视网膜母细胞瘤的CT诊断
作者:何非 邵剑波 杨敏洁
单位:430016 武汉市儿童医院CT室
关键词:视网膜母细胞瘤;团块状钙化;断层摄影,X线计算机
放射学实践990215 【摘要】 目的:研究视网膜母细胞瘤的CT形态学改变,旨在提高对本病的认识。方法:对我院1995年8月~1997年12月的78例眼眶CT中初诊发现的23例眶内软组织肿块,其中11例视网膜母细胞瘤进行分析,8例经手术及病理证实,另3例因其它原因放弃治疗。结果:11例患儿均具有典型的CT表现:①眼球突出;②眼球壁上软组织密度块影;③团块状钙化。结论:CT表现对视网膜母细胞瘤的早期诊断、分期及手术提供了客观依据。
The CT diagnosis of retinoblastoma
He Fei,Shao Jianbo,Yang Minjie.(Department of Radiology,Wuhan Children's Hospital,Wuhan 430016)
, http://www.100md.com
【Abstract】 Purpose:To observe the morphologic changes of retinoblastoma on CT images in order to improve the recognition of this disease.Methods:From 78 cases of orbital CT in our hospital between Aug.1995 to Dec.1997,there were 23 cases of soft tissue mass within the orbit in which 11 cases were diagnosed as retinoblastoma.8 cases were confirmed by surgery and pathology,other 3 cases gived up therapy for other reasons.Results:All the 11cases have typical CT findings:①protrusion of eye ball;②soft tissue density mass on walls of eye ball;③mass shape calcification.Conclution:CT findings provide objective data for early diagnosis,staging and helpful for planning operation for retinoblastoma.
, 百拇医药
【Key words】 Retinoblastoma Calcification Tomography, X-ray computed
视网膜母细胞瘤系婴幼儿期的一种常见的先天性眼内恶性肿瘤,有遗传性倾向。本文收集我院1995年8月~1997年12月的78例眼眶CT,初诊发现23例眶内软组织肿块,11例视网膜母细胞瘤,现报道如下。
材料与方法
本组病例均采用Toshiba-TC300型CT机扫描,层距层厚均为5mm。11例中男6例、女5例。年龄最小者3个月,最大者4岁9个月。所有病例均只作CT平扫至颅内松果体区[1]。11例均经B超及CT确诊,8例经手术及病理证实,另3例因其它原因放弃治疗。
临床资料
本组中8例患儿因眼球突出来院就诊,另3例分别以突眼视物模糊及斜视来院就诊。体检11例患儿均有典型的白瞳症,亦称“猫眼反射”[2],眼底镜检查9例可见视网膜淡红色或淡白色肿块,11例均有玻璃体混浊,2例有家族史。
, 百拇医药
CT表现
本组病例均为单侧发病,有境界清楚的眼球壁上软组织密度肿块[3],大小1.0cm×0.5cm×0.5cm至3.5cm×2.5cm×1.5cm不等,CT值57~74HU,所有病例肿块均发生在眼球后外侧壁,1例具有眼球壁的破坏。所有病例均有团块状钙化的典型CT表现,钙化的范围1.0cm×0.5cm×0.5cm至3cm×2cm×1cm不等,CT值158~234HU,11例患儿均有玻璃体混浊,晶状体未受侵及而清晰显示。9例患儿有明显的眼球突出,另2例眼球突出不明显。1例有视神经增粗,视神经管扩大,且沿神经管侵入颅内至鞍旁及鞍上。
讨 论
本病虽经眼底镜检查和B超检查,结合临床表现可基本确诊,但CT扫描仍不失为确诊视网膜母细胞瘤的重要辅助检查之一。
视网膜母细胞瘤是儿童中最常见的眼内恶性肿瘤。绝大多数发生于3岁以内。发病年龄在1岁以下的存活率为85.7%,1岁以上的存活率为56.1%[4]。病理学认为本病起源于神经上皮视网膜的前体细胞[5],为胚胎性恶性肿瘤。由于成熟的基因由相同的肿瘤细胞构成,其胞浆少,细胞核大,染色深,细胞分裂活跃,故可导致供血不足而发生坏死。钙化可发生于坏死区。
, 百拇医药
本病的早期诊断极为重要,但因为患者的年龄关系,绝大多数因为发现突眼而来院就诊。眼科检查本组均有典型的白瞳症,眼底检查9例可见视网膜淡红色或淡白色肿块,所有病例均有玻璃体混浊。但本病在临床上很难与Coat's病相鉴别,因两者都好发于儿童,且均有白瞳症,因此CT检查更具有其特征性。因CT能显示眼球壁上软组织密度肿块,且有典型的团块状钙化。产生钙化的主要原因是肿瘤坏死组织释放DNA而形成的钙化复合物,而其它白瞳症的原发病在3岁以下均无钙化[6]。
