24小时内缺血性脑梗塞的CT研究
作者:肖恩华 刘顾岗 杨树仁 李德泰 沈树斌
单位:肖恩华(430030 武汉,同济医科大学附属同济医院放射科);刘顾岗 杨树仁 李德泰 沈树斌(410011 湖南省,湖南医科大学附属第二医院放射科)
关键词:脑梗塞;断层摄影术,X线计算机;诊断
放射学实践990208 【摘要】 目的:通过回顾分析病程在24小时内的缺血性脑梗塞患者的CT片,对其早期CT征象进行评价,以提高对该病的早期诊断水平。方法:回顾性分析经临床确诊的250例24小时内脑梗塞(病变组)及100例正常人(正常组)的CT表现,评价致密动脉征、豆状核征、脑岛带征、占位征、低密度灶、皮质征等CT表现。结果:正常组:致密动脉征占11%,豆状核征占5%,脑岛带征占1%,其它征象均为阴性;病变组:致密动脉征占20.8%,豆状核征占23.6%,脑岛带征占8.8%,低密度灶占56.8%,占位征占11.6%,皮质征占14.8%(与正常组相比P均<0.05)。其可用度依次为0.29、0.38、0.62、0.42、0.43。首次CT报告漏诊48例占19.2%。强化早期CT征象回顾性分析,阳性率由64.8%提高到84%(P<0.05)。结论:结合临床,豆状核征、脑岛带征、低密度灶,皮质征是诊断缺血性脑梗塞的早期可靠征象,而致密动脉征、占位征不能单独作为其诊断依据。强化这些征象,可望提高缺血性脑梗塞的早期发现率。
, http://www.100md.com
CT study of ischemic cerebral infarction within 24 hours
Xiao Enhua,Liu Gugang,Yang Shuren,et al.
(Department of Radiology,Tongji Hospital,Tongji Medical University,Wuhan 430030)
【Abstract】 Purpose:To assess the CT signs within 24 hours after cerebral infarction.Methods:CT appearances of 250 cases of clinically confirmed ischemic cerebral infarction within 24 hours were reviewed retrospectively with 100 normal persons as normal controls.The following early CT signs were evaluated: dense artery sign,lentiform nucleus sign,insular ribbon sign,space occupying effect,hypodense lesion and cortical sign.Results:Sensitivity of dense artery sign,lentiform nucleus sign,insular ribbon sign,space occupying effect,hypodensity lesion and cortical sign were 20.8%,23.6%,8.8%,11.6%,56.8% and 14.8% respectivelyP<0.05 as compared with normal control group.The degree of usefulness of signs cited above were 0.29,0.38,0.40,0.42,0.62,0.43 respectively.Conclusion:CT positive rate of ischemic cerebral infarction within 24 hours can reach to 84%.The valuable early CT signs of ischemic cerebral infarction are hypodense lesion,lentiform nucleus sign,insular ribbon sign and cortical sign.The desne artery sign and space occpying effect must be combined with other signs in order to diagnose cerebral infarction.Strengthen these signs might improve the early detection of ischemic cerebral infarction.
