CT对腮腺区肿块的诊断价值
作者:潘爱珍 甘毅 朱新进
单位:528000 广东省,佛山市第一人民医院CT室
关键词:腮腺;肿块;体层摄影术
放射学实践990214 【摘要】 目的:评价CT对腮腺区肿瘤的诊断价值。方法:88例腮腺区肿瘤进行CT平扫、CT增强扫描和/或腮腺造影CT扫描(CTS)。结果:78例为腺内肿瘤,其中7例为恶性;10例为腺外肿瘤。CT对腮腺区肿瘤定位准确,能准确显示肿瘤的范围、大小、数目及浸润情况。对明显良性及恶性肿瘤可定性诊断,但对发育较慢的低度恶性肿瘤与发育较快并具有局部侵蚀性的良性肿瘤难以鉴别。CT能鉴别腺内外肿瘤,以CTS最有价值。腮腺区肿瘤CT检查首选平扫加增强,鉴别腺内外肿瘤及炎性病灶时加扫CTS。结论:CT对腮腺区肿块诊断及治疗有重要应用价值。
Value of CT diagnosis in pasotid masses
, 百拇医药
Pan Aizhen,Gan Yi,Zhu Xingjing.
(Department of CT,Foshan First Hospital,Guangdong 528000)
【Abstract】 Purpose:To evaluate the diagnostic value of CT for parotid region masses.Methods:Eighty-eight patients of parotid masses comfirmed by pathology underwent CT with plain scan,venous contrast enhancement and after sialography.Results:CT found seventy-eight intraparotid tumors and ten extraparotid tumors.CT could sensitively demonstrate the size,shape,and number of parotid masses and the extent of involvement.The nature of most parotid masses could be defined by CT and the sialography CT (SCT) is the most valuable for differentiation of intrinsic and extrinsic tumors.Conclusion:CT is a very useful extoimsic method in the diagnosis and treatment of tumors in parotid region.
, 百拇医药
【Key words】 Parotid Tumor Tomography
腮腺是人体内最大的唾液腺,其肿瘤发病率占涎腺的80%。我们对88例腮腺区肿块进行了CT 平扫、CT增强扫描及/或腮腺造影CT扫描,全部病例经手术或活检病理证实,以讨论CT扫描对腮腺区肿瘤的诊断价值。
材料与方法
88例患者中男性50例,女性38例,年龄在3~83岁之间。一般以发现腮腺区肿块来就诊,病史最长43年,最短2周。70例患者经手术治疗,另18例经穿刺活检证实。
使用美国GE9800QUICK HILIGHT CT机,层厚、间隔5mm,以听眶线为基线下扫至下颌角,必要时向上或向下加扫,除5例作冠状扫描外,其余病例均作轴扫,88例患者的CT检查方法见表1。
表1 88例患者CT检查方法 方 法
, http://www.100md.com
人数(例)
方 法
人数(例)
a+b
60
c
5
a+b+c
15
b
10
注:a 代表CT平扫;b 代表CT增强扫描,用离子型或非离子型造影剂60~70ml;c 代表腮腺造影CT扫描(CTS)。
, 百拇医药
结 果
1. 88例腮腺区肿块的病理结果见表2,其中左侧发病51例,右侧33例,双侧4例,后者仅见于腮腺腺淋巴瘤,且都是40岁以上的男性。88例中78例为腮腺内肿瘤,其中良性71例,恶性7例。7例恶性肿瘤中有4例年龄在30岁以下,且病程短,女性占3例。10例为腺外肿瘤。
