对于两侧顶部的少量硬膜下血肿,由于该颅骨较厚,出血与颅骨内板在软组织窗上均可呈一致的高密度影,而在骨窗上出血又变为不可见的低密度影,此极易漏诊。对此情况,应常规调节中间窗宽来观察顶部是否有硬膜下出血。本组有1例就是通过应用此法而发现的。
对于硬膜窦或脑干出血,尤其要引起注意。本组1例硬膜窦撕裂,初次CT扫描仅发现窦旁有少量高密度出血,24h病情渐加重,CT复查发现窦旁大血肿,患者很快死亡。本组另1例患者,伤后2次CT扫描仅发现枕部骨折,伤后72h,突然出现意识障碍,且两侧瞳孔散大而死亡,死亡后CT发现为脑干出血。因此对硬膜窦及脑干的出血更要密切观察。尤其是颅底CT扫描由于伪影多,加之亨氏带的干扰,会加大观察难度,必要时应加大倾斜角度或用薄层扫描,则可能更好地显示后颅窝与脑干及硬膜窦的情况,以便及时采取积极有效的治疗。
关于外伤性颅内迟发性血肿的发病机理,有多种推论,通常认为它是与颅脑外伤后形成的弥漫性血管内凝血(DIC)有关[3]。而外伤后病人的DIC多半是由于急性缺氧、低血压、酸中毒以及其它组织与器官所释放的促凝血酶原激酶所致[2,3]。但Sawada通过一组病人的研究认为迟发性颅内出血与DIC无内在联系[2]。本组结果表明,出血多发生在24~72h内,且许多是在原来出血的基础上加重,或原为点状出血或为挫伤,后发展为血肿,说明迟发出血可能主要还是与局部脑组织损伤有关,而缺血、缺氧、酸中毒可能加重了其损伤与出血。
, 百拇医药
小 结
本组结果表明颅脑损伤出血多见,即使在初次CT扫描为阴性或损伤轻微者,亦应引起重视,密切地临床观察,24~72h内CT随访,在5.7%~9%的患者中可发现迟发性血肿或颅脑损伤改变。另外观察出血时,应注意观察颅底、脑干的异常,头顶部要注意应用不同窗位观察。
参考文献
1 沈天真,陈星荣.中枢神经系统计算机体层摄影(CT)和磁共振成像(MRI).第1版.上海:上海医科大学出版社,1992,240-245.
2 Yusuke Sawada,Daikaisadamitsu,ToshiHisa Sakamoto, et al.Lack of Correlation between delayed traumatic intravascular coagulation. J Neurol Neurosurg Psychiatry,1984,47∶1125.
3 Lesoin F,Viaud C,Giraldon JM,et al.Delayed traumatic intracranial hematomas,Value of computer tomography.Neurochirurgie,1982,28∶373.
(1998-06-16 收稿), 百拇医药
单位:黄石市二医院CT室(435002)
关键词:颅脑外伤;迟发血肿;X线计算机
放射学实践990107 【摘要】 目的:用CT随访研究颅内迟发性血肿。方法:在232例颅脑外伤患者中行CT随访检查。结果:61例发现有迟发性颅内出血。其中38例为原血肿增大或出现新的血肿;8例为对冲伤血肿;15例为脑挫伤与小量散在出血灶。结论:在外伤病例中,即使开初CT扫描为阴性者,如病人的临床表现有改变,如症状加重、意识丧失、抽搐等,应立即行CT复查,对CT随访的价值及迟发出血的机理也进行了讨论。
CT diagnosis of delayed traumatic intracranial bleeding in head injury
Wu Mei hui,Wang Wangsheng. Department of Radiology,Huang Shi second hospital.
, 百拇医药
【Abstract】 Purpose:Delayed traumatic intracranial bleeding was investigated by follow-up CT scan.Methods:Follow-up CT scan was performed in 232 patient with head injury.Results:The enlargement of initial bleeding foci and/or occurrence of new hematomas were found in 38 cases.Hematomas on the contralateral side of injury were showed in another 8 cases,contusion and sporatic small bleeding foci in 15.Conclusion:It is suggested that although the initial CT scan was normal, an immediate repetition of CT examination is indicated whenever patients show deterioration of clinical symptoms and signs e.g.loss of consciousness, convulsion etc.The value of follow-up CT scan and pathogenesis of delayed bleeding were discussed.