, 百拇医药
【Key words】 Cerberal infarction CT,X-ray computed Diagnosis
对急性中风病人最常首选的检查手段是CT。为提高对早期缺血性脑梗塞的CT诊断水平,我们对其早期CT征象进行了回顾性评价,现报道如下。
材料与方法
1 病变组
250例,男163例、女87例,年龄26~89岁(平均64.5岁)。发病至CT扫描时间6h内81例,6~12h 57例,12~24h 112例。所有病例均符合1995年修订的全国通用的脑梗塞诊断要点,CT排除了脑出血,无脑中风既往史排除了陈旧性病灶。CT或MRI随访49例,所有患者均按脑梗塞治疗后症状、体征有改善。
2 正常组
, http://www.100md.com
100例,男59例、女41例,年龄24~76岁(平均55.0岁)。均无脑中风的临床表现和既往史,无明显高血压、心脏病、糖尿病等。
3 方法
所用CT机为美国GE9800 QUICK型全身扫描机。矩阵512×512,120kV,120mA,2S,层厚、层距为10mm,部分用5mm,均作平扫,部分加做增强扫描。所有图像由3位从事CT诊断工作的医师阅片,所有征象需得到一致认可。
各征象的敏感性、特异性、诊断指数、诊断效率、可用度按贺氏方法计算[1],统计学处理采用χ2检验。
结 果
1.病变组
幕上209例,大脑中动脉供血区197例,大脑前动脉供血区8例,大脑后动脉供血区4例,右小脑半球1例。CT征象阴性40例,致密动脉征表现为平扫CT图像上脑动脉密度增高,超过脑皮质密度,低于钙化密度。豆状核征表现为豆状核轮廓模糊,密度与脑白质一致或稍低(图1)。脑岛带征表现为脑岛带区灰白质界面模糊,灰白质密度一致(图2)。低密度灶分腔隙性(<1cm为小腔梗,1~1.5cm大腔梗)和片状(>1.5cm)。占位征表现为邻近脑室、脑池、脑沟变小(图3)。皮质征表现为皮质局限性密度减低,与脑白质密度一致(图4)。各征象在不同时间出现率见表1,敏感性等指标测定结果见表2。
, 百拇医药
表1 250例早期脑梗塞CT表现与时间的关系 时间分组(h)
病例数
<6
81
6~12
57
12~24
112
合计
250
致密动脉征
13(16.1%)
, http://www.100md.com 17(29.8%)
22(19.6%)
52(20.8%)
豆状核征
29(35.8%)
18(31.6%)
12(10.7%)
59(23.6%)
脑岛带征
9(11.1%)
9(15.8%)
4(3.6%)
, http://www.100md.com
22(8.8%)
低密度灶
35(43.5%)
28(49.1%)
79(70.5%)
142(56.8%)
占位征
12(14.8%)
9(15.8%)
8(7.1%)
29(11.6%)
皮质征
, 百拇医药
13(16.1%)
13(22.8%)
11(9.8%)
37(14.8%)
表2 250例早期脑梗塞CT征象的价值 观测指标
致密动脉征
豆状核征
脑岛带征
低密度灶
占位征
皮质征
敏感性(%)
, http://www.100md.com
20.8
23.6
8.8
56.8
11.6
14.8
特异性(%)
89.0
95
99
100
100
100
, 百拇医药
诊断指数
109.8
118.6
107.8
156.8
111.6
114.8
诊断效率
0.40
0.44
0.35
0.69
0.37
, http://www.100md.com
0.39
可用度
0.29
0.38
0.40
0.62
0.42
0.43

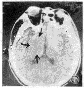
图1 左偏瘫1.5h,CT平扫显示右侧豆状核密度降低与白质一致(豆状核征,往箭头所示)(a),2d后复查,右豆状核区显示明显低密度影(b)。

, 百拇医药
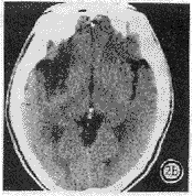
图2 左偏瘫5h,CT平扫显示右侧脑岛带区灰质密度降低与白质一致(脑岛带征)(a),33h后复查,脑岛带区呈明显低密度影(b)。
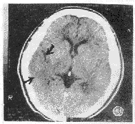
图3 左偏瘫13h,右颞皮质楔形密度减低与白质一致(皮质征),局部脑沟消失,侧裂池、侧脑室三角区变小(占位征)。

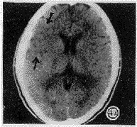
图4 左偏瘫5h,CT平扫显示右额颞皮质呈楔形密度减低与白质一致(皮质征)(a),33h复查,局部呈明显低密度影(b)。
2.正常组