表2 88例患者的病理结果 病理类型
例数
病理类型
例数
混合瘤
41
血管瘤
3
, 百拇医药
腺淋巴瘤
14
颈动脉体瘤
2
腺瘤
4
神经鞘瘤
3
上皮病
2
腮裂囊肿
2
炎性病变
, http://www.100md.com 4
淋巴结转移
3
囊肿
2
腮腺恶性肿瘤
7
2. CT表现
腮腺内良性肿瘤 59例混合瘤、单发腺瘤、腺淋巴瘤中49例表现为圆形、类圆形肿块,边缘清晰,密度均匀,平扫CT值20~45HU,增强扫描CT值55~88HU之间(图1);CTS表现腺内园形,边缘清晰的低密度肿块,与高密度的正常组织分界清晰(图2),病灶直径小于3cm;另10例病灶直径大于3cm,其内密度不均匀,可见单个或多个大小不等的低密度灶,病灶边缘清晰,周围肌肉、血管虽然受压移位,但脂肪间隙清晰(图3)。3例腺淋巴瘤呈囊性,CT值20~35HU之间,增强扫描病灶无强化,但壁稍强化;2例上皮病表现为腺内局限性高密度区,边缘欠清晰,与局限性炎性病变难以区分;3例血管瘤中,有1例平扫可见沙粒大小的高密度影,手术结果为结石,增强扫描表现为病灶内条状或团状高密度强化影;3例炎性假瘤边缘1例清晰2例欠清晰,CT值接近肿瘤,CTS除显示低密度充盈缺损外,也可见周围组织显影不全,腺体密度不均匀。
, http://www.100md.com
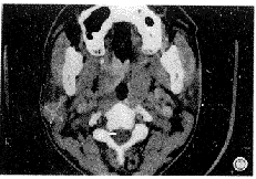
图1 腮腺混和瘤,病灶位于浅叶,密度均匀,边缘清晰。
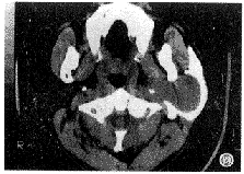
图2 腺淋巴瘤,CTS示边缘清晰的充盈缺损,充盈良好的腺体组织包绕大部分病灶。
图3 腮腺混合瘤伸至咽旁间隙,但与咽侧壁间有一条脂肪间隙,病灶部分坏死,镜下见细胞增生活跃。
腺内恶性肿瘤 7例,3例为粘液表皮腺癌,2例为混合瘤恶变,腺泡细胞癌1例,高分化鳞癌1例。病灶4例在浅叶,3例在深叶。4例表现为分叶状或不规则形软组织块影,边缘欠清晰,与周围组织粘连,1例伴皮肤凹陷(图4),病灶密度不均匀,其内有低密度区,病理显示为坏死或囊变;3例为类圆形病灶,边缘尚清晰,与正常腮腺组织分界尚清晰,病灶密度均匀或不均匀,直径小于3cm(图5)。
, http://www.100md.com
图4 19岁女性,病灶呈分叶状,侵犯咬肌及脂肪间隙,伴皮肤凹陷,病理示粘液表皮腺癌。
图5 23岁女性,腮腺浅叶一直径小于3cm边界尚清晰的病灶,其内有低密度坏死灶,病理为腺癌。
腺外肿瘤 2例颈动脉体瘤及3例神经鞘瘤CT表现为腮腺深部、咽旁间隙软组织块影,边缘清晰,腮腺受压向外移位,深叶与肿块间似可见一低密度脂肪分界线,小病灶密度均匀,大病灶密度不均匀,其中有低密度区,以神经鞘瘤明显且范围大(图6),增强扫描肿块强化,以颈动脉体瘤强化明显,可达血管密度,且见颈动脉内外分叉处角度增大(图7),呈弧形,两动脉间距增大。第二腮裂囊肿2例,位于腮腺深叶下方,下颌角下,囊性病变,CT值0~10HU,与周围组织分界清晰。3例NPC淋巴结转移,为咽旁间隙结节状病灶,部分融合,合并鼻咽病变或颅底骨质破坏,腮腺向外移位。
, http://www.100md.com
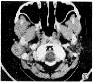
图6 左侧咽旁间隙一混合密度灶,呈环状强化,中央大部分坏死,与腮腺深叶分界清晰,病理为神经鞘瘤。
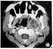
图7 左颈动脉体瘤,位于咽旁间隙,病灶明显强化,达血管密度,颈内外动脉分叉增大。
讨 论
1. 扫描方式的选择