, 百拇医药
【Key words】 Head injury Delayed hematoma X-ray computed
颅脑急性损伤十分常见。常规颅脑CT扫描非常必要。CT能清楚、准确地显示颅内各种类型的出血、挫伤、骨折、水肿、脑积水等。但在少数病例中,外伤当时或首次CT扫描其CT表现可能为阴性,对这些病人的CT随访应引起重视,以免造成严重的不良后果。
材料与方法
一般资料 颅脑外伤患者1 050例,CT复查232例,其中61例出现迟发性脑出血或血肿。男54例,女7例,年龄4~71岁,平均年龄为30岁。多为青壮年。
检查方法 CT机为GEMax 640全身CT。常规轴位平扫,层厚10mm或5mm,同时用软组织窗与骨窗观察。初诊时同时在监视器上随机观察少量硬膜下出血。
, 百拇医药
结 果
232例颅脑外伤CT随访检查中,61例发现颅内出现异常,其中60例CT复查时间为24h以内,1例为72h。61例中38例为原有的少量出血增多、血肿增大(图1,2)或出现新的血肿(图3,4),15例出现脑挫伤与脑内出血灶,8例出现对冲性脑血肿。
图1 伤后30min头颅CT示两侧额叶及左侧颞、顶叶脑挫伤,蛛网膜下腔出血。
图2 5h后头颅CT复查左额颞顶部硬膜外血肿,蛛网膜下腔出血。
图3 伤后1hCT平扫。左颞部硬膜下少量出血,伴左侧环沟少量出血。
, 百拇医药
图4 同图3病例,24小时CT复查,左颞叶脑内血肿。
讨 论
随着脑外伤增多及CT的普及,及时行颅脑CT平扫,已是颅脑外伤的最安全、有效的检查方法,省去过去的常规头颅平片检查,已获共识。但是在初次CT平扫表现为损伤轻或CT表现为阴性的病例中,亦不要掉以轻心,而忽视其病情的发展。未严格进行临床观察,而出现病情突然加重而出血死亡时有发生,应引起重视。本组61例迟发性颅内出血,开始CT表现为损伤轻或为“正常”,经过严格临床观察,发现患者有情绪改变、症状加重,或有精神意识障碍、瞳孔改变时,而行CT复查。文献报道约9%[1]的病人可出现迟发血肿,多发生在48~72h内,本组发生率为5.8%,且加重或复发出血时间在初次CT扫描后1.5~72h之间,大多数为24h内,此与国外一组报道一致,但有人曾报道过迟发血肿可出现在外伤后13天[2]。由此说明,初次CT检查即使表现正常,亦应该常规在24h~72h之间严密观察病人,及时行CT复查,以便及时了解颅内改变,并早期治疗。
, http://www.100md.com
迟发颅内血肿,以硬膜下、脑内血肿最常见,常常出现在外伤处或对冲伤处、颅底部。因此初诊或复诊时,应密切注意观察这些地方。另外对于两侧顶部的少量硬膜下血肿,由于该颅骨较厚,出血与颅骨内板在软组织窗上均可呈一致的高密度影,而在骨窗上出血又变为不可见的低密度影,此极易漏诊。对此情况,应常规调节中间窗宽来观察顶部是否有硬膜下出血。本组有1例就是通过应用此法而发现的。
对于硬膜窦或脑干出血,尤其要引起注意。本组1例硬膜窦撕裂,初次CT扫描仅发现窦旁有少量高密度出血,24h病情渐加重,CT复查发现窦旁大血肿,患者很快死亡。本组另1例患者,伤后2次CT扫描仅发现枕部骨折,伤后72h,突然出现意识障碍,且两侧瞳孔散大而死亡,死亡后CT发现为脑干出血。因此对硬膜窦及脑干的出血更要密切观察。尤其是颅底CT扫描由于伪影多,加之亨氏带的干扰,会加大观察难度,必要时应加大倾斜角度或用薄层扫描,则可能更好地显示后颅窝与脑干及硬膜窦的情况,以便及时采取积极有效的治疗。
关于外伤性颅内迟发性血肿的发病机理,有多种推论,通常认为它是与颅脑外伤后形成的弥漫性血管内凝血(DIC)有关[3]。而外伤后病人的DIC多半是由于急性缺氧、低血压、酸中毒以及其它组织与器官所释放的促凝血酶原激酶所致[2,3]。但Sawada通过一组病人的研究认为迟发性颅内出血与DIC无内在联系[2]。本组结果表明,出血多发生在24~72h内,且许多是在原来出血的基础上加重,或原为点状出血或为挫伤,后发展为血肿,说明迟发出血可能主要还是与局部脑组织损伤有关,而缺血、缺氧、酸中毒可能加重了其损伤与出血。
, 百拇医药
小 结
本组结果表明颅脑损伤出血多见,即使在初次CT扫描为阴性或损伤轻微者,亦应引起重视,密切地临床观察,24~72h内CT随访,在5.7%~9%的患者中可发现迟发性血肿或颅脑损伤改变。另外观察出血时,应注意观察颅底、脑干的异常,头顶部要注意应用不同窗位观察。
参考文献
1 沈天真,陈星荣.中枢神经系统计算机体层摄影(CT)和磁共振成像(MRI).第1版.上海:上海医科大学出版社,1992,240-245.
2 Yusuke Sawada,Daikaisadamitsu,ToshiHisa Sakamoto, et al.Lack of Correlation between delayed traumatic intravascular coagulation. J Neurol Neurosurg Psychiatry,1984,47∶1125.
3 Lesoin F,Viaud C,Giraldon JM,et al.Delayed traumatic intracranial hematomas,Value of computer tomography.Neurochirurgie,1982,28∶373.
(1998-06-16 收稿), 百拇医药