致密动脉征占11%,豆状核征占5%,脑岛带征占1%,未见低密度灶、占位征及皮质征。
, 百拇医药
3.漏诊情况
首次CT报告阴性88例,回顾阅片阴性为40例,即病程在24h内CT阴性率为16%(40/250)。漏诊48例,漏诊率为19.2%(48/250)。其中6h内组漏诊占20.89%(17/81),6~12h组占24.56%(14/57),12~24h组占15.18%(17/112)。其中小腔梗漏诊占47.92%(23/48),大腔梗占6.25%(3/48),豆状核征占52.08%(25/48),脑岛带征占16.67%(8/48),皮质征占35.42%(17/48),占位征占2.08%(1/48)。
40例阴性病例中11例复查,6例分别在2天、5天、9天、10天、20天出现梗塞灶,5例在2天及5天复查,未见梗塞灶。
4.体征与CT表现的关系
体征为单侧性224例,梗塞灶与体征同侧占19.19%(43/224),位于对侧占51.78%,CT显示双侧梗塞占14.29%(32/224),CT未见梗塞灶占14.73%(33/224)。体征为双侧性7例,CT显示双侧梗塞7例,体征不能分左右19例,CT显示梗塞灶位于左侧6例,右侧5例,双侧1例,未见梗塞灶7例。
, 百拇医药
讨 论
1.对早期缺血性脑梗塞CT征象的评价
病变组与正常组相比,6种征象出现率均有显著性差异(P<0.05),前者高于后者,低密度灶的各评测指标值最高,说明其对早期脑梗塞诊断价值最大,最具特征性。文献认为致密动脉征可预示梗塞发生的血管分布区,是发生大梗塞的先兆[2]。但本组中该征与梗塞部位相符者仅占60.6%,且腔隙性梗塞占77.5%(P<0.05)。我们认为该征可在早期梗塞中出现,但不能单独作为诊断指标。文献报道在早期脑梗塞中,豆状核征和脑岛带征诊断价值高,阳性率高,前者达92%[3],后者为75%~100%[4],均显著高于本组,可能系文献仅选择大脑中动脉供血区病例以及病例数较少,CT机型不同之故。皮质征的诊断价值大,常代表梗塞范围较大,但需除外增宽的蛛网膜下腔产生的部分容积效应及颅骨产生的低密度伪影。本组占位征均与其它征象伴发,有时需进一步做增强扫描以除外肿瘤等占位病变。
, 百拇医药
2.早期脑梗塞CT征象的病理基础
致密动脉征,文献认为系血栓所致[2],其密度(77~89HU)介于正常血管(35~60HU)与钙化斑(114~321HU)之间,常见于心源性脑梗塞。本组有心脏疾患18例中,出现该征仅6例,占33.3%,在时间分布上,也无规律性,因此,其产生原因可能有生理性,也有病理性,有待进一步论证。其它CT征象均为不同程度的局部脑水肿所致。因实验证明[5]:缺血1h,受累脑组织水量增加3%,而水含量每改变1%,CT值改变2.5~2.6HU。另有作者发现脑梗塞后30min既可显示硬膜外压增高,提示有脑水肿[6],缺血性脑水肿在不同解剖部位和水肿及缺血坏死的不同程度分别引起豆状核征、脑岛带征、低密度灶、占位征及皮质征。豆状核征在6h内组出现频率最高,脑岛带征及皮质征在6~12h组出现最多,低密度灶在12~24h组出现率最高。因此,我们认为前3者只是不同梗塞区早期局部轻微水肿所致,低密度灶则是水肿加重或出现坏死所致。
, 百拇医药
3.CT检查对早期脑梗塞的价值
按以往诊断缺血性脑梗塞以低密度灶有无为标准,本组病例首次CT阳性率64.8%,强化认识早期征象,回顾阅片后阳性率为84%(P<0.05)。其中6h组阳性率为79.0%(64/81),6~12h组84.2%(48/57)。12~24h组87.5%(98/112),说明随病程的延长,阳性率逐渐增高。本组6h组阳性率与Von Kummer报道的4~8h阳性率(81%)接近[7],但24h阳性率明显高于Bryan报道的CT阳性率(58%),而与其MRI阳性率(82%)接近[8],可能与强化早期CT征象有关。最近Mohr报道80例3h急性中风(75例脑梗塞,5例出血),用CT,MRI作前瞻性研究,认为CT平扫、MRI平扫对早期中风诊断价值相当[9],有待进一步比较研究。
本组资料显示,漏诊与病程相关(12h前高于12h后),其它原因包括病灶小、密度改变不明显以及对早期征象认识不够。
, http://www.100md.com
有作者认为灶性水肿,有强化,CT值高于脑脊液为急性梗塞,而无水肿、无强化,CT值与脑脊液相似,伴局部萎缩为慢性梗塞[10]。但本组有部分病变CT值与脑脊液相似,提示不能单凭CT值决定急、慢性。也有作者认为CT可区分血栓形成和血栓栓塞[11],认为前者所形成的梗塞区小且不均匀,常不累及皮质,后者所形成的梗塞区常累及皮质,范围大且均匀,血栓多为心源性,但本组皮质征37例,仅9例有心源性脑梗塞的可能。至于出现致密动脉征有助于血栓栓塞诊断的观点,也有待进一步观察。