腮腺是脂性腺组织,CT值一般在-20~10HU之间,而肿块常为软组织密度,因此腺内肿块一般平扫即能显示,支持Mc Gahan等[1~3]提出CT轴位平扫作为腮腺区肿块检查的首选方法,但是我们大多数病例(60/88)选择平扫加增强或直接增强(10/88例),是因为腮腺的密度高于脂肪低于肌肉,而炎症时腮腺组织的密度会增高;此外随年龄增长腺体减少,脂肪增多,腮腺密度减低;而腮腺内各类肿块密度也不尽相同,与平扫比较,增强扫描能清晰显示肿块的轮廓及内部密度的变化,使肿瘤及周围某些组织密度不同程度增高,特别是邻近动、静脉的位置可清楚显示,如颈外静脉及面静脉强化可间接显示肿块与面神经的关系,对手术治疗有指导意义,而周围血管移位方向不同有利于腺内、外肿瘤的鉴别,而增强程度不同有利于腺外颈动脉体瘤与神经鞘瘤的鉴别。CTS检查Rice[4]认为由于正常腮腺密度增高,足以区分正常腮腺与肿块;而Bryan[5]等持否认态度,认为除少数病例外,腮腺造影是不必要的。我们认为,CTS能显示肿块与腺体的关系及周围腺体的充盈情况,有利于鉴别腺内外肿瘤及炎性肿块,但由于造影后高密度的造影剂可人为地使正常解剖变的模糊,对病人造成一定的痛苦,因此腮腺区肿块宜首选平扫加增强,不能区分腺内外肿瘤及肿瘤与炎性病灶时加CTS。
, 百拇医药
2. 腮腺区肿瘤的定位诊断价值
本组88例患者92个肿块中,不论良恶性病灶CT均能显示其部位。有84例能准确显示病灶的范围,CT也能显示病灶与周围组织的关系,如翼内外肌、茎突、咽旁间隙及咬肌有无侵犯,并能显示下颌骨及颅底骨质有无破坏,对区别腺内外及良恶性病灶有帮助。此外腮腺深叶的病灶侵犯咽旁间隙时最好加扫CTS,这时周围充盈的正常腺体完全或大部分包绕着肿瘤,而腺外肿瘤仅推移正常充盈的腺体好似部分包绕肿瘤,但是小于病灶弧度的二分之一。有4例病灶临床摸到肿块但CT不能显示其范围,包括2例淋巴上皮病及1例毛细血管及1例静脉畸形,前者表现为片状高密度影,后者为条状或圆形高密度影。
3. 定性诊断价值
Kassel[6]将腮腺肿瘤的CT表现分为三类:①Ⅰ类:圆形,边缘清楚,包以被膜的肿瘤,此型代表复发少的良性肿瘤;②Ⅱ类:轮廓清晰,有包膜的分叶状肿瘤,具有轻度侵袭性,易于复发;③Ⅲ类:边缘不清或侵润性肿块。本组大部分良性肿瘤表现为Ⅰ类,密度均匀,与周围组织分界清楚,周围脂肪层清晰;少数呈分叶状,其内密度不均匀,病理表现为囊变或坏死,其内细胞增生活跃,在CT片上难与恶性肿瘤鉴别。而7例恶性肿瘤中有4例表现为Ⅲ类,与周围组织有不同程度的粘连或侵犯,CTS显示有不规则的充盈缺损;而另3例轮廓清晰,与周围组织界线清晰,局限在腺内,与良性肿瘤难以鉴别,因此本研究显示,当肿瘤明显良恶性时,CT能显示肿瘤的性质,而对发育较慢的低度恶性肿瘤与发育较快、具局部侵蚀性的良性肿瘤在CT上难以鉴别,与其它作者报道相同[7]。
, http://www.100md.com
4. 鉴别诊断
腮腺炎症 单纯依赖CT诊断腮腺炎症准确率为75%,但结合临床资料及实验室检查结果,准确率上升至90%。大多数病例表现为腺体增大及弥漫性密度增高,少部分也表现为边缘清或不清晰的软组织密度肿块,CT值接近肿瘤密度,单凭CT难于肿瘤鉴别,这时CTS比单纯CT扫描更具有特异性,炎症时腺体组织显影不全,密度不均匀;肿瘤仅表现为病灶周围腺体受压推移。
腺外肿瘤 这些肿瘤位于咽旁间隙,包括淋巴结转移瘤、神经源性肿瘤如神经鞘瘤、小涎腺肿瘤、脉管瘤如颈动脉体瘤等。当这些肿瘤足够大时,与外侧腮腺深叶肿瘤不能区分。一般腺外肿瘤与腺体之间常有薄层脂肪间隙相隔,可以区别,除非互相粘连,此时加CTS有利于鉴别诊断,即高密度腮腺与咽旁肿瘤之间有一密度明显减低的透明带[7],如果肿块的后外缘和充满造影剂的腮腺之间存在透明带,肿瘤来自腺外,如果肿瘤中心层面未见透明带,表明肿瘤来自深叶。术前区别咽旁肿瘤与腮腺深叶肿瘤非常重要,以决定手术入路,前者可避开腮腺经颌下切口入路,避免分离或牵拉面神经。
, 百拇医药
总之,本研究显示CT腮腺扫描特别是CTS可区别腺内外肿块,了解肿块与周围组织的关系,并且对肿块定位准确,对手术入路确立有帮助。但有时对良恶性病灶及炎症与肿瘤不易鉴别。
参考文献
1 Golding S.Computed tomography in the diagnosis of parotid glandtumors.Br J Radiol,1982,55∶182.