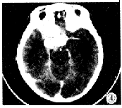
图1 右眼球内软组织密度肿块,钙化大小约3cm×2cm×1cm,且有明显的团块状钙化,钙化大小约2cm×2cm×1cm,CT值227HU。
图2 右眼球后外侧壁软组织密度肿块,大小约1.5cm×2cm×2cm,有团块状钙化,CT值198HU。
, 百拇医药
图3 左眼球后软组织密度肿块,有团块状钙化,且突破眼球壁向眶内漫延,伴有视神经管扩大(骨窗)。
图4 与图3同一病人的颅脑CT增强扫描,肿块侵入颅内至鞍上及鞍旁。
按Danziger等的分期法[7],将本病分为3期,其无眼球壁破坏的为Ⅰ期(眼内期),仅局限于眼球内,有眼球壁破坏,但局限于眼眶内的为Ⅱ期(眶内期),突出于眶外者则为Ⅲ期(眶外期)。本组病例10例为Ⅰ期即眼内期,1例为Ⅲ期即眶外期。因此对本病的早期诊断尤为重要,避免出现Ⅱ期和Ⅲ期,即眶内期和向颅内蔓延所带来的不良预后,同时对临床决定手术方案也具有极其重要的意义。本文认为CT上出现:①眼球突出;②有境界清楚的眼球壁上软组织密度肿块;③有团块状钙化的典型CT表现诊断本病并不困难。
本病的主要鉴别诊断是Coat′s病,也称渗出性视网膜病,是一种良性病变,为单侧视网膜毛细血管扩张,并发大量视网膜下渗液,引起视网膜剥离。好发于6岁以上的男性儿童,CT片上无钙化。因此,根据年龄及CT片上有无钙化的特征性改变可以鉴别。
, 百拇医药
参考文献
1 陈君禄,陈少琼.视网膜母细胞肿瘤与颅内肿瘤.中华放射学杂志,1994,28∶534.
2 刘英奇,赵亮,主编.现代眼科学.江西科学技术出版社及北京科学出版社,1996.634.
3 李果珍,戴建平,主编.临床CT诊断学.北京:中国科学技术出版社,1996.168.
4 曾一平,张晓农.视网膜母细胞肿瘤的临床病理及预后.中国实用眼科杂志,1997,2∶99.
5 佘亚雄,应大明,主编.小儿肿瘤学.上海:上海科学技术出版社,1997.274.
6 魏锐利,周韵秋,虞恩琪.视网膜母细胞瘤的磁共振及CT表现分析.中国实用眼科杂志,1996,5∶293.
7 Danziger A, Price Hi. CT finding in retinoblastoma.AJR,1997,133∶695.
(1999-01-29 收稿), http://www.100md.com
单位:430016 武汉市儿童医院CT室
关键词:视网膜母细胞瘤;团块状钙化;断层摄影,X线计算机
放射学实践990215 【摘要】 目的:研究视网膜母细胞瘤的CT形态学改变,旨在提高对本病的认识。方法:对我院1995年8月~1997年12月的78例眼眶CT中初诊发现的23例眶内软组织肿块,其中11例视网膜母细胞瘤进行分析,8例经手术及病理证实,另3例因其它原因放弃治疗。结果:11例患儿均具有典型的CT表现:①眼球突出;②眼球壁上软组织密度块影;③团块状钙化。结论:CT表现对视网膜母细胞瘤的早期诊断、分期及手术提供了客观依据。
The CT diagnosis of retinoblastoma
He Fei,Shao Jianbo,Yang Minjie.(Department of Radiology,Wuhan Children's Hospital,Wuhan 430016)
, http://www.100md.com
【Abstract】 Purpose:To observe the morphologic changes of retinoblastoma on CT images in order to improve the recognition of this disease.Methods:From 78 cases of orbital CT in our hospital between Aug.1995 to Dec.1997,there were 23 cases of soft tissue mass within the orbit in which 11 cases were diagnosed as retinoblastoma.8 cases were confirmed by surgery and pathology,other 3 cases gived up therapy for other reasons.Results:All the 11cases have typical CT findings:①protrusion of eye ball;②soft tissue density mass on walls of eye ball;③mass shape calcification.Conclution:CT findings provide objective data for early diagnosis,staging and helpful for planning operation for retinoblastoma.