4.体征与CT表现的关系
本组体征与病灶位于同侧占19.19%,系皮质脊髓束有10%的纤维不交叉所致,较文献报道的3.45%高[12],可能系本组未包括中晚期病例有关。体征为单侧,CT显示双侧梗塞灶占14.29%,系梗塞灶20%属于静止性病变即位于大脑功能静区或小梗塞未影响脑的功能或影响甚微而未引起注意之故[13]。本组有症状而CT阴性占16%,11例复查6例出现病灶,说明随病程延长CT阳性率可提高,但仍有阴性病例。Lindyren也认为25%~30%的病人有症状,初次检查,甚至随访也不能显示病灶,可能系皮质或脑干小病灶,CT难以显示[13],对这部分病人MRI优于CT。
, 百拇医药
参考文献
1 贺石林,主编.科研设计与统计方法.湖南医科大学研究生处,1992.23.
2 Schuknecht B,Ratzka M,Hofmann E.The “dese artery sign”-major cerebral artery thromboembolism demonstrated by computed tomography.Neuroradiology,1990,32∶98.
3 Tomura N,Uemura K,Inugami A,et al.Early CT Finding in Cerebral Infarction:Obscuration of the lentiform Nucleus.Radiology,1988,168∶463.
4 Truwit CL,Barkkovich AJ,Marton AG,et al.Loss of the Insular Ribbon:Another Early CT Sign of Acute Middle Cerebral Artery Infarction.Radiology,1990,176∶801.
, 百拇医药
5 Horowitz SH,Zito JL,Donnarumma R,et al.Computed Tomographic-Angiographic Findings Within the First Five Hours of Cerebral Infarction.Stroke,1991,22∶1245.
6 Yamane K,Shima T,Okada Y,et al.Acute Brain Swelling in Cerebral Embolization Model of Rats I:Epidural Pressure Monitoring.Surg Neurol,1994,4∶477.
7 Von Kummer R,Meyding-lamade U,Forsting M,et al.Sensitivity and Prognostic Value of Early CT in Occlusion of the Middle Cerebral Artery Trunk.AJNR,1994,15∶9.
, http://www.100md.com
8 Bryan RN,Levy LM,Whitlow WD,et al.Diagnosis of Acute Cerebral Infarction:Comparison of CT and MR Imaging.AJR,1991,157∶585.
9 Mohr JP,Biller J,Hilal SK,et al.Magnetic Resonance versus Computed Tomography Imaging in Acute Stroke.Stroke,1995,26∶807.
10 Turnbull IW,Bannister CM.CT observations on the nutural history of asymptomatic cerebral infarction following transient ischemic attracks.Neurlogical Research,1985,7∶190.
, 百拇医药
11 Tomura N,Inugami A,Kanno I,et al.Differentiation between cerebral Embolism and Thrombosis on sequential CT Scans.Journal of Computer Assisted Tomography,1990,14∶26.
12 张通,王学淳,杨全明,等.28例腑脑梗塞同侧功能障碍CT分析.临床放射学杂志,1991,10∶205.