2 McGahan JP,Walter JP,Bernstein P.Evaluation of the parotid gland:Comparision of sialography,non-contrast computed tomography,and CT siolography.Radiology,1984,152∶453.
3 Bryan RN,Miller RH,Ferreyro RI,et al.Computed tomography of the major salivary glands. AJR,1982,139∶547-557.
, 百拇医药
4 Rice DH.Computerrized tomography with simultaneous sialography inevaluating parotid tumors.Arch Otolaryngol,1980,106∶472.
5 Kassel EE. CT sialography.Part II:Parotid masses.J Otolaryngol Jpn,1982,12∶11.
6 俞光岩,邹兆菊.腮腺区肿块CT扫描检查的初步报告.中华口腔医学杂志,1987, 22∶156.
7 Som PM,Biller HF. The combined CT sialogram.Radiology,1980,135∶387.
(1999-01-01 收稿), 百拇医药
单位:528000 广东省,佛山市第一人民医院CT室
关键词:腮腺;肿块;体层摄影术
放射学实践990214 【摘要】 目的:评价CT对腮腺区肿瘤的诊断价值。方法:88例腮腺区肿瘤进行CT平扫、CT增强扫描和/或腮腺造影CT扫描(CTS)。结果:78例为腺内肿瘤,其中7例为恶性;10例为腺外肿瘤。CT对腮腺区肿瘤定位准确,能准确显示肿瘤的范围、大小、数目及浸润情况。对明显良性及恶性肿瘤可定性诊断,但对发育较慢的低度恶性肿瘤与发育较快并具有局部侵蚀性的良性肿瘤难以鉴别。CT能鉴别腺内外肿瘤,以CTS最有价值。腮腺区肿瘤CT检查首选平扫加增强,鉴别腺内外肿瘤及炎性病灶时加扫CTS。结论:CT对腮腺区肿块诊断及治疗有重要应用价值。
Value of CT diagnosis in pasotid masses
, 百拇医药
Pan Aizhen,Gan Yi,Zhu Xingjing.
(Department of CT,Foshan First Hospital,Guangdong 528000)
【Abstract】 Purpose:To evaluate the diagnostic value of CT for parotid region masses.Methods:Eighty-eight patients of parotid masses comfirmed by pathology underwent CT with plain scan,venous contrast enhancement and after sialography.Results:CT found seventy-eight intraparotid tumors and ten extraparotid tumors.CT could sensitively demonstrate the size,shape,and number of parotid masses and the extent of involvement.The nature of most parotid masses could be defined by CT and the sialography CT (SCT) is the most valuable for differentiation of intrinsic and extrinsic tumors.Conclusion:CT is a very useful extoimsic method in the diagnosis and treatment of tumors in parotid region.
