肺原发性平滑肌肉瘤1例
作者:田芳 张进华 周燕发
单位:430030 武汉,同济医科大学附属同济医院放射科
关键词:
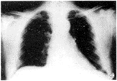
放射学实践990231 男性患者,50岁。因咳嗽3周伴脓痰1周入院。咳嗽呈阵发性,伴大量脓痰,并有胸痛、气喘、胸闷等。在当地医院抗炎无好转,脓痰转为白粘痰。入院体检及心电图、B超、肺功能检查均无异常。胸片见右肺门区一圆形高密度影(图1)。CT见病灶位于右下叶背段,大小约2cm×2cm,密度均匀,边缘光滑锐利、似有分叶,肺窗见单支血管供血(图2)。MRI见肿块呈等T1、等T2信号,肺门、纵隔未见肿大淋巴结(图3)。诊断:右下叶背段肿瘤性病变。
图1 胸部正位片:右肺门区一圆形高密度影。
图2 胸部CT肺窗:右肺下叶背段肿块。
图3 胸部MRI:肿块呈等T1等T2信号。
手术 肿块2cm×2cm,质硬,位于右下叶背段,表面无脏层胸膜凹陷,隆突下及右中间支气管旁各一枚花生米大小质硬淋巴结。
病理报告 ①肺平滑肌肉瘤;②隆突下淋巴结反应性增生。
讨论 肺原发性平滑肌肉瘤(Primary leiomyosarcoma of the lung)是一种少见的肺部恶性肿瘤,自1907年Davisohn报告首例后,国内外陆续有个案报告。据统计:本病发病率男女之比2∶1,儿童及青少年均可发病。临床症状与肿瘤的大小和所引起的并发症有关,常见症状有咳嗽,可干咳或兼咳痰、痰中带血,但较轻微。当引起肺不张或继发感染时可有高热、呼吸困难;亦可出现胸水、上腔静脉综合征等。其来源于中胚层结构的软组织,多为单发,偶见多发。Spencer将肺原发性平滑肌肉瘤分为二种类型:起源于肺实质者为周围型,较多见,本例属于此型,表现为圆形、卵圆形密度均匀、边缘锐利的肿块,大小1~17cm。也可有分叶,少有空洞形成,少数边界欠清晰,似有毛刺。起源于支气管者为中心型,表现为肺门区肿块,可引起阻塞性肺炎、肺不张。除肺边缘型较小肿物外,纤支镜检查皆有阳性发现,活检有助于诊断。本病预后比肺癌好,2年生存率92%,5年生存率44%。
肺原发性平滑肌肉瘤诊断较难,其临床表现和影象学表现都缺乏特异性,常因误为肺良性肿瘤而延误治疗机会。因此,当肺内出现>2cm的肿块时,除肺癌、肺结核瘤以及肺囊肿外,应想到本病的可能,并结合临床综合分析,方有可能在术前作出正确的诊断,并早期手术治疗。由于平滑肌肉瘤常发生于子宫及胃肠道,少见于呼吸道,因此常规还应检查胃肠道,女性应检查子宫,以除外平滑肌肉瘤肺转移。
(1998-11-20 收稿), 百拇医药
单位:430030 武汉,同济医科大学附属同济医院放射科
关键词:
放射学实践990231 男性患者,50岁。因咳嗽3周伴脓痰1周入院。咳嗽呈阵发性,伴大量脓痰,并有胸痛、气喘、胸闷等。在当地医院抗炎无好转,脓痰转为白粘痰。入院体检及心电图、B超、肺功能检查均无异常。胸片见右肺门区一圆形高密度影(图1)。CT见病灶位于右下叶背段,大小约2cm×2cm,密度均匀,边缘光滑锐利、似有分叶,肺窗见单支血管供血(图2)。MRI见肿块呈等T1、等T2信号,肺门、纵隔未见肿大淋巴结(图3)。诊断:右下叶背段肿瘤性病变。
图1 胸部正位片:右肺门区一圆形高密度影。
图2 胸部CT肺窗:右肺下叶背段肿块。
图3 胸部MRI:肿块呈等T1等T2信号。
手术 肿块2cm×2cm,质硬,位于右下叶背段,表面无脏层胸膜凹陷,隆突下及右中间支气管旁各一枚花生米大小质硬淋巴结。
病理报告 ①肺平滑肌肉瘤;②隆突下淋巴结反应性增生。
讨论 肺原发性平滑肌肉瘤(Primary leiomyosarcoma of the lung)是一种少见的肺部恶性肿瘤,自1907年Davisohn报告首例后,国内外陆续有个案报告。据统计:本病发病率男女之比2∶1,儿童及青少年均可发病。临床症状与肿瘤的大小和所引起的并发症有关,常见症状有咳嗽,可干咳或兼咳痰、痰中带血,但较轻微。当引起肺不张或继发感染时可有高热、呼吸困难;亦可出现胸水、上腔静脉综合征等。其来源于中胚层结构的软组织,多为单发,偶见多发。Spencer将肺原发性平滑肌肉瘤分为二种类型:起源于肺实质者为周围型,较多见,本例属于此型,表现为圆形、卵圆形密度均匀、边缘锐利的肿块,大小1~17cm。也可有分叶,少有空洞形成,少数边界欠清晰,似有毛刺。起源于支气管者为中心型,表现为肺门区肿块,可引起阻塞性肺炎、肺不张。除肺边缘型较小肿物外,纤支镜检查皆有阳性发现,活检有助于诊断。本病预后比肺癌好,2年生存率92%,5年生存率44%。
肺原发性平滑肌肉瘤诊断较难,其临床表现和影象学表现都缺乏特异性,常因误为肺良性肿瘤而延误治疗机会。因此,当肺内出现>2cm的肿块时,除肺癌、肺结核瘤以及肺囊肿外,应想到本病的可能,并结合临床综合分析,方有可能在术前作出正确的诊断,并早期手术治疗。由于平滑肌肉瘤常发生于子宫及胃肠道,少见于呼吸道,因此常规还应检查胃肠道,女性应检查子宫,以除外平滑肌肉瘤肺转移。
(1998-11-20 收稿), 百拇医药