13 Lindyren A,Norrving B,Rudling O,et al.Comparisin of Clinical and Neuroradiological findings in First-Ever Stroke.A Population Based Study.Stroke,1994,25∶1371.ss
(1999-01-08 收稿), 百拇医药
单位:肖恩华(430030 武汉,同济医科大学附属同济医院放射科);刘顾岗 杨树仁 李德泰 沈树斌(410011 湖南省,湖南医科大学附属第二医院放射科)
关键词:脑梗塞;断层摄影术,X线计算机;诊断
放射学实践990208 【摘要】 目的:通过回顾分析病程在24小时内的缺血性脑梗塞患者的CT片,对其早期CT征象进行评价,以提高对该病的早期诊断水平。方法:回顾性分析经临床确诊的250例24小时内脑梗塞(病变组)及100例正常人(正常组)的CT表现,评价致密动脉征、豆状核征、脑岛带征、占位征、低密度灶、皮质征等CT表现。结果:正常组:致密动脉征占11%,豆状核征占5%,脑岛带征占1%,其它征象均为阴性;病变组:致密动脉征占20.8%,豆状核征占23.6%,脑岛带征占8.8%,低密度灶占56.8%,占位征占11.6%,皮质征占14.8%(与正常组相比P均<0.05)。其可用度依次为0.29、0.38、0.62、0.42、0.43。首次CT报告漏诊48例占19.2%。强化早期CT征象回顾性分析,阳性率由64.8%提高到84%(P<0.05)。结论:结合临床,豆状核征、脑岛带征、低密度灶,皮质征是诊断缺血性脑梗塞的早期可靠征象,而致密动脉征、占位征不能单独作为其诊断依据。强化这些征象,可望提高缺血性脑梗塞的早期发现率。
, http://www.100md.com
CT study of ischemic cerebral infarction within 24 hours
Xiao Enhua,Liu Gugang,Yang Shuren,et al.
(Department of Radiology,Tongji Hospital,Tongji Medical University,Wuhan 430030)
【Abstract】 Purpose:To assess the CT signs within 24 hours after cerebral infarction.Methods:CT appearances of 250 cases of clinically confirmed ischemic cerebral infarction within 24 hours were reviewed retrospectively with 100 normal persons as normal controls.The following early CT signs were evaluated: dense artery sign,lentiform nucleus sign,insular ribbon sign,space occupying effect,hypodense lesion and cortical sign.Results:Sensitivity of dense artery sign,lentiform nucleus sign,insular ribbon sign,space occupying effect,hypodensity lesion and cortical sign were 20.8%,23.6%,8.8%,11.6%,56.8% and 14.8% respectivelyP<0.05 as compared with normal control group.The degree of usefulness of signs cited above were 0.29,0.38,0.40,0.42,0.62,0.43 respectively.Conclusion:CT positive rate of ischemic cerebral infarction within 24 hours can reach to 84%.The valuable early CT signs of ischemic cerebral infarction are hypodense lesion,lentiform nucleus sign,insular ribbon sign and cortical sign.The desne artery sign and space occpying effect must be combined with other signs in order to diagnose cerebral infarction.Strengthen these signs might improve the early detection of ischemic cerebral infarction.