, 百拇医药
【Key words】 Parotid Tumor Tomography
腮腺是人体内最大的唾液腺,其肿瘤发病率占涎腺的80%。我们对88例腮腺区肿块进行了CT 平扫、CT增强扫描及/或腮腺造影CT扫描,全部病例经手术或活检病理证实,以讨论CT扫描对腮腺区肿瘤的诊断价值。
材料与方法
88例患者中男性50例,女性38例,年龄在3~83岁之间。一般以发现腮腺区肿块来就诊,病史最长43年,最短2周。70例患者经手术治疗,另18例经穿刺活检证实。
使用美国GE9800QUICK HILIGHT CT机,层厚、间隔5mm,以听眶线为基线下扫至下颌角,必要时向上或向下加扫,除5例作冠状扫描外,其余病例均作轴扫,88例患者的CT检查方法见表1。
表1 88例患者CT检查方法 方 法
, http://www.100md.com
人数(例)
方 法
人数(例)
a+b
60
c
5
a+b+c
15
b
10
注:a 代表CT平扫;b 代表CT增强扫描,用离子型或非离子型造影剂60~70ml;c 代表腮腺造影CT扫描(CTS)。
, 百拇医药
结 果
1. 88例腮腺区肿块的病理结果见表2,其中左侧发病51例,右侧33例,双侧4例,后者仅见于腮腺腺淋巴瘤,且都是40岁以上的男性。88例中78例为腮腺内肿瘤,其中良性71例,恶性7例。7例恶性肿瘤中有4例年龄在30岁以下,且病程短,女性占3例。10例为腺外肿瘤。
表2 88例患者的病理结果 病理类型
例数
病理类型
例数
混合瘤
41
血管瘤
3
, 百拇医药
腺淋巴瘤
14
颈动脉体瘤
2
腺瘤
4
神经鞘瘤
3
上皮病
2
腮裂囊肿
2
炎性病变
, http://www.100md.com 4
淋巴结转移
3
囊肿
2
腮腺恶性肿瘤
7
2. CT表现
腮腺内良性肿瘤 59例混合瘤、单发腺瘤、腺淋巴瘤中49例表现为圆形、类圆形肿块,边缘清晰,密度均匀,平扫CT值20~45HU,增强扫描CT值55~88HU之间(图1);CTS表现腺内园形,边缘清晰的低密度肿块,与高密度的正常组织分界清晰(图2),病灶直径小于3cm;另10例病灶直径大于3cm,其内密度不均匀,可见单个或多个大小不等的低密度灶,病灶边缘清晰,周围肌肉、血管虽然受压移位,但脂肪间隙清晰(图3)。3例腺淋巴瘤呈囊性,CT值20~35HU之间,增强扫描病灶无强化,但壁稍强化;2例上皮病表现为腺内局限性高密度区,边缘欠清晰,与局限性炎性病变难以区分;3例血管瘤中,有1例平扫可见沙粒大小的高密度影,手术结果为结石,增强扫描表现为病灶内条状或团状高密度强化影;3例炎性假瘤边缘1例清晰2例欠清晰,CT值接近肿瘤,CTS除显示低密度充盈缺损外,也可见周围组织显影不全,腺体密度不均匀。
, http://www.100md.com
图1 腮腺混和瘤,病灶位于浅叶,密度均匀,边缘清晰。
图2 腺淋巴瘤,CTS示边缘清晰的充盈缺损,充盈良好的腺体组织包绕大部分病灶。
图3 腮腺混合瘤伸至咽旁间隙,但与咽侧壁间有一条脂肪间隙,病灶部分坏死,镜下见细胞增生活跃。
腺内恶性肿瘤 7例,3例为粘液表皮腺癌,2例为混合瘤恶变,腺泡细胞癌1例,高分化鳞癌1例。病灶4例在浅叶,3例在深叶。4例表现为分叶状或不规则形软组织块影,边缘欠清晰,与周围组织粘连,1例伴皮肤凹陷(图4),病灶密度不均匀,其内有低密度区,病理显示为坏死或囊变;3例为类圆形病灶,边缘尚清晰,与正常腮腺组织分界尚清晰,病灶密度均匀或不均匀,直径小于3cm(图5)。
, http://www.100md.com