, 百拇医药
【Key words】 Retinoblastoma Calcification Tomography, X-ray computed
视网膜母细胞瘤系婴幼儿期的一种常见的先天性眼内恶性肿瘤,有遗传性倾向。本文收集我院1995年8月~1997年12月的78例眼眶CT,初诊发现23例眶内软组织肿块,11例视网膜母细胞瘤,现报道如下。
材料与方法
本组病例均采用Toshiba-TC300型CT机扫描,层距层厚均为5mm。11例中男6例、女5例。年龄最小者3个月,最大者4岁9个月。所有病例均只作CT平扫至颅内松果体区[1]。11例均经B超及CT确诊,8例经手术及病理证实,另3例因其它原因放弃治疗。
临床资料
本组中8例患儿因眼球突出来院就诊,另3例分别以突眼视物模糊及斜视来院就诊。体检11例患儿均有典型的白瞳症,亦称“猫眼反射”[2],眼底镜检查9例可见视网膜淡红色或淡白色肿块,11例均有玻璃体混浊,2例有家族史。
, 百拇医药
CT表现
本组病例均为单侧发病,有境界清楚的眼球壁上软组织密度肿块[3],大小1.0cm×0.5cm×0.5cm至3.5cm×2.5cm×1.5cm不等,CT值57~74HU,所有病例肿块均发生在眼球后外侧壁,1例具有眼球壁的破坏。所有病例均有团块状钙化的典型CT表现,钙化的范围1.0cm×0.5cm×0.5cm至3cm×2cm×1cm不等,CT值158~234HU,11例患儿均有玻璃体混浊,晶状体未受侵及而清晰显示。9例患儿有明显的眼球突出,另2例眼球突出不明显。1例有视神经增粗,视神经管扩大,且沿神经管侵入颅内至鞍旁及鞍上。
讨 论
本病虽经眼底镜检查和B超检查,结合临床表现可基本确诊,但CT扫描仍不失为确诊视网膜母细胞瘤的重要辅助检查之一。
视网膜母细胞瘤是儿童中最常见的眼内恶性肿瘤。绝大多数发生于3岁以内。发病年龄在1岁以下的存活率为85.7%,1岁以上的存活率为56.1%[4]。病理学认为本病起源于神经上皮视网膜的前体细胞[5],为胚胎性恶性肿瘤。由于成熟的基因由相同的肿瘤细胞构成,其胞浆少,细胞核大,染色深,细胞分裂活跃,故可导致供血不足而发生坏死。钙化可发生于坏死区。
, 百拇医药
本病的早期诊断极为重要,但因为患者的年龄关系,绝大多数因为发现突眼而来院就诊。眼科检查本组均有典型的白瞳症,眼底检查9例可见视网膜淡红色或淡白色肿块,所有病例均有玻璃体混浊。但本病在临床上很难与Coat's病相鉴别,因两者都好发于儿童,且均有白瞳症,因此CT检查更具有其特征性。因CT能显示眼球壁上软组织密度肿块,且有典型的团块状钙化。产生钙化的主要原因是肿瘤坏死组织释放DNA而形成的钙化复合物,而其它白瞳症的原发病在3岁以下均无钙化[6]。
图1 右眼球内软组织密度肿块,钙化大小约3cm×2cm×1cm,且有明显的团块状钙化,钙化大小约2cm×2cm×1cm,CT值227HU。
图2 右眼球后外侧壁软组织密度肿块,大小约1.5cm×2cm×2cm,有团块状钙化,CT值198HU。
, 百拇医药
图3 左眼球后软组织密度肿块,有团块状钙化,且突破眼球壁向眶内漫延,伴有视神经管扩大(骨窗)。
图4 与图3同一病人的颅脑CT增强扫描,肿块侵入颅内至鞍上及鞍旁。
按Danziger等的分期法[7],将本病分为3期,其无眼球壁破坏的为Ⅰ期(眼内期),仅局限于眼球内,有眼球壁破坏,但局限于眼眶内的为Ⅱ期(眶内期),突出于眶外者则为Ⅲ期(眶外期)。本组病例10例为Ⅰ期即眼内期,1例为Ⅲ期即眶外期。因此对本病的早期诊断尤为重要,避免出现Ⅱ期和Ⅲ期,即眶内期和向颅内蔓延所带来的不良预后,同时对临床决定手术方案也具有极其重要的意义。本文认为CT上出现:①眼球突出;②有境界清楚的眼球壁上软组织密度肿块;③有团块状钙化的典型CT表现诊断本病并不困难。
本病的主要鉴别诊断是Coat′s病,也称渗出性视网膜病,是一种良性病变,为单侧视网膜毛细血管扩张,并发大量视网膜下渗液,引起视网膜剥离。好发于6岁以上的男性儿童,CT片上无钙化。因此,根据年龄及CT片上有无钙化的特征性改变可以鉴别。
, 百拇医药
参考文献
1 陈君禄,陈少琼.视网膜母细胞肿瘤与颅内肿瘤.中华放射学杂志,1994,28∶534.
2 刘英奇,赵亮,主编.现代眼科学.江西科学技术出版社及北京科学出版社,1996.634.
3 李果珍,戴建平,主编.临床CT诊断学.北京:中国科学技术出版社,1996.168.
4 曾一平,张晓农.视网膜母细胞肿瘤的临床病理及预后.中国实用眼科杂志,1997,2∶99.
5 佘亚雄,应大明,主编.小儿肿瘤学.上海:上海科学技术出版社,1997.274.
6 魏锐利,周韵秋,虞恩琪.视网膜母细胞瘤的磁共振及CT表现分析.中国实用眼科杂志,1996,5∶293.
7 Danziger A, Price Hi. CT finding in retinoblastoma.AJR,1997,133∶695.
(1999-01-29 收稿), http://www.100md.com