, 百拇医药
【Key words】 Cerberal infarction CT,X-ray computed Diagnosis
对急性中风病人最常首选的检查手段是CT。为提高对早期缺血性脑梗塞的CT诊断水平,我们对其早期CT征象进行了回顾性评价,现报道如下。
材料与方法
1 病变组
250例,男163例、女87例,年龄26~89岁(平均64.5岁)。发病至CT扫描时间6h内81例,6~12h 57例,12~24h 112例。所有病例均符合1995年修订的全国通用的脑梗塞诊断要点,CT排除了脑出血,无脑中风既往史排除了陈旧性病灶。CT或MRI随访49例,所有患者均按脑梗塞治疗后症状、体征有改善。
2 正常组
, http://www.100md.com
100例,男59例、女41例,年龄24~76岁(平均55.0岁)。均无脑中风的临床表现和既往史,无明显高血压、心脏病、糖尿病等。
3 方法
所用CT机为美国GE9800 QUICK型全身扫描机。矩阵512×512,120kV,120mA,2S,层厚、层距为10mm,部分用5mm,均作平扫,部分加做增强扫描。所有图像由3位从事CT诊断工作的医师阅片,所有征象需得到一致认可。
各征象的敏感性、特异性、诊断指数、诊断效率、可用度按贺氏方法计算[1],统计学处理采用χ2检验。
结 果
1.病变组
幕上209例,大脑中动脉供血区197例,大脑前动脉供血区8例,大脑后动脉供血区4例,右小脑半球1例。CT征象阴性40例,致密动脉征表现为平扫CT图像上脑动脉密度增高,超过脑皮质密度,低于钙化密度。豆状核征表现为豆状核轮廓模糊,密度与脑白质一致或稍低(图1)。脑岛带征表现为脑岛带区灰白质界面模糊,灰白质密度一致(图2)。低密度灶分腔隙性(<1cm为小腔梗,1~1.5cm大腔梗)和片状(>1.5cm)。占位征表现为邻近脑室、脑池、脑沟变小(图3)。皮质征表现为皮质局限性密度减低,与脑白质密度一致(图4)。各征象在不同时间出现率见表1,敏感性等指标测定结果见表2。
, 百拇医药
表1 250例早期脑梗塞CT表现与时间的关系 时间分组(h)
病例数
<6
81
6~12
57
12~24
112
合计
250
致密动脉征
13(16.1%)
, http://www.100md.com 17(29.8%)
22(19.6%)
52(20.8%)
豆状核征
29(35.8%)
18(31.6%)
12(10.7%)
59(23.6%)
脑岛带征
9(11.1%)
9(15.8%)
4(3.6%)
, http://www.100md.com
22(8.8%)
低密度灶
35(43.5%)
28(49.1%)
79(70.5%)
142(56.8%)
占位征
12(14.8%)
9(15.8%)
8(7.1%)
29(11.6%)
皮质征
, 百拇医药
13(16.1%)
13(22.8%)
11(9.8%)
37(14.8%)
表2 250例早期脑梗塞CT征象的价值 观测指标
致密动脉征
豆状核征
脑岛带征
低密度灶
占位征
皮质征
敏感性(%)
, http://www.100md.com
20.8
23.6
8.8
56.8
11.6
14.8
特异性(%)
89.0
95
99
100
100
100
, 百拇医药
诊断指数
109.8
118.6
107.8
156.8
111.6
114.8
诊断效率
0.40
0.44
0.35
0.69
0.37
, http://www.100md.com
0.39
可用度
0.29
0.38
0.40
0.62
0.42
0.43
图1 左偏瘫1.5h,CT平扫显示右侧豆状核密度降低与白质一致(豆状核征,往箭头所示)(a),2d后复查,右豆状核区显示明显低密度影(b)。
, 百拇医药
图2 左偏瘫5h,CT平扫显示右侧脑岛带区灰质密度降低与白质一致(脑岛带征)(a),33h后复查,脑岛带区呈明显低密度影(b)。
图3 左偏瘫13h,右颞皮质楔形密度减低与白质一致(皮质征),局部脑沟消失,侧裂池、侧脑室三角区变小(占位征)。
图4 左偏瘫5h,CT平扫显示右额颞皮质呈楔形密度减低与白质一致(皮质征)(a),33h复查,局部呈明显低密度影(b)。
2.正常组
致密动脉征占11%,豆状核征占5%,脑岛带征占1%,未见低密度灶、占位征及皮质征。
, 百拇医药
3.漏诊情况
首次CT报告阴性88例,回顾阅片阴性为40例,即病程在24h内CT阴性率为16%(40/250)。漏诊48例,漏诊率为19.2%(48/250)。其中6h内组漏诊占20.89%(17/81),6~12h组占24.56%(14/57),12~24h组占15.18%(17/112)。其中小腔梗漏诊占47.92%(23/48),大腔梗占6.25%(3/48),豆状核征占52.08%(25/48),脑岛带征占16.67%(8/48),皮质征占35.42%(17/48),占位征占2.08%(1/48)。