图4 19岁女性,病灶呈分叶状,侵犯咬肌及脂肪间隙,伴皮肤凹陷,病理示粘液表皮腺癌。
图5 23岁女性,腮腺浅叶一直径小于3cm边界尚清晰的病灶,其内有低密度坏死灶,病理为腺癌。
腺外肿瘤 2例颈动脉体瘤及3例神经鞘瘤CT表现为腮腺深部、咽旁间隙软组织块影,边缘清晰,腮腺受压向外移位,深叶与肿块间似可见一低密度脂肪分界线,小病灶密度均匀,大病灶密度不均匀,其中有低密度区,以神经鞘瘤明显且范围大(图6),增强扫描肿块强化,以颈动脉体瘤强化明显,可达血管密度,且见颈动脉内外分叉处角度增大(图7),呈弧形,两动脉间距增大。第二腮裂囊肿2例,位于腮腺深叶下方,下颌角下,囊性病变,CT值0~10HU,与周围组织分界清晰。3例NPC淋巴结转移,为咽旁间隙结节状病灶,部分融合,合并鼻咽病变或颅底骨质破坏,腮腺向外移位。
, http://www.100md.com
图6 左侧咽旁间隙一混合密度灶,呈环状强化,中央大部分坏死,与腮腺深叶分界清晰,病理为神经鞘瘤。
图7 左颈动脉体瘤,位于咽旁间隙,病灶明显强化,达血管密度,颈内外动脉分叉增大。
讨 论
1. 扫描方式的选择
腮腺是脂性腺组织,CT值一般在-20~10HU之间,而肿块常为软组织密度,因此腺内肿块一般平扫即能显示,支持Mc Gahan等[1~3]提出CT轴位平扫作为腮腺区肿块检查的首选方法,但是我们大多数病例(60/88)选择平扫加增强或直接增强(10/88例),是因为腮腺的密度高于脂肪低于肌肉,而炎症时腮腺组织的密度会增高;此外随年龄增长腺体减少,脂肪增多,腮腺密度减低;而腮腺内各类肿块密度也不尽相同,与平扫比较,增强扫描能清晰显示肿块的轮廓及内部密度的变化,使肿瘤及周围某些组织密度不同程度增高,特别是邻近动、静脉的位置可清楚显示,如颈外静脉及面静脉强化可间接显示肿块与面神经的关系,对手术治疗有指导意义,而周围血管移位方向不同有利于腺内、外肿瘤的鉴别,而增强程度不同有利于腺外颈动脉体瘤与神经鞘瘤的鉴别。CTS检查Rice[4]认为由于正常腮腺密度增高,足以区分正常腮腺与肿块;而Bryan[5]等持否认态度,认为除少数病例外,腮腺造影是不必要的。我们认为,CTS能显示肿块与腺体的关系及周围腺体的充盈情况,有利于鉴别腺内外肿瘤及炎性肿块,但由于造影后高密度的造影剂可人为地使正常解剖变的模糊,对病人造成一定的痛苦,因此腮腺区肿块宜首选平扫加增强,不能区分腺内外肿瘤及肿瘤与炎性病灶时加CTS。
, 百拇医药
2. 腮腺区肿瘤的定位诊断价值
本组88例患者92个肿块中,不论良恶性病灶CT均能显示其部位。有84例能准确显示病灶的范围,CT也能显示病灶与周围组织的关系,如翼内外肌、茎突、咽旁间隙及咬肌有无侵犯,并能显示下颌骨及颅底骨质有无破坏,对区别腺内外及良恶性病灶有帮助。此外腮腺深叶的病灶侵犯咽旁间隙时最好加扫CTS,这时周围充盈的正常腺体完全或大部分包绕着肿瘤,而腺外肿瘤仅推移正常充盈的腺体好似部分包绕肿瘤,但是小于病灶弧度的二分之一。有4例病灶临床摸到肿块但CT不能显示其范围,包括2例淋巴上皮病及1例毛细血管及1例静脉畸形,前者表现为片状高密度影,后者为条状或圆形高密度影。
3. 定性诊断价值
