化脓性脑膜炎、脑室炎、脑室积脓误诊一例
作者:李文杰 左德智 黄佳美 杨永刚 卢玉艳
单位:湖北省随州市第一人民医院放射科(441300)
关键词:
放射学实践990125 本文报道1例化脓性脑膜炎、脑室炎、脑室积脓,经多家医院均误诊为脑室多发占位性病变而进行了手术。
病例报告 患者,女,28岁,自10余岁起经常头痛、头晕,反复发作,昏倒数次,视力逐渐下降,左眼仅剩光感、生理盲点扩大。眼底:视乳头水肿。临床诊断:颅内占位性病变。
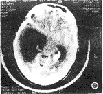
CT扫描所见 两侧脑室颞角及枕角扩大,右额角及三脑室稍受压,中线结构略左移,扩大脑室周边见低密度水肿区。右侧脑室三角区及左枕角分别见约18mm×12mm×15mm,28mm×18mm×15mm稍高密度灶,CT值53~58HU(图1)。增强扫描病灶明显均匀强化,CT值81~87HU,脑室周边无强化(图2)。CT诊断:双侧脑室占位伴梗阻性脑积水。转外院CT临床诊断同上。建议手术治疗。

手术所见 行经右颞顶部开颅术,术中见颅骨瓣已为病变所侵蚀,脑室内未见新生物,见清淡脓液,脉络丛较正常为大,行腹腔脑室分流术。病理报告:非特异性炎症。
讨论 CT表现据文献报道急性期脑室周边出现局限性或弥漫性簿层线状强化,有粘连可出现分隔状强化,脑室变形扩大或呈囊括性脑室改变,脑室脓肿形成可见典型脓肿壁环状强化。导水管闭塞则出现脑积水,脉络丛密度增高。结合临床体征实验室检查不难确诊。
本例因临床体征不够明确,仅凭眼底、视野改变、颅内压增高便考虑颅内占位性病变。CT扫描又未和脑内转移瘤、髓母细胞瘤、室管膜瘤、脑膜瘤、脉络丛乳头状瘤仔细鉴别。而将脉络丛炎性增大视为新生物,脑室的不对称扩大变形认为是脑积水所致。也未作脑脊液实验室的检查,因而误诊为脑室占位病变而进行了手术。
结论 隐源性化脓性脑膜炎、脑室炎、脑室积脓,不能仅凭CT表现,这样易致误诊,此即是本例应深刻吸取的教训。
(1998-06-30 收稿), 百拇医药
单位:湖北省随州市第一人民医院放射科(441300)
关键词:
放射学实践990125 本文报道1例化脓性脑膜炎、脑室炎、脑室积脓,经多家医院均误诊为脑室多发占位性病变而进行了手术。
病例报告 患者,女,28岁,自10余岁起经常头痛、头晕,反复发作,昏倒数次,视力逐渐下降,左眼仅剩光感、生理盲点扩大。眼底:视乳头水肿。临床诊断:颅内占位性病变。
CT扫描所见 两侧脑室颞角及枕角扩大,右额角及三脑室稍受压,中线结构略左移,扩大脑室周边见低密度水肿区。右侧脑室三角区及左枕角分别见约18mm×12mm×15mm,28mm×18mm×15mm稍高密度灶,CT值53~58HU(图1)。增强扫描病灶明显均匀强化,CT值81~87HU,脑室周边无强化(图2)。CT诊断:双侧脑室占位伴梗阻性脑积水。转外院CT临床诊断同上。建议手术治疗。
手术所见 行经右颞顶部开颅术,术中见颅骨瓣已为病变所侵蚀,脑室内未见新生物,见清淡脓液,脉络丛较正常为大,行腹腔脑室分流术。病理报告:非特异性炎症。
讨论 CT表现据文献报道急性期脑室周边出现局限性或弥漫性簿层线状强化,有粘连可出现分隔状强化,脑室变形扩大或呈囊括性脑室改变,脑室脓肿形成可见典型脓肿壁环状强化。导水管闭塞则出现脑积水,脉络丛密度增高。结合临床体征实验室检查不难确诊。
本例因临床体征不够明确,仅凭眼底、视野改变、颅内压增高便考虑颅内占位性病变。CT扫描又未和脑内转移瘤、髓母细胞瘤、室管膜瘤、脑膜瘤、脉络丛乳头状瘤仔细鉴别。而将脉络丛炎性增大视为新生物,脑室的不对称扩大变形认为是脑积水所致。也未作脑脊液实验室的检查,因而误诊为脑室占位病变而进行了手术。
结论 隐源性化脓性脑膜炎、脑室炎、脑室积脓,不能仅凭CT表现,这样易致误诊,此即是本例应深刻吸取的教训。
(1998-06-30 收稿), 百拇医药