40例阴性病例中11例复查,6例分别在2天、5天、9天、10天、20天出现梗塞灶,5例在2天及5天复查,未见梗塞灶。
4.体征与CT表现的关系
体征为单侧性224例,梗塞灶与体征同侧占19.19%(43/224),位于对侧占51.78%,CT显示双侧梗塞占14.29%(32/224),CT未见梗塞灶占14.73%(33/224)。体征为双侧性7例,CT显示双侧梗塞7例,体征不能分左右19例,CT显示梗塞灶位于左侧6例,右侧5例,双侧1例,未见梗塞灶7例。
, 百拇医药
讨 论
1.对早期缺血性脑梗塞CT征象的评价
病变组与正常组相比,6种征象出现率均有显著性差异(P<0.05),前者高于后者,低密度灶的各评测指标值最高,说明其对早期脑梗塞诊断价值最大,最具特征性。文献认为致密动脉征可预示梗塞发生的血管分布区,是发生大梗塞的先兆[2]。但本组中该征与梗塞部位相符者仅占60.6%,且腔隙性梗塞占77.5%(P<0.05)。我们认为该征可在早期梗塞中出现,但不能单独作为诊断指标。文献报道在早期脑梗塞中,豆状核征和脑岛带征诊断价值高,阳性率高,前者达92%[3],后者为75%~100%[4],均显著高于本组,可能系文献仅选择大脑中动脉供血区病例以及病例数较少,CT机型不同之故。皮质征的诊断价值大,常代表梗塞范围较大,但需除外增宽的蛛网膜下腔产生的部分容积效应及颅骨产生的低密度伪影。本组占位征均与其它征象伴发,有时需进一步做增强扫描以除外肿瘤等占位病变。
, 百拇医药
2.早期脑梗塞CT征象的病理基础
致密动脉征,文献认为系血栓所致[2],其密度(77~89HU)介于正常血管(35~60HU)与钙化斑(114~321HU)之间,常见于心源性脑梗塞。本组有心脏疾患18例中,出现该征仅6例,占33.3%,在时间分布上,也无规律性,因此,其产生原因可能有生理性,也有病理性,有待进一步论证。其它CT征象均为不同程度的局部脑水肿所致。因实验证明[5]:缺血1h,受累脑组织水量增加3%,而水含量每改变1%,CT值改变2.5~2.6HU。另有作者发现脑梗塞后30min既可显示硬膜外压增高,提示有脑水肿[6],缺血性脑水肿在不同解剖部位和水肿及缺血坏死的不同程度分别引起豆状核征、脑岛带征、低密度灶、占位征及皮质征。豆状核征在6h内组出现频率最高,脑岛带征及皮质征在6~12h组出现最多,低密度灶在12~24h组出现率最高。因此,我们认为前3者只是不同梗塞区早期局部轻微水肿所致,低密度灶则是水肿加重或出现坏死所致。
, 百拇医药
3.CT检查对早期脑梗塞的价值
按以往诊断缺血性脑梗塞以低密度灶有无为标准,本组病例首次CT阳性率64.8%,强化认识早期征象,回顾阅片后阳性率为84%(P<0.05)。其中6h组阳性率为79.0%(64/81),6~12h组84.2%(48/57)。12~24h组87.5%(98/112),说明随病程的延长,阳性率逐渐增高。本组6h组阳性率与Von Kummer报道的4~8h阳性率(81%)接近[7],但24h阳性率明显高于Bryan报道的CT阳性率(58%),而与其MRI阳性率(82%)接近[8],可能与强化早期CT征象有关。最近Mohr报道80例3h急性中风(75例脑梗塞,5例出血),用CT,MRI作前瞻性研究,认为CT平扫、MRI平扫对早期中风诊断价值相当[9],有待进一步比较研究。
本组资料显示,漏诊与病程相关(12h前高于12h后),其它原因包括病灶小、密度改变不明显以及对早期征象认识不够。
, http://www.100md.com
有作者认为灶性水肿,有强化,CT值高于脑脊液为急性梗塞,而无水肿、无强化,CT值与脑脊液相似,伴局部萎缩为慢性梗塞[10]。但本组有部分病变CT值与脑脊液相似,提示不能单凭CT值决定急、慢性。也有作者认为CT可区分血栓形成和血栓栓塞[11],认为前者所形成的梗塞区小且不均匀,常不累及皮质,后者所形成的梗塞区常累及皮质,范围大且均匀,血栓多为心源性,但本组皮质征37例,仅9例有心源性脑梗塞的可能。至于出现致密动脉征有助于血栓栓塞诊断的观点,也有待进一步观察。
4.体征与CT表现的关系