Kassel[6]将腮腺肿瘤的CT表现分为三类:①Ⅰ类:圆形,边缘清楚,包以被膜的肿瘤,此型代表复发少的良性肿瘤;②Ⅱ类:轮廓清晰,有包膜的分叶状肿瘤,具有轻度侵袭性,易于复发;③Ⅲ类:边缘不清或侵润性肿块。本组大部分良性肿瘤表现为Ⅰ类,密度均匀,与周围组织分界清楚,周围脂肪层清晰;少数呈分叶状,其内密度不均匀,病理表现为囊变或坏死,其内细胞增生活跃,在CT片上难与恶性肿瘤鉴别。而7例恶性肿瘤中有4例表现为Ⅲ类,与周围组织有不同程度的粘连或侵犯,CTS显示有不规则的充盈缺损;而另3例轮廓清晰,与周围组织界线清晰,局限在腺内,与良性肿瘤难以鉴别,因此本研究显示,当肿瘤明显良恶性时,CT能显示肿瘤的性质,而对发育较慢的低度恶性肿瘤与发育较快、具局部侵蚀性的良性肿瘤在CT上难以鉴别,与其它作者报道相同[7]。
, http://www.100md.com
4. 鉴别诊断
腮腺炎症 单纯依赖CT诊断腮腺炎症准确率为75%,但结合临床资料及实验室检查结果,准确率上升至90%。大多数病例表现为腺体增大及弥漫性密度增高,少部分也表现为边缘清或不清晰的软组织密度肿块,CT值接近肿瘤密度,单凭CT难于肿瘤鉴别,这时CTS比单纯CT扫描更具有特异性,炎症时腺体组织显影不全,密度不均匀;肿瘤仅表现为病灶周围腺体受压推移。
腺外肿瘤 这些肿瘤位于咽旁间隙,包括淋巴结转移瘤、神经源性肿瘤如神经鞘瘤、小涎腺肿瘤、脉管瘤如颈动脉体瘤等。当这些肿瘤足够大时,与外侧腮腺深叶肿瘤不能区分。一般腺外肿瘤与腺体之间常有薄层脂肪间隙相隔,可以区别,除非互相粘连,此时加CTS有利于鉴别诊断,即高密度腮腺与咽旁肿瘤之间有一密度明显减低的透明带[7],如果肿块的后外缘和充满造影剂的腮腺之间存在透明带,肿瘤来自腺外,如果肿瘤中心层面未见透明带,表明肿瘤来自深叶。术前区别咽旁肿瘤与腮腺深叶肿瘤非常重要,以决定手术入路,前者可避开腮腺经颌下切口入路,避免分离或牵拉面神经。
, 百拇医药
总之,本研究显示CT腮腺扫描特别是CTS可区别腺内外肿块,了解肿块与周围组织的关系,并且对肿块定位准确,对手术入路确立有帮助。但有时对良恶性病灶及炎症与肿瘤不易鉴别。
参考文献
1 Golding S.Computed tomography in the diagnosis of parotid glandtumors.Br J Radiol,1982,55∶182.
2 McGahan JP,Walter JP,Bernstein P.Evaluation of the parotid gland:Comparision of sialography,non-contrast computed tomography,and CT siolography.Radiology,1984,152∶453.
3 Bryan RN,Miller RH,Ferreyro RI,et al.Computed tomography of the major salivary glands. AJR,1982,139∶547-557.
, 百拇医药
4 Rice DH.Computerrized tomography with simultaneous sialography inevaluating parotid tumors.Arch Otolaryngol,1980,106∶472.
5 Kassel EE. CT sialography.Part II:Parotid masses.J Otolaryngol Jpn,1982,12∶11.
6 俞光岩,邹兆菊.腮腺区肿块CT扫描检查的初步报告.中华口腔医学杂志,1987, 22∶156.
7 Som PM,Biller HF. The combined CT sialogram.Radiology,1980,135∶387.
(1999-01-01 收稿), 百拇医药