本组体征与病灶位于同侧占19.19%,系皮质脊髓束有10%的纤维不交叉所致,较文献报道的3.45%高[12],可能系本组未包括中晚期病例有关。体征为单侧,CT显示双侧梗塞灶占14.29%,系梗塞灶20%属于静止性病变即位于大脑功能静区或小梗塞未影响脑的功能或影响甚微而未引起注意之故[13]。本组有症状而CT阴性占16%,11例复查6例出现病灶,说明随病程延长CT阳性率可提高,但仍有阴性病例。Lindyren也认为25%~30%的病人有症状,初次检查,甚至随访也不能显示病灶,可能系皮质或脑干小病灶,CT难以显示[13],对这部分病人MRI优于CT。
, 百拇医药
参考文献
1 贺石林,主编.科研设计与统计方法.湖南医科大学研究生处,1992.23.
2 Schuknecht B,Ratzka M,Hofmann E.The “dese artery sign”-major cerebral artery thromboembolism demonstrated by computed tomography.Neuroradiology,1990,32∶98.
3 Tomura N,Uemura K,Inugami A,et al.Early CT Finding in Cerebral Infarction:Obscuration of the lentiform Nucleus.Radiology,1988,168∶463.
4 Truwit CL,Barkkovich AJ,Marton AG,et al.Loss of the Insular Ribbon:Another Early CT Sign of Acute Middle Cerebral Artery Infarction.Radiology,1990,176∶801.
, 百拇医药
5 Horowitz SH,Zito JL,Donnarumma R,et al.Computed Tomographic-Angiographic Findings Within the First Five Hours of Cerebral Infarction.Stroke,1991,22∶1245.
6 Yamane K,Shima T,Okada Y,et al.Acute Brain Swelling in Cerebral Embolization Model of Rats I:Epidural Pressure Monitoring.Surg Neurol,1994,4∶477.
7 Von Kummer R,Meyding-lamade U,Forsting M,et al.Sensitivity and Prognostic Value of Early CT in Occlusion of the Middle Cerebral Artery Trunk.AJNR,1994,15∶9.
, http://www.100md.com
8 Bryan RN,Levy LM,Whitlow WD,et al.Diagnosis of Acute Cerebral Infarction:Comparison of CT and MR Imaging.AJR,1991,157∶585.
9 Mohr JP,Biller J,Hilal SK,et al.Magnetic Resonance versus Computed Tomography Imaging in Acute Stroke.Stroke,1995,26∶807.
10 Turnbull IW,Bannister CM.CT observations on the nutural history of asymptomatic cerebral infarction following transient ischemic attracks.Neurlogical Research,1985,7∶190.
, 百拇医药
11 Tomura N,Inugami A,Kanno I,et al.Differentiation between cerebral Embolism and Thrombosis on sequential CT Scans.Journal of Computer Assisted Tomography,1990,14∶26.
12 张通,王学淳,杨全明,等.28例腑脑梗塞同侧功能障碍CT分析.临床放射学杂志,1991,10∶205.
13 Lindyren A,Norrving B,Rudling O,et al.Comparisin of Clinical and Neuroradiological findings in First-Ever Stroke.A Population Based Study.Stroke,1994,25∶1371.ss
(1999-01-08 收稿), 